Genome-Wide Characterization of the wnt Gene Family Reveals a wnt5b-Mediated Regulatory Mechanism of Testicular Development in Cynoglossus semilaevis
Simple Summary
Abstract
1. Introduction
2. Methods
2.1. Identification and Annotation of wnt Gene Family Members in C. semilaevis
2.2. Phylogenetic Tree Analysis
2.3. Structural Domain and Conserved Motif Analyses of the wnt Genes
2.4. Chromosome Distribution and Synteny Analysis of wnt Genes
2.5. Transcriptomic Heatmap Analysis and qPCR Validation
2.6. RNA Interference and qPCR Analysis
2.7. Dual-Luciferase Reporter Assay of wnt5a and wnt5b Promoters
2.8. Subcellular Localization Analysis
2.9. Western Blot Analysis
2.10. Pull-Down Assay and LC–MS/MS Analysis
3. Results
3.1. Identification, Characterization and Chromosomal Distribution of wnt Genes in C. semilaevis
3.2. Phylogenetic Analysis of the Wnt Family
3.3. Gene Structure and Conserved Motif Analysis of wnt Family Genes
3.4. Chromosomal Location of Wnt Family and Sex-Related Genes
3.5. Expression Profiles of Wnt Genes in Gonadal and Brain Tissues
3.6. Expression Characteristics of wnt5a and wnt5b in Different Tissues of Male and Female C. semilaevis
3.7. Functional Effects of wnt5a and wnt5b Knockdown on Sex-Related Gene Expression in C. semilaevis
3.8. Identification of Functional Promoters of wnt5a and wnt5b and Transcription Factor Regulation in C. semilaevis
3.9. Subcellular Localization of Transcription Factor yy1a, wnt5a, and wnt5b
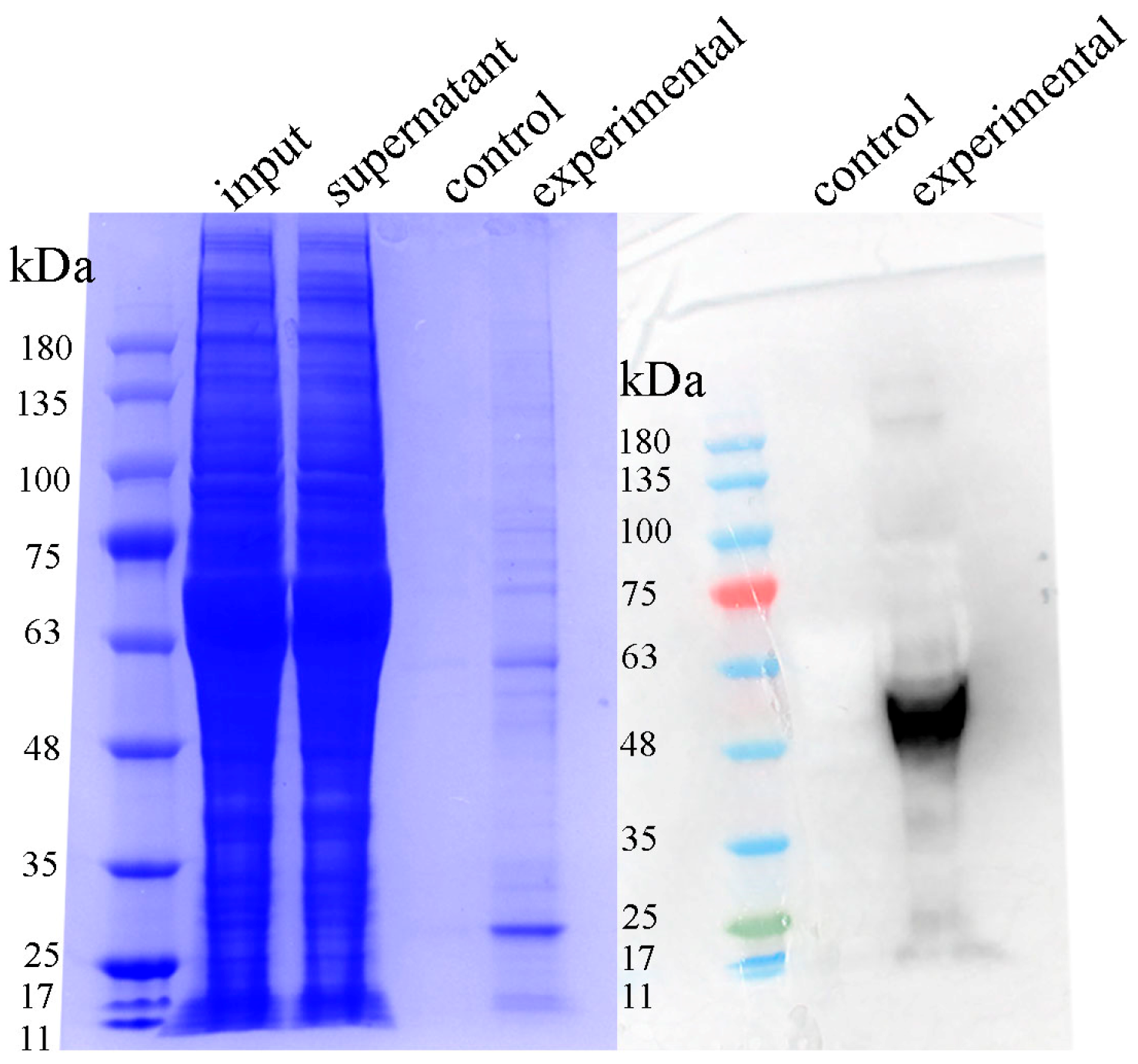
3.10. Protein Expression and Detection of Recombinant WNT5b
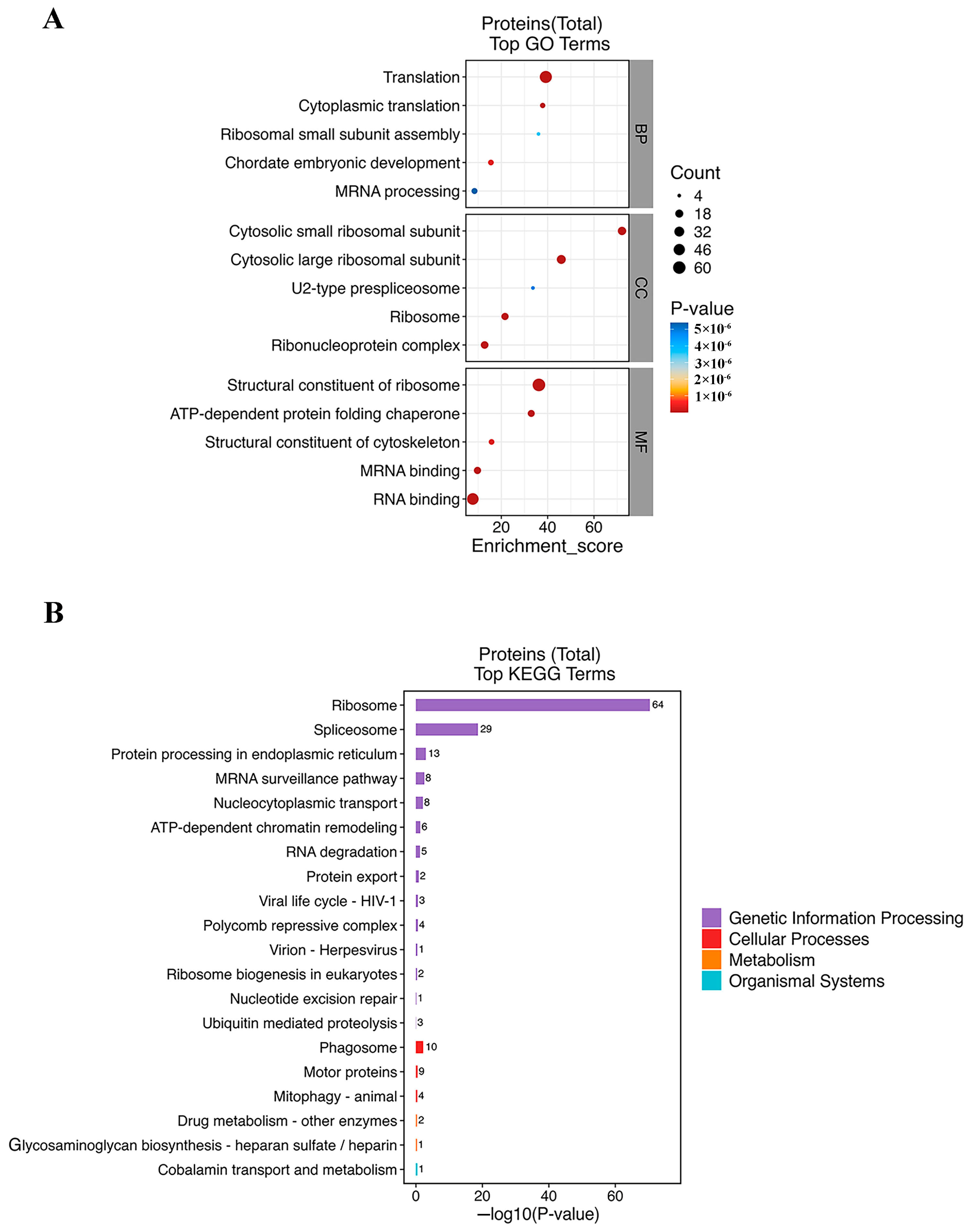
3.11. Functional Enrichment of WNT5b-Interacting Proteins
4. Discussion
5. Conclusions
Author Contributions
Funding
Institutional Review Board Statement
Informed Consent Statement
Data Availability Statement
Conflicts of Interest
References
- Cadigan, K.M.; Nusse, R. Wnt signaling: A common theme in animal development. Genes Dev. 1997, 11, 3286–3305. [Google Scholar] [CrossRef] [PubMed]
- Nusse, R. An ancient cluster of Wnt paralogues. TRENDS Genet. 2001, 17, 443. [Google Scholar] [CrossRef]
- Blader, P.; Strähle, U.; Ingham, P.W. Three Wnt genes expressed in a wide variety of tissues during development of the zebrafish, Danio rerio: Developmental and evolutionary perspectives. Dev. Genes Evol. 1996, 206, 3–13. [Google Scholar] [CrossRef] [PubMed]
- Du, J.; Zhang, X.; Yuan, J.; Zhang, X.; Li, F.; Xiang, J. Wnt gene family members and their expression profiling in Litopenaeus vannamei. Fish Shellfish. Immunol. 2018, 77, 233–243. [Google Scholar] [CrossRef]
- Fu, Y.; He, J.; Liu, L.; Huang, X.; Xu, Y.; Wang, C. Comprehensive genome-wide analysis of Wnt gene family and expression profiling during limb regeneration in Portunus trituberculatus. Fishes 2022, 7, 258. [Google Scholar] [CrossRef]
- Bolognesi, R.; Farzana, L.; Fischer, T.D.; Brown, S.J. Multiple Wnt genes are required for segmentation in the short-germ embryo of Tribolium castaneum. Curr. Biol. 2008, 18, 1624–1629. [Google Scholar] [CrossRef]
- Janda, C.Y.; Waghray, D.; Levin, A.M.; Thomas, C.; Garcia, K.C. Structural Basis of Wnt Recognition by Frizzled. Science 2012, 337, 59–64. [Google Scholar] [CrossRef]
- Riis, L.M.; Delpouve, G.; Nielsen, J.E.; Melau, C.; Thuesen, L.L.; Hare, J.K.; Dreisler, E.; Aaboe, K.; Tutein Brenøe, P.; Albrethsen, J.; et al. Inhibition of WNT/β-catenin signalling during sex-specific gonadal differentiation is essential for normal human fetal testis development. Cell Commun. Signal. 2024, 22, 330. [Google Scholar] [CrossRef]
- Song, Z.; Wang, F.; Yang, C.; Guo, Y.; Li, J.; Huang, R.; Ling, H.; Cheng, G.; Chen, Z.; Zhu, Z.; et al. Meta-Analysis of Multi-Center Transcriptomic Profiles and Machine Learning Reveal Phospholipase Cβ4 as a Wnt/Ca2⁺ Signaling Mediator in Glioblastoma Immunotherapy. Front. Immunol. 2025, 16, 1610683. [Google Scholar] [CrossRef]
- Shi, D.-L. Canonical and non-canonical Wnt signaling generates molecular and cellular asymmetries to establish embryonic axes. J. Dev. Biol. 2024, 12, 20. [Google Scholar] [CrossRef]
- Azbazdar, Y.; Robertis, D.E.M. Double assurance in the induction of axial development by egg dorsal determinants in Xenopus embryos. Proc. Natl. Acad. Sci. USA 2025, 122, e2421772122. [Google Scholar] [CrossRef]
- Wang, H.; Bertonnier-Brouty, L.; Artner, I.; Wen, J.; Dai, Q. Drosophila hamlet mediates epithelial tissue assembly of the reproductive system. eLife 2025, 13, RP104164. [Google Scholar] [CrossRef]
- Zhang, K.; Xu, J.; Zhang, Z.; Huang, Y.; Ruan, Z.; Chen, S.; Zhu, F.; You, X.; Jia, C.; Meng, Q.; et al. A comparative transcriptomic study on developmental gonads provides novel insights into sex change in the protandrous black porgy (Acanthopagrus schlegelii). Genomics 2019, 111, 277–283. [Google Scholar] [CrossRef] [PubMed]
- Biason-Lauber, A. WNT4, RSPO1, and FOXL2 in sex development. Semin. Reprod. Med. 2012, 30, 387–395. [Google Scholar] [CrossRef] [PubMed]
- Zhao, H.; Xiao, Y.; Xiao, Z.; Li, J.; Xu, S.; Wei, J. Systematic analysis of Wnt family genes reveals the potential role of Wnt4 in driving female differentiation in Spotted knifejaw. Biochem. Biophys. Res. Commun. 2025, 785, 152684. [Google Scholar] [CrossRef]
- Prathibha, Y.; Senthilkumaran, B. Expression of wnt4/5 during reproductive cycle of catfish and wnt5 promoter analysis. J. Endocrinol. 2017, 232, 1–13. [Google Scholar] [CrossRef]
- Najafabadi, A.A. Elucidation of the Biological Roles of Wnt5a Signaling in Follicle Development. 2015. Available online: http://hdl.handle.net/1866/13371 (accessed on 18 January 2026).
- Safian, D.; Ryane, N.; Bogerd, J.; Schulz, R.W. Fsh stimulates Leydig cell Wnt5a production, enriching zebrafish type A spermatogonia. J. Endocrinol. 2018, 239, 351–363. [Google Scholar] [CrossRef]
- Kerr, G.E.; Young, J.C.; Horvay, K.; Abud, H.E.; Loveland, K.L. Regulated Wnt/beta-catenin signaling sustains adult spermatogenesis in mice. Biol. Reprod. 2014, 90, 3. [Google Scholar] [CrossRef]
- Wang, N.; Wang, R.; Wang, R.; Chen, S. Transcriptomics analysis revealing candidate networks and genes for the body size sexual dimorphism of Chinese tongue sole (Cynoglossus semilaevis). Funct. Integr. Genom. 2018, 18, 327–339. [Google Scholar] [CrossRef]
- Logan, C.Y.; Nusse, R. The Wnt signaling pathway in development and disease. Annu. Rev. Cell Dev. Biol. 2004, 20, 781–810. [Google Scholar] [CrossRef]
- Holstein, T.W. The evolution of the Wnt pathway. Cold Spring Harb. Perspect. Biol. 2012, 4, a007922. [Google Scholar] [CrossRef]
- Moon, R.T.; Brown, J.D.; Torres, M. WNTs modulate cell fate and behavior during vertebrate development. Trends Genet. 1997, 13, 157–162. [Google Scholar] [CrossRef]
- Makita, R.; Mizuno, T.; Koshida, S.; Kuroiwa, A.; Takeda, H. Zebrafish wnt11: Pattern and regulation of the expression by the yolk cell and No tail activity. Mech. Dev. 1998, 71, 165–176. [Google Scholar] [CrossRef] [PubMed]
- Katoh, Y.; Katoh, M. Comparative genomics on WNT11 gene. Int. J. Mol. 2005, 15, 879–883. [Google Scholar] [CrossRef]
- Liang, B.; Jerry, D.R.; Shen, X.; Koh, J.; Terence, C.; Nayfa, M.G.; Vu, N.; Grace, L.; Shubha, V.; Jose, A.D. Transcriptomic analysis of gonads in Malabar red snapper (Lutjanus malabaricus) reveals genes associated with gonad development. Aquaculture 2024, 592, 741258. [Google Scholar] [CrossRef]
- Prajapati, D.; Ambere, G.; Mathure, D.; Karati, D.; Kumar, D. Evolutionary conservation and cancer implications of the WNT signaling pathway. Med. Oncol. 2025, 42, 434. [Google Scholar] [CrossRef]
- Cho, S.J.; Valles, Y.; Giani, J.V.C.; Seaver, E.C.; Weisblat, D.A. Evolutionary dynamics of the wnt gene family: A lophotrochozoan perspective. Mol. Biol. Evol. 2010, 27, 1645–1658. [Google Scholar] [CrossRef]
- Schreiber, A.M. Asymmetric craniofacial remodeling and lateralized behavior in larval flatfish. J. Exp. Biol. 2006, 209, 610–621. [Google Scholar] [CrossRef][Green Version]
- Kühl, M.; Geis, K.; Sheldahl, L.C.; Pukrop, T.; Moon, R.T.; Wedlich, D. Antagonistic regulation of convergent extension movements in Xenopus by Wnt/β-catenin and Wnt/Ca2+ signaling. Mech. Dev. 2001, 106, 61–76. [Google Scholar] [CrossRef]
- Winklbauer, R.; Medina, A.; Swain, R.K.; Steinbeisser, H. Frizzled-7 signalling controls tissue separation during Xenopus gastrulation. Nature 2001, 413, 856–860. [Google Scholar] [CrossRef]
- Lan, L.; Wang, W.; Huang, Y.; Bu, X.; Zhao, C. Roles of Wnt7a in embryo development, tissue homeostasis, and human diseases. J. Cell. Biochem. 2019, 120, 18588–18598. [Google Scholar] [CrossRef] [PubMed]
- Gros, J.; Serralbo, O.; Marcelle, C. WNT11 acts as a directional cue to organize the elongation of early muscle fibres. Nature 2009, 457, 589–593. [Google Scholar] [CrossRef] [PubMed]
- Sun, D.; Qi, X.; Wen, H.; Li, C.; Li, J.; Chen, J.; Tao, Z.; Zhu, M.; Zhang, X.; Li, Y. The genetic basis and potential molecular mechanism of yellow-albino northern snakehead (Channa argus). Open Biol. 2023, 13, 220235. [Google Scholar] [CrossRef] [PubMed]
- Katoh, M. Wnt3-Wnt14B and Wnt3A-Wnt14 gene clusters. Int. J. Mol. Med. 2002, 9, 579–584. [Google Scholar] [CrossRef]
- Kirikoshi, H.; Sekihara, H.; Katoh, M. Molecular cloning and characterization of WNT14B, a novel member of the WNT gene family. Int. J. Oncol. 2001, 19, 947–952. [Google Scholar] [CrossRef]
- Tea, Y.K.; Zhou, Y.; Ewart, K.M.; Cheng, G.; Kawasaki, K.; DiBattista, J.D.; Ho, S.Y.W.; Lo, N.; Fan, S. The spotted parrotfish genome provides insights into the evolution of a coral reef dietary specialist (Teleostei: Labridae: Scarini: Cetoscarus ocellatus). Ecol. Evol. 2024, 14, e11148. [Google Scholar] [CrossRef]
- Xu, P.; Xiao, Y.; Xiao, Z.; Li, J. Exploitation and application of a new genetic sex marker based on intron insertion variation of erc2 gene in Oplegnathus punctatus. Mar. Biotechnol. 2024, 26, 1155–1164. [Google Scholar] [CrossRef]
- Fogg, L.G.; Policarpo, M.; Salzburger, W. Evolutionary dynamics of the vertebrate Wnt gene repertoire. bioRxiv 2025. [Google Scholar] [CrossRef]
- Garriock, R.J.; Warkman, A.S.; Meadows, S.M.; D’Agostino, S.; Krieg, P.A. Census of vertebrate Wnt genes: Isolation and developmental expression of Xenopus Wnt2, Wnt3, Wnt9a, Wnt9b, Wnt10a, and Wnt16. Dev. Dyn. Off. Publ. Am. Assoc. Anat. 2007, 236, 1249–1258. [Google Scholar] [CrossRef]
- Zhao, C.; Song, Y.; Zhang, G.; Zhang, K.; Yin, S.; Ji, J. Multi-omics analysis identifies sex-specific hepatic protein-metabolite networks in yellow catfish (Pelteobagrus fulvidraco) exposed to chronic hypoxia. Int. J. Biol. Macromol. 2024, 268, 131892. [Google Scholar] [CrossRef]
- Chianese, R.; Ciaramella, V.; Scarpa, D.; Fasano, S.; Pierantoni, R.; Meccariello, R. Anandamide regulates the expression of GnRH1, GnRH2, and GnRH-Rs in frog testis. Am. J. Physiol.-Endocrinol. Metab. 2012, 303, E475–E487. [Google Scholar] [CrossRef] [PubMed]
- Habayeb, O.M.; Taylor, A.H.; Bell, S.C.; Taylor, D.J.; Konje, J.C. Expression of the endocannabinoid system in human first trimester placenta and its role in trophoblast proliferation. Endocrinology 2008, 149, 5052–5060. [Google Scholar] [CrossRef] [PubMed]
- Nicol, B.; Guiguen, Y. Expression profiling of Wnt signaling genes during gonadal differentiation and gametogenesis in rainbow trout. Sex. Dev. 2012, 5, 318–329. [Google Scholar] [CrossRef] [PubMed]
- Yokoi, H.; Nishimatsu, A.; Ozato, K.; Yoda, K. Cloning and embryonic expression of six wnt genes in the medaka (Oryzias latipes) with special reference to expression of wnt5a in the pectoral fin buds. Dev. Growth Differ. 2003, 45, 51–61. [Google Scholar] [CrossRef]
- Zanardini, M.; Habibi, H.R. The Role of Neurohypophysial Hormones in the Endocrine and Paracrine Control of Gametogenesis in Fish. Cells 2025, 14, 1061. [Google Scholar] [CrossRef]
- Chawengsaksophak, K.; Svingen, T.; Ng, E.T.; Epp, T.; Spiller, C.M.; Clark, C.; Cooper, H.; Koopman, P. Loss of Wnt5a disrupts primordial germ cell migration and male sexual development in mice. Biol. Reprod. 2012, 86, 1–12. [Google Scholar] [CrossRef]
- Chen, M.; Zhang, Y.; Zhang, M.; Qu, C.; Zou, G.; Liang, H. Characterization and expression pattern of Wnt5b gene in Pelodiscus sinensis. Aqua C. Res. 2022, 53, 2937–2946. [Google Scholar] [CrossRef]
- Deepa, S.; Senthilkumaran, B. Interactive role of Wnt signaling and Zn in regulating testicular function of the common carp, Cyprinus carpio. Theriogenol 2021, 161, 161–175. [Google Scholar] [CrossRef]
- Guo, H.; Wei, M.; Liu, Y.; Zhu, Y.; Xu, W.; Meng, L.; Wang, N.; Shao, C.; Lu, S.; Gao, F.; et al. Molecular cloning and expression analysis of the aqp1aa gene in half-smooth tongue sole (Cynoglossus semilaevis). PLoS ONE 2017, 12, e0175033. [Google Scholar] [CrossRef]
- Meng, L.; Zhu, Y.; Zhang, N.; Liu, W.; Liu, Y.; Shao, C.; Wang, N.; Chen, S. Cloning and characterization of tesk1, a novel spermatogenesis-related gene, in the tongue sole (Cynoglossus semilaevis). PLoS ONE 2014, 9, e107922. [Google Scholar] [CrossRef]
- Li, X.; Li, L.; Cui, Z.; Li, M.; Xu, W. Phosphoproteomics reveal new candidates in abnormal spermatogenesis of pseudomales in Cynoglossus semilaevis. Int. J. Mol. Sci. 2023, 24, 11430. [Google Scholar] [CrossRef] [PubMed]
- Tao, W.; Chen, J.; Tan, D.; Yang, J.; Sun, L.; Wei, J.; Conte, M.A.; Kocher, T.D.; Wang, D. Transcriptome display during tilapia sex determination and differentiation as revealed by RNA-Seq analysis. BMC Genom. 2018, 19, 363. [Google Scholar] [CrossRef] [PubMed]
- Otani, A.; Nakajima, T.; Okumura, T.; Fujii, S.; Tomooka, Y. Sex reversal and analyses of possible involvement of sex steroids in scallop gonadal development in newly established organ-culture systems. Zool. Sci. 2017, 34, 86–92. [Google Scholar] [CrossRef] [PubMed]
- Min, T.S.; An, K.W.; Kil, G.S.; Choi, C.Y. Sex-and tissue-related expression of two types of p450 aromatase mRNA in the protandrous black porgy, Acanthopagrus schlegeli, during sex reversal: Expression profiles following exogenous hormone administration. Anim. Cells Syst. 2009, 13, 439–445. [Google Scholar] [CrossRef]
- Kobayashi, Y.; Kobayashi, T.; Nakamura, M.; Sunobe, T.; Morrey, C.E.; Suzuki, N.; Nagahama, Y. Characterization of two types of cytochrome P450 aromatase in the serial-sex changing gobiid fish, Trimma okinawae. Zool. Sci. 2004, 21, 417–425. [Google Scholar] [CrossRef]
- Chen, L.; Qiao, L.; Guo, Y.; Huang, Y.; Luo, W.; Feng, Y. Localization and regulatory function of Yin Yang 1 (YY1) in chicken testis. Mol. Genet. Genom. 2022, 297, 113–123. [Google Scholar] [CrossRef]
- Cheon, Y.-P.; Choi, D.; Lee, S.-H.; Kim, C.G. YY1 and CP2c in unidirectional spermatogenesis and stemness. Dev. Reprod. 2020, 24, 249. [Google Scholar] [CrossRef]
- Kayyar, B.; Kataruka, S.; Akhade, V.S.; Rao, M. Molecular functions of Mrhl lncRNA in mouse spermatogenesis. Reproduction 2023, 166, R39–R50. [Google Scholar] [CrossRef]
- Shi, R.; Li, X.; Xu, X.; Chen, Z.; Zhu, Y.; Wang, N. Genome-wide analysis of BMP/GDF family and DAP-seq of YY1 suggest their roles in Cynoglossus semilaevis sexual size dimorphism. Int. J. Biol. Macromol. 2023, 253, 127201. [Google Scholar] [CrossRef]
- Zhang, K.; Yu, H.; Li, Q. Comprehensive identification and characterization of ribosomal protein genes in the Pacific oyster (Crassostrea gigas): Potential roles in reproduction and development. Comp. Biochem. Physiol. Part A Mol. Integr. Physiol. 2025, 304, 111844. [Google Scholar] [CrossRef]
- Li, H.; Huo, Y.; He, X.; Yao, L.; Zhang, H.; Cui, Y.; Xiao, H.; Xie, W.; Zhang, D.; Wang, Y.; et al. A male germ-cell-specific ribosome controls male fertility. Nature 2022, 612, 725–731. [Google Scholar] [CrossRef]
- Mercer, M.; Jang, S.; Ni, C.; Buszczak, M. The dynamic regulation of mRNA translation and ribosome biogenesis during germ cell development and reproductive aging. Front. Cell Dev. Biol. 2021, 9, 710186. [Google Scholar] [CrossRef]
- Zheng, W.; Xu, H.; Lam, S.H.; Luo, H.; Karuturi, R.K.M.; Gong, Z. Transcriptomic analyses of sexual dimorphism of the zebrafish liver and the effect of sex hormones. PLoS ONE 2013, 8, e53562. [Google Scholar] [CrossRef]
- Vigodner, M.; Morris, P.L. Testicular expression of small ubiquitin-related modifier-1 (SUMO-1) supports multiple roles in spermatogenesis: Silencing of sex chromosomes in spermatocytes, spermatid microtubule nucleation, and nuclear reshaping. Dev. Biol. 2005, 282, 480–492. [Google Scholar] [CrossRef]











Disclaimer/Publisher’s Note: The statements, opinions and data contained in all publications are solely those of the individual author(s) and contributor(s) and not of MDPI and/or the editor(s). MDPI and/or the editor(s) disclaim responsibility for any injury to people or property resulting from any ideas, methods, instructions or products referred to in the content. |
© 2026 by the authors. Licensee MDPI, Basel, Switzerland. This article is an open access article distributed under the terms and conditions of the Creative Commons Attribution (CC BY) license.
Share and Cite
Li, Z.; Wang, J.; Li, C.; Zhu, Y. Genome-Wide Characterization of the wnt Gene Family Reveals a wnt5b-Mediated Regulatory Mechanism of Testicular Development in Cynoglossus semilaevis. Animals 2026, 16, 387. https://doi.org/10.3390/ani16030387
Li Z, Wang J, Li C, Zhu Y. Genome-Wide Characterization of the wnt Gene Family Reveals a wnt5b-Mediated Regulatory Mechanism of Testicular Development in Cynoglossus semilaevis. Animals. 2026; 16(3):387. https://doi.org/10.3390/ani16030387
Chicago/Turabian StyleLi, Zhengjie, Junhao Wang, Chao Li, and Ying Zhu. 2026. "Genome-Wide Characterization of the wnt Gene Family Reveals a wnt5b-Mediated Regulatory Mechanism of Testicular Development in Cynoglossus semilaevis" Animals 16, no. 3: 387. https://doi.org/10.3390/ani16030387
APA StyleLi, Z., Wang, J., Li, C., & Zhu, Y. (2026). Genome-Wide Characterization of the wnt Gene Family Reveals a wnt5b-Mediated Regulatory Mechanism of Testicular Development in Cynoglossus semilaevis. Animals, 16(3), 387. https://doi.org/10.3390/ani16030387

