Gut Morphological Structure-Microbial Characteristics in Elaphodus cephalophus: A Case Report
Simple Summary
Abstract
1. Introduction
2. Materials and Methods
2.1. Sample Collection
2.2. Observation of Gastrointestinal Tissue Structure
2.3. Gastrointestinal Microbial DNA Extraction
2.4. Bacterial PCR Amplification and Illumina MiSeq Sequencing
2.5. Fungal PCR Amplification, Illumina MiSeq Sequencing
2.6. Data Analysis of Sequencing Results
2.7. Analysis of Slice Result Data
3. Results
3.1. Gastrointestinal Structural Features and Their Correlation
3.1.1. Gastrointestinal Histological Structure of Elaphodus cephalophus
3.1.2. The Thickness of the Circular and Longitudinal Muscle Layers of the Gastrointestinal Tract in the Elaphodus cephalophus
3.1.3. Correlation Characteristics of the Circular and Longitudinal Muscle Layers in the Gastrointestinal Tract of Elaphodus cephalophus
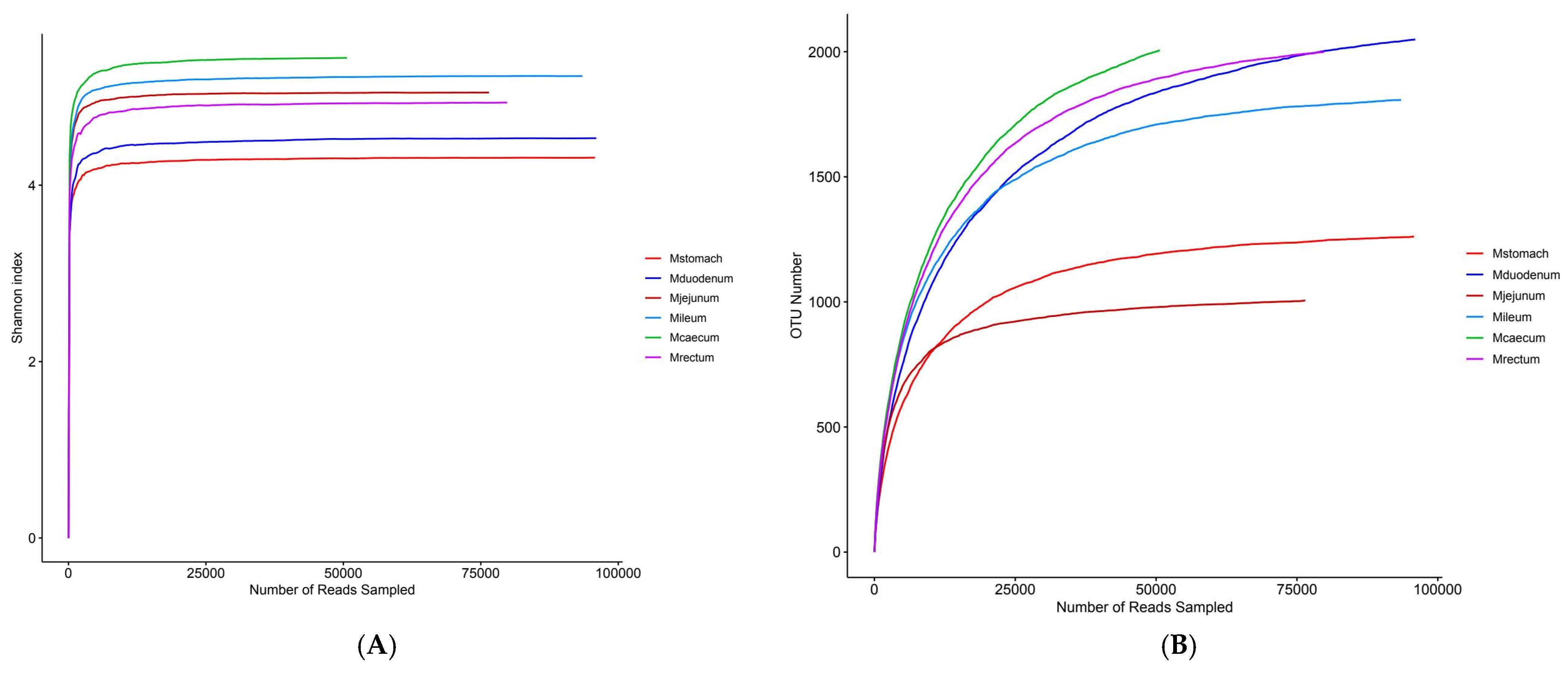
3.2. Bacterial Community Composition and Diversity
3.3. Fungal Community Composition and Diversity
4. Discussion
5. Conclusions
Supplementary Materials
Author Contributions
Funding
Institutional Review Board Statement
Informed Consent Statement
Data Availability Statement
Conflicts of Interest
Abbreviations
| GIT | Gastrointestinal Tract |
| ITS | Internal Transcribed Spacer |
| OTU | Operational Taxonomic Unit |
| ASV | Amplicon Sequence Variant |
| PCoA | Principal Coordinate Analysis |
| PLS-DA | Partial Least Squares Discriminant Analysis |
| SCFAs | Short-Chain Fatty Acids |
| IBD | Inflammatory Bowel Disease |
References
- Kogut, M.H. The effect of microbiome modulation on the intestinal health of poultry. Anim. Feed Sci. Technol. 2019, 250, 32–40. [Google Scholar] [CrossRef]
- Liu, Y.; Shu, Y.; Huang, Y.; Wen, J.; Li, Z.; Wu, Y.; Wang, H.; Zhang, C. Microbial Biogeography along the Gastrointestinal Tract of a Wild Chinese Muntjac (Muntiacus reevesi). Microorganisms 2024, 12, 1587. [Google Scholar] [CrossRef]
- Hu, X.; Wei, Y.; Zhang, T.; Li, Z.; Li, M.; Wang, Z.; Zhao, J. Gastrointestinal Biogeography of Luminal Microbiota and Short-Chain Fatty Acids in Sika Deer (Cervus nippon). Appl. Environ. Microbiol. 2022, 88, e00499-22. [Google Scholar] [CrossRef]
- Henderson, G.; Cox, F.; Ganesh, S.; Jonker, A.; Young, W. Global Rumen Census Collaborators; Janssen, P.H. Rumen Microbial Community Composition Varies with Diet and Host, but a Core Microbiome Is Found Across a Wide Geographical Range. Sci. Rep. 2015, 5, 14567. [Google Scholar] [CrossRef]
- Li, Z.; Si, H.; Nan, W.; Wang, X.; Zhang, T.; Li, G. Bacterial community and metabolome shifts in the cecum and colon of captive sika deer (Cervus nippon) from birth to post weaning. FEMS Microbiol. Lett. 2019, 366, fnz010. [Google Scholar] [CrossRef]
- Janusz, G.; Pawlik, A.; Sulej, J.; Świderska-Burek, U.; Jarosz-Wilkołazka, A.; Paszczyński, A. Lignin Degradation: Microorganisms, Enzymes Involved, Genomes Analysis and Evolution. FEMS Microbiol. Rev. 2017, 41, 941–962. [Google Scholar] [CrossRef] [PubMed]
- Ley, R.E.; Hamady, M.; Lozupone, C.A.; Turnbaugh, P.J.; Ramey, R.R.; Bircher, J.S.; Schlegel, M.L.; Tucker, T.A.; Schrenzel, M.D.; Knight, R.; et al. Evolution of Mammals and Their Gut Microbes. Science 2008, 320, 1647–1651. [Google Scholar] [CrossRef] [PubMed]
- Escalas, A.; Hale, L.; Voordeckers, J.W.; Yang, Y.; Firestone, M.K.; Alvarez-Cohen, L.; Zhou, J. Microbial Functional Diversity: From Concepts to Applications. Ecol. Evol. 2019, 9, 12000–12016. [Google Scholar] [CrossRef]
- Yan, W.; Sun, C.; Zheng, J.; Wen, C.; Ji, C.; Zhang, D. Efficacy of Fecal Sampling as a Gut Proxy in the Study of Chicken Gut Microbiota. Front. Microbiol. 2019, 10, 2126. [Google Scholar] [CrossRef]
- Sun, Z.; Orozco-terWengel, P.; Chen, G.; Li, Y.; Zhang, D.; Wu, Y.; Wu, Y.; Zhang, B.; Wu, Y.; Wu, S. Spatial Dynamics of Chinese Muntjac Related to Past and Future Climate Fluctuations. Curr. Zool. 2021, 67, 361–370. [Google Scholar] [CrossRef]
- Spardellati, D.L.; Fischer, A.; Cox, M.S.; Li, W.; Kalscheur, K.F.; Suen, G.; Weimer, P.J. The Bovine Epimural Microbiota Displays Compositional and Structural Heterogeneity Across Different Ruminal Locations. J. Dairy Sci. 2020, 103, 3636–3647. [Google Scholar] [CrossRef] [PubMed]
- Brown, K.; Abbott, D.W.; Uwiera, R.R.E.; Inglis, G.D. Removal of the Cecum Affects Intestinal Fermentation, Enteric Bacterial Community Structure, and Acute Colitis in Mice. Gut Microbes 2018, 9, 218–235. [Google Scholar] [CrossRef] [PubMed]
- Malmuthuge, N.; Guan, L.L. Understanding Host-Microbial Interactions in Rumen: Searching the Best Opportunity for Microbiota Manipulation. J. Anim. Sci. Biotechnol. 2019, 8, 8. [Google Scholar] [CrossRef]
- Donaldson, G.P.; Lee, S.M.; Mazmanian, S.K. Gut Biogeography of the Bacterial Microbiota. Nat. Rev. Microbiol. 2016, 14, 20–32. [Google Scholar] [CrossRef]
- Taxis, T.M.; Wolff, S.; Gregg, S.J.; Minton, N.O.; Besser, T.E. The Players May Change but the Game Remains: Network Analyses of Ruminal Microbiomes Suggest Taxonomic Differences Mask Functional Similarity. Nucleic Acids Res. 2015, 43, 9600–9612. [Google Scholar] [CrossRef]
- Mackie, R.I.; White, B.A. Gastrointestinal Microbiology; Springer: New York, NY, USA, 1997; Volume 1. [Google Scholar]
- Gruninger, R.J.; Puniya, A.K.; Callaghan, T.M.; Edwards, J.E.; Youssef, N.; Dagar, S.S.; Fliegerova, K.; Griffith, G.W.; Forster, R.; Tsang, A.; et al. Anaerobic Fungi (phylum Neocallimastigomycota): Advances in Understanding Their Taxonomy, Life Cycle, Ecology, Role and Biotechnological Potential. FEMS Microbiol. Ecol. 2014, 90, 1–17. [Google Scholar] [CrossRef]
- Chen, X.; Yan, F.; Liu, T.; Zhang, Y.; Li, X.; Wang, M.; Zhang, C.; Xu, X.; Deng, L.; Yao, J.; et al. Ruminal Microbiota Determines the High-Fiber Utilization of Ruminants: Evidence from the Ruminal Microbiota Transplant. Microbiol. Spectr. 2022, 10, e0044622. [Google Scholar] [CrossRef]
- Almeida, A.; Mitchell, A.L.; Boland, M.; Forster, S.C.; Gloor, G.B.; Tarkowska, A.; Finn, R.D. A New Genomic Blueprint of the Human Gut Microbiota. Nature 2019, 568, 499–504. [Google Scholar] [CrossRef]
- Quast, C.; Pruesse, E.; Yilmaz, P.; Gerken, J.; Schweer, T.; Yarza, P.; Peplies, J.; Glöckner, F.O. The SILVA Ribosomal RNA Gene Database Project: Improved Data Processing and Web-Based Tools. Nucleic Acids Res. 2013, 41, 590–596. [Google Scholar] [CrossRef]
- Carr, K.E.; Toner, P.G. Morphology of the Intestinal Mucosa. In Pharmacology of Intestinal Permeation I; Csáky, T.Z., Ed.; Springer: Berlin/Heidelberg, Germany, 1984; pp. 1–32. [Google Scholar]
- Li, B.; Yang, Y.; Xu, B.; Li, J.; Liu, S.; Wang, H.; Liu, H.; Li, Y. Comparative Macrogenomics Reveal Plateau Adaptation of Gut Microbiome in Cervids. BMC Biol. 2025, 23, 154. [Google Scholar] [CrossRef] [PubMed]
- Gibiino, G.; Lopetuso, L.R.; Scaldaferri, F.; Rizzatti, G.; Binda, C.; Gasbarrini, A. Exploring Bacteroidetes: Metabolic Key Points and Immunological Tricks of Our Gut Commensals. Dig. Liver Dis. 2018, 50, 635–639. [Google Scholar] [CrossRef]
- Chen, Y.; Xiao, L.; Zhou, M.; Zhang, H. The Microbiota: A Crucial Mediator in Gut Homeostasis and Colonization Resistance. Front. Microbiol. 2024, 15, 1417864. [Google Scholar] [CrossRef]
- Guan, T.P.; Teng, J.L.L.; Fong, J.Y.H.; Lau, S.K.P.; Woo, P.C.Y. Seasonal shift in gut microbiome diversity in wild Sichuan takin (Budorcas tibetanus) and environmental adaptation. Comput. Struct. Biotechnol. J. 2023, 21, 1283–1291. [Google Scholar] [CrossRef] [PubMed]
- Jiang, F.; Gao, H.; Qin, W.; Song, P.; Wang, H.; Zhang, J.; Liu, D.; Wang, D.; Zhang, T. Marked Seasonal Variation in Structure and Function of Gut Microbiota in Forest and Alpine Musk Deer. Front. Microbiol. 2021, 12, 699797. [Google Scholar] [CrossRef]
- Berg Miller, M.E.; Yeoman, C.J.; Chia, N.; Tringe, S.G.; Angly, F.; Dinsdale, E.A.; Leigh, M.B. Phage-Bacteria Relationships and CRISPR Elements Revealed by a Metagenomic Survey of the Rumen Microbiome. Environ. Microbiol. 2012, 14, 207–227. [Google Scholar] [CrossRef]
- Guo, J.; Li, Z.; Jin, Y.; Liu, S.; An, T.; Chen, W.; Li, Y.; Li, J. The Gut Microbial Differences Between Pre-Released and Wild Red Deer: Firmicutes Abundance May Affect Wild Adaptation After Release. Front. Microbiol. 2024, 15, 1401373. [Google Scholar] [CrossRef]
- Kim, J.H.; Hong, S.W.; Park, B.Y.; Yoo, J.G.; Oh, M.H. Characterization of the Bacterial Community in the Gastrointestinal Tracts of Elk (Cervus canadensis). Antonie Van Leeuwenhoek 2019, 112, 225–235. [Google Scholar] [CrossRef]
- Waters, J.L.; Ley, R.E. The Human Gut Bacteria Christensenellaceae Are Widespread, Heritable, and Associated with Health. BMC Biol. 2019, 17, 83. [Google Scholar] [CrossRef]
- Li, J.; Hu, X.; Tao, X.; Lin, R.; Yang, J.; Zhang, S.; Peng, Y. Deconstruct the Link Between Gut Microbiota and Neurological Diseases: Application of Mendelian Randomization Analysis. Front. Cell. Infect. Microbiol. 2025, 15, 1433131. [Google Scholar] [CrossRef] [PubMed]
- Li, Z.; Wang, X.; Zhang, T.; Li, J.; Tang, Y.; Cao, Z.; Yang, T.; Wang, K. The Development of Microbiota and Metabolome in Small Intestine of Sika Deer (Cervus nippon) from Birth to Weaning. Front. Microbiol. 2018, 9, 4. [Google Scholar] [CrossRef] [PubMed]
- Tenaillon, O.; Rodríguez-Verdugo, A.; Gaut, R.L.; McDonald, P.; Bennett, A.F.; Long, A.D. The Molecular Diversity of Adaptive Convergence in the Escherichia coli Genome. Science 2012, 335, 457–461. [Google Scholar] [CrossRef]
- Hentati, N.; Fournier, H.D.; Papon, X.; Vasseur, C.; Mercier, P. Arterial Supply of the Duodenal Bulb: An Anatomoclinical Study. Surg. Radiol. Anat. 1999, 21, 159–164. [Google Scholar] [CrossRef] [PubMed]
- Helander, H.F.; Fändriks, L. Surface Area of the Digestive Tract–Revisited. Scand. J. Gastroenterol. 2014, 49, 681–689. [Google Scholar] [CrossRef]
- Friedman, E.S.; Bittinger, K.; Esipova, T.V.; Hou, L.; Chau, L.; Jiang, J.; Mesaros, C.; Lund, P.J.; Liang, X.; FitzGerald, G.A.; et al. Microbes vs. Chemistry in the Origin of the Anaerobic Gut Lumen. Proc. Natl. Acad. Sci. USA 2018, 115, 4170–4175. [Google Scholar] [CrossRef] [PubMed]
- Bürgisser, G.M.; Heuberger, D.M.; Giovanoli, P.; Calcagni, M.; Froschauer, S.M. Delineation of the Healthy Rabbit Duodenum by Immunohistochemistry—A Short Communication. Acta Histochem. 2024, 126, 152136. [Google Scholar] [CrossRef]
- Peterson, L.W.; Artis, D. Intestinal Epithelial Cells: Regulators of Barrier Function and Immune Homeostasis. Nat. Rev. Immunol. 2014, 14, 141–153. [Google Scholar] [CrossRef]
- Murugkar, P.P.; Collins, A.J.; Chen, T.; Dewhirst, F.E. Isolation and Cultivation of Candidate Phyla Radiation Saccharibacteria (TM7) Bacteria in Coculture with Bacterial Hosts. J. Oral Microbiol. 2020, 12, 1814666. [Google Scholar] [CrossRef] [PubMed]
- He, W.; Liang, H.; Li, W.; Liu, F.; Zhang, Y.; Wang, S.; Zhao, F.; Li, J.; Qiu, L.; Zheng, Y.; et al. Revealing an Unprecedented Diversity of Episymbiotic Saccharibacteria in a High-Quality Genome Collection. NPJ Biofilms Microbiomes 2024, 10, 153. [Google Scholar] [CrossRef]
- Lemos, L.N.; Medeiros, J.D.; Dini-Andreote, F.; Fernandes, G.R.; Varani, A.M.; Oliveira, G.; Pylro, V.S. Genomic Signatures and Co-Occurrence Patterns of the Ultra-Small Saccharimonadia (phylum CPR/Patescibacteria) Suggest a Symbiotic Lifestyle. Mol. Ecol. 2019, 28, 4259–4271. [Google Scholar] [CrossRef]
- Zhu, D.; Che, L.; Yu, B.; Huang, Z.; Chen, D.; Yang, W.; Zheng, P.; Luo, Y.; Yu, J.; Luo, J.; et al. Extruded Enzyme-Added Corn Improves the Growth Performance, Intestinal Function, and Microbiome of Weaning Piglets. Animals 2022, 12, 1002. [Google Scholar] [CrossRef]
- Li, Z.; Ding, L.; Zhu, W.; Hang, S. Effects of the Increased Protein Level in Small Intestine on the Colonic Microbiota, Inflammation and Barrier Function in Growing Pigs. BMC Microbiol. 2022, 22, 168. [Google Scholar] [CrossRef] [PubMed]
- Tian, J.; Utter, D.R.; Cen, L.; Zhou, X.; Zhou, Y.; Zhou, Z.; Zhou, H.; Li, Y.; Zhou, Y.; He, X.; et al. Acquisition of the Arginine Deiminase System Benefits Epiparasitic Saccharibacteria and Their Host Bacteria in a Mammalian Niche Environment. Proc. Natl. Acad. Sci. USA 2022, 119, e2114909119. [Google Scholar] [CrossRef] [PubMed]
- Manici, L.M.; Caputo, F.; De Sabata, D.; Palumbo, F.; Fumagalli, D.; Fornasier, F. The Enzyme Patterns of Ascomycota and Basidiomycota Fungi Reveal Their Different Functions in Soil. Appl. Soil Ecol. 2024, 196, 105323. [Google Scholar] [CrossRef]
- Xie, X.; Yang, H.; Zhao, X.; Teng, L.; Yang, Y.; Luo, H. Potential Role of Key Rumen Microbes in Regulating Host Health and Growth Performance in Hu Sheep. Anim. Microbiome 2025, 7, 51. [Google Scholar] [CrossRef]








| Correlation Structure | Correlation Coefficient (*r*) |
|---|---|
| Gastric ring muscular layer-duodenal ring muscular layer | 0.845 |
| Gastric longitudinal muscle layer—duodenal longitudinal muscle layer | 0.745 |
Disclaimer/Publisher’s Note: The statements, opinions and data contained in all publications are solely those of the individual author(s) and contributor(s) and not of MDPI and/or the editor(s). MDPI and/or the editor(s) disclaim responsibility for any injury to people or property resulting from any ideas, methods, instructions or products referred to in the content. |
© 2025 by the authors. Licensee MDPI, Basel, Switzerland. This article is an open access article distributed under the terms and conditions of the Creative Commons Attribution (CC BY) license (https://creativecommons.org/licenses/by/4.0/).
Share and Cite
Chen, S.; Dai, H.; Feng, Z.; Zhu, H.; Zhang, J.; Fang, T.; Yuan, S.; Wu, B. Gut Morphological Structure-Microbial Characteristics in Elaphodus cephalophus: A Case Report. Animals 2025, 15, 3651. https://doi.org/10.3390/ani15243651
Chen S, Dai H, Feng Z, Zhu H, Zhang J, Fang T, Yuan S, Wu B. Gut Morphological Structure-Microbial Characteristics in Elaphodus cephalophus: A Case Report. Animals. 2025; 15(24):3651. https://doi.org/10.3390/ani15243651
Chicago/Turabian StyleChen, Siying, Hao Dai, Zhiyu Feng, Haiyang Zhu, Jiahua Zhang, Tingting Fang, Shibin Yuan, and Bangyuan Wu. 2025. "Gut Morphological Structure-Microbial Characteristics in Elaphodus cephalophus: A Case Report" Animals 15, no. 24: 3651. https://doi.org/10.3390/ani15243651
APA StyleChen, S., Dai, H., Feng, Z., Zhu, H., Zhang, J., Fang, T., Yuan, S., & Wu, B. (2025). Gut Morphological Structure-Microbial Characteristics in Elaphodus cephalophus: A Case Report. Animals, 15(24), 3651. https://doi.org/10.3390/ani15243651

