Comparative Evaluation of HVT-IBD Vector, Immune Complex, and Live IBD Vaccines against vvIBDV in Commercial Broiler Chickens with High Maternally Derived Antibodies
Simple Summary
Abstract
1. Introduction
2. Material and Methods
2.1. IBDV Vaccines
2.2. IBD Virus
2.3. Chickens and Vaccination Programs
2.4. Clinical Signs, Mortality, and Postmortem Lesions
2.5. Bursa to Body Weight Index, Spleen Index, and Histopathology
2.6. Serology
2.7. Feed Conversion Ratio (FCR)
2.8. Statistical Analysis
3. Results
3.1. Clinical Protection (Clinical Signs And Mortality)
3.2. Feed Conversion Ratio (FCR) for 7 Days Following vviBDV Challenge
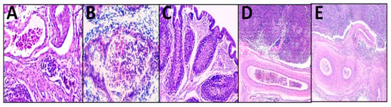
3.3. Pathology and Histopathology
3.4. Humoral Immune Response:
4. Discussion
5. Conclusions
Author Contributions
Funding
Acknowledgments
Conflicts of Interest
References
- Eterradossi, N.; Saif, Y.M. Infectious bursal disease. In Disease of Poultry, 13th ed.; Swayne, D.E., Glissen, J.R., McDougald, L.R., Nolan, L.K., Suarez, D.L., Nair, V., Eds.; Wiley-Blackwell Publication: Ames, IA, USA, 2013; pp. 219–246. [Google Scholar]
- Muller, H.; Schltissek, C.; Becht, H. Genome of infectious bursal disease virus consisting of two segments of double-stranded RNA. J. Virol. 1979, 31, 584–589. [Google Scholar] [PubMed]
- El-Sergany, M.A.; Moursi, A.; Saber, M.S.; Mohammed, M.A. Preliminary investigation on the occurrence of Gumboro disease in Egypt. J. Vet. Sci. 1974, 11, 7–12. [Google Scholar]
- Phong, S.F.; Hair-Bejo, M.; Omar, A.R.; Aini, I. Sequence analysis of Malaysian infectious bursal disease virus isolate and the use of reverse transcriptase nested polymerase chain reaction enzyme-linked immunosorbent assay for the detection of VP2 hypervariable region. Avian Dis. 2003, 47, 154–162. [Google Scholar] [CrossRef]
- Van den Berg, T.P.; Morales, D.; Eterradossi, N.; Rivallan, G.; Toquin, D.; Raue, R.; Zierenberg, K.; Zhang, M.F.; Zhu, Y.P.; Wang, C.Q.; et al. Assessment of genetic, antigenic and pathotypic criteria for the characterization of IBDV strains. Avian Pathol. 2004, 33, 470–476. [Google Scholar] [CrossRef] [PubMed]
- Sharma, J.M.; Kim, I.J.; Rautenschlein, S.; Yeh, H.Y. Infectious bursal disease virus of chickens: Pathogenesis and immunosuppression. Dev. Comp. Immunol. 2000, 24, 223–235. [Google Scholar] [CrossRef]
- Al-Natour, M.Q.; Ward, L.A.; Saif, Y.M.; Stewart-Brown, B.; Keck, L.D. Effect of diffferent levels of maternally derived antibodies on protection against infectious bursal disease virus. Avian Dis. 2004, 48, 177–182. [Google Scholar] [CrossRef] [PubMed]
- Jackwood, D.J.; Sommer-Wagner, S.E. Amino acids contributing to antigenic drift in the infectious bursal disease Birnavirus (IBDV). Virology 2011, 409, 33–37. [Google Scholar] [CrossRef] [PubMed]
- Rosenberger, J.K.; Cloud, S.S.; Gelb, J.; Odor, E.; Dohms, S.E. Sentinel birds survey of Delmarva broiler flocks. In Proceedings of the 20th National Meeting on Poultry Health and Condemnation, Ocean City, MD, USA, 1985; pp. 94–101. [Google Scholar]
- Chettle, N.; Stuart, J.C.; Wyeth, P.J. Outbreak of virulent infectious bursal disease in East Anglia. Vet. Rec. 1989, 125, 271–272. [Google Scholar] [CrossRef]
- Sara, A.M.; Arafa, A.; Hussein, A. Molecular genotyping of the infectious bursal disease virus (IBDV) isolated from broiler flocks in Egypt. Int. J. Vet. Sci. Med. 2014, 2, 46–52. [Google Scholar]
- Alkhalefa, N.; El-abasy, M.; Kasem, S.; Abu el-naga, E. Molecular characterization of Infectious Bursal Disease virus (IBDV) isolated from commercial broiler chickens in Nile Delta, Egypt. Bulg. J. Vet. Med. 2018, 1–10. [Google Scholar] [CrossRef]
- Hassan, M.K. Very Virulent Infectious Bursal Disease Virus in Egypt: Epidemiology, Isolation and Immunogenicity of Classic Vaccine. Vet. Res. Commun. 2004, 28, 347–356. [Google Scholar] [CrossRef] [PubMed]
- Mohamed, M.A.; Elzanaty, K.E.; Bakhit, B.M.; Safwat, M.M. Genetic Characterization of Infectious Bursal Disease Viruses Associated with Gumboro Outbreaks in Commercial Broilers from Asyut Province, Egypt. ISRN Vet. Sci. 2014, 2014, 916412. [Google Scholar] [CrossRef] [PubMed]
- Sedeik, M.E.; Awad, A.M.; Rashed, H.; Elfeil, K.W. Variation in pathogenicity and molecular characterization of infectious bursal disease virus (IBDV) in Egypt. Am. J. Anim. Vet. Sci. 2018, 13, 76–86. [Google Scholar] [CrossRef]
- Müller, H.; Mundt, E.; Eterradossi, N.; Islam, M.R. Current status of vaccines against infectious bursal disease. Avian Pathol. 2012, 41, 133–139. [Google Scholar] [CrossRef] [PubMed]
- Eterradossi, N.; Saif, Y.M. Infectious bursal disease. In Diseases of Poultry, 12th ed.; Saif, Y.M., Fadly, A.M., Glisson, J.R., McDougald, L.R., Nolan, L.K., Swayne, D.E., Eds.; Blackwell Publishing: Ames, IA, USA, 2008; pp. 185–208. [Google Scholar]
- Liew, P.; Nurulfiza, M.; Omar, A.; Aini, I.; Hair-Bejo, M. Vaccines and vaccination against infectious bursal disease of chickens: Prospects and challenges. Pertanika J. Schol. Res. Rev. 2016, 2, 23–39. [Google Scholar]
- Muller, H.; Islam, M.R.; Raue, R. Research on infectious bursal disease—The past, the present and the future. Vet. Microbiol. 2003, 97, 153–165. [Google Scholar] [CrossRef] [PubMed]
- Bublot, M.; Pritchard, N.; Le Gros, F.X.; Goutebroze, S. Use of a vectored vaccine against infectious bursal disease of chickens in the face of high-titred maternally derived antibody. J. Comp. Pathol. 2007, 137 (Suppl. 1), S81–S84. [Google Scholar] [CrossRef]
- Prandini, F.; Simon, B.; Jung, A.; Poppel, M.; Lemiere, S.; Rautenschlein, S. Comparison of infectious bursal disease live vaccines and a HVT-IBD vector vaccine and their effects on the immune system of commercial layer pullets. Avian Pathol. 2016, 45, 114–125. [Google Scholar] [CrossRef] [PubMed]
- El-shall, N.A.; Sedeek, E.M.; El-badawy, M.M.; Hussein, G.E.; Awad, M.A. Phylogenetic Characterization of Infectious Bursal Disease (IBD) Viruses Isolated From Field Outbreaks in Chickens From Behera And Alexandria Governorates, Egypt. AJVS 2018, 56, 153–161. [Google Scholar] [CrossRef]
- Reed, L.J.; Muench, H. A simple method of estimating fifty percent endpoints. Am. J. Hyg. 1938, 27, 493. [Google Scholar]
- Villegas, P. Laboratory Manual-Avian Virus Disease; The University, College of Vet. Med.: Athens, GA, USA, 1990. [Google Scholar]
- Hair-Bejo, M.; Ng, M.K.; Ng, H.Y. Day Old Vaccination Against Infectious Bursal Disease in Broiler Chickens. Int. J. Poult. Sci. 2004, 3, 124–128. [Google Scholar]
- Moraes, H.L.S.; Salle, C.T.P.; Padilha, A.P.; Nascimento, V.P.; Souza, G.F.; Pereira, R.A.; Artencio, J.O.; Salle, F.O. Infectious Bursal Disease: Evaluation of Pathogenicity of Commercial Vaccines from Brazil in Specific Pathogen Free Chichens. Braz. J. Poult. Sci. 2004, 6, 243–247. [Google Scholar] [CrossRef]
- El-mahdy, S.S.; Farouk, H.; Abd El-Wanis, N.A.; Hamoud, M.M. Comparative studies between different commercial types of live Infectious bursal disease [IBD] vaccine strains in Egypt. Am. J. Res. Commun. 2013, 1, 113–129. [Google Scholar]
- Sharma, J.M.; Dohms, J.E.; Metz, A.L. Comparative pathogenesis of serotype 1 and variant serotype 1 isolates of infectious bursal disease virus and the effect of those viruses on humoral and cellular immune competence of specific pathogen free on chickens. Avian Dis. 1989, 33, 112–124. [Google Scholar] [CrossRef] [PubMed]
- Lucio, B.; Hitchner, S.B. Infectious bursal disease emulsified vaccine: Effect upon neutralizing antibody levels in the dam and subsequent protection of the progeny. Avian Dis. 1979, 23, 466–478. [Google Scholar] [CrossRef]
- Hedayati, A.; Nili, H.; Bahonar, A. Comparisons of pathogenisity and serologic responce of four commercial infectious bursal disease live vaccines. Arch. Razi. Ins. 2005, 59, 65–73. [Google Scholar]
- Conway, D.P.; McKenzie, M.E. Poultry Coccidiosis: Diagnostic and Testing Procedures, 3rd ed.; Blackwell Publishing Professional: Ames, IA, USA, 2007; p. 57. [Google Scholar]
- SAS. Statistical User’s GuidE; SAS Int.: Cary, NC, USA, 2004. [Google Scholar]
- Rautenschlein, S.; Kraemer, C.; Montiel, E.; Vanmarcke, J.; Haase, C. Bilateral effects of vaccination against infectious bursal disease and Newcastle disease in specific-pathogen-free layers and commercial broiler chickens. Avian Dis. 2007, 51, 14–20. [Google Scholar] [CrossRef]
- Rautenschlein, S.; Yeh, H.Y.; Sharma, J.M. Comparative immunopathogenesis of mild, intermediate, and virulent strains of classic infectious bursal disease virus. Avian Dis. 2003, 47, 66–78. [Google Scholar] [CrossRef]
- Block, H.; Meyer-Block, K.; Rebeski, D.E.; Scharr, H.; de Wit, S.; Rohn, K.; Rautenschlein, S. A field study on the significance of vaccination against infectious bursal disease virus (IBDV) at the optimal time point in broiler flocks with maternally derived IBDV antibodies. Avian Pathol. 2007, 36, 401–409. [Google Scholar] [CrossRef] [PubMed]
- Rautenschlein, S.; Kraemer, C.; Vanmarcke, J.; Montiel, E. Protective efficacy of intermediate and intermediate plus infectious bursal disease virus (IBDV) vaccines against very virulent IBDV in commercial broilers. Avian Dis. 2005, 49, 231–237. [Google Scholar] [CrossRef] [PubMed]
- Kumar, K.; Singh, K.C.; Prasad, C.B. Immune responses to intermediate strain IBD vaccine at different levels of maternal antibody in broiler chickens. Trop. Anim. Health Prod. 2000, 32, 357–360. [Google Scholar] [CrossRef] [PubMed]
- Perozo, F.; Talavera, B.; Delgado, C.; Fernandez, R.; Gil, M. Field lymphoid organ morphometric assessment of vector THV-IBDv (Vaxxitek) vaccinated broilers in Bolivia. In Proceedings of the 60th Western Poultry Diseases Conference, Sacramento, CA, USA, 20–23 March 2011; pp. 132–133. [Google Scholar]
- Haddad, E.E.; Whitfill, C.E.; Avakian, A.P.; Ricks, C.A.; Andrews, P.D.; Thoma, J.A.; Wakenell, P.S. Efficacy of a novel infectious bursal disease virus immune complex vaccine in broiler chickens. Avian Dis. 1997, 41, 882–889. [Google Scholar] [CrossRef] [PubMed]
- Phatak, R.K. Vaccinaton failures and their solutons’. Ital. J. Anim. Sci. 2002, 2, 157–162. [Google Scholar]
- Paul, B.K.; Huque, A.K.M.F.; Kabir, S.M.L.; Alam, J.; Badhy, S.C. Evaluation of vaccination programms against Gumboro disease with persistence of maternally derived antibodies in broiler chickens. Bangl. J. Vet. Med. 2005, 3, 13–16. [Google Scholar] [CrossRef]
- Le Gros, F.X.; Dancer, A.; Giacomini, C.; Pizzoni, L.; Bublot, M.; Graziani, M.; Prandinic, F. Field efficacy trial of a novel HVT-IBD vector vaccine for 1-day-old broilers. Vaccine 2009, 27, 592–596. [Google Scholar] [CrossRef] [PubMed]
- Rojs, O.Z.; Krapezi, U.; Slavec, B.; Jursic-Cizerl, R. Field efficacy of different vaccines against infectious bursal disease in broiler flocks. Acta Vet. Hung. 2011, 59, 385–398. [Google Scholar] [CrossRef] [PubMed]
- Chansiripornchai, N.; Sasipreeyajan, J. Comparison of the Efficacy of the Immune Complex and Conventionally Live Vaccine in Broilers against Infectious Bursal Disease Infection. Thai J. Vet. Med. 2009, 39, 115–120. [Google Scholar]
- Kenezevic, N.; Sekler, M.; Veljovic, L.; Kozlina, B.; Rodic, J. First experiences of Poulvac R Bursine-2 vaccine against Gumboro disease. In Proceedings of the Eight Yugoslav Symposium in Poultry Production Proceedinds II, Sokobanja, Yugoslavia, 5–9 October 1999; Volume 34, pp. 8–9. [Google Scholar]
- Berg, T.P. Acute infectious bursal disease in poultry: A review. Avian Pathol. 2000, 29, 175–194. [Google Scholar] [CrossRef] [PubMed]
- Chang, H.C.; Lin, T.L.; Wu, C.C. DNA vaccination with plasmids containing various fragments of large segment genome of infectious bursal disease virus. Vaccine 2003, 21, 507–513. [Google Scholar] [CrossRef]
- Chang, H.C.; Lin, T.L.; Wu, C.C. DNA-mediated vaccination against infectious bursal disease in chickens. Vaccine 2002, 20, 328–335. [Google Scholar] [CrossRef]
- Lemiere, S.; Gauthier, J.C.; Kodjo, A.; Vinit, L.; Delvecchio, A.; Prandini, A. Evaluation of the Protection against Infectious Bursal Disease (IBD) Challenge in Progeny Born to Parents Having Received a Vaccination Program Using a Herpesvirus of Turkey-Infectious Bursal Disease (HVT-IBD) Vector Vaccine. World J. Vaccines 2013, 3, 46–51. [Google Scholar] [CrossRef]
- Bose, R.K.; Hossain, K.M.; Sil, B.K.; Taimur, M.; Pugliese, C.; Franci, O. Comparative sero evaluation of live and killed Gumboro vaccine in broilers. Ital. J. Anim. Sci. 2003, 2, 157–162. [Google Scholar] [CrossRef]
- Wyeth, P.J.; Chettle, N. Use of infectious bursal disease vaccines in chicks with maternally derived antibodies. Vet. Rec. 1990, 126, 577–578. [Google Scholar] [PubMed]
- Sultana, R.; Hussain, S.A.; Shabnum, I.C.; Maqbool, A.; Anjum, R.; Zaidi, F.H. Epidemiology of Infectious Bursal Disease In Broiler And Layer Flocks In And Around Lahore. Pak. Punjab Univ. J. Zool. 2008, 23, 67–72. [Google Scholar]
- Zahid, B.; Aslam, A.; Qazi, J.I.; Ahmad, N.; Ara, C.; Akhtar, R.; Bacha, U. Pathogenicity and immunosuppressive effect of different vaccines of Infectious Bursal Disease Virus. J. Anim. Plant Sci. 2017, 27, 1183–1189. [Google Scholar]
- Sultan, H.; Hussein, H.A.; El-Razik, A.G.A.; El-Balall, S.; Talaat, S.M.; Shehata, A.A. Efficacy of HVT-IBDV vector vaccine against recent Egyptian vvIBDV in commercial broiler chickens. Int. J. Poult. Sci. 2012, 11, 710–717. [Google Scholar]
- Rashid, M.H.; Luo, H.; Akhter, J.; Islam, M.T.; Islam, M.R.; Rahman, M.M. Protection effect of Vaxxitek HVT+IBD vaccine against infectious bursal disease in broiler chickens. Prog. Agric. 2013, 24, 69–78. [Google Scholar] [CrossRef]
- Inoue, M.; Yamamato, H.; Matuo, K.; Kihara, H. Susceptibility of monocytic cell lines to infectious bursal disease virus. J. Vet. Med. Sci. 1992, 54, 575–577. [Google Scholar] [CrossRef] [PubMed]
- Suliman, R.A.; Ahmed, B.M.; El-safty, M.M.; Hussien, H.A. Very virulent IBDV strain Egypt/iBDV/Behera/2011: Macroscopic and microscopic lesions accompanied with induced mortalities in SPF chicks. J. Virol. Sci. 2017, 2, 79–91. [Google Scholar]
- De Wit, J.J. Gumboro disease: Estimation of optimal time of vaccination by the Deventer formula. Pol. Vet. J. 1998, 3, 19–22. [Google Scholar]



| Group | Mortality % | FCR ± SD |
|---|---|---|
| A | 0 | 1.65 ± 0.15 b |
| B | 0 | 1.58 ± 0.11 b |
| C | 10 | 1.80 ± 0.10 ab |
| D | 10 | 2.25 ± 0.46 a |
| E | 0 | 2.20 ± 0.56 a |
| PC | 20 | 2.41 ± 0.42 a |
| NC | 0 | 1.54 ± 0.11 b |
| Groups | Bursal Index ± SD | Average Bursal Lesion Score ± SD | Spleen Index ± SD | |||
|---|---|---|---|---|---|---|
| No ch | 7 dpch | No ch | 7 dpch | No ch | 7 dpch | |
| A | 0.83 ± 0.06 ab | 0.57 ± 0.05 | 0.00 ± 0.00 c | 0.83 ± 0.17 c | 0.76 ± 0.15 ab | 0.98 ± 0.02 ab |
| B | 0.50 ± 0.08 c | 0.35 ± 0.06 | 1.33 ± 0.17 b | 2.00 ± 0.29 b | 1.07 ± 0.14 a | 0.73 ± 0.20 b |
| C | 0.35 ± 0.06 c | 0.33 ± 0.04 | 1.00 ± 0.00 b | 2.17 ± 0.33 b | 0.58 ± 0.11 b | 0.78 ± 0.10 b |
| D | 0.46 ± 0.04 c | 0.34 ± 0.03 | 0.33 ± 0.33 c | 2.00 ± 0.00 b | 0.75 ± 0.06 ab | 0.56 ± 0.01 b |
| E | 0.60 ± 0.02 bc | 0.38 ± 0.09 | 1.83 ± 0.17 a (4/6) * | 2.00 ± 0.00 b | 0.73 ± 0.13 ab | 0.80 ± 0.15 b |
| No vaccine | 1.02 ± 0.23 a | 0.39 ± 0.02 | 0.00 ± 0.00 c | 3.17 ± 0.17 a | 1.01 ± 0.12 ab | 1.31 ± 0.32 a |
© 2019 by the authors. Licensee MDPI, Basel, Switzerland. This article is an open access article distributed under the terms and conditions of the Creative Commons Attribution (CC BY) license (http://creativecommons.org/licenses/by/4.0/).
Share and Cite
Sedeik, M.E.; El-shall, N.A.; Awad, A.M.; Abd El-Hack, M.E.; Alowaimer, A.N.; Swelum, A.A. Comparative Evaluation of HVT-IBD Vector, Immune Complex, and Live IBD Vaccines against vvIBDV in Commercial Broiler Chickens with High Maternally Derived Antibodies. Animals 2019, 9, 72. https://doi.org/10.3390/ani9030072
Sedeik ME, El-shall NA, Awad AM, Abd El-Hack ME, Alowaimer AN, Swelum AA. Comparative Evaluation of HVT-IBD Vector, Immune Complex, and Live IBD Vaccines against vvIBDV in Commercial Broiler Chickens with High Maternally Derived Antibodies. Animals. 2019; 9(3):72. https://doi.org/10.3390/ani9030072
Chicago/Turabian StyleSedeik, Mahmoud E., Nahed A. El-shall, Ashraf M. Awad, Mohamed E. Abd El-Hack, Abdullah N. Alowaimer, and Ayman A. Swelum. 2019. "Comparative Evaluation of HVT-IBD Vector, Immune Complex, and Live IBD Vaccines against vvIBDV in Commercial Broiler Chickens with High Maternally Derived Antibodies" Animals 9, no. 3: 72. https://doi.org/10.3390/ani9030072
APA StyleSedeik, M. E., El-shall, N. A., Awad, A. M., Abd El-Hack, M. E., Alowaimer, A. N., & Swelum, A. A. (2019). Comparative Evaluation of HVT-IBD Vector, Immune Complex, and Live IBD Vaccines against vvIBDV in Commercial Broiler Chickens with High Maternally Derived Antibodies. Animals, 9(3), 72. https://doi.org/10.3390/ani9030072

