CKMT2 Promotes Breast Muscle Growth in Qiangying Ducks via Enhancing Myoblast Proliferation and Differentiation
Simple Summary
Abstract
1. Introduction
2. Materials and Methods
2.1. Animal Samples
2.2. Preparation of Breast Muscle Paraffin Sections and HE Staining
2.3. RNA Isolation and RNA-Seq Analysis
2.4. Functional Analysis of Differentially Expressed Genes
2.5. Vector Construction
2.6. Isolation, Culture, and Transfection of Primary Duck Myoblasts
2.7. CCK8 Assay
2.8. Quantitative Real-Time PCR (qRT-PCR)
2.9. Western Blot
2.10. SNP Typing of CKMT2
2.11. Statistical Analysis
3. Results
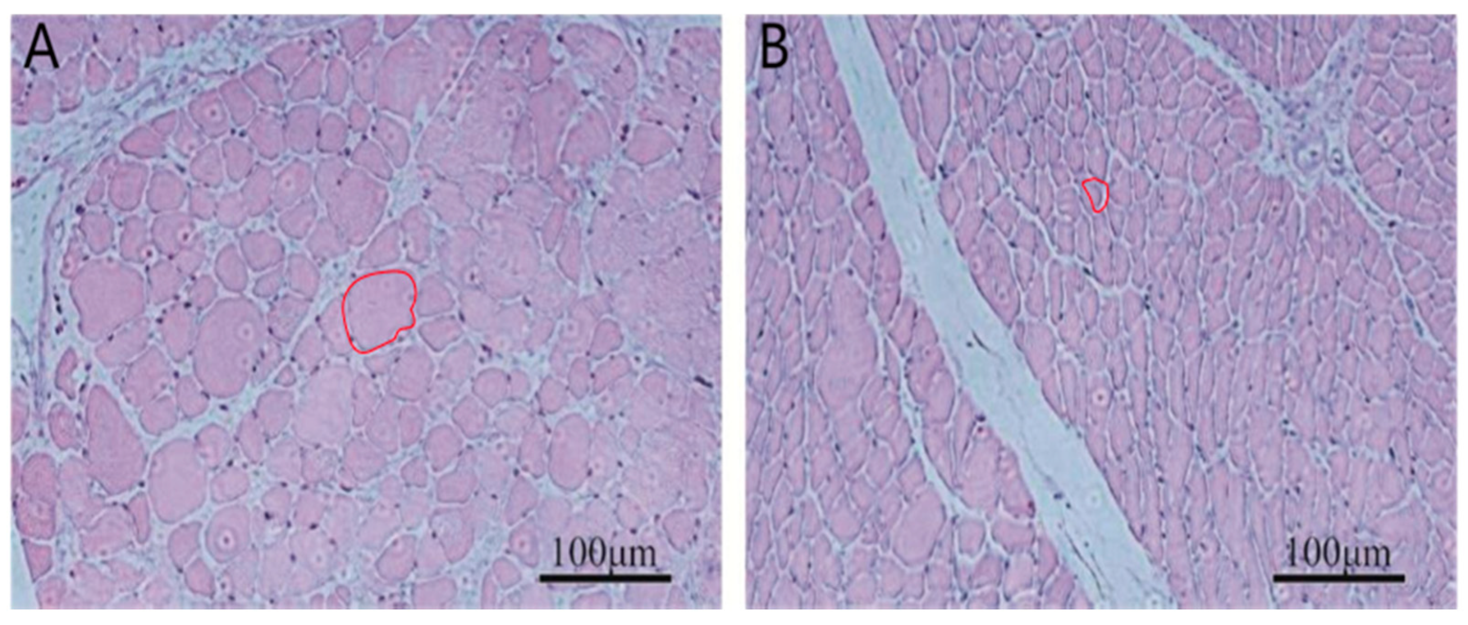
3.1. Comparison Analysis of Duck Breast Muscle Weight and Muscle Fiber Area
3.2. Quality of Sequencing Data
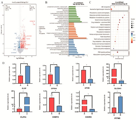
3.3. Identification of DEGs in Different Groups of Duck Breast Muscle Tissue
3.4. qRT-PCR Validation of DEGs in Duck Breast Tissues
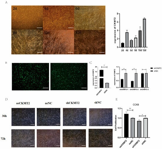
3.5. CKMT2 Promotes the Differentiation of Myoblasts and the Formation of Myotubes
3.6. Analysis of Single Nucleotide Polymorphisms (SNPs) in the CKMT2 Gene and Their Association with Breast Muscle Weight
4. Discussion
5. Conclusions
Author Contributions
Funding
Institutional Review Board Statement
Informed Consent Statement
Data Availability Statement
Conflicts of Interest
Abbreviations
| CKMT2 | Creatine Kinase, Mitochondrial 2 |
| SNP | Single Nucleotide Polymorphism |
| GO | Gene Ontology |
| KEGG | Kyoto Encyclopedia of Genes and Genomes |
| DEGs | Differentially Expressed Genes |
| FDR | False Discovery Rate |
| FPKM | Fragments Per Kilobase per Million mapped reads |
| qRT-PCR | Quantitative Real-Time Polymerase Chain Reaction |
| CCK8 | Cell Counting Kit-8 |
References
- Gariglio, M.; Dabbou, S.; Gai, F.; Trocino, A.; Xiccato, G.; Holodova, M.; Gresakova, L.; Nery, J.; Oddon, S.B.; Biasato, I.; et al. Black soldier fly larva in Muscovy duck diets: Effects on duck growth, carcass property, and meat quality. Poult. Sci. 2021, 100, 101303. [Google Scholar] [CrossRef]
- Albrecht, E.; Teuscher, F.; Ender, K.; Wegner, J. Growth-and breed-related changes of muscle bundle structure in cattle. J. Anim. Sci. 2006, 84, 2959–2964. [Google Scholar] [CrossRef]
- Joo, S.T.; Kim, G.D.; Hwang, Y.H.; Ryu, Y.C. Control of fresh meat quality through manipulation of muscle fiber characteristics. Meat Sci. 2013, 95, 828–836. [Google Scholar] [CrossRef]
- Ren, L.; Liu, A.; Wang, Q.; Wang, H.; Dong, D.; Liu, L. Transcriptome analysis of embryonic muscle development in Chengkou Mountain Chicken. BMC Genom. 2021, 22, 431. [Google Scholar] [CrossRef] [PubMed]
- Shi, H.; He, Y.; Li, X.; Du, Y.; Zhao, J.; Ge, C. Regulation of Non-Coding RNA in the Growth and Development of Skeletal Muscle in Domestic Chickens. Genes 2022, 13, 1033. [Google Scholar] [CrossRef] [PubMed]
- Muszyński, S.; Dajnowska, A.; Arciszewski, M.B.; Rudyk, H.; Śliwa, J.; Krakowiak, D.; Piech, M.; Nowakowicz-Dębek, B.; Czech, A. Effect of fermented rapeseed meal in feeds for growing piglets on bone morphological traits, mechanical properties, and bone metabolism. Animals 2023, 13, 1080. [Google Scholar] [CrossRef]
- Wojciechowska-Puchałka, J.; Calik, J.; Krawczyk, J.; Obrzut, J.; Tomaszewska, E.; Muszyński, S.; Wojtysiak, D. The effect of caponization on tibia bone histomorphometric properties of crossbred roosters. Sci. Rep. 2024, 14, 4062. [Google Scholar] [CrossRef] [PubMed]
- Prakatur, I.; Miskulin, M.; Pavic, M.; Marjanovic, K.; Blazicevic, V.; Miskulin, I.; Domacinovic, M. Intestinal morphology in broiler chickens supplemented with propolis and bee pollen. Animals 2019, 9, 301. [Google Scholar] [CrossRef]
- Morgan, J.E.; Partridge, T.A. Muscle satellite cells. Int. J. Biochem. Cell Biol. 2003, 35, 1151–1156. [Google Scholar] [CrossRef]
- Bischoff, R.; Heintz, C. Enhancement of skeletal muscle regeneration. Dev. Dyn. Off. Publ. Am. Assoc. Anat. 1994, 201, 41–54. [Google Scholar] [CrossRef]
- Ordahl, C.P.; Le Douarin, N.M. Two myogenic lineages within the developing somite. Development 1992, 114, 339–353. [Google Scholar] [CrossRef]
- Lewandowski, D.; Dubińska-Magiera, M.; Migocka-Patrzałek, M.; Niedbalska-Tarnowska, J.; Haczkiewicz-Leśniak, K.; Dzięgiel, P.; Daczewska, M. Everybody wants to move-Evolutionary implications of trunk muscle differentiation in vertebrate species. Semin. Cell Dev. Biol. 2020, 104, 3–13. [Google Scholar] [CrossRef] [PubMed]
- Mcpherron, A.C.; Lawler, A.M.; Lee, S.J. Regulation of skeletal muscle mass in mice by a new TGF-beta superfamily member. Nature 1997, 387, 83–90. [Google Scholar] [CrossRef]
- Shirakawa, T.; Toyono, T.; Inoue, A.; Matsubara, T.; Kawamoto, T.; Kokabu, S. Factors Regulating or Regulated by Myogenic Regulatory Factors in Skeletal Muscle Stem Cells. Cells 2022, 11, 1493. [Google Scholar] [CrossRef]
- Buckingham, M. Skeletal muscle formation in vertebrates. Curr. Opin. Genet. Dev. 2001, 11, 440–448. [Google Scholar] [CrossRef]
- Ehrlich, K.C.; Deng, H.W.; Ehrlich, M. Epigenetics of Mitochondria-Associated Genes in Striated Muscle. Epigenomes 2021, 6, 1. [Google Scholar] [CrossRef]
- Klein, S.C.; Haas, R.C.; Perryman, M.B.; Billadello, J.; Strauss, A. Regulatory element analysis and structural characterization of the human sarcomeric mitochondrial creatine kinase gene. J. Biol. Chem. 1991, 266, 18058–18065. [Google Scholar] [CrossRef]
- Voillet, V.; San Cristobal, M.; Père, M.C.; Billon, Y.; Canario, L.; Liaubet, L.; Lefaucheur, L. Integrated Analysis of Proteomic and Transcriptomic Data Highlights Late Fetal Muscle Maturation Process. Mol. Cell. Proteom. MCP 2018, 17, 672–693. [Google Scholar] [CrossRef] [PubMed]
- Bottje, W.; Kong, B.-W.; Reverter, A.; Waardenberg, A.J.; Lassiter, K.; Hudson, N.J. Progesterone signalling in broiler skeletal muscle is associated with divergent feed efficiency. BMC Syst. Biol. 2017, 11, 29. [Google Scholar] [CrossRef] [PubMed]
- Porter, J.D.; Merriam, A.P.; Gong, B.; Kasturi, S.; Zhou, X.; Hauser, K.F.; Andrade, F.H.; Cheng, G. Postnatal suppression of myomesin, muscle creatine kinase and the M-line in rat extraocular muscle. J. Exp. Biol. 2003, 206 Pt 17, 3101–3112. [Google Scholar] [CrossRef]
- Cheng, G.; Porter, J.D. Transcriptional profile of rat extraocular muscle by serial analysis of gene expression. Investig. Ophthalmol. Vis. Sci. 2002, 43, 1048–1058. [Google Scholar]
- Hu, X.; Liu, Y.; Tang, B.; Hu, J.; He, H.; Liu, H.; Li, L.; Hu, S.; Wang, J. Comparative transcriptomic analysis revealed potential mechanisms regulating the hypertrophy of goose pectoral muscles. Poult. Sci. 2024, 103, 104498. [Google Scholar] [CrossRef] [PubMed]
- Hu, Z.; Cao, J.; Ge, L.; Zhang, J.; Zhang, H.; Liu, X. Characterization and Comparative Transcriptomic Analysis of Skeletal Muscle in Pekin Duck at Different Growth Stages Using RNA-Seq. Animals 2021, 11, 834. [Google Scholar] [CrossRef]
- Wu, P.; Dai, G.; Chen, F.; Chen, L.; Zhang, T.; Xie, K.; Wang, J.; Zhang, G. Transcriptome profile analysis of leg muscle tissues between slow- and fast-growing chickens. PLoS ONE 2018, 13, e0206131. [Google Scholar] [CrossRef] [PubMed]
- Christofides, A.; Konstantinidou, E.; Jani, C.; Boussiotis, V.A. The role of peroxisome proliferator-activated receptors (PPAR) in immune responses. Metab. Clin. Exp. 2021, 114, 154338. [Google Scholar] [CrossRef]
- Picard, B.; Lefaucheur, L.; Berri, C.; Duclos, M.J. Muscle fibre ontogenesis in farm animal species. Reprod. Nutr. Dev. 2002, 42, 415–431. [Google Scholar] [CrossRef]
- Forsey, K.E.; Ellis, P.J.; Sargent, C.A.; Sturmey, R.G.; Leese, H.J. Expression and localization of creatine kinase in the preimplantation embryo. Mol. Reprod. Dev. 2013, 80, 185–192. [Google Scholar] [CrossRef]
- Huang, J.; Xiong, X.; Zhang, W.; Chen, X.; Wei, Y.; Li, H.; Xie, J.; Wei, Q.; Zhou, Q. Integrating miRNA and full-length transcriptome profiling to elucidate the mechanism of muscle growth in Muscovy ducks reveals key roles for miR-301a-3p/ANKRD1. BMC Genom. 2024, 25, 340. [Google Scholar] [CrossRef]
- Wallimann, T.; Tokarska-Schlattner, M.; Schlattner, U. The creatine kinase system and pleiotropic effects of creatine. Amino Acids 2011, 40, 1271–1296. [Google Scholar] [CrossRef]
- Wu, N.; Gu, T.; Lu, L.; Cao, Z.; Song, Q.; Wang, Z.; Zhang, Y.; Chang, G.; Xu, Q.; Chen, G. Roles of miRNA-1 and miRNA-133 in the proliferation and differentiation of myoblasts in duck skeletal muscle. J. Cell. Physiol. 2019, 234, 3490–3499. [Google Scholar] [CrossRef]
- Eratalar, S.A.; Okur, N.; Yaman, A. The effects of stocking density on slaughter performance and some meat quality parameters of Pekin ducks. Arch. Anim. Breed. 2022, 65, 199–206. [Google Scholar] [CrossRef] [PubMed]
- Rao, S.; Morales, A.A.; Pearse, D.D. The Comparative Utility of Viromer RED and Lipofectamine for Transient Gene Introduction into Glial Cells. BioMed Res. Int. 2015, 2015, 458624. [Google Scholar] [CrossRef]
- Gao, W.; Cao, Z.; Zhang, Y.; Zhang, Y.; Zhao, W.; Chen, G.; Li, B.; Xu, Q. Comparison of carcass traits and nutritional profile intwo different broiler-type duck lines. Anim. Sci. J. 2023, 94, e13820. [Google Scholar] [CrossRef] [PubMed]
- Davoli, R.; Fontanesi, L.; Zambonelli, P.; Bigi, D.; Gellin, J.; Yerle, M.; Milc, J.; Braglia, S.; Cenci, V.; Cagnazzo, M.; et al. Isolation of porcine expressed sequence tags for the construction of a first genomic transcript map of the skeletal muscle in pig. Anim. Genet. 2002, 33, 3–18. [Google Scholar] [CrossRef]
- Richard, I.; Devaud, C.; Cherif, D.; Cohen, D.; Beckmann, J.S. The gene for creatine kinase, mitochondrial 2 (sarcomeric; CKMT2), maps to chromosome 5q13.3. Genomics 1993, 18, 134–136. [Google Scholar] [CrossRef]
- Walterscheid-Müller, U.; Braun, S.; Salvenmoser, W.; Meffert, G.; Dapunt, O.; Gnaiger, E.; Zierz, S.; Margreiter, R.; Wyss, M. Purification and characterization of human sarcomeric mitochondrial creatine kinase. J. Mol. Cell. Cardiol. 1997, 29, 921–927. [Google Scholar] [CrossRef] [PubMed]
- Wang, Z.; Duan, M.; Lu, F.; Wang, S.; Qiang, J.; Tan, Z.; Zhang, J.; Shang, P. Polymorphism and Tissue Expression Patterns of CKMT2 Gene in Tibetan and Yorkshire Pigs. China Anim. Husb. Vet. Med. 2020, 47, 3305–3313. [Google Scholar]




| Gene | Sequence (5′–3′) | Product Length/bp | |
|---|---|---|---|
| GAPDH | FGGAGAAACCAGCCAAGTAT RCCATTGAAGTCACAGGAGA | 177 | |
| CDHR5 | FGCAGCACTGTTGCTGATTACC RTCAGGGAAATCCTTGGAGAACTTT | 110 | |
| SLC5A1 | FTTTACCGCTTGTGCTGGTCT RTCACCTGCCTCTGAAACTGAC | 118 | |
| PLPP4 | FGCAGCTCCTGGCGGG RGGATCCAAAAATTCTGTAAAG | 194 | |
| IFITM5 | FTTCTCTGTCAAGGCGCGG RGAAAAAGCCCACGGAGTCCT | 192 | |
| CKMT2 | FCATTACACTCGGCTTGCTGC RTGCAGTAGGGTAACTACCTTGAA | 170 | |
| GFRA4 | FCGCCTCTTCACCGACAACATCT RCCACGGCTGAGTTCAGGTAGGT | 124 | |
| APOB | FGGACTGCAGGAACTGAGCAT RGATCCGGCCTTCACTTGTCA | 87 | |
| ELN | FAGCAGCAGCAGCAGCAAAGG RCCGATGCCAGGAACACCAACAC | 195 | |
| Primer name | Sequence | Annealing temperature (°C) | Product length/bp |
| CKMT2-12 | FTTCTGTGTAGGTTGATGTTGCT RCTGCCAGGAATCACTGTTCAT | 54 54.2 | 1044 |
| CKMT2-34 | FGGTTACTGCTCCAAGACTGAA RGGCGGTGACCACAACATT | 54.2 53.4 | 736 |
| CKMT2-5 | FGGTTCCAGCCATCCATCCT RTCAAGCGTGTTGTGATAGAAGA | 54.3 53.9 | 722 |
| CKMT2-6 | FACATTCCTCCTGGCTCATCC RAGGCACAAAGTGGTGAAGAAG | 54.7 54.6 | 714 |
| CKMT2-78 | FCCTTGGCATCAGTGGAGTTC RTCTCTTGTGTCCTCTGCTCAG | 54.2 55 | 1264 |
| CKMT2-9 | FAAGCACCAATACACTCTGACAT RCCTGGACAGACACTGGAGAG | 53.8 54.7 | 777 |
| Gene | Sequence | ||
| OECKTM2 | F CGACGCGTATGGCTGGCACTTTCTGTCGT R CCATCGATTCACTTCCTGCCAAACTGTGGCA | ||
| SHCKMT2 | F CACCGCCTCACTCCAGCCATTTATGTCAAGAGCATAAATGGCTGGAGTGAGGCTTTTTTG R CGGAGTGAGGTCGGTAAATACAGTTCTCGTATTTACCGACCTCACTCCGAAAAAACCTAG | ||
| Group | Breast Muscle Weight (g) | Muscle Fiber Area (μm2) |
|---|---|---|
| High breast muscle weight | 261.70 ± 4.573 a | 1945.7 ± 107.4 a |
| Low breast muscle weight | 180.56 ± 7.089 b | 1463.1 ± 95.5 b |
| Sample | Raw Reads (M) | RawBases (G) | Clean Reads (M) | Clean Bases (G) | Valid Bases (%) | Q30 (%) | GC (%) |
|---|---|---|---|---|---|---|---|
| A1 | 45.43 | 6.81 | 45.40 | 6.77 | 99.41 | 93.03 | 51.45 |
| A2 | 48.11 | 7.22 | 48.08 | 7.17 | 99.29 | 92.93 | 51.83 |
| A3 | 49.89 | 7.48 | 49.89 | 7.45 | 99.25 | 93.36 | 50.69 |
| B1 | 51.74 | 7.76 | 51.71 | 7.69 | 99.10 | 93.13 | 51.21 |
| B2 | 45.79 | 6.87 | 49.53 | 6.81 | 99.16 | 93.47 | 52.15 |
| B3 | 49.59 | 7.44 | 49.55 | 7.37 | 99.13 | 93.28 | 52.03 |
| Sample | Total Reads | Total Mapped Reads | Multiple Mapped | Uniquely Mapped |
|---|---|---|---|---|
| A1 | 45,401,218 | 38,600,344 (85.02%) | 21.80% | 63.22% |
| A2 | 48,080,860 | 40,482,099 (84.20%) | 21.78% | 62.41% |
| A3 | 49,854,956 | 43,283,510 (86.82%) | 24.89% | 61.95% |
| B1 | 51,695,208 | 44,176,571 (85.46%) | 28.35% | 67.11% |
| B2 | 45,763,860 | 40,030,715 (87.47%) | 31.35% | 64.91% |
| B3 | 49,552,966 | 41,785,890 (84.33%) | 19.56% | 64.76% |
| SNPs | Genotype Frequency | Allele Frequency | PIC | χ2 | p |
|---|---|---|---|---|---|
| G.76,613,408 T>C | TT (0.083), TC (0.217), CC (0.700) | T (0.191), C (0.808) | 0.3107 | 0.301 | 0.583 |
| G.76,614,856 T>C | TT (0.117), TC (O.233), CC (0.650) | T (0.233), C (0.767) | 0.3574 | 0.041 | 0.840 |
| G.76,602,082 G>A | GG (0.133), GA (0.150), AA (0.716) | G (0.208), A (0.792) | 0.3294 | 0.433 | 0.511 |
| G.76,602,120 G>A | GG (0.816), GA (0.116), AA (0.066) | G (0.725), A (0.125) | 0.458 | 0.187 | 0.677 |
| G.76,602,117G>A | GG (0.816), GA (0.116), AA (0.066) | G (0.725), A (0.125) | 0.458 | 0.187 | 0.677 |
| SNPs (Locus Position) | Genotype Frequency/n | Pectoral Muscle Weight |
|---|---|---|
| G.76,613,408 T>C (Exon) | TT (5) TC (14) CC (41) | 175.16 ± 9.91 172.42 ± 25.27 184.62 ± 26.96 |
| G.76,614,856 T>C (Exon) | TT (7) TC (14) CC (39) | 184.2 ± 11.9 181.6 ± 15.1 178.6 ± 20.4 |
| G.76,602,082 G>A (Intron) | GG (8) GA (9) AA (43) | 216.04 ± 20.92 a 191.70 ± 14.31 b 178.65 ± 19.60 b |
| G.76,602,120 G>A (Intron) | GG (49) GA (7) AA (4) | 184.42 ± 18.7 191.26 ± 21.72 175.63 ± 11.38 |
| G.76,602,117 G>A (Intron) | GG (49) GA (7) AA (4) | 184.42 ± 18.7 191.26 ± 21.72 175.63 ± 11.38 |
Disclaimer/Publisher’s Note: The statements, opinions and data contained in all publications are solely those of the individual author(s) and contributor(s) and not of MDPI and/or the editor(s). MDPI and/or the editor(s) disclaim responsibility for any injury to people or property resulting from any ideas, methods, instructions or products referred to in the content. |
© 2025 by the authors. Licensee MDPI, Basel, Switzerland. This article is an open access article distributed under the terms and conditions of the Creative Commons Attribution (CC BY) license (https://creativecommons.org/licenses/by/4.0/).
Share and Cite
Xie, L.; Wu, D.; Yang, W.; Li, Y.; Zhang, J.; Geng, Z. CKMT2 Promotes Breast Muscle Growth in Qiangying Ducks via Enhancing Myoblast Proliferation and Differentiation. Animals 2025, 15, 3516. https://doi.org/10.3390/ani15243516
Xie L, Wu D, Yang W, Li Y, Zhang J, Geng Z. CKMT2 Promotes Breast Muscle Growth in Qiangying Ducks via Enhancing Myoblast Proliferation and Differentiation. Animals. 2025; 15(24):3516. https://doi.org/10.3390/ani15243516
Chicago/Turabian StyleXie, Longfei, Dongsheng Wu, Wanli Yang, Ya Li, Jie Zhang, and Zhaoyu Geng. 2025. "CKMT2 Promotes Breast Muscle Growth in Qiangying Ducks via Enhancing Myoblast Proliferation and Differentiation" Animals 15, no. 24: 3516. https://doi.org/10.3390/ani15243516
APA StyleXie, L., Wu, D., Yang, W., Li, Y., Zhang, J., & Geng, Z. (2025). CKMT2 Promotes Breast Muscle Growth in Qiangying Ducks via Enhancing Myoblast Proliferation and Differentiation. Animals, 15(24), 3516. https://doi.org/10.3390/ani15243516
