Age-Related Variations in the Population of Active Secondary Hair Follicles, Oxidative Stress and Antioxidant Parameters in Cashmere Goats
Abstract
Simple Summary
Abstract
1. Introduction
2. Materials and Methods
2.1. Animals, Experimental Design, and Management
2.2. Sample Collection
2.3. Measurements of Cashmere Fiber Performance
2.4. Calculations of Hair Follicle Population
2.5. Statistical Analysis
3. Results
3.1. Cashmere Fiber Yield, Staple Length, and Diameter in Cashmere Goats Aged 2 to 7 Years Old
3.2. Population of Active Secondary Hair Follicles in Cashmere Goats Aged 2 to 7 Years Old
3.3. Relationship between Population of Primary and Secondary Hair Follicles and Cashmere Fiber Diameter in Cashmere Goats Aged 2 to 7 Years
3.4. Skin Antioxidant Capacity and Oxidative Damage in Cashmere Goats Aged 2–7 Years Old
3.5. Association between Antioxidant Capacity and Active Secondary Hair Follicle Population in Cashmere Goats Aged 2 to 7 Years Old
4. Discussion
5. Conclusions
Author Contributions
Funding
Institutional Review Board Statement
Informed Consent Statement
Data Availability Statement
Acknowledgments
Conflicts of Interest
References
- Saleh, A.A.; Rashad, A.M.A.; Hassanine, N.N.A.M.; Sharaby, M.A.; Zhao, Y.J. Assessment of hair and cashmere properties and their genetic background of several goat breeds in Southwest China. Sci. Rep. 2022, 12, 11135. [Google Scholar] [CrossRef] [PubMed]
- Wang, Z.Y.; Li, H.W.; Su, R.; Liu, Z.H.; Zhang, Y.J.; Du, C.; Li, J.Q. Relationships between cashmere production and other important economic traits of Inner Mongolia cashmere goats. Ital. J. Anim. Sci. 2019, 18, 1154–1160. [Google Scholar] [CrossRef]
- Liu, H.Y.; Jia, Z.H.; Yue, C.W. Research of relation between age and production characters of cashmere in Inner Mongolia white cashmere goats. J. China Agric. Univ. 2007, 12, 37–40. [Google Scholar]
- Zhou, J.J.; Tang, P.R.; Wang, Z.X.; Wei, Y.L.; Meng, R.Q.; Wang, Z.Y.; Zhang, W.G.; Zhang, Y.J.; Su, R.; Liu, Z.H.; et al. Study on the variation of cashmere yields of Inner Mongolia white cashmere goats. China Ani. Hus. Vet. Med. 2013, 40, 169–175. [Google Scholar]
- Ren, J.; Liu, K.K.; Ma, D.; Feng, B.; Zhang, Y. Relationship between age and cashmere performance of Shanbei white cashmere goat. J. Anim. Sci. Vet. Med. 2012, 31, 48–50. [Google Scholar]
- Tan, L.; Gao, W.D.; Wei, Q.Y.; Tian, X.E.; Wang, Y.J.; Chen, Y.L. Study on body index changes with age for Shaanbei white cashmere goat. J. Domest. Anim. Ecol. 2012, 33, 35–38. [Google Scholar]
- Dang, S.B.; Wu, Z.Y.; Liu, S.H.; Zhang, W. Effects of implantation melatonin on cashmere production performance of Inner Mongolian cashmere goats at different ages. Chin. J. Anim. Sci. 2019, 55, 107–109+118. [Google Scholar]
- Ma, N.; Li, Y.J.; Song, Y.Q.; Song, X.C. Genetic parameter estimates of follicle traits in Liaoning cashmere goat. J. Jilin Agric. Univ. 2005, 27, 323–327. [Google Scholar]
- Wang, H.B.; Gao, Y.Q. Research progress on the structure of hair follicles on the skin of cashmere goats and their relationship with cashmere production. J. Anhui Agric. Sci. 2008, 36, 12701–12703. [Google Scholar]
- Shi, L.; Qu, L.; Liu, J.W.; Zhu, H.J.; Li, L.P.; Huang, S. Hair follicle structure and the correlation analysis between characteristic parameters and cashmere production traits in Shanbei white cashmere goat. China Anim. Husb. Vet. Med. 2018, 10, 2814–2822. [Google Scholar]
- Zhang, C.L. Periodic Variety of Hair Follicles about Inner Mongolia ARBAS White Cashmere Goats and Characteristic of KAP6 cDNA. Master’s Thesis, Inner Mongolia Agricultural University, Hohhot, China, 2003. [Google Scholar]
- Li, Y.R.; Fang, W.B.; Li, C.Q.; Yi, J.; Zhang, Y.J.; Li, J.Q. Histomorphology research of the secondary follicle cycling of Inner Mongolia cashmere goat. Sci. Agric. Sin. 2008, 11, 3920–3926. [Google Scholar]
- Li, C.Q.; Yin, J.; Zhang, Y.J.; Guo, Z.C.; Zhang, W.G.; Gao, A.Q.; Li, Y.R.; Lai, S.Y.; Li, J.Q. Comparative study on skin and hair follicles cycling between Inner Mongolia and Liaoning cashmere goats. Chin. J. Anim. Vet. Sci. 2005, 7, 674–679. [Google Scholar]
- Yang, C.H.; Duan, C.H.; Wu, Z.Y.; Li, Y.; Luan, Y.Y.; Fu, X.; Zhang, C.X.; Zhang, W. Effects of melatonin administration to cashmere goats on cashmere production and hair follicle characteristics in two consecutive cashmere growth cycles. Domest. Anim. Endocrinol. 2021, 74, 106534. [Google Scholar] [CrossRef] [PubMed]
- Zhang, H.; Davies, K.J.; Forman, H.J. Oxidative stress response and Nrf2 signaling in aging. Free Radic. Biol. Med. 2015, 88, 314–336. [Google Scholar] [CrossRef] [PubMed]
- Huang, W.Y.; Huang, Y.C.; Huang, K.S.; Chan, C.C.; Chiu, H.Y.; Tsai, R.Y.; Chan, J.Y.; Lin, S.J. Stress-induced premature senescence of dermal papilla cells compromises hair follicle epithelial-mesenchymal interaction. J. Dermatol. Sci. 2017, 86, 114–122. [Google Scholar] [CrossRef]
- Diao, X.; Duan, C.; Yao, L.; Qin, J.; He, L.; Zhang, W. Melatonin promotes the development of secondary hair follicles in adult cashmere goats by activating the Keap1-Nrf2 signaling pathway and inhibiting the inflammatory transcription factors NFκB and AP-1. Int. J. Mol. Sci. 2023, 24, 3403. [Google Scholar] [CrossRef] [PubMed]
- Yang, C.H.; Xu, J.H.; Ren, Q.C.; Duan, T.; Mo, F.; Zhang, W. Melatonin promotes secondary hair follicle development of early postnatal cashmere goat and improves cashmere quantity and quality by enhancing antioxidant capacity and suppressing apoptosis. J. Pineal. Res. 2019, 67, e12569. [Google Scholar] [CrossRef] [PubMed]
- Peterson, A.D.; Gherardi, S.G. Measurement of cashmere yield and mean fibre diameter using the optical fibre diameter analyzer. Aust. J. Exp. Agric. 1996, 36, 429–435. [Google Scholar] [CrossRef]
- Li, J.X.; Xing, W.H.; Gegen, T.; Zhang, C.X.; Ren, Y.S.; Yang, C.H. Effect of fasted live-weight gain during the cashmere non-growing period on cashmere production performance and secondary hair follicle activity of cashmere goats. Animals 2023, 13, 3519. [Google Scholar] [CrossRef] [PubMed]
- Nixon, A.J. A method for determining the activity state of hair follicles. Biotech. Histochem. 1993, 68, 316–325. [Google Scholar] [CrossRef] [PubMed]
- Cohen, J. Statistical Power Analysis for the Behavioral Sciences; Routledge: London, UK, 2013. [Google Scholar]
- Zhao, J.; Li, H.; Zhou, R.; Ma, G.; Dekker, J.D.; Tucker, H.O.; Yao, Z.J.; Guo, X. Foxp1 regulates the proliferation of hair follicle stem cells in response to oxidative stress during hair cycling. PLoS ONE 2015, 10, e0131674. [Google Scholar] [CrossRef] [PubMed]
- Papaccio, F.; D’Arino, A.; Caputo, S.; Bellei, B. Focus on the contribution of oxidative stress in skin aging. Antioxidants 2022, 11, 1121. [Google Scholar] [CrossRef] [PubMed]
- He, M.C.; Zhang, J.J.; Gao, B.; Shi, F.Y.; Xie, W.Z.; Wang, Y.R. Effect of birth type and age on main economic traits of Longdong cashmere goats. J. Anim. Sci. Vet. Med. 2019, 38, 14–16. [Google Scholar]
- Feng, P.; Ji, Z.X.; Gao, Y.; Yan, H.L.; Qu, L. Regression analysis of body size, weight, and cashmere production in Shaanbei white cashmere goats. Heilongjiang Anim. Sci. Vet. Med. 2011, 1, 42–44. [Google Scholar]
- Wang, L.; Peng, L.Q.; Zhang, W.B.; Zhang, Z.Y.; Yang, W.Y.; Ding, L.; Tang, S.M.; Wu, H.Y. Initiation and development of skin follicles in the Inner Mongolian cashmere goat. Acta Vet. Zootech. Sin. 1996, 27, 524–530. [Google Scholar]
- Diao, X.G.; Yao, L.Y.; Wang, X.H.; Li, S.; Qin, J.X.; Yang, L.; He, L.W.; Zhang, W. Hair follicle development and cashmere traits in Albas goat kids. Animals 2023, 13, 617. [Google Scholar] [CrossRef] [PubMed]
- He, M.C.; He, Z.; Zhao, C.Y.; Xu, K.B.; Fang, C.C.; Wang, Y.R.; Li, J.L.; Yang, J.X.; Gou, X.Z. Study on development of skin and hair follicle in Longdong cashmere goat. J. Anim. Sci. Vet. Med. 2011, 30, 16–17+21. [Google Scholar]
- Chang, Q. Study on Skin Follicle Morphogenesis, Development and Annual Cycle Changes of Liaoning Cashmere Goats. Master’s Thesis, Jilin Agricultural University, Changchun, China, 2011. [Google Scholar]
- Xie, D.X.; Liu, S.H.; Yang, C.H.; Zhang, W. Relationship between early production traits and cashmere production performance at the age of one year in Inner Mongolia cashmere goats. Chin. J. Anim. Sci. 2020, 56, 209–212. [Google Scholar]
- Morinaga, H.; Mohri, Y.; Grachtchouk, M.; Asakawa, K.; Matsumura, H.; Oshima, M.; Takayama, N.; Kato, T.; Nishimori, Y.; Sorimachi, Y. Obesity accelerates hair thinning by stem cell-centric converging mechanisms. Nature 2021, 595, 266–271. [Google Scholar] [CrossRef] [PubMed]
- Peterle, L.; Sanfilippo, S.; Borgia, F.; Cicero, N.; Gangemi, S. Alopecia Areata: A review of the role of oxidative stress, possible biomarkers, and potential novel therapeutic approaches. Antioxidants 2023, 12, 135. [Google Scholar] [CrossRef] [PubMed]
- Li, W.W.; Zhang, W.; Xia, X.H.; Wang, Y.L.; Wang, H.J. Comparative study on renal ischemia-reperfusion in experimental rats of different ages. J. North China Coal Med. Coll. 2008, 10, 738–739. [Google Scholar]
- Hou, G. The Aging-Related Oxidative Stress Status of Intervertebral Disc in Normal Aging Rats. Master’s Thesis, Southern Medical University, Guangzhou, China, 2010. [Google Scholar]
- Öztürk, G.; Akbulut, K.G.; Güney, Ş.; Acuna-Castroviejo, D. Age-related changes in the rat brain mitochondrial antioxidative enzyme ratios: Modulation by melatonin. Exp. Gerontol. 2012, 47, 706–711. [Google Scholar] [CrossRef]
- Zhao, X.J. The Effects of Oxidative Stress and Chronic Inflammation on the Aging of Testicular Leydig Cells and the Underlying Mechanisms. Ph.D. Thesis, Hebei Medical University, Shijiazhuang, China, 2013. [Google Scholar]
- Liu, X.T. Attenuation of the Oxidative Stress in the Ovaries of the Aging Laying Chickens. Ph.D. Thesis, Zhejiang University, Hangzhou, China, 2018. [Google Scholar]
- Liu, B. Effects and Mechanism of Dietary Selenium and DHA on Improving the Quality of Meat and Egg from Aged Laying Hens. Ph.D. Thesis, Jiangnan University, Wuxi, China, 2021. [Google Scholar]
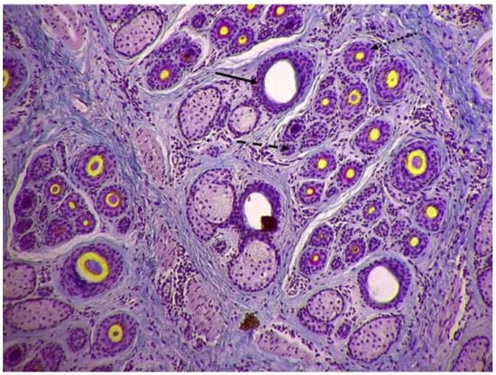
This symbol indicates the primary hair follicle. The primary follicles are characterized by the presence of hair follicles accompanied by sebaceous glands.
This symbol indicates the inactive secondary hair follicle. The inactive secondary follicles lacked a fiber canal or were filled with root sheath cells.
This symbol indicates the active secondary hair follicle. The active secondary follicles were defined as those with a fiber or a fiber canal, and a distinct red-stained inner root sheath surrounds the fiber.
This symbol indicates the primary hair follicle. The primary follicles are characterized by the presence of hair follicles accompanied by sebaceous glands.
This symbol indicates the inactive secondary hair follicle. The inactive secondary follicles lacked a fiber canal or were filled with root sheath cells.
This symbol indicates the active secondary hair follicle. The active secondary follicles were defined as those with a fiber or a fiber canal, and a distinct red-stained inner root sheath surrounds the fiber.





| Item | PFDI | PFN | SFDI | SFN | S:P | ASFDI | ASFN | Sf:P | PASF |
|---|---|---|---|---|---|---|---|---|---|
| Cashmere fiber diameter | 0.164 | 0.155 | −0.374 | −0.348 | −0.330 | −0.376 | −0.328 | −0.370 | −0.397 |
| p-value | 0.283 | 0.310 | 0.023 | 0.032 | 0.033 | 0.018 | 0.036 | 0.024 | 0.010 |
| Item | ASFDI | ASFN | PASF | Sf:P |
|---|---|---|---|---|
| SOD | 0.462(0.030) | 0.432(0.045) | 0.421(0.051) | 0.594(0.020) |
| GSH-Px | 0.462(0.030) | 0.434(0.044) | 0.456(0.033) | 0.555(0.039) |
| TAOC | 0.412(0.045) | 0.489(0.040) | 0.378(0.069) | 0.556(0.039) |
| MDA | −0.510(0.013) | −0.490(0.018) | −0.445(0.033) | −0.575(0.010) |
Disclaimer/Publisher’s Note: The statements, opinions and data contained in all publications are solely those of the individual author(s) and contributor(s) and not of MDPI and/or the editor(s). MDPI and/or the editor(s) disclaim responsibility for any injury to people or property resulting from any ideas, methods, instructions or products referred to in the content. |
© 2024 by the authors. Licensee MDPI, Basel, Switzerland. This article is an open access article distributed under the terms and conditions of the Creative Commons Attribution (CC BY) license (https://creativecommons.org/licenses/by/4.0/).
Share and Cite
Li, J.; Wang, Z.; Wang, X.; Guo, J.; Wang, L.; He, D.; Duan, X.; Zhang, C.; Ren, Y.; Yang, C. Age-Related Variations in the Population of Active Secondary Hair Follicles, Oxidative Stress and Antioxidant Parameters in Cashmere Goats. Animals 2024, 14, 1350. https://doi.org/10.3390/ani14091350
Li J, Wang Z, Wang X, Guo J, Wang L, He D, Duan X, Zhang C, Ren Y, Yang C. Age-Related Variations in the Population of Active Secondary Hair Follicles, Oxidative Stress and Antioxidant Parameters in Cashmere Goats. Animals. 2024; 14(9):1350. https://doi.org/10.3390/ani14091350
Chicago/Turabian StyleLi, Junxia, Zhenguo Wang, Xiayuan Wang, Jingxin Guo, Liujia Wang, Dong He, Xinming Duan, Chunxiang Zhang, Youshe Ren, and Chunhe Yang. 2024. "Age-Related Variations in the Population of Active Secondary Hair Follicles, Oxidative Stress and Antioxidant Parameters in Cashmere Goats" Animals 14, no. 9: 1350. https://doi.org/10.3390/ani14091350
APA StyleLi, J., Wang, Z., Wang, X., Guo, J., Wang, L., He, D., Duan, X., Zhang, C., Ren, Y., & Yang, C. (2024). Age-Related Variations in the Population of Active Secondary Hair Follicles, Oxidative Stress and Antioxidant Parameters in Cashmere Goats. Animals, 14(9), 1350. https://doi.org/10.3390/ani14091350
