Influence of Dietary Supplementation of Propolis and Bee Pollen on Liver Pathology in Broiler Chickens
Simple Summary
Abstract
1. Introduction
2. Materials and Methods
2.1. Animals and Diets
2.2. Sample Collection and Analysis
2.3. Statistical Analysis
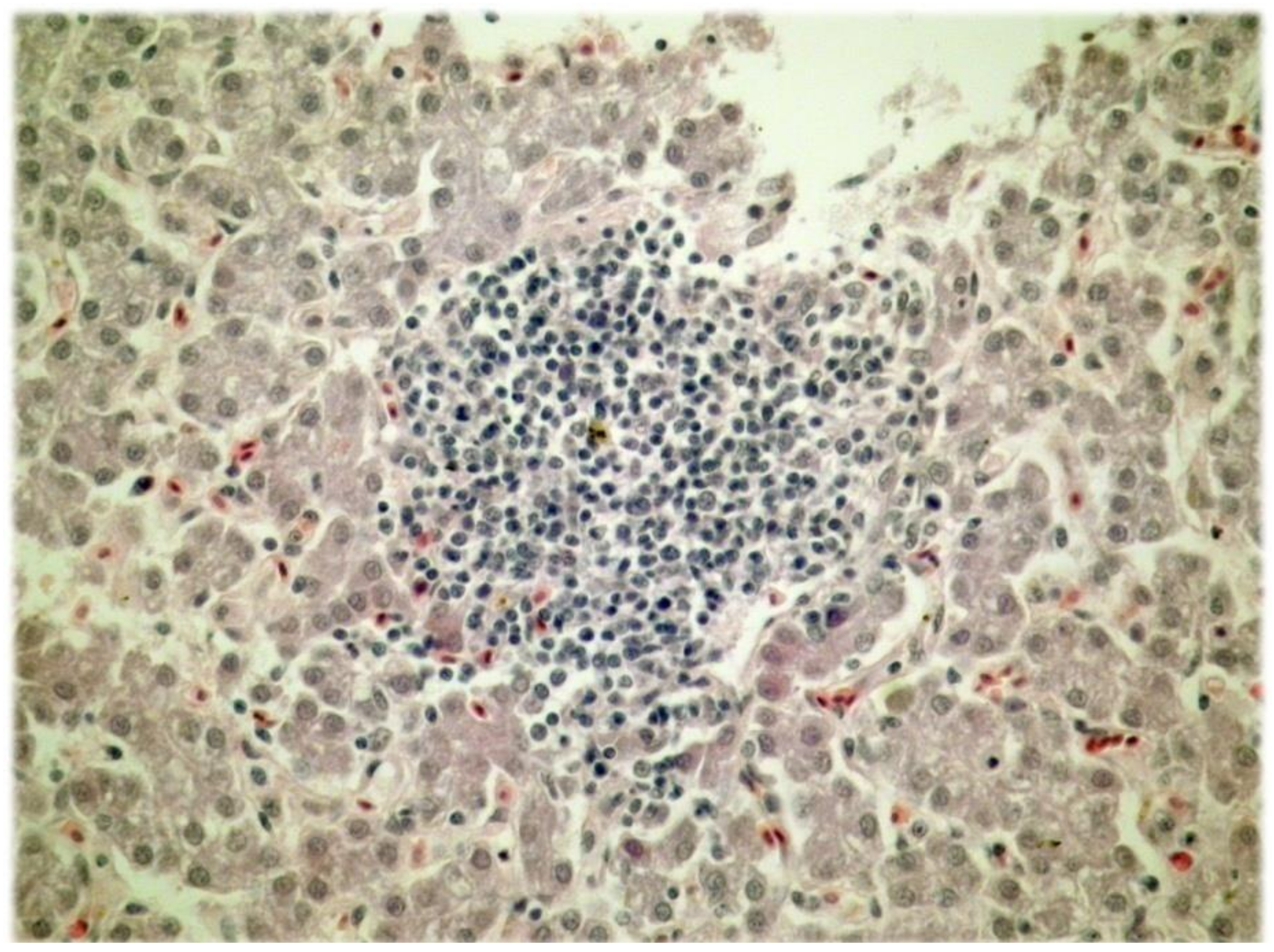
3. Results
4. Discussion
5. Conclusions
Author Contributions
Conflicts of Interest
References
- Shahryar, H.A.; Namvari, M.; Nourollahi, H.; Tili, A.S. Effect of alcoholic extract propolis on immune system in broiler chickens. J. Basic Appl. Sci. Res. 2011, 1, 2094–2097. [Google Scholar]
- Sforcin, J.M. Propolis and the immune system: a review. J. Ethnopharmacol. 2007, 113, 1–14. [Google Scholar] [CrossRef] [PubMed]
- Khalil, M.L. Biological activity of bee propolis in health and disease. Asian Pac. J. Cancer Prev. 2006, 7, 22–31. [Google Scholar] [PubMed]
- Babinska, I.; Kleczek, K.; Szarek, J.; Makowski, W. Modulating effect of propolis and bee pollen on chicken breeding parameters and pathomorphology of liver and kidneys in the course of natural infection with Salmonella enteritidis. Bull. Vet. Inst. Pulawy 2012, 56, 3–8. [Google Scholar] [CrossRef]
- Pascoal, A.; Rodrigues, S.; Teixeira, A.; Feas, X.; Estevinho, L.M. Biological activities of commercial bee pollens: Antimicrobial, antimutagenic, antioxidant and anti-inflammatory. Food Chem. Toxicol. 2014, 63, 233–239. [Google Scholar] [CrossRef] [PubMed]
- Haščík, P.; Elimam, I.O.E.; Garlík, J.; Bobko, M.; Kročko, M. Sensory evaluation of broiler meat after addition Slovak bee pollen in their feed mixture. Potrav. Slovak J. Food Sci. 2013, 7, 107–110. [Google Scholar] [CrossRef]
- Seven, T.P.; Yilmaz, S.; Seven, I.; Cerci, I.H.; Azman, M.A.; Yilmaz, M. Effects of propolis on selected blood indicators and antioxidant enzyme activities in broilers under heat stress. Acta Vet. Brno 2009, 78, 75–83. [Google Scholar] [CrossRef]
- Capcarova, M.; Kolesarova, A.; Kalafova, A.; Galik, B.; Simko, M.; Juracek, M.; Toman, R. The role of dietary bee pollen in antioxidant potential in rats. Eurasian J. Vet. Sci. 2013, 29, 133–137. [Google Scholar]
- Talas, Z.S.; Gulhan, M.F. Effects of various propolis concentrations on biochemical and hematological parameters of rainbow trout (Oncorhynchus mykiss). Ecotoxicol. Environ. Saf. 2009, 72, 1994–1998. [Google Scholar] [CrossRef] [PubMed]
- Eyng, C.; Murakami, A.E.; Pedroso, R.B.; Silveira, T.G.V.; Lourenço, D.A.L.; Garcia, A.F.Q.M. Crude propolis as an immunostimulating agentin broiler feed during the starter phase. Semina: Ciênc. Agrár. Londrina 2013, 34, 2511–2522. [Google Scholar] [CrossRef]
- Kačániová, M.; Haščík, P.; Arpášová, H.; Pavelková, A.; Petrová, J.; Hleba, L.; Pochop, J.; Rovná, K. Enterococcus genus identification isolated from gastrointestinal tract of chickens after bees products application using MALDI TOF MS biotyper. Sci. Papers Anim. Sci. Biotechnol. 2013, 46, 114–118. [Google Scholar]
- Babinska, I.; Kleczek, K.; Makowski, W.; Szarek, J. Effect of feed supplementation with propolis on liver and kidney morphology in broiler chickens. Pak. Vet. J. 2013, 33, 1–4. [Google Scholar]
- El-Mahalaway, A.M.; Selim, A.A.; Mahboub, F.A.R. The potential protective effect of propolis on experimentally induced hepatitis in adult male albino rats. Histological and immunohistochemical study. J. Histol. Histopathol. 2015, 2, 14. [Google Scholar] [CrossRef]
- Gesek, M.; Szarek, J.; Otrocka-Domagala, I.; Babinska, I.; Pazdzior, K.; Szweda, M.; Andrzejewska, A.; Szynaka, B. Morphological pattern of the livers of different lines of broiler chickens during rearing. Vet. Med. 2013, 58, 16–24. [Google Scholar] [CrossRef]
- Sasaki, J.; Goryo, M.; Okoshi, N.; Furukawa, H.; Honda, J.; Okada, K. Cholangiohepatitis in broiler chickens in Japan: Histopathological, immunohistochemical and microbiological studies of spontaneous disease. Acta Vet. Hung. 2000, 48, 59–67. [Google Scholar] [CrossRef] [PubMed]
- Sasaki, J.; Goryo, M.; Makara, M.; Nakamura, K.; Okada, K. Necrotic hepatitis due to Clostridium perfringens infection in newly hatched broiler chicks. J. Vet. Med. Sci. 2003, 65, 1249–1251. [Google Scholar] [CrossRef] [PubMed]
- Olkowski, A.A.; Duke, T.; Wojnarowicz, C. The aetiology of hypoxaemia in chickens selected for rapid growth. Comp. Biochem. Physiol. A Mol. Integr. Physiol. 2005, 141, 122–131. [Google Scholar] [CrossRef] [PubMed]
- Aviagen. Ross 308 Broiler: Performance Objectives; Aviagen Group: Huntsville, AL, USA, 2014. [Google Scholar]
- Wree, A.; McGeough, M.D.; Inzaugarat, M.E.; Eguchi, A.; Schuster, S.; Johnson, C.D.; Peña, C.A.; Geisler, L.J.; Papouchado, B.G.; Hoffman, H.M. NLRP3 Inflammasome Driven Liver Injury and Fibrosis: Roles of IL-17 and TNF in Mice. Hepatology 2018, 67, 736–749. [Google Scholar] [CrossRef] [PubMed]
- Chuang, S.Y.; Lin, C.H.; Fang, J.Y. Natural compounds and aging: Between autophagy and inflammasome. Biomed. Res. Int. 2014, 2014, 297293. [Google Scholar] [CrossRef] [PubMed]
- Hori, J.I.; Zamboni, D.S.; Carrão, D.B.; Goldman, G.H.; Berretta, A.A. The Inhibition of Inflammasome by Brazilian Propolis (EPP-AF). J. Evid.-Based Complementary Altern. Med 2013, 2013. [Google Scholar] [CrossRef] [PubMed]
- Banskota, A.H.; Tezuka, Y.; Adnyana, I.K.; Midorikawa, K.; Matsushige, K.; Message, D.; Huertas, A.A.G.; Kadota, S. Cytotoxic, hepatoprotective and free radical scavenging effects of propolis from Brazil, Peru, the Netherlands and China. J. Ethnopharmacol. 2000, 72, 239–246. [Google Scholar] [CrossRef]
- Banskota, A.H.; Tezuka, Y.; Adnyana, I.K.; Ishii, E.; Midorikawa, K.; Matsushige, K.; Kadota, S. Hepatoprotective and anti-Helicobacter pylori activities of constituents from Brazilian propolis. Phytomedicine. 2001, 8, 16–23. [Google Scholar] [CrossRef] [PubMed]
- Bhadauria, M.; Nirala, S.K. Reversal of acetaminophen induced subchronic hepatorenal injury by propolis extract in rats. Environ. Toxicol. Pharmacol. 2009, 27, 17–25. [Google Scholar] [CrossRef] [PubMed]
- Klaric, I. Production and health effects of propolis and bee pollen as food additives in broilers feeding. Ph.D. Thesis, Faculty of Agriculture in Osijek, Josip Juraj Strossmayer University of Osijek, Osijek, Croatia, 2014. [Google Scholar]
- Nirala, S.K.; Bhadauria, M. Propolis reverses acetaminophen induced acute hepatorenal alterations: A biochemical and histopathological approach. Arch. Pharm. Res. 2008, 31, 451–461. [Google Scholar] [CrossRef] [PubMed]
- Bhadauria, M.; Nirala, S.K.; Shukla, S. Multiple treatment of propolis extract ameliorates carbon tetrachloride induced liver injury in rats. Food Chem. Toxicol. 2008, 46, 2703–2712. [Google Scholar] [CrossRef] [PubMed]
- Nader, M.A.; El-Agamy, D.S.; Suddek, G.M. Protective effects of propolis and thymoquinone on development of atherosclerosis in cholesterol-fed rabbits. Arch. Pharm. Res. 2010, 33, 637–643. [Google Scholar] [CrossRef] [PubMed]
- Gesek, M.; Szarek, J.; Szweda, M.; Babinska, I. Comparative pathomorphological pattern of the liver in broiler chickens of two breeding lines. J. Comp. Pathol. 2010, 143, 343–346. [Google Scholar] [CrossRef]



| Fodders (%) | Starter | Finisher |
| 1–21 day | 22–42 day | |
| Corn grain | 45.00 | 46.10 |
| Flour middling | 2.80 | 3.00 |
| Dehydrated alfalfa | 2.80 | 4.00 |
| Soybean meal | 20.20 | 10.00 |
| Sunflower meal | 4.00 | 4.00 |
| Yeast | 4.00 | 3.00 |
| Full fat soybean | 12.40 | 20.00 |
| Vegetable oil | 3.70 | 5.00 |
| Monocalcium phosphate | 1.20 | 1.20 |
| Limestone | 1.60 | 1.40 |
| Salt | 0.30 | 0.30 |
| Premix * | 1.00 | 1.00 |
| Pigozen 801 | 1.00 | 1.00 |
| Total | 100.00 | 100.00 |
| Calculated Analysis | ||
| Crude protein (%) | 21.02 | 19.15 |
| Crude fat (%) | 8.36 | 10.96 |
| Crude fiber (%) | 4.96 | 5.05 |
| Lysine (%) | 1.11 | 0.96 |
| Methionine (%) | 0.66 | 0.61 |
| Tryptophan (%) | 0.26 | 0.23 |
| Calcium (%) | 1.04 | 0.98 |
| Phosphorous (%) | 0.70 | 0.67 |
| ME (Metabolisable energy, MJ/kg) | 12.30 | 13.10 |
| The forms of regressive lesions of hepatocytes | Group of chickens | * p | |||||
|---|---|---|---|---|---|---|---|
| Control (K) | P1 | P2 | P3 | P4 | |||
| Degeneration of the liver parenchyma | Yes % | 90.0 | 60.0 | 70.0 | 60.0 | 60.0 | 0.507 |
| No % | 10.0 | 40.0 | 30.0 | 40.0 | 40.0 | ||
| Vacuolar degeneration of the liver parenchyma | Yes % | 90.0 | 10.0 | 20.0 | 0 | 0 | <0.001 |
| No % | 10.0 | 90.0 | 80.0 | 100.0 | 100.0 | ||
| Steatosis of the liver parenchyma | Yes % | 90.0 | 90.0 | 60.0 | 60.0 | 70.0 | 0.319 |
| No % | 10.0 | 10.0 | 40.0 | 40.0 | 30.0 | ||
| Necrosis of the liver parenchyma | Yes % | 100.0 | 30.0 | 0 | 0 | 10.0 | <0.001 |
| No % | 0 | 70.0 | 100.0 | 100.0 | 90.0 | ||
| The forms of pathological changes in the liver veins | Group of chicken | * p | |||||
|---|---|---|---|---|---|---|---|
| Control (K) | P1 | P2 | P3 | P4 | |||
| Thickening of the walls of veins | Yes % | 100.0 | 10.0 | 10.0 | 10.0 | 10.0 | <0.001 |
| No % | 0 | 90.0 | 90.0 | 90.0 | 90.0 | ||
| The hyperplasia of the fibrous tissue within the walls of the veins | Yes % | 100.0 | 10.0 | 10.0 | 10.0 | 10.0 | <0.001 |
| No % | 0 | 90.0 | 90.0 | 90.0 | 90.0 | ||
© 2018 by the authors. Licensee MDPI, Basel, Switzerland. This article is an open access article distributed under the terms and conditions of the Creative Commons Attribution (CC BY) license (http://creativecommons.org/licenses/by/4.0/).
Share and Cite
Klaric, I.; Pavic, M.; Miskulin, I.; Blazicevic, V.; Dumic, A.; Miskulin, M. Influence of Dietary Supplementation of Propolis and Bee Pollen on Liver Pathology in Broiler Chickens. Animals 2018, 8, 54. https://doi.org/10.3390/ani8040054
Klaric I, Pavic M, Miskulin I, Blazicevic V, Dumic A, Miskulin M. Influence of Dietary Supplementation of Propolis and Bee Pollen on Liver Pathology in Broiler Chickens. Animals. 2018; 8(4):54. https://doi.org/10.3390/ani8040054
Chicago/Turabian StyleKlaric, Ivana, Mirela Pavic, Ivan Miskulin, Valerija Blazicevic, Albina Dumic, and Maja Miskulin. 2018. "Influence of Dietary Supplementation of Propolis and Bee Pollen on Liver Pathology in Broiler Chickens" Animals 8, no. 4: 54. https://doi.org/10.3390/ani8040054
APA StyleKlaric, I., Pavic, M., Miskulin, I., Blazicevic, V., Dumic, A., & Miskulin, M. (2018). Influence of Dietary Supplementation of Propolis and Bee Pollen on Liver Pathology in Broiler Chickens. Animals, 8(4), 54. https://doi.org/10.3390/ani8040054

