Post Mortem Findings of Cetaceans Stranded Along the Campania Coast from 2016 to 2022
Simple Summary
Abstract
1. Introduction
2. Materials and Methods
2.1. Post Mortem Examination
2.2. Microbiology
2.3. Molecular Investigations
2.4. Histopathology and Immunohistochemistry
2.5. Causes of Death Evaluation
3. Results
3.1. Post Mortem Examination
3.2. Microbiology
3.3. Molecular Investigations
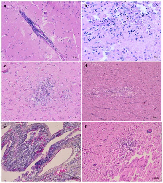
3.4. Histological and Immunohistochemical Investigations
3.5. Causes of Death Evaluation
4. Discussion
5. Conclusions
Supplementary Materials
Author Contributions
Funding
Institutional Review Board Statement
Informed Consent Statement
Data Availability Statement
Conflicts of Interest
References
- Coll, M.; Piroddi, C.; Steenbeek, J.; Kaschner, K.; Lasram, F.B.R.; Aguzzi, J.; Ballesteros, E.; Bianchi, C.N.; Corbera, J.; Dailianis, T.; et al. The Biodiversity of the Mediterranean Sea: Estimates, Patterns, and Threats. PLoS ONE 2010, 5, e11842. [Google Scholar] [CrossRef] [PubMed]
- Mussi, B.; Miragliuolo, A.; Monzini, E.; Diaz Lopez, B.; Battaglia, M. Fin Whale (Balaenoptera physalus) Feeding Ground in the Coastal Waters of Ischia (Arcipelago Campano). Eur. Res. Cetacenas 1999, 13, 330–335. [Google Scholar]
- Mussi, B.; Miragliuolo, A.; Battaglia, M. Cetacei Nell’arcipelago Delle Isole Pontine e Campane. Atti Quinto Semin. Internazionale Studi Sull’ecosistema Mar. 1997, 5, 157–167. [Google Scholar]
- Mussi, B.; Miragliuolo, A.; De Pippo, T.; Gambi, M.C.; Chiota, D. The Submarine Canyon of Cuma (Southern Tyrrhenian Sea, Italy), a Cetacean Key Area to Protect. In Proceedings of the 15th Annual Conference of the European Cetacean Society, Roma, Italy, 6–10 May 2001; Volume 15. [Google Scholar]
- Manfrini, V.; Pierantonio, N.; Giuliani, A.; De Pascalis, F.; Maio, N.; Mancia, A. Fin Whale (Balaenoptera physalus) Mortality along the Italian Coast between 1624 and 2021. Animals 2022, 12, 3111. [Google Scholar] [CrossRef] [PubMed]
- Maio, N.; Petraccioli, A.; De Stasio, R.; Loreto, A.; Viglietti, S.; De Maio, L.; Pollaro, F. Anche La Cetofauna Sta Cambiando: Avvistamenti Di Specie Di Cetacei Rare o Mai Osservate Prima Nei Mari Della Campania (Mar Tirreno). Quad. Mus. Civ. Stor. Nat. Ferrara 2019, 7, 81–90. [Google Scholar]
- Pace, D.S.; Tizzi, R.; Mussi, B. Biodiversity & Endangered Species Cetaceans Value and Conservation in the Mediterranean Sea. Biodivers. Endanger. Species 2015, 1–24. [Google Scholar] [CrossRef]
- Katona, S.; Whitehead, H. Are Cetacea Ecologically Important? Oceanogr. Mar. Biol. Annu. Rev. 1988, 26, 553–568. [Google Scholar]
- Moore, S.E. Marine Mammals as Ecosystem Sentinels. J. Mammal. 2008, 89, 534–540. [Google Scholar] [CrossRef]
- Marsili, L.; Jiménez, B.; Borrell, A. Persistent Organic Pollutants in Cetaceans Living in a Hotspot Area. In Marine Mammal Ecotoxicology; Elsevier: Amsterdam, The Netherlands, 2018; pp. 185–212. [Google Scholar]
- Marsili, L.; D’Agostino, A.; Bucalossi, D.; Malatesta, T.; Fossi, M.C. Theoretical Models to Evaluate Hazard Due to Organochlorine Compounds (OCs) in Mediterranean Striped Dolphin (Stenella coeruleoalba). Chemosphere 2004, 56, 791–801. [Google Scholar] [CrossRef] [PubMed]
- Bossart, G.D. Marine Mammals as Sentinel Species for Oceans and Human Health. Vet. Pathol. 2011, 48, 676–690. [Google Scholar] [CrossRef]
- Sydeman, W.J.; Poloczanska, E.; Reed, T.E.; Thompson, S.A. Climate Change and Marine Vertebrates. Science 2015, 350, 772–777. [Google Scholar] [CrossRef] [PubMed]
- Fleming, A.H.; Clark, C.T.; Calambokidis, J.; Barlow, J. Humpback Whale Diets Respond to Variance in Ocean Climate and Ecosystem Conditions in the California Current. Glob. Chang. Biol. 2016, 22, 1214–1224. [Google Scholar] [CrossRef] [PubMed]
- Sergio, F.; Caro, T.; Brown, D.; Clucas, B.; Hunter, J.; Ketchum, J.; McHugh, K.; Hiraldo, F. Top Predators as Conservation Tools: Ecological Rationale, Assumptions, and Efficacy. Annu. Rev. Ecol. Evol. Syst. 2008, 39, 1–19. [Google Scholar] [CrossRef]
- Mattioda, V.; Giorda, F.; Consales, G.; Testori, C.; Zoppi, S.; Goria, M.; Crescio, M.I.; Serracca, L.; Varello, K.; Carta, V. Anthropic Pressure on Cetaceans Stranded Along the Ligurian Coast Within the Pelagos Sanctuary: A Case Series. Animals 2024, 14, 3207. [Google Scholar] [CrossRef]
- Fair, P.A.; Becker, P.R. Review of Stress in Marine Mammals. J. Aquat. Ecosyst. Stress Recovery 2000, 7, 335–354. [Google Scholar] [CrossRef]
- Van Bressem, M.F.; Raga, J.A.; Di Guardo, G.; Jepson, P.D.; Duignan, P.J.; Siebert, U.; Barrett, T.; De Oliveira Santos, M.C.; Moreno, I.B.; Siciliano, S.; et al. Emerging Infectious Diseases in Cetaceans Worldwide and the Possible Role of Environmental Stressors. Dis. Aquat. Org. 2009, 86, 143–157. [Google Scholar] [CrossRef]
- Garofolo, G.; Petrella, A.; Lucifora, G.; Di Francesco, G.; Di Guardo, G.; Pautasso, A.; Iulini, B.; Varello, K.; Giorda, F.; Goria, M.; et al. Occurrence of Brucella ceti in Striped Dolphins from Italian Seas. PLoS ONE 2020, 15, e0240178. [Google Scholar] [CrossRef]
- Mazzariol, S.; Marcer, F.; Mignone, W.; Serracca, L.; Goria, M.; Marsili, L.; Di Guardo, G.; Casalone, C. Dolphin Morbillivirus and Toxoplasma gondii Coinfection in a Mediterranean Fin Whale (Balaenoptera physalus). BMC Vet. Res. 2012, 8, 20. [Google Scholar] [CrossRef]
- Profeta, F.; Di Francesco, C.E.; Marsilio, F.; Mignone, W.; Di Nocera, F.; De Carlo, E.; Lucifora, G.; Pietroluongo, G.; Baffoni, M.; Cocumelli, C.; et al. Retrospective Seroepidemiological Investigations against Morbillivirus, Toxoplasma gondii and Brucella spp. in Cetaceans Stranded along the Italian Coastline (1998–2014). Res. Vet. Sci. 2015, 101, 89–92. [Google Scholar] [CrossRef]
- Bearzi, G. Interactions Between Cetacean and Fisheries in the Mediterranean Sea. Cetaceans of the Mediterranean and Black Seas: State of Knowledge and Conservation Strategies; ACCOBAMS Secretariat: Monaco, 2002. [Google Scholar]
- Rendina, F.; Ferrigno, F.; Appolloni, L.; Donnarumma, L.; Sandulli, R.; Russo, G.F. Anthropic Pressure Due to Lost Fishing Gears and Marine Litter on Different Rhodolith Beds off the Campania Coast (Tyrrhenian Sea, Italy). Ecol. Quest. 2020, 31, 41–51. [Google Scholar] [CrossRef]
- De Pippo, T.; Donadio, C.; Pennetta, M. Morphological Control on Sediment Dispersal along the Southern Tyrrhenian Coastal Zones (Italy). Geol. Romana 2003, 37, 113–121. [Google Scholar]
- Sacchi, M.; Molisso, F. I Fondali del Golfo Di Napoli. Morfologia e Sedimentazione Recente. In Conoscere Capri; OEBALUS (Associazione Culturale): Capri, Italy, 2006; Volume 4, pp. 11–17. [Google Scholar]
- Ma, C.R.D. Reports Strandings. In C.Re.Di.Ma. Italian Diagnostic Report on Stranded Cetaceans (2016); Open Science Framework: Impera, Italy, 2016. [Google Scholar]
- Ma, C.R.D. Reports Strandings. In C.Re.Di.Ma. Italian Diagnostic Report on Stranded Cetaceans (2017); Open Science Framework: Impera, Italy, 2017. [Google Scholar]
- Ma, C.R.D. Reports Strandings. In C.Re.Di.Ma. Italian Diagnostic Report on Stranded Cetaceans (2018); Open Science Framework: Impera, Italy, 2018. [Google Scholar]
- Ma, C.R.D. Reports Strandings. In C.Re.Di.Ma. Italian Diagnostic Report on Stranded Cetaceans (2019); Open Science Framework: Impera, Italy, 2019. [Google Scholar]
- Ma, C.R.D. Reports Strandings. In C.Re.Di.Ma. Italian Diagnostic Report on Stranded Cetaceans (2020); Open Science Framework: Impera, Italy, 2020. [Google Scholar]
- Ma, C.R.D. Reports Strandings. In C.Re.Di.Ma. Italian Diagnostic Report on Stranded Cetaceans (2021); Open Science Framework: Impera, Italy, 2021. [Google Scholar]
- Ma, C.R.D. Reports Strandings. In C.Re.Di.Ma. Italian Diagnostic Report on Stranded Cetaceans (2022); Open Science Framework: Impera, Italy, 2022. [Google Scholar]
- Decreto Dirigenziale Giunta Regionale della Campania n. 231 del 14 Luglio 2015. In Linee Guida per Il Recupero Di Cetacei, Tartarughe Marine e Selacei Morti o in Difficoltà; Regione: Campania, Italy, 2015.
- Legge Regionale 26 Aprile 2023, n. 7. In Rete Regionale per La Conservazione e Il Monitoraggio Delle Tartarughe Marine e Dei Cetacei Della Regione Campania; Regione: Campania, Italy, 2023.
- Pugliares, K.R.; Bogomolni, A.; Touhey, K.M.; Herzig, S.M.; Harry, C.T.; Moore, M.J. Marine Mammal Necropsy: An Introductory Guide for Stranding Responders and Field Biologists; Woods HOle Oceanographic Institution: Woods Hole, MA, USA, 2007. [Google Scholar]
- Geraci, J.R.; Lounsbury, V.J. Marine Mammals Ashore: A Field Guide for Strandings, 2nd ed.; National Aquarium in Baltimore: Baltimore, MD, USA, 2005. [Google Scholar]
- Mazzariol, S.; Centelleghe, C. Standard Protocol for Post-Mortem Examination on Cetaceans; IPA Adriatic Cross-Border Cooperation Programme; University of Padua: Padova, Italy, 2007. [Google Scholar]
- IJsseldijk, L.L.; Brownlow, A.C.; Mazzariol, S. (Eds.) Best Practice on Cetacean Post Mortem Investigation and Tissue Sampling–Joint; ACCOBAMS and ASCOBANS: Rotterdam, The Netherlands, 2019. [Google Scholar]
- Carlini, R.; de Francesco, M.C.; Libera, S. Della Biometric Measures Indicating Sexual Dimorphism in Stenella coeruleoalba (Meyen, 1833) (Delphinidae) in the North-Central Tyrrhenian Sea. Aquat. Mamm. 2014, 40, 59–68. [Google Scholar] [CrossRef]
- Perrin, W.F.; Reilly, S.B. Reproductive Parameters of Dolphins and Small Whales of the Family Delphinidae. Rep. Int. Whal. Comm. 1984, 6, 97–133. [Google Scholar]
- Cozzi, B.; Huggenberger, S.; Oelschläger, H. Urinary System, Genital Systems, and Reproduction. In Anatomy of Dolphins; Academic Press: London, UK, 2017. [Google Scholar]
- Manfredi, M.T.; Gazzonis, A.L.; Merella, P.; Garippa, G.; Musella, V. Cetaceans of Italian Seas: Spreading, Beaching and Health Problems. Vet. Parasitol. 2012, 16, 184. [Google Scholar]
- Gibson, D.I.; Harris, E.A.; Bray, R.A.; Jepson, P.D.; Kuiken, T.; Baker, J.R.; Simpson, V.R. A Survey of the Helminth Parasites of Cetaceans Stranded on the Coast of England and Wales during the Period 1990–1994. J. Zool. 1998, 244, 563–574. [Google Scholar] [CrossRef]
- Agustí, C.; Aznar, F.J.; Raga, J.A. Tetraphyllidean Plerocercoids from Western Mediterranean Cetaceans and Other Marine Mammals around the World: A Comprehensive Morphological Analysis. J. Parasitol. 2005, 91, 83–92. [Google Scholar] [CrossRef]
- Rajaguru, A.; Shantha, G. Association between the Sessile Barnacle Xenobalanus globicipitis (Coronulidae) and the Bottlenose Dolphin Tursiops truncatus (Delphinidae) from the Bay of Bengal, India, with a Summary of Previous Records from Cetaceans. Fish. Bull. 1992, 90, 197–202. [Google Scholar]
- Cowan, S.T.; Steel, K.J. Manual for the Identification of Medical Bacteria, 3rd ed.; Barrow, G.I., Feltham, R.K.A., Eds.; Cambridge University Press: Cambridge, UK, 1965. [Google Scholar]
- Hucker, G.J.; Conn, H.J. Methods of Gram Staining; New York Agricultural Experiment Station: New York, NY, USA, 1923. [Google Scholar]
- World Organisation for Animal Health (OIE). Manual of Diagnostic Tests and Vaccines for Terrestrial Animals (Terrestrial Manual), 8th ed.; World Organisation for Animal Health (OIE): Paris, France, 2018. [Google Scholar]
- Alton, G.G.; Jones, L.M.; Pietz, D.E. Laboratory Techniques in Brucellosis; World Health Organization: Geneva, Switzerland, 1988. [Google Scholar]
- Grattarola, C.; Petrella, A.; Lucifora, G.; Di Francesco, G.; Di Nocera, F.; Pintore, A.; Cocumelli, C.; Terracciano, G.; Battisti, A.; Di Renzo, L.; et al. Brucella ceti Infection in Striped Dolphins from Italian Seas: Associated Lesions and Epidemiological Data. Pathogens 2023, 12, 1034. [Google Scholar] [CrossRef]
- Cloeckaert, A.; Verger, J.-M.; Grayon, M.; Grepinet, O. Restriction Site Polymorphism of the Genes Encoding the Major 25 KDa and 36 KDa Outer-Membrane Proteins of Brucella. Microbiology 1995, 141, 2111–2121. [Google Scholar] [CrossRef]
- Viscardi, M.; Cozzolino, L.; Brandi, S.; Marati, L.; Valentino, M.P.; Lucifora, G.; Balestrieri, A.; Fusco, G. Preliminary Phylogenetic Analysis of a Cetacean Morbillivirus Causing Outbreak in Calabria, Southern Italy. In Proceedings of the 18th Conference of the World Association of Veterinary Laboratory Diagnosticians (WAVLD), Sorrento, Italy, 7–10 June 2017; p. 123. [Google Scholar]
- WOAH Biological Standards Commission. Manual of Diagnostic Tests and Vaccines for Terrestrial Animals; WOAH Biological Standards Commission: Paris, France, 2023. [Google Scholar]
- Edvinsson, B.; Lappalainen, M.; Evengård, B.; Buffalano, W.; Ferguson, D.; Guy, E.; Jenum, P.; Nowakowska, D.; Pelloux, B.; Stray-Pedersen, B.; et al. Real-Time PCR Targeting a 529-Bp Repeat Element for Diagnosis of Toxoplasmosis. Clin. Microbiol. Infect. 2006, 12, 131–136. [Google Scholar] [CrossRef]
- Bounaadja, L.; Albert, D.; Chénais, B.; Hénault, S.; Zygmunt, M.S.; Poliak, S.; Garin-Bastuji, B. Real-Time PCR for Identification of Brucella spp.: A Comparative Study of IS711, Bcsp31 and per Target Genes. Vet. Microbiol. 2009, 137, 156–164. [Google Scholar] [CrossRef] [PubMed]
- Vandevanter, D.R.; Warrener, P.; Bennett, L.; Schultz, E.R.; Coulter, S.; Garber, R.L.; Rose, T.M. Detection and Analysis of Diverse Herpesviral Species by Consensus Primer PCR. J. Clin. Microbiol. 1996, 34, 1666–1671. [Google Scholar] [CrossRef] [PubMed]
- Giorda, F.; Crociara, P.; Iulini, B.; Gazzuola, P.; Favole, A.; Goria, M.; Serracca, L.; Dondo, A.; Crescio, M.I.; Audino, T.; et al. Neuropathological Characterization of Dolphin Morbillivirus Infection in Cetaceans Stranded in Italy. Animals 2022, 12, 452. [Google Scholar] [CrossRef] [PubMed]
- Guardo, G.; Proietto, U.; Di Francesco, C.E.; Marsilio, F.; Zaccaroni, A.; Scaravelli, D.; Mignone, W.; Garibaldi, F.; Kennedy, S.; Forster, F.; et al. Cerebral Toxoplasmosis in Striped Dolphins (Stenella coeruleoalba) Stranded along the Ligurian Sea Coast of Italy. Vet. Pathol. 2010, 47, 245–253. [Google Scholar] [CrossRef]
- LIFE DELFI. Dolphin Experience: Lowering Fishing Interactions LIFE18 NAT/IT/000942 Action A3 Framework for Fishery Interaction; ACCOBAMS: Monaco, 2021. [Google Scholar]
- Arbelo, M.; De Los Monteros, A.E.; Herráez, P.; Andrada, M.; Sierra, E.; Rodríguez, F.; Jepson, P.D.; Fernández, A. Pathology and Causes of Death of Stranded Cetaceans in the Canary Islands (1999–2005). Dis. Aquat. Org. 2013, 103, 87–99. [Google Scholar] [CrossRef]
- Giorda, F.; Ballardini, M.; Di Guardo, G.; Pintore, M.D.; Grattarola, C.; Iulini, B.; Mignone, W.; Goria, M.; Serracca, L.; Varello, K.; et al. Postmortem Findings in Cetaceans Found Stranded in the Pelagos Sanctuary, Italy, 2007–14. J. Wildl. Dis. 2017, 53, 795–803. [Google Scholar] [CrossRef]
- Díaz-Delgado, J.; Fernández, A.; Sierra, E.; Sacchini, S.; Andrada, M.; Vela, A.I.; Quesada-Canales, Ó.; Paz, Y.; Zucca, D.; Groch, K.; et al. Pathologic Findings and Causes of Death of Stranded Cetaceans in the Canary Islands (2006–2012). PLoS ONE 2018, 13, e0204444. [Google Scholar] [CrossRef]
- Grattarola, C.; Minoia, L.; Giorda, F.; Consales, G.; Capanni, F.; Ceciarini, I.; Franchi, E.; Ascheri, D.; Garibaldi, F.; Dondo, A.; et al. Health Status of Stranded Common Bottlenose Dolphins (Tursiops truncatus) and Contamination by Immunotoxic Pollutants: A Threat to the Pelagos Sanctuary—Western Mediterranean Sea. Diversity 2023, 15, 569. [Google Scholar] [CrossRef]
- Grattarola, C.; Pietroluongo, G.; Belluscio, D.; Berio, E.; Canonico, C.; Centelleghe, C.; Cocumelli, C.; Crotti, S.; Denurra, D.; Di Donato, A.; et al. Pathogen Prevalence in Cetaceans Stranded along the Italian Coastline between 2015 and 2020. Pathogens 2024, 13, 762. [Google Scholar] [CrossRef]
- Cuvertoret-Sanz, M.; López-Figueroa, C.; O’Byrne, A.; Canturri, A.; Martí-Garcia, B.; Pintado, E.; Pérez, L.; Ganges, L.; Cobos, A.; Abarca, M.L.; et al. Causes of Cetacean Stranding and Death on the Catalonian Coast (Western Mediterranean Sea), 2012–2019. Dis. Aquat. Org. 2020, 142, 239–253. [Google Scholar] [CrossRef]
- Kirkwood, J.K.; Bennett, P.M.; Jepson, P.D.; Kuiken, T.; Simpson, V.R.; Baker, J.R. Entanglement in Fishing Gear and Other Causes of Death in Cetaceans Stranded on the Coasts of England and Wales. Vet. Rec. 1997, 141, 94–98. [Google Scholar] [CrossRef] [PubMed]
- Di Guardo, G.; Castagnaro, M.; Marrucchella, G.; Mazzariol, S.; Mignone, W.; Olivieri, V.; Ponzio, P.; Cozzi, B. Human-Induced Mortality in Cetaceans Found Stranded on the Italian Coastline (1995–2005). In Proceedings of the IWC CONFERENCE, St Kitts and Nevis, UK, 16–20 June 2006. [Google Scholar]
- Barcenas-De la Cruz, D.; DeRango, E.; Johnson, S.P.; Simeone, C.A. Evidence of Anthropogenic Trauma in Marine Mammals Stranded along the Central California Coast, 2003–2015. Mar. Mamm. Sci. 2018, 34, 330–346. [Google Scholar] [CrossRef]
- Souter, R.; Chaber, A.-L.; Möller, L.; Woolford, L. Understanding Causes of Morbidity and Mortality in Southern Hemisphere Small Odontoceti: A Scoping Review. Mamm. Rev. 2024, 55, e12371. [Google Scholar] [CrossRef]
- de Vere, A.J.; Lilley, M.K.; Frick, E.E. Anthropogenic Impacts on the Welfare of Wild Marine Mammals. Aquat. Mamm. 2018, 44, 150–180. [Google Scholar] [CrossRef]
- Vargas-Castro, I.; Peletto, S.; Mattioda, V.; Goria, M.; Serracca, L.; Varello, K.; Sánchez-Vizcaíno, J.M.; Puleio, R.; Di Nocera, F.; Lucifora, G.; et al. Epidemiological and Genetic Analysis of Cetacean Morbillivirus Circulating on the Italian Coast between 2018 and 2021. Front. Vet. Sci. 2023, 10, 1216838. [Google Scholar] [CrossRef]
- Casalone, C.; Mazzariol, S.; Pautasso, A.; Di Guardo, G.; Di Nocera, F.; Lucifora, G.; Ligios, C.; Franco, A.; Fichi, G.; Cocumelli, C.; et al. Cetacean Strandings in Italy: An Unusual Mortality Event along the Tyrrhenian Sea Coast in 2013. Dis. Aquat. Org. 2014, 109, 81–86. [Google Scholar] [CrossRef]
- Kemper, C.M.; Tomo, I.; Bingham, J.; Bastianello, S.S.; Wang, J.; Gibbs, S.E.; Woolford, L.; Dickason, C.; Kelly, D. Morbillivirus-Associated Unusual Mortality Event in South Australian Bottlenose Dolphins Is Largest Reported for the Southern Hemisphere. R. Soc. Open Sci. 2016, 3, 160838. [Google Scholar] [CrossRef]
- Groch, K.R.; Santos-Neto, E.B.; Díaz-Delgado, J.; Ikeda, J.M.P.; Carvalho, R.R.; Oliveira, R.B.; Guari, E.B.; Bisi, T.L.; Azevedo, A.F.; Lailson-Brito, J.; et al. Guiana Dolphin Unusual Mortality Event and Link to Cetacean Morbillivirus, Brazil. Emerg. Infect. Dis. 2018, 24, 1349–1354. [Google Scholar] [CrossRef]
- Van Bressem, M.F.; Duignan, P.J.; Banyard, A.; Barbieri, M.; Colegrove, K.M.; de Guise, S.; di Guardo, G.; Dobson, A.; Domingo, M.; Fauquier, D.; et al. Cetacean Morbillivirus: Current Knowledge and Future Directions. Viruses 2014, 6, 5145–5181. [Google Scholar] [CrossRef]
- Di Guardo, G.; Mazzariol, S. Cetacean Morbillivirus-Associated Pathology: Knowns and Unknowns. Front. Microbiol. 2016, 7, 112. [Google Scholar] [CrossRef]
- Leger, J.S.; Raverty, S.; Mena, A. Cetacea. In Pathology of Wildlife and Zoo Animals; Elsevier: Amsterdam, The Netherlands, 2018; pp. 533–568. [Google Scholar]
- Reidarson, T.H.; McBain, J.; House, C.; King, D.P.; Stott, J.L.; Krafft, A.; Taubenberger, J.K.; Heyning, J.; Lipscomb, T.P. Morbillivirus infection in stranded common dolphins from the pacific ocean. J. Wildl. Dis. 1998, 34, 771–776. [Google Scholar] [CrossRef] [PubMed]
- Di Guardo, G.; Di Francesco, C.E.; Eleni, C.; Cocumelli, C.; Scholl, F.; Casalone, C.; Peletto, S.; Mignone, W.; Tittarelli, C.; Di Nocera, F.; et al. Morbillivirus Infection in Cetaceans Stranded along the Italian Coastline: Pathological, Immunohistochemical and Biomolecular Findings. Res. Vet. Sci. 2013, 94, 132–137. [Google Scholar] [CrossRef] [PubMed]
- Rivas, A.J.; Lemos, M.L.; Osorio, C.R. Photobacterium damselae subsp. damselae, a Bacterium Pathogenic for Marine Animals and Humans. Front. Microbiol. 2013, 4, 283. [Google Scholar] [CrossRef] [PubMed]
- Caddia, G.; Casu, M.A.; Dettori, S.; Urru, R.; Paglietti, B. Wound Infection Caused by Photobacterium damselae in a Man in Sardinia (the First Case in Italy): A Case Report and Review of Literature. Infect. Dis. Trop. Med. 2022, 8, e796. [Google Scholar]
- Hayano, S.; Masaki, T.; Tadakuma, R.; Kashima, M. Photobacterium damselae subsp. damselae Bacteraemia in a Patient with Liver Cirrhosis. BMJ Case Rep. 2021, 14, e242580. [Google Scholar] [CrossRef]
- Goodell, K.H.; Jordan, M.R.; Graham, R.; Cassidy, C.; Nasraway, S.A. Rapidly Advancing Necrotizing Fasciitis Caused by Photobacterium (Vibrio) damselae: A Hyperaggressive Variant. Crit. Care Med. 2004, 32, 278–281. [Google Scholar] [CrossRef]
- Yamane, K.; Asato, J.; Kawade, N.; Takahashi, H.; Kimura, B.; Arakawa, Y. Two Cases of Fatal Necrotizing Fasciitis Caused by Photobacterium Damsela in Japan. J. Clin. Microbiol. 2004, 42, 1370–1372. [Google Scholar] [CrossRef]
- Gouife, M.; Chen, S.; Huang, K.; Nawaz, M.; Jin, S.; Ma, R.; Wang, Y.; Xue, L.; Xie, J. Photobacterium damselae subsp. damselae in Mariculture. Aquac. Int. 2022, 30, 1453–1480. [Google Scholar] [CrossRef]
- Eissa, A.E.; Abou-Okada, M.; Alkurdi, A.R.M.; El Zlitne, R.A.; Prince, A.; Abdelsalam, M.; Derwa, H.I.M. Catastrophic Mass Mortalities Caused by Photobacterium damselae Affecting Farmed Marine Fish from Deeba Triangle, Egypt. Aquac. Res. 2021, 52, 4455–4466. [Google Scholar] [CrossRef]
- Essam, H.M.; Abdellrazeq, G.S.; Tayel, S.I.; Torky, H.A.; Fadel, A.H. Pathogenesis of Photobacterium damselae Subspecies Infections in Sea Bass and Sea Bream. Microb. Pathog. 2016, 99, 41–50. [Google Scholar] [CrossRef]
- Catanese, G.; Grau, A. First Detection of Photobacterium spp. in Acute Hemorrhagic Septicemia from the Nursehound Shark Scyliorhinus stellaris. Fishes 2023, 8, 128. [Google Scholar] [CrossRef]
- Han, J.E.; Gomez, D.K.; Kim, J.H.; Choresca, C.H.; Shin, S.P.; GBaeck, U.W.; Park, S.C. Isolation of Photobacterium damselae subsp. damselae from Zebra Shark Stegostoma Fasciatum. Korean J. Vet. Res. 2009, 49, 35–38. [Google Scholar]
- Lozano-León, A.; Osorio, C.R.; Nuñez, S.; Martínez-Urtaza, J.; Magariños, B. Occurrence of Photobacterium damselae subsp. damselae in Bivavlve Molluscs from Northwest Spain. Bull. Eur. Assoc. Fish. Pathol. 2003, 23, 40–44. [Google Scholar]
- Hariharan, H.; Amadi, V. Shellfish as Reservoirs of Bacterial Pathogens. J. Coast. Life Med. 2016, 4, 253–258. [Google Scholar] [CrossRef]
- Glassman, A.R.; Zachariah, T.T. Retrospective Analysis of Blood Cultures and Their Association with Clinical Findings and Outcome in Green Sea Turtles (Chelonia mydas) at a Florida Sea Turtle Rehabilitation Facility, 2017–2020. J. Zoo Wildl. Med. 2024, 54, 766–775. [Google Scholar] [CrossRef]
- Fichi, G.; Cardeti, G.; Cersini, A.; Mancusi, C.; Guarducci, M.; Di Guardo, G.; Terracciano, G. Bacterial and Viral Pathogens Detected in Sea Turtles Stranded along the Coast of Tuscany, Italy. Vet. Microbiol. 2016, 185, 56–61. [Google Scholar] [CrossRef]
- Oliver-Guimerá, A.; Abarca, M.L.; Cuvertoret-Sanz, M.; Mariano, D. Fatal Photobacterium damselae-Induced Enteritis in a Leatherback Turtle Dermochelys coriacea. Dis. Aquat. Org. 2019, 135, 151–156. [Google Scholar] [CrossRef]
- Esposito, E.; Pace, A.; Affuso, A.; Oliviero, M.; Iaccarino, D.; Paduano, G.; Maffucci, F.; Fusco, G.; De Carlo, E.; Hochscheid, S.; et al. Antibiotic Resistance of Bacteria Isolated from Clinical Samples and Organs of Rescued Loggerhead Sea Turtles (Caretta caretta) in Southern Italy. Animals 2024, 14, 2103. [Google Scholar] [CrossRef]
- Di Renzo, L.; Di Francesco, G.; Profico, C.; Di Francesco, C.E.; Ferri, N.; Averaimo, D.; Di Guardo, G. Vibrio parahaemolyticus- and V. alginolyticus-Associated Meningo-Encephalitis in a Bottlenose Dolphin (Tursiops truncatus) from the Adriatic Coast of Italy. Res. Vet. Sci. 2017, 115, 363–365. [Google Scholar] [CrossRef]
- Godoy-Vitorino, F.; Rodriguez-Hilario, A.; Alves, A.L.; Gonçalves, F.; Cabrera-Colon, B.; Mesquita, C.S.; Soares-Castro, P.; Ferreira, M.; Marçalo, A.; Vingada, J.; et al. The Microbiome of a Striped Dolphin (Stenella coeruleoalba) Stranded in Portugal. Res. Microbiol. 2017, 168, 85–93. [Google Scholar] [CrossRef]
- Fujioka, R.; Greco, S.; Cates, M.; Schroeder, J. Vibrio Damsela from Wounds in Bottlenose Dolphins Tursiops Truncates. Dis. Aquat. Org. 1988, 4, 1–8. [Google Scholar] [CrossRef]
- Buck, J.; Overstrom, N.; Patton, G.; Anderson, H.; Gorzelany, J. Bacteria Associated with Stranded Cetaceans from the Northeast USA and Southwest Florida Gulf Coasts. Dis. Aquat. Org. 1991, 10, 147–152. [Google Scholar] [CrossRef]
- Morick, D.; Blum, S.E.; Davidovich, N.; Zemah-Shamir, Z.; Bigal, E.; Itay, P.; Rokney, A.; Nasie, I.; Feldman, N.; Flecker, M.; et al. Photobacterium damselae Subspecies damselae Pneumonia in Dead, Stranded Bottlenose Dolphin, Eastern Mediterranean Sea. Emerg. Infect. Dis. 2023, 29, 179–183. [Google Scholar] [CrossRef] [PubMed]
- Matta, S.K.; Rinkenberger, N.; Dunay, I.R.; Sibley, L.D. Toxoplasma gondii Infection and Its Implications within the Central Nervous System. Nat. Rev. Microbiol. 2021, 19, 467–480. [Google Scholar] [CrossRef]
- Mazzariol, S.; Arbelo, M.; Centelleghe, C.; Di Guardo, G.; Fernandez, A.; Sierra, E. Emerging Pathogens and Stress Syndromes of Cetaceans in European Waters: Cumulative Effects. In Marine Mammal Ecotoxicology: Impacts of Multiple Stressors on Population Health; Academic Press: Cambridge, MA, USA, 2018. [Google Scholar]
- Giorda, F.; Romani-Cremaschi, U.; Marsh, A.E.; Grattarola, C.; Iulini, B.; Pautasso, A.; Varello, K.; Berio, E.; Gazzuola, P.; Marsili, L.; et al. Evidence for Unknown Sarcocystis-like Infection in Stranded Striped Dolphins (Stenella coeruleoalba) from the Ligurian Sea, Italy. Animals 2021, 11, 1201. [Google Scholar] [CrossRef]
- Costa-Silva, S.; Sacristán, C.; Gonzales-Viera, O.; Díaz-Delgado, J.; Sánchez-Sarmiento, A.M.; Marigo, J.; Groch, K.R.; Carvalho, V.L.; Ewbank, A.C.; Colosio, A.C.; et al. Toxoplasma gondii in Cetaceans of Brazil: A Histopathological and Immunohistochemical Survey. Rev. Bras. Parasitol. Vet. 2019, 28, 395–402. [Google Scholar] [CrossRef]
- Di Guardo, G.; Mazzariol, S. Toxoplasma Gondii: Clues from Stranded Dolphins. Vet. Pathol. 2013, 50, 737. [Google Scholar] [CrossRef]
- Godfroid, J.; Garin-Bastuji, B.; Saegerman, C.; Blasco, J.M. Brucellosis in Terrestrial Wildlife. Rev. Sci. Tech. L’oie 2013, 32, 27–42. [Google Scholar] [CrossRef]
- Godfroid, J. Brucellosis in Wildlife. Rev. Sci. Tech. 2002, 21, 277–286. [Google Scholar] [CrossRef]
- Răpuntean, S.; Răpuntean, G. Brucellosis in Aquatic Mammals (Literature Review). Rom. J. Vet. Med. Pharm. 2018, 13, 346–354. [Google Scholar]
- Isidoro-Ayza, M.; Ruiz-Villalobos, N.; Pérez, L.; Guzmán-Verri, C.; Muñoz, P.M.; Alegre, F.; Barberán, M.; Chacón-Díaz, C.; Chaves-Olarte, E.; González-Barrientos, R.; et al. Brucella ceti infection in Dolphins from the Western Mediterranean Sea. BMC Vet. Res. 2014, 10, 206. [Google Scholar] [CrossRef] [PubMed]
- Garofolo, G.; Zilli, K.; Troiano, P.; Petrella, A.; Marotta, F.; Di Serafino, G.; Ancora, M.; Di Giannatale, E. Brucella ceti from Two Striped Dolphins Stranded on the Apulia Coastline, Italy. J. Med. Microbiol. 2014, 63, 325–329. [Google Scholar] [CrossRef] [PubMed]
- Prenger-Berninghoff, E.; Siebert, U.; Stede, M.; König, A.; Weiß, R.; Baljer, G. Incidence of Brucella Species in Marine Mammals of the German North Sea. Dis. Aquat. Org. 2008, 81, 65–71. [Google Scholar] [CrossRef] [PubMed]
- Adem, A.; Duguma, A. Characteristics and Intracellular Life of Brucella Organism: A Review. J. Microb. Biochem. Technol. 2020, 12, 431. [Google Scholar]
- Guzmán-Verri, C.; González-Barrientos, R.; Hernández-Mora, G.; Morales, J.-A.; Baquero-Calvo, E.; Chaves-Olarte, E.; Moreno, E. Brucella ceti and Brucellosis in Cetaceans. Front. Cell. Infect. Microbiol. 2012, 2, 3. [Google Scholar] [CrossRef]
- González-Barrientos, R.; Morales, J.-A.; Hernández-Mora, G.; Barquero-Calvo, E.; Guzmán-Verri, C.; Chaves-Olarte, E.; Moreno, E. Pathology of Striped Dolphins (Stenella coeruleoalba) Infected with Brucella ceti. J. Comp. Pathol. 2010, 142, 347–352. [Google Scholar] [CrossRef]
- Alba, P.; Terracciano, G.; Franco, A.; Lorenzetti, S.; Cocumelli, C.; Fichi, G.; Eleni, C.; Zygmunt, M.S.; Cloeckaert, A.; Battisti, A. The Presence of Brucella ceti ST26 in a Striped Dolphin (Stenella coeruleoalba) with Meningoencephalitis from the Mediterranean Sea. Vet. Microbiol. 2013, 164, 158–163. [Google Scholar] [CrossRef]
- Davison, N.J.; Perrett, L.L.; Dawson, C.; Dagleish, M.P.; Haskins, G.; Muchowski, J.; Whatmore, A.M. Brucella ceti Infection in a Common Minke Whale (Balaenoptera acutorostrata) with Associated Pathology. J. Wildl. Dis. 2017, 53, 572–576. [Google Scholar] [CrossRef]
- Rebollada-Merino, A.; Giorda, F.; Pumarola, M.; Martino, L.; Gomez-Buendia, A.; Romani-Cremaschi, U.; Casalone, C.; Mattioda, V.; Di Nocera, F.; Lucifora, G.; et al. Neurobrucellosis (Brucella ceti) in Striped Dolphins (Stenella coeruleoalba): Immunohistochemical Studies on Immune Response and Neuroinflammation. Vet. Pathol. 2024, 62, 226–236. [Google Scholar] [CrossRef]
- Grattarola, C.; Giorda, F.; Iulini, B.; Pintore, M.D.; Pautasso, A.; Zoppi, S.; Goria, M.; Romano, A.; Peletto, S.; Varello, K.; et al. Meningoencephalitis and Listeria monocytogenes, Toxoplasma gondii and Brucella spp. Coinfection in a Dolphin in Italy. Dis. Aquat. Org. 2016, 118, 169–174. [Google Scholar] [CrossRef]
- González, L.; Patterson, I.A.; Reid, R.J.; Foster, G.; Barberán, M.; Blasco, J.M.; Kennedy, S.; Howie, F.E.; Godfroid, J.; MacMillan, A.P.; et al. Chronic Meningoencephalitis Associated with Brucella Sp. Infection in Live-Stranded Striped Dolphins (Stenella coeruleoalba). J. Comp. Pathol. 2002, 126, 147–152. [Google Scholar] [CrossRef] [PubMed]
- Hernández-Mora, G.; González-Barrientos, R.; Morales, J.-A.; Chaves-Olarte, E.; Guzmán-Verri, C.; Baquero-Calvo, E.; De-Miguel, M.-J.; Marín, C.-M.; Blasco, J.-M.; Moreno, E. Neurobrucellosis in Stranded Dolphins, Costa Rica. Emerg. Infect. Dis. 2008, 14, 1430–1433. [Google Scholar] [CrossRef] [PubMed]
- Chang, R.K.; Miller, M.A.; Tekedar, H.C.; Rose, D.; García, J.C.; LaFrentz, B.R.; Older, C.E.; Waldbieser, G.C.; Pomaranski, E.; Shahin, K.; et al. Pathology, Microbiology, and Genetic Diversity Associated with Erysipelothrix rhusiopathiae and Novel Erysipelothrix spp. Infections in Southern Sea Otters (Enhydra Lutris Nereis). Front. Microbiol. 2023, 14, 1303235. [Google Scholar] [CrossRef] [PubMed]
- Chang, R.K.; Pomaranski, E.K.; Giray, C.; Keleher, W.; Griffin, M.J.; Camus, A.C.; Toohey-Kurth, K.L.; Soto, E. SpaB-Positive Erysipelothrix rhusiopathiae, a Novel Teleost Pathogen Isolated from Cultured Barramundi. J. Vet. Diagn. Investig. 2024, 36, 346–356. [Google Scholar] [CrossRef]
- Van Damme, L.R.; Devriese, L.A. The Presence of Erysipelothrix rhusiopathiae in the Tonsils of Swine and in the Larynx of Chidtens in Rwanda (Central Africa). Zentralblatt Für Veterinärmedizin Reihe B 1976, 23, 74–78. [Google Scholar] [CrossRef]
- Morimoto, M.; Kato, A.; Kojima, H.; Akaike, Y.; Nogami, K.; Sasakawa, C.; Nagai, S.; To, H. Serovars and SpaA Types of Erysipelothrix rhusiopathiae Isolated from Pigs in Japan from 2012 to 2019. Curr. Microbiol. 2021, 78, 55–66. [Google Scholar] [CrossRef]
- Eriksson, H.; Jansson, D.S.; Johansson, K.E.; Båverud, V.; Chirico, J.; Aspán, A. Characterization of Erysipelothrix rhusiopathiae Isolates from Poultry, Pigs, Emus, the Poultry Red Mite and Other Animals. Vet. Microbiol. 2009, 137, 98–104. [Google Scholar] [CrossRef]
- Opriessnig, T.; Shen, H.G.; Bender, J.S.; Boehm, J.R.; Halbur, P.G. Erysipelothrix rhusiopathiae Isolates Recovered from Fish, a Harbour Seal (Phoca vitulina) and the Marine Environment Are Capable of Inducing Characteristic Cutaneous Lesions in Pigs. J. Comp. Pathol. 2013, 148, 365–372. [Google Scholar] [CrossRef]
- Wang, Q.; Chang, B.J.; Riley, T.V. Erysipelothrix rhusiopathiae. Vet. Microbiol. 2010, 140, 405–417. [Google Scholar] [CrossRef]
- Díaz-Delgado, J.; Arbelo, M.; Sierra, E.; Vela, A.; Domínguez, M.; Paz, Y.; Andrada, M.; Domínguez, L.; Fernández, A. Fatal Erysipelothrix rhusiopathiae Septicemia in Two Atlantic Dolphins (Stenella frontalis and Tursiops truncatus). Dis. Aquat. Org. 2015, 116, 75–81. [Google Scholar] [CrossRef]
- Wood, R.L.; Steele, J.H. Erysipelothrix Infections. In Handbook of Zoonoses, Second Edition, Section A; CRC Press: Boca Raton, FL, USA, 2019; pp. 83–91. [Google Scholar]
- Gorby, G.L.; Peacock, J.E. Erysipelothrix rhusiopathiae Endocarditis: Microbiologic, Epidemiologic, and Clinical Features of an Occupational Disease. Clin. Infect. Dis. 1988, 10, 317–325. [Google Scholar] [CrossRef] [PubMed]
- Fiorito, C.D.; Bentancor, A.; Lombardo, D.; Bertellotti, M. Erysipelothrix rhusiopathiae Isolated from Gullinflicted Wounds in Southern Right Whale Calves. Dis. Aquat. Org. 2016, 121, 67–73. [Google Scholar] [CrossRef] [PubMed]
- Jsseldijk, L.L.I.; Begeman, L.; Duim, B.; Gröne, A.; Kik, M.J.L.; Klijnstra, M.D.; Lakemeyer, J.; Leopold, M.F.; Munnink, B.B.O.; ten Doeschate, M.; et al. Harbor Porpoise Deaths Associated with Erysipelothrix rhusiopathiae, The Netherlands, 2021. Emerg. Infect. Dis. 2023, 29, 835–838. [Google Scholar] [CrossRef] [PubMed]
- Kinsel, M.J.; Boehm, J.R.; Harris, B.; Murnane, R.D. Fatal Erysipelothrix rhusiopathiae Septicemia in a Captive Pacific White-Sided Dolphin (Lagenorhyncus obliquidens). J. Zoo Wildl. Med. 1997, 28, 494–497. [Google Scholar]
- Calle, P.P.; Kenny, D.E.; Cook, R.A. Successful Treatment of Suspected Erysipelas Septicemia in a Beluga Whale (Delphinapterus leucas). Zoo. Biol. 1993, 12, 483–490. [Google Scholar] [CrossRef]
- Sacristán, C.; Ewbank, A.C.; Sánchez-Sarmiento, A.M.; Duarte-Benvenuto, A.; Borges, J.C.G.; Rebelo, V.A.; Díaz-Delgado, J.; Borges Keid, L.; Catão-Dias, J.L. Erysipelas in a Stranded Common Bottlenose Dolphin: First Report in a South American Odontocete. Braz. J. Microbiol. 2022, 53, 2199–2203. [Google Scholar] [CrossRef]
- Martino, L.; Serrano, B.; Alomar, J.; Pérez, L.; Aragon, V.; Cobos, A.; Abarca, M.; Yazdi, Z.; Soto, E.; Domingo, M. Erysipelas with Preferential Brain and Skin Involvement in a Mediterranean Bottlenose Dolphin Tursiops truncatus. Dis. Aquat. Org. 2024, 157, 31–43. [Google Scholar] [CrossRef]
- Melero, M.; Rubio-Guerri, C.; Crespo, J.; Arbelo, M.; Vela, A.; García-Párraga, D.; Sierra, E.; Domínguez, L.; Sánchez-Vizcaíno, J. First Case of Erysipelas in a Free-Ranging Bottlenose Dolphin (Tursiops truncatus) Stranded in the Mediterranean Sea. Dis. Aquat. Org. 2011, 97, 167–170. [Google Scholar] [CrossRef]
- Boseret, G.; Jauniaux, T.; Mainil, J. Erysipelothrix rhusiopathiae Infection in Stranded Harbour Porpoise (Phocoena phocoena) and Harbour Seal (Phoca vitulina); European Association of Zoo-and Wildlife Veterinarian: Jacksonville, FL, USA, 2002. [Google Scholar]
- Ceccolini, M.; Wessels, M.; Macgregor, S.; Deaville, R.; Perkins, M.; Jepson, P.; John, S.; Guthrie, A. Systemic Erysipelothrix rhusiopathiae in Seven Free-Ranging Delphinids Stranded in England and Wales. Dis. Aquat. Org. 2021, 145, 173–184. [Google Scholar] [CrossRef]
- Van Bressem, M.-F.; Van Waerebeek, K.; Flach, L.; Reyes, J.C.; de Oliveira Santos, M.C.; Siciliano, S.; Echegaray, M.; Viddi, F.; Felix, F.; Crespo, E. Skin Diseases in Cetaceans. Int. Whal. Comm. 2008. [Google Scholar]
- Longbottom, D.; Coulter, L.J. Animal Chlamydioses and Zoonotic Implications. J. Comp. Pathol. 2003, 128, 217–244. [Google Scholar] [CrossRef] [PubMed]
- Kerr, K.; Entrican, G.; McKeever, D.; Longbottom, D. Immunopathology of Chlamydophila abortus Infection in Sheep and Mice. Res. Vet. Sci. 2005, 78, 1–7. [Google Scholar] [CrossRef] [PubMed]
- Santoro, M.; Iaccarino, D.; Di Nocera, F.; Uberti, B.D.; Lucibelli, M.G.; Borriello, G.; De Luca, G.; D’Amore, M.; Cerrone, A.; Galiero, G. Molecular Detection of Chlamydia abortus in a Stranded Mediterranean Striped Dolphin Stenella Coeruleoalba. Dis. Aquat. Org. 2019, 132, 203–208. [Google Scholar] [CrossRef] [PubMed]
- Hermosilla, C.; Hirzmann, J.; Silva, L.M.R.; Brotons, J.M.; Cerdà, M.; Prenger-Berninghoff, E.; Ewers, C.; Taubert, A. Occurrence of Anthropozoonotic Parasitic Infections and Faecal Microbes in Free-Ranging Sperm Whales (Physeter macrocephalus) from the Mediterranean Sea. Parasitol. Res. 2018, 117, 2531–2541. [Google Scholar] [CrossRef]







| Year | S. coeruleoalba | T. truncatus | P. macrocephalus | B. physalus | K. sima | Total Strandings per Year |
|---|---|---|---|---|---|---|
| 2016 | 4 | 0 | 0 | 0 | 0 | 4 |
| 2017 | 2 | 3 | 0 | 0 | 1 | 6 |
| 2018 | 5 | 2 | 1 | 0 | 0 | 8 |
| 2019 | 8 | 3 | 0 | 0 | 0 | 11 |
| 2020 | 5 | 0 | 0 | 1 | 0 | 6 |
| 2021 | 5 | 3 | 0 | 1 | 0 | 9 |
| 2022 | 1 | 1 | 0 | 0 | 0 | 2 |
| Total | 30 | 12 | 1 | 2 | 1 | 46 |
Disclaimer/Publisher’s Note: The statements, opinions and data contained in all publications are solely those of the individual author(s) and contributor(s) and not of MDPI and/or the editor(s). MDPI and/or the editor(s) disclaim responsibility for any injury to people or property resulting from any ideas, methods, instructions or products referred to in the content. |
© 2025 by the authors. Licensee MDPI, Basel, Switzerland. This article is an open access article distributed under the terms and conditions of the Creative Commons Attribution (CC BY) license (https://creativecommons.org/licenses/by/4.0/).
Share and Cite
Esposito, E.; Oliviero, M.; Iaccarino, D.; Paduano, G.; Serra, F.; Levante, M.; Amoroso, M.G.; Auriemma, C.; Gallo, A.; Lucibelli, M.G.; et al. Post Mortem Findings of Cetaceans Stranded Along the Campania Coast from 2016 to 2022. Animals 2025, 15, 1812. https://doi.org/10.3390/ani15121812
Esposito E, Oliviero M, Iaccarino D, Paduano G, Serra F, Levante M, Amoroso MG, Auriemma C, Gallo A, Lucibelli MG, et al. Post Mortem Findings of Cetaceans Stranded Along the Campania Coast from 2016 to 2022. Animals. 2025; 15(12):1812. https://doi.org/10.3390/ani15121812
Chicago/Turabian StyleEsposito, Emanuele, Maria Oliviero, Doriana Iaccarino, Gianluigi Paduano, Francesco Serra, Martina Levante, Maria Grazia Amoroso, Clementina Auriemma, Amalia Gallo, Maria Gabriella Lucibelli, and et al. 2025. "Post Mortem Findings of Cetaceans Stranded Along the Campania Coast from 2016 to 2022" Animals 15, no. 12: 1812. https://doi.org/10.3390/ani15121812
APA StyleEsposito, E., Oliviero, M., Iaccarino, D., Paduano, G., Serra, F., Levante, M., Amoroso, M. G., Auriemma, C., Gallo, A., Lucibelli, M. G., Campione, A., Rispoli, R., Menafro, F., Bove, F., Dimatteo, M., D’Amore, M., Degli Uberti, B., Mattioda, V., Giorda, F., ... Di Nocera, F. (2025). Post Mortem Findings of Cetaceans Stranded Along the Campania Coast from 2016 to 2022. Animals, 15(12), 1812. https://doi.org/10.3390/ani15121812

