Hormonal Masculinization of the European Grayling (Thymallus thymallus) Using 11β-Hydroxyandrostenedione (OHA) and 17α-Methyltestosterone (MT)
Simple Summary
Abstract
1. Introduction
2. Materials and Methods
2.1. Fish Stock Origin and Maintenance
2.2. Diet Preparation
2.3. Experimental Design
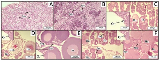
2.4. Assessment of Masculinization Rate
- (A)
- Testes—spermatogonia type A;
- (B)
- Testes—spermatogonia type A and spermatozoa;
- (C)
- Ovaries—oogonia and oocyte type I and II;
- (D)
- Ovaries—oogonia and oocyte type I, II and III;
- (E)
- Ovaries—oogonia, oocyte type I and II, and single spermatogonia;
- (F)
- Ovaries—oogonia, oocyte type I, II, and III, single spermatogonia, and spermatozoa.
2.5. Statistical Analysis
3. Results
3.1. Masculinization Rate in Experiment 1
3.2. Masculinization Rate in Experiment 2
4. Discussion
5. Conclusions
Author Contributions
Funding
Institutional Review Board Statement
Informed Consent Statement
Data Availability Statement
Acknowledgments
Conflicts of Interest
References
- Turek, J.; Randak, T.; Horky, P.; Zlabek, V.; Velisek, J.; Slavik, O.; Hanak, R. Post–release growth and dispersal of pond and hatchery—Reared European grayling Thymallus thymallus compared with their wild conspecifics in a small stream. J. Fish Biol. 2010, 76, 684–693. [Google Scholar] [CrossRef]
- Hayes, D.S.; Lautsch, E.; Unfer, G.; Greimel, F.; Zeiringer, B.; Höller, N.; Schmutz, S. Response of European grayling, Thymallus thymallus, to multiple stressors in hydropeaking rivers. J. Environ. Manag. 2021, 292, 112737. [Google Scholar] [CrossRef]
- Vom Berge, C.; Ovidio, M.; Benitez, J.P. Decline of European grayling (Thymallus thymallus L.) populations in Belgian rivers: What are the main environmental factors involved? J. Nat. Conserv. 2025, 86, 126949. [Google Scholar] [CrossRef]
- Cove, R.J.; Taylor, R.J.; Gardiner, R. European Grayling Conservation, Ecology and Management: A Practical Conservation Guide for the United Kingdom; Grayling Research Trust: Pitlochry, UK, 2018. [Google Scholar]
- Lyach, R.; Remr, J. The effect of a large-scale fishing restriction on angling harvest: A case study of grayling Thymallus thymallus in the Czech Republic. Aquat. Living Resour. 2019, 32, 11. [Google Scholar] [CrossRef]
- Susnik, S.; Berrebi, P.; Dovč, P.; Hansen, M.M.; Snoj, A. Genetic introgression between wild and stocked salmonids and the prospects for using molecular markers in population rehabilitation: The case of the Adriatic grayling (Thymallus thymallus L. 1785). Heredity 2004, 93, 273–282. [Google Scholar] [CrossRef] [PubMed]
- Maric, S.; Kalamujić, B.; Snoj, A.; Razpet, A.; Lukić-Bilela, L.; Pojskić, N.; Susnik Bajec, S. Genetic variation of European grayling (Thymallus thymallus) populations in the Western Balans. Hydrobiologica 2012, 691, 225–237. [Google Scholar] [CrossRef]
- Weiss, S.J.; Kopun, T.; Sušnik Bajec, S. Assessing natural and disturbed population structure in European grayling Thymallus thymallus: Melding phylogeographic, population genetic and jurisdictional perspectives for conservation planning. J. Fish Biol. 2013, 82, 505–521. [Google Scholar] [CrossRef]
- Lyach, R.; Remr, J. Does harvest of the European grayling, Thymallus thymallus (Actinopterygii: Salmoniformes: Salmonidae), change over time with different intensity of fish stocking and fishing effort? Acta Ichthyol. Piscat. 2020, 50, 53–62. [Google Scholar] [CrossRef]
- Avramović, M.; Turek, J.; Lepič, P.; Szmyt, M.; Pastejřík, J.; Randák, T. Can stocking with advanced European grayling fry strengthen its populations in the wild? Acta Ichthyol. Piscat. 2024, 54, 165–176. [Google Scholar] [CrossRef]
- Koskinen, M.T.; Piironen, J.; Primmer, C.R. Genetic assessment of spatiotemporal evolutionary relationships and stocking effects in grayling (Thymallus thymallus, Salmonidae). Ecol. Lett. 2002, 5, 193–205. [Google Scholar] [CrossRef]
- Duftner, N.; Koblmuller, S.; Weiss, S.; Medgyesy, N.; Sturmbauer, C. The impact of stocking on the genetic structure of European grayling (Thymallus thymallus, Salmonidae) in two alpine rivers. Hydrobiologia 2005, 542, 121–129. [Google Scholar] [CrossRef]
- Geist, J.; Kolahsa, M.; Gum, B.; Kuehn, R. The importance of genetic cluster recognition for the conservation of migratory fish species: The example of the endangered European huchen Hucho hucho (L.). J. Fish Biol. 2009, 75, 1063–1078. [Google Scholar] [CrossRef]
- Piferrer, F.; Beaumont, A.; Falguière, J.C.; Flajšhans, M.; Haffray, P.; Colombo, L. Polyploid fish and shellfish: Production, biology and applications to aquaculture for performance improvement and genetic containment. Aquaculture 2009, 293, 125–156. [Google Scholar] [CrossRef]
- Hliwa, P.; Panasiak, L.; Ziomek, E.; Rożyński, R.; Leonowicz, Ł.; Grudniewska, J.; Dobosz, S.; Ocalewicz, K. Application of high hydrostatic pressure (HHP) shock to induce triploid development in the European grayling (Thymallus thymallus L.). Anim. Reprod. Sci. 2022, 237, 106929. [Google Scholar] [CrossRef] [PubMed]
- Rożyński, R.; Kuciński, M.; Dobosz, S.; Ocalewicz, K. Successful application of UV-irradiated rainbow trout (Oncorhynchus mykiss) spermatozoa to induce gynogenetic development of the European grayling (Thymallus thymallus). Aquaculture 2023, 574, 739720. [Google Scholar] [CrossRef]
- Feist, G.; Yeoh, C.G.; Fitzpatrick, M.S.; Schreck, C.B. The production of functional sex reversed male rainbow trout with 17-methylotestosterone and 11-hydroxyandro stenedione. Aquaculture 1995, 131, 145–152. [Google Scholar] [CrossRef]
- Demska-Zakes, K.; Zakes, Z. The effect of 11 β-hydroxyanrostenedione on gonadal differentiation in pikeperch Stizostedion lucioperca L. Aquac. Res. 1999, 28, 59–63. [Google Scholar] [CrossRef]
- Atar, H.H.; Bekcan, S.; Dogankaya, L. Effects of different hormones on sex reversal of rainbow trout (Oncorhynchus mykiss Walbaum) and production of all-female populations. Biotechnol. Biotechnol. Equip. 2009, 23, 1509–1514. [Google Scholar] [CrossRef]
- Kuźmiński, H.; Dobosz, S. Effect of sex reversal in rainbow trout (Oncorhynchus mykiss Walbaum) using 17-methyltestosterone and 11-hydroxyandrostenedion. Arch. Pol. Fish. 2010, 18, 45–49. [Google Scholar] [CrossRef]
- Król, J.; Hliwa, P.; Polewacz, A.; Stabińska, A.; Dobosz, S.; Ocalewicz, K. Effect of 11β-hydroxyandrostenedione on European whitefish Coregonus lavaretus (Linnaeus, 1758). Anim. Reprod. Sci. 2017, 184, 187–195. [Google Scholar] [CrossRef]
- Piferrer, F. Endocrine sex control strategies for the feminization of teleost fish. Aquaculture 2001, 197, 229–281. [Google Scholar] [CrossRef]
- Devlin, R.H.; Nagahama, Y. Sex determination and sex differentiation in fish: An overview of genetic, physiological, and environmental influences. Aquaculture 2002, 208, 191–364. [Google Scholar] [CrossRef]
- Guiguen, Y.; Baroiller, J.F.; Ricordel, M.J.; Iseki, K.; McMeel, O.M.; Martin, S.A.; Fostier, A. Involvement of estrogens in the process of sex differentiation in two fish species: The rainbow trout (Oncorhynchus mykiss) and a tilapia (Oreochromis niloticus). Mol. Reprod. Dev. 1999, 54, 154–162. [Google Scholar] [CrossRef]
- Baroiller, J.F.; D’Cotta, H.; Saillant, E. Environmental effects on fish sex determination and differentiation. Sex. Dev. 2009, 3, 118–135. [Google Scholar] [CrossRef]
- Cios, S.; Grudniewska, J.; Witkowski, A.; Kotusz, J. Lipień; Wydawnictwo IRS: Olsztyn, Poland, 2018. [Google Scholar]
- From, J.; Rasmussen, G. A growth model, gastric evacuation, and body composition in rainbow trout, Salmo gairdneri Richardson, 1836. Dana 1984, 3, 61–139. [Google Scholar]
- Witkowski, A.; Kowalewski, M.; Kokurewicz, B. Lipień—Thymallus thymallus; PWRiL: Warszawa, Poland, 1984. [Google Scholar]
- Walsh, P.S.; Metzger, D.A.; Higuchi, R. Chelex 100 as a medium for simple extraction of DNA for PCR-based typing from forensic material. BioTechniques 1991, 10, 506–513. [Google Scholar] [CrossRef]
- Yano, A.; Nicol, B.; Jouanno, E.; Quillet, E.; Fostier, A.; Guyomard, R.; Guiguen, Y. The sexually dimorphic on the Y-chromosome gene (sdY) is a conserved male- specific Y-chromosome sequence in many salmonids. Evol. Appl. 2013, 6, 486–496. [Google Scholar] [CrossRef]
- Fischer, A.H.; Jacobson, K.A.; Rose, J.; Zeller, R. Hematoxylin and eosin staining of tissue and cell sections. Cold Spring Harb. Protoc. 2008, 5, pdb-prot4986. [Google Scholar] [CrossRef] [PubMed]
- Ghnenis, A.B.; Czaikowski, R.E.; Zhang, Z.J.; Bushman, J.S. Toluidine blue staining of resin-embedded sections for evaluation of peripheral nerve morphology. J. Vis. Exp. 2018, 137, 58031. [Google Scholar] [CrossRef]
- Król, J.; Demska-Zakęś, K.; Hliwa, P.; Korzeniowska, G. The influence of temperature on the sex differentiation process in peled Coregonus peled (Gmel.). Arch. Pol. Fish. 2003, 11, 23–31. [Google Scholar]
- Piferrer, F.; Donaldson, E.M. Gonadal differentiation in Coho salmon, Oncorhynchus kisutch, after a single treatment with androgen or estrogen at different stages during ontogenesis. Aquaculture 1989, 77, 251–262. [Google Scholar] [CrossRef]
- Dziewulska, K.; Domagala, J. Testicular development in the sea trout (Salmo trutta morpha trutta L.) after sex differentiation, with a reference to precocious maturation. J. Appl. Ichthyol. 2004, 20, 282–289. [Google Scholar] [CrossRef]
- Sacobie, C.F.D.; Benfey, T.J. Sex differentiation and early gonadal development in brook trout. N. Am. J. Aquac. 2005, 67, 181–186. [Google Scholar] [CrossRef]
- Chiasson, M.; Benfey, T.J. Gonadal differentiation and hormonal sex reversal in arctic charr (Salvelinus alpinus). J. Exp. Zool. Part A-Ecol. Genet. Physiol. 2007, 307A, 527–534. [Google Scholar] [CrossRef]
- Xu, G.; Huang, T.; Jin, X.; Cui, C.; Li, D.; Sun, C.; Han, Y.; Mu, Z. Morphology, sex steroid level and gene expression analysis in gonadal sex reversal of triploid female (XXX) rainbow trout (Oncorhynchus mykiss). Fish Physiol. Biochem. 2016, 42, 193–202. [Google Scholar] [CrossRef]
- Maitre, D.; Selmoni, O.M.; Uppal, A.; da Cunha, L.M.; Wilkins, L.G.E.; Roux, J.; Mobley, K.B.; Castro, I.; Knörr, S.; Robinson-Rechavi, M.; et al. Sex differentiation in grayling (Salmonidae) goes through an all-male stage and is delayed in genetic males who instead grow faster. Sci. Rep. 2017, 7, 15024. [Google Scholar] [CrossRef] [PubMed]
- Pandian, T.J.; Sheela, S.G. Hormonal induction of sex reversal in fish. Aquaculture 1995, 138, 1–22. [Google Scholar] [CrossRef]
- Baroiller, J.F.; Guiguen, Y.; Fostier, A. Endocrine and environmental aspects of sex differentiation in fish. Cell. Mol. Life Sci. CMLS 1999, 55, 910–931. [Google Scholar] [CrossRef]
- Sharma, P.; Purohit, S.; Kothiyal, S.; Negi, S.; Bhattacharya, I. Sex Specific Transcriptional Regulation of Gonadal Steroidogenesis in Teleost Fishes. Front. Endocrinol. 2022, 13, 820241. [Google Scholar] [CrossRef] [PubMed]
- Schiffer, L.; Oestlund, I.; Snoep, J.L.; Gilligan, L.C.; Taylor, A.E.; Sinclair, A.J.; Singhal, R.; Feeman, A.; Aijan, R.; Tiganescu, A.; et al. Inhibition of the glucocorticoid-activating enzyme 11β-hydroxysteroid dehydrogenase type 1 drives concurrent 11-oxygenated androgen excess. FACEB J. 2024, 38, 23574. [Google Scholar] [CrossRef]
- Redding, J.M.; Fitzpatrick, M.S.; Feist, G.; Schreck, C.B. Sex reversal by estradiol-17β and androgens in pacific salmon. In Proceedings of the Third International Symposium on the Reproductive Physiology of Fish, St. John’s, NL, Canada, 2–7 August 1987; Memorial University of Newfoundland: St. John’s, NL, Canada, 1987; p. 136. [Google Scholar]
- Baker, I.J.; Solar, I.I.; Donaldson, E.M. Masculinization of chinook salmon (Oncorhynchus tshawytscha) by immersion treatments using 17-methyltestosterone around the time of hatching. Aquaculture 1988, 72, 359–367. [Google Scholar] [CrossRef]
- Johnstone, R.; Simpson, T.H.; Walker, A.F. Sex reversal in salmonid culture. Part III. The production and performance of all-female populations of brook trout. Aquaculture 1979, 18, 241–252. [Google Scholar] [CrossRef]
- Norris, D.O.; Jones, R.E. Hormones and Reproduction in Fishes, Amphibians, and Reptiles; Plenum Press: New York, NY, USA, 1987. [Google Scholar] [CrossRef]



| Types of Gonads | MTC (n = 6) | MT3ppm (n = 7) | MT6ppm (n = 7) |
|---|---|---|---|
| 33.33% | - | - |
| 33.33% | - | - |
| 16.67% | 57.13% | 28.57% |
| 16.67% | 14.29% | 14.29% |
| - | 14.29% | 28.57% |
| - | 14.29% | 28.57% |
Disclaimer/Publisher’s Note: The statements, opinions and data contained in all publications are solely those of the individual author(s) and contributor(s) and not of MDPI and/or the editor(s). MDPI and/or the editor(s) disclaim responsibility for any injury to people or property resulting from any ideas, methods, instructions or products referred to in the content. |
© 2025 by the authors. Licensee MDPI, Basel, Switzerland. This article is an open access article distributed under the terms and conditions of the Creative Commons Attribution (CC BY) license (https://creativecommons.org/licenses/by/4.0/).
Share and Cite
Rożyński, R.; Kuciński, M.; Dobosz, S.; Kycko, A.; Ocalewicz, K. Hormonal Masculinization of the European Grayling (Thymallus thymallus) Using 11β-Hydroxyandrostenedione (OHA) and 17α-Methyltestosterone (MT). Animals 2025, 15, 3059. https://doi.org/10.3390/ani15203059
Rożyński R, Kuciński M, Dobosz S, Kycko A, Ocalewicz K. Hormonal Masculinization of the European Grayling (Thymallus thymallus) Using 11β-Hydroxyandrostenedione (OHA) and 17α-Methyltestosterone (MT). Animals. 2025; 15(20):3059. https://doi.org/10.3390/ani15203059
Chicago/Turabian StyleRożyński, Rafał, Marcin Kuciński, Stefan Dobosz, Anna Kycko, and Konrad Ocalewicz. 2025. "Hormonal Masculinization of the European Grayling (Thymallus thymallus) Using 11β-Hydroxyandrostenedione (OHA) and 17α-Methyltestosterone (MT)" Animals 15, no. 20: 3059. https://doi.org/10.3390/ani15203059
APA StyleRożyński, R., Kuciński, M., Dobosz, S., Kycko, A., & Ocalewicz, K. (2025). Hormonal Masculinization of the European Grayling (Thymallus thymallus) Using 11β-Hydroxyandrostenedione (OHA) and 17α-Methyltestosterone (MT). Animals, 15(20), 3059. https://doi.org/10.3390/ani15203059

