Transcriptomic Analysis of Skin Tissue Reveals Molecular Mechanisms of Thermal Adaptation in Cold-Exposed Lambs
Simple Summary
Abstract
1. Introduction
2. Materials and Methods
2.1. Location, Animals, and Their Management
2.2. Experimental Design and Treatments
2.3. Sample Collection and Physiological Response Variables
2.4. Wool and Skin Response Variables
2.5. Transcriptome Sequencing and Differentially Expressed Gene Analyses
2.6. Functional Enrichment and Co-Expression Module Analysis
2.7. Validation with Reverse Transcription-Quantitative PCR (RT-qPCR)
2.8. Statistical Analyses
3. Results
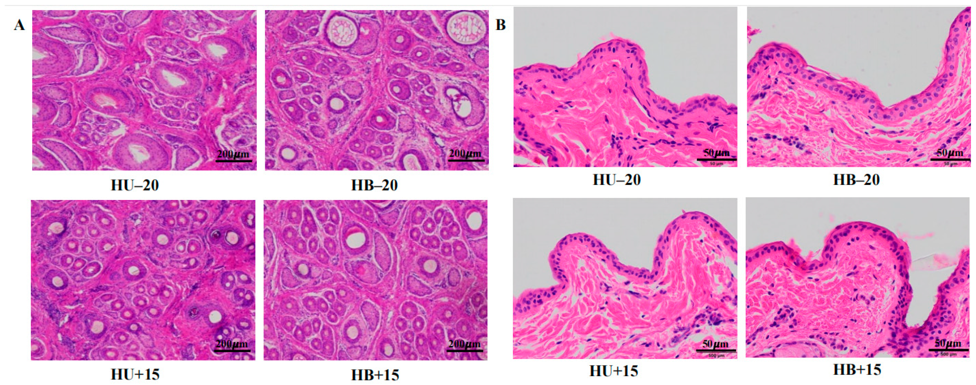
3.1. Changes in Physiological Traits, Wool, and Skin Characteristics
3.2. Quality Assessment of RNA-Seq Data and Genome Alignment
3.3. Gene Expression Level and Cluster Analysis
3.3.1. Temperature Contrasts Across Breeds and Breed Contrasts Across Temperatures
3.3.2. Temperature Contrast Within Breed
3.3.3. Breed Contrast Within the Same Temperature
3.4. GO Analysis of the DEGs
3.5. KEGG Analysis of DEGs
3.5.1. Temperature Contrast Between Breeds
3.5.2. Temperature Contrast Within the Same Breed
3.5.3. Breed Contrasts at the Same Temperature
3.6. Co-Expression Network Construction and Analysis
3.7. Validation of RNA-Seq Data by RT-qPCR
4. Discussion
4.1. The Impact of Temperature on Physiological Traits, Wool and Skin Characteristics of the Lambs
4.2. Changes in the Immune and Endocrine System, Development and Regeneration, and Signal Transduction in Sheep in Colder Environments
4.3. Special Adaptations of Signal Transduction, Membrane Transport, Excretory and Endocrine System, and Metabolism in Hulunbuir Sheep at −20 °C
5. Conclusions
Supplementary Materials
Author Contributions
Funding
Institutional Review Board Statement
Informed Consent Statement
Data Availability Statement
Acknowledgments
Conflicts of Interest
Abbreviations
| ABCA2 | ATP binding cassette subfamily A member 2 |
| APOLD1 | Apolipoprotein L domain containing 1 |
| ATF3 | Activating transcription factor 3 |
| CACNA1E | Calcium voltage-gated channel subunit alpha1 E |
| CREB3L4 | cAMP responsive element binding protein 3 like 4 |
| DUSP1 | Dual specificity phosphatase 1 |
| EGR1 | Early growth response 1 |
| FAM71A | Family with sequence similarity 71, member A |
| FCGR2B | Fc gamma receptor IIb |
| FOS | Fos proto-oncogene |
| FOSB | FosB proto-oncogene |
| GNLY | Granulysin |
| IL1A | Interleukin 1 alpha |
| JUN | Jun proto-oncogene |
| JUNB | JunB proto-oncogene |
| KLF2 | KLF transcription factor 2 |
| LIF | LIF interleukin 6 family cytokine |
| LIPE | Lipase E, hormone-sensitive type |
| MSRA | Methionine sulfoxide reductase A |
| MYLK3 | Myosin light chain kinase 3 |
| NDST3 | N-deacetylase and N-sulfotransferase 3 |
| NOS3 | Nitric oxide synthase 3 |
| NOX1 | NADPH oxidase 1 |
| NR4A1 | Nuclear receptor subfamily 4 group A member 1 |
| OGT | O-linked N-acetylglucosamine (GlcNAc) transferase |
| PTGS2 | Prostaglandin-endoperoxide synthase 2 |
| RYR3 | Ryanodine receptor 3 |
| SERPINE1 | Serpin family E member 1 |
| SOCS3 | Suppressor of cytokine signaling 3 |
| TNFAIP3 | TNF alpha induced protein 3 |
| TSPAN13 | Tetraspanin 13 |
References
- Slee, J.; Alexander, G.; Bradley, L.R.; Jackson, N.; Stevens, D. Genetic aspects of cold resistance and related characters in newborn Merino lambs. Aust. J. Exp. Agric. 1991, 31, 175–182. [Google Scholar] [CrossRef]
- Librado, P.; Der Sarkissian, C.; Ermini, L.; Schubert, M.; Jónsson, H.; Albrechtsen, A.; Fumagalli, M.; Yang, M.A.; Gamba, C.; Seguin-Orlando, A.; et al. Tracking the origins of Yakutian horses and the genetic basis for their fast adaptation to subarctic environments. Proc. Natl. Acad. Sci. USA 2015, 112, E6889–E6897. [Google Scholar] [CrossRef] [PubMed]
- Liu, S.; Lorenzen, E.D.; Fumagalli, M.; Li, B.; Harris, K.; Xiong, Z.; Zhou, L.; Korneliussen, T.S.; Somel, M.; Babbitt, C.; et al. Population genomics reveal recent speciation and rapid evolutionary adaptation in polar bears. Cell 2014, 157, 785–794. [Google Scholar] [CrossRef] [PubMed]
- Alexander, G. Quantitative development of adipose tissue in foetal sheep. Aust. J. Biol. Sci. 1978, 31, 489–503. [Google Scholar] [CrossRef] [PubMed]
- Mota-Rojas, D.; Titto, C.G.; de Mira Geraldo, A.; Martínez-Burnes, J.; Gómez, J.; Hernández-Ávalos, I.; Casas, A.; Domínguez, A.; José, N.; Bertoni, A.; et al. Efficacy and function of feathers, hair, and glabrous skin in the thermoregulation strategies of domestic animals. Animals 2021, 11, 3472. [Google Scholar] [CrossRef]
- Kearton, T.R.; Doughty, A.K.; Morton, C.L.; Hinch, G.N.; Godwin, I.R.; Cowley, F.C. Core and peripheral site measurement of body temperature in short wool sheep. J. Therm. Biol. 2020, 90, 102606. [Google Scholar] [CrossRef]
- Young, B.A. Ruminant cold stress: Effect on production. J. Anim. Sci. 1983, 57, 1601–1607. [Google Scholar] [CrossRef]
- Slee, J. Sheep. In Bioclimatology and the Adaptation of Livestock; Johnson, H.D., Ed.; Elsevier: Amsterdam, The Netherlands; Oxford, UK; New York, NY, USA, 1987; pp. 229–244. [Google Scholar]
- Ruckebusch, P.D. Body temperature regulation. In Physiology of Small and Large Animals; B. C. Decker Inc.: Philadelphia, PA, USA; Hamilton, ON, Canada, 1986; pp. 399–406. [Google Scholar]
- Ames, D.R.; Brink, D.R. Effect of temperature on lamb performance and protein efficiency ratio. J. Anim. Sci. 1977, 44, 136–140. [Google Scholar] [CrossRef]
- Bertipaglia, E.C.A.; da Silva, R.G.; Cardoso, V.; Fries, L.A. Hair coat characteristics and sweating rate of Braford cows in Brazil. Livest. Sci. 2007, 112, 99–108. [Google Scholar] [CrossRef]
- McManus, C.; Louvandini, H.; Gugel, R.; Sasaki, L.C.; Bianchini, E.; Bernal, F.E.; Paiva, S.R.; Paim, T.P. Skin and coat traits in sheep in Brazil and their relation with heat tolerance. Trop. Anim. Health Prod. 2011, 43, 121–126. [Google Scholar] [CrossRef]
- Bao, P.; Luo, J.; Liu, Y.; Chu, M.; Ren, Q.; Guo, X.; Tang, B.; Ding, X.; Qiu, Q.; Pan, H.; et al. The seasonal development dynamics of the yak hair cycle transcriptome. BMC Genom. 2020, 21, 355. [Google Scholar] [CrossRef] [PubMed]
- Cai, Y.; Fu, W.; Cai, D.; Heller, R.; Zheng, Z.; Wen, J.; Li, H.; Wang, X.; Alshawi, A.; Sun, Z.; et al. Ancient genomes reveal the evolutionary history and origin of cashmere-producing goats in China. Mol. Biol. Evol. 2020, 37, 2099–2109. [Google Scholar] [CrossRef] [PubMed]
- Zheng, J.; Du, M.; Zhang, J.; Liang, Z.; Ahmad, A.A.; Shen, J.; Salekdeh, G.H.; Ding, X. Transcriptomic and metabolomic analyses reveal inhibition of hepatic adipogenesis and fat catabolism in yak for adaptation to forage shortage during cold season. Front. Cell. Dev. Biol. 2022, 9, 759521. [Google Scholar] [CrossRef]
- Yu, S.; Chen, A.; Yang, Z. Observation and study on the histological structure of the skin of Qinghai Tibetan sheep. Qinghai J. Anim. Vet. Sci. 1986, 3, 3–7. (In Chinese) [Google Scholar]
- Ren, X.; Gao, Y. Characteristics and feeding management measures of Hulunbuir sheep. Anim. Husb. Feed Sci. 2012, 33, 122–123. (In Chinese) [Google Scholar]
- Sun, M.; Chen, M.; Li, S.; Dai, C.; Chen, Y. Study on structure and properties of Hu sheep wool. J. Nat. Fibers. 2023, 20, 2160405. [Google Scholar] [CrossRef]
- MacArthur Clark, J.A.; Sun, D. Guidelines for the ethical review of laboratory animal welfare People’s Republic of China National Standard GB/T 35892-2018 [Issued 6 February 2018 Effective from 1 September 2018]. Anim. Model. Exp. Med. 2020, 3, 103–113. [Google Scholar] [CrossRef]
- Ji, K. Effects of chronic cold stress on two dietary energy restricted sheep breeds. Ph.D. Thesis, University of Chinese Academy of Sciences, Beijing, China, 2023. [Google Scholar]
- Salehian, Z.; Naderi, N.; Souri, M.; Mirmahmoudi, R.; Hozhabri, F. Seasonal variation of fibre follicle activity and wool growth in fat-tailed Sanjabi sheep in west Iran. Trop. Anim. Health Prod. 2015, 47, 567–573. [Google Scholar] [CrossRef] [PubMed]
- Chishti, A.A.; Khan, H.M.; Pattoo, R.A.; Sofi, A.H. Effect of housing and nutritional interventions during winter on wool attributes of Corriedale sheep. Trop. Anim. Health Prod. 2021, 53, 348. [Google Scholar] [CrossRef]
- Pu, D.; Meng, B.; Zhu, J. Preparation and performances of leather fibers. Wool Textile J. 2021, 49, 11–15. (In Chinese) [Google Scholar]
- Zhao, B.; Luo, H.; He, J.; Huang, X.; Chen, S.; Fu, X.; Zeng, W.; Tian, Y.; Liu, S.; Li, C.J.; et al. Comprehensive transcriptome and methylome analysis delineates the biological basis of hair follicle development and wool-related traits in Merino sheep. BMC Biol. 2021, 19, 197. [Google Scholar] [CrossRef]
- Jiao, D.; Ji, K.; Liu, H.; Wang, W.; Wu, X.; Zhou, J.; Zhang, Y.; Zhou, H.; Hickford, J.G.H.; Degen, A.A.; et al. Transcriptome analysis reveals genes involved in thermogenesis in two cold-exposed sheep breeds. Genes 2021, 12, 375. [Google Scholar] [CrossRef]
- Fernandes, A.C.; Reverter, A.; Keogh, K.; Alexandre, P.A.; Afonso, J.; Palhares, J.C.P.; Cardoso, T.F.; Malheiros, J.M.; Bruscadin, J.J.; de Oliveira, P.S.N.; et al. Transcriptional response to an alternative diet on liver, muscle, and rumen of beef cattle. Sci. Rep. 2024, 14, 13682. [Google Scholar] [CrossRef] [PubMed]
- Benjamini, Y.; Hochberg, Y. Controlling the false discovery rate: A practical and powerful approach to multiple testing. J. R. Stat. Soc. Ser. B-Stat. Methodol. 1995, 57, 289–300. [Google Scholar] [CrossRef]
- Livak, K.J.; Schmittgen, T.D. Analysis of relative gene expression data using real-time quantitative PCR and the 2(-Delta Delta C(T)) method. Methods 2001, 25, 402–408. [Google Scholar] [CrossRef]
- Slee, J.; Stott, A.W. Genetic selection for cold resistance in Scottish Blackface lambs. Anim. Sci. 1986, 43, 397–404. [Google Scholar] [CrossRef]
- Sha, Z.; Liu, R.; Lv, X.; Mu, H.; Hu, S. The physical characteristics of the “Barhu” strain of Hulunbuir sheep. Chin. Livest. Poult. Breed. 2013, 9, 73–74. (In Chinese) [Google Scholar]
- Li, Q. Study on Adaptability, Growth Performance and Meat Quality of Dupo and Suffolk Sheep. Master’s Thesis, Inner Mongolia Agricultural University, Hohhot, China, 2019. [Google Scholar]
- Bai, D. Effect of Different Seasons on Blood Biochemical Indexes and Related Gene Expression of Cold and Heat Stress in Sanhe cattle. Master’s Thesis, Inner Mongolia Agricultural University, Hohhot, China, 2017. [Google Scholar]
- Zhou, J.; Ji, K.; Liu, H.; Zhang, Y.; Degen, A.A.; Jiao, D.; Wang, W.; Xie, Z.; Wang, X.; Zhou, P.; et al. Effect of air temperature on growth performance, apparent digestibilities, rumen fermentation and serum metabolites in Altay and Hu lambs. J. Anim. Physiol. Anim. Nutr. 2020, 104, 1024–1033. [Google Scholar] [CrossRef]
- Zenz, R.; Scheuch, H.; Martin, P.; Frank, C.; Eferl, R.; Kenner, L.; Sibilia, M.; Wagner, E.F. c-Jun regulates eyelid closure and skin tumor development through EGFR signaling. Dev. Cell 2003, 4, 879–889. [Google Scholar] [CrossRef]
- Mehic, D.; Bakiri, L.; Ghannadan, M.; Wagner, E.F.; Tschachler, E. Fos and jun proteins are specifically expressed during differentiation of human keratinocytes. J. Investig. Dermatol. 2005, 124, 212–220. [Google Scholar] [CrossRef]
- Li, Y.C.; He, D.Q.; Ma, Y.H.; Ma, Q.; Ding, W.; Chen, Y.H.; Zhang, M.; Luo, F.; Chen, L.Y.; Wang, J.K.; et al. Skin transcriptome analysis identifies the key genes underlying fur development in Chinese Tan sheep in the birth and Er-mao periods. Gene 2022, 820, 146257. [Google Scholar] [CrossRef] [PubMed]
- Kagawa, S.; Matsuo, A.; Yagi, Y.; Ikematsu, K.; Tsuda, R.; Nakasono, I. The time-course analysis of gene expression during wound healing in mouse skin. Leg. Med. (Tokyo) 2009, 11, 70–75. [Google Scholar] [CrossRef]
- Chao, L.C.; Bensinger, S.J.; Villanueva, C.J.; Wroblewski, K.; Tontonoz, P. Inhibition of adipocyte differentiation by Nur77, Nurr1, and Nor1. Mol. Endocrinol. 2008, 22, 2596–2608. [Google Scholar] [CrossRef] [PubMed]
- Amoasii, L.; Sanchez-Ortiz, E.; Fujikawa, T.; Elmquist, J.K.; Bassel-Duby, R.; Olson, E.N. NURR1 activation in skeletal muscle controls systemic energy homeostasis. Proc. Natl. Acad. Sci. USA 2019, 116, 11299–11308. [Google Scholar] [CrossRef] [PubMed]
- Kanzleiter, T.; Schneider, T.; Walter, I.; Bolze, F.; Eickhorst, C.; Heldmaier, G.; Klaus, S.; Klingenspor, M. Evidence for Nr4a1 as a cold-induced effector of brown fat thermogenesis. Physiol. Genom. 2006, 24, 37–44. [Google Scholar] [CrossRef]
- Wu, M.; Melichian, D.S.; de la Garza, M.; Gruner, K.; Bhattacharyya, S.; Barr, L.; Nair, A.; Shahrara, S.; Sporn, P.H.; Mustoe, T.A.; et al. Essential roles for early growth response transcription factor Egr-1 in tissue fibrosis and wound healing. Am. J. Pathol. 2009, 175, 1041–1055. [Google Scholar] [CrossRef]
- Xu, Y.; Wang, S.; Cao, X.; Yuan, Z.; Getachew, T.; Mwacharo, J.M.; Haile, A.; Lv, X.; Sun, W. The effect of EGR1 on the proliferation of dermal papilla cells. Genes 2022, 13, 1242. [Google Scholar] [CrossRef]
- Zhao, J.; Liu, N.; Liu, K.; He, J.; Yu, J.; Bu, R.; Cheng, M.; De, W.; Liu, J.; Li, H. Identification of genes and proteins associated with anagen wool growth. Anim. Genet. 2017, 48, 67–79. [Google Scholar] [CrossRef]
- Qu, J.; Wu, X.; Wang, Q.; Wang, J.; Sun, X.; Ji, D.; Li, Y. Effect of miR-101 on the proliferation and apoptosis of goat hair follicle stem cells. Genes 2022, 13, 1035. [Google Scholar] [CrossRef]
- Qiang, W.; Guo, H.; Li, Y.; Shi, J.; Yin, X.; Qu, J. Methylation analysis of CMTM3 and DUSP1 gene promoters in high-quality brush hair in the Yangtze River delta white goat. Gene 2018, 668, 166–173. [Google Scholar] [CrossRef]
- Fedorova, E.S.; Dementieva, N.V.; Shcherbakov, Y.S.; Stanishevskaya, O.I. Identification of key candidate genes in runs of homozygosity of the genome of two chicken breeds, associated with cold adaptation. Biology 2022, 11, 547. [Google Scholar] [CrossRef] [PubMed]
- Liu, N.; Li, H.; Liu, K.; Yu, J.; Bu, R.; Cheng, M.; De, W.; Liu, J.; He, G.; Zhao, J. Identification of skin-expressed genes possibly associated with wool growth regulation of Aohan fine wool sheep. BMC Genet. 2014, 15, 144. [Google Scholar] [CrossRef] [PubMed]
- Singh, K.; Camera, E.; Krug, L.; Basu, A.; Pandey, R.K.; Munir, S.; Wlaschek, M.; Kochanek, S.; Schorpp-Kistner, M.; Picardo, M.; et al. JunB defines functional and structural integrity of the epidermo-pilosebaceous unit in the skin. Nat. Commun. 2018, 9, 3425. [Google Scholar] [CrossRef] [PubMed]
- Yamamoto, K.; Takeshita, K.; Shimokawa, T.; Yi, H.; Isobe, K.; Loskutoff, D.J.; Saito, H. Plasminogen activator inhibitor-1 is a major stress-regulated gene: Implications for stress-induced thrombosis in aged individuals. Proc. Natl. Acad. Sci. USA 2002, 99, 890–895. [Google Scholar] [CrossRef]
- Simone, T.M.; Higgins, P.J. Inhibition of SERPINE1 function attenuates wound closure in response to tissue injury: A role for PAI-1 in re-epithelialization and granulation tissue formation. J. Dev. Biol. 2015, 3, 11–24. [Google Scholar] [CrossRef]
- Ahlawat, S.; Arora, R.; Sharma, R.; Sharma, U.; Kaur, M.; Kumar, A.; Singh, K.V.; Singh, M.K.; Vijh, R.K. Skin transcriptome profiling of Changthangi goats highlights the relevance of genes involved in Pashmina production. Sci. Rep. 2020, 10, 6050. [Google Scholar] [CrossRef]







| Ingredient | Nutrient 2 | ||
|---|---|---|---|
| Alfalfa hay (%) | 25.35 | DM (%) | 96.26 |
| Rice husk (%) | 4.65 | ME (MJ/kg) | 10.28 |
| Corn (%) | 31.70 | Crude protein (%) | 14.01 |
| Cottonseed meal (%) | 2.30 | Ca (%) | 0.54 |
| Soybean meal (%) | 12.50 | P (%) | 0.26 |
| Corn starch (%) | 18.50 | ||
| Bypass fat powder (%) | 3.50 | ||
| Limestone (%) | 0.30 | ||
| NaCl (%) | 0.70 | ||
| Premix 1 | 0.50 | ||
| Rate of concentrate to roughage | 70:30 |
| Gene Name | Primer Sequence (5′-3′) | Product Size (bp) | Tm (°C) |
|---|---|---|---|
| ACTB | GGTCATCACCATCGGCAAT | 113 | 60 |
| CGTAGAGGTCTTTGCGGATG | |||
| FOS | TACAATGGCTAGTGCAGCCC | 163 | 60 |
| TTGGTCTGTCTCCGCTTGGA | |||
| JUN | GCTTCCAAGTGCCGGAAAAG | 184 | 60 |
| GCTGCGTTAGCATGAGTTGG | |||
| PTGS2 | TAACACGCTCTACCACTGGC | 176 | 60 |
| GATTCCTACGACCAGCGACC | |||
| SERPINE1 | AAGAGCACCGTCCAGAGAGA | 130 | 60 |
| ACATCTGCATCCTGAATTTCTCAA |
| Characteristic | 15 °C | −20 °C | Hu | Hulunbuir | SEM | p-Value | ||
|---|---|---|---|---|---|---|---|---|
| Temperature | Breed | Interaction | ||||||
| WGL (cm) | 1.1 ± 0.04 | 1.7 ± 0.10 | 1.3 ± 0.09 | 1.4 ± 0.15 | 0.09 | <0.001 | 0.243 | 0.046 |
| FWMFD (µm) | 20.5 ± 0.58 | 21.1 ± 0.42 | 21.7 ± 0.40 | 19.8 ± 0.41 | 0.35 | 0.344 | 0.004 | 0.262 |
| WY (g) | 0.3 ± 0.02 | 0.3 ± 0.03 | 0.3 ± 0.02 | 0.3 ± 0.03 | 0.02 | 0.140 | 0.037 | 0.139 |
| HFD (/mm2) | 38.7 ± 2.39 | 33.0 ± 1.45 | 33.5 ± 1.74 | 38.1 ± 2.31 | 1.51 | 0.044 | 0.094 | 0.208 |
| ET (µm) | 15.2 ± 0.65 | 18.7 ± 0.79 | 16.5 ± 0.60 | 17.3 ± 1.15 | 0.64 | 0.002 | 0.431 | 0.050 |
| ADG (g/d) | 105.5 ± 17.03 | 59.6 ± 10.44 | 75.2 ± 17.44 | 89.8 ± 14.14 | 11.05 | 0.037 | 0.480 | 0.286 |
| RT (°C) | 38.8 ± 0.04 | 38.1 ± 0.09 | 38.4 ± 0.14 | 38.4 ± 0.12 | 0.09 | <0.001 | 0.923 | 0.923 |
| RR (breaths/min) | 22.4 ± 1.42 | 16.0 ± 0.84 | 18.7 ± 1.36 | 19.7 ± 1.75 | 1.09 | 0.001 | 0.526 | 0.213 |
| Characteristic | −20 °C | 15 °C | p-Value | |||||
|---|---|---|---|---|---|---|---|---|
| HU−20 | HB−20 | HU+15 | HB+15 | HU+15 vs. HU−20 | HB+15 vs. HB−20 | HU−20 vs. HB−20 | HU+15 vs. HB+15 | |
| WGL (cm) | 1.5 ± 0.12 | 1.8 ± 0.13 | 1.1 ± 0.08 | 1.0 ± 0.46 | 0.028 | <0.001 | 0.096 | 0.310 |
| FWMFD (µm) | 21.7 ± 0.69 | 20.4 ± 0.35 | 21.8 ± 0.48 | 19.2 ± 0.67 | 0.903 | 0.147 | 0.144 | 0.014 |
| WY (g) | 0.3 ± 0.15 | 0.4 ± 0.03 | 0.3 ± 0.03 | 0.3 ± 0.03 | 0.999 | 0.074 | 0.025 | 0.630 |
| HFD (/mm2) | 32.4 ± 2.20 | 33.6 ± 2.11 | 34.7 ± 2.87 | 42.7 ± 3.06 | 0.549 | 0.041 | 0.702 | 0.092 |
| ET (µm) | 17.3 ± 0.64 | 20.0 ± 1.20 | 15.8 ± 0.97 | 14.6 ± 0.87 | 0.240 | 0.006 | 0.076 | 0.370 |
| ADG (g/d) | 41.2 ± 7.16 | 77.9 ± 16.44 | 109.3 ± 27.16 | 101.6 ± 23.66 | 0.042 | 0.435 | 0.074 | 0.837 |
| HCW (kg) | 19.5 ± 0.47 | 19.8 ± 0.72 | 21.1 ± 0.39 | 20.2 ± 0.62 | 0.030 | 0.732 | 0.736 | 0.221 |
| RT (°C) | 38.1 ± 0.16 | 38.1 ± 0.10 | 38.8 ± 0.07 | 38.8 ± 0.04 | 0.004 | <0.001 | 0.918 | 1.000 |
| RR (breaths/min) | 16.5 ± 1.37 | 15.5 ± 1.08 | 20.8 ± 2.05 | 24.0 ± 1.89 | 0.122 | 0.004 | 0.559 | 0.284 |
Disclaimer/Publisher’s Note: The statements, opinions and data contained in all publications are solely those of the individual author(s) and contributor(s) and not of MDPI and/or the editor(s). MDPI and/or the editor(s) disclaim responsibility for any injury to people or property resulting from any ideas, methods, instructions or products referred to in the content. |
© 2025 by the authors. Licensee MDPI, Basel, Switzerland. This article is an open access article distributed under the terms and conditions of the Creative Commons Attribution (CC BY) license (https://creativecommons.org/licenses/by/4.0/).
Share and Cite
Feng, M.; Ji, K.; Li, Y.; Alexandre, P.A.; Jiao, D.; Liang, Y.; Du, X.; Cheng, X.; Zhou, H.; Hickford, J.G.H.; et al. Transcriptomic Analysis of Skin Tissue Reveals Molecular Mechanisms of Thermal Adaptation in Cold-Exposed Lambs. Animals 2025, 15, 1405. https://doi.org/10.3390/ani15101405
Feng M, Ji K, Li Y, Alexandre PA, Jiao D, Liang Y, Du X, Cheng X, Zhou H, Hickford JGH, et al. Transcriptomic Analysis of Skin Tissue Reveals Molecular Mechanisms of Thermal Adaptation in Cold-Exposed Lambs. Animals. 2025; 15(10):1405. https://doi.org/10.3390/ani15101405
Chicago/Turabian StyleFeng, Mengyu, Kaixi Ji, Yutao Li, Pâmela Almeida Alexandre, Dan Jiao, Yanping Liang, Xia Du, Xindong Cheng, Huitong Zhou, Jon G. H. Hickford, and et al. 2025. "Transcriptomic Analysis of Skin Tissue Reveals Molecular Mechanisms of Thermal Adaptation in Cold-Exposed Lambs" Animals 15, no. 10: 1405. https://doi.org/10.3390/ani15101405
APA StyleFeng, M., Ji, K., Li, Y., Alexandre, P. A., Jiao, D., Liang, Y., Du, X., Cheng, X., Zhou, H., Hickford, J. G. H., & Yang, G. (2025). Transcriptomic Analysis of Skin Tissue Reveals Molecular Mechanisms of Thermal Adaptation in Cold-Exposed Lambs. Animals, 15(10), 1405. https://doi.org/10.3390/ani15101405

