Optimization of In Vitro Culture Conditions of Sturgeon Germ Cells for Purpose of Surrogate Production
Simple Summary
Abstract
1. Introduction
2. Materials and Methods
2.1. Animal Ethics Statement
2.2. Fish Selection and Sampling
2.3. Dissociation and Culture of Gonad Cells
2.4. Optimization of Basal Culture Conditions
2.5. Elimination of Gonad Somatic Cells and Effect of Feeder Layer on Germ Cell Mitotic Activity
2.6. Effects of Growth Factor on Germ Cell Proliferation
2.7. Replacement of FBS
2.8. Analysis of Germ Cell Mitotic Activity
2.9. Expression Analysis
2.10. Cultured Germ Cell Transplantation
2.11. Statistical Analysis
3. Results
3.1. Optimal Basal Culture Conditions
3.2. Effect of Feeder Layer on Germ Cell Mitotic Activity
3.3. Effect of Growth Factors on Germ Cell Mitotic Activity
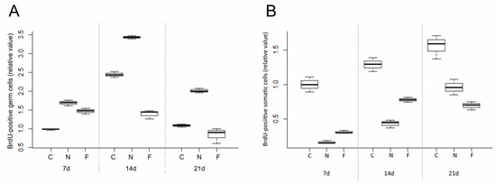
3.4. Replacement of FBS
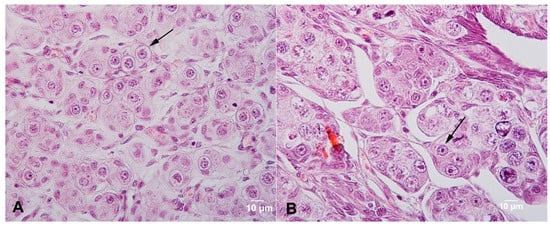
3.5. Expression and Transplant Effectiveness of Cultured Germ Cells
4. Discussion
5. Conclusions
Author Contributions
Funding
Acknowledgments
Conflicts of Interest
References
- Lacerda, S.M.S.N.; Costa, G.M.J.; Campos, P.H.A.; Segatelli, T.M.; Yazawa, R.; Takeuchi, Y.; Morita, T.; Yoshizaki, G.; Franca, L.R. Germ cell transplantation as a potential biotechnological approach to fish reproduction. Fish Physiol. Biochem. 2013, 39, 3–11. [Google Scholar] [CrossRef]
- Okutsu, T.; Suzuki, K.; Takeuchi, Y.; Takeuchi, T.; Yoshizaki, G. Testicular germ cells can colonize sexually undifferentiated embryonic gonad and produce functional eggs in fish. Proc. Natl. Acad. Sci. USA 2006, 103, 2725–2729. [Google Scholar] [CrossRef] [PubMed]
- Okutsu, T.; Shikina, S.; Kanno, M.; Takeuchi, Y.; Yoshizaki, G. Production of trout offspring from triploid salmon parents. Science 2007, 317, 1517. [Google Scholar] [CrossRef] [PubMed]
- Hong, Y.; Liu, T.; Zhao, H.; Xu, H.; Wang, W.; Liu, R.; Chen, T.; Deng, J.; Gui, J. Establishment of a normal medakafish spermatogonial cell line capable of sperm production in vitro. Proc. Natl. Acad. Sci. USA 2004, 101, 8011–8016. [Google Scholar] [CrossRef] [PubMed]
- Sakai, N. In vitro male germ cell cultures of zebrafish. Methods 2006, 39, 239–245. [Google Scholar] [CrossRef] [PubMed]
- Lacerda, S.M.; Batlouni, S.R.; Costa, G.M.; Segatelli, T.M.; Quirino, B.R.; Queiroz, B.M.; Kalapothakis, E.; França, L.R. A new and fast technique to generate offspring after germ cells transplantation in adult fish: The Nile tilapia (Oreochromis niloticus) model. PLoS ONE 2010, 5, e10740. [Google Scholar] [CrossRef] [PubMed]
- Shikina, S.; Yoshizaki, G. Improved in vitro culture conditions to enhance the survival, mitotic activity, and transplantability of rainbow trout type A spermatogonia. Biol. Reprod. 2010, 83, 268–276. [Google Scholar] [CrossRef] [PubMed]
- Bemis, W.E. Osteology and Phylogenetic Relationships of Fossil and Recent Paddlefishes (Polyodontidae) with Comments on the Interrelationships of Acipenseriformes. J. Vertebr. Paleontol. 1991, 11, 1–121. [Google Scholar]
- Birstein, V.J.; Bemis, W.E.; Waldman, J.R. The threatened status of acipenseriform species: A summary. In Sturgeon Biodiversity and Conservation; Springer: Dordrecht, The Netherlands, 1997; pp. 427–435. [Google Scholar]
- Wei, Q.; Ke, F.e.; Zhang, J.; Zhuang, P.; Luo, J.; Zhou, R.; Yang, W. Biology, fisheries, and conservation of sturgeons and paddlefish in China. Environ. Biol. Fishes 1997, 48, 241–255. [Google Scholar] [CrossRef]
- Zhang, H.; Wei, Q.; Du, H.; Li, L. Present status and risk for extinction of the Dabry’s sturgeon (Acipenser dabryanus) in the Yangtze River watershed: A concern for intensified rehabilitation needs. J. Appl. Ichthyol. 2011, 27, 181–185. [Google Scholar] [CrossRef]
- Bemis, W.E.; Kynard, B. Sturgeon rivers: An introduction to acipenseriform biogeography and life history. Environ. Biol. Fishes 1997, 48, 167–184. [Google Scholar] [CrossRef]
- Zhuang, P.; Ke, F.E.; Wei, Q.; He, X.; Cen, Y. Biology and life history of Dabry’s sturgeon, Acipenser dabryanus, in the Yangtze River. Environ. Biol. Fishes 1997, 48, 257–264. [Google Scholar] [CrossRef]
- Shikina, S.; Ihara, S.; Yoshizaki, G. Culture conditions for maintaining the survival and mitotic activity of rainbow trout transplantable type A spermatogonia. Mol. Reprod. Dev. 2008, 75, 529–537. [Google Scholar] [CrossRef] [PubMed]
- Ye, H.; Yue, H.M.; Yang, X.G.; Li, C.J.; Wei, Q.W. Identification and sexually dimorphic expression of vasa isoforms in Dabry’s sturgeon (Acipenser dabryanus), and functional analysis of vasa 3′-untranslated region. Cell Tissue Res. 2016, 366, 1–16. [Google Scholar] [CrossRef] [PubMed]
- Pšenička, M.; Saito, T.; Linhartová, Z.; Gazo, I. Isolation and transplantation of sturgeon early-stage germ cells. Theriogenology 2015, 83, 1085–1092. [Google Scholar] [CrossRef]
- Havelka, M.; Fujimoto, T.; Hagihara, S.; Adachi, S.; Arai, K. Nuclear DNA markers for identification of Beluga and Sterlet sturgeons and their interspecific Bester hybrid. Sci. Rep. 2017, 7, 1694. [Google Scholar] [CrossRef]
- Brinster, R.L.; Zimmermann, J.W. Spermatogenesis following male germ-cell transplantation. Proc. Natl. Acad. Sci. USA 1994, 91, 11298–11302. [Google Scholar] [CrossRef]
- Shikina, S.; Nagasawa, K.; Hayashi, M.; Furuya, M.; Iwasaki, Y.; Yoshizaki, G. Short-Term In Vitro Culturing Improves Transplantability of Type A Spermatogonia in Rainbow Trout (Oncorhynchus mykiss). Mol. Reprod. Dev. 2013, 80, 763–773. [Google Scholar] [CrossRef]
- Grunow, B.; Noglick, S.; Kruse, C.; Gebert, M. Isolation of cells from Atlantic sturgeon Acipenser oxyrinchus oxyrinchus and optimization of culture conditions. Aquat. Biol. 2011, 14, 67–75. [Google Scholar] [CrossRef]
- Huleihel, M.; Lunenfeld, E. Regulation of spermatogenesis by paracrine/autocrine testicular factors. Asian J. Androl. 2004, 6, 259–268. [Google Scholar]
- Ham, R.G. Albumin replacement by fatty acids in clonal growth of mammalian cells. Science 1963, 140, 802–803. [Google Scholar] [CrossRef]
- Nagano, M.; Ryu, B.-Y.; Brinster, C.J.; Avarbock, M.R.; Brinster, R.L. Maintenance of mouse male germ line stem cells in vitro. Biol. Reprod. 2003, 68, 2207–2214. [Google Scholar] [CrossRef] [PubMed]
- Hamra, F.K.; Schultz, N.; Chapman, K.M.; Grellhesl, D.M.; Cronkhite, J.T.; Hammer, R.E.; Garbers, D.L. Defining the spermatogonial stem cell. Dev. Boil. 2004, 269, 393–410. [Google Scholar] [CrossRef]
- Sakai, N. Transmeiotic differentiation of zebrafish germ cells into functional sperm in culture. Development 2002, 129, 3359–3365. [Google Scholar] [PubMed]
- Kubota, H.; Avarbock, M.R.; Brinster, R.L. Growth factors essential for self-renewal and expansion of mouse spermatogonial stem cells. Proc. Natl. Acad. Sci. USA 2004, 101, 16489–16494. [Google Scholar] [CrossRef]
- Kubota, H.; Avarbock, M.R.; Brinster, R.L. Culture conditions and single growth factors affect fate determination of mouse spermatogonial stem cells. Biol. Reprod. 2004, 71, 722–731. [Google Scholar] [CrossRef] [PubMed]
- Sadri-Ardekani, H.; Mizrak, S.C.; van Daalen, S.K.; Korver, C.M.; Roepers-Gajadien, H.L.; Koruji, M.; Hovingh, S.; de Reijke, T.M.; de la Rosette, J.J.; van der Veen, F. Propagation of human spermatogonial stem cells in vitro. JAMA 2009, 302, 2127–2134. [Google Scholar] [CrossRef]
- Tokalov, S.; Gutzeit, H. Spermatogenesis in testis primary cell cultures of the tilapia (Oreochromis niloticus). Dev. Dyn. 2005, 233, 1238–1247. [Google Scholar] [CrossRef]
- Guan, K.; Nayernia, K.; Maier, L.S.; Wagner, S.; Dressel, R.; Lee, J.H.; Nolte, J.; Wolf, F.; Li, M.; Engel, W. Pluripotency of spermatogonial stem cells from adult mouse testis. Nature 2006, 440, 1199–1203. [Google Scholar] [CrossRef]
- Hofmann, M.-C.; Braydich-Stolle, L.; Dym, M. Isolation of male germ-line stem cells; influence of GDNF. Dev. Biol. 2005, 279, 114–124. [Google Scholar] [CrossRef]
- Campos-Junior, P.H.A.; Costa, G.M.; Lacerda, S.M.; Rezende-Neto, J.V.; de Paula, A.M.; Hofmann, M.-C.; de França, L.R. The spermatogonial stem cell niche in the collared peccary (Tayassu tajacu). Biol. Reprod. 2012, 86, 155. [Google Scholar] [CrossRef]
- Costa, G.M.; Avelar, G.F.; Rezende-Neto, J.V.; Campos-Junior, P.H.A.; Lacerda, S.M.; Andrade, B.S.; Thomé, R.G.; Hofmann, M.-C.; Franca, L.R. Spermatogonial stem cell markers and niche in equids. PLoS ONE 2012, 7, e44091. [Google Scholar] [CrossRef]
- Lacerda, S.M.S.N.; Costa, G.M.J.; da Silva, M.D.; Campos-Junior, P.H.A.; Segatelli, T.M.; Peixoto, M.T.D.; Resende, R.R.; de França, L.R. Phenotypic characterization and in vitro propagation and transplantation of the Nile tilapia (Oreochromis niloticus) spermatogonial stem cells. Gen. Comp. Endocrinol. 2013, 192, 95–106. [Google Scholar] [CrossRef]
- Bosseboeuf, A.; Gautier, A.; Auvray, P.; Mazan, S.; Sourdaine, P. Characterization of spermatogonial markers in the mature testis of the dogfish (Scyliorhinus canicula L.). Reproduction 2014, 147, 125–139. [Google Scholar] [CrossRef]
- Nakajima, S.; Hayashi, M.; Kouguchi, T.; Yamaguchi, K.; Miwa, M.; Yoshizaki, G. Expression patterns of gdnf and gfrα1 in rainbow trout testis. Gene Expr. Patterns 2014, 14, 111–120. [Google Scholar] [CrossRef]
- Bellaïche, J.; Goupil, A.-S.; Sambroni, E.; Lareyre, J.-J.; Le Gac, F. Gdnf-Gfra1 pathway is expressed in a spermatogenetic-dependent manner and is regulated by Fsh in a fish testis. Biol. Reprod. 2014, 91, 94. [Google Scholar] [CrossRef]
- Gautier, A.; Bosseboeuf, A.; Auvray, P.; Sourdaine, P. Maintenance of Potential Spermatogonial Stem Cells In Vitro by GDNF Treatment in a Chondrichthyan Model (Scyliorhinus canicula L.). Biol. Reprod. 2014, 91, 91. [Google Scholar] [CrossRef]
- Hong, Y.; Winkler, C.; Schartl, M. Pluripotency and differentiation of embryonic stem cell lines from the medakafish (Oryzias latipes). Mech. Dev. 1996, 60, 33–44. [Google Scholar] [CrossRef]
- Barnes, D.; Sato, G. Serum-free cell culture: A unifying approach. Cell 1980, 22, 649–655. [Google Scholar] [CrossRef]
- Enat, R.; Jefferson, D.M.; Ruiz-Opazo, N.; Gatmaitan, Z.; Leinwand, L.A.; Reid, L.M. Hepatocyte proliferation in vitro: Its dependence on the use of serum-free hormonally defined medium and substrata of extracellular matrix. Proc. Natl. Acad. Sci. USA 1984, 81, 1411–1415. [Google Scholar] [CrossRef]
- Bahadorani, M.; Hosseini, S.; Abedi, P.; Hajian, M.; Hosseini, S.; Vahdati, A.; Baharvand, H.; Nasr-Esfahani, M.H. Short-term in-vitro culture of goat enriched spermatogonial stem cells using different serum concentrations. J. Assist. Reprod. Genet. 2012, 29, 39–46. [Google Scholar] [CrossRef] [PubMed]








| Name | Sequence (5′-3′) | Orientation | Length bp |
|---|---|---|---|
| Ardnd1 | AAACGTGAGGCACGGGTATT CCTGGATCGGTATCCACAGC | Forward Reverse | 705 |
| cds(a)_gfra1a | GGAAGTGGGAACAGGGAAGA GGGTTTGGGTGCTAGATTTGT | Forward Reverse | 123 |
| grip2 | TGCTGAAGAATGTGGGCGA CCCTCTCAACACGAAGCCA | Forward Reverse | 149 |
| plk3 | ACCCGAGTCAGATGTGTGGT AGCAGGAAGGGAGAGGAAGT | Forward Reverse | 148 |
| ednrba-201_CDS | TTAGGCGCTTCCGAGACTAC CCGGGTTCATGGTTTTGGG | Forward Reverse | 81 |
| NAME | SEQUENCE (5′-3′) |
|---|---|
| 247_ARp | TAAGGGTCCATGCATGCAG |
| 247_ARn | TAAGGGTCCATGCATGCCT |
| 247_uni | TTTTAGCTGCACCGTGGC |
© 2019 by the authors. Licensee MDPI, Basel, Switzerland. This article is an open access article distributed under the terms and conditions of the Creative Commons Attribution (CC BY) license (http://creativecommons.org/licenses/by/4.0/).
Share and Cite
Xie, X.; Li, P.; Pšenička, M.; Ye, H.; Steinbach, C.; Li, C.; Wei, Q. Optimization of In Vitro Culture Conditions of Sturgeon Germ Cells for Purpose of Surrogate Production. Animals 2019, 9, 106. https://doi.org/10.3390/ani9030106
Xie X, Li P, Pšenička M, Ye H, Steinbach C, Li C, Wei Q. Optimization of In Vitro Culture Conditions of Sturgeon Germ Cells for Purpose of Surrogate Production. Animals. 2019; 9(3):106. https://doi.org/10.3390/ani9030106
Chicago/Turabian StyleXie, Xuan, Ping Li, Martin Pšenička, Huan Ye, Christoph Steinbach, Chuangju Li, and Qiwei Wei. 2019. "Optimization of In Vitro Culture Conditions of Sturgeon Germ Cells for Purpose of Surrogate Production" Animals 9, no. 3: 106. https://doi.org/10.3390/ani9030106
APA StyleXie, X., Li, P., Pšenička, M., Ye, H., Steinbach, C., Li, C., & Wei, Q. (2019). Optimization of In Vitro Culture Conditions of Sturgeon Germ Cells for Purpose of Surrogate Production. Animals, 9(3), 106. https://doi.org/10.3390/ani9030106

