Early Growth Response Factor 4 (EGR4) Expression in Gut Tissues and Regional Lymph Nodes of Cattle with Different Types of Paratuberculosis-Associated Lesions: Potential Role of EGR4 in Resilience to Paratuberculosis
Simple Summary
Abstract
1. Introduction
2. Materials and Methods
2.1. Animals and Samples
2.2. Tissue Preparation and Histopathological Classification of Animals
2.3. Single Anti-EGR4 Immunohistochemistry (Anti-EGR4 IHC)
2.4. Image Acquisition, Quantification, and Cell Counting Procedure for EGR4 Immunohistochemistry
2.5. Statistical Analysis
3. Results
3.1. Map Infection Status
3.2. Assessment of the Specificity of the Immunoreagents Used in the Single-EGR4 Immunohistochemistry Assay
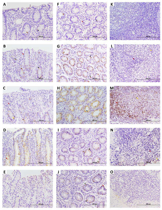
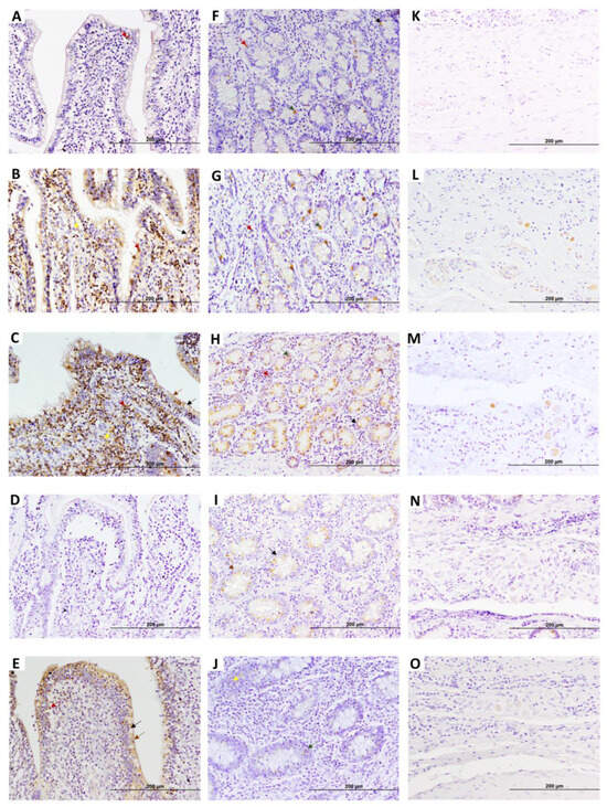
3.3. Morphological Analysis and Distribution Pattern of EGR4-Expressing Cells in Cattle Gut Tissues and Regional Lymph Nodes
3.4. Quantification of EGR4-Expressing Cells in Animals with Different PTB-Associated Histological Lesions
4. Discussion
5. Conclusions
Supplementary Materials
Author Contributions
Funding
Institutional Review Board Statement
Informed Consent Statement
Data Availability Statement
Acknowledgments
Conflicts of Interest
References
- Rasmussen, P.; Barkema, H.W.; Mason, S.; Beaulieu, E.; Hall, D.C. Economic losses due to Johne’s disease (paratuberculosis) in dairy cattle. J. Dairy Sci. 2021, 104, 3123–3143. [Google Scholar] [CrossRef] [PubMed]
- Kudahl, A.; Nielsen, S.S.; Sørensen, J.T. Relationship between antibodies against Mycobacterium avium subsp. paratuberculosis in milk and shape of lactation curves. Prev. Vet. Med. 2004, 62, 119–134. [Google Scholar] [PubMed]
- Feller, M.; Huwiler, K.; Stephan, R.; Altpeter, E.; Shang, A.; Furrer, H.; Pfyffer, G.E.; Jemmi, T.; Baumgartner, A.; Egger, M. Mycobacterium avium subspecies paratuberculosis and Crohn’s disease: A systematic review and meta-analysis. Lancet Infect. Dis. 2007, 7, 607–613. [Google Scholar]
- Kuenstner, J.T.; Naser, S.; Chamberlin, W.; Borody, T.; Graham, D.Y.; McNees, A.; Hermon-Taylor, J.; Hermon-Taylor, A.; Dow, C.T.; Thayer, W.; et al. The consensus from the Mycobacterium avium ssp. paratuberculosis (MAP) Conference 2017. Front. Public Health. 2017, 5, 208. [Google Scholar]
- Bo, M.; Erre, G.L.; Niegowska, M.; Piras, M.; Taras, L.; Longu, M.G.; Passiu, G.; Sechi, L.A. Interferon regulatory factor is a potential target of autoimmune response triggered by Epstein-Barr virus and Mycobacterium avium subsp. paratuberculosis in rheumatoid arthritis: Investigating a mechanism of molecular mimicry. Clin. Exp. Rheumatol. 2018, 36, 376–381. [Google Scholar]
- Bo, M.; Niegowska, M.; Erre, G.L.; Piras, M.; Longu, M.G.; Manchia, P.; Manca, M.; Passiu, G.; Sechi, L.A. Rheumatoid arthritis patient antibodies highly recognize IL-2 in the immune response pathway involving IRF5 and EBV antigens. Sci. Rep. 2018, 8, 1789. [Google Scholar]
- Mameli, G.; Cocco, E.; Frau, J.; Marrosu, M.G.; Sechi, L.A. Epstein-Barr virus and Mycobacterium avium subsp. paratuberculosis peptides are recognized in sera and cerebrospinal fluid of MS patients. Sci. Rep. 2016, 6, 22401. [Google Scholar] [PubMed]
- Niegowska, M.; Rapini, N.; Piccini, S.; Mameli, G.; Caggiu, E.; Manca Bitti, M.L.; Sechi, L.A. Type 1 diabetes at-risk children highly recognize Mycobacterium avium subspecies paratuberculosis epitopes homologous to human Znt8 and proinsulin. Sci. Rep. 2016, 6, 22266. [Google Scholar]
- Groenendaal, H.; Nielen, M.; Jalvingh, A.W.; Horst, S.H.; Galligan, D.T.; Hesselink, J.W. A simulation of Johne’s disease control. Prev. Vet. Med. 2002, 54, 225–245. [Google Scholar]
- Garry, F. Control of paratuberculosis in dairy herds. Vet. Clin. North Am. Food Anim. Pract. 2011, 27, 599–607. [Google Scholar] [CrossRef]
- Kudahl, A.B.; Nielsen, S.S.; Ostergaard, S. Strategies for time of culling in control of paratuberculosis in dairy herds. J. Dairy Sci. 2011, 94, 3824–3834. [Google Scholar] [CrossRef]
- Wright, K.; Plain, K.; Purdie, A.; Saunders, B.M.; de Silva, K. Biomarkers for Detecting Resilience against Mycobacterial Disease in Animals. Infect. Immun. 2019, 88, e00401-19. [Google Scholar] [PubMed]
- Alonso-Hearn, M.; Badía-Bringué, G.; Canive, M. Genome-wide association studies for the identification of cattle susceptible and resilient to paratuberulosis. Front. Vet. Sci. 2022, 9, 935133. [Google Scholar]
- Sheldon, I.M.; Molinari, P.C.C.; Ormsby, T.J.R.; Bromfield, J.J. Preventing postpartum uterine disease in dairy cattle depends on avoiding, tolerating and resisting pathogenic bacteria. Theriogenology 2020, 150, 158–165. [Google Scholar]
- Medzhitov, R.; Schneider, D.S.; Soares, M.P. Disease tolerance as a defense strategy. Science 2012, 335, 936–941. [Google Scholar] [PubMed]
- Soares, M.P.; Gozzelino, R.; Weis, S. Tissue damage control in disease tolerance. Trends Immunol. 2014, 35, 483–494. [Google Scholar]
- González, J.; Geijo, M.V.; García-Pariente, C.; Verna, A.; Corpa, J.M.; Reyes, L.E.; Ferreras, M.C.; Juste, R.A.; García Marín, J.F.; Pérez, V. Histopathological classification of lesions associated with natural paratuberculosis infection in cattle. J. Comp. Pathol. 2005, 133, 184–196. [Google Scholar]
- Canive, M.; Badia-Bringué, G.; Vázquez, P.; González-Recio, O.; Fernández, A.; Garrido, J.M.; Juste, R.A.; Alonso-Hearn, M. Identification of loci associated with pathological outcomes in Holstein cattle infected with Mycobacterium avium subsp. paratuberculosis using whole-genome sequence data. Sci. Rep. 2021, 11, 20177. [Google Scholar] [PubMed]
- Badia-Bringué, G.; Canive, M.; Fernandez-Jimenez, N.; Lavín, J.L.; Casais, R.; Blanco-Vázquez, C.; Vázquez, P.; Fernández, A.; Bilbao, J.R.; Garrido, J.M.; et al. Summary-data based Mendelian randomization identifies gene expression regulatory polymorphisms associated with bovine paratuberculosis by modulation of the nuclear factor Kappa β (NF-κß)-mediated inflammatory response. BMC Genom. 2023, 24, 605. [Google Scholar]
- Sukhatme, V.P.; Cao, X.M.; Chang, L.C.; Tsai-Morris, C.H.; Stamenkovich, D.; Ferreira, P.C.; Cohen, D.R.; Edwards, S.A.; Shows, T.B.; Curran, T.; et al. A zinc-finger-encoding gene coregulated with c-fos during growth and differentiation, and after cellular depolarization. Cell 1988, 53, 37–43. [Google Scholar]
- Cao, X.M.; Koski, R.A.; Gashler, A.; McKiernan, M.; Morris, C.F.; Gaffney, R.; Hay, R.V.; Sukhatme, V.P. Identification and characterization of the Egr-1 gene product, a DNA-binding zinc-finger protein induced by differentiation and growth signals. Mol. Cell. Biol. 1990, 10, 1931–1939. [Google Scholar]
- Kharbanda, S.; Nakamura, T.; Stone, R.; Hass, R.; Bernstein, S.; Datta, R.; Sukhatme, V.P.; Kufe, D. Expression of the early growth response 1 and 2 zinc-finger genes during induction of monocytic differentiation. J. Clin. Investig. 1991, 88, 571–577. [Google Scholar] [CrossRef] [PubMed]
- Gashler, A.; Sukhatme, V.P. Earlygrowth response protein 1 (Egr-1): Pro-totype of a zinc-finger family of tran-scription factors. Prog. Nucleic Acid Res. Mol. Biol. 1995, 50, 191–224. [Google Scholar]
- Skerka, C.; Decker, E.L.; Zipfel, P.F. A regulatory element in the human interleukin 2 gene promoter is a binding site for the zinc-finger proteins Sp1 and EGR-1. J. Biol. Chem. 1995, 270, 22500–22506. [Google Scholar] [CrossRef]
- Dinkel, A.; Warnatz, K.; Ledermann, B.; Rolink, A.; Zipfel, P.F.; Bürki, K.; Eibel, H. The transcription factor early growth response 1 (Egr-1) advances differentiation of pre-B and immature B cells. J. Exp. Med. 1998, 188, 2215–2224. [Google Scholar] [CrossRef] [PubMed]
- Crosby, S.D.; Veile, R.A.; Donis-Keller, H.; Baraban, J.M.; Bhat, R.V.; Simburger, K.S.; Milbrandt, J. Neural-specific expression, genomic structure, and chromosomal localization of the gene encoding the zinc-finger transcription factor NGFI-C. Proc. Natl. Acad. Sci. USA 1992, 89, 6663. [Google Scholar] [CrossRef]
- Tourtellotte, W.G.; Nagarajan, R.; Auyeung, A.; Mueller, C.; Milbrandt, J. Infertility associated with incomplete spermatogenic arrest and oligozoospermia in Egr4-deficient mice. Development 1999, 126, 5061–5071. [Google Scholar] [CrossRef] [PubMed]
- Hadziselimovic, F.; Hadziselimovic, N.O.; Demougin, P.; Krey, G.; Hoecht, B.; Oakeley, E.J. EGR4 is a master gene responsible for fertility in cryptorchidism. Sex. Dev. 2009, 3, 253–263. [Google Scholar] [CrossRef]
- Santino, P.; Martignani, E.; Miretti, S.; Baratta, M.; Accornero, P. Mechanisms of modulation of the Egr gene family in mammary epithelial cells of different species. Gen. Comp. Endocrinol. 2017, 247, 87–96. [Google Scholar] [CrossRef]
- Wang, B.; Zhang, S.; Wang, H.; Wang, M.; Tao, Y.; Ye, M.; Fan, Z.; Wang, Y.; Liu, L. Identification of EGR4 as a prospective target for inhibiting tumor cell proliferation and a novel biomarker in colorectal cancer. Cancer Gene Ther. 2024, 31, 871–883. [Google Scholar] [CrossRef]
- He, S.; Lin, J.; Xu, Y.; Lin, L.; Feng, J. A positive feedback loop between ZNF205-AS1 and EGR4 promotes non-small cell lung cancer growth. J. Cell. Mol. Med. 2018, 23, 1495–1508. [Google Scholar] [CrossRef] [PubMed]
- Wieland, G.D.; Nehmann, N.; Müller, D.; Eibel, H.; Siebenlist, U.; Sühnel, J.; Zipfel, P.F.; Skerka, C. Early growth response proteins EGR-4 and EGR-3 interact with immune inflammatory mediators NF-kappaB p50 and p65. J. Cell Sci. 2005, 118 Pt 14, 3203–3212. [Google Scholar] [CrossRef]
- Mookerjee-Basu, J.; Hooper, R.; Gross, S.; Schultz, B.; Go, C.K.; Samakai, E.; Ladner, J.; Nicolas, E.; Tian, Y.; Zhou, B.; et al. Suppression of Ca2+ signals by EGR4 controls Th1 differentiation and anti-cancer immunity in vivo. EMBO Rep. 2020, 21, e48904. [Google Scholar] [CrossRef]
- Fraguas, S.; Barberán, S.; Iglesias, M.; Rodríguez-Esteban, G.; Cebrià, F. egr-4, a target of EGFR signaling, is required for the formation of the brain primordia and head regeneration in planarians. Development 2014, 141, 1835–1847. [Google Scholar] [CrossRef] [PubMed]
- Blanco Vázquez, C.; Alonso-Hearn, M.; Juste, R.A.; Canive, M.; Iglesias, T.; Iglesias, N.; Amado, J.; Vicente, F.; Balseiro, A.; Casais, R. Detection of latent forms of Mycobacterium avium subsp. paratuberculosis infection using host biomarker-based ELISAs greatly improves paratuberculosis diagnostic sensitivity. PLoS ONE 2020, 15, e0236336. [Google Scholar] [CrossRef] [PubMed]
- Balseiro, A.; Pérez, V.; Juste, R.A. Chronic regional intestinal inflammatory disease: A trans-species slow infection? Comp. Immunol. Microbiol. Infect. Dis. 2019, 62, 88–100. [Google Scholar] [CrossRef]
- Hogarth, C.A.; Mitchell, D.; Small, C.; Griswold, M. EGR4 displays both a cell- and intracellular-specific localization pattern in the developing murine testis. Dev. Dyn. 2010, 239, 3106–3114. [Google Scholar] [CrossRef]
- Bankhead, P.; Loughrey, M.B.; Fernandez, J.A.; Dombrowski, Y.; McArt, D.G.; Dunne, P.D.; McQuaid, S.; Gray, R.T.; Murray, L.J.; Coleman, H.G.; et al. QuPath: Open source software for digital pathology image analysis. Sci. Rep. 2017, 7, 16878. [Google Scholar]
- Kenyon, A.; Gavriouchkina, D.; Zorman, J.; Napolitani, G.; Cerundolo, V.; Sauka-Spengler, T. Active nuclear transcriptome analysis reveals inflammasome-dependent mechanism for early neutrophil response to Mycobacterium marinum. Sci. Rep. 2017, 7, 6505. [Google Scholar] [CrossRef]
- Lehman, C.W.; Smith, A.; Kelly, J.; Jacobs, J.L.; Dinman, J.D.; Kehn-Hall, K. EGR1 Upregulation during Encephalitic Viral Infections Contributes to Inflammation and Cell Death. Viruses 2022, 14, 1210. [Google Scholar] [CrossRef]
- Yuan, L.; Fung, T.S.; He, J.; Chen, R.A.; Liu, D.X. Modulation of viral replication, apoptosis and antiviral response by induction and mutual regulation of EGR and AP-1 family genes during coronavirus infection. Emerg. Microbes Infect. 2022, 11, 1717–1729. [Google Scholar] [PubMed]
- Sato, H.; Yazawa, T.; Suzuki, T.; Shimoyamada, H.; Okudela, K.; Ikeda, M.; Hamada, K.; Yamada-Okabe, H.; Yao, M.; Kubota, Y.; et al. Growth regulation via insulin-like growth factor binding protein-4 and -2 in association with mutant K-ras in lung epithelia. Am. J. Pathol. 2006, 169, 1550–1566. [Google Scholar]
- Kosla, J.; Dvorakova, M.; Dvorak, M.; Cermak, V. Effective myofibroblast dedifferentiation by concomitant inhibition of TGF-β signaling and perturbation of MAPK signaling. Eur. J. Cell Biol. 2013, 92, 363–373. [Google Scholar] [PubMed]
- Decker, E.L.; Nehmann, N.; Kampen, E.; Eibel, H.; Zipfel, P.F.; Skerka, C. Early growth response proteins (EGR) and nuclear factors of activated T cells (NFAT) form heterodimers and regulate proinflammatory cytokine gene expression. Nucleic Acids Res. 2003, 31, 911–921. [Google Scholar] [CrossRef]
- Tourtellotte, W.G.; Nagarajan, R.; Bartke, A.; Milbrandt, J. Functional compensation by Egr4 in Egr1-dependent luteinizing hormone regulation and Leydig cell steroidogenesis. Mol. Cell. Biol. 2000, 20, 5261–5268. [Google Scholar] [PubMed]
- Carter, J.H.; Tourtellotte, W.G. Early growth response transcriptional regulators are dispensable for macrophage differentiation. J. Immunol. 2007, 178, 3038–3047. [Google Scholar]
- Sukhatme, V.P.; Kartha, S.; Toback, F.G.; Taub, R.; Hoover, R.G.; Tsai-Morris, C.H. A novel early growth response gene rapidly induced by fibroblast, epithelial cell and lymphocyte mitogens. Oncogene Res. 1987, 1, 343–355. [Google Scholar]
- Hua, Y.; Wang, H.; Ye, Z.; Zheng, D.; Zhang, X. An integrated pan-cancer analysis of identifying biomarkers about the EGR family genes in human carcinomas. Comput. Biol. Med. 2022, 148, 105889. [Google Scholar]
- Drake, J.M.; Lang, B.J.; Guerrero-Gimenez, M.E.; Bolton, J.; Dow, C.A.; Calderwood, S.K.; Price, J.T.; Nguyen, C.H. Regulation of a Novel Splice Variant of Early Growth Response 4 (EGR4-S) by HER+ Signalling and HSF1 in Breast Cancer. Cancers 2022, 114, 1567. [Google Scholar]
- Tapinos, N.; Ohnishi, M.; Rambukkana, A. ErbB2 receptor tyrosine kinase signaling mediates early demyelination induced by leprosy bacilli. Nat. Med. 2006, 12, 961–966. [Google Scholar]
- Newton, K.; Dixit, V.M. Signaling in innate immunity and inflammation. Cold Spring Harb. Perspect. Biol. 2012, 4, a006049. [Google Scholar] [CrossRef] [PubMed] [PubMed Central]
- Gómez-Martín, D.; Díaz-Zamudio, M.; Galindo-Campos, M.; Alcocer-Varela, J. Early growth response transcription factors and the modulation of immune response: Implications towards autoimmunity. Autoimmun. Rev. 2010, 9, 454–458. [Google Scholar] [CrossRef] [PubMed]





| ID | ZN | ELISA | PCR-F | PCR-T | Culture-F | Culture-T | Age | CS |
|---|---|---|---|---|---|---|---|---|
| Animals with focal lesions (n = 7), age range 2.72–9.48, MEAN ± SD 6.31 ± 2.15 | ||||||||
| 8 | POS (+) | NEG (2.65) | NEG | POS | NEG | POS (<10) | 4.71 | NO |
| 19 | NEG | NEG (9.17) | NEG | POS | NEG | NEG | 6.19 | NO |
| 31 | NEG | NEG (5.51) | NEG | POS | NEG | NEG | 5.33 | NO |
| 41 | NEG | NEG (1.03) | NEG | POS | NEG | POS (<10) | 7.15 | NO |
| 51 | POS (+) | NEG (2.79) | NEG | POS | NEG | NEG | 9.48 | NO |
| 106 | NEG | NEG (2.71) | NEG | POS | NEG | POS | 2.72 | NO |
| 41F | POS (+) | NEG (6.57) | NEG | POS | NEG | NEG | 8.58 | NO |
| Animals with multifocal lesions (n = 12), age range 3.96–10.39, MEAN ± SD 5.80 ± 2.67 | ||||||||
| Animals with multifocal lesions without clinical signs (n = 7), age range 3.96–10.39, MEAN ± SD 7.44 ± 2.07 | ||||||||
| 11 | POS (+) | NEG (1.50) | NEG | NEG | NEG | POS (<10) | 7.31 | NO |
| 48 | POS (+) | NEG (4.82) | NEG | NEG | NEG | POS (<10) | 9.67 | NO |
| 62 | POS (+) | NEG (4.58) | NEG | POS | NEG | NEG | 10.39 | NO |
| 65 | POS (+) | NEG (3.46) | NC | POS | NEG | NEG | 7.7 | NO |
| 76 | POS (+) | NEG (4.86) | NEG | POS | NEG | NEG | 5.72 | NO |
| 95 | POS (+) | NEG (5.06) | NEG | POS | NEG | NEG | 7.31 | NO |
| 140 | POS (+) | NEG (14.33) | POS | POS | NEG | NEG | 3.96 | NO |
| ID | ZN | ELISA | PCR-F | PCR-T | Culture-F | Culture-T | Age | CS |
| Animals with multifocal lesions with clinical signs (n = 5), age range 2.48–6.55, MEAN ± SD 3.46 ± 1.37 | ||||||||
| 46 | POS (+) | NEG (2.98) | NEG | NEG | NEG | NEG | 2.75 | YES |
| 156 | POS (+) | NEG (3.37) | NC | NEG | NEG | NEG | 6.55 | YES |
| 166 | POS (+) | NEG (4.49) | POS | POS | NEG | NEG | 3.33 | YES |
| 213 | POS (+) | NEG (3.12) | NEG | POS | NEG | NEG | 2.48 | YES |
| 97 | POS (++) | POS (131.05) | POS | POS | NEG | POS (>50) | 2.96 | YES |
| ID | ZN | ELISA | PCR-F | PCR-T | Culture-F | Culture-T | Age | CS |
| Animals with diffuse lesions, age range 2.92–10.39, MEAN ± SD 5.92 ± 1.86 | ||||||||
| Animals with diffuse intermediate lesions, age range 3.87–8.44, MEAN ± SD 5.83 ± 1.47 | ||||||||
| 25 | POS (++) | POS (137.07) | POS | POS | NEG | POS | 8.44 | ND |
| 141 | POS (++) | POS (210.82) | POS | POS | NEG | NEG | 3.87 | YES |
| 5 | POS (++) | POS (205.94) | POS | POS | NEG | POS (>50) | 5.22 | YES |
| 26 | POS (+) | POS (187.69) | POS | POS | NEG | POS (>50) | 5.46 | NO |
| 59 | POS (++) | POS (288.75) | POS | POS | NEG | POS (<10) | 7.02 | YES |
| 32 | POS (+) | POS (241.18) | POS | POS | POS (>50) | POS (>50) | 4.47 | YES |
| 68 | POS (++) | POS (254.72) | POS | POS | POS (>50) | POS | 6.01 | YES |
| Animals with diffuse multibacillary lesions, age range 2.92–10.39, MEAN ± SD 6.01 ± 2.17 | ||||||||
| 92 | POS (+++) | POS (174.43) | NC | POS | POS | POS | 6.7 | YES |
| 101 | POS (+++) | POS (242.36) | POS | POS | POS (>50) | POS | 5.82 | YES |
| 115 | POS (+++) | POS (215.95) | POS | POS | NEG | POS (>50) | 4.74 | YES |
| 88 | POS (+++) | POS (286.51) | POS | POS | NEG | POS (>50) | 2.92 | YES |
| 99 | POS (+++) | POS (157.83) | POS | POS | POS (>50) | POS (>50) | 4.82 | YES |
| 103 | POS (+++) | POS (155.82) | POS | POS | NEG | POS (<10) | 10.39 | YES |
| 116 | POS (+++) | POS (169.16) | POS | POS | NEG | POS (10–50) | 6.7 | YES |
| Control animals without lesions (n = 6), age range 0.81–8.25, MEAN ± SD 3.45 ± 2.61 | ||||||||
| 4N | NEG | NEG (5.44) | NEG | NEG | NEG | NEG | 3.26 | ND |
| 13 | NEG | NEG (8.84) | NEG | NEG | NEG | NEG | 0.81 | NO |
| 12 | NEG | NEG (1.72) | NEG | NEG | NEG | NEG | 3.58 | NO |
| 94 | NEG | NEG (1.26) | NEG | NEG | NEG | NEG | 2.7 | NO |
| 113 | NEG | NEG (2.45) | NEG | NEG | NEG | NEG | 1.27 | NO |
| 7 | NEG | NEG (18.37) | NEG | NEG | NEG | NEG | 8.25 | ND |
| Gut Tissues (DJE + ICV + JELN + ICVLN) | Age | ||
|---|---|---|---|
| N | Nº + Cells/µm2 | ||
| Control | 200 | 0.52 (0.07–0.97) a | 2.70 (1.27–3.60) a |
| Focal | 280 | 0.66 (0.21–1.73) b | 6.19 (4.71–8.58) b |
| Multifocal-WithoutCS | 270 | 1.17 (0.41–2.70) c | 7.31 (5.72–9.67) c |
| Multifocal-WithCS | 190 | 0.61 (0.12–1.57) a,b,d | 2.96 (2.75–3.33) a |
| Diffuse intermediate | 260 | 0.40 (0.05–1.04) a,d | 5.46 (4.47–7.02) b |
| Diffuse multibacillary | 280 | 0.79 (0.05–2.39) b,e | 5.82 (4.74–6.70) b |
| Statistical analysis | Kruskal–Wallis (p < 0.001) | Kruskal–Wallis (p < 0.001) | |
| Post hoc analysis | Dunn’s test | Dunn’s test | |
| Control | 200 | 0.52 (0.07–0.97) a | 2.70 (1.27–3.60) a |
| Focal | 280 | 0.66 (0.21–1.73) b,c | 6.19 (4.71–8.58) b |
| Multifocal | 460 | 0.95 (0.25–2.24) b | 5.72 (2.96–7.70) c |
| Diffuse | 540 | 0.54 (0.05–1.66) a,c | 5.64 (4.74–6.70) b,c |
| Statistical analysis | Kruskal–Wallis (p < 0.001) | Kruskal–Wallis (p < 0.001) | |
| Post hoc analysis | Dunn’s test | Dunn’s test | |
| Control | 200 | 0.72 ± 0.85 | 3.45 ± 2.61 |
| Infected animals | 1280 | 1.49 ± 2.09 *** | 5.96 ± 2.25 *** |
| Statistical analysis | Welch’s test (p < 0.001) | Student-s test (p < 0.001) | |
| Distal Jejunum | Jejunal LN | Ileocecal Valve | Ileocecal LN | ||
|---|---|---|---|---|---|
| N | Nº + Cells/µm2 | Nº + Cells/µm2 | Nº + Cells/µm2 | Nº + Cells/µm2 | |
| Control | 40–60 | 0.21 (0.05–0.64) a | 0.42 (0.02–1.07) a | 0.65 (0.37–1.32) a,b | 0.61 (0.29–0.91) a |
| Focal | 70 | 0.90 (0.34–2.86) b | 0.52 (0.08–1.48) a | 0.70 (0.23–1.65) a,b | 0.62 (0.14–1.56) a,b |
| Multifocal-WithoutCS | 60–70 | 2.23 (1.03–4.60) c | 2.29 (1.11–4.53) b | 0.85 (0.33–1.86) b,c | 0.32 (0.12–0.71) a,b,c |
| Multifocal-WithCS | 40–50 | 1.76 (0.48–3.42) b,c | 0.17 (0.03–0.60) a | 1.00 (0.37–1.61) a,c | 0.33 (0.02–0.96) a,b,c |
| D. intermediate | 60–70 | 0.70 (0.12–1.84) b,c | 0.38 (0.05–0.93) a | 0.53 (0.17–0.90) a | 0.16 (0.00–0.50) c |
| D. multibacillary | 70 | 2.65 (0.50–4.28) b,c,d | 0.32 (0.01–2.39) a | 0.83 (0.38–1.49) a,b | 0.26 (0.00–1.36) a,b,c |
| Statistical analysis | Kruskal–Wallis (p < 0.001) | Kruskal–Wallis (p < 0.001) | Kruskal–Wallis (p = 0.027) | Kruskal–Wallis (p < 0.001) | |
| Post hoc test | Dunn’s test | Dunn’s test | Dunn’s test | Dunn’s test | |
| Control | 50–60 | 0.21 (0.05–0.64) a | 0.42 (0.02–1.07) a | 0.65 (0.37–1.32) a | 0.61 (0.29–0.91) a |
| Focal | 70 | 0.90 (0.34–2.86) b | 0.52 (0.08–1.48) a,b | 0.70 (0.23–1.65) a | 0.62 (0.14–1.56) a |
| Multifocal | 120 | 1.91 (0.88–4.22) c | 1.10 (0.17–2.71) b | 0.92 (0.35–1.79) a | 0.32 (0.07–0.82) a,b |
| Diffuse | 130–140 | 1.52 (0.18–3.46) b | 0.36 (0.02–1.60) a | 0.70 (0.25–1.12) a | 0.22 (0.00–0.89) b |
| Statistical analysis | Kruskal–Wallis (p < 0.001) | Kruskal–Wallis (p < 0.001) | Kruskal–Wallis (p = 0.069) | Kruskal–Wallis (p < 0.001) | |
| Post hoc test | Dunn’s test | Dunn’s test | Dunn’s test | Dunn’s test | |
| Control | 50–60 | 0.60 ± 0.89 | 0.68 ± 0.86 | 0.93 ± 0.93 | 0.70 ± 0.63 |
| Infected animals | 320–330 | 2.22 ± 2.19 *** | 1.68 ± 2.65 *** | 1.1 ± 1.33 | 0.90 ± 1.67 |
| Statistical Analysis | Welch’s test (p < 0.001) | Student’s test (p < 0.001) | Welch’s test (p = 0.242) | Welch’s test (p = 0.145 |
| Variate | Group | Coefficient (CI 95%, p-Value) |
|---|---|---|
| GROUP | MULTIFOCAL-WCS | - |
| Diffuse intermediate | −1.23 (−1.57 to −0.90, p < 0.001) | |
| WITHOUT LESIONS | −1.41 (−1.81 to −1.01, p < 0.001) | |
| Focal | −0.88 (−1.21 to −0.55, p < 0.001) | |
| Diffuse multibacilary | −0.37 (−0.70 to −0.04, p = 0.026) | |
| MULTIFOCAL-WITHCS | −0.94 (−1.35 to −0.54, p < 0.001) | |
| AGE | 0.01 (−0.04 to 0.06, p = 0.729) | |
| GROUP | Multifocal | - |
| Focal | −0.52 (−0.81 to −0.23, p < 0.001) | |
| WITHOUT LESIONS | −0.89 (−1.23 to −0.55, p < 0.001) | |
| Diffuse | −0.41 (−0.65 to −0.16, p = 0.001) | |
| AGE | 0.07 (0.02 to 0.11, p = 0.003) |
Disclaimer/Publisher’s Note: The statements, opinions and data contained in all publications are solely those of the individual author(s) and contributor(s) and not of MDPI and/or the editor(s). MDPI and/or the editor(s) disclaim responsibility for any injury to people or property resulting from any ideas, methods, instructions or products referred to in the content. |
© 2025 by the authors. Licensee MDPI, Basel, Switzerland. This article is an open access article distributed under the terms and conditions of the Creative Commons Attribution (CC BY) license (https://creativecommons.org/licenses/by/4.0/).
Share and Cite
Navarro León, A.I.; Alonso-Hearn, M.; Muñoz, M.; Iglesias, N.; Badia-Bringué, G.; Iglesias, T.; Balseiro, A.; Casais, R. Early Growth Response Factor 4 (EGR4) Expression in Gut Tissues and Regional Lymph Nodes of Cattle with Different Types of Paratuberculosis-Associated Lesions: Potential Role of EGR4 in Resilience to Paratuberculosis. Animals 2025, 15, 1012. https://doi.org/10.3390/ani15071012
Navarro León AI, Alonso-Hearn M, Muñoz M, Iglesias N, Badia-Bringué G, Iglesias T, Balseiro A, Casais R. Early Growth Response Factor 4 (EGR4) Expression in Gut Tissues and Regional Lymph Nodes of Cattle with Different Types of Paratuberculosis-Associated Lesions: Potential Role of EGR4 in Resilience to Paratuberculosis. Animals. 2025; 15(7):1012. https://doi.org/10.3390/ani15071012
Chicago/Turabian StyleNavarro León, Alejandra Isabel, Marta Alonso-Hearn, Marta Muñoz, Natalia Iglesias, Gerard Badia-Bringué, Tania Iglesias, Ana Balseiro, and Rosa Casais. 2025. "Early Growth Response Factor 4 (EGR4) Expression in Gut Tissues and Regional Lymph Nodes of Cattle with Different Types of Paratuberculosis-Associated Lesions: Potential Role of EGR4 in Resilience to Paratuberculosis" Animals 15, no. 7: 1012. https://doi.org/10.3390/ani15071012
APA StyleNavarro León, A. I., Alonso-Hearn, M., Muñoz, M., Iglesias, N., Badia-Bringué, G., Iglesias, T., Balseiro, A., & Casais, R. (2025). Early Growth Response Factor 4 (EGR4) Expression in Gut Tissues and Regional Lymph Nodes of Cattle with Different Types of Paratuberculosis-Associated Lesions: Potential Role of EGR4 in Resilience to Paratuberculosis. Animals, 15(7), 1012. https://doi.org/10.3390/ani15071012

