Replacing Fishmeal with Fermented Wheat Protein Improves Nutrient Digestibility and Intestinal Health in Weaned Piglets
Simple Summary
Abstract
1. Introduction
2. Materials and Methods
2.1. Experimental Design and Diets
2.2. Feeding Management and Sample Collection
(total number of pigs × number of trial days) × 100.
2.3. Apparent Total Tract Digestibility
content in the fecal) × (the content of a nutrient in the fecal/the content of a
nutrient in the feed)] × 100.
2.4. Serum Parameters
2.5. Intestinal Morphology
2.6. Digestive Enzyme Activities, Antioxidant Capacity, and Immunoglobulins
2.7. Real-Time PCR
2.8. Statistical Analysis
3. Results
3.1. Growth Performance and Diarrhea Rate
3.2. Apparent Total Tract Digestibility
3.3. Digestive Enzyme Activities
3.4. Serum Biochemical Parameter
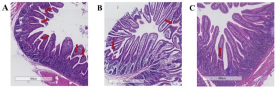
3.5. Jejunal Villus Morphological Structure
3.6. Jejunal Inflammatory Factors, Immunoglobulins, and Biochemical Indices
3.7. Barrier Function and Inflammatory Cytokines
4. Discussion
5. Conclusions
Author Contributions
Funding
Institutional Review Board Statement
Informed Consent Statement
Data Availability Statement
Conflicts of Interest
References
- Grando, M.A.; Costa, V.; Genova, J.L.; Rupolo, P.E.; de Azevedo, L.B.; Costa, L.B.; Carvalho, S.T.; Ribeiro, T.P.; Monteiro, D.P.; Carvalho, P.L.D. Blend of essential oils can reduce diarrheal disorders and improve liver antioxidant status in weaning piglets. Anim. Biosci. 2023, 36, 119–131. [Google Scholar] [CrossRef]
- Pluske, J.R.; Turpin, D.L.; Kim, J.C. Gastrointestinal tract (gut) health in the young pig. Anim. Nutr. 2018, 4, 187–196. [Google Scholar] [CrossRef] [PubMed]
- Modina, S.C.; Polito, U.; Rossi, R.; Corino, C.; Di Giancamillo, A. Nutritional Regulation of Gut Barrier Integrity in Weaning Piglets. Animals 2019, 9, 1045. [Google Scholar] [CrossRef] [PubMed]
- Ma, X.; Shang, Q.; Hu, J.; Liu, H.; Brokner, C.; Piao, X. Effects of replacing soybean meal, soy protein concentrate, fermented soybean meal or fish meal with enzyme-treated soybean meal on growth performance, nutrient digestibility, antioxidant capacity, immunity and intestinal morphology in weaned pigs. Livest. Sci. 2019, 225, 39–46. [Google Scholar] [CrossRef]
- Espinosa, C.D.; Torres-Mendoza, L.J.; Stein, H.H. Torula yeast may improve intestinal health and immune function of weanling pigs. J. Anim. Sci. 2023, 101, skad087. [Google Scholar] [CrossRef]
- Han, F.; Wang, Y.; Wang, W.; Cheng, F.; Lu, Z.; Li, A.; Xue, X.; Zeng, Q.; Wang, J. Effects of enzymatically hydrolyzed wheat gluten on growth performance, antioxidant status, and immune function in weaned pigs. Can. J. Anim. Sci. 2017, 97, 574–580. [Google Scholar] [CrossRef]
- Gabler, A.M.; Scherf, K.A. Comparative Characterization of Gluten and Hydrolyzed Wheat Proteins. Biomolecules 2020, 10, 1227. [Google Scholar] [CrossRef]
- Yang, X.; Pan, D.; Yang, C.; Xia, H.; Yang, L.; Wang, S.; Sun, G. Wheat oligopeptides enhance the intestinal mucosal barrier and alleviate inflammation via theTLR4/Myd88/MAPK signaling pathway in aged mice. Food Nutr. Res. 2022, 66, 20220222602. [Google Scholar] [CrossRef]
- Lima, M.S.; de Lima, V.C.O.; Piuvezam, G.; de Azevedo, K.P.M.; Maciel, B.L.L.; Morais, A.H.D. Mechanisms of action of anti-inflammatory proteins and peptides with anti-TNF-alpha activity and their effects on the intestinal barrier: A systematic review. PLoS ONE 2022, 17, e0270749. [Google Scholar] [CrossRef]
- Van Krimpen, M.M.; Binnendijk, G.P. The Effect of Wheat-Protein in Diets on the Performance and Health of Weanling Piglets; Number 233; Praktijkonderzoek Veehouderij: Lelystad, The Netherlands, 2001; p. 15. [Google Scholar]
- Liu, H.; Wang, Z.; Li, F.; Li, K.; Yang, N.; Yang, Y. Contents of Protein and Amino Acids of Wheat Grain in Different Wheat Production Regions and Their Evaluation. Acta Agron. Sin. 2016, 42, 768–777. [Google Scholar] [CrossRef]
- Yu, J.; Zuo, B.; Li, Q.; Zhao, F.; Wang, J.; Huang, W.; Sun, Z.; Chen, Y. Dietary supplementation with Lactiplantibacillus plantarum P-8 improves the growth performance and gut microbiota of weaned piglets. Microbiol. Spectrum 2024, 12, e02345-22. [Google Scholar] [CrossRef]
- Swiech, E. Effect of dietary wheat gluten levels on intestinal mucin flow and composition in young pigs. J. Anim. Feed Sci. 2024, 33, 517–524. [Google Scholar] [CrossRef]
- Jia, N.; Jin, J.; Wei, X.; Trabalza-Marinucci, M.; Jia, G.; Zhou, Q.; Zhang, R.; Li, H.; Wang, F.; Zhao, H.; et al. Effects of fermented wheat bran on growth performance, nutrient digestibility and intestinal microbiota of weaned piglets. Front. Vet. Sci. 2025, 12, 1561196. [Google Scholar] [CrossRef] [PubMed]
- Jazi, V.; Boldaji, F.; Dastar, B.; Hashemi, S.R.; Ashayerizadeh, A. Effects of fermented cottonseed meal on the growth performance, gastrointestinal microflora population and small intestinal morphology in broiler chickens. Br. Poult. Sci. 2017, 58, 402–408. [Google Scholar] [CrossRef] [PubMed]
- Wu, Y.; Wang, W.; Kim, I.H.; Yang, Y. Dietary hydrolyzed wheat gluten supplementation ameliorated intestinal barrier dysfunctions of broilers challenged with Escherichia coli O78. Poult. Sci. 2022, 101, 101615. [Google Scholar] [CrossRef]
- Zhang, A.; Yang, Y.; Li, Y.; Zheng, Y.; Wang, H.; Cui, H.; Yin, W.; Lv, M.; Liang, Y.; Chen, W. Effects of wheat-based fermented liquid feed on growth performance, nutrient digestibility, gut microbiota, intestinal morphology, and barrier function in grower-finisher pigs. J. Anim. Sci. 2024, 102, skae229. [Google Scholar] [CrossRef]
- Jeong, Y.D.; Lee, J.J.; Kim, J.E.; Kim, D.W.; Min, Y.J.; Cho, E.S.; Yu, D.J.; Kim, Y.H. Effects of dietary supplementation of fermented wheat bran on performance and blood profiles in weaned pigs. Korean J. Agric. Sci. 2017, 44, 409–415. [Google Scholar] [CrossRef]
- Fang, J.; Shi, B.; He, W.; Qin, X.; Wang, L.; Wang, F.; Meng, Q. Effects of fermented wheat bran on growth performance, nutrient apparent digestibility, immune function and fecal microbiota of weaned piglets. Chin. J. Anim. Nutr. 2022, 34, 150–158. [Google Scholar] [CrossRef]
- Benzie, I.F.F.; Strain, J.J. The Ferric Reducing Ability of Plasma (FRAP) as a Measure of “Antioxidant Power”: The FRAP Assay; Elsevier: Amsterdam, The Netherlands, 1996; Volume 239, pp. 70–76. [Google Scholar]
- Van Leeuwen, P.; Veldman, A.; Boisen, S.; Deuring, K.; Van Kempen, G.J.; Verstegen, M.W.; Derksen, G.B.; Schaafsma, G. Apparent ileal dry matter and crude protein digestibility of rations fed to pigs and determined with the use of chromic oxide (Cr2O3) and acid-insoluble ash as digestive markers. Br. J. Nutr. 1996, 76, 551–562. [Google Scholar] [CrossRef]
- Kong, C.; Adeola, O. Evaluation of Amino Acid and Energy Utilization in Feedstuff for Swine and Poultry Diets. Asian-Australas. J. Anim. Sci. 2014, 27, 917–925. [Google Scholar] [CrossRef]
- Chia, S.Y.; Tanga, C.M.; Osuga, I.M.; Alaru, A.O.; Mwangi, D.M.; Githinji, M.; Subramanian, S.; Fiaboe, K.K.M.; Ekesi, S.; vanLoon, J.J.A.; et al. Effect of Dietary Replacement of Fishmeal by Insect Meal on Growth Performance, Blood Profiles and Economics of Growing Pigs in Kenya. Animals 2019, 9, 705. [Google Scholar] [CrossRef]
- Tran, T.V.; Kim, Y.S.; Yun, H.H.; Nguyen, D.H.; Bui, T.T.; Tran, P.V. A blend of bacillus-fermented soybean meal, functional amino acids, and nucleotides improves nutrient digestibility, bolsters immune response, reduces diarrhea, and enhances growth performance in weaned piglets. J. Anim. Sci. 2024, 102, skae293. [Google Scholar] [CrossRef]
- Upadhaya, S.D.; Kim, I.H. The Impact of Weaning Stress on Gut Health and the Mechanistic Aspects of Several Feed Additives Contributing to Improved Gut Health Function in Weanling Piglets—A Review. Animals 2021, 11, 2418. [Google Scholar] [CrossRef]
- Qiu, Y.; Tang, J.; Wang, L.; Yang, X.; Jiang, Z. Fermented Corn-Soybean Meal Improved Growth Performance and Reduced Diarrhea Incidence by Modulating Intestinal Barrier Function and Gut Microbiota in Weaned Piglets. Int. J. Mol. Sci. 2024, 25, 3199. [Google Scholar] [CrossRef] [PubMed]
- Muniyappan, M.; Shanmugam, S.; Park, J.H.; Han, K.; Kim, I.H. Effects of fermented soybean meal supplementation on the growth performance and apparent total tract digestibility by modulating the gut microbiome of weaned piglets. Sci. Rep. 2023, 13, 3691. [Google Scholar] [CrossRef] [PubMed]
- Czech, A.; Grela, E.R.; Kiesz, M. Dietary fermented rapeseed or/and soybean meal additives on performance and intestinal health of piglets. Sci. Rep. 2021, 11, 16952. [Google Scholar] [CrossRef] [PubMed]
- Kim, Y.G.; Lohakare, J.D.; Yun, J.H.; Heo, S.; Chae, B.J. Effect of feeding levels of microbial fermented soy protein on the growth performance, nutrient digestibility and intestinal morphology in weaned piglets. Asian-Australas. J. Anim. Sci. 2007, 20, 399–404. [Google Scholar] [CrossRef]
- Zhou, J.Y.; Zhang, S.W.; Lin, H.L.; Gao, C.Q.; Yan, H.C.; Wang, X.Q. Hydrolyzed wheat gluten alleviates deoxynivalenol-induced intestinal injury by promoting intestinal stem cell proliferation and differentiation via upregulation of Wn/β-catenin signaling in mice. Food Chem. Toxicol. 2019, 131, 110579. [Google Scholar] [CrossRef]
- Yu, L.; Li, H.; Peng, Z.; Ge, Y.; Liu, J.; Wang, T.; Wang, H.; Dong, L. Early Weaning Affects Liver Antioxidant Function in Piglets. Animals 2021, 11, 2679. [Google Scholar] [CrossRef]
- Ma, L.; Zhou, B.; Liu, H.; Chen, S.; Zhang, J.; Wang, T.; Wang, C. Dietary rutin improves the antidiarrheal capacity of weaned piglets by improving intestinal barrier function, antioxidant capacity and cecal microbiota composition. J. Sci. Food Agric. 2024, 104, 6262–6275. [Google Scholar] [CrossRef]
- Liu, H.; Hu, J.; Mahfuz, S.; Piao, X. Effects of Hydrolysable Tannins as Zinc Oxide Substitutes on Antioxidant Status, Immune Function, Intestinal Morphology, and Digestive Enzyme Activities in Weaned Piglets. Animals 2020, 10, 757. [Google Scholar] [CrossRef]
- Wlazlo, L.; Nowakowicz-Debek, B.; Ossowski, M.; Lukaszewicz, M.; Czech, A. Effect of Fermented Rapeseed Meal in Diets for Piglets on Blood Biochemical Parameters and the Microbial Composition of the Feed and Faeces. Animals 2022, 12, 2972. [Google Scholar] [CrossRef]
- Zhao, P.; Hou, Y.; Wang, Z.; Liao, A.; Pan, L.; Zhang, J.; Dong, Y.; Hu, Z.; Huang, J.; Ou, X. Effect of fermentation on structural properties and antioxidant activity of wheat gluten by Bacillus subtilis. Front. Nutr. 2023, 10, 1116982. [Google Scholar] [CrossRef]
- Suetsuna, K.; Chen, J. Isolation and characterization of peptides with antioxidant activity derived from wheat gluten. Food Sci. Technol. Res. 2002, 8, 227–230. [Google Scholar] [CrossRef]
- Yuan, W.; Jin, H.; Ren, Z.; Deng, J.; Zuo, Z.; Wang, Y.; Deng, H.; Deng, Y. Effects of antibacterial peptide on humoral immunity in weaned piglets. Food Agric. Immunol. 2015, 26, 682–689. [Google Scholar] [CrossRef]
- Zhang, M.; Yang, Z.; Xu, F.; Zhang, J.; Luo, X.; Ma, Y.; Pang, H.; Duan, Y.; Chen, J.; Cai, Y.; et al. Effects of Probiotic-Fermented Feed on the Growth Profile, Immune Functions, and Intestinal Microbiota of Bamei Piglets. Animals 2024, 14, 647. [Google Scholar] [CrossRef]
- Liu, S.; Xiao, H.; Xiong, Y.; Chen, J.; Wu, Q.; Wen, X.; Jiang, Z.; Wang, L. Effects of Fermented Feed on the Growth Performance, Intestinal Function, and Microbiota of Piglets Weaned at Different Age. Front. Vet. Sci. 2022, 9, 841762. [Google Scholar] [CrossRef] [PubMed]
- Hung, P.; Dung, H.; Thao, L. Effects of Saccharomyces cerevisiae fermentation-derived postbiotics supplementation in sows and piglets’ diet on intestinal morphology, and intestinal barrier function in weaned pigs in an intensive pig production system. Vet. Immunol. Immunopathol. 2025, 283, 110934. [Google Scholar] [CrossRef]
- Alpár, B.; Tóth, T.; Varga, L. Effect of fermented liquid feeds on production parameters and gut microbiota composition of weaned piglets and growing pigs. Magy. Allatorv. Lapja 2022, 144, 463–472. [Google Scholar]
- Budiño, F.; Thomaz, M.; Kronka, N.; Nakaghi, L.; Tucci, F.; Fraga, A.; Scandolera, A.; Huaynate, R. Effect of probiotic and prebiotic inclusion in weaned piglet diets on structure and ultra-structure of small intestine. Braz. Arch. Biol. Technol. 2005, 48, 921–929. [Google Scholar] [CrossRef]
- de Groot, N.; Fariñas, F.; Cabrera-Gómez, C.G.; Pallares, F.J.; Ramis, G. Blend of organic acids improves gut morphology and affects inflammation response in piglets after weaning. Front. Anim. Sci. 2024, 5, 1308514. [Google Scholar] [CrossRef]

| (a) | |||
|---|---|---|---|
| Items 1 | CON | 50% | 100% |
| Ingredients, % | |||
| Corn | 30.73 | 31.15 | 31.52 |
| Extruded corn | 25.00 | 25.00 | 25.00 |
| Wheat flour | 6.00 | 6.00 | 6.00 |
| Wheat bran | 5.00 | 5.00 | 5.00 |
| White sugar | 2.50 | 2.50 | 2.50 |
| Soybean oil | 1.00 | 1.00 | 1.00 |
| Soybean meal | 13.71 | 13.09 | 12.42 |
| Full-fat soybean meal | 8.00 | 8.00 | 8.00 |
| Fishmeal | 3.00 | 1.50 | 0.00 |
| Fermented wheat protein | 0.00 | 1.50 | 3.00 |
| Lysine | 0.64 | 0.72 | 0.80 |
| Methionine | 0.21 | 0.20 | 0.19 |
| Threonine | 0.29 | 0.30 | 0.32 |
| L-Valine | 0.15 | 0.15 | 0.16 |
| Tryptophan | 0.10 | 0.10 | 0.10 |
| Dicalcium phosphate | 0.77 | 0.93 | 1.28 |
| Limestone | 0.59 | 0.63 | 0.55 |
| Salt | 0.45 | 0.45 | 0.45 |
| Zinc oxide | 0.20 | 0.20 | 0.20 |
| Choline chloride | 0.12 | 0.12 | 0.12 |
| Chromium oxide (Cr2O3) | 0.30 | 0.30 | 0.30 |
| Premix 2 | 0.50 | 0.50 | 0.50 |
| Acidifier | 0.30 | 0.22 | 0.15 |
| Montmorillonite | 0.30 | 0.30 | 0.30 |
| Mold inhibitor | 0.05 | 0.05 | 0.05 |
| Flavoring agent | 0.05 | 0.05 | 0.05 |
| Antioxidant | 0.02 | 0.02 | 0.02 |
| Sweetener | 0.02 | 0.02 | 0.02 |
| Analyzed nutrient levels | |||
| DM 3 | 85.5 | 85.3 | 84.3 |
| CP 4 | 25.58 | 25.44 | 25.20 |
| EE 5 | 4.46 | 4.47 | 4.31 |
| NDF 6 | 10 | 10 | 10.1 |
| ADF 7 | 3.63 | 3.64 | 3.64 |
| Calculated nutrient levels | |||
| Digestible energy (MJ/kg) | 16.45 | 16.26 | 16.24 |
| SID 8 Lys | 1.39 | 1.38 | 1.36 |
| SID Met | 0.51 | 0.48 | 0.46 |
| SID Thr | 0.92 | 0.91 | 0.91 |
| SID Trp | 0.29 | 0.28 | 0.28 |
| 1 CON: a diet containing 3.0% fishmeal; 50%: a diet containing 1.5% fishmeal and 1.5% FWP; 100%: a diet containing 3.0% FWP. 2 Premix provides Vitamin A, 12,000 IU; Vitamin D3, 2000 IU; Vitamin E, 30 IU; Vitamin K3, 3.0 mg; Vitamin B6, 3.0 mg; Vitamin B12, 12 μg; Riboflavin, 4.0 mg; Thiamine, 1.5 mg; Niacin, 40 mg; Pantothenic Acid, 15 mg; Folic Acid, 0.7 mg; Biotin, 44 μg; choline chloride, 400 mg; copper, 10 mg; iron, 90 mg; zinc, 80 mg; manganese, 30 mg; iodine, 0.35 mg; selenium, 0.3 mg; 3 DM: dry material; 4 CP: crude protein; 5 EE: ether extract; 6 NDF: neutral detergent fiber; 7 ADF: acid detergent fiber; 8 SID: Standardized Ileal Digestibility. | |||
| (b) | |||
| Items 1 | FM | FWP | |
| Crude protein | 84.98 | 68.91 | |
| Aspartic acid | 2.56 | 6.27 | |
| Threonine | 1.97 | 2.86 | |
| Serine | 3.72 | 2.69 | |
| Glutamic acid | 29.00 | 8.75 | |
| Proline | 10.08 | 2.79 | |
| Glycine | 2.73 | 4.31 | |
| Alanine | 2.15 | 4.27 | |
| Cystine | 1.83 | 0.58 | |
| Valine | 3.19 | 3.43 | |
| Methionine | 1.26 | 1.92 | |
| Isoleucine | 2.94 | 2.91 | |
| Leucine | 5.52 | 4.95 | |
| Tyrosine | 2.62 | 2.13 | |
| Phenylalanine | 4.00 | 2.68 | |
| Histidine | 1.67 | 1.64 | |
| Lysine | 1.31 | 5.22 | |
| Arginine | 2.59 | 4.51 | |
| Tryptophan | 0.66 | 0.71 | |
| 1 FM: Fishmeal; FWP: Fermented wheat protein. | |||
| Gene | Primer Pairs Sequence (5′–3′) | Accession Number |
|---|---|---|
| TNF 1-α | Forward: GAGCGTTGACTTGGCTGTC | NM_204267 |
| Reverse: AAGCAACAACCAGCTATGCAC | ||
| IL 2-1α | Forward: CCAAGTGCCACCCCGAATGC | JQ_692172 |
| Reverse: AGGGGAAGAACCATCCGACTCG | ||
| IL-1β | Forward: ACTGGGCATCAAGGGCTA | NM_204524 |
| Reverse: GGTAGAAGATGAAGCGGGTC | ||
| IL-6 | Forward: AATGTCGAGGCTGTGCAGATT | NM_214399.1 |
| Reverse: TGGTGGCTTTGTCTGGATTCT | ||
| NF-κB 3 | Forward: AACCGCTTCCATGTTCCGA | NM_001114281.1 |
| Reverse: TCCGCGAGTTCGGATTCTC | ||
| Occludin | Forward: ATGCATTCTCAGCGAGCGTA | NM_001163647.2 |
| Reverse: AAGGTACCATAGCCTCGGTC | ||
| ZO 4-1 | Forward: GAGGATGGTCACACCGTGGT | XM_021098896.1 |
| Reverse: GGAGCATGCTGTTTTCTCGG | ||
| Claudin-1 | Forward: GCCCTGCTTTGCAGCTCCTG | NM_021098896.1 |
| Reverse: TTTCTGGTTGTTCCGACACG | ||
| β-actin | Forward: ATGCATCTAGTCGGACAGCC | XM_003357928.4 |
| Reverse: GTTTGAGGACGCTGGGATGG |
| Items 1 | CON | 50% | 100% | SEM | p-Value |
|---|---|---|---|---|---|
| D1 to 14 | |||||
| D1 BW 2, kg | 7.92 | 7.86 | 7.90 | 0.75 | 1.00 |
| ADG 3, g | 286 | 293 | 277 | 33 | 0.94 |
| ADFI 4, g | 425 | 432 | 418 | 46 | 0.98 |
| F/G 5 | 1.44 | 1.50 | 1.46 | 0.07 | 0.80 |
| DR 6, % | 5.11 a | 1.92 b | 2.54 b | 0.25 | <0.01 |
| D15 to 28 | |||||
| D14 BW, kg | 11.92 | 11.97 | 11.79 | 1.13 | 0.99 |
| ADG, g | 381 | 402 | 429 | 25 | 0.43 |
| ADFI, g | 564 | 583 | 590 | 55 | 0.78 |
| F/G | 1.50 | 1.43 | 1.38 | 0.07 | 0.51 |
| DR, % | 2.39 a | 0.79 b | 0.69 b | 0.4 | <0.01 |
| D1 to 28 | |||||
| D28 BW, kg | 17.28 | 17.76 | 17.79 | 1.33 | 0.96 |
| ADG, g | 328 | 353 | 353 | 25 | 0.83 |
| ADFI, g | 473 | 517 | 493 | 49 | 0.94 |
| F/G | 1.45 | 1.45 | 1.39 | 0.05 | 0.68 |
| DR, % | 3.79 a | 1.36 b | 1.64 b | 0.64 | <0.01 |
| Items 1, % | CON | 50% | 100% | SEM | p-Value |
|---|---|---|---|---|---|
| CP 2 | 82.78 b | 86.88 a | 85.57 ab | 0.90 | 0.02 |
| EE 3 | 75.13 | 75.63 | 77.72 | 0.95 | 0.16 |
| NDF 4 | 37.44 | 39.18 | 42.77 | 2.08 | 0.22 |
| ADF 5 | 15.29 b | 18.96 ab | 24.74 a | 2.22 | 0.04 |
| Items 1 (nmoL/min/g) | CON | 50% | 100% | SEM | p-Value |
|---|---|---|---|---|---|
| Duodenum | |||||
| Chymotrypsin | 1972 b | 2206 b | 2917 a | 81 | <0.01 |
| Trypsin | 247 c | 362 b | 446 a | 19 | <0.01 |
| Lipase | 5779 b | 6783 a | 6398 ab | 171 | <0.01 |
| Jejunum | |||||
| Chymotrypsin | 2577 b | 2737 b | 3262 a | 133 | 0.02 |
| Trypsin | 365 b | 463 a | 526 a | 22 | <0.01 |
| Lipase | 6425 b | 8217 a | 7880 a | 285 | <0.01 |
| Items 1 (nmoL/min/g) | CON | 50% | 100% | SEM | p-Value |
|---|---|---|---|---|---|
| T-AOC 2, μmol Trolox/mL | 3.25 b | 3.78 b | 4.67 a | 0.18 | <0.01 |
| T-SOD 3, U/L | 1469.57 | 1774.54 | 1848.70 | 89.43 | 0.06 |
| GSH-PX 4, IU/L | 157.59 b | 170.19 b | 216.84 a | 10.99 | <0.01 |
| IgA 5, μg/mL | 32.86 b | 34.88 b | 38.41 a | 0.72 | <0.01 |
| TNF-α 6, pg/ml | 155.52 | 197.47 | 201.65 | 23.25 | 0.33 |
| IL 7-10, ng/L | 197.91 | 160.78 | 193.72 | 14.35 | 0.18 |
| IL- 6, ng/L | 343.79 | 463.07 | 337.07 | 52.62 | 0.20 |
| GLU 8, mg/mL | 0.56 | 0.63 | 0.52 | 0.06 | 0.44 |
| TG 9, μmol/mL | 0.98 | 1.00 | 0.94 | 0.04 | 0.61 |
| TP 10, mg/mL | 12.19 b | 11.81 b | 13.04 a | 0.26 | 0.01 |
| Items 1 | CON | 50% | 100% | SEM | p-Value |
|---|---|---|---|---|---|
| VH 2, μm | 356.72 b | 555.62 a | 608.73 a | 38.15 | <0.01 |
| CD 3, μm | 314.26 | 356.83 | 378.70 | 21.61 | 0.19 |
| VH-to-CD ratio | 1.16 | 1.42 | 1.40 | 0.17 | 0.51 |
| Items 1 | CON | 50% | 100% | SEM | p-Value |
|---|---|---|---|---|---|
| T-AOC 2, μmol Trolox/mL | 3.43 | 3.45 | 3.52 | 0.14 | 0.88 |
| T-SOD 3, U/L | 1272.28 | 1412.12 | 1412.63 | 44.93 | 0.09 |
| GSH-PX 4, IU/L | 132.56 b | 166.66 a | 151.60 a | 4.09 | <0.01 |
| IgA 5, μg/mL | 31.83 b | 32.10 b | 33.97 a | 0.42 | 0.02 |
| Items 1 | CON | 50% | 100% | SEM | p-Value |
|---|---|---|---|---|---|
| ZO-1 2 | 0.15 b | 1.50 a | 1.59 a | 0.14 | <0.01 |
| Occludin | 0.09 b | 2.47 a | 1.53 a | 0.33 | <0.01 |
| Claudin-1 | 1.41 | 1.95 | 2.10 | 0.35 | 0.38 |
| IL 3-1α | 1.37 a | 1.11 ab | 0.21 b | 0.21 | 0.01 |
| IL-1β | 1.40 a | 1.16 a | 0.27 b | 0.12 | <0.01 |
| IL-6 | 1.97 a | 1.88 a | 0.29 b | 0.23 | <0.01 |
| NF-κB 4 | 0.92 | 1.53 | 0.72 | 0.36 | 0.33 |
| TNF 5-α | 1.38 a | 1.40 a | 0.18 b | 0.18 | <0.01 |
Disclaimer/Publisher’s Note: The statements, opinions and data contained in all publications are solely those of the individual author(s) and contributor(s) and not of MDPI and/or the editor(s). MDPI and/or the editor(s) disclaim responsibility for any injury to people or property resulting from any ideas, methods, instructions or products referred to in the content. |
© 2025 by the authors. Licensee MDPI, Basel, Switzerland. This article is an open access article distributed under the terms and conditions of the Creative Commons Attribution (CC BY) license (https://creativecommons.org/licenses/by/4.0/).
Share and Cite
Xiao, N.; Zhang, X.; Lin, Y.; Yang, Y.; Wei, Y.; Wang, L.; Lai, C. Replacing Fishmeal with Fermented Wheat Protein Improves Nutrient Digestibility and Intestinal Health in Weaned Piglets. Animals 2025, 15, 2362. https://doi.org/10.3390/ani15162362
Xiao N, Zhang X, Lin Y, Yang Y, Wei Y, Wang L, Lai C. Replacing Fishmeal with Fermented Wheat Protein Improves Nutrient Digestibility and Intestinal Health in Weaned Piglets. Animals. 2025; 15(16):2362. https://doi.org/10.3390/ani15162362
Chicago/Turabian StyleXiao, Nuo, Xiaokang Zhang, Yan Lin, Yuanseng Yang, Yu Wei, Lu Wang, and Changhua Lai. 2025. "Replacing Fishmeal with Fermented Wheat Protein Improves Nutrient Digestibility and Intestinal Health in Weaned Piglets" Animals 15, no. 16: 2362. https://doi.org/10.3390/ani15162362
APA StyleXiao, N., Zhang, X., Lin, Y., Yang, Y., Wei, Y., Wang, L., & Lai, C. (2025). Replacing Fishmeal with Fermented Wheat Protein Improves Nutrient Digestibility and Intestinal Health in Weaned Piglets. Animals, 15(16), 2362. https://doi.org/10.3390/ani15162362
