Exploration of Novel Markers in Tan Sheep Spermatogenesis
Simple Summary
Abstract
1. Introduction
2. Materials and Methods
2.1. Collection of Testicular Samples
2.2. Histological Examination
2.3. Immunofluorescence Staining
2.4. Quantitative Real-Time Polymerase Chain Reaction
3. Results
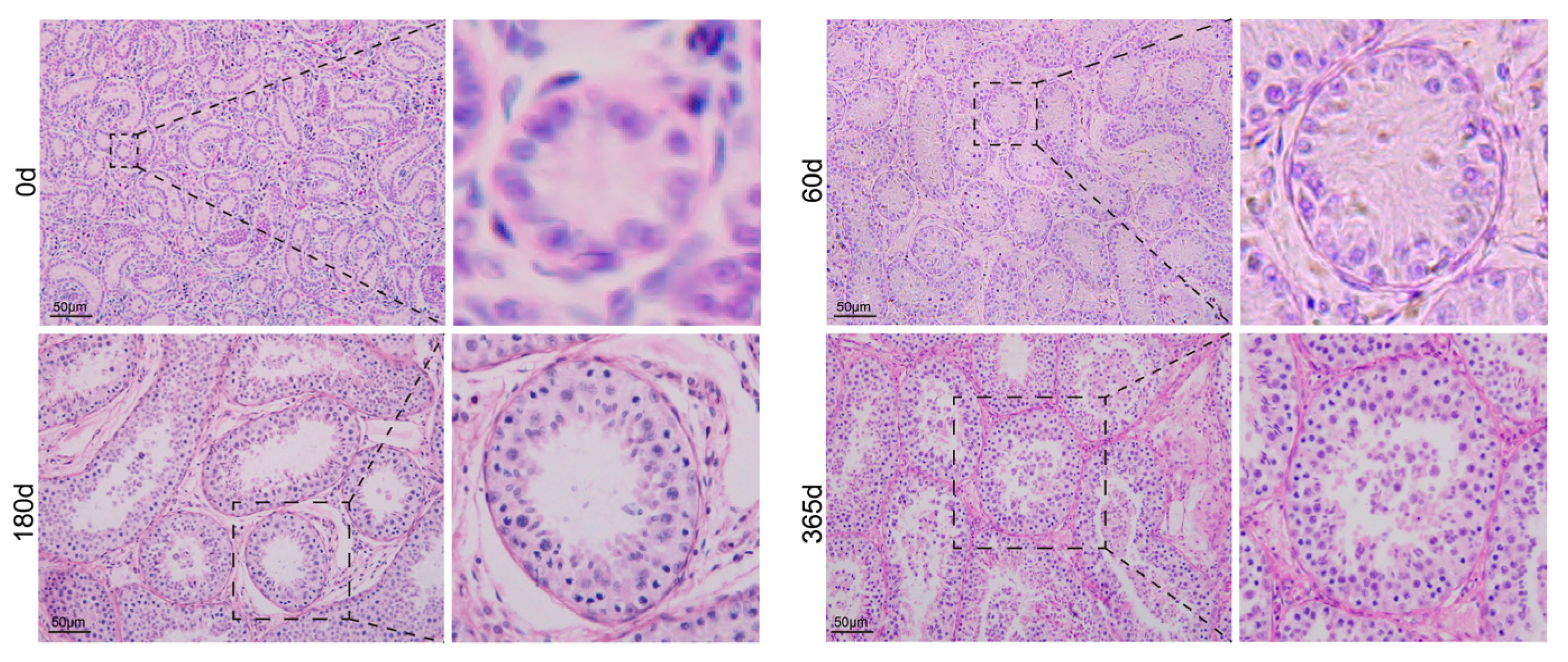
3.1. Histological Analysis of Testicular Tissue in Tan Sheep at Different Ages
3.2. Development of Spermatogonia in Testes of Tan Sheep at Different Ages
3.3. Development of Spermatocytes in Testes of Tan Sheep at Different Ages
3.4. Development of Spermatozoa in Testes of Tan Sheep at Different Ages
4. Discussion
4.1. Spermatogonia
4.2. Spermatocytes
4.3. Spermatozoa
5. Conclusions
Author Contributions
Funding
Institutional Review Board Statement
Informed Consent Statement
Data Availability Statement
Acknowledgments
Conflicts of Interest
Abbreviations
| HE | Hematoxylin and Eosin Staining |
| qPCR | Quantitative Polymerase Chain Reaction |
| NCBI | National Center for Biotechnology Information |
| DDX4 | DEAD-box helicase 4 |
| SOX9 | Sex Determining Region Y-Box 9 |
| PLZF | Promyelocytic leukemia zinc finger |
| C-KIT | c-KIT receptor tyrosine kinase |
| UCHL1 | Ubiquitin C-terminal Hydrolase L1 |
| SYCP2/3 | Synaptonemal Complex Protein 2/3 |
| FITC-PNA | Fluorescein Isothiocya-nate-Labeled Peptide Nucleic Acid |
| SMC3 | structural maintenance of chromosomes 3 |
| G3BP1 | G3BP stress granule assembly factor 1 |
| AKAP4 | A-kit nase anchoring protein 4 |
| THY1 | Thy-1 cell surface antigen |
| γH2AX | Spermato gonia; phosphorylated histone H2AX |
| PRM1/2 | Protamine 1/2 |
| SSC | Spermatogonial Stem Cell |
References
- Fu, D.; Ma, X.; Jia, C.; Lei, Q.; Wu, X.; Chu, M.; Ding, X.; Bao, P.; Pei, J.; Guo, X.; et al. Characterization of the complete mitochondrial genome sequence of Jialuo sheep (Ovis aries). Mitochondrial DNA B Resour. 2019, 4, 2116–2117. [Google Scholar] [CrossRef]
- Jiang, B.; Zhou, Y.; Wang, T.; Li, F. Nutritive value and ruminal degradation of seven Chinese herbs as forage for Tan sheep. Bioengineered 2020, 11, 1159–1169. [Google Scholar] [CrossRef]
- Liu, Y.; Xu, Q.; Kang, X.; Wang, K.; Wang, J.; Feng, D.; Bai, Y.; Fang, M. Dynamic changes of genomic methylation profiles at different growth stages in Chinese Tan sheep. J. Anim. Sci. Biotechnol. 2021, 12, 118. [Google Scholar] [CrossRef]
- Zhao, Y. Sheep Production, 3rd ed.; China Agricultural Press: Beijing, China, 2011. [Google Scholar]
- Yang, L. Animal Reproduction, 4th ed.; China Agricultural Press: Beijing, China, 2015. [Google Scholar]
- de Rooij, D.G.; Russell, L.D. All you wanted to know about spermatogonia but were afraid to ask. J. Androl. 2000, 21, 776–798. [Google Scholar] [CrossRef]
- Fayomi, A.P.; Orwig, K.E. Spermatogonial stem cells and spermatogenesis in mice, monkeys and men. Stem Cell Res. 2018, 29, 207–214. [Google Scholar] [CrossRef] [PubMed]
- Guo, J.; Grow, E.J.; Mlcochova, H.; Maher, G.J.; Lindskog, C.; Nie, X.; Guo, Y.; Takei, Y.; Yun, J.; Cai, L.; et al. The adult human testis transcriptional cell atlas. Cell Res. 2018, 28, 1141–1157. [Google Scholar] [CrossRef]
- Rodriguez-Sosa, J.R.; Dobson, H.; Hahnel, A. Isolation and transplantation of spermatogonia in sheep. Theriogenology 2006, 66, 2091–2103. [Google Scholar] [CrossRef]
- Borjigin, U.; Davey, R.; Hutton, K.; Herrid, M. Expression of promyelocytic leukaemia zinc-finger in ovine testis and its application in evaluating the enrichment efficiency of differential plating. Reprod. Fertil. Dev. 2010, 22, 733–742. [Google Scholar] [CrossRef] [PubMed]
- Del Olmo, E.; Bisbal, A.; Maroto-Morales, A.; García-Alvarez, O.; Ramon, M.; Jimenez-Rabadan, P.; Martínez-Pastor, F.; Soler, A.J.; Garde, J.J.; Fernandez-Santos, M.R. Fertility of cryopreserved ovine semen is determined by sperm velocity. Anim. Reprod. Sci. 2013, 138, 102–109. [Google Scholar] [CrossRef] [PubMed]
- Yang, H.; Ma, J.; Wan, Z.; Wang, Q.; Wang, Z.; Zhao, J.; Wang, F.; Zhang, Y. Characterization of sheep spermatogenesis through single-cell RNA sequencing. FASEB J. 2021, 35, e21187. [Google Scholar] [CrossRef]
- Tian, Y.; Sun, P.; Liu, W.X.; Shan, L.Y.; Hu, Y.T.; Fan, H.T.; Shen, W.; Liu, Y.B.; Zhou, Y.; Zhang, T. Single-cell RNA sequencing of the Mongolia sheep testis reveals a conserved and divergent transcriptome landscape of mammalian spermatogenesis. FASEB J. 2022, 36, e22348. [Google Scholar] [CrossRef]
- Le, H.T.; Hasegawa, Y.; Daitoku, Y.; Kato, K.; Miznuo-Iijima, S.; Dinh, T.T.H.; Kuba, Y.; Osawa, Y.; Mikami, N.; Morimoto, K.; et al. Generation of B6-Ddx4em1(CreERT2)Utr, a novel CreERT2 knock-in line, for germ cell lineage by CRISPR/Cas9. Genesis 2020, 58, e23367. [Google Scholar] [CrossRef]
- Wang, M.; Ding, H.; Wu, S.; Wang, M.; Wei, C.; Wang, B.; Bao, Z.; Hu, J. Vasa Is a Potential Germ Cell Marker in Leopard Coral Grouper (Plectropomus leopardus). Genes 2022, 13, 1077. [Google Scholar] [CrossRef]
- Rahmoun, M.; Lavery, R.; Laurent-Chaballier, S.; Bellora, N.; Philip, G.K.; Rossitto, M.; Symon, A.; Pailhoux, E.; Cammas, F.; Chung, J.; et al. In mammalian foetal testes, SOX9 regulates expression of its target genes by binding to genomic regions with conserved signatures. Nucleic Acids Res. 2017, 45, 7191–7211. [Google Scholar] [CrossRef]
- Chen, M.; Wang, J.; Liu, N.; Cui, W.; Dong, W.; Xing, B.; Pan, C. Pig SOX9: Expression profiles of Sertoli cell (SCs) and a functional 18 bp indel affecting testis weight. Theriogenology 2019, 138, 94–101. [Google Scholar] [CrossRef] [PubMed]
- Lee, W.Y.; Lee, R.; Park, H.J.; Do, J.T.; Park, C.; Kim, J.H.; Jhun, H.; Lee, J.H.; Hur, T.; Song, H. Characterization of male germ cell markers in canine testis. Anim. Reprod. Sci. 2017, 182, 1–8. [Google Scholar] [CrossRef] [PubMed]
- Yi, C.; Kitamura, Y.; Maezawa, S.; Namekawa, S.H.; Cairns, B.R. ZBTB16/PLZF regulates juvenile spermatogonial stem cell development through an extensive transcription factor poising network. Nat. Struct. Mol. Biol. 2025, 32, 1213–1226. [Google Scholar] [CrossRef]
- Yang, D.; Lu, Q.; Peng, S.; Hua, J. Ubiquitin C-terminal hydrolase L1 (UCHL1), a double-edged sword in mammalian oocyte maturation and spermatogenesis. Cell Prolif. 2023, 56, e13347. [Google Scholar] [CrossRef] [PubMed]
- Takemoto, K.; Imai, Y.; Saito, K.; Kawasaki, T.; Carlton, P.M.; Ishiguro, K.I.; Sakai, N. Sycp2 is essential for synaptonemal complex assembly, early meiotic recombination and homologous pairing in zebrafish spermatocytes. PLoS Genet. 2020, 16, e1008640. [Google Scholar] [CrossRef]
- Wang, Y.; Gao, B.; Zhang, L.; Wang, X.; Zhu, X.; Yang, H.; Zhang, F.; Zhu, X.; Zhou, B.; Yao, S.; et al. Meiotic protein SYCP2 confers resistance to DNA-damaging agents through R-loop-mediated DNA repair. Nat. Commun. 2024, 15, 1568. [Google Scholar] [CrossRef]
- Nakata, H.; Wakayama, T.; Asano, T.; Nishiuchi, T.; Iseki, S. Identification of sperm equatorial segment protein 1 in the acrosome as the primary binding target of peanut agglutinin (PNA) in the mouse testis. Histochem. Cell Biol. 2017, 147, 27–38. [Google Scholar] [CrossRef]
- Nakazawa, S.; Shirae-Kurabayashi, M.; Sawada, H. Peanut agglutinin specifically binds to a sperm region between the nucleus and mitochondria in tunicates and sea urchins. Mol. Reprod. Dev. 2018, 85, 464–477. [Google Scholar] [CrossRef]
- Wang, T.; Glover, B.; Hadwiger, G.; Miller, C.A.; di Martino, O.; Welch, J.S. Smc3 is required for mouse embryonic and adult hematopoiesis. Exp. Hematol. 2019, 70, 70–84.e6. [Google Scholar] [CrossRef]
- Yueh, W.T.; Singh, V.P.; Gerton, J.L. Maternal Smc3 protects the integrity of the zygotic genome through DNA replication and mitosis. Development 2021, 148, dev199800. [Google Scholar] [CrossRef]
- Liu, Z.S.; Cai, H.; Xue, W.; Wang, M.; Xia, T.; Li, W.J.; Xing, J.Q.; Zhao, M.; Huang, Y.J.; Chen, S.; et al. G3BP1 promotes DNA binding and activation of cGAS. Nat. Immunol. 2019, 20, 18–28. [Google Scholar] [CrossRef] [PubMed]
- Fang, X.; Huang, L.L.; Xu, J.; Ma, C.Q.; Chen, Z.H.; Zhang, Z.; Liao, C.H.; Zheng, S.X.; Huang, P.; Xu, W.M.; et al. Proteomics and single-cell RNA analysis of Akap4-knockout mice model confirm indispensable role of Akap4 in spermatogenesis. Dev. Biol. 2019, 454, 118–127. [Google Scholar] [CrossRef] [PubMed]
- Zhang, G.; Li, D.; Tu, C.; Meng, L.; Tan, Y.; Ji, Z.; Cheng, J.; Lu, G.; Lin, G.; Zhang, H.; et al. Loss-of-function missense variant of AKAP4 induced male infertility through reduced interaction with QRICH2 during sperm flagella development. Hum. Mol. Genet. 2021, 31, 219–231. [Google Scholar] [CrossRef]
- Yang, B.H.; Liu, B.S.; Chen, Z.L. DNA Extraction with TRIzol Reagent Using a Silica Column. Anal. Sci. 2021, 37, 1033–1037. [Google Scholar] [CrossRef]
- Elekwachi, C.O.; Wang, Z.; Wu, X.; Rabee, A.; Forster, R.J. Total rRNA-Seq Analysis Gives Insight into Bacterial, Fungal, Protozoal and Archaeal Communities in the Rumen Using an Optimized RNA Isolation Method. Front. Microbiol. 2017, 8, 1814. [Google Scholar] [CrossRef] [PubMed]
- Hermann, B.P.; Cheng, K.; Singh, A.; Roa-De La Cruz, L.; Mutoji, K.N.; Chen, I.C.; Gildersleeve, H.; Lehle, J.D.; Mayo, M.; Westernströer, B.; et al. The Mammalian Spermatogenesis Single-Cell Transcriptome, from Spermatogonial Stem Cells to Spermatids. Cell Rep. 2018, 25, 1650–1667.e8. [Google Scholar] [CrossRef]
- Wu, Y.; Guo, T.; Li, J.; Niu, C.; Sun, W.; Zhu, S.; Zhao, H.; Qiao, G.; Han, M.; He, X.; et al. The Transcriptional Cell Atlas of Testis Development in Sheep at Pre-Sexual Maturity. Curr. Issues Mol. Biol. 2022, 44, 483–497. [Google Scholar] [CrossRef] [PubMed]
- Fröhlich, J.; Vozdova, M.; Kubickova, S.; Cernohorska, H.; Sebestova, H.; Rubes, J. Variation of Meiotic Recombination Rates and MLH1 Foci Distribution in Spermatocytes of Cattle, Sheep and Goats. Cytogenet. Genome Res. 2015, 146, 211–221. [Google Scholar] [CrossRef] [PubMed]
- Yang, H.; Deng, M.; Lv, W.; Wei, Z.; Cai, Y.; Cheng, P.; Wang, F.; Zhang, Y. Overexpression of bmp4, dazl, nanos3 and sycp2 in Hu Sheep Leydig Cells Using CRISPR/dcas9 System Promoted Male Germ Cell Related Gene Expression. Biology 2022, 11, 289. [Google Scholar] [CrossRef]
- Uchida, A.; Imaimatsu, K.; Suzuki, H.; Han, X.; Ushioda, H.; Uemura, M.; Imura-Kishi, K.; Hiramatsu, R.; Takase, H.M.; Hirate, Y.; et al. SOX17-positive rete testis epithelium is required for Sertoli valve formation and normal spermiogenesis in the male mouse. Nat. Commun. 2022, 13, 7860. [Google Scholar] [CrossRef]
- Ridnik, M.; Abberbock, E.; Alipov, V.; Lhermann, S.Z.; Kaufman, S.; Lubman, M.; Poulat, F.; Gonen, N. Two redundant transcription factor binding sites in a single enhancer are essential for mammalian sex determination. Nucleic Acids Res. 2024, 52, 5514–5528. [Google Scholar] [CrossRef]
- Ogawa, Y.; Tsuchiya, I.; Yanai, S.; Baba, T.; Morohashi, K.I.; Sasaki, T.; Sasaki, J.; Terao, M.; Tsuji-Hosokawa, A.; Takada, S. GATA4 binding to the Sox9 enhancer mXYSRa/Enh13 is critical for testis differentiation in mouse. Commun. Biol. 2025, 8, 81. [Google Scholar] [CrossRef] [PubMed]
- Tanaka, S.S.; Toyooka, Y.; Akasu, R.; Katoh-Fukui, Y.; Nakahara, Y.; Suzuki, R.; Yokoyama, M.; Noce, T. The mouse homolog of Drosophila Vasa is required for the development of male germ cells. Genes Dev. 2000, 14, 841–853. [Google Scholar] [CrossRef]
- Lee, S.J.; Kim, K.H.; Kim, P.; Park, J.; Kim, S.J.; Jung, H.S. MAST4 controls cell cycle in spermatogonial stem cells. Cell Prolif. 2023, 56, e13390. [Google Scholar] [CrossRef]
- Lu, Z.; Wang, Y.; Assumpção, A.L.F.V.; Liu, P.; Kopp, A.; Saka, S.; Mcilwain, S.J.; Viny, A.D.; Brand, M.; Pan, X. Yin Yang 1 regulates cohesin complex protein SMC3 in mouse hematopoietic stem cells. Blood Adv. 2024, 8, 3076–3091. [Google Scholar] [CrossRef]
- Zhang, B.; Zhu, Y.; Zhang, Z.; Wu, F.; Ma, X.; Sheng, W.; Dai, R.; Guo, Z.; Yan, W.; Hao, L.; et al. SMC3 contributes to heart development by regulating super-enhancer associated genes. Exp. Mol. Med. 2024, 56, 1826–1842. [Google Scholar] [CrossRef]
- Zhang, D.; Jin, W.; Cui, Y.; He, Z. Establishment and Characterization of Testis Organoids with Proliferation and Differentiation of Spermatogonial Stem Cells into Spermatocytes and Spermatids. Cells 2024, 13, 1642. [Google Scholar] [CrossRef]
- Yang, P.; Mathieu, C.; Kolaitis, R.M.; Zhang, P.; Messing, J.; Yurtsever, U.; Yang, Z.; Wu, J.; Li, Y.; Pan, Q. G3BP1 Is a Tunable Switch that Triggers Phase Separation to Assemble Stress Granules. Cell 2020, 181, 325–345.e28. [Google Scholar] [CrossRef]
- Xiang, Y.; Tsuchiya, D.; Zhao, X.; McKinney, S.; Unruh, J.; Slaughter, B.; Lake, C.M.; Hawley, R.S. Multiple reorganizations of the lateral elements of the synaptonemal complex facilitate homolog segregation in Bombyx mori oocytes. Curr. Biol. 2024, 34, 352–360.e4. [Google Scholar] [CrossRef]
- Oppong, A.; Leung, Y.H.; Peyot, M.L.; Paquet, M.; Morales, C.; Clarke, H.J.; Al-Mulla, F.; Boyer, A.; Madiraju, S.R.M. Essential role of germ cell glycerol-3-phosphate phosphatase for sperm health, oxidative stress control and male fertility in mice. Mol. Metab. 2024, 90, 102063. [Google Scholar] [CrossRef]
- Yun, D.; Gao, S.; Li, X.; Shi, J.; Wang, L.; Bu, T.; Yang, X.; Wu, Y.; Wu, X.; Sun, F. The testis-specific gene 1700030J22Rikis essential for sperm flagellar function and male fertility in mice. J. Genet. Genom. 2025, 52, 927–941. [Google Scholar] [CrossRef] [PubMed]
- Beckouët, F.; Hu, B.; Roig, M.B.; Sutani, T.; Komata, M.; Uluocak, P.; Katis, V.L.; Shirahige, K.; Nasmyth, K. An Smc3 acetylation cycle is essential for establishment of sister chromatid cohesion. Mol. Cell 2010, 39, 689–699. [Google Scholar] [CrossRef] [PubMed]
- Wang, F.; Wang, L.; Gan, S.; Feng, S.; Ouyang, S.; Wang, X.; Yuan, S. SERBP1 Promotes Stress Granule Clearance by Regulating 26S Proteasome Activity and G3BP1 Ubiquitination and Protects Male Germ Cells from Thermostimuli Damage. Research 2023, 6, 0091. [Google Scholar] [CrossRef] [PubMed]
- Feng, J.; Fu, S.; Cao, X.; Wu, H.; Lu, J.; Zeng, M.; Liu, L.; Yang, X.; Shen, Y. Synaptonemal complex protein 2 (SYCP2) mediates the association of the centromere with the synaptonemal complex. Protein Cell. 2017, 8, 538–543. [Google Scholar] [CrossRef]
- Burke, J.M.; Ratnayake, O.C.; Watkins, J.M.; Perera, R.; Parker, R. G3BP1-dependent condensation of translationally inactive viral RNAs antagonizes infection. Sci. Adv. 2024, 10, eadk8152. [Google Scholar] [CrossRef]
- Luconi, M.; Cantini, G.; Baldi, E.; Forti, G. Role of a-kinase anchoring proteins (AKAPs) in reproduction. Front. Biosci. (Landmark Ed.) 2011, 16, 1315–1330. [Google Scholar] [CrossRef]
- Huang, Q.; Liu, Y.; Zhang, S.; Yap, Y.T.; Li, W.; Zhang, D.; Gardner, A.; Zhang, L.; Song, S.; Hess, R.A.; et al. Autophagy core protein ATG5 is required for elongating spermatid development, sperm individualization and normal fertility in male mice. Autophagy 2021, 17, 1753–1767. [Google Scholar] [CrossRef]
- Boersma, A.; Primus, J.; Wagner, B.; Broukal, V.; Andersen, L.; Pachner, B.; Dahlhoff, M.; Rülicke, T.; Auer, K.E. Influence of sperm cryopreservation on sperm motility and proAKAP4 concentration in mice. Reprod. Med. Biol. 2022, 21, e12480. [Google Scholar] [CrossRef] [PubMed]
- Dordas-Perpinyà, M.; Yanez-Ortiz, I.; Sergeant, N.; Mevel, V.; Bruyas, J.F.; Catalán, J.; Delehedde, M.; Briand-Amirat, L.; Miró, J. ProAKAP4 Concentration Is Related to Sperm Motility and Motile Sperm Subpopulations in Frozen-Thawed Horse Semen. Animals 2022, 12, 3417. [Google Scholar] [CrossRef]
- Pardede, B.P.; Setyawan, E.M.N.; Said, S.; Kusumawati, A.; Purwantara, B.; Pangestu, M.; Memili, E. A-Kinase Anchor Protein 4 (proAKAP4): Protein Molecule-Based Fertility Marker of Indonesian Dairy Bull and Its Correlation with Frozen-Thawed Sperm Quality. Vet. Med. Int. 2025, 2025, 8367714. [Google Scholar] [CrossRef]
- Riesco, M.F.; Anel-Lopez, L.; Neila-Montero, M.; Palacin-Martinez, C.; Montes-Garrido, R.; Alvarez, M.; de Paz, P.; Anel, L. ProAKAP4 as Novel Molecular Marker of Sperm Quality in Ram: An Integrative Study in Fresh, Cooled and Cryopreserved Sperm. Biomolecules 2020, 10, 1046. [Google Scholar] [CrossRef]
- Bencharif, D.; Belala, R.; Mimoune, N.; Le Couazer, D.; Farnia, H. ProAKAP4 concentration in fresh canine semen and its correlation with motility parameters. Vet. Anim. Sci. 2025, 28, 100455. [Google Scholar] [CrossRef]
- Zhang, K.; Xu, X.H.; Wu, J.; Wang, N.; Li, G.; Hao, G.M.; Cao, J.F. Decreased AKAP4/PKA signaling pathway in high DFI sperm affects sperm capacitation. Asian J. Androl. 2024, 26, 25–33. [Google Scholar] [CrossRef] [PubMed]
- Cai, Y.; Wang, J.; Zou, K. The Progresses of Spermatogonial Stem Cells Sorting Using Fluorescence-Activated Cell Sorting. Stem Cell Rev. Rep. 2020, 16, 94–102. [Google Scholar] [CrossRef]
- Gaysinskaya, V.; Bortvin, A. Flow cytometry of murine spermatocytes. Curr. Protoc. Cytom. 2015, 72, 7.44.1–7.44.24. [Google Scholar] [CrossRef]
- Simard, O.; Leduc, F.; Acteau, G.; Arguin, M.; Grégoire, M.C.; Brazeau, M.A.; Marois, I.; Richter, M.V.; Boissonneault, G. Step-specific Sorting of Mouse Spermatids by Flow Cytometry. J. Vis. Exp. 2015, 31, e53379. [Google Scholar] [PubMed]






| Antibody Name | Host Species | Dilution Ratio | Supplier and Catalog Number | Combination Protocol | Reference |
|---|---|---|---|---|---|
| DDX4 | Rabbit | 1:200 | ABclonal, A0357, Shanghai, China | Co-incubated with SMC3, G3BP1, and AKAP4, respectively | [14,15] |
| SOX9 | Rabbit | 1:200 | ABclonal, A19710, Wuhan, China | Co-incubated with SMC3, G3BP1, and AKAP4, respectively | [16,17] |
| C-KIT | Rabbit | 1:200 | ABclonal, A0357, Wuhan, China | data Co-incubated with SMC3 | [18] |
| PLZF | Rabbit | 1:200 | ABclonal, A21185, Wuhan, China | Co-incubated with SMC3 | [19] |
| UCHL1 | Mouse | 1:200 | Abcam, AB307736, Shanghai, China | Co-incubated with SMC3 | [20] |
| SYCP2 | Rabbit | 1:200 | ABclonal, A16098, Wuhan, China | Co-incubated with G3BP1 | [21,22] |
| FITC-PNA | - | 1:200 | Thermo Fisher, L32460, Shanghai, China | Co-incubated with AKAP4 | [23,24] |
| SMC3 | Rabbit | 1:200 | ABclonal, A19591, Wuhan, China | Co-incubated with UCHL1 | [25,26] |
| G3BP1 | Mouse | 1:200 | Proteintech, 66486-1-Ig, Wuhan, China | Co-incubated with SYCP2 | [27] |
| AKAP4 | Rabbit | 1:200 | ABclonal, A14813, Wuhan, China | Co-incubated with FITC-PNA | [28,29] |
| Target Gene Name | Primer Type | Primer Sequence (5′ to 3′) |
|---|---|---|
| β-actin | Forward | GGCATCCTGACCCTCAAGTA |
| Reverse | GGGGTGTTGAAGGTCTCAAA | |
| UCHL1 | Forward | ATTCAGGCAGCCCACGAT |
| Reverse | GGCATCCGTCCATCAAGT | |
| SMC3 | Forward | TCACTTCGGAGAGTTATCGG |
| Reverse | GTGCTGTTGCCATCTGGTTA | |
| SYCP2 | Forward | AGAATGCCTCAAGATGCCAG |
| Reverse | CTGACAAGCCAGTTCTCGTCT | |
| G3BP1 | Forward | GTACCAGCTTCACAGCCTCG |
| Reverse | ACATTTATTCGCTGTTCTCGC | |
| AKAP4 | Forward | GTCTAAGACGGAGGGATC |
| Reverse | TGGAAACCTAAGGCGTAC |
Disclaimer/Publisher’s Note: The statements, opinions and data contained in all publications are solely those of the individual author(s) and contributor(s) and not of MDPI and/or the editor(s). MDPI and/or the editor(s) disclaim responsibility for any injury to people or property resulting from any ideas, methods, instructions or products referred to in the content. |
© 2026 by the authors. Licensee MDPI, Basel, Switzerland. This article is an open access article distributed under the terms and conditions of the Creative Commons Attribution (CC BY) license.
Share and Cite
Ma, Y.; Jin, H.; Wang, N.; Xie, Y.; Zhang, L.; Cai, B. Exploration of Novel Markers in Tan Sheep Spermatogenesis. Animals 2026, 16, 350. https://doi.org/10.3390/ani16020350
Ma Y, Jin H, Wang N, Xie Y, Zhang L, Cai B. Exploration of Novel Markers in Tan Sheep Spermatogenesis. Animals. 2026; 16(2):350. https://doi.org/10.3390/ani16020350
Chicago/Turabian StyleMa, Yuan, Haoyan Jin, Nana Wang, Yaru Xie, Lingkai Zhang, and Bei Cai. 2026. "Exploration of Novel Markers in Tan Sheep Spermatogenesis" Animals 16, no. 2: 350. https://doi.org/10.3390/ani16020350
APA StyleMa, Y., Jin, H., Wang, N., Xie, Y., Zhang, L., & Cai, B. (2026). Exploration of Novel Markers in Tan Sheep Spermatogenesis. Animals, 16(2), 350. https://doi.org/10.3390/ani16020350

