Bone Marrow Aplasia after CAR-T-Cell Therapy for Relapsed/Refractory Burkitt’s Lymphoma
Abstract
1. Background
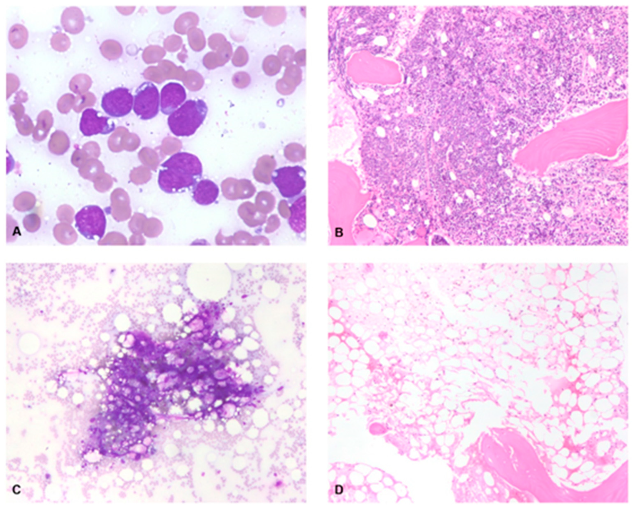
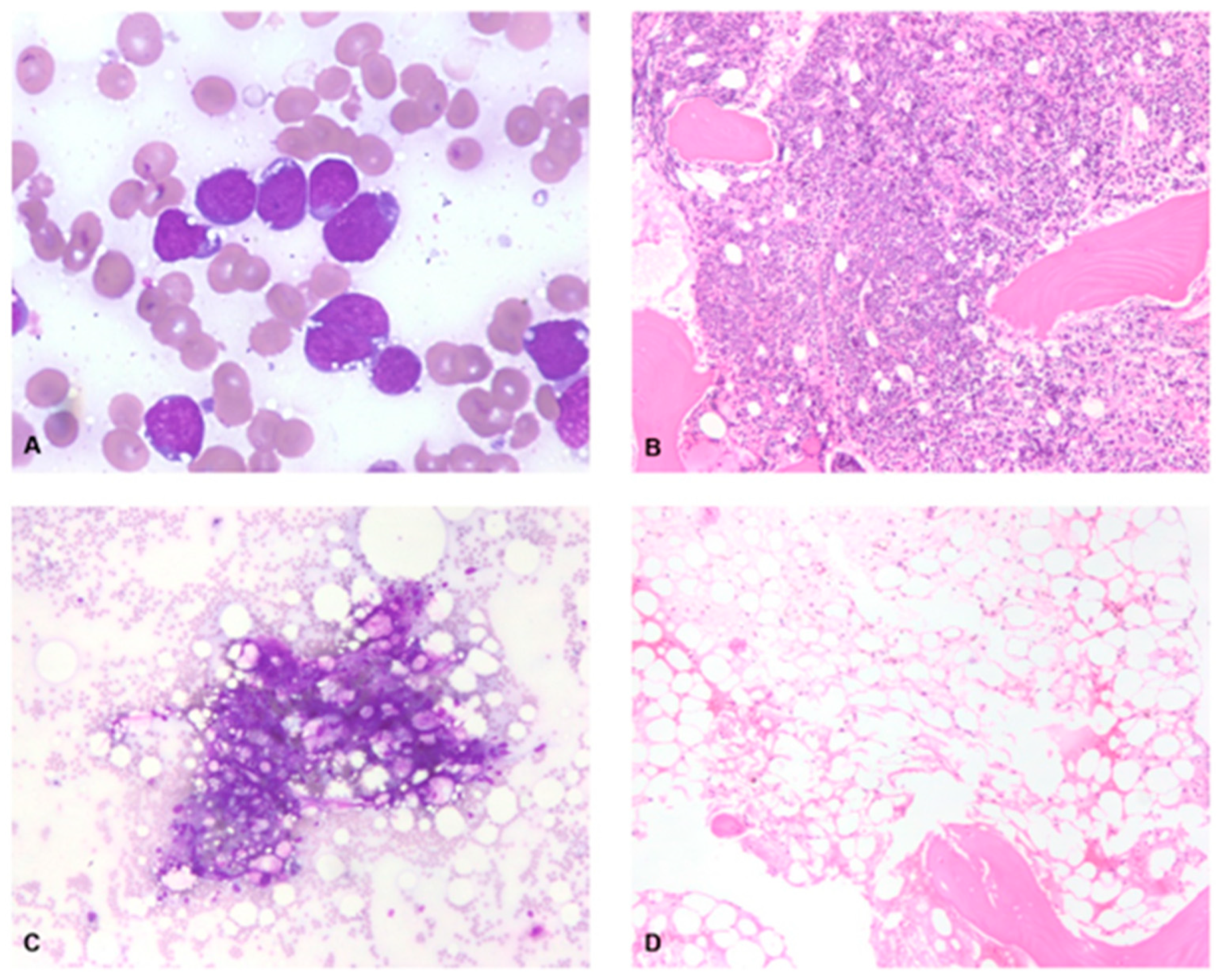
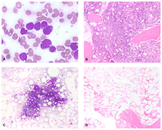
2. Case Description
Author Contributions
Funding
Institutional Review Board Statement
Informed Consent Statement
Data Availability Statement
Acknowledgments
Conflicts of Interest
Abbreviations
| R/R | Relapsed/refractory |
| BL | Burkitt lymphoma |
| CAR-T | Chimeric antigen receptor T-cell |
| CRS | Cytokine release syndrome |
| NHL | Non-Hodgkin’s lymphoma |
| ConCSF | Cerebrospinal fluid |
| CR | Complete remission |
| Auto-HCT | Autologous hematopoietic stem cell transplant |
| HLH | Hemophagocytic lymphohistiocytosis |
| Allo-HCT | Allogeneic hematopoietic stem cell transplant |
| IEC-HS | Immune effector cell-associated hemophagocytic lymphohistiocytosis-like syndrome |
| TPO | Thrombopoietin receptor |
References
- Ganeeva, I.; Zmievskaya, E.; Valiullina, A.; Kudriaeva, A.; Miftakhova, R.; Rybalov, A.; Bulatov, E. Recent Advances in the Development of Bioreactors for Manufacturing of Adoptive Cell Immunotherapies. Bioengineering 2022, 9, 808. [Google Scholar] [CrossRef] [PubMed]
- Martin, T.; Usmani, S.Z.; Berdeja, J.G.; Agha, M.; Cohen, A.D.; Hari, P.; Avigan, D.; Deol, A.; Htut, M.; Lesokhin, A.; et al. Ciltacabtagene Autoleucel, an Anti-B-cell Maturation Antigen Chimeric Antigen Receptor T-Cell Therapy, for Relapsed/Refractory Multiple Myeloma: CARTITUDE-1 2-Year Follow-Up. J. Clin. Oncol. 2022, 41, 1265. [Google Scholar] [CrossRef] [PubMed]
- Molyneux, E.M.; Rochford, R.; Griffin, B.; Newton, R.; Jackson, G.; Menon, G.; Harrison, C.J.; Israels, T.; Bailey, S. Burkitt’s lymphoma. Lancet 2012, 379, 1234–1244. [Google Scholar] [CrossRef] [PubMed]
- Rendón-Macías, M.E.; Valencia-Ramón, E.A.; Fajardo-Gutiérrez, A. Clinical and Epidemiological Characteristics of Burkitt Lymphomas in Pediatric Patients from Two Defined Socioeconomic Regions in Mexico. J. Trop. Pediatr. 2017, 63, 253–259. [Google Scholar] [CrossRef][Green Version]
- Haydu, J.E.; Abramson, J.S. CAR T-cells in relapsed Burkitt lymphoma—A promising test drive in a rare disease. Leukemia Lymphoma 2022, 63, 2263–2264. [Google Scholar] [CrossRef] [PubMed]
- Avigdor, A.; Shouval, R.; Jacoby, E.; Davidson, T.; Shimoni, A.; Besser, M.; Nagler, A. Car T cells induce a complete response in refractory Burkitt lymphoma. Bone Marrow Transplant. 2018, 53, 1583–1585. [Google Scholar] [CrossRef] [PubMed]
- Cheng, L.; Huang, M.; Cao, Y.; Wang, J.; Xu, H.; Jiang, L. Allogeneic car-T bridging to Allo-HSCT as a treatment strategy for refractory adult Burkitt’s Lymphoma: A Case Report. Transl. Cancer Res. 2022, 11, 2996–3002. [Google Scholar] [CrossRef] [PubMed]
- Du, J.; Zhang, Y. Sequential anti-cd19, 22, and 20 autologous chimeric antigen receptor T-cell (CAR-T) treatments of a child with relapsed refractory Burkitt lymphoma: A case report and literature review. J. Cancer Res. Clin. Oncol. 2020, 146, 1575–1582. [Google Scholar] [CrossRef] [PubMed]
- Liu, Y.; Deng, B.; Hu, B.; Zhang, W.; Zhu, Q.; Liu, Y.; Wang, S.; Zhang, P.; Yang, Y.; Yang, J.; et al. Sequential different B-cell antigen–targeted car T-cell therapy for pediatric refractory/relapsed Burkitt lymphoma. Blood Adv. 2022, 6, 717–730. [Google Scholar] [CrossRef]
- Seitter, S.J.; McClelland, P.H.; Ahlman, M.A.; Goff, S.L.; Yang, J.C.; McIntyre, L.; Rosenberg, S.A.; Kochenderfer, J.N.; Brudno, J.N. Durable remissions in two adult patients with Burkitt lymphoma following anti-cd19 car T-cell therapy: A single center experience. Leuk. Lymphoma 2022, 63, 2469–2473. [Google Scholar] [CrossRef] [PubMed]
- Wang, T.; Feng, M.; Luo, C.; Wan, X.; Pan, C.; Tang, J.; Xue, F.; Yin, M.; Lu, D.; Xia, Q.; et al. Successful treatment of pediatric refractory Burkitt lymphoma PTLD after liver transplantation using Anti-CD19 chimeric antigen receptor T-cell therapy. Cell Transplant. 2021, 30, 096368972199664. [Google Scholar] [CrossRef] [PubMed]
- Wu, J.; Cao, Y.; Zhang, Q.; Liu, W.; Zhou, X.; Ming, X.; Meng, F.; Zhang, Y.; Li, C.; Huang, L.; et al. Chimeric antigen receptor-modified T cell immunotherapy for relapsed and refractory adult Burkitt lymphoma. Front. Immunol. 2022, 13, 879983. [Google Scholar] [CrossRef] [PubMed]
- Zhang, W.; Yang, J.; Zhou, C.; Hu, B.; Jin, L.; Deng, B.; Liu, Y.; Wang, S.; Chang, A.H.; Du, J.; et al. Early response observed in pediatric patients with relapsed/refractory Burkitt lymphoma treated with chimeric antigen receptor T cells. Blood 2020, 135, 2425–2427. [Google Scholar] [CrossRef] [PubMed]
- Zhou, X.; Ge, T.; Li, T.; Huang, L.; Cao, Y.; Xiao, Y.; Zhen, M.; Chen, L.; Zhou, J. CAR19/22 T cell therapy in adult refractory Burkitt’s lymphoma. Cancer Immunol. Immunother. 2021, 70, 2379–2384. [Google Scholar] [CrossRef] [PubMed]
- Rejeski, K.; Wu, Z.; Blumenberg, V.; Kunz, W.G.; Mueller, S.; Kajigaya, S.; Gao, S.; Buecklein, V.; Frölich, L.; Schmidt, C.; et al. Oligoclonal T-cell expansion in a patient with BM failure after CD19 CAR-T for Richter transformed DLBCL. Blood 2022, 140, 2175–2179. [Google Scholar] [CrossRef]
- Rejeski, K.; Kunz, W.G.; Rudelius, M.; Bücklein, V.; Blumenberg, V.; Schmidt, C.; Karschnia, P.; Schöberl, F.; Dimitriadis, K.; von Baumgarten, L.; et al. Severe Candida glabrata pancolitis and fatal Aspergillus fumigatus pulmonary infection in the setting of BM aplasia after CD19-directed CAR T-cell therapy—A case report. BMC Infect. Dis. 2021, 21, 121. [Google Scholar] [CrossRef]
- Baur, R.; Jitschin, R.; Kharboutli, S.; Stoll, A.; Völkl, S.; Büttner-Herold, M.; Schmidt, D.; Rösler, W.; Mackensen, A.; Mougiakakos, D. Thrombopoietin receptor agonists for acquired thrombocytopenia following anti-CD19 CAR-T-cell therapy: A case report. J. Immunother. Cancer 2021, 9, e002721. [Google Scholar] [CrossRef]
- Qasrawi, A.; Arora, R.; Ramlal, R.; Munker, R.; Hildebrandt, G.C. Allogenic hematopoietic stem cell transplantation for prolonged BM aplasia after chimeric antigen receptor (CAR) T-cell therapy for relapsed diffuse large B-cell lymphoma. Am. J. Hematol. 2020, 95, E89–E91. [Google Scholar] [CrossRef] [PubMed]
- Beyar-Katz, O.; Perry, C.; On, Y.B.; Amit, O.; Gutwein, O.; Wolach, O.; Kedar, R.; Pikovsky, O.; Avivi, I.; Gold, R.; et al. Thrombopoietin receptor agonist for treating BM aplasia following anti-CD19 CAR-T cells-single-center experience. Ann. Hematol. 2022, 101, 1769–1776. [Google Scholar] [CrossRef]
- Moore, C.A.; Krishnan, K. Aplastic Anemia. [Updated 18 July 2022]. In StatPearls; StatPearls Publishing: Treasure Island, FL, USA, 2022. [Google Scholar]
- Hines, M.R.; Knight, T.E.; McNerney, K.O.; Leick, M.B.; Jain, T.; Ahmed, S.; Frigault, M.J.; Hill, J.A.; Jain, M.D.; Johnson, W.T.; et al. Immune Effector Cell-Associated Hemophagocytic Lymphohistiocytosis-Like Syndrome. Transplant. Cell. Ther. 2023, 29, 438.e1–438.e16. [Google Scholar] [CrossRef] [PubMed]
- Lacasce, A.; Howard, O.; Lib, S.; Fisher, D.; Weng, A.; Neuberg, D.; Shipp, M. Modified magrath regimens for adults with Burkitt and Burkitt-like lymphomas: Preserved efficacy with decreased toxicity. Leuk. Lymphoma 2004, 45, 761–767. [Google Scholar] [CrossRef] [PubMed]
- Ferreri, A.J.M.; Cwynarski, K.; Pulczynski, E.; Ponzoni, M.; Deckert, M.; Politi, L.S.; Torri, V.; Fox, C.P.; La Rosée, P.; Schorb, E.; et al. Chemoimmunotherapy with methotrexate, cytarabine, thiotepa, and rituximab (MATRix regimen) in patients with primary CNS lymphoma: Results of the first randomization of the International Extranodal Lymphoma Study Group-32 (IELSG32) phase 2 trial. Lancet Haematol. 2016, 3, e217–e227. [Google Scholar] [CrossRef] [PubMed]
- Locke, F.L.; Miklos, D.B.; Jacobson, C.A.; Perales, M.-A.; Kersten, M.-J.; Oluwole, O.O.; Ghobadi, A.; Rapoport, A.P.; McGuirk, J.; Pagel, J.M.; et al. Axicabtagene Ciloleucel as Second-Line Therapy for Large B-Cell Lymphoma. N. Engl. J. Med. 2022, 386, 640–654. [Google Scholar] [CrossRef] [PubMed]
- Samples, L.S.; Sadrzadeh, H.; Frigault, M.J.; Jacobson, C.A.; Hamadani, M.; Gurumurthi, A.; Strati, P.; Shouval, R.; Riedell, P.A.; Dahiya, S.; et al. Outcomes among adult recipients of CD19 CAR T-cell therapy for Burkitt Lymphoma. Clin. Oncol. 2023, 41, 7571. [Google Scholar] [CrossRef]


| Authors. | Age | Line of Treatment | Type of CAR-T | CRS | Best Response (# of Patients) | Survival (# of Patients) |
|---|---|---|---|---|---|---|
| Avigdor et al. (2018) | 32 | 4 | Anti-CD19 | Grade II | CR | Deceased (1) 2 mo |
| Cheng et al. (2022) | 47 | 4 | Sequential allogeneic anti-CD22 and anti-CD19 | Grade I | PR | Deceased (1) 1 mo |
| Du, Zhang (2020) | 8 | 2 | Sequential anti-CD19, anti-CD22, and anti-CD20 | Grade III | CR | Alive (1) 16+ mo |
| Liu et al. (2019)) | 2.5–12 (23 patients) | Not reported | Anti-CD19, anti-CD22, anti-CD20 | Grade I (6), Grade II (3), Grade III (8) | 1 CAR-T infusion: CR (15), PR/NR (8) 2 CAR-T infusion: CR (8), PR/NR (5) 3 CAR-T infusion: CR (2), PR/NR(1) | Alive (19) 12+–36+ mo Deceased (4) 4–12 mo |
| DeceSeitter et al. (2022) | 33, 45 | 3 | Anti-CD19 | Grade II (2) | CR (2) | Alive (2) 53+ mo and 58+ mo |
| Wang et al. (2021) | 2 | 4 | Anti-CD19 | Grade II | CR | Alive (1) 16+ mo |
| Wu et al. (2022) | 17–70 (28 patients) | 3 (range 2–7) | Sequential anti-CD22 and anti-CD19 | Grade I (16), Grade II (5), Grade III-IV (6) | CR (16), PR (3), NR (9) | Alive (16) 0.1+–58.6+mo Deceased (12) 0.1–5.3 |
| Zhang et al. (2020) | 6–10 (5 patients) | 7 | Anti-CD19 (5), anti-CD22 (2), anti-CD20 (1) | Grade I (3), Grade III (2) | 1 CAR-T infusion: CR (3), PR/NR (2) 2 CAR-T infusion: CR (1), PR/NR(1) 3 CAR-T infusion: CR (1) | Alive (5) 12.4+–35.7+ mo |
| Zhou et al. (2021) | 21–34 (6 patients) | 3.5 (range 1–5) | Sequential anti-CD22 and anti-CD19 | Grade I (5), Grade III (1) | CR (1), PR (2), NR (3) | Deceased (3) 1–10 mo Alive (3) 4+–37+ mo |
| Authors | Lymphoma | CAR-T | CRS (Grade) | ICANS (Grade) | Hematotoxicity | Cytopenia Treatment |
|---|---|---|---|---|---|---|
| Rejeski, Wu (2022) | Richter-transformation DLBCL | Tisagenlecleucel | 3 | NR | Aplastic anemia | G-CSF, eltrombopag |
| Rejeski, Kunz (2021) | DLBCL | Axicabtagene ciloleucel | 1 | 4 | BM aplasia | Stem cell boost of autologous CD34+ cells |
| Baur (2021) | DLBCL | Axicabtagene ciloleucel | 2 | NR | Thrombocytopenia; aplasia | Romiplostim |
| Qasrawi (2020) | DLBCL | Axicabtagene ciloleucel | 2 | 3 | BM aplasia | Filgrastim, eltrombopag, allo-HCT |
| Beyar-Katz (2022) | DLBCL | Tisagenlecleucel, axicabtagene ciloleucel | NR | NR | BM aplasia | Eltrombopag, romiplostim |
| Current report (2023) | Burkitt’s lymphoma | Lisocabtagene maraleucel | 1 | NR | BM aplasia | Filgrastim, allo-HCT |
Disclaimer/Publisher’s Note: The statements, opinions and data contained in all publications are solely those of the individual author(s) and contributor(s) and not of MDPI and/or the editor(s). MDPI and/or the editor(s) disclaim responsibility for any injury to people or property resulting from any ideas, methods, instructions or products referred to in the content. |
© 2023 by the authors. Licensee MDPI, Basel, Switzerland. This article is an open access article distributed under the terms and conditions of the Creative Commons Attribution (CC BY) license (https://creativecommons.org/licenses/by/4.0/).
Share and Cite
Kenkel, T.J.; Sridhar, N.; Hammons, L.R.; Hintzke, M.; Shah, N.N. Bone Marrow Aplasia after CAR-T-Cell Therapy for Relapsed/Refractory Burkitt’s Lymphoma. Med. Sci. 2023, 11, 67. https://doi.org/10.3390/medsci11040067
Kenkel TJ, Sridhar N, Hammons LR, Hintzke M, Shah NN. Bone Marrow Aplasia after CAR-T-Cell Therapy for Relapsed/Refractory Burkitt’s Lymphoma. Medical Sciences. 2023; 11(4):67. https://doi.org/10.3390/medsci11040067
Chicago/Turabian StyleKenkel, Troy J., Nithya Sridhar, Lindsay R. Hammons, Maria Hintzke, and Nirav N. Shah. 2023. "Bone Marrow Aplasia after CAR-T-Cell Therapy for Relapsed/Refractory Burkitt’s Lymphoma" Medical Sciences 11, no. 4: 67. https://doi.org/10.3390/medsci11040067
APA StyleKenkel, T. J., Sridhar, N., Hammons, L. R., Hintzke, M., & Shah, N. N. (2023). Bone Marrow Aplasia after CAR-T-Cell Therapy for Relapsed/Refractory Burkitt’s Lymphoma. Medical Sciences, 11(4), 67. https://doi.org/10.3390/medsci11040067

