Differential Expression Characteristics of Two Isoforms nr5a2f and nr5a2m in Gonadal Differentiation of Chinese Giant Salamanders, Andrias davidianus
Simple Summary
Abstract
1. Introduction
2. Materials and Methods
2.1. Sample Collection
2.2. Sequence Analysis
2.3. Quantitative Real-Time PCR
2.4. Fluorescence In Situ Hybridization
2.5. RNA Interference
2.6. Identification of Phenotypic Sex and Genetic Sex
3. Results
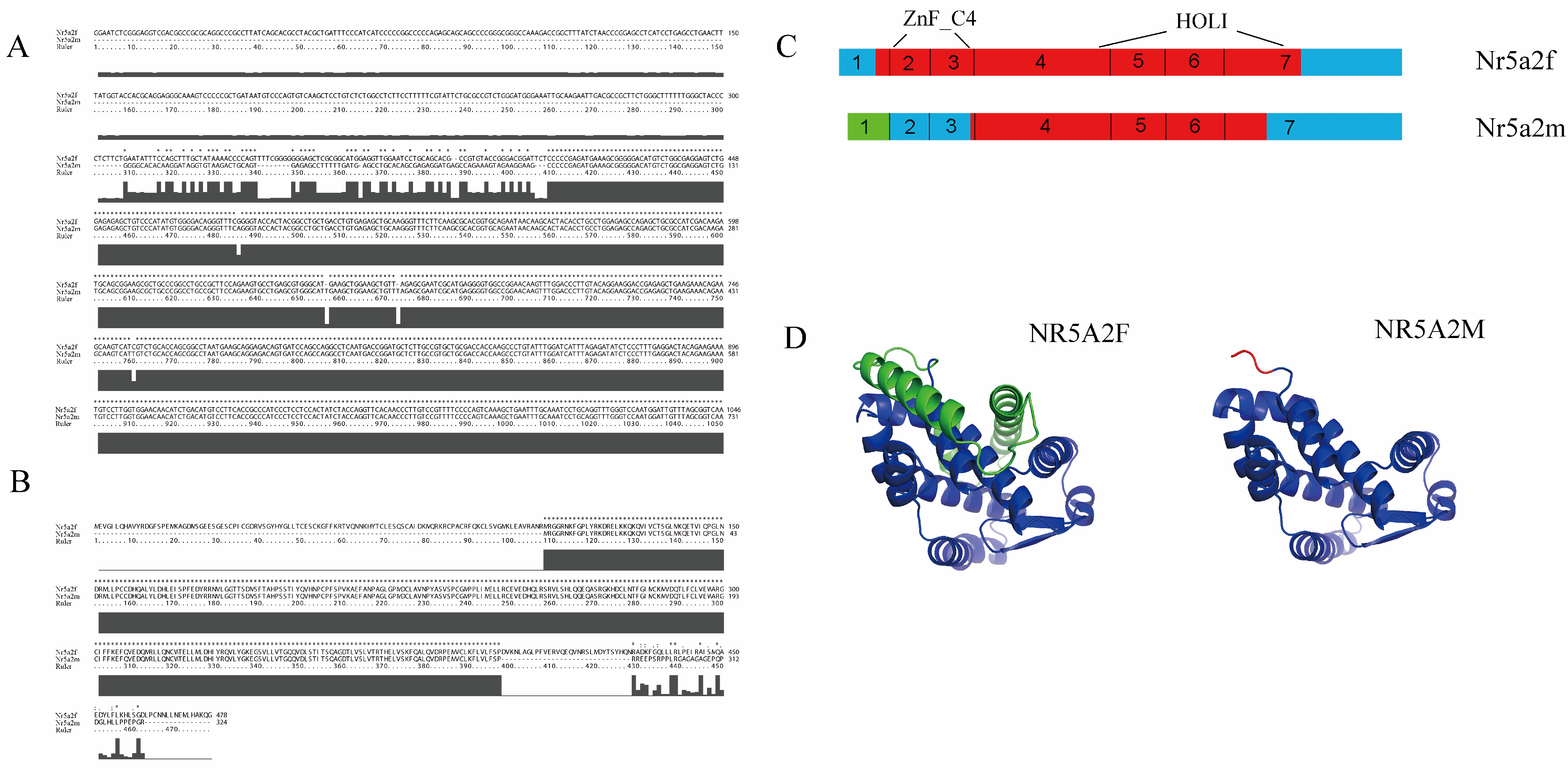
3.1. Sequence Analysis of Nr5a2f and Nr5a2m
3.2. Expression of Nr5a2f and Nr5a2m in Different Developing Gonads and Sex Reversal
3.3. Expression of Nr5a2f and Nr5a2m Identified by In Situ Hybridization
3.4. RNA Interference
4. Discussion
5. Conclusions
Author Contributions
Funding
Institutional Review Board Statement
Informed Consent Statement
Data Availability Statement
Conflicts of Interest
References
- Duggavathi, R.; Volle, D.H.; Mataki, C.; Antal, M.C.; Messaddeq, N.; Auwerx, J.; Murphy, B.D.; Schoonjans, K. Liver receptor homolog 1 is essential for ovulation. Genes Dev. 2008, 22, 1871–1876. [Google Scholar] [CrossRef] [PubMed]
- Meinsohn, M.C.; Smith, O.E.; Bertolin, K.; Murphy, B.D. The Orphan Nuclear Receptors Steroidogenic Factor-1 and Liver Receptor Homolog-1: Structure, Regulation, and Essential Roles in Mammalian Reproduction. Physiol. Rev. 2019, 99, 1249–1279. [Google Scholar] [CrossRef] [PubMed]
- Lee, Y.K.; Schmidt, D.R.; Cummins, C.L.; Choi, M.; Peng, L.; Zhang, Y.; Goodwin, B.; Hammer, R.E.; Mangelsdorf, D.J.; Kliewer, S.A. Liver receptor homolog-1 regulates bile acid homeostasis but is not essential for feedback regulation of bile acid synthesis. Mol. Endocrinol. 2008, 22, 1345–1356. [Google Scholar] [CrossRef] [PubMed]
- Hughes, C.H.K.; Murphy, B.D. Nuclear receptors: Key regulators of somatic cell functions in the ovulatory process. Mol. Aspects Med. 2021, 78, 100937. [Google Scholar] [CrossRef]
- Zheng, Y.J. Effects of FSH-Fox-NR5A2-Mediated Photcycle on Follicle Development in Black-Lined hamsters. Master’s Thesis, Qufu Normal University, Jining, China, 2024. [Google Scholar]
- Boerboom, D.; Pilon, N.; Behdjani, R.; Silversides, D.W.; Sirois, J. Expression and regulation of transcripts encoding two members of the NR5A nuclear receptor subfamily of orphan nuclear receptors, steroidogenic factor-1 and NR5A2, in equine ovarian cells during the ovulatory process. Endocrinology 2000, 141, 4647–4656. [Google Scholar] [CrossRef]
- Li, Y.; Choi, M.; Suino, K.; Kovach, A.; Daugherty, J.; Kliewer, S.A.; Xu, H.E. Structural and biochemical basis for selective repression of the orphan nuclear receptor liver receptor homolog 1 by small heterodimer partner. Proc. Natl. Acad. Sci. USA 2005, 102, 9505–9510. [Google Scholar] [CrossRef]
- Schoonjans, K.; Dubuquoy, L.; Mebis, J.; Fayard, E.; Wendling, O.; Haby, C.; Geboes, K.; Auwerx, J. Liver receptor homolog 1 contributes to intestinal tumor formation through effects on cell cycle and inflammation. Proc. Natl. Acad. Sci. USA 2005, 102, 2058–2062. [Google Scholar] [CrossRef]
- Hinshelwood, M.M.; Repa, J.J.; Shelton, J.M.; Richardson, J.A.; Mangelsdorf, D.J.; Mendelson, C.R. Expression of LRH-1 and SF-1 in the mouse ovary: Localization in different cell types correlates with differing function. Mol. Cell. Endocrinol. 2003, 207, 39–45. [Google Scholar] [CrossRef]
- Goodwin, B.; Jones, S.A.; Price, R.R.; Watson, M.A.; McKee, D.D.; Moore, L.B.; Galardi, C.; Wilson, J.G.; Lewis, M.C.; Roth, M.E.; et al. A regulatory cascade of the nuclear receptors FXR, SHP-1, and LRH-1 represses bile acid biosynthesis. Mol. Cell 2000, 6, 517–526. [Google Scholar] [CrossRef]
- Falender, A.E.; Lanz, R.; Malenfant, D.; Belanger, L.; Richards, J.S. Differential expression of steroidogenic factor-1 and FTF/LRH-1 in the rodent ovary. Endocrinology 2003, 144, 3598–3610. [Google Scholar] [CrossRef]
- Labelle-Dumais, C.; Jacob-Wagner, M.; Paré, J.F.; Bélanger, L.; Dufort, D. Nuclear receptor NR5A2 is required for proper primitive streak morphogenesis. Dev. Dyn. 2006, 235, 3359–3369. [Google Scholar] [CrossRef] [PubMed]
- LaVoie, H.A. Transcriptional control of genes mediating ovarian follicular growth, differentiation, and steroidogenesis in pigs. Mol. Reprod. Dev. 2017, 84, 788–801. [Google Scholar] [CrossRef] [PubMed]
- Guo, R.; Chen, F.; Shi, Z. Suppression of Notch Signaling Stimulates Progesterone Synthesis by Enhancing the Expression of NR5A2 and NR2F2 in Porcine Granulosa Cells. Genes 2020, 11, 120. [Google Scholar] [CrossRef] [PubMed]
- Peng, Z.; Chen, Y.Q.; Liu, Y.F.; Hui, Z.; Qu, L.H. The complete mitochondrial genome of the Chinese giant salamander, Andrias davidianus (Amphibia: Caudata). Gene 2003, 311, 93–98. [Google Scholar]
- Hu, Q.; Zhu, Y.; Liu, Y.; Wang, N.; Chen, S. Cloning and characterization of wnt4a gene and evidence for positive selection in half-smooth tongue sole (Cynoglossus semilaevis). Sci. Rep. 2014, 4, 7167. [Google Scholar] [CrossRef]
- Gao, K.Q.; Shubin, N.H. Earliest known crown-group salamanders. Nature 2003, 422, 424–428. [Google Scholar] [CrossRef]
- Schmid, M.; Steinlein, C.; Feichtinger, W. Chromosome banding in Amphibia. XVII. First demonstration of multiple sex chromosomes in amphibians: Eleutherodactylus maussi (Anura, leptodactylidae). Chromosoma 1992, 101, 284–292. [Google Scholar] [CrossRef]
- David, M. Green. Cytogenetics of the endemic New Zealand frog, Leiopelma hochstetteri: Extraordinary supernumerary chromosome variation and a unique sex-chromosome system. Chromosoma 1988, 97, 55–70. [Google Scholar]
- Fan, Y.; Chang, M.X.; Ma, J.; LaPatra, S.E.; Hu, Y.W.; Huang, L.; Nie, P.; Zeng, L. Transcriptomic analysis of the host response to an iridovirus infection in Chinese giant salamander, Andrias davidianus. Vet. Res. 2015, 46, 136. [Google Scholar] [CrossRef]
- Yang, H.; Lan, Q.; Liu, R.; Cui, D.; Liu, H.; Xiong, D.; Li, F.; Liu, X.; Wang, L. Characterization of galectin-1 from Chinese giant salamanders Andrias davidianus and its involvements during immune response. Dev. Comp. Immunol. 2017, 70, 59–68. [Google Scholar] [CrossRef]
- Yang, H.; Lu, B.; Zhou, D.; Zhao, L.; Song, W.; Wang, L. Identification of the first cathelicidin gene from skin of Chinese giant salamanders Andrias davidianus with its potent antimicrobial activity. Dev. Comp. Immunol. 2017, 77, 141–149. [Google Scholar] [CrossRef] [PubMed]
- Hu, Q.; Meng, Y.; Tian, H.; Zhang, Y.U.; Xiao, H. Sexually Dimorphic Expression of Foxl2 and Ftz-F1 in Chinese Giant Salamander Andrias Davidianus. J. Exp. Zool. B Mol. Dev. Evol. 2016, 326, 363–374. [Google Scholar] [CrossRef] [PubMed]
- Hu, Q.; Xiao, H.; Tian, H.; Meng, Y. Identification and expression of cytochrome P450 genes in the Chinese giant salamander Andrias davidianus. Theriogenology 2017, 95, 62–68. [Google Scholar] [CrossRef]
- Chen, R.; Du, J.; Ma, L.; Wang, L.Q.; Xie, S.S.; Yang, C.M.; Lan, X.Y.; Pan, C.Y.; Dong, W.Z. Comparative microRNAome analysis of the testis and ovary of the Chinese giant salamander. Reproduction 2017, 154, 169–179. [Google Scholar] [CrossRef] [PubMed]
- Hu, Q.; Tian, H.; Xiao, H. Effects of temperature and sex steroids on sex ratio, growth, and growth-related gene expression in the Chinese giant salamander Andrias davidianus. Aquat. Biol. 2019, 28, 79–90. [Google Scholar] [CrossRef]
- Waterhouse, A.; Bertoni, M.; Bienert, S.; Studer, G.; Tauriello, G.; Gumienny, R.; Heer, F.T.; Rempfer, C.; Bordoli, L.; de Beer, T.A.P.; et al. SWISS-MODEL: Homology modelling of protein structures and complexes. Nucleic Acids Res. 2018, 46, W296–W303. [Google Scholar] [CrossRef]
- Liu, Y.; Wu, S.; Jiang, N.; Liu, W.; Zhou, Y.; Zeng, L.; Zhong, Q.; Li, Z.; Fan, Y. Characterization of reference genes for qRT-PCR normalization in rice-field eel (Monopterus albus) to assess differences in embryonic developmental stages, the early development of immune organs, and cells infected with rhabdovirus. Fish Shellfish Immunol. 2022, 120, 92–101. [Google Scholar] [CrossRef]
- Schmittgen, T.D.; Livak, K.J. Analyzing real-time PCR data by the comparative C(T) method. Nat. Protoc. 2008, 3, 1101–1108. [Google Scholar] [CrossRef]
- Zhang, J.; Xia, X.; Zhu, Y.; Lian, Z.; Tian, H.; Xiao, H.; Hu, Q. Potential antagonistic relationship of fgf9 and rspo1 genes in WNT4 pathway to regulate the sex differentiation in Chinese giant salamander (Andrias davidianus). Front. Mol. Biosci. 2022, 9, 974348. [Google Scholar] [CrossRef]
- Mendelson, C.R.; Kamat, A. Mechanisms in the regulation of aromatase in developing ovary and placenta. J. Steroid Biochem. Mol. Biol. 2007, 106, 62–70. [Google Scholar] [CrossRef]
- Wang, L.H.; Wei, Z. Localization of LRH-1 expression in HPG axis tissues of Husheep. Chin. J. Anim. Sci. 2017, 53, 58–61. [Google Scholar] [CrossRef]
- Meinsohn, M.C.; Hughes, C.H.K.; Estienne, A.; Saatcioglu, H.D.; Pépin, D.; Duggavathi, R.; Murphy, B.D. A role for orphan nuclear receptor liver receptor homolog-1 (LRH-1, NR5A2) in primordial follicle activation. Sci. Rep. 2021, 11, 1079. [Google Scholar] [CrossRef] [PubMed]
- Bertolin, K.; Meinsohn, M.C.; Suzuki, J.; Gossen, J.; Schoonjans, K.; Duggavathi, R.; Murphy, B.D. Ovary-specific depletion of the nuclear receptor Nr5a2 compromises expansion of the cumulus oophorus but not fertilization by intracytoplasmic sperm injection. Biol. Reprod. 2017, 96, 1231–1243. [Google Scholar] [CrossRef] [PubMed]
- Bertolin, K.; Gossen, J.; Schoonjans, K.; Murphy, B.D. The orphan nuclear receptor Nr5a2 is essential for luteinization in the female mouse ovary. Endocrinology 2014, 155, 1931–1943. [Google Scholar] [CrossRef]
- Zhang, Y.P.; Zhang, Q.; Gao, Y.; Liu, Q.Y.; Zhang, Q.; Zhang, J.B.; Zhang, S.M. The research progress of NR5A2 gene. Anim. Husb. Vet. Heilongjiang 2021, 23, 41–45. [Google Scholar]
- Sandhu, N.; Rana, S.; Meena, K. Nuclear receptor subfamily 5 group A member 2 (NR5A2): Role in health and diseases. Mol. Biol. Rep. 2021, 48, 8155–8170. [Google Scholar] [CrossRef]
- Nagahama, Y.; Chakraborty, T.; Paul-Prasanth, B.; Ohta, K.; Nakamura, M. Sex determination, gonadal sex differentiation, and plasticity in vertebrate species. Physiol. Rev. 2021, 101, 1237–1308. [Google Scholar] [CrossRef]
- Oshima, Y.; Uno, Y.; Matsuda, Y.; Kobayashi, T.; Nakamura, M. Molecular cloning and gene expression of Foxl2 in the frog Rana rugosa. Gen. Comp. Endocrinol. 2008, 159, 170–177. [Google Scholar] [CrossRef]
- Hu, Q.; Xiao, H.; Wang, Q.; Tian, H.; Meng, Y. Identification and expression of forkhead box genes in the Chinese giant salamander Andrias davidianus. Reprod Fert Dev. 2018, 30, 634–642. [Google Scholar] [CrossRef]
- Hu, Q.; Xiao, H.; Tian, H.; Meng, Y. Characterization and expression of cyp19a gene in the Chinese giant salamander Andrias davidianus. Comp. Biochem. Physiol. B Biochem. Mol. Biol. 2016, 192, 21–29. [Google Scholar] [CrossRef]
- Ferguson-Smith, M. The evolution of sex chromosomes and sex determination in vertebrates and the key role of DMRT1. Sex. Dev. 2007, 1, 2–11. [Google Scholar] [CrossRef]
- Webster, K.A.; Schach, U.; Ordaz, A.; Steinfeld, J.S.; Draper, B.W.; Siegfried, K.R. Dmrt1 is necessary for male sexual development in zebrafish. Dev. Biol. 2017, 422, 33–46. [Google Scholar] [CrossRef] [PubMed]
- Traylor-Knowles, N.G.; Kane, E.G.; Sombatsaphay, V.; Finnerty, J.R.; Reitzel, A.M. Sex-specific and developmental expression of Dmrt genes in the starlet sea anemone, Nematostella vectensis. EvoDevo 2015, 6, 6–13. [Google Scholar] [CrossRef] [PubMed][Green Version]
- Mawaribuchi, S.; Ito, Y.; Ito, M. Independent evolution for sex determination and differentiation in the DMRT family in animals. Biol. Open 2019, 8, bio041962. [Google Scholar] [CrossRef] [PubMed]
- Boulanger, L.; Pannetier, M.; Gall, L.; Allais-Bonnet, A.; Elzaiat, M.; Le Bourhis, D.; Daniel, N.; Richard, C.; Cotinot, C.; Ghyselinck, N.B.; et al. FOXL2 is a female sex-determining gene in the goat. Curr. Biol. 2014, 24, 404–408. [Google Scholar] [CrossRef]
- Cocquet, J.; Pailhoux, E.; Jaubert, F.; Servel, N.; Xia, X.; Pannetier, M.; Messiaen, L.; Cotinot, C.; Fellous, M.; Veitia, R.A. Evolution and expression of FOXL2. J. Med. Genet. 2002, 39, 916–921. [Google Scholar] [CrossRef]
- Wang, D.D.; Zhang, G.R.; Wei, K.J.; Ji, W.; Gardner, J.P.; Yang, R.B.; Chen, K.C. Molecular identification and expression of the Foxl2 gene during gonadal sex differentiation in northern snakehead Channa argus. Fish. Physiol. Biochem. 2015, 41, 1419–1433. [Google Scholar] [CrossRef]
- Sridevi, P.; Senthilkumaran, B. Cloning and differential expression of FOXL2 during ovarian development and recrudescence of the catfish, Clarias gariepinus. Gen. Comp. Endocrinol. 2011, 174, 259–268. [Google Scholar] [CrossRef]
- Schmidt, D.; Ovitt, C.E.; Anlag, K.; Fehsenfeld, S.; Gredsted, L.; Treier, A.C.; Treier, M. The murine winged-helix transcription factor Foxl2 is required for granulosa cell differentiation and ovary maintenance. Development 2004, 131, 933–942. [Google Scholar] [CrossRef]
- Jin, L.; Sun, W.; Bao, H.; Liang, X.; Li, P.; Shi, S.; Wang, Z.; Qian, G.; Ge, C. The forkhead factor Foxl2 participates in the ovarian differentiation of Chinese soft-shelled turtle Pelodiscus sinensis. Dev. Biol. 2022, 492, 101–110. [Google Scholar] [CrossRef]
- Uhlenhaut, N.H.; Treier, M. Foxl2 function in ovarian development. Mol. Genet. Metab. 2006, 88, 225–234. [Google Scholar] [CrossRef] [PubMed]
- Chen, X.W.; Jiang, S.; Gu, Y.F.; Shi, Z.Y. Molecular characterization and expression of cyp19a gene in Carassius auratus. J. Fish Biol. 2014, 85, 516–522. [Google Scholar] [CrossRef] [PubMed]
- Oike, A.; Kodama, M.; Yasumasu, S.; Yamamoto, T.; Nakamura, Y.; Ito, E.; Nakamura, M. Participation of androgen and its receptor in sex determination of an amphibian species. PLoS ONE 2017, 12, e0178067. [Google Scholar] [CrossRef] [PubMed]
- van Nes, S.; Moe, M.; Andersen, Ø. Molecular characterization and expression of two cyp19 (P450 aromatase) genes in embryos, larvae, and adults of Atlantic halibut (Hippoglossus hippoglossus). Mol. Reprod Dev. 2005, 72, 437–449. [Google Scholar] [CrossRef]
- Yan, T.; Lu, H.; Sun, C.; Peng, Y.; Meng, F.; Gan, R.; Cui, X.; Wu, C.; Zhang, S.; Yang, Y.; et al. Nr5a homologues in the ricefield eel Monopterus albus: Alternative splicing, tissue-specific expression, and differential roles on the activation of cyp19a1a promoter in vitro. Gen. Comp. Endocrinol. 2021, 312, 113871. [Google Scholar] [CrossRef]




| Name | Sequence | Utilizations |
|---|---|---|
| Sf1-S | CAGTGGATTATGACAGAAGTCCGTA | qRT-PCR |
| Sf1-A | GGTCTCGGGAATGTCAGGGTA | qRT-PCR |
| foxl2-S | GGTAGCCGTAGCTGTCGCTG | qRT-PCR |
| foxl2-A | AGAACAGCATCCGCCACAAC | qRT-PCR |
| cyp19a-S | CCTTCATACGGACGGCTTGT | qRT-PCR |
| cyp19a-A | CAGATTAGAAGCAGGACACCCATA | qRT-PCR |
| dmrt1-A | GCCATTGGTTGCCTGATTG | qRT-PCR |
| dmrt1-S | ACCAGGTGGCAGTGGCTTC | qRT-PCR |
| cyp17-S | GCAGCGTCTCCTTGATGGTC | qRT-PCR |
| cyp17-A | ACAGACGGAGGTGAGGACGAC | qRT-PCR |
| nr5a2mS: | GAGCCTGCACAGCGAGAGG | qRT-PCR |
| nr5a2mA: | CCCACGCTCAGGCACTTCT | qRT-PCR |
| nr5a2fS: | CGGCATGGAGGTTGGAATC | qRT-PCR |
| nr5a2fA: | CAGGCAGGTGTAGTGCTTGTTATT | qRT-PCR |
| ef1-α-F | GGACAGACCCGTGAACATGC | Internal control |
| ef1-α-R | CTTCCTTAGTGATCTCCTCGTAGC | Internal control |
| adf431a | TCCAGAATGAAGTCCTGGCCT | Sex identification |
| adf431s | CGAGCCTCCATTGTGCCTT | Sex identification |
| nr5a2-1F-42S | AGCACGCCUACGCUGAUUUTT | RNAi/5-end, modify with FAM |
| nr5a2-1F-42A | AAAUCAGCGUAGGCGUGCUTT | RNAi |
| nr5a2-1F139S | GAGCCUGAACUUUAUGGUATT | RNAi/5-end, modify with FAM |
| nr5a2-1F139A | UACCAUAAAGUUCAGGCUCTT | RNAi |
| nr5a2-1F293S | GGCUACCCCUCUUCUGAAUTT | RNAi/5-end, modify with FAM |
| nr5a2-1F293A | AUUCAGAAGAGGGGUAGCCTT | RNAi |
| NC-S | UUCUCCGAACGUGUCACGUTT | Control/5-end, modify with FAM |
| NC-A | ACGUGACACGUUCGGAGAATT | Control |
| NR5A2F | CCAGACGGCGCAGAATACGAAAAAGGAAGAGGCCAGAGACAGGAGCTTGA | FISH, modify with FITC |
| NR5A2M | CCGCTTTCATCTCGGGGGCTTCCTTCTACTTTCTGGCTCATCCTCTCGCT | FISH, modify with Cy3 |
Disclaimer/Publisher’s Note: The statements, opinions and data contained in all publications are solely those of the individual author(s) and contributor(s) and not of MDPI and/or the editor(s). MDPI and/or the editor(s) disclaim responsibility for any injury to people or property resulting from any ideas, methods, instructions or products referred to in the content. |
© 2025 by the authors. Licensee MDPI, Basel, Switzerland. This article is an open access article distributed under the terms and conditions of the Creative Commons Attribution (CC BY) license (https://creativecommons.org/licenses/by/4.0/).
Share and Cite
Hu, D.; Li, G.; Zou, G.; Xu, J.; Luo, W.; Hu, Q. Differential Expression Characteristics of Two Isoforms nr5a2f and nr5a2m in Gonadal Differentiation of Chinese Giant Salamanders, Andrias davidianus. Animals 2025, 15, 1667. https://doi.org/10.3390/ani15111667
Hu D, Li G, Zou G, Xu J, Luo W, Hu Q. Differential Expression Characteristics of Two Isoforms nr5a2f and nr5a2m in Gonadal Differentiation of Chinese Giant Salamanders, Andrias davidianus. Animals. 2025; 15(11):1667. https://doi.org/10.3390/ani15111667
Chicago/Turabian StyleHu, Dan, Guanglve Li, Guohua Zou, Jiaqing Xu, Wenyin Luo, and Qiaomu Hu. 2025. "Differential Expression Characteristics of Two Isoforms nr5a2f and nr5a2m in Gonadal Differentiation of Chinese Giant Salamanders, Andrias davidianus" Animals 15, no. 11: 1667. https://doi.org/10.3390/ani15111667
APA StyleHu, D., Li, G., Zou, G., Xu, J., Luo, W., & Hu, Q. (2025). Differential Expression Characteristics of Two Isoforms nr5a2f and nr5a2m in Gonadal Differentiation of Chinese Giant Salamanders, Andrias davidianus. Animals, 15(11), 1667. https://doi.org/10.3390/ani15111667

