Suspected Permethrin-Containing Powder Bath Poisoning in a Flock of Mountain Quail (Oreortyx pictus)
Simple Summary
Abstract
1. Introduction
2. Materials and Methods
2.1. Animals
2.2. Housing and Nutrition
2.3. Treatment
2.4. Clinical Chemistry and Hematological Analysis
2.5. Necropsy and Sampling
2.6. Nucleic Acid Extraction and PCR Analysis
3. Results
3.1. Clinical Signs
3.2. Hematology
3.3. Necropsy
3.4. Microbiological Test
3.5. PCR Test
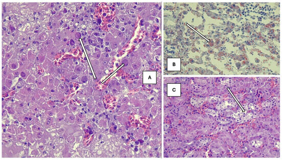
3.6. Histopathology
4. Discussion
5. Conclusions
Author Contributions
Funding
Institutional Review Board Statement
Informed Consent Statement
Data Availability Statement
Conflicts of Interest
References
- Fishel, F.M. Pesticide Toxicity Profile: Synthetic Pyrethroid Pesticides; PI54, Agronomy Department, IFAS Extension, University of Florida: Gainesville, FL, USA, 2005. [Google Scholar]
- Moss, W.W.; Camin, J.H. Nest parasitism, productivity, and clutch size in purple martins. Science 1970, 168, 1000–1003. [Google Scholar] [CrossRef]
- Brown, C.R.; Brown, M.B. Ectoparasitism as a cost of coloniality in cliff swallows (Hirundo pyrrhonota). Ecology 1986, 67, 1206–1218. [Google Scholar] [CrossRef]
- Møller, A.P. Effects of parasitism by a haematophagous mite on reproduction in the barn swallow. Ecology 1990, 71, 2345–2357. [Google Scholar] [CrossRef]
- Tomás, G.; Merino, S.; Moreno, J.; Morales, J. Consequences of nest reuse for parasite burden and female health and condition in blue tits, Cyanistes caeruleus. Anim. Behav. 2007, 73, 805–814. [Google Scholar] [CrossRef]
- Lobato, E.; Merino, S.; Moreno, J.; Morales, J.; Tomás, G.; Martínez-de la Puente, J.; Osorno, J.L.; Kuchar, A.; Möstl, E. Corticosterone metabolites in blue tit and pied flycatcher droppings: Effects of brood size, ectoparasites and temperature. Hormon. Behav. 2008, 53, 295–305. [Google Scholar] [CrossRef]
- Mougeot, F.; Moseley, M.; Leckie, F.; Martinez-Padilla, J.; Miller, A.; Pounds, M.; Irvine, R.J. Reducing tick burdens on chicks by treating breeding female grouse with permethrin. J. Wildl. Manag. 2008, 72, 468–472. [Google Scholar] [CrossRef]
- Knutie, S.A.; Herman, J.M.; Owen, J.P.; Clayton, D.H. Tri-trophic ecology of native parasitic nest flies of birds in Tobago. Ecosphere 2017, 8, e01670. [Google Scholar] [CrossRef]
- Efstathion, C.A.; Burkett-Cadena, N.D.; Kern, W.H., Jr. Prefledging mortality and the abundance of mosquito biting nestling barn owls (Tyto alba) in Florida, USA. J. Wildl. Dis. 2019, 55, 597–607. [Google Scholar] [CrossRef]
- Moore, M.T.; Cooper, C.M.; Smith, S.; Cullum, R.F.; Knight, S.S.; Locke, M.A.; Bennett, E.R. Mitigation of two pyrethroid insecticides in a Mississippi Delta constructed wetland. Environ. Pollut. 2009, 157, 250–256. [Google Scholar] [CrossRef]
- Ranatunga, M.; Kellar, C.; Pettigrove, V. Toxicological impacts of synthetic pyrethroids on non-target aquatic organisms: A review. Environ. Adv. 2023, 12, 100388. [Google Scholar] [CrossRef]
- Proudfoot, A.T. Poisoning due to pyrethrins. Tox. Rev. 2005, 24, 107–113. [Google Scholar] [CrossRef]
- Kaneko, H. Pyrethroid Chemistry and Metabolism. In Hayes’ Handbook of Pesticide Toxicology, 3rd ed.; Krieger, R., Ed.; Academic Press: San Diego, CA, USA, 2010; Chapter 76. [Google Scholar] [CrossRef]
- Palmquist, K.; Salatas, J.; Fairbrother, A. Pyrethroid insecticides: Use, environmental fate, and ecotoxicology. In Insecticides—Advances in Integrated Pest Management; Perveen, F., Ed.; InTech Open: London, UK, 2012; pp. 251–278. [Google Scholar]
- Ensley, S.M. Pyrethrins and Pyrethroids. In Veterinary Toxicology, 3rd ed.; Academic Press: San Diego, CA, USA, 2018; Chapter 39; pp. 515–520. [Google Scholar] [CrossRef]
- Hodoșan, C.; Gîrd, C.E.; Ghica, M.V.; Dinu-Pîrvu, C.-E.; Nistor, L.; Bărbuică, I.S.; Marin, Ș.-C.; Mihalache, A.; Popa, L. Pyrethrins and Pyrethroids: A Comprehensive Review of Natural Occurring Compounds and Their Synthetic Derivatives. Plants 2023, 12, 4022. [Google Scholar] [CrossRef]
- Campbell, P.J. Pyrethroids: From Chrysanthemum to Modern Industrial Insecticide; Springer: Berlin/Heidelberg, Germany, 2012. [Google Scholar]
- Corcellas, C.; Eljarrat, E.; Barceló, D. First report of pyrethroid bioaccumulation in wild river fish: A case study in Iberian river basins (Spain). Environ. Int. 2015, 75, 110–116. [Google Scholar] [CrossRef]
- Farag, M.R.; Alagawany, M.; Bilal, R.M.; Gewida, A.G.; Dhama, K.; Abdel-Latif, H.M.; Amer, M.S.; Rivero-Perez, N.; Zaragoza-Bastida, A.; Binnaser, Y.S.; et al. An overview on the potential hazards of pyrethroid insecticides in fish, with special emphasis on cypermethrin toxicity. Animals 2021, 11, 1880. [Google Scholar] [CrossRef]
- Mauck, W.L.; Olson, L.E.; Marking, L.L. Toxicity of natural pyrethrins and five pyrethroids to fish. Arch. Environ. Contam. Toxicol. 1976, 4, 18–29. [Google Scholar] [CrossRef]
- Weston, D.P.; Asbell, A.M.; Lesmeister, S.A.; Teh, S.J.; Lydy, M.J. Urban and agricultural pesticide inputs to a critical habitat for the threatened delta smelt (Hypomesus transpacificus). Environ. Toxicol. Chem. 2014, 33, 920e929. [Google Scholar] [CrossRef]
- Gammon, D.W.; Chandrasekaran, A.; ElNaggar, S.F. Comparative metabolism and toxicology of pyrethroids in mammals. In Mammalian Toxicology of Insecticides; Marrs, T.C., Ed.; RSC Publisher: Cambridge, UK, 2012; pp. 137–183. [Google Scholar] [CrossRef]
- Scollon, E.J.; Starr, J.M.; Godin, S.J.; DeVito, M.J.; Hughes, M.F. Vitro metabolism of pyrethroid pesticides by rat and human hepatic microsomes and cytochrome P450 isoforms. Drug Metab. Dispos. 2009, 37, 221e228. [Google Scholar] [CrossRef]
- Verschoyle, J.R.D.; Barnes, M. Toxicity of natural and synthetic pyrethrins to rats. Pestic. Biochem. Physiol. 1972, 2, 308–311. [Google Scholar] [CrossRef]
- Bulgarella, M.; Knutie, S.A.; Voss, M.A.; Cunninghame, F.; Florence-Bennett, B.J.; Robson, G.; Keyzers, R.A.; Taylor, L.M.; Lester, P.J.; Heimpel, G.E.; et al. Sub-lethal effects of permethrin exposure on a passerine: Implications for managing ectoparasites in wild bird nests. Conserv. Physiol. 2020, 8, coaa076. [Google Scholar] [CrossRef]
- Meléndez, J.; Rexrode, M.; Olinger, C.; Deluzio, J.; Dole, T.; Loyd, M. Registration Eligibility Decision for Pyrethrins; US Environmental Protection Agency: Washington, DC, USA, 2006.
- Mineau, P.; Baril, A.; Collins, B.T.; Duffe, J.; Joerman, G.; Luttik, R. Pesticide acute toxicity reference values for birds. Rev. Environ. Contam. Toxicol. 2001, 170, 13–74. [Google Scholar]
- Song, J.H.; Narahashi, T. Differential effects of the pyrethroid Tetramethrin on tetrodotoxin-sensitive and tetrodotoxin-resistant single sodium channels. Brain Res. 1996, 712, 258–264. [Google Scholar] [CrossRef]
- Conley, E.C.; Brammar, W.J. The Ion Channel Facts Book; Academic Press: San Diego, CA, USA, 1999. [Google Scholar]
- Meijer, M.; Dingemans, M.M.L.; van den Berg, M.; Westerink, R.H.S. Inhibition of voltage-gated calcium channels as common mode of action for (mixture of) distinct classes of insecticides. Toxicol. Sci. 2014, 141, 103–111. [Google Scholar] [CrossRef]
- IPCS (International Programme on Chemical Safety). Permethrin. In Environmental Health Criteria 94; World Health Organization: Geneva, Switzerland, 1990. [Google Scholar]
- He, F.S.; Wang, S.G.; Liu, L.H.; Chen, S.; Zhang, Z.; Sun, J. Clinical manifestations and diagnosis of acute pyrethroid poisoning. Arc. Toxicol. 1989, 63, 54–58. [Google Scholar] [CrossRef] [PubMed]
- Wollen, B.H.; Marsh, J.R.; Laird, W.J.D.; Lesser, J.E. The metabolism of cypermethrin in man differences in urinary metabolite profiles following oral and dermal administration. Xenobiotica 1992, 22, 983–991. [Google Scholar] [CrossRef]
- Anadon, A.; Arés, I.; Martínez, M.A.; Martínez-Larrañaga, M.R. Pyrethrins and synthetic pyrethroids: Use in veterinary medicine. In Natural Products; Ramawat, K.G., Mérillon, J.M., Eds.; Springer: Berlin/Heidelberg, Germany, 2013; pp. 4061–4086. [Google Scholar] [CrossRef]
- Soderlund, D.M.; Clark, J.M.; Sheets, L.P.; Mullin, L.S.; Piccirillo, V.J.; Sargent, D.; Stevens, J.T.; Weiner, M.L. Mechanisms of pyrethroid neurotoxicity: Implications for cumulative risk assessment. Toxicology 2002, 171, 3–59. [Google Scholar] [CrossRef] [PubMed]
- Bradbury, S.P.; Coats, J.R. Comparative Toxicology of the Pyrethroid Insecticides. Rev. Environ. Contam. Toxicol. 1989, 108, 133–177. [Google Scholar] [CrossRef]
- NIH (National Library of Medicine, National Center for Biotechnology Information). ChemIDplus Data Source. Available online: https://pubchem.ncbi.nlm.nih.gov/substance/?source=chemidplus&sourceid=0052645531 (accessed on 29 August 2024).
- NRCC (National Research Council Canada). Pyrethroids: Their Effects on Aquatic and Terrestrial Ecosystems; Publication No. NRCC 24376 of the Environmental Secretariat; National Research Council of Canada, Associate Committee on Scientific Criteria for Environmental Quality, Subcommittee on Pesticides and Industrial Organic Chemicals: Ottawa, ON, Canada, 1986.
- Smith, T.M.; Stratton, G.W. Effects of synthetic pyrethroid insecticides on non-target organisms. Residue Rev. 1986, 97, 93–120. [Google Scholar] [CrossRef]
- Tomlin, C.D.S. The Pesticide Manual: A World Compendium, 14th ed.; British Crop Production Council: Alton, UK, 2006; pp. 813–814. [Google Scholar]
- Hayes, W.J. Pesticides Studied in Man; Williams and Wilkins: Baltimore/London, UK, 1982; p. 672. [Google Scholar]
- Hodgson, E.; Levi, P.E. Interactions of Piperonyl Butoxide with Cytochrome P450. In Piperonyl Butoxide: The Insecticide Synergist; Jones, D.G., Ed.; Academic Press: San Diego, CA, USA, 1998; pp. 41–53. [Google Scholar]
- Breathnach, R. The Safety of Piperonyl Butoxide. In Piperonyl Butoxide: The Insecticide Synergist; Jones, D.G., Ed.; Academic Press: San Diego, CA, USA, 1998; pp. 7–39. [Google Scholar]
- Moretto, A. Piperonyl Butoxide. In Joint FAO/WHO Meeting on Pesticide Evaluations 1995. Pesticide Residues in Food—1995: Part II—Toxicological and Environmental; International Programme on Chemical Safety; World Health Organization: Geneva, Switzerland, 1995; pp. 277–306. [Google Scholar]
- Barnard, D.R.; Xue, R. Laboratory evaluation of mosquito repellents against Aedes albopictus, Culex nigripalpus, and Ochlerotatus triseriatus (Diptera: Culicidae). J. Med. Entomol. 2004, 41, 726–730. [Google Scholar] [CrossRef]
- Papachristos, D.; Karamaniol, K.; Stamopoulos, D.; Menkissoglu-Spirudi, U. The relationship between the chemical composition of three essential oils and their insecticidal activity against Acanthoscelides obtectus (Say). Pest. Manag. Sci. 2004, 60, 514–520. [Google Scholar] [CrossRef]
- Hierro, I.; Valero, A.; Perez, P.; Gonzalez, P.; Cabo, M.M.; Montilla, M.P.; Navarro, M.C. Action of different monoterpenic compounds against Anisakis simplex s.l. L3 larvae. Phytomedicine 2004, 11, 77–82. [Google Scholar] [CrossRef]
- Barros, L.A.; Yamanaka, A.R.; Silva, L.E.; Vanzeler, M.L.A.; Braum, D.T.; Bonaldo, J. In vitro larvicidal activity of geraniol and citronellal against Contracaecum sp (Nematoda: Anisakidae). Brazilian J. Med. Biol. Res. 2009, 42, 918–920. [Google Scholar] [CrossRef]
- Chen, W.; Viljoen, A.M. Geraniol—A review of a commercially important fragrance material. S. Afr. J. Bot. 2010, 76, 643–651. [Google Scholar] [CrossRef]
- Council Regulation. Regulation (EU). No 528/2012 of the European Parliament and of the Council of 22 May 2012 concerning the making available on the market and use of biocidal products. Off. J. Eur. Union 2012, 167, 27.6.2012, L 167/1-123. Available online: http://data.europa.eu/eli/reg/2012/528/oj (accessed on 12 May 2025).
- Roussan, D.A.; Shaheen, I.A.; Khawaldeh, G.Y.; Totanji, W.S.; Al-Rifai, R.H. Simultaneous detection of astrovirus, rotavirus, reovirus and adenovirus type I in broiler chicken flocks. Pol. J. Vet. Sci. 2012, 15, 337–344. [Google Scholar] [CrossRef]
- Raue, R.; Hess, M. Hexon based PCRs combined with restriction enzyme analysis for rapid detection and differentiation of fowl adenoviruses and egg drop syndrome virus. J. Virol. Methods 1998, 73, 211–217. [Google Scholar] [CrossRef]
- Ypelaar, I.; Bassami, M.R.; Wilcox, G.E.; Raidal, S.R. A universal polymerase chain reaction for the detection of psittacine beak and feather disease virus. Vet. Microbiol. 1999, 68, 141–148. [Google Scholar] [CrossRef]
- Gál, J.; Szabó, B.; Csatári, D.; Marosán, M.; Sós, E.; Sós-Koroknai, V.; Hoitsy, M.; Papp, A.; Nógrádi, L.A.; Tóth, T.; et al. Blood parameter examination in mountain quails (Oreortyx pictus Douglas, 1829) at the end of the breeding season. Acta Vet. Hung. 2024, 72, 199–203. [Google Scholar] [CrossRef]
- Malik, J.K.; Aggarwal, M.; Kalpana, S.; Gupta, R.C. Chlorinated Hydrocarbons and Pyrethrins/Pyrethroids. In Reproductive and Developmental Toxicology, 2nd ed.; Gupta, R.C., Ed.; Academic Press: San Diego, CA, USA, 2017; Chapter 36; pp. 633–655. [Google Scholar] [CrossRef]
- Sun, Y.-J.; Liang, Y.-J.; Yang, L.; Long, D.-X.; Wang, H.-P.; Wu, Y.-J. Long-term low-dose exposure of permethrin induces liver and kidney damage in rats. BMC Pharmacol. Toxicol. 2022, 23, 46. [Google Scholar] [CrossRef]
- Yang, H.; Meng, L.; Ai, D.; Hou, N.; Li, H.; Shuai, X.; Peng, X. Acetic acid alleviates the inflammatory response and liver injury in septic mice by increasing the expression of TRIM40. Exp. Ther. Med. 2019, 17, 2789–2798. [Google Scholar] [CrossRef]


| Parameters | Measurement Methods |
|---|---|
| Hematocrit (%) | micro-hematocrit method, 10,000 g, 5 min |
| White blood cells count (×109/L) | smear analysis |
| Thrombocyte count (×109/L) | smear analysis |
| Heterophil granulocyte segmented (%) | smear analysis |
| Albumin (g/L) | Beckman Coulter, OSR6102 |
| Globulin (g/L) | calculated value (TP-Alb) |
| Total protein (g/L) | Beckman Coulter, OSR6132 |
| AST (U/L) | Beckman Coulter, OSR6109 |
| ALT (U/L) | Beckman Coulter, OSR6107 |
| ALKP (U/L) | Dialab, D95560 |
| GGT (U/L) | Dialab, D95604 |
| GLDH (U/L) | Diasys, 124119910021 |
| Bile acid total (µmol/L) | Diasys, 122389910930 |
| Total bilirubin (µmol/L) | Beckman Coulter, OSR6112 |
| α-amylase (U/L) | Beckman Coulter, OSR6182 |
| Lipase (U/L) | Dialab, D01440 |
| Glucose (mmol/L) | Beckman Coulter, OSR6121 |
| Triglyceride (mmol/L) | Beckman Coulter, OSR61118 |
| Total cholesterol (mmol/L) | Beckman Coulter, OSR6116 |
| Uric acid (µmol/L) | Dialab, D95459 |
| Creatinine (µmol/L) | Dialab, D95595 |
| Inorganic phosphate (mmol/L) | Beckman Coulter, OSR6122 |
| Total calcium (mmol/L) | Dialab, D01376 |
| Sodium (mmol/L) | Backman Coulter ISE |
| Potassium (mmol/L) | Backman Coulter ISE |
| Chloride (mmol/L) | Backman Coulter ISE |
| Iron (µmol/L) | Beckman Coulter, OSR6186 |
| Magnesium (mmol/L) | Beckman Coulter, OSR6189 |
| CK (U/L) | Beckman Coulter, OSR6179 |
| LDH (U/L) | Beckman Coulter, OSR6126 |
| Parameter | Measured Value | Reference Value * |
|---|---|---|
| AST (U/L) | 1542 | 432.1 |
| ALT (U/L) | 37 | 238.0 |
| ALKP (U/L) | 1156 | 829.69 |
| GLDH (U/L) | 38.7 | 3.91 |
| total bile acid (µmol/L) | 343.4 | 92.83 |
| total bilirubin (µmol/L) | 5.4 | ND |
| triglyceride (mmol/L) | 0.9 | 1.05 |
| total cholesterol (mmol/L) | 1.9 | 3.57 |
| uric acid (µmol/L) | 1006.8 | 293.82 |
| phosphorous (mmol/L) | 2.96 | ND |
| total calcium (mmol/L) | 1.7 | 2.79 |
| potassium (mmol/L) | 5 | 2.06 |
| sodium (mmol/L) | 162.8 | 156.42 |
| chloride (mmol/L) | 122.6 | 110.8 |
| magnesium (mmol/L) | 1.89 | 1.16 |
| LDH (U/L) | 17,265 | 473.92 |
Disclaimer/Publisher’s Note: The statements, opinions and data contained in all publications are solely those of the individual author(s) and contributor(s) and not of MDPI and/or the editor(s). MDPI and/or the editor(s) disclaim responsibility for any injury to people or property resulting from any ideas, methods, instructions or products referred to in the content. |
© 2025 by the authors. Licensee MDPI, Basel, Switzerland. This article is an open access article distributed under the terms and conditions of the Creative Commons Attribution (CC BY) license (https://creativecommons.org/licenses/by/4.0/).
Share and Cite
Gál, J.; Marosán, M.; Mándoki, M.; Dénes, L.; Süth, M.; Pleva, D.; Lehel, J. Suspected Permethrin-Containing Powder Bath Poisoning in a Flock of Mountain Quail (Oreortyx pictus). Animals 2025, 15, 1428. https://doi.org/10.3390/ani15101428
Gál J, Marosán M, Mándoki M, Dénes L, Süth M, Pleva D, Lehel J. Suspected Permethrin-Containing Powder Bath Poisoning in a Flock of Mountain Quail (Oreortyx pictus). Animals. 2025; 15(10):1428. https://doi.org/10.3390/ani15101428
Chicago/Turabian StyleGál, János, Miklós Marosán, Míra Mándoki, Lilla Dénes, Miklós Süth, Dániel Pleva, and József Lehel. 2025. "Suspected Permethrin-Containing Powder Bath Poisoning in a Flock of Mountain Quail (Oreortyx pictus)" Animals 15, no. 10: 1428. https://doi.org/10.3390/ani15101428
APA StyleGál, J., Marosán, M., Mándoki, M., Dénes, L., Süth, M., Pleva, D., & Lehel, J. (2025). Suspected Permethrin-Containing Powder Bath Poisoning in a Flock of Mountain Quail (Oreortyx pictus). Animals, 15(10), 1428. https://doi.org/10.3390/ani15101428

