Resolution of Chronic Diarrhoea Following Treatment of Periodontal Disease in a Cat
Simple Summary
Abstract
1. Introduction
2. Case Description
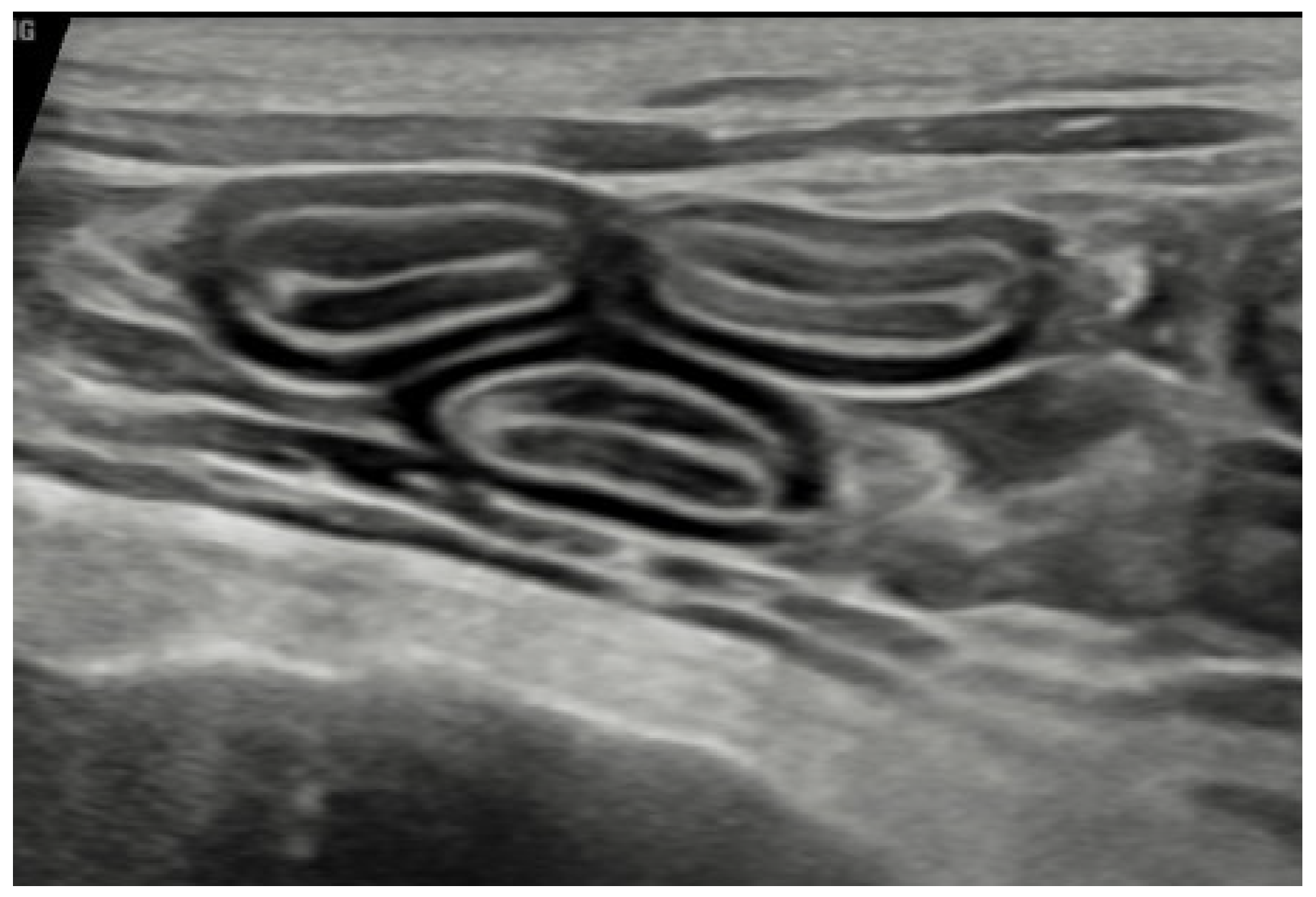
2.1. Investigation of Chronic Diarrhoea
2.2. Dental Examination and Radiography
2.3. Dental Treatment
2.4. Analgesia for Dental Procedures
- Methadone 0.3 mg/kg as part of pre-medication (with dexmedetomidine 5 mcg/kg and alfaxalone 0.5 mg/kg IM).
- Locoregional analgesia with maxillary and inferior alveolar nerve blocks using 0.5% bupivacaine, 0.15 mL at each site.
- Meloxicam 0.2 mg/kg SC given in recovery (fluid therapy provided during anaesthesia at 3 mL/kg/h with blood pressure monitoring).
2.5. Recovery and Case Outcome
3. Discussion
4. Conclusions
Author Contributions
Funding
Institutional Review Board Statement
Informed Consent Statement
Data Availability Statement
Conflicts of Interest
References
- O’Neill, D.G.; Gunn-Moore, D.; Sorrell, S.; McAuslan, H.; Church, D.B.; Pegram, C.; Brodbelt, D.C. Commonly diagnosed disorders in domestic cats in the UK and their associations with sex and age. J. Feline Med. Surg. 2023, 25, 1098612X231155016. [Google Scholar] [CrossRef] [PubMed]
- O’Neill, D.G.; Blenkarn, A.; Brodbelt, D.C.; Church, D.B.; Freeman, A. Periodontal disease in cats under primary veterinary care in the UK: Frequency and risk factors. J. Feline Med. Surg. 2023, 25, 1098612X231158154. [Google Scholar] [CrossRef] [PubMed]
- Lobprise, H.C.-C.; St Denis, K.C.-C.; Anderson, J.G.; Hoyer, N.; Fiani, N.; Yaroslav, J. 2025 FelineVMA feline oral health and dental care guidelines. J. Feline Med. Surg. 2025, 27, 1098612X251398793. [Google Scholar] [CrossRef] [PubMed]
- Davis, E.M.; Weese, J.S. Oral Microbiome in Dogs and Cats: Dysbiosis and the Utility of Antimicrobial Therapy in the Treatment of Periodontal Disease. Vet. Clin. N. Am. Small Anim. Pract. 2022, 52, 107–119. [Google Scholar] [CrossRef] [PubMed]
- Huang, D.; Wang, Y.Y.; Li, B.H.; Wu, L.; Xie, W.Z.; Zhou, X.; Ma, B. Association between periodontal disease and systemic diseases: A cross-sectional analysis of current evidence. Mil. Med. Res. 2024, 11, 74. [Google Scholar] [CrossRef] [PubMed]
- Pavlica, Z.; Petelin, M.; Juntes, P.; Erzen, D.; Crossley, D.A.; Skaleric, U. Periodontal disease burden and pathological changes in organs of dogs. J. Vet. Dent. 2008, 25, 97–105. [Google Scholar] [CrossRef] [PubMed]
- Gozdziewska, M.; Lyszczarz, A.; Kaczoruk, M.; Kolarzyk, E. Relationship between periodontal diseases and non-specific inflammatory bowel diseases—An overview. Part I. Ann. Agric. Environ. Med. 2024, 31, 1–7. [Google Scholar] [CrossRef] [PubMed]
- Baima, G.; Ribaldone, D.G.; Romano, F.; Aimetti, M.; Romandini, M. The Gum-Gut Axis: Periodontitis and the Risk of Gastrointestinal Cancers. Cancers 2023, 15, 4594. [Google Scholar] [CrossRef] [PubMed]
- Zhang, X.; Cheng, S.; Chen, S.; Wang, Q.; Zhou, J.; Wang, H.; Cheng, L.; Zhao, L. Periodontitis-associated Fusobacterium nucleatum promotes ulcerative colitis by ferroptosis-mediated gut barrier disruption. NPJ Biofilms Microbiomes 2025, 11, 155. [Google Scholar] [CrossRef] [PubMed]
- Tanwar, H.; Gnanasekaran, J.M.; Allison, D.; Chuang, L.S.; He, X.; Aimetti, M.; Baima, G.; Costalonga, M.; Cross, R.K.; Sears, C.; et al. Unravelling the Oral-Gut Axis: Interconnection Between Periodontitis and Inflammatory Bowel Disease, Current Challenges, and Future Perspective. J. Crohn’s Colitis 2024, 18, 1319–1341. [Google Scholar] [CrossRef] [PubMed]
- Byrd, K.M.; Gulati, A.S. The “Gum-Gut” Axis in Inflammatory Bowel Diseases: A Hypothesis-Driven Review of Associations and Advances. Front. Immunol. 2021, 12, 620124. [Google Scholar] [CrossRef] [PubMed]
- Xun, Z.; Zhang, Q.; Xu, T.; Chen, N.; Chen, F. Dysbiosis and Ecotypes of the Salivary Microbiome Associated With Inflammatory Bowel Diseases and the Assistance in Diagnosis of Diseases Using Oral Bacterial Profiles. Front. Microbiol. 2018, 9, 1136. [Google Scholar] [CrossRef] [PubMed]
- Rodrigues, M.X.; Fiani, N.; Bicalho, R.C.; Peralta, S. Preliminary functional analysis of the subgingival microbiota of cats with periodontitis and feline chronic gingivostomatitis. Sci. Rep. 2021, 11, 6896. [Google Scholar] [CrossRef] [PubMed]
- PetCare, N.P. Purina Fecal Scoring Chart. Available online: https://www.purinainstitute.com/centresquare/nutritional-and-clinical-assessment-tools (accessed on 10 February 2026).
- Floyd, M.R. The modified Triadan system: Nomenclature for veterinary dentistry. J. Vet. Dent. 1991, 8, 18–19. [Google Scholar] [CrossRef] [PubMed]
- Frey, E.; Costin, M.; Granick, J.; Kornya, M.; Weese, J.S. 2022 AAFP/AAHA Antimicrobial Stewardship Guidelines. J. Am. Anim. Hosp. Assoc. 2022, 58, 1–5. [Google Scholar] [CrossRef] [PubMed]
- Reed, N.; Gunn-Moore, D.; Simpson, K. Cobalamin, folate and inorganic phosphate abnormalities in ill cats. J. Feline Med. Surg. 2007, 9, 278–288. [Google Scholar] [CrossRef] [PubMed]
- Daniaux, L.A.; Laurenson, M.P.; Marks, S.L.; Moore, P.F.; Taylor, S.L.; Chen, R.X.; Zwingenberger, A.L. Ultrasonographic thickening of the muscularis propria in feline small intestinal small cell T-cell lymphoma and inflammatory bowel disease. J. Feline Med. Surg. 2014, 16, 89–98. [Google Scholar] [CrossRef] [PubMed]
- Glickman, L.T.; Glickman, N.W.; Moore, G.E.; Goldstein, G.S.; Lewis, H.B. Evaluation of the risk of endocarditis and other cardiovascular events on the basis of the severity of periodontal disease in dogs. J. Am. Vet. Med. Assoc. 2009, 234, 486–494. [Google Scholar] [CrossRef] [PubMed]
- Stella, J.L.; Lord, L.K.; Buffington, C.A. Sickness behaviors in response to unusual external events in healthy cats and cats with feline interstitial cystitis. J. Am. Vet. Med. Assoc. 2011, 238, 67–73. [Google Scholar] [CrossRef] [PubMed]






Disclaimer/Publisher’s Note: The statements, opinions and data contained in all publications are solely those of the individual author(s) and contributor(s) and not of MDPI and/or the editor(s). MDPI and/or the editor(s) disclaim responsibility for any injury to people or property resulting from any ideas, methods, instructions or products referred to in the content. |
© 2026 by the authors. Licensee MDPI, Basel, Switzerland. This article is an open access article distributed under the terms and conditions of the Creative Commons Attribution (CC BY) license.
Share and Cite
Taylor, S.; Tewson, C.; Edmondson, V. Resolution of Chronic Diarrhoea Following Treatment of Periodontal Disease in a Cat. Animals 2026, 16, 759. https://doi.org/10.3390/ani16050759
Taylor S, Tewson C, Edmondson V. Resolution of Chronic Diarrhoea Following Treatment of Periodontal Disease in a Cat. Animals. 2026; 16(5):759. https://doi.org/10.3390/ani16050759
Chicago/Turabian StyleTaylor, Samantha, Charlie Tewson, and Victoria Edmondson. 2026. "Resolution of Chronic Diarrhoea Following Treatment of Periodontal Disease in a Cat" Animals 16, no. 5: 759. https://doi.org/10.3390/ani16050759
APA StyleTaylor, S., Tewson, C., & Edmondson, V. (2026). Resolution of Chronic Diarrhoea Following Treatment of Periodontal Disease in a Cat. Animals, 16(5), 759. https://doi.org/10.3390/ani16050759

