Rack-and-Pinion Displacement of an Intramedullary Pin During Minimally Invasive Plate–Rod Osteosynthesis of the Canine Femur—A Case Report
Simple Summary
Abstract
1. Introduction
2. Case Description
2.1. Patient
2.2. Anaesthetic and Analgesia
2.3. Surgical Technique
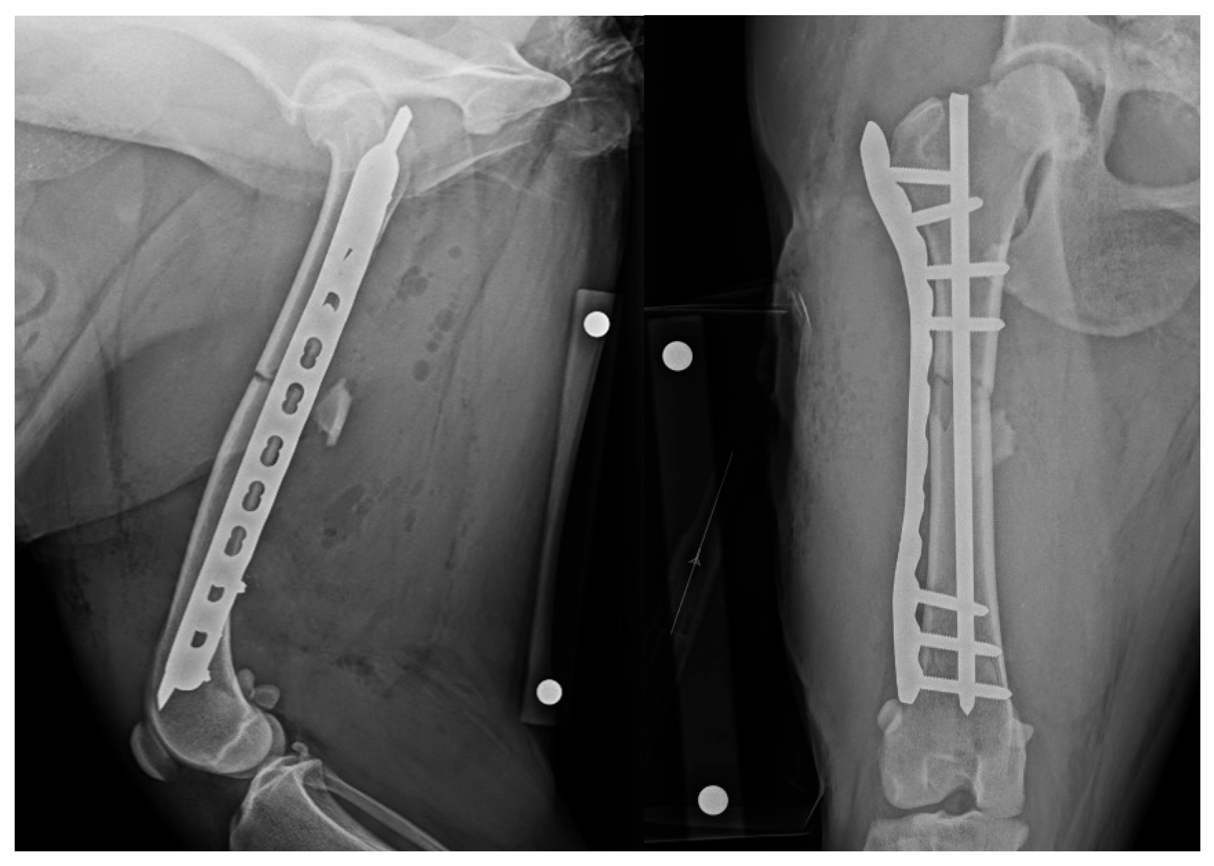
2.4. Post-Operative Imaging
2.5. Revision
2.6. Post-Operative Management
2.7. Patient Follow-Up
2.8. Implant Retrieval Analysis
2.9. Wear Pattern Replication—Paper Impression Model
2.10. Laminated Polyurethane Foam Benchtop Model
2.11. Three-Dimensional Modelling
3. Discussion
4. Conclusions
Supplementary Materials
Author Contributions
Funding
Institutional Review Board Statement
Informed Consent Statement
Data Availability Statement
Conflicts of Interest
Abbreviations
| MIPO | Minimally Invasive Plate Osteosynthesis |
| LCP | Locking Compression Plate |
| IMP | Intramedullary Pin |
| TFAST | Thoracic Focused Ultrasound with Sonography for Trauma |
| AFAST | Abdominal Focused Ultrasound with Sonography for Trauma |
| CRI | Constant Rate Infusion |
| CAD | Computer-Aided Design |
References
- Perren, S.M. The concept of biological plating using the limited contact-dynamic compression plate (LC-DCP). Scientific background, design and application. Injury 1991, 22, 1–41. [Google Scholar]
- Schatzker, J. Changes in the AO/ASIF principles and methods. Injury 1995, 26, B51–B56. [Google Scholar] [CrossRef]
- Garofolo, S.; Pozzi, A. Effect of plating technique on periosteal vasculature of the radius in dogs: A cadaveric study. Vet. Surg. 2013, 42, 255–261. [Google Scholar] [CrossRef]
- O’sullivan, M.; Chao, E.; Kelly, P. The effects of fixation on fracture-healing. J. Bone Jt. Surg. 1989, 71, 306–310. [Google Scholar] [CrossRef]
- Mizuno, K.; Mineo, K.; Tachibana, T.; Sumi, M.; Matsubara, T.; Hirohata, K. The osteogenetic potential of fracture haematoma. Subperiosteal and intramuscular transplantation of the haematoma. J. Bone Jt. Surg. Br. Vol. 1990, 72, 822–829. [Google Scholar] [CrossRef]
- Perren, S.M. Evolution of the internal fixation of long bone fractures: The scientific basis of biological internal fixation: Choosing a new balance between stability and biology. J. Bone Jt. Surg. Br. 2002, 84, 1093–1110. [Google Scholar] [CrossRef]
- Palmer, R.H. Biological osteosynthesis. Vet. Clin. N. Am. Small Anim. Pract. 1999, 29, 1171–1185. [Google Scholar] [CrossRef] [PubMed]
- Hudson, C.; Pozzi, A.; Lewis, D.J. Minimally invasive plate osteosynthesis: Applications and techniques in dogs and cats. Vet. Comp. Orthop. Traumatol. 2009, 22, 175–182. [Google Scholar] [CrossRef]
- Pozzi, A.; Risselada, M.; Winter, M.D. Assessment of fracture healing after minimally invasive plate osteosynthesis or open reduction and internal fixation of coexisting radius and ulna fractures in dogs via ultrasonography and radiography. J. Am. Vet. Med. Assoc. 2012, 241, 744–753. [Google Scholar] [CrossRef] [PubMed]
- Baroncelli, A.B.; Peirone, B.; Winter, M.; Reese, D.; Pozzi, A. Retrospective comparison between minimally invasive plate osteosynthesis and open plating for tibial fractures in dogs. Vet. Comp. Orthop. Traumatol. 2012, 25, 410–417. [Google Scholar] [CrossRef] [PubMed]
- Pozzi, A.; Hudson, C.C.; Gauthier, C.M.; Lewis, D.D. Retrospective comparison of minimally invasive plate osteosynthesis and open reduction and internal fixation of radius-ulna fractures in dogs. Vet. Surg. 2013, 42, 19–27. [Google Scholar] [CrossRef]
- Reems, M.R.; Beale, B.S.; Hulse, D.A. Use of a plate-rod construct and principles of biological osteosynthesis for repair of diaphyseal fractures in dogs and cats: 47 cases (1994–2001). J. Am. Vet. Med. Assoc. 2003, 223, 330–335. [Google Scholar] [CrossRef]
- Johnson, A. Current concepts in fracture reduction. Vet. Comp. Orthop. Traumatol. 2003, 16, 59–66. [Google Scholar] [CrossRef]
- Pearson, T.; Glyde, M.; Hosgood, G.; Day, R. The effect of intramedullary pin size and monocortical screw configuration on locking compression plate-rod constructs in an in vitro fracture gap model. Vet. Comp. Orthop. Traumatol. 2015, 28, 95–103. [Google Scholar] [PubMed]
- Hulse, D.; Ferry, K.; Fawcett, A.; Gentry, D.; Hyman, W.; Geller, S.; Slater, M.; Hulse, D. Effect of intramedullary pin size on reducing bone plate strain. Vet. Comp. Orthop. Traumatol. 2000, 13, 185–190. [Google Scholar]
- Bertollo, N.; Gothelf, T.K.; Walsh, W.R. 3-Fluted orthopaedic drills exhibit superior bending stiffness to their 2-fluted rivals: Clinical implications for targeting ability and the incidence of drill-bit failure. Injury 2008, 39, 734–741. [Google Scholar] [CrossRef]
- Beale, B. Orthopedic clinical techniques femur fracture repair. Clin. Tech. Small Anim. Pract. 2004, 19, 134–150. [Google Scholar] [CrossRef]
- Riley, D.S.; Barber, M.S.; Kienle, G.S.; Aronson, J.K.; von Schoen-Angerer, T.; Tugwell, P.; Kiene, H.; Helfand, M.; Altman, D.G.; Sox, H.; et al. CARE guidelines for case reports: Explanation and elaboration document. J. Clin. Epidemiol. 2017, 89, 218–235. [Google Scholar] [CrossRef] [PubMed]
- Gautier, E.; Sommer, C. Guidelines for the clinical application of the LCP. Injury 2003, 34, B63–B76. [Google Scholar] [CrossRef]
- Schindelin, J.; Arganda-Carreras, I.; Frise, E.; Kaynig, V.; Longair, M.; Pietzsch, T.; Preibisch, S.; Rueden, C.; Saalfeld, S.; Schmid, B.; et al. Fiji: An open-source platform for biological-image analysis. Nat. Methods 2012, 9, 676–682. [Google Scholar] [CrossRef]
- Hanzaki, A.R.; Rao, P.; Saha, S. Kinematic and sensitivity analysis and optimization of planar rack-and-pinion steering linkages. Mech. Mach. Theory 2009, 44, 42–56. [Google Scholar] [CrossRef]
- Chiaravalloti, F.; Gross, L.; Rieder, K.-H.; Stojkovic, S.M.; Gourdon, A.; Joachim, C.; Moresco, F. A rack-and-pinion device at the molecular scale. Nat. Mater. 2007, 6, 30–33. [Google Scholar] [CrossRef] [PubMed]
- Farouk, O.; Krettek, C.; Miclau, T.; Schandelmaier, P.; Guy, P.; Tscherne, H. Minimally invasive plate osteosynthesis: Does percutaneous plating disrupt femoral blood supply less than the traditional technique? J. Orthop. Trauma 1999, 13, 401–406. [Google Scholar] [CrossRef]
- Gallo, J.; Vaculova, J.; Goodman, S.B.; Konttinen, Y.T.; Thyssen, J. Contributions of human tissue analysis to understanding the mechanisms of loosening and osteolysis in total hip replacement. Acta Biomater. 2014, 10, 2354–2366. [Google Scholar] [CrossRef] [PubMed]
- Nasser, S.; Campbell, P.A.; Kilgus, D.; Kossovsky, N. Cementless total joint arthroplasty prostheses with titanium-alloy articular surfaces: A human retrieval analysis. Clin. Orthop. Relat. Res. 1990, 261, 171–185. [Google Scholar] [CrossRef]
- Simpson, J.; Geret, V.; Brown, S. Retrieved fracture plates: Implant and tissue analysis. Mater. Biol. Anal. 1980, 395–422. [Google Scholar]
- Pinto, C.; Asprino, L.; De Moraes, M. Chemical and structural analyses of titanium plates retrieved from patients. Int. J. Oral Maxillofac. Surg. 2015, 44, 1005–1009. [Google Scholar] [CrossRef]
- Katakura, A.; Shibahara, T.; Noma, H.; Yoshinari, M. Material analysis of AO plate fracture cases. J. Oral Maxillofac. Surg. 2004, 62, 348–352. [Google Scholar] [CrossRef]
- Yokoyama, K.; Ichikawa, T.; Murakami, H.; Miyamoto, Y.; Asaoka, K. Fracture mechanisms of retrieved titanium screw thread in dental implant. Biomaterials 2002, 23, 2459–2465. [Google Scholar] [CrossRef]
- Skurla, C.; Pluhar, G.; Frankel, D.; Egger, E.; James, S. Assessing the dog as a model for human total hip replacement: Analysis of 38 canine cemented femoral components retrieved at post-mortem. J. Bone Jt. Surg. Br. 2005, 87, 120–127. [Google Scholar] [CrossRef]
- Sprecher, C.M.; Milz, S.; Suter, T.; Keating, J.H.; McCarthy, R.J.; Gueorguiev, B.; Boudrieau, R.J. Retrospective analysis of corrosion and ion release from retrieved cast stainless steel tibia plateau leveling osteotomy plates in dogs with and without peri-implant osteosarcoma. Am. J. Vet. Res. 2018, 79, 970–979. [Google Scholar] [CrossRef]
- Palmisano, M.P.; Dyce, J.; Olmstead, M.L. Extraosseous cement granuloma associated with total hip replacement in 6 dogs. Vet. Surg. 2003, 32, 80–90. [Google Scholar] [CrossRef] [PubMed]
- Beierer, L.H.; Glyde, M.; Day, R.E.; Hosgood, G.L. Biomechanical comparison of a locking compression plate combined with an intramedullary pin or a polyetheretherketone rod in a cadaveric canine tibia gap model. Vet. Surg. 2014, 43, 1032–1038. [Google Scholar] [CrossRef]
- Praamsma, M.; Carnahan, H.; Backstein, D.; Veillette, C.J.; Gonzalez, D.; Dubrowski, A. Drilling sounds are used by surgeons and intermediate residents, but not novice orthopedic trainees, to guide drilling motions. Can. J. Surg. 2008, 51, 442. [Google Scholar]
- Dharmshaktu, G.S.; Adhikari, N.; Mourya, P.; Bhandari, S.S.; Singh, P. Intraoperative instrument breakage during the orthopedic elective procedures: A retrospective single-center experience. J. Orthop. Spine 2020, 8, 80–85. [Google Scholar] [CrossRef]
- Chang, B.-S.; Brown, P.R.; Sieber, A.; Valdevit, A.; Tateno, K.; Kostuik, J. Evaluation of the biological response of wear debris. Spine J. 2004, 4, S239–S244. [Google Scholar] [CrossRef] [PubMed]
- Cunningham, B.W.; Orbegoso, C.M.; Dmitriev, A.E.; Hallab, N.J.; Sefter, J.C.; Asdourian, P.; McAfee, P.C. The effect of spinal instrumentation particulate wear debris: An in vivo rabbit model and applied clinical study of retrieved instrumentation cases. Spine J. 2003, 3, 19–32. [Google Scholar] [CrossRef]
- Longhofer, L.K.; Chong, A.; Strong, N.M.; Wooley, P.H.; Yang, S.-Y. Specific material effects of wear-particle-induced inflammation and osteolysis at the bone–implant interface: A rat model. J. Orthop. Transl. 2017, 8, 5–11. [Google Scholar] [CrossRef]
- Lee, J.; Gozen, B.A.; Ozdoganlar, O.B. Modeling and experimentation of bone drilling forces. J. Biomech. 2012, 45, 1076–1083. [Google Scholar] [CrossRef]
- Bertollo, N.; Walsh, W.R. Drilling of bone: Practicality, limitations and complications associated with surgical drill-bits. In Biomechanics in Applications; Intechopen: London, UK, 2011; pp. 53–83. [Google Scholar] [CrossRef]
- Wills, D.J.; Prasad, A.; Gilmer, B.B.; Walsh, W.R. The thermal profile of self-tapping screws: The effect of insertion speed, power insertion, and screw geometry on heat production at the bone-screw interface. Med. Eng. Phys. 2022, 100, 103754. [Google Scholar] [CrossRef]
- Clary, E.M.; Roe, S.C. In vitro biomechanical and histological assessment of pilot hole diameter for positive-profile external skeletal fixation pins in canine tibiae. Vet. Surg. 1996, 25, 453–462. [Google Scholar] [CrossRef]
- Eriksson, A.; Albrektsson, T. Temperature threshold levels for heat-induced bone tissue injury: A vital-microscopic study in the rabbit. J. Prosthet. Dent. 1983, 50, 101–107. [Google Scholar] [CrossRef]
- Eriksson, A.R. Heat-Induced Bone Tissue Injury: An In Vivo Investigation of Heat Tolerance of Bone Tissue and Temperature Rise in the Drilling of Cortical Bone. Ph.D. Thesis, University of Gothenburg, Gothenburg, Sweden, 1984. [Google Scholar]
- Pozzi, A.; Kim, S. Minimally invasive osteosynthesis. In BSAVA Manual of Canine and Feline Fracture Repair and Management; BSAVA Library: Gloucester, UK, 2016; pp. 126–141. [Google Scholar] [CrossRef]
- Guiot, L.P.; Déjardin, L.M. Prospective evaluation of minimally invasive plate osteosynthesis in 36 nonarticular tibial fractures in dogs and cats. Vet. Surg. 2011, 40, 171–182. [Google Scholar] [CrossRef]
- Guiot, L.P.; Guillou, R.P.; Déjardin, L.M. Minimally invasive percutaneous medial plate-rod osteosynthesis for treatment of humeral shaft fractures in dog and cats: Surgical technique and prospective evaluation. Vet. Surg. 2019, 48, O41–O51. [Google Scholar] [CrossRef] [PubMed]
- Hersh-Boyle, R.A.; Culp, W.T.; Brown, D.C.; Luskin, A.C.; Kapatkin, A.S.; Chou, P.-Y.; Agnello, K.A.; Reetz, J.A.; Oyama, M.A.; Visser, L.C.; et al. Radiation exposure of dogs and cats undergoing fluoroscopic procedures and for operators performing those procedures. Am. J. Vet. Res. 2019, 80, 558–564. [Google Scholar] [CrossRef] [PubMed]
- Cabassu, J. Minimally invasive plate osteosynthesis using fracture reduction under the plate without intraoperative fluoroscopy to stabilize diaphyseal fractures of the tibia and femur in dogs and cats. Vet. Comp. Orthop. Traumatol. 2019, 32, 475–482. [Google Scholar] [CrossRef]
- Cohnen, M.; Kemper, J.; Möbes, O.; Pawelzik, J.; Mödder, U. Radiation dose in dental radiology. Eur. Radiol. 2002, 12, 634–637. [Google Scholar] [CrossRef]
- Hart, D.; Wall, B. Radiation Exposure of the UK Population from Medical and Dental X-Ray Examinations; National Radiological Protection Board: Oxfordshire, UK, 2002. [Google Scholar]
- Ngan, D.C.; Kharbanda, O.P.; Geenty, J.P.; Darendeliler, M. Comparison of radiation levels from computed tomography and conventional dental radiographs. Aust. Orthod. J. 2003, 19, 67–75. [Google Scholar] [CrossRef] [PubMed]
- Mahesh, M. Fluoroscopy: Patient radiation exposure issues. RadioGraphics 2001, 21, 1033–1045. [Google Scholar] [CrossRef]
- Miller, D.L.; Schauer, D. The ALARA principle in medical imaging. Am. Assoc. Phys. Med. 1983, 44, 595–600. [Google Scholar]
- Sissener, T. Principles of intramedullary pinning techniques in small animal practice. J. Companion Anim. 2007, 12, 19–26. [Google Scholar] [CrossRef]
- Jain, S.; Lamb, J.N.; Drake, R.; Entwistle, I.; Baren, J.P.; Thompson, Z.; Beadling, A.R.; Bryant, M.G.; Shuweihdi, F.; Pandit, H. Risk factors for periprosthetic femoral fracture risk around a cemented polished taper-slip stem using an osteoporotic composite bone model. Proc. Inst. Mech. Eng. Part H: J. Eng. Med. 2024, 238, 324–331. [Google Scholar] [CrossRef]
- Kang, Q.; An, Y.; Friedman, R. Mechanical properties and bone densities of canine trabecular bone. J. Mater. Sci. Mater. Med. 1998, 9, 263–267. [Google Scholar] [CrossRef]
- Pressel, T.; Bouguecha, A.; Vogt, U.; Meyer-Lindenberg, A.; Behrens, B.-A.; Nolte, I.; Windhagen, H. Mechanical properties of femoral trabecular bone in dogs. Biomed. Eng. Online 2005, 4, 17. [Google Scholar] [CrossRef] [PubMed]
- Zdero, R.; Brzozowski, P.; Schemitsch, E.H. Biomechanical properties of artificial bones made by sawbones: A review. Med. Eng. Phys. 2023, 118, 104017. [Google Scholar] [CrossRef]
- Hausmann, J.-T. Sawbones in biomechanical settings-a review. Osteosynth. Trauma Care 2006, 14, 259–264. [Google Scholar] [CrossRef]
- von Pfeil, D.J.; Déjardin, L.M.; DeCamp, C.E.; Meyer, E.G.; Lansdowne, J.L.; Weerts, R.J.; Haut, R.C. In vitro biomechanical comparison of a plate-rod combination–construct and an interlocking nail–construct for experimentally induced gap fractures in canine tibiae. Am. J. Vet. Res. 2005, 66, 1536–1543. [Google Scholar] [CrossRef] [PubMed]






| Column 1 and 2—Retrieved Pin | Column 3—Retrieved Pin | Screw Tip Impression | Screw Shaft Impression | Drill Bit Tip Impression | |
|---|---|---|---|---|---|
| Distance between paired indentations (i.e., cutting flute relief width) | 0.466 (±0.114) | Singular | 1.19 mm (±0.166) | Not present | 1.74 mm (±0.053) |
| Distance between singular indentations or pairs (i.e., cutting flute width) | 0.611 (±0.115) | 0.603 (±0.086) | 1.369 mm (±0.118) | Not present | 2.29 mm (±0.229) |
| Distance between vertical striations | 0.070 (±0.042) | 0.096 (±0.018) | 0.400 mm (±0.0965) | 0.548 mm (±0.033) | Not present |
Disclaimer/Publisher’s Note: The statements, opinions and data contained in all publications are solely those of the individual author(s) and contributor(s) and not of MDPI and/or the editor(s). MDPI and/or the editor(s) disclaim responsibility for any injury to people or property resulting from any ideas, methods, instructions or products referred to in the content. |
© 2025 by the authors. Licensee MDPI, Basel, Switzerland. This article is an open access article distributed under the terms and conditions of the Creative Commons Attribution (CC BY) license (https://creativecommons.org/licenses/by/4.0/).
Share and Cite
Wills, D.J.; Lloyd, M.J.; Hospes, K.L.; Walsh, W.R. Rack-and-Pinion Displacement of an Intramedullary Pin During Minimally Invasive Plate–Rod Osteosynthesis of the Canine Femur—A Case Report. Animals 2025, 15, 2777. https://doi.org/10.3390/ani15192777
Wills DJ, Lloyd MJ, Hospes KL, Walsh WR. Rack-and-Pinion Displacement of an Intramedullary Pin During Minimally Invasive Plate–Rod Osteosynthesis of the Canine Femur—A Case Report. Animals. 2025; 15(19):2777. https://doi.org/10.3390/ani15192777
Chicago/Turabian StyleWills, Daniel J., Max J. Lloyd, Kristy L. Hospes, and William R. Walsh. 2025. "Rack-and-Pinion Displacement of an Intramedullary Pin During Minimally Invasive Plate–Rod Osteosynthesis of the Canine Femur—A Case Report" Animals 15, no. 19: 2777. https://doi.org/10.3390/ani15192777
APA StyleWills, D. J., Lloyd, M. J., Hospes, K. L., & Walsh, W. R. (2025). Rack-and-Pinion Displacement of an Intramedullary Pin During Minimally Invasive Plate–Rod Osteosynthesis of the Canine Femur—A Case Report. Animals, 15(19), 2777. https://doi.org/10.3390/ani15192777

