Histological Insights into Testicular Apoptosis Associated with Spermatogenesis in Pre-Pubertal and Adult Meagre (Argyrosomus regius)
Simple Summary
Abstract
1. Introduction
2. Materials and Methods
2.1. Sampling
2.2. Histological Analysis and Identification of Apoptotic Germ Cells
2.3. Relative Quantification of Germ Cell Types and Testicular Apoptosis
2.4. Statistical Analysis
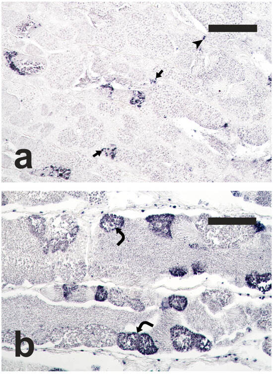
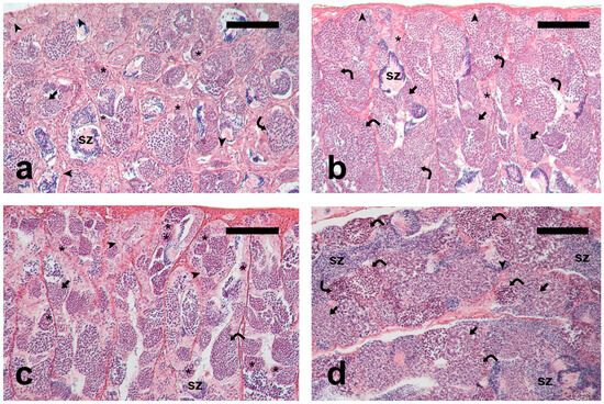
3. Results
4. Discussion
5. Conclusions
Author Contributions
Funding
Institutional Review Board Statement
Informed Consent Statement
Data Availability Statement
Acknowledgments
Conflicts of Interest
References
- Chao, L.N.; Trewavas, E. Sciaenidae. In Check-List of the Fishes of the Eastern Tropical Atlantic (CLOFETA); Quero, J.C., Hureau, J.C., Karrer, C., Post, A., Saldanha, L., Eds.; JNICT: Lisbon, Portugal; SEI: Paris, France; UNESCO: Paris, France, 1990; Volume 2, pp. 813–826. [Google Scholar]
- Duncan, N.J.; Estévez, A.; Fernández-Palacios, H.; Gairin, I.; Hernández-Cruz, C.M.; Roo, F.J.; Schuchardt, D.; Vallés, R. Aquaculture production of meagre (Argyrosomus regius): Hatchery Techniques, Ongrowing and Market. In Advances in Aquaculture Hatchery Technology; Allan, G., Burnell, G., Eds.; Woodhead Publishing Limited: Cambridge, UK, 2013; pp. 519–541. [Google Scholar]
- Global Aquaculture Production Quantity (1950–2020). Available online: https://www.fao.org/fishery/statistics-query/en/aquaculture/aquaculture_quantity (accessed on 20 January 2025).
- Mylonas, C.C.; Mitrizakis, N.; Papadaki, M.; Sigelaki, I. Reproduction of hatchery-produced meagre Argyrosomus regius in captivity I. Description of the annual reproductive cycle. Aquaculture 2013, 414–415, 309–317. [Google Scholar] [CrossRef]
- Fernandez-Palacios, H.; Schuchardt, D.; Roo, J.; Izquierdo, M.; Hernandez-Cruz, C.; Duncan, N. Dose-dependent effect of a single GnRHa injection on the spawning of meagre (Argyrosomus regius) broodstock reared in captivity. Span. J. Agri. Res. 2014, 12, 1038–1048. [Google Scholar] [CrossRef]
- Duncan, N.; Estévez, A.; Porta, J.; Carazo, I.; Norambuena, F.; Aguilera, C.; Gairin, I.; Bucci, F.; Valles, R.; Mylonas, C.C. Reproductive development, GnRHa-induced spawning and egg quality of wild meagre (Argyrosomus regius) acclimatised to captivity. Fish Physiol. Biochem. 2012, 38, 1273–1286. [Google Scholar] [CrossRef]
- Mylonas, C.C.; Salone, S.; Biglino, T.; de Mello, P.H.; Fakriadis, I.; Sigelaki, I.; Duncan, N. Enhancement of oogenesis/spermatogenesis in meagre Argyrosomus regius using a combination of temperature control and GnRHa treatments. Aquaculture 2016, 464, 323–330. [Google Scholar] [CrossRef]
- González-Quirós, R.; del Árbol, J.; del Mar García-Pacheco, M.; Silva-García, A.J.; Naranjo, J.M.; Morales-Nin, B. Life-history of the meagre Argyrosomus regius in the Gulf of Cadiz (SW Iberian Peninsula). Fish. Res. 2011, 109, 140–149. [Google Scholar] [CrossRef]
- Zupa, R.; Duncan, N.; Giménez, I.; Mylonas, C.C.; Pousis, C.; Passantino, L.; Cuko, R.; Corriero, A. Male germ cell proliferation and apoptosis in sexually immature meagre Argyrosomus regius (Asso, 1801) treated with recombinant follicle stimulating hormone. Sci. Rep. 2023, 13, 7013. [Google Scholar] [CrossRef] [PubMed]
- Ventriglia, G.; Duncan, N.; Giménez, I.; Mylonas, C.C.; Pousis, C.; Corriero, A.; Zupa, R. Spermatogenesis advancement in pre-pubertal meagre Argyrosomus regius treated with recombinant gonadotropins. Sci. Rep. 2025, 15, 15113. [Google Scholar] [CrossRef] [PubMed]
- Xie, X.; Nóbrega, R.; Pšenička, M. Spermatogonial Stem Cells in Fish: Characterization, Isolation, Enrichment, and Recent Advances of In Vitro Culture Systems. Biomolecules 2020, 10, 644. [Google Scholar] [CrossRef]
- Blanco-Rodriguez, J.; Martinez-Garcia, C. Spontaneous germ cell death in the testis of the adult rat takes the form of apoptosis: Re-evaluation of cell types that exhibit the ability to die during spermatogenesis. Cell Proliferat. 1996, 29, 13–31. [Google Scholar] [CrossRef]
- Young, K.A.; Nelson, R.J. Mediation of seasonal testicular regression by apoptosis. Reproduction 2001, 122, 677–685. [Google Scholar] [CrossRef][Green Version]
- Wistuba, J.; Schlatt, S. Transgenic mouse models and germ cell transplantation: Two excellent tools for the analysis of genes regulating male fertility. Mol. Genet. Metab. 2002, 77, 61–67. [Google Scholar] [CrossRef]
- Schulz, R.W.; de França, L.R.; Lareyre, J.-J.; LeGac, F.; Chiarini-Garcia, H.; Nobrega, R.H.; Miura, T. Spermatogenesis in fish. Gen. Comp. Endocrinol. 2010, 165, 390–411. [Google Scholar] [CrossRef]
- Zupa, R.; Fauvel, C.; Mylonas, C.C.; Santamaria, N.; Valentini, L.; Pousis, C.; Papadaki, M.; Suquet, M.; de la Gándara, F.; Bello, G.; et al. Comparative analysis of male germ cell proliferation in wild and captive Atlantic bluefin tuna Thunnus thynnus. J. Appl. Ichthyol. 2013, 29, 71–81. [Google Scholar] [CrossRef]
- Zupa, R.; Fauvel, C.; Mylonas, C.C.; Pousis, C.; Santamaria, N.; Papadaki, Μ.; Fakriadis, I.; Cicirelli, V.; Mangano, S.; Passantino, L.; et al. Rearing in captivity affects spermatogenesis and sperm quality in greater amberjack Seriola dumerili (Risso, 1810). J. Anim. Sci. 2017, 95, 4085–4100. [Google Scholar] [CrossRef]
- Ventriglia, G.; Fakriadis, I.; Papadaki, M.; Zupa, R.; Pousis, C.; Mandalakis, M.; Corriero, A.; Mylonas, C.C. Effects of different hormonal treatments on spermatogenesis advancement in hatchery-produced greater amberjack Seriola dumerili (Risso 1810). Gen. Comp. Endocrinol. 2024, 348, 114447. [Google Scholar] [CrossRef] [PubMed]
- Zohar, Y.; Mylonas, C.C. Endocrine manipulations of spawning in cultured fish: From hormones to genes. Aquaculture 2001, 197, 99–136. [Google Scholar] [CrossRef]
- Almeida, F.F.L.; Taranger, G.L.; Norberg, B.; Karlsen, Ø.; Bogerd, J.; Schulz, R.W. Photoperiod-Modulated Testis Maturation in Atlantic Cod (Gadus morhua, L.). Biol. Reprod. 2009, 80, 631–640. [Google Scholar] [CrossRef]
- Zupa, R.; Hala, E.; Ventriglia, G.; Pousis, C.; Passantino, L.; Quaranta, A.; Corriero, A.; De Virgilio, C. Reproductive maturation of meagre Argyrosomus regius (Asso, 1801) reared in floating cages. Animals 2023, 13, 223. [Google Scholar] [CrossRef]
- Abou Shabana, N.M.; Abd El Rahma, S.H.; Al Absawy, M.A.; Assem, S.S. Reproductive biology of Argyrosomus regius (Asso, 1801) inhabiting the south eastern Mediterranean Sea, Egypt. Egypt. J. Aquat. Res. 2012, 38, 147–156. [Google Scholar] [CrossRef]
- Zupa, R.; Martino, N.A.; Marzano, G.; Dell’Aquila, M.E.; Corriero, A. Meagre Argyrosomus regius (Asso, 1801) stem spermatogonia: Histological characterization, immunostaining, in vitro proliferation, and cryopreservation. Animals 2020, 10, 851. [Google Scholar] [CrossRef] [PubMed]
- Sokal, R.R.; Rohlf, F.J. Biometry: The Principles and Practice of Statistics in Biological Research, 3rd ed.; Freeman WH and Company: New York, NY, USA, 1981. [Google Scholar]
- Schulz, R.W.; Miura, T. Spermatogenesis and its endocrine regulation. Fish Physiol. Biochem. 2002, 26, 43–56. [Google Scholar] [CrossRef]
- Billard, R. La spermatogenèse de Poecilia reticulata I. Estimation du nombre de generations goniales et rendement de la spermatogènese. Ann. Biol. Biochem. Biophys. 1969, 9, 251–271. [Google Scholar] [CrossRef]
- Prisco, M.; Liguoro, A.; Comitato, R.; Cardone, A.; D’Onghia, B.; Ricchiari, L.; Angelini, F.; Andreuccetti, P. Apoptosis during spermatogenesis in the spotted ray Torpedo marmorata. Mol. Reprod. Dev. 2003, 64, 341–348. [Google Scholar] [CrossRef] [PubMed]
- Chaves-Pozo, E.; Mulero, V.; Meseguer, J.; Ayala, A.G. An overview of cell renewal in the testis throughout the reproductive cycle of a seasonal breeding teleost, the gilthead seabream (Sparus aurata L.). Biol. Reprod. 2005, 72, 593–601. [Google Scholar] [CrossRef]
- Schulz, R.W.; Menting, S.; Bogerd, J.; Francą, L.R.; Vilela, D.A.R.; Godinho, H.P. Sertoli cell proliferation in the adult testis-evidence from two fish species belonging to different orders. Biol. Reprod. 2005, 73, 891–898. [Google Scholar] [CrossRef]
- Nóbrega, R.H. Alterações do Epitélio Germinativo Masculino, Células Endócrinas Testiculares e Células Gonadotrópicas Durante o Ciclo Reprodutivo de Serrasalmus spilopleura (Kner, 1859) e Pimelodus maculatus (Lacépède, 1803). Master’s Thesis, Universidade Estadual de Campinas, Campinas, Brazil, 2006. [Google Scholar]
- Nóbrega, R.H.; Batlouni, S.R.; França, L.R. An overview of functional and stereological evaluation of spermatogenesis and germ cell transplantation in fish. Fish Physiol. Biochem. 2009, 35, 197–206. [Google Scholar] [CrossRef]
- Almeida, F.F.L.; Kristoffersen, C.; Taranger, G.L.; Schulz, R.W. Spermatogenesis in Atlantic cod (Gadus morhua): A novel model of cystic germ cell development. Biol. Reprod. 2008, 78, 27–34. [Google Scholar] [CrossRef]
- Zakariah, M.; Ibrahim, M.I.A.; Molele, R.A.; McGaw, L.J. Apoptosis of germ cells in the normal testis of the Japanese quail (Coturnix coturnix japonica). Tissue Cell 2020, 67, 101450. [Google Scholar] [CrossRef]
- Blanco-Rodríguez, J. A matter of death and life: The significance of germ cell death during spermatogenesis. Int. J. Androl. 1998, 21, 236–248. [Google Scholar] [CrossRef]
- de Rooij, D.G. Proliferation and differentiation of spermatogonial stem cells. Reproduction 2001, 121, 347–354. [Google Scholar] [CrossRef] [PubMed]
- Heninger, N.L.; Staub, C.; Blanchard, T.L.; Johnson, L.; Varner, D.D.; Forrest, D.W. Germ cell apoptosis in the testes of normal stallions. Theriogenology 2004, 62, 283–297. [Google Scholar] [CrossRef]
- Tapanainen, J.S.; Tilly, J.L.; Vihko, K.K.; Hsueh, A.J. Hormonal control of apoptotic cell death in the testis: Gonadotropins and androgens as testicular cell survival factors. Mol. Endocrinol. 1993, 7, 643–650. [Google Scholar] [CrossRef]
- Nonclercq, D.; Reverse, D.; Toubeau, G.; Beckers, J.F.; Sulon, J.; Laurent, G.; Zanen, J.; Heuson-Stiennon, J.-A. In situ demonstration of germinal cell apoptosis during diethylstilbestrol-induced testis regression in adult male Syrian hamsters. Biol. Reprod. 1996, 55, 1368–1376. [Google Scholar] [CrossRef] [PubMed]
- Woolveridge, I.; de Boer-Brouwer, M.; Taylor, F.; Teerds, K.J.; Wu, F.C.W.; Morris, I.D. Apoptosis in the rat spermatogenic epithelium following androgen withdrawal: Changes in apoptosis-related genes. Biol. Reprod. 1999, 60, 461–470. [Google Scholar] [CrossRef] [PubMed]
- Dawson, A.; King, V.M.; Bentley, G.E.; Ball, G.F. Photo-periodic control of seasonality in birds. J. Biol. Rhythms. 2001, 16, 365–380. [Google Scholar] [CrossRef] [PubMed]
- Dawson, A. Photoperiodic control of the annual cycle in birds and comparison with mammals. Ardea 2002, 90, 355–367. [Google Scholar]
- Ohta, T.; Miyake, H.; Miura, C.; Kamei, H.; Aida, K.; Miura, T. Follicle stimulating hormone induces spermatogenesis mediated by androgen production in Japanese eel, Anguilla japonica. Biol. Reprod. 2007, 77, 970–977. [Google Scholar] [CrossRef]
- Zmora, N.; Kazeto, Y.; Kumar, R.S.; Schulz, R.W.; Trant, J.M. Production of recombinant channel catfish (Ictalurus punctatus) FSH and LH in S2 Drosophila cell line and an indication of their different actions. J. Endocrinol. 2007, 194, 407–416. [Google Scholar] [CrossRef]
- Ruwanpura, S.M.; Stanton, P.G.; Meachem, S.J. Follicle-stimulating hormone affects spermatogonial survival by regulating the intrinsic apoptotic pathway in adult rats. Biol. Reprod. 2008, 78, 705–713. [Google Scholar] [CrossRef]
- Corriero, A.; Medina, A.; Mylonas, C.C.; Bridges, C.R.; Santamaria, N.; Deflorio, M.; Losurdo, M.; Zupa, R.; Gordin, H.; de la Gándara, F.; et al. Proliferation and apoptosis of male germ cells in captive Atlantic bluefin tuna (Thunnus thynnus L.) treated with gonadotropin-releasing hormone agonist (GnRHa). Anim. Reprod. Sci. 2009, 116, 346–357. [Google Scholar] [CrossRef]
- Blottner, S.; Hingst, O.; Meyer, H.H.D. Inverse relationship between testicular proliferation and apoptosis in mammalian seasonal breeders. Theriogenology 1995, 44, 320–328. [Google Scholar] [CrossRef]
- Štrbenc, M.; Fazarinc, G.; Bavdek, V.; Pogačnik, A. Apoptosis and proliferation during seasonal testis regression in the brown hare (Lupus europaeus L.). Anat. Histol Embryol. 2003, 32, 48–53. [Google Scholar] [CrossRef]
- Valentini, L.; Zupa, R.; Pousis, C.; Cuko, R.; Corriero, A. Proliferation and apoptosis of cat (Felis catus) male germ cells during breeding and non-breeding seasons. Vet. Sci. 2022, 9, 447. [Google Scholar] [CrossRef]
- Jenkin, L.K.; Ross, W.L.; Young, K.A. Increases in apoptosis and declines in Bcl-XL protein characterise testicular regression in American crows (Corvus brachyrhynchos). Reprod. Fertil. Dev. 2007, 19, 461–469. [Google Scholar] [CrossRef]
- Nazrul Islam, M.; Tsukahara, N.; Sugita, S. Apoptosis-mediated seasonal testicular regression in the Japanese Jungle crow (Corvus macrorhynchos). Theriogenology 2012, 77, 1854–1865. [Google Scholar] [CrossRef]
- Chen, H.; Huang, Y.; Liu, T.; Haseeb, A.; Ahmed, N.; Zhang, L.; Bian, X.; Chen, Q. Characteristics of seasonal spermatogenesis in the soft-shelled Turtle. Anim. Reprod. Sci. 2020, 214, 106307. [Google Scholar] [CrossRef]
- Sasso-Cerri, E.; Cerri, P.S.; Freymüller, E.; Miraglia, S.M. Apoptosis during the seasonal spermatogenic cycle of Rana catesbeiana. J. Anat. 2006, 209, 21–29. [Google Scholar] [CrossRef]
- Scaia, M.F.; Czuchlej, S.C.; Cervino, N.; Ceballos, N.R. Apoptosis, Proliferation and Presence of Estradiol Receptors in the Testes and Bidder’s Organ of the Toad Rhinella Arenarum (Amphibia, Anura). J. Morphol. 2016, 277, 412–423. [Google Scholar] [CrossRef] [PubMed]
- Swerdloff, R.S.; Lue, Y.; Wang, C. Hormonal Regulation of Germ Cell Apoptosis. In Germ Cell Development, Division, Disruption and Death; Zirkin, B.R., Ed.; Springer: New York, NY, USA, 1998; pp. 150–164. [Google Scholar]
- Deviche, P.; Hurley, L.L.; Fokidis, H.B. Avian Testicular Structure, Function, and Regulation. In Hormones and Reproduction of Vertebrates; Norris, D.O., Lopez, K.H., Eds.; Academic Press: New York, NY, USA, 2011; pp. 27–70. [Google Scholar]
- Gribbins, K.M. Reptilian spermatogenesis: A histological and ultrastructural perspective. Spermatogenesis 2011, 1, 250–269. [Google Scholar] [CrossRef] [PubMed]
- Abdul-Rahman, I.I.; Obese, F.Y.; Jeffcoate, I.A. Developmental changes in the histological structure of the testes, and testosterone profiles in male guinea fowls (Numida meleagris). Theriogenology 2017, 101, 114e122. [Google Scholar] [CrossRef]
- Beltrán-Frutos, E.; Seco-Rovira, V.; Martínez-Hernández, J.; Ferrer, C.; Serrano-Sánchez, M.I.; Pastor, L.M. Cellular Modifications in Spermatogenesis during Seasonal Testicular Regression: An Update Review in Mammals. Animals 2022, 12, 1605. [Google Scholar] [CrossRef]
- Vilela, D.A.R.; Silva, S.G.B.; Peixoto, M.T.D.; Godinho, H.P.; França, L.R. Spermatogenesis in teleost: Insights from the Nile tilapia (Oreochromis niloticus) model. Fish Physiol. Biochem. 2003, 28, 187–190. [Google Scholar] [CrossRef]
- Rozenblut-Kóscisty, B.; Piprek, R.P.; Pecio, A.; Bartmánska, J.; Szymura, J.M.; Ogielska, M. The structure of spermatogenic cysts and number of Sertoli cells in the testes of Bombina bombina and Bombina variegata (Bombinatoridae, Anura, Amphibia). Zoomorphology 2017, 136, 483–495. [Google Scholar] [CrossRef]
- Roco, Á.S.; Ruiz-García, A.; Bullejos, M. Testis Development and Differentiation in Amphibians. Genes 2021, 12, 578. [Google Scholar] [CrossRef] [PubMed]
- Corriero, A.; Desantis, S.; Bridges, C.R.; Kim, D.E.; Megalofonou, P.; Santamaria, N.; Cirillo, F.; Ventriglia, G.; Di Summa, A.; Deflorio, M.; et al. Germ cell proliferation and apoptosis during different phases of swordfish (Xiphias gladius L.) spermatogenetic cycle. J. Fish Biol. 2007, 70, 83–99. [Google Scholar] [CrossRef]
- Domingos, F.F.T.; Thomé, R.G.; Martinelli, P.M.; Sato, Y.; Bazzoli, N.; Rizzo, E. Role of HSP70 in the regulation of the testicular apoptosis in a seasonal breeding teleost Prochilodus argenteus from the São Francisco River, Brazil. Microsc. Res. Tech. 2013, 76, 350–356. [Google Scholar] [CrossRef]
- Ribeiro, Y.M.; de Matos, S.A.; Domingos, F.F.T.; dos Santos, H.B.; Cruz Vieira, A.B.; Bazzoli, N.; Rizzo, E. Germ cell proliferation and apoptosis during testicular regression in a seasonal breeding fish kept in captivity. Tissue Cell 2017, 49, 664–671. [Google Scholar] [CrossRef]
- Kaptaner, B.; Kankaya, E. Analysis of germ cell proliferation, apoptosis, and androgenesis in the Lake Van fish (Chalcalburnus tarichi) during testicular development. Fish Physiol. Biochem. 2013, 39, 1665–1679. [Google Scholar] [CrossRef]
- Moreira, D.P.; Melo, R.M.C.; Weber, A.A.; Rizzo, E. Insulin-like growth factors 1 and 2 are associated with testicular germ cell proliferation and apoptosis during fish reproduction. Reprod. Fertil. Dev. 2020, 32, 988–998. [Google Scholar] [CrossRef] [PubMed]
- Crespo, D.; Assis, L.H.C.; Zhang, Y.T.; Safian, D.; Furmanek, T.; Skaftnesmo, K.O.; Norberg, B.; Ge, W.; Choi, Y.-C.; den Broeder, M.J.; et al. Insulin-like 3 affects zebrafish spermatogenic cells directly and via Sertoli cells. Commun. Biol. 2021, 4, 204. [Google Scholar] [CrossRef] [PubMed]
- Crespo, D.; Assis, L.H.C.; van de Kant, H.J.G.; de Waard, S.; Safian, D.; Lemos, M.S.; Bogerd, J.; Schulz, R.W. Endocrine and local signaling interact to regulate spermatogenesis in zebrafish: Follicle-stimulating hormone, retinoic acid and androgens. Development 2019, 146, dev178665. [Google Scholar] [CrossRef] [PubMed]
- Besseau, L.; Faliex, E. Resorption of unemitted gametes in Lithognathus mormyrus (Sparidae, Teleostei): A possible synergic action of somatic and immune cells. Cell. Tissue Res. 1994, 276, 123–132. [Google Scholar] [CrossRef]
- Chaves-Pozo, E.; Liarte, S.; Vargas-Chacoff, L.; García-López, A.; Mulero, V.; Meseguer, J.; Mancera, J.M.; García-Ayala, A. 17Beta-Estradiol Triggers Postspawning in Spermatogenically Active Gilthead Seabream (Sparus aurata L.) Males. Biol. Reprod. 2007, 76, 142–148. [Google Scholar] [CrossRef] [PubMed]
- Corfe, B.M.; Dive, C.; Garrod, D.R. Changes in intercellular junctions during apoptosis precede nuclear condensation or phosphatidylserine exposure on the cell surface. Cell Death Differ. 2000, 7, 234–235. [Google Scholar] [CrossRef] [PubMed]



| Fish Group | Total Length (cm) | Body Mass (g) | Gonad Mass (g) |
|---|---|---|---|
| Pre-pubertal—control (PreP-C; n = 9) * | 49.2 ± 4.3 | 1125.1 ± 266.3 | 1.5 ± 0.8 |
| Pre-pubertal—rFsh-treated (PreP-Fsh; n = 4) * | 46.0 ± 3.2 | 906.5 ± 172.1 | 7.7 ± 2.6 |
| Adults—March-April (Adult-Pro; n = 5) | 71.8 ± 3.0 | 3396.0 ± 157.3 | 28.3 ± 16.3 |
| Adults—June (Adult-Meio; n = 4) | 72.4 ± 2.1 | 3512.5 ± 375.0 | 142.3 ± 35.0 |
Disclaimer/Publisher’s Note: The statements, opinions and data contained in all publications are solely those of the individual author(s) and contributor(s) and not of MDPI and/or the editor(s). MDPI and/or the editor(s) disclaim responsibility for any injury to people or property resulting from any ideas, methods, instructions or products referred to in the content. |
© 2025 by the authors. Licensee MDPI, Basel, Switzerland. This article is an open access article distributed under the terms and conditions of the Creative Commons Attribution (CC BY) license (https://creativecommons.org/licenses/by/4.0/).
Share and Cite
Ventriglia, G.; Duncan, N.; Giménez, I.; Mylonas, C.C.; Pousis, C.; Varvara, C.; Valentini, L.; Passantino, L.; Corriero, A.; Zupa, R. Histological Insights into Testicular Apoptosis Associated with Spermatogenesis in Pre-Pubertal and Adult Meagre (Argyrosomus regius). Animals 2025, 15, 2668. https://doi.org/10.3390/ani15182668
Ventriglia G, Duncan N, Giménez I, Mylonas CC, Pousis C, Varvara C, Valentini L, Passantino L, Corriero A, Zupa R. Histological Insights into Testicular Apoptosis Associated with Spermatogenesis in Pre-Pubertal and Adult Meagre (Argyrosomus regius). Animals. 2025; 15(18):2668. https://doi.org/10.3390/ani15182668
Chicago/Turabian StyleVentriglia, Gianluca, Neil Duncan, Ignacio Giménez, Constantinos C. Mylonas, Chrysovalentinos Pousis, Caterina Varvara, Luisa Valentini, Letizia Passantino, Aldo Corriero, and Rosa Zupa. 2025. "Histological Insights into Testicular Apoptosis Associated with Spermatogenesis in Pre-Pubertal and Adult Meagre (Argyrosomus regius)" Animals 15, no. 18: 2668. https://doi.org/10.3390/ani15182668
APA StyleVentriglia, G., Duncan, N., Giménez, I., Mylonas, C. C., Pousis, C., Varvara, C., Valentini, L., Passantino, L., Corriero, A., & Zupa, R. (2025). Histological Insights into Testicular Apoptosis Associated with Spermatogenesis in Pre-Pubertal and Adult Meagre (Argyrosomus regius). Animals, 15(18), 2668. https://doi.org/10.3390/ani15182668

