Postpartum Uterine Involution in Cows: Quantitative Assessment of Structural Remodeling and Immune Cell Infiltration
Simple Summary
Abstract
1. Introduction
2. Materials and Methods
2.1. Animals
2.2. Uterine Biopsies and Experimental Design
2.3. Cytology Evaluation
2.4. Histopathology Evaluation of Uterine Morphology
2.5. Immunohistochemical Evaluation of Uterine Immune Cells During the Postpartum Period
2.6. Quantitative Analysis with QuPath© 0.4.3 Software
2.7. Statistical Analyses
3. Results
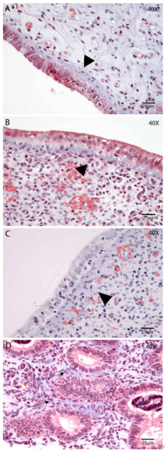
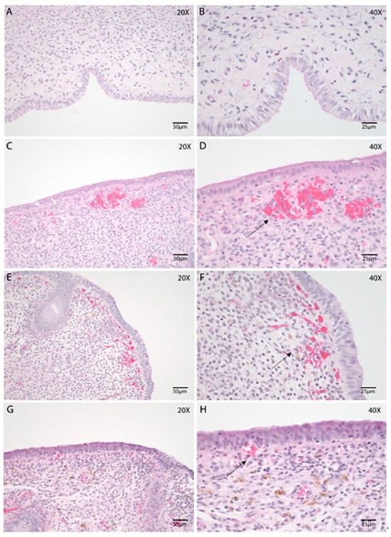
3.1. Overall Morphological Characterization of the Uterus During Postpartum Involution
3.2. Quantitative and Semiquantitative Evaluation of Morphological Changes During the Postpartum Period
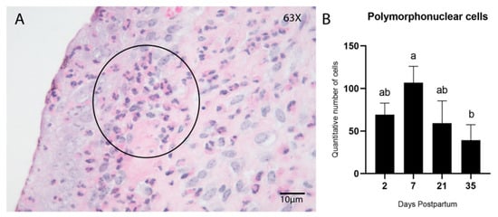
3.3. Characterization of Innate Immunity During the Postpartum Period
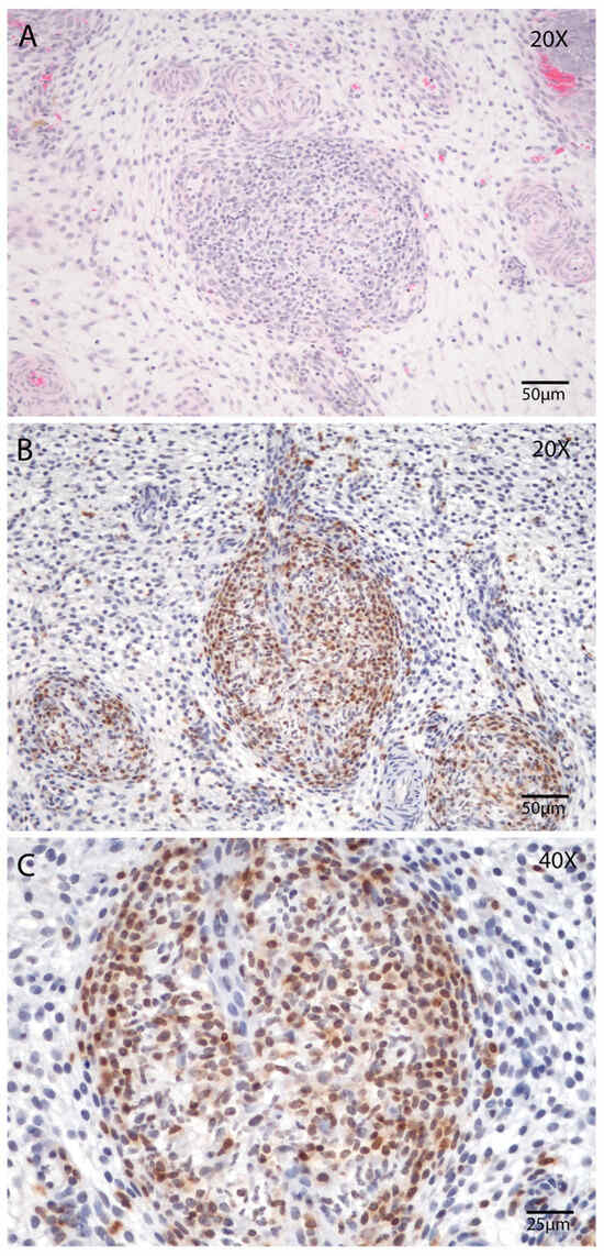
3.4. Characterization of Acquired Immunity During the Postpartum Period: Stromal Presence of B and T Lymphocytes
4. Discussion
5. Conclusions
Supplementary Materials
Author Contributions
Funding
Institutional Review Board Statement
Informed Consent Statement
Data Availability Statement
Acknowledgments
Conflicts of Interest
References
- Rashid, M.H.; Pascottini, O.B.; Xie, L.; Niazi, M.; Lietaer, L.; Comlekcioglu, U.; Opsomer, G. Shotgun Metagenomic Composition, Microbial Interactions and Functional Insights into the Uterine Microbiome of Postpartum Dairy Cows with Clinical and Subclinical Endometritis. Sci. Rep. 2025, 15, 18274. [Google Scholar] [CrossRef]
- Sheldon, I.M.; Cronin, J.G.; Bromfield, J.J. Tolerance and Innate Immunity Shape the Development of Postpartum Uterine Disease and the Impact of Endometritis in Dairy Cattle. Annu. Rev. Anim. Biosci. 2019, 7, 361–384. [Google Scholar] [CrossRef]
- Bogado Pascottini, O.; LeBlanc, S.J.; Gnemi, G.; Leroy, J.L.M.R.; Opsomer, G. Genesis of Clinical and Subclinical Endometritis in Dairy Cows. Reproduction 2023, 166, R15–R24. [Google Scholar] [CrossRef]
- Arai, M.; Yoshioka, S.; Tasaki, Y.; Okuda, K. Remodeling of Bovine Endometrium throughout the Estrous Cycle. Anim. Reprod. Sci. 2013, 142, 1–9. [Google Scholar] [CrossRef] [PubMed]
- Melendez, P.; McHale, J.; Bartolome, J.; Archbald, L.F.; Donovan, G.A. Uterine Involution and Fertility of Holstein Cows Subsequent to Early Postpartum PGF2α Treatment for Acute Puerperal Metritis. J. Dairy Sci. 2004, 87, 3238–3246. [Google Scholar] [CrossRef] [PubMed]
- Chapwanya, A.; Meade, K.G.; Doherty, M.L.; Callanan, J.J.; Mee, J.F.; O’Farrelly, C. Histopathological and Molecular Evaluation of Holstein-Friesian Cows Postpartum: Toward an Improved Understanding of Uterine Innate Immunity. Theriogenology 2009, 71, 1396–1407. [Google Scholar] [CrossRef]
- Chapwanya, A.; Meade, K.G.; Narciandi, F.; Stanley, P.; Mee, J.F.; Doherty, M.L.; Callanan, J.J.; O’Farrelly, C. Endometrial Biopsy: A Valuable Clinical and Research Tool in Bovine Reproduction. Theriogenology 2010, 73, 988–994. [Google Scholar] [CrossRef]
- Meira, E.B.S.; Henriques, L.C.S.; Sá, L.R.M.; Gregory, L. Comparison of Ultrasonography and Histopathology for the Diagnosis of Endometritis in Holstein-Friesian Cows. J. Dairy Sci. 2012, 95, 6969–6973. [Google Scholar] [CrossRef] [PubMed]
- Bonnett, B.N.; Martin, S.W.; Gannon, V.P.; Miller, R.B.; Etherington, W.G. Endometrial Biopsy in Holstein-Friesian Dairy Cows. III. Bacteriological Analysis and Correlations with Histological Findings. Can. J. Vet. Res. 1991, 55, 168–173. [Google Scholar]
- Sheldon, I.M.; Molinari, P.C.C.; Ormsby, T.J.R.; Bromfield, J.J. Preventing Postpartum Uterine Disease in Dairy Cattle Depends on Avoiding, Tolerating and Resisting Pathogenic Bacteria. Theriogenology 2020, 150, 158–165. [Google Scholar] [CrossRef]
- Sheldon, I.M.; Dobson, H. Postpartum Uterine Health in Cattle. Anim. Reprod. Sci. 2004, 82–83, 295–306. [Google Scholar] [CrossRef]
- Pascottini, O.B.; Van Schyndel, S.J.; Spricigo, J.F.W.; Rousseau, J.; Weese, J.S.; LeBlanc, S.J. Dynamics of Uterine Microbiota in Postpartum Dairy Cows with Clinical or Subclinical Endometritis. Sci. Rep. 2020, 10, 12353. [Google Scholar] [CrossRef]
- Sheldon, I.M.; Cronin, J.; Goetze, L.; Donofrio, G.; Schuberth, H.-J. Defining Postpartum Uterine Disease and the Mechanisms of Infection and Immunity in the Female Reproductive Tract in Cattle. Biol. Reprod. 2009, 81, 1025–1032. [Google Scholar] [CrossRef] [PubMed]
- Bondurant, R.H. Inflammation in the Bovine Female Reproductive Tract. J. Anim. Sci. 1999, 77, 101–110. [Google Scholar] [CrossRef] [PubMed]
- Dubuc, J.; Duffield, T.F.; Leslie, K.E.; Walton, J.S.; LeBlanc, S.J. Risk Factors for Postpartum Uterine Diseases in Dairy Cows. J. Dairy Sci. 2010, 93, 5764–5771. [Google Scholar] [CrossRef]
- Schlafer, D.H.; Foster, R.A. Female Genital System. In Jubb, Kennedy & Palmer’s Pathology of Domestic Animals: Volume 3; Elsevier: Amsterdam, The Netherlands, 2016; Volume 3, pp. 358–464.e1. ISBN 978-0-7020-6832-4. [Google Scholar]
- Chapwanya, A.; Meade, K.G.; Foley, C.; Narciandi, F.; Evans, A.C.O.; Doherty, M.L.; Callanan, J.J.; O’Farrelly, C. The Postpartum Endometrial Inflammatory Response: A Normal Physiological Event with Potential Implications for Bovine Fertility. Reprod. Fertil. Dev. 2012, 24, 1028–1039. [Google Scholar] [CrossRef]
- Barlund, C.S.; Carruthers, T.D.; Waldner, C.L.; Palmer, C.W. A Comparison of Diagnostic Techniques for Postpartum Endometritis in Dairy Cattle. Theriogenology 2008, 69, 714–723. [Google Scholar] [CrossRef] [PubMed]
- Cardoso, B.; Oliveira, M.L.; Pugliesi, G.; Batista, E.O.S.; Binelli, M. Cytobrush: A Tool for Sequential Evaluation of Gene Expression in Bovine Endometrium. Reprod. Domest. Anim. 2017, 52, 1153–1157. [Google Scholar] [CrossRef]
- Krause, A.R.T.; Pfeifer, L.F.M.; Montagner, P.; Weschenfelder, M.M.; Schwegler, E.; Lima, M.E.; Xavier, E.G.; Brauner, C.C.; Schmitt, E.; Pino, F.A.B.D.; et al. Associations between Resumption of Postpartum Ovarian Activity, Uterine Health and Concentrations of Metabolites and Acute Phase Proteins during the Transition Period in Holstein Cows. Anim. Reprod. Sci. 2014, 145, 8–14. [Google Scholar] [CrossRef]
- Dubuc, J.; Duffield, T.F.; Leslie, K.E.; Walton, J.S.; LeBlanc, S.J. Definitions and Diagnosis of Postpartum Endometritis in Dairy Cows. J. Dairy Sci. 2010, 93, 5225–5233. [Google Scholar] [CrossRef]
- Bogado Pascottini, O.; Hostens, M.; Dini, P.; Vandepitte, J.; Ducatelle, R.; Opsomer, G. Comparison between Cytology and Histopathology to Evaluate Subclinical Endometritis in Dairy Cows. Theriogenology 2016, 86, 1550–1556. [Google Scholar] [CrossRef]
- Bankhead, P.; Loughrey, M.B.; Fernández, J.A.; Dombrowski, Y.; McArt, D.G.; Dunne, P.D.; McQuaid, S.; Gray, R.T.; Murray, L.J.; Coleman, H.G.; et al. QuPath: Open Source Software for Digital Pathology Image Analysis. Sci. Rep. 2017, 7, 16878. [Google Scholar] [CrossRef]
- Spencer, T.E.; Kelleher, A.M.; Bartol, F.F. Development and Function of Uterine Glands in Domestic Animals. Annu. Rev. Anim. Biosci. 2019, 7, 125–147. [Google Scholar] [CrossRef]
- Bonnett, B.N.; Miller, R.B.; Etherington, W.G.; Martin, S.W.; Johnson, W.H. Endometrial Biopsy in Holstein-Friesian Dairy Cows. I. Technique, Histological Criteria and Results. Can. J. Vet. Res.=Rev. Can. Rech. Vétérinaire 1991, 55, 155–161. [Google Scholar]
- Bonnett, B.N.; Martin, S.W. Path Analysis of Peripartum and Postpartum Events, Rectal Palpation Findings, Endometrial Biopsy Results and Reproductive Performance in Holstein-Friesian Dairy Cows. Prev. Vet. Med. 1995, 21, 279–288. [Google Scholar] [CrossRef]
- Dhaliwal, G.S.; Murray, R.D.; Woldehiwet, Z. Some Aspects of Immunology of the Bovine Uterus Related to Treatments for Endometritis. Anim. Reprod. Sci. 2001, 67, 135–152. [Google Scholar] [CrossRef] [PubMed]
- Foley, C.; Chapwanya, A.; Callanan, J.J.; Whiston, R.; Miranda-CasoLuengo, R.; Lu, J.; Meijer, W.G.; Lynn, D.J.; O’ Farrelly, C.; Meade, K.G. Integrated Analysis of the Local and Systemic Changes Preceding the Development of Post-Partum Cytological Endometritis. BMC Genom. 2015, 16, 811. [Google Scholar] [CrossRef]
- Hussain, A.M.; Daniel, R.C.W. Bovine Normal and Abnormal Reproductive and Endocrine Functions during the Postpartum Period: A Review. Reprod. Domest. Anim. 1991, 26, 101–111. [Google Scholar] [CrossRef]
- Lindell, J.-O.; Kindahl, H.; Jansson, L.; Edqvist, L.-E. Post-Partum Release of Prostaglandin F2α and Uterine Involution in the Cow. Theriogenology 1982, 17, 237–245. [Google Scholar] [CrossRef] [PubMed]
- Sheldon, I.M.; Price, J.C.; Turner, M.L.; Bromfield, J.J.; Cronin, J.G. Uterine Infection and Immunity in Cattle. Biosci. Proc. 2019, 8. [Google Scholar] [CrossRef]
- Sheldon, I.M.; Lewis, G.S.; LeBlanc, S.; Gilbert, R.O. Defining Postpartum Uterine Disease in Cattle. Theriogenology 2006, 65, 1516–1530. [Google Scholar] [CrossRef]
- Gray, C.; Stewart, M.; Johnson, G.; Spencer, T. Postpartum Uterine Involution in Sheep: Histoarchitecture and Changes in Endometrial Gene Expression. Reproduction 2003, 125, 185–198. [Google Scholar] [CrossRef]
- Bogado Pascottini, O.; Hostens, M.; Dini, P.; Vandepitte, J.; Ducatelle, R.; Opsomer, G. Distribution of Inflammation and Association between Active and Chronic Alterations within the Endometrium of Dairy Cows. Reprod. Domest. Anim. 2016, 51, 751–757. [Google Scholar] [CrossRef]
- Cobb, S.P.; Watson, E.D. Immunohistochemical Study of Immune Cells in the Bovine Endometrium at Different Stages of the Oestrous Cycle. Res. Vet. Sci. 1995, 59, 238–241. [Google Scholar] [CrossRef]
- Sellmer Ramos, I.; Moraes, J.G.N.; Caldeira, M.O.; Poock, S.E.; Spencer, T.E.; Lucy, M.C. Impact of Postpartum Metritis on the Regeneration of Endometrial Glands in Dairy Cows. JDS Commun. 2023, 4, 400–405. [Google Scholar] [CrossRef]
- Ohtani, S.; Okuda, K.; Nishimura, K.; Mohri, S. Histological Changes in Bovine Endometrium during the Estrous Cycle. Theriogenology 1993, 39, 1033–1042. [Google Scholar] [CrossRef] [PubMed]
- Okano, A.; Tomizuka, T. Postpartum Uterine Involution in the Cow. Jpn. Agric. Res. Q. 1996, 30, 113–121. [Google Scholar]
- Kaidi, R.; Brown, P.J.; David, J.S.E.; Etherington, D.J.; Robins, S.P. Uterine Collagen during Involution in Cattle. Matrix 1991, 11, 101–107. [Google Scholar] [CrossRef] [PubMed]
- Endo, T.; Kiya, T.; Goto, T.; Henmi, H.; Manase, K.; Honnma, H.; Baba, T.; Ishioka, S.; Hayashi, T.; Chida, M.; et al. Significance of Matrix Metalloproteinases in the Pathophysiology of the Ovary and Uterus. Reprod. Med. Biol. 2006, 5, 235–243. [Google Scholar] [CrossRef]
- LeBlanc, S.J. Review: Postpartum Reproductive Disease and Fertility in Dairy Cows. Animal 2023, 17, 100781. [Google Scholar] [CrossRef] [PubMed]
- Tan, J.; Wang, Z.; Yang, M.; Zhang, R.; Xue, Z.; Zhou, D.; Wang, A.; Lin, P.; Jin, Y. Oxidative Stress Mediates the Dual Regulatory Effects of Bovine Uterine ECM Remodeling Through the TGF-Β1/Smad3 Pathway: Molecular Mechanisms of MMPs and COL-IV Imbalances. Animals 2025, 15, 1847. [Google Scholar] [CrossRef]
- Johan, M.Z.; Ingman, W.V.; Robertson, S.A.; Hull, M.L. Macrophages Infiltrating Endometriosis-like Lesions Exhibit Progressive Phenotype Changes in a Heterologous Mouse Model. J. Reprod. Immunol. 2019, 132, 1–8. [Google Scholar] [CrossRef] [PubMed]
- Bromfield, J.J.; Watt, M.M.; Iacovides, S.M. Characterisation of Peripheral Blood Mononuclear Cell Populations in Periparturient Dairy Cows That Develop Metritis. Vet. Immunol. Immunopathol. 2018, 200, 69–75. [Google Scholar] [CrossRef] [PubMed]
- Levkut, M.; Pistl, J.; Revajova, V.; Choma, J.; Levkutova, M.; David, V. Comparison of Immune Parameters in Cows with Normal and Prolonged Involution Time of Uterus. Vet. Med. 2002, 47, 277–282. [Google Scholar] [CrossRef]
- Leung, S.T.; Derecka, K.; Mann, G.E.; Flint, A.P.; Wathes, D.C. Uterine Lymphocyte Distribution and Interleukin Expression during Early Pregnancy in Cows. Reproduction 2000, 119, 25–33. [Google Scholar] [CrossRef]
- Lucy, M.C.; Evans, T.J.; Poock, S.E. Lymphocytic Foci in the Endometrium of Pregnant Dairy Cows: Characterization and Association with Reduced Placental Weight and Embryonic Loss. Theriogenology 2016, 86, 1711–1719. [Google Scholar] [CrossRef]
- Wira, C.R.; Rodriguez-Garcia, M.; Patel, M.V. The Role of Sex Hormones in Immune Protection of the Female Reproductive Tract. Nat. Rev. Immunol. 2015, 15, 217–230. [Google Scholar] [CrossRef]
- McGhee, J.R.; Fujihashi, K. Inside the Mucosal Immune System. PLoS Biol. 2012, 10, e1001397. [Google Scholar] [CrossRef]
- Boysen, P.; Storset, A.K. Bovine Natural Killer Cells. Vet. Immunol. Immunopathol. 2009, 130, 163–177. [Google Scholar] [CrossRef]
- Oliveira, L.J.; Mansourri-Attia, N.; Fahey, A.G.; Browne, J.; Forde, N.; Roche, J.F.; Lonergan, P.; Fair, T. Characterization of the Th Profile of the Bovine Endometrium during the Oestrous Cycle and Early Pregnancy. PLoS ONE 2013, 8, e75571. [Google Scholar] [CrossRef] [PubMed]
- Anoshko, Y.; Dons’koi, B.; Sudoma, I.; Khazhylenko, K.; Zabara, D.; Goncharova, Y. Changes in the Immunophenotype of Endometrium during Implantation Window Receptivity Formation in Healthy Fertile Women. Placenta 2023, 143, 62–68. [Google Scholar] [CrossRef] [PubMed]
- Berben, L.; Wildiers, H.; Marcelis, L.; Antoranz, A.; Bosisio, F.; Hatse, S.; Floris, G. Computerised Scoring Protocol for Identification and Quantification of Different Immune Cell Populations in Breast Tumour Regions by the Use of QuPath Software. Histopathology 2020, 77, 79–91. [Google Scholar] [CrossRef] [PubMed]
- Corset, A.; Remot, A.; Graulet, B.; Poton, P.; Philau, S.; Ricouleau, J.F.; Dhumez, O.; Germon, P.; Boudon, A.; Boutinaud, M. Effects of Parity and Week after Calving on the Metabolic, Redox, and Immune Status of Dairy Cows. J. Dairy Sci. 2024, 107, 8592–8608. [Google Scholar] [CrossRef] [PubMed]








| Area | Criteria | Subjective Assessment | Quantitative Assessment |
|---|---|---|---|
| Biopsy | Readability | Unreadable, readable, good, very good | Number of areas where epithelium could be measure |
| Epithelium | Height | Columnar, cuboidal flattened | Intact epithelium measured at 400× |
| Inflammatory cells | Mononuclear, PMN infiltrating the epithelium | Number (400×) | |
| Edema | Grade (0–4) (200× to 400×) | ||
| Hemorrhage | Grade (0–4) (200× to 400×) | ||
| Stratum compactum | Inflammatory cells | Mononuclear, PMN noted in the stratum compactum | Number (400×) |
| Lymphocytic foci | Number in biopsy (100×) | ||
| Edema | Grade (0–4) (200× to 400×) | ||
| Vasodilation | Grade (0–4) (200× to 400×) | ||
| Hemorrhage | Grade (0–4) (200× to 400×) | ||
| Stratum spongiosum | Lymphocytic foci | Number in biopsy (100×) | |
| Endometrial Glands | Concentration | None, scarce, moderate, heavy | Number (100×) |
| Type | Straight, coiled | ||
| Size | Dilated glands, present/absent | Inner and outer gland diameter | |
| Fibrosis | Present/absent | Counts of layers of fibroblasts around glands | |
| Inflammatory cells | Mononuclear, PMN noted around glands | Number (400×) |
| Name of Antibody | Manufacturer (Cat. No.) | Type | Dilution |
|---|---|---|---|
| CD204 | Cosmo Bio LTD; Tokio, Japan (KAL-KT022) | MoM | 1:100 |
| CD79 | Novus Biologicals; Centennial, CO, USA (NB-1006434 7) | MoM | 1:100 |
| CD3 | Biorad; Kidlington, Oxfordshire, United Kingdom (MCA1477T) | RatM | 1:100 |
| NKp46 (CD335) | Thermo Fisher; Waltham, MA, USA (PA5-102860) | RbP | 1:200 |
| Goat Anti-Rat IgG (H + L) | Vector Laboratories; Newark, CA, USA (VECTBA9400) | Rat | 1:200 |
| Goat Anti-Mouse IgG (H + L) | Vector Laboratories; Newark, CA, USA (VECTBA9200) | Mo | 1:200 |
| Goat Anti-Rabbit IgG | Vector Laboratories; Newark, CA, USA (PK-4001) | Rb | 1:200 |
| Postpartum | Concentration | Type | Size | Inflammation (Around Glands) | Fibrosis (Around Glands) | |
|---|---|---|---|---|---|---|
| Day 2 (n = 11) | None | 20.0% | Straight | Dilated | Present | 55% |
| Scarce | 60.0% | |||||
| Heavy | 20.0% | |||||
| Day 7 (n = 15) | Scarce | 100% | Straight | Dilated | Present | 83% |
| Day 21 (n = 13) | Scarce | 18.1% | Coiled | Dilated | Present | 70% |
| Moderate | 45.4% | |||||
| Heavy | 36.3% | |||||
| Day 35 (n = 11) | Moderate | 20.0% | Coiled | Dilated | Present | 33% |
| Heavy | 80.0% | |||||
| Day PPT | CD3 | CD79 | CD204 | CD335 | |
|---|---|---|---|---|---|
| Correlation (r-value) | 2 | 0.4468 | 0.7065 | 0.7367 | −0.1423 |
| Spearman’s p | 0.8151 | 0.5411 | 0.7792 | 0.3537 | |
| p-value | 0.0022 * | 0.0856 | 0.0079 * | 0.286 | |
| Correlation (r-value) | 7 | 0.6577 | 0.4313 | 0.8231 | −0.1581 |
| Spearman’s p | 0.8248 | 0.4276 | 0.8831 | 0.467 | |
| p-value | 0.0002 * | 0.1118 | 0.0001 * | 0.0792 | |
| Correlation (r-value) | 21 | 0.6909 | 0.5164 | 0.3852 | −0.1212 |
| Spearman’s p | 0.7198 | 0.7652 | 0.5712 | 0.0414 | |
| p-value | 0.0055 * | 0.0023 * | 0.0524 | 0.8932 | |
| Correlation (r-value) | 35 | 0.6835 | 0.0808 | 0.1821 | −0.1527 |
| Spearman’s p | 0.492 | 0.4361 | 0.4977 | −0.1918 | |
| p-value | 0.1242 | 0.18 | 0.1193 | 0.5721 | |
| Correlation (r-value) | all Days | 0.8232 | 0.51 | 0.7059 | −0.0375 |
| Spearman’s p | 0.8544 | 0.6033 | 0.8150 | 0.2758 | |
| p-value (p < 0.05) | <0.0001 * | <0.0001 * | <0.0001 * | 0.0526 * |
Disclaimer/Publisher’s Note: The statements, opinions and data contained in all publications are solely those of the individual author(s) and contributor(s) and not of MDPI and/or the editor(s). MDPI and/or the editor(s) disclaim responsibility for any injury to people or property resulting from any ideas, methods, instructions or products referred to in the content. |
© 2025 by the authors. Licensee MDPI, Basel, Switzerland. This article is an open access article distributed under the terms and conditions of the Creative Commons Attribution (CC BY) license (https://creativecommons.org/licenses/by/4.0/).
Share and Cite
Aires, K.V.; da Silva, A.P.; de Andrade, L.G.; Boyer, A.; Zamberlam, G.; Portela, V.M.; Antoniazzi, A.Q.; St-Jean, G. Postpartum Uterine Involution in Cows: Quantitative Assessment of Structural Remodeling and Immune Cell Infiltration. Animals 2025, 15, 2520. https://doi.org/10.3390/ani15172520
Aires KV, da Silva AP, de Andrade LG, Boyer A, Zamberlam G, Portela VM, Antoniazzi AQ, St-Jean G. Postpartum Uterine Involution in Cows: Quantitative Assessment of Structural Remodeling and Immune Cell Infiltration. Animals. 2025; 15(17):2520. https://doi.org/10.3390/ani15172520
Chicago/Turabian StyleAires, Karine V., Ana Paula da Silva, Leonardo G. de Andrade, Alexandre Boyer, Gustavo Zamberlam, Valerio M. Portela, Alfredo Q. Antoniazzi, and Guillaume St-Jean. 2025. "Postpartum Uterine Involution in Cows: Quantitative Assessment of Structural Remodeling and Immune Cell Infiltration" Animals 15, no. 17: 2520. https://doi.org/10.3390/ani15172520
APA StyleAires, K. V., da Silva, A. P., de Andrade, L. G., Boyer, A., Zamberlam, G., Portela, V. M., Antoniazzi, A. Q., & St-Jean, G. (2025). Postpartum Uterine Involution in Cows: Quantitative Assessment of Structural Remodeling and Immune Cell Infiltration. Animals, 15(17), 2520. https://doi.org/10.3390/ani15172520

