Effects of Dietary Mulberry Leaf Powder in Concentrate on the Rumen Fermentation and Ruminal Epithelium in Fattening Hu Sheep
Simple Summary
Abstract
1. Introduction
2. Materials and Methods
2.1. Animal and Diet
2.2. Mulberry Leaf Powder Preparation
2.3. Sample Collection and Chemical Analysis
2.4. Morphometric Analysis
2.5. Statistical Analysis
3. Results
3.1. Dry Matter Intake (DMI) and Average Daily Gain (ADG) of Fattening Hu Sheep Fed with Mulberry Leaf Powder
3.2. Apparent Digestibility of Nutrients of Fattening Hu Sheep Fed with Mulberry Leaf Powder
3.3. Rumen Fermentation Parameters of Fattening Hu Sheep Fed with Mulberry Leaf Powder
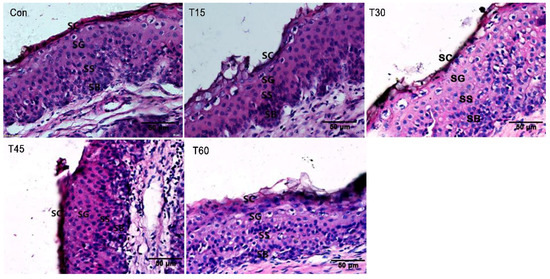
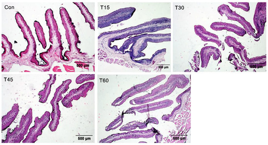
3.4. Morphological Variables of Rumen Epithelial Tissue of Fattening Hu Sheep Fed with Mulberry Leaf Powder
4. Discussion
5. Conclusions
Author Contributions
Funding
Acknowledgments
Conflicts of Interest
References
- Sanchez, M.D. Mulberry: An exceptional forage available almost worldwide. World Anim. Rev. 2000, 93, 1–21. [Google Scholar]
- Wang, W.X.; Yang, H.J.; Bo, Y.K.; Ding, S.; Cao, B.H. Nutrient composition, polyphenolic contents, and in situ protein degradation kinetics of leaves from three mulberry species. Livest. Sci. 2012, 146, 203–206. [Google Scholar] [CrossRef]
- Doran, M.P.; Laca, E.A.; Sainz, R.D. Total tract and rumen digestibility of mulberry foliage (Morus alba), alfalfa hay and oat hay in sheep. Anim. Feed Sci. Technol. 2007, 138, 239–253. [Google Scholar] [CrossRef]
- Overton, T.R.; Cameron, M.R.; Elliott, J.P.; Clark, J.H.; Nelson, D.R. Ruminal fermentation and passage of nutrients to the duodenum of lactating cows fed mixtures of corn and barley. J. Dairy Sci. 1995, 78, 1981–1998. [Google Scholar] [CrossRef]
- Huyen, N.T.; Wanapat, M.; Navanukraw, C. Effect of Mulberry leaf pellet (MUP) supplementation on rumen fermentation and nutrient digestibility in beef cattle fed on rice straw-based diets. Anim. Feed Sci. Technol. 2012, 175, 8–15. [Google Scholar] [CrossRef]
- Anbarasu, C.; Dutta, N.; Sharma, K.; Rawat, M. Response of goats to partial replacement of dietary protein by a leaf meal mixture containing Leucaena leucocephala, Morus alba and Tectona grandis. Small Rumin. Res. 2004, 51, 47–56. [Google Scholar] [CrossRef]
- Stewart, C.S.; Flint, H.J.; Bryant, M.P. The rumen bacteria. In The Rumen Microbial Ecosystem; Hobson, P.N., Stewart, C.S., Eds.; Springer: Dordrecht, The Netherlands, 1997; pp. 10–72. [Google Scholar]
- Tan, N.D.; Wanapat, M.; Uriyapongson, S.; Cherdthong, A.; Pilajun, R. Enhancing Mulberry Leaf Meal with Urea by Pelleting to Improve Rumen Fermentation in Cattle. Asian Austral J. Anim. 2012, 25, 452–461. [Google Scholar] [CrossRef]
- Niu, Y.; Meng, Q.; Li, S.; Ren, L.; Zhou, B.; Schonewille, T.; Zhou, Z. Effects of Diets Supplemented with Ensiled Mulberry Leaves and Sun-Dried Mulberry Fruit Pomace on the Ruminal Bacterial and Archaeal Community Composition of Finishing Steers. PLoS ONE 2016, 11, e0156836. [Google Scholar] [CrossRef]
- Gabel, G.; Butter, H.; Martens, H. Regulatory role of cAMP in transport of Na+, Cl− and short-chain fatty acids across sheep ruminal epithelium. Exp. Physiol. 1999, 84, 333–345. [Google Scholar] [CrossRef] [PubMed]
- Beharka, A.A.; Nagaraja, T.G.; Morrill, J.L.; Kennedy, G.A.; Klemm, R.D. Effects of form of the diet on anatomical, microbial, and fermentative development of the rumen of neonatal calves. J. Dairy Sci. 1998, 81, 1946–1955. [Google Scholar] [CrossRef]
- Jin, Y.M.; Jiang, C.; Zhang, X.Q.; Shi, L.F.; Wang, M.Z. Effect of dietary Urtica cannabina on the growth performance, apparent digestibility, rumen fermentation and gastrointestinal morphology of growing lambs. Anim. Feed Sci. Technol. 2018, 243, 1–9. [Google Scholar] [CrossRef]
- Argov-Argaman, N.; Eshel, O.; Moallem, U.; Lehrer, H.; Uni, Z.; Arieli, A. Effects of dietary carbohydrates on rumen epithelial metabolism of nonlactating heifers. J. Dairy Sci. 2012, 95, 3977–3986. [Google Scholar] [CrossRef]
- Beiranvand, H.; Ghorbani, G.R.; Khorvash, M.; Nabipour, A.; Dehghan-Banadaky, M.; Homayouni, A.; Kargar, S. Interactions of alfalfa hay and sodium propionate on dairy calf performance and rumen development. J. Dairy Sci. 2014, 97, 2270–2280. [Google Scholar] [CrossRef]
- Thaipitakwong, T.; Numhom, S.; Aramwit, P. Mulberry leaves and their potential effects against cardiometabolic risks: A review of chemical compositions, biological properties and clinical efficacy. Pharm. Biol. 2018, 56, 109–118. [Google Scholar] [CrossRef]
- Van Soest, P.J.; Robertson, J.B.; Lewis, B.A. Methods for Dietary Fiber, Neutral Detergent Fiber, and Nonstarch Polysaccharides in Relation to Animal Nutrition. J. Dairy Sci. 1991, 74, 3583–3597. [Google Scholar] [CrossRef]
- Rhine, E.D.; Sims, G.K.; Mulvaney, R.L.; Pratt, E.J. Improving the Berthelot reaction for determining ammonium in soil extracts and water. Soil Sci. Soc. Am. J. 1998, 199, 473–480. [Google Scholar] [CrossRef]
- Wang, M.-Z.; Wang, H.-R.; Cao, H.-C.; Li, G.-X.; Zhang, J. Effects of Limiting Amino Acids on Rumen Fermentation and Microbial Community In vitro. Agric. Sci. China 2008, 7, 1524–1531. [Google Scholar] [CrossRef]
- Wang, H.R.; Chen, Q.; Chen, L.M.; Ge, R.F.; Wang, M.Z.; Yu, L.H.; Zhang, J. Effects of dietary physically effective neutral detergent fiber content on the feeding behavior, digestibility, and growth of 8-to 10-month-old Holstein replacement heifers. J. Dairy Sci. 2017, 100, 1161–1169. [Google Scholar] [CrossRef]
- Wang, Y.H.; Xu, M.; Wang, F.N.; Yu, Z.P.; Yao, J.H.; Zan, L.S.; Yang, F.X. Effect of dietary starch on rumen and small intestine morphology and digesta pH in goats. Livest. Sci. 2009, 122, 48–52. [Google Scholar] [CrossRef]
- Fekete, S.G.; Hullár, I.; Andrásofszky, E.; Kelemen, F. Effect of different fibre types on the digestibility of nutrients in cats. J. Anim. Physiol. Anim. Nutr. 2004, 88, 138–142. [Google Scholar] [CrossRef]
- Yulistiani, D.; Jelan, Z.A.; Liang, J.B.; Yaakub, H.; Abdullah, N. Effects of Supplementation of Mulberry (Morus alba) Foliage and Urea-rice Bran as Fermentable Energy and Protein Sources in Sheep Fed Urea-treated Rice Straw Based Diet. Asian Austral J. Anim. 2015, 28, 494–501. [Google Scholar] [CrossRef] [PubMed]
- Kramer-Schmid, M.; Lund, P.; Weisbjerg, M.R. Importance of NDF digestibility of whole crop maize silage for dry matter intake and milk production in dairy cows. Anim. Feed Sci. Technol. 2016, 219, 68–76. [Google Scholar] [CrossRef]
- Chen, D.; Chen, X.; Tu, Y.; Wang, B.; Lou, C.; Ma, T.; Diao, Q. Effects of mulberry leaf flavonoid and resveratrol on methane emission and nutrient digestion in sheep. Anim. Nutr. 2015, 1, 362–367. [Google Scholar] [CrossRef] [PubMed]
- Nagaraja, T.G.; Titgemeyer, E.C. Ruminal Acidosis in Beef Cattle: The Current Microbiological and Nutritional Outlook1, 2. J. Dairy Sci. 2007, 90, E17–E38. [Google Scholar] [CrossRef] [PubMed]
- Kröger, I.; Humer, E.; Neubauer, V.; Reisinger, N.; Zebeli, Q. Feeding Diets Moderate in Physically Effective Fibre Alters Eating and Feed Sorting Patterns without Improving Ruminal pH, but Impaired Liver Health in Dairy Cows. Animals 2019, 9, 128. [Google Scholar] [CrossRef] [PubMed]
- Seradj, A.R.; Abecia, L.; Crespo, J.; Villalba, D.; Fondevila, M.; Balcells, J. The effect of Bioflavex® and its pure flavonoid components on in vitro fermentation parameters and methane production in rumen fluid from steers given high concentrate diets. Anim. Feed Sci. Technol. 2014, 197, 85–91. [Google Scholar] [CrossRef]
- Olagaray, K.E.; Bradford, B.J. Plant flavonoids to improve productivity of ruminants—A review. Anim. Feed Sci. Technol. 2019, 251, 21–36. [Google Scholar] [CrossRef]
- Salter, D.N.; Daneshvar, K.; Smith, R.H. The origin of nitrogen incorporated into compounds in the rumen bacteria of steers given protein- and urea-containing diets. Br. J. Nutr. 1979, 41, 197–209. [Google Scholar] [CrossRef] [PubMed]
- Kandylis, K.; Hadjigeorgiou, I.; Harizanis, P. The nutritive value of mulberry leaves (Morus alba) as a feed supplement for sheep. Trop. Anim. Health Prod. 2009, 41, 17–24. [Google Scholar] [CrossRef]
- Ørskov, E.R. Manipulation of Rumen Fermentation for Maximum Food Utilization. In World Review of Nutrition and Dietetics; Karger Publishers: Basel, Switzerland, 1975; Volume 22, pp. 152–182. [Google Scholar]
- Baldwin, R.L.; Connor, E.E. Rumen Function and Development. Vet. Clin. N. Am. Food Anim. 2017, 33, 427–439. [Google Scholar] [CrossRef]
- Gálfi, P.; Neogrády, S.; Sakata, T. 3—Effects of Volatile Fatty Acids on the Epithelial Cell Proliferation of the Digestive Tract and Its Hormonal Mediation. In Physiological Aspects of Digestion and Metabolism in Ruminants; Tsuda, T., Sasaki, Y., Kawashima, R., Eds.; Academic Press: San Diego, CA, USA, 1991; pp. 49–59. [Google Scholar] [CrossRef]
- Steele, M.A.; Penner, G.B.; Chaucheyras-Durand, F.; Guan, L.L. Development and physiology of the rumen and the lower gut: Targets for improving gut health. J. Dairy Sci. 2016, 99, 4955–4966. [Google Scholar] [CrossRef]
- Ragionieri, L.; Cacchioli, A.; Ravanetti, F.; Botti, M.; Ivanovska, A.; Panu, R.; Righi, F.; Quarantelli, A.; Gazza, F. Effect of the supplementation with a blend containing short and medium chain fatty acid monoglycerides in milk replacer on rumen papillae development in weaning calves. Ann. Anat. 2016, 207, 97–108. [Google Scholar] [CrossRef]
- Baldwin, R.L.; Jesse, B.W. Technical note: Isolation and characterization of sheep ruminal epithelial cells. J. Anim. Sci. 1991, 69, 3603–3609. [Google Scholar] [CrossRef]



| Items | Control | T15 | T30 | T45 | T60 |
|---|---|---|---|---|---|
| Concentrate ingredient | |||||
| Mulberry leaf powder | 15.0 | 30.0 | 45.0 | 60.0 | |
| Corn | 30.0 | 30.5 | 33.5 | 21.0 | 7.3 |
| Soybean meal | 27.0 | 25.5 | 28.0 | 24.0 | 15.5 |
| Wheat bran | 16.3 | 9.8 | 2.5 | ||
| Brown rice | 14.2 | 9.0 | |||
| Saccharomyces cerevisiae1 | 6.7 | 3.5 | 1.5 | 5.0 | |
| Corn protein meal | 2.0 | 3.0 | 1.5 | ||
| CaH2PO4 | 1.2 | 1.2 | 1.2 | 1.0 | 1.5 |
| Fatty powder | 1.0 | 5.3 | 8.7 | ||
| Limestone | 1.6 | 1.5 | 1.3 | 1.2 | 1.0 |
| Salt | 0.5 | 0.5 | 0.5 | 0.5 | 0.5 |
| Premix 2 | 0.5 | 0.5 | 0.5 | 0.5 | 0.5 |
| Total | 100.0 | 100.0 | 100.0 | 100.0 | 100.0 |
| Nutrition content (g/kg) | |||||
| Apparent DE (MJ/kg) 3 | 14.3 | 13.8 | 13.9 | 13.9 | 13.5 |
| Crude protein | 251.1 | 249.8 | 249.8 | 251.3 | 250.4 |
| Neutral detergent fiber | 159.7 | 159.9 | 155.7 | 155.1 | 164.5 |
| Calcium | 9.6 | 9.9 | 10.0 | 9.9 | 10.6 |
| Phosphorus | 6.8 | 6.4 | 6.1 | 5.6 | 6.8 |
| Item | Treatments | SEM | p-Value | |||||
|---|---|---|---|---|---|---|---|---|
| Control | T15 | T30 | T45 | T60 | Linear | Quadratic | ||
| Initial BW (kg) | 17.13 | 16.97 | 16.98 | 16.91 | 17.04 | 0.426 | 0.72 | 0.98 |
| Final BW (kg) | 23.88 a | 23.69 a | 23.37 a | 22.51 b | 21.91 c | 0.528 | 0.02 | 0.09 |
| ADG (kg/d) | 0.12 a | 0.12 a | 0.11 a | 0.10 b | 0.09 c | 0.005 | 0.02 | 0.20 |
| DMI (kg/d) | 0.87 a | 0.86 a | 0.86 a | 0.80 b | 0.82 b | 0.014 | 0.07 | 0.91 |
| FCR | 7.23 c | 7.15 c | 7.54 c | 8.01 b | 9.39 a | 0.137 | 0.03 | 0.05 |
| Item | Treatments | SEM | p-Value | |||||
|---|---|---|---|---|---|---|---|---|
| Control | T15 | T30 | T45 | T60 | Linear | Quadratic | ||
| DM | 61.46 | 63.17 | 66.89 | 67.12 | 64.00 | 1.833 | 0.10 | 0.17 |
| OM | 50.52 b | 50.06 b | 60.86 a | 63.23 a | 65.54 a | 3.120 | 0.03 | <0.01 |
| CP | 72.01 | 72.63 | 75.03 | 76.21 | 73.93 | 1.872 | 0.18 | 0.38 |
| ADF | 47.35 | 48.38 | 48.89 | 52.00 | 53.79 | 3.781 | 0.95 | 0.13 |
| NDF | 50.87 b | 54.22 ab | 59.13 a | 61.21 a | 66.73 a | 2.549 | 0.02 | 0.04 |
| EE | 76.06 | 73.16 | 82.46 | 77.68 | 85.91 | 4.414 | 0.74 | 0.16 |
| Item | Treatments | SEM | p-Value | |||||
|---|---|---|---|---|---|---|---|---|
| Control | T15 | T30 | T45 | T60 | Linear | Quadratic | ||
| pH | 6.71 | 6.70 | 6.80 | 6.78 | 6.88 | 0.067 | 0.54 | 0.31 |
| NH3-N (mg/dL) | 18.28 a | 18.99 a | 16.85 a | 12.24 b | 10.65 b | 1.023 | 0.08 | 0.16 |
| Microbial protein (MCP) (mg/mL) | 0.62 | 0.66 | 0.70 | 0.72 | 0.79 | 0.060 | 0.04 | 0.25 |
| TVFA 1 (mM) | 86.72 ab | 93.10 a | 91.74 a | 84.29 ab | 79.08 b | 3.263 | 0.44 | 0.77 |
| Acetate (mol/100 mol) | 69.84 b | 69.98 b | 70.91 ab | 72.56 a | 71.90 a | 0.611 | 0.08 | 0.30 |
| Propionate (mol/100 mol) | 17.35 a | 17.28 a | 16.13 ab | 16.20 ab | 15.98 b | 0.350 | <0.01 | 0.77 |
| Butyrate (mol/100 mol) | 9.86 ab | 10.07 a | 9.98 ab | 8.68 b | 9.15 b | 0.436 | 0.93 | 0.10 |
| Acetate:Propionate | 4.02 b | 4.05 b | 4.41 ab | 4.51 a | 4.49 a | 0.109 | <0.01 | 0.53 |
© 2019 by the authors. Licensee MDPI, Basel, Switzerland. This article is an open access article distributed under the terms and conditions of the Creative Commons Attribution (CC BY) license (http://creativecommons.org/licenses/by/4.0/).
Share and Cite
Ouyang, J.; Wang, M.; Hou, Q.; Feng, D.; Pi, Y.; Zhao, W. Effects of Dietary Mulberry Leaf Powder in Concentrate on the Rumen Fermentation and Ruminal Epithelium in Fattening Hu Sheep. Animals 2019, 9, 218. https://doi.org/10.3390/ani9050218
Ouyang J, Wang M, Hou Q, Feng D, Pi Y, Zhao W. Effects of Dietary Mulberry Leaf Powder in Concentrate on the Rumen Fermentation and Ruminal Epithelium in Fattening Hu Sheep. Animals. 2019; 9(5):218. https://doi.org/10.3390/ani9050218
Chicago/Turabian StyleOuyang, Jialiang, Mengzhi Wang, Qirui Hou, Dan Feng, Yu Pi, and Weiguo Zhao. 2019. "Effects of Dietary Mulberry Leaf Powder in Concentrate on the Rumen Fermentation and Ruminal Epithelium in Fattening Hu Sheep" Animals 9, no. 5: 218. https://doi.org/10.3390/ani9050218
APA StyleOuyang, J., Wang, M., Hou, Q., Feng, D., Pi, Y., & Zhao, W. (2019). Effects of Dietary Mulberry Leaf Powder in Concentrate on the Rumen Fermentation and Ruminal Epithelium in Fattening Hu Sheep. Animals, 9(5), 218. https://doi.org/10.3390/ani9050218

