The Detection of Thoracolumbar Spine Injuries in Horses with Chronic Laminitis Using a Novel Clinical-Assessment Protocol and Ultrasonographic Examination
Abstract
Simple Summary
Abstract
1. Introduction
2. Materials and Methods
2.1. Animals and Experimental Design
2.2. Physical Examination of the Thoracolumbar Spine
2.3. MACCTORE
2.3.1. Inspection
2.3.2. Palpation
2.3.3. Mobility Tests
Dorsiflexion and Ventral Flexion
Lateral Flexion and Rotation
2.4. Facial Pain Score from Horse Grimace Scale
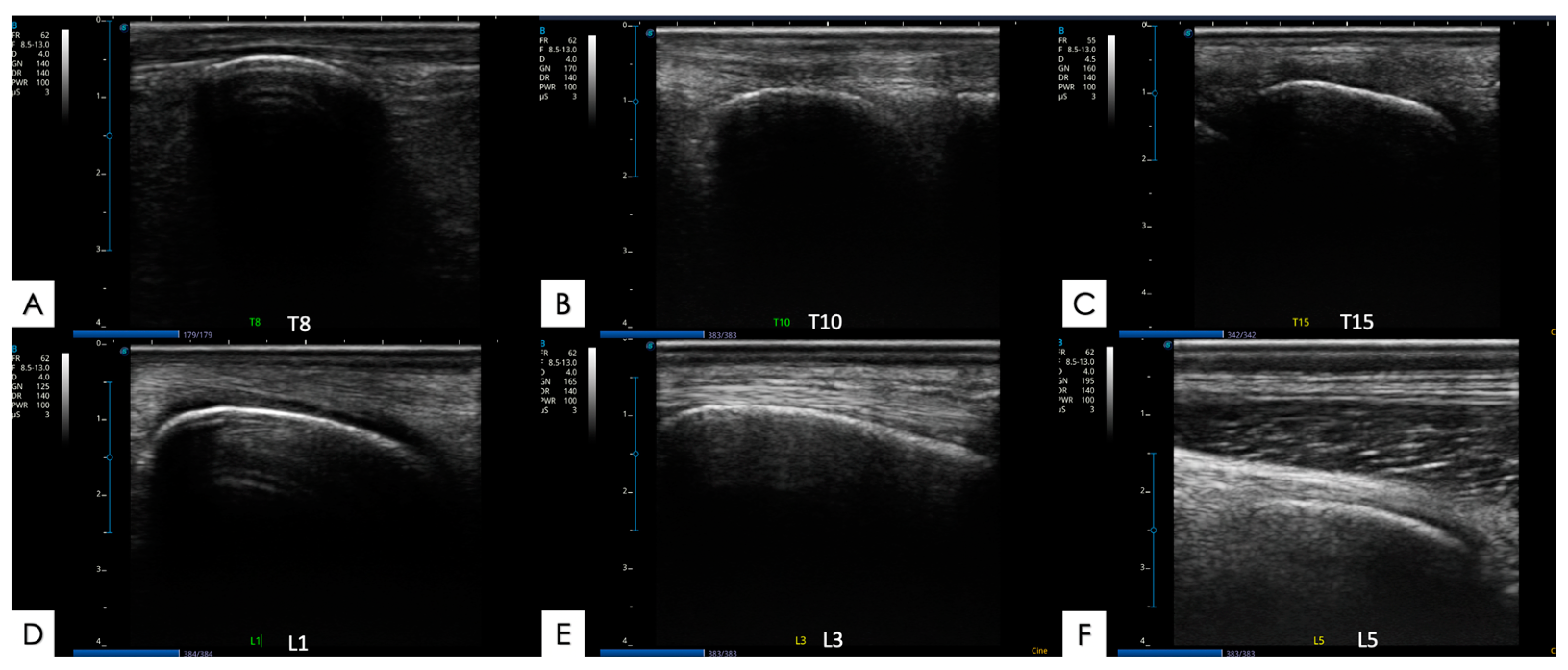
2.5. Ultrasonography Examination of the Thoracolumbar Spine
2.5.1. Articular Processes and Epaxial Muscle
2.5.2. Spinous Processes and Supraspinous Ligament
2.6. Statistical Analysis of Data
3. Results
3.1. Clinical and US Assessment
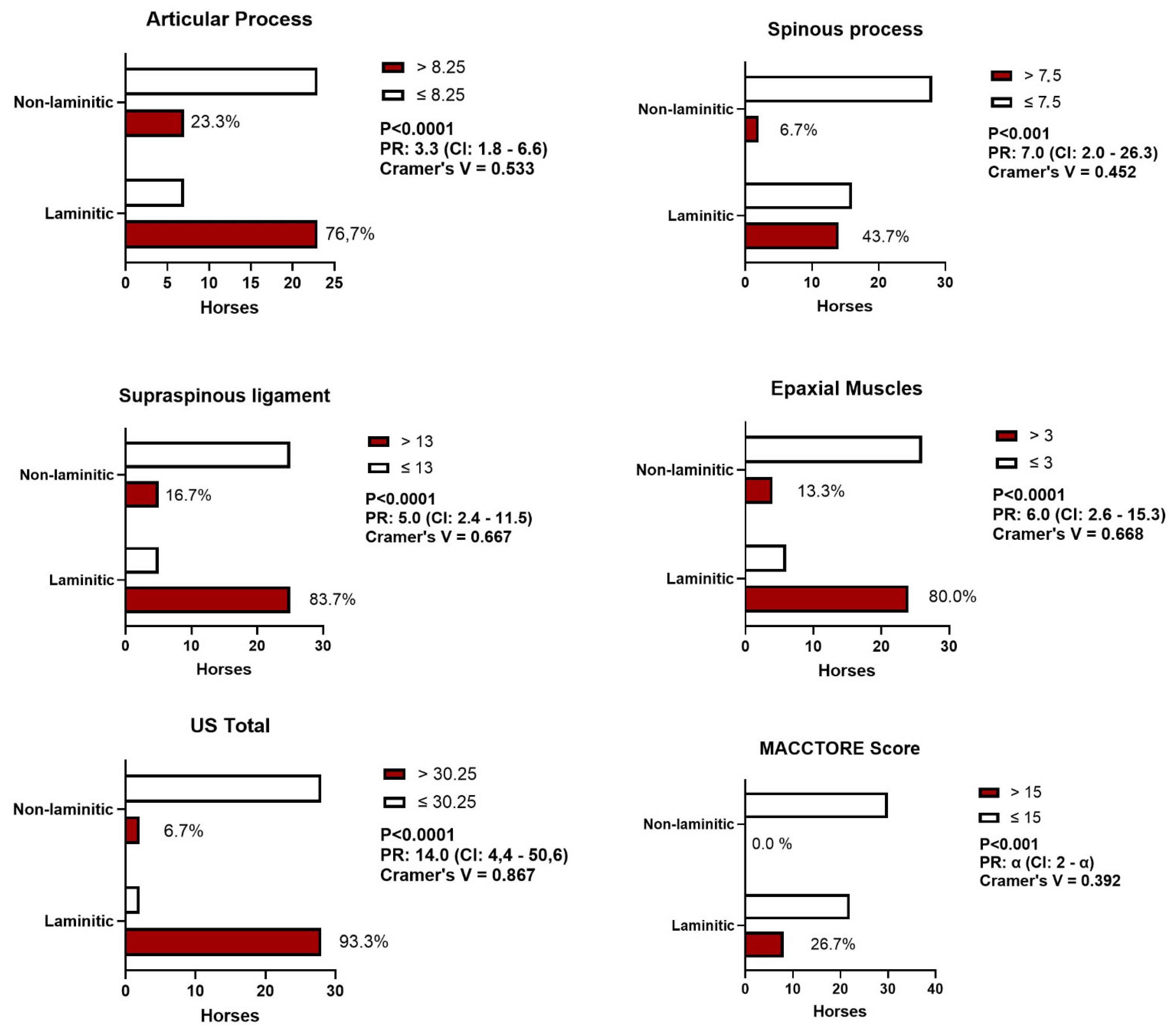
3.2. Relative Prevalence of Ultrasound Changes in the Equine Thoracolumbar Spine
3.3. Prevalence of Horses Affected by Severe Clinical and Ultrasound Injuries
4. Discussion
5. Conclusions
Author Contributions
Funding
Institutional Review Board Statement
Data Availability Statement
Acknowledgments
Conflicts of Interest
Appendix A
| Assessor | ||||||||||||||||||||||
| Animal | ||||||||||||||||||||||
| Group | ||||||||||||||||||||||
| Articular Process | LEGEND | TOTAL | ||||||||||||||||||||
| LEFT | T17 | T18 | L1 | L2 | L3 | L4 | L5 | L6 | RIGHT | T17 | T18 | L1 | L2 | L3 | L4 | L5 | L6 | |||||
| Normal | Normal (0) | |||||||||||||||||||||
| Mild | Mild (1) | |||||||||||||||||||||
| Moderate | Moderate (2) | |||||||||||||||||||||
| Severe | Severe (3) | |||||||||||||||||||||
| Total AP | ||||||||||||||||||||||
| Epaxial Muscle | ||||||||||||||||||||||
| LEFT | T17 | T18 | L1 | L2 | L3 | L4 | L5 | L6 | RIGHT | T17 | T18 | L1 | L2 | L3 | L4 | L5 | L6 | |||||
| Normal | Normal (0) | |||||||||||||||||||||
| Hypoerechoic | Hypoechoic (1) | |||||||||||||||||||||
| Anechoic | Anechoic (2) | |||||||||||||||||||||
| Hyperechoic | Hyperechoic (3) | |||||||||||||||||||||
| Heterogeneous | Heterogenous (4) | |||||||||||||||||||||
| Normal | Normal (0) | |||||||||||||||||||||
| Hyotrophic | Hypotrophy (1) | |||||||||||||||||||||
| Hypertrophic | Hypertrophy (2) | |||||||||||||||||||||
| Total EM | ||||||||||||||||||||||
| Spinous Process | ||||||||||||||||||||||
| T5 | T6 | T7 | T8 | T9 | T10 | T11 | T12 | T13 | T14 | T15 | T16 | T17 | T18 | L1 | L2 | L3 | L4 | L5 | L6 | |||
| Normal | Normal (0) | |||||||||||||||||||||
| Mild | Mild (1) | |||||||||||||||||||||
| Moderate | Moderate (2) | |||||||||||||||||||||
| Severe | Severe (3) | |||||||||||||||||||||
| Total SP | ||||||||||||||||||||||
| Supraspinous Ligament | ||||||||||||||||||||||
| T5 | T6 | T7 | T8 | T9 | T10 | T11 | T12 | T13 | T14 | T15 | T16 | T17 | T18 | L1 | L2 | L3 | L4 | L5 | L6 | |||
| Normal | Normal (0) | |||||||||||||||||||||
| Hypoechoic | Hypoechoic (1) | |||||||||||||||||||||
| Anechoic | Anechoic (2) | |||||||||||||||||||||
| Hyperechoic | Hyperechoic (3) | |||||||||||||||||||||
| Heterogeneous | Heterogeneous (4) | |||||||||||||||||||||
| Total SSL | ||||||||||||||||||||||
| OVERALL TOTAL | ||||||||||||||||||||||
| ACTIVITY | No. OF ANIMALS | BREED | No. OF ANIMALS | ||
|---|---|---|---|---|---|
| Rescue animal | 0 non-laminitic | 2 laminitic | Appaloosa | 0 non-laminitic | 1 laminitic |
| Cutting | 0 non-laminitic | 1 laminitic | Arabian | 0 non-laminitic | 4 laminitic |
| Only domesticated | 0 non-laminitic | 2 laminitic | Brazilian equestrian | 0 non-laminitic | 2 laminitic |
| Show horse | 0 non-laminitic | 1 laminitic | Crioulo | 0 non-laminitic | 1 laminitic |
| Carriage horse | 0 non-laminitic | 1 laminitic | Gypsy Vanner | 0 non-laminitic | 1 laminitic |
| Sprint racing | 0 non-laminitic | 1 laminitic | Mangalarga Marchador | 0 non-laminitic | 1 laminitic |
| Ex-athlete without activity identification | 2 non-laminitic | 3 laminitic | Mangalarga Paulista | 0 non-laminitic | 4 laminitic |
| Pleasure riding | 0 non-laminitic | 1 laminitic | Mixed breed | 1 non-laminitic | 0 laminitic |
| Grazing | 1 non-laminitic | 2 laminitic | Pure Argentine blood | 0 non-laminitic | 1 laminitic |
| Track (gait) | 1 non-laminitic | 2 laminitic | Quarter horse | 29 non-laminitic | 10 laminitic |
| Polo | 0 non-laminitic | 1 laminitic | No defined breed | 0 non-laminitic | 5 laminitic |
| Companion animal | 0 non-laminitic | 1 laminitic | |||
| Ranch Sorting | 11 non-laminitic | 2 laminitic | AGE | No. OF ANIMALS | |
| Reining/horsemanship | 0 non-laminitic | 1 laminitic | 2–4 years old | 5 non-laminitic | 3 laminitic |
| Breeding/reproduction | 8 non-laminitic | 5 laminitic | 5–7 years old | 8 non-laminitic | 8 laminitic |
| Jumping | 0 non-laminitic | 2 laminitic | 8–10 years old | 7 non-laminitic | 7 laminitic |
| Labour | 0 non-laminitic | 1 laminitic | 11–13 years old | 3 non-laminitic | 8 laminitic |
| Three barrel | 5 non-laminitic | 1 laminitic | 14–16 years old | 4 non-laminitic | 2 laminitic |
| NON-LAMINITIC GROUP | LAMINITIC GROUP | ||
|---|---|---|---|
| BREED | Nº OF ANIMALS | BREED | Nº OF ANIMALS |
| Quarter horse | 29 | Appaloosa | 1 |
| Mixed breed | 1 | Arabian | 4 |
| Brazilian equestian | 2 | ||
| Crioulo | 1 | ||
| Gypsy Vanner | 1 | ||
| Mangalarga Marchador | 1 | ||
| Mangalarga Paulista | 4 | ||
| Pure Argentine blood | 1 | ||
| Quarter horse | 10 | ||
| No defined breed | 5 | ||
| TYPES OF LAMINITIS | LAMINITIC GROUP | ||
| Endocrinopathic | 8 | ||
| Sepsis/SIRS | 7 | ||
| Supporting limb | 3 | ||
| Not informed | 12 | ||
References
- Coffman, J.R.; Johnson, J.H.; Guffy, M.M.; Finocchio, E.J. Hoof circulation in equine laminitis. J. Am. Vet. Med. Assoc. 1970, 156, 76–83. [Google Scholar] [PubMed]
- Molyneux, G.S.; Haller, C.J.; Mogg, K.; Pollitt, C.C. The structure, innervation and location of arteriovenous anastomoses in the equine foot. Equine Vet. J. 1994, 26, 305–312. [Google Scholar] [CrossRef]
- Fonseca, B.; Alves, A.; Nicoletti, J.; Thomassian, A.; Hussni, C.; Mikail, S. Thermography and ultrasonography in back pain diagnosis of equine athletes. J. Equine Vet. Sci. 2006, 26, 507–526. [Google Scholar] [CrossRef]
- Pollitt, C. Equine laminitis. Clin. Tech. Equine Pract. 2004, 3, 34–44. [Google Scholar] [CrossRef]
- Pollitt, C. Lamellar function at the cellular level. In Equine Laminitis; Wiley: Ames, IA, USA, 2017; pp. 22–38. [Google Scholar]
- Belknap, J. Pathophysiology of Laminitis: An Overview. In Equine Laminitis, 1st ed.; Wiley: Ames, IA, USA, 2017; pp. 51–53. [Google Scholar]
- Pollitt, C. Equine laminitis: Current concepts. In Insulin and Laminitis; Publication No. 08/062, Project No. RIRDC UQ-118A; AgriFutures Australia: Wagga Wagga, Queensland, Australia, 2008; pp. 40–42. [Google Scholar]
- Leise, B.S.; Faleiros, R.R.; Watts, M.; Johnson, P.J.; Black, S.J.; Belknap, J.K. Hindlimb laminar inflammatory response is similar to that present in forelimbs after carbohydrate overload in horses. Equine Vet. J. 2012, 44, 633–639. [Google Scholar] [CrossRef] [PubMed]
- Katz, L.; Bailey, S. A review of recent advances and current hypotheses on the pathogenesis of acute laminitis. Equine Vet. J. 2012, 44, 752–761. [Google Scholar] [CrossRef] [PubMed]
- Stashak, T. Trimming and shoeing for balance and soundness. In Adams Lameness in Horses, 5th ed.; Lippincott Williams & Wilkins: Philadelphia, PA, USA, 2002; pp. 1081–1142. [Google Scholar]
- Jeffcott, L. The Diagnosis of Diseases of the Horse’s Back. Equine Vet. J. 1975, 7, 69–78. [Google Scholar] [CrossRef] [PubMed]
- Hood, D.M.; Wagner, I.P.; Taylor, D.D.; Brumbaugh, G.W.; Chaffin, M.K. Voluntary limb-load distribution in horses with acute and chronic laminitis. Am. J. Vet. Res. 2001, 62, 1393–1398. [Google Scholar] [CrossRef]
- Hunt, R. A retrospective evaluation of laminitis in horses. Equine Vet. J. 1993, 25, 61–64. [Google Scholar] [CrossRef]
- Oliveira, K.D.; Soutello, R.V.G.D.; Fonseca, R.D.; Lopes, A.M.; Santos, P.C.D.S.; Santos, J.M.F.; Massarelli, A.C.; Rodrigues, J.S.; Vera, J.H.D.S. Biometria por ultrassonografia da musculatura epaxial e pélvica em equinos treinados com rédea Pessoa. Ciência Rural 2014, 44, 2045–2051. [Google Scholar] [CrossRef]
- Redden, R. Clinical and radiographic examination of the equine foot. In Proceedings of the 49th Annual Convention of the American Association of Equine Practitioners, New Orleans, LA, USA, 21–25 November 2003; pp. 169–185. [Google Scholar]
- Pourcelot, P.; Audigié, F.; Degueurce, C.; Denoix, J.M.; Geiger, D. Kinematics of the equine back: A method to study the thoracolumbar flexion-extension movements at the trot. Vet. Res. 1998, 29, 519–525. [Google Scholar]
- Sherlock, C.; Parks, A. Radiographic and radiological assessment of laminitis. Equine Vet. Educ. 2013, 25, 524–535. [Google Scholar] [CrossRef]
- Alves, A.; Fonseca, B.; Thomassian, A. Lombalgia em equinos. Braz. J. Vet. Res. Anim. Sci. 2007, 44, 191–199. [Google Scholar] [CrossRef]
- Denoix, J.; Dyson, S. Thoracolumbar spine. In Diagnosis and Management of Lameness in the Horse; Saunders: Philadelphia, PA, USA, 2003; pp. 509–521. [Google Scholar]
- Fonseca, B. Protocolo de Exame Clínico e Tratamento por Ondas de Choque da dor Lombar em Equinos da Raça Quarto de Milha. Ph.D. Thesis, Faculdade de Medicina Veterinária e Zootecnia, Universidade Estadual Paulista, Botucatu, Brazil, 2008; 134p. [Google Scholar]
- Haussler, K. Anatomy of the thoracolumbar vertebral region. Vet. Clin. N. Am. Equine Pract. 1999, 15, 13–26. [Google Scholar] [CrossRef] [PubMed]
- Fonseca, B. Termografia e Ultrassonografia no Diagnóstico de Lesões Toracolombares em Equinos Atletas da Raça Quarto de Milha. Master’s Dissertation, Faculdade de Medicina Veterinária e Zootecnia, Universidade Estadual Paulista, Botucatu, Brazil, 2005; 71p. [Google Scholar]
- Dyson, S. An Approach to the Sport Horse with Potential Thoracolumbar, Lumbosacral or Sacroiliac Joint Region Pain. In Proceedings of the AAEP Focus Meeting—Lameness and Image, Fort Collins, CO, USA, 5 December 2007; pp. 142–148. [Google Scholar]
- Fonseca, B.; Alves, A.; Hussini, I. Clinical exam protocol for the equine thoracolumbar spine. Braz. J. Vet. Res. Anim. Sci. 2011, 48, 271–280. [Google Scholar] [CrossRef]
- Fonseca, B. Anatomia Funcional. In Diagnóstico e Tratamento das Afecções da Coluna de Equino, 1st ed.; Volume 1: Coluna Tora-colombar; Trofeu: São Paulo, Brazil, 2021; Volume 1, pp. 18–38. [Google Scholar]
- Denoix, J.M. Spinal biomechanics and functional anatomy. Vet. Clin. N. Am. Equine Pract. 1999, 15, 27–60. [Google Scholar] [CrossRef]
- Dalla Costa, E.; Minero, M.; Lebelt, D.; Stucke, D.; Canali, E.; Leach, M.C. Development of the Horse Grimace Scale (HGS) as a pain assessment tool in horses undergoing routine castration. PLoS ONE 2014, 9, e92281. [Google Scholar] [CrossRef] [PubMed]
- Beaumont, A.; BertoniI, L.; Denoix, J. Ultrasonographic diagnosis of equine thoracolumbar articular process joint lesions. Equine Vet. Educ. 2022, 34, 592–599. [Google Scholar] [CrossRef]
- Burns, G.; Dart, A.; Jeffcott, L. Clinical progress in the diagnosis of thoracolumbar problems in horses. Equine Vet. Educ. 2018, 30, 477–485. [Google Scholar] [CrossRef]
- Martinez, B.A.F.; Leotti, V.B.; Silva, G.d.S.e.; Nunes, L.N.; Machado, G.; Corbellini, L.G. Odds Ratio or Prevalence Ratio? An Overview of Reported Statistical Methods and Appropriateness of Interpretations in Cross-sectional Studies with Dichotomous Outcomes in Veterinary Medicine. Front. Vet. Sci. 2017, 4, 193. [Google Scholar] [CrossRef]
- Sapra, R.L.; Saluja, S. Understanding statistical association and correlation. Curr. Med. Res. Pract. 2021, 11, 31–38. [Google Scholar] [CrossRef]
- Johnson, P. The equine metabolic syndrome (peripheral Cushing’s syndrome). Vet. Clin. N. Am. Equine Pract. 2002, 18, 271–293. [Google Scholar] [CrossRef] [PubMed]
- Faleiros, R.; Belknap, J. Leukocytes and Inflammatory Signaling in Laminitis: Leukocytes. In Equine Laminitis, 1st ed.; Wiley: Ames, IA, USA, 2017; pp. 91–99. [Google Scholar]
- Feitosa, F.; Benesi, F. Semiologia de animais recém-nascidos. In Semiologia Veterinária: A Arte do Diagnóstico, 3rd ed.; Roca São Paulo: São Paulo, Brazil, 2014; pp. 69–97. [Google Scholar]
- Mendes, D.; Feitosa, F. Semiologia do sistema circulatório de equinos e ruminantes. In Semiologia Veterinária: A Arte do Diagnóstico, 3rd ed.; Roca São Paulo: São Paulo, Brazil, 2014; pp. 490–519. [Google Scholar]
- Van Eps, A. Acute laminitis: Medical and supportive therapy. Vet. Clin. Equine Pract. 2010, 26, 103–114. [Google Scholar] [CrossRef] [PubMed]
- Stubbs, N.C.; Riggs, C.M.; Hodges, P.W.; Jeffcott, L.B.; Hodgson, D.R.; Clayton, H.M.; Mc Gowan, C.M. Osseous spinal pathology and epaxial muscle ultrasonography in Thoroughbred racehorses. Equine Vet. J. 2010, 42 (Suppl. S38), 654–661. [Google Scholar] [CrossRef] [PubMed]
- Mayaki, A.M.; Razak, I.S.A.; Adzahan, N.M.; Mazlan, M.; Rasedee, A. Clinical assessment and grading of back pain in horses. J. Vet. Sci. 2020, 21, e82. [Google Scholar] [CrossRef] [PubMed]
- Williams, G.; Mckenna, A. The Axial Skeleton. In Horse Movement: Structure, Function and Rehabilitation; The Crowood Press: Marlborough, UK, 2017. [Google Scholar]
- Barreto, G.; Negrucci, M.; Pessinatti, B. A coluna toracolombar do cavalo atleta: Revisão. Pubvet 2021, 15, 181. [Google Scholar] [CrossRef]
- Clayton, H. Equine back pain reviewed from a motor control perspective. Comp. Exerc. Physiol. 2012, 8, 145–152. [Google Scholar] [CrossRef]
- Denoix, J.M. Ultrasonographic Evaluation of back lesion. Vet. Clin. N. Am. Equine Pract. 1999, 15, 131–159. [Google Scholar] [CrossRef]
- Stubbs, N. Epaxial musculature, motor control and its relationship with back pain in the horse: Objective clinical physical therapy, pathological and imaging studies. Proc. Am. Assoc. Equine Pract. 2011, 57, 153–157. [Google Scholar]

















| Method of Clinical Assessment of the Equine Thoracolumbar Spine (MACCTORE) | ||||
|---|---|---|---|---|
| Inspection | Grade 0 | Grade 1 | Grade 2 | Grade 3 |
| Muscle atrophy | No clinical evidence | Mild atrophy of muscle groups * | Moderate atrophy of muscle groups * | Severe atrophy of muscle groups * |
| Scoliosis | No clinical evidence | Mild scoliosis | Moderate scoliosis | Severe scoliosis |
| Lordosis | No clinical evidence | Mild lordosis | Moderate lordosis | Severe lordosis |
| Kyphosis | No clinical evidence | Mild kyphosis | Moderate kyphosis | Severe kyphosis |
| Abdominal contraction | No clinical evidence | Mild abdominal muscle contraction | Moderate abdominal muscle contraction | Severe abdominal muscle contraction |
| Sacral tuber asymmetry | No clinical evidence | Mild sacral tuber asymmetry | Moderate sacral tuber asymmetry | Severe atrophy of muscle groups * |
| Palpation | Grade 0 | Grade 1 | Grade 2 | Grade 3 |
| Muscle pain | No clinical evidence | Mild reaction to palpation of muscle * and to firm pressure of fingers | Moderate reaction to palpation of muscle * and to firm pressure of fingers | Severe reaction to palpation of muscle * and to firm pressure of fingers |
| Spasm/muscle tension | No clinical evidence | Presence of mild muscle tension in muscle group * during palpation | Presence of moderate muscle tension in muscle group * during palpation | Presence of severe muscle tension in the muscle group * during palpation |
| Nodules | No clinical evidence | Presence of nodules in the muscle groups * | - | - |
| Pain in the dorsal midline | No clinical evidence | Mild reaction to palpation with firm pressure of fingers | Moderate reaction to palpation with firm pressure of fingers | Severe reaction to palpation with firm pressure of fingers |
| Misalignment of the spinous processes | No clinical evidence | Mild misalignment of the spinous processes | Moderate misalignment of the spinous processes | Severe misalignment of the spinous processes |
| Muscle fasciculation | No clinical evidence | Mild reaction to muscle group * palpation with mild fasciculation | Moderate reaction to muscle group * palpation with mild fasciculation | Severe reaction to muscle group * palpation with mild fasciculation |
| Mobility tests | Grade 0 | Grade 1 | Grade 2 | Grade 3 |
| Thoracic extension (at T10) | Performs complete movement with no decrease in amplitude. Does not express any resistance to the exam or pain behavior | Performs the movement partially or incompletely. Reduction of amplitude and/or demonstration of pain, e.g., shaking the head or tail, reaction with limbs, and/or vocalization | Refuses examination or tries to escape from it. Reacts, demonstrating pain, e.g., shaking the head or tail, reaction with limbs, and/or vocalization | - |
| Thoracolumbar extension (at T16) | Performs complete movement with no decrease in amplitude. Does not express any resistance to the exam or pain behavior | Performs the movement partially or incompletely. Reduction of amplitude and/or demonstration of pain, e.g., shaking the head or tail, reaction with limbs, and/or vocalization | Refuses examination or tries to escape from it. Reacts, demonstrating pain, e.g., shaking the head or tail, reaction with limbs, and/or vocalization | - |
| Lumbosacral extension | Performs complete movement with no decrease in amplitude. Does not express any resistance to the exam or pain behavior | Performs the movement partially or incompletely. Reduction of amplitude and/or demonstration of pain, e.g., shaking the head or tail, reaction with limbs, and/or vocalization | Refuses examination or tries to escape from it. Reacts, demonstrating pain, e.g., shaking the head or tail, reaction with limbs, and/or vocalization | - |
| Thoracic flexion (at xyphoid cartilage) | Performs complete movement with no decrease in amplitude. Does not express any resistance to the exam or pain behavior | Performs the movement partially or incompletely. Reduction of amplitude and/or demonstration of pain, e.g., shaking the head or tail, reaction with limbs, and/or vocalization | Refuses examination or tries to escape from it. Reacts, demonstrating pain, e.g., shaking the head or tail, reaction with limbs, and/or vocalization | - |
| Lumbosacral flexion | Performs complete movement with no decrease in amplitude. Does not express any resistance to the exam or pain behavior | Performs the movement partially or incompletely. Reduction of amplitude and/or demonstration of pain, e.g., shaking the head or tail, reaction with limbs, and/or vocalization | Refuses examination or tries to escape from it. Reacts, demonstrating pain, e.g., shaking the head or tail, reaction with limbs, and/or vocalization | - |
| Left lateral flexion | Performs complete movement with no decrease in amplitude. Does not express any resistance to the exam or pain behavior | Performs the movement partially or incompletely. Reduction of amplitude and/or demonstration of pain, e.g., shaking the head or tail, reaction with limbs, and/or vocalization | Refuses examination or tries to escape from it. Reacts, demonstrating pain, e.g., shaking the head or tail, reaction with limbs, and/or vocalization | - |
| Right lateral flexion | Performs complete movement with no decrease in amplitude. Does not express any resistance to the exam or pain behavior | Performs the movement partially or incompletely. Reduction of amplitude and/or demonstration of pain, e.g., shaking the head or tail, reaction with limbs, and/or vocalization | Refuses examination or tries to escape from it. Reacts, demonstrating pain, e.g., shaking the head or tail, reaction with limbs, and/or vocalization | - |
Disclaimer/Publisher’s Note: The statements, opinions and data contained in all publications are solely those of the individual author(s) and contributor(s) and not of MDPI and/or the editor(s). MDPI and/or the editor(s) disclaim responsibility for any injury to people or property resulting from any ideas, methods, instructions or products referred to in the content. |
© 2024 by the authors. Licensee MDPI, Basel, Switzerland. This article is an open access article distributed under the terms and conditions of the Creative Commons Attribution (CC BY) license (https://creativecommons.org/licenses/by/4.0/).
Share and Cite
Guedes, J.R.B.; Vendruscolo, C.P.; Tokawa, P.K.A.; Carvalho, A.M.; Johnson, P.J.; Faleiros, R.R. The Detection of Thoracolumbar Spine Injuries in Horses with Chronic Laminitis Using a Novel Clinical-Assessment Protocol and Ultrasonographic Examination. Animals 2024, 14, 1364. https://doi.org/10.3390/ani14091364
Guedes JRB, Vendruscolo CP, Tokawa PKA, Carvalho AM, Johnson PJ, Faleiros RR. The Detection of Thoracolumbar Spine Injuries in Horses with Chronic Laminitis Using a Novel Clinical-Assessment Protocol and Ultrasonographic Examination. Animals. 2024; 14(9):1364. https://doi.org/10.3390/ani14091364
Chicago/Turabian StyleGuedes, Julia R. B., Cynthia P. Vendruscolo, Paula K. A. Tokawa, Armando M. Carvalho, Philip J. Johnson, and Rafael R. Faleiros. 2024. "The Detection of Thoracolumbar Spine Injuries in Horses with Chronic Laminitis Using a Novel Clinical-Assessment Protocol and Ultrasonographic Examination" Animals 14, no. 9: 1364. https://doi.org/10.3390/ani14091364
APA StyleGuedes, J. R. B., Vendruscolo, C. P., Tokawa, P. K. A., Carvalho, A. M., Johnson, P. J., & Faleiros, R. R. (2024). The Detection of Thoracolumbar Spine Injuries in Horses with Chronic Laminitis Using a Novel Clinical-Assessment Protocol and Ultrasonographic Examination. Animals, 14(9), 1364. https://doi.org/10.3390/ani14091364

