Fertility and Insemination Characteristics of Sperm Storage Tubules in Old Thai-Native Hens
Abstract
Simple Summary
Abstract
1. Introduction
2. Materials and Methods
2.1. Animal and Management
2.2. Experimental Design and Sample Collection
2.3. Rooster Sperm Collection and Evaluation and Semen Dilution
2.4. Fertility Test
2.5. Characteristics of Reproductive Organs and UVJ Tissue Preparation
2.6. Percentages of SSTs Containing Sperm
2.7. Statistical Analysis
3. Results
3.1. Fertilization Capacity
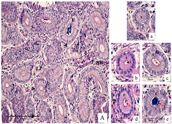
3.2. Characterization of SSTs Containing Sperm after 24 h from Artificial Insemination
4. Discussion
5. Conclusions
Author Contributions
Funding
Institutional Review Board Statement
Informed Consent Statement
Data Availability Statement
Acknowledgments
Conflicts of Interest
References
- Chomchuen, K.; Tuntiyasawasdikul, V.; Chankitisakul, V.; Boonkum, W. Genetic evaluation of body weights and egg production traits using a multi-trait animal model and selection index in Thai native synthetic chickens (Kaimook e-san2). Animals 2022, 12, 335. [Google Scholar] [CrossRef]
 - Chaikuad, N.; Loengbudnark, W.; Chankitisakul, V.; Boonkhum, W. Genetic comparisons of body weight, average daily gain, breast circumference between slow-glowing Thai native chickens (Pradu Hang dum). Vet. Sci. 2023, 10, 11. [Google Scholar] [CrossRef]
 - Charoensin, S.; Laopaiboon, B.; Boonkum, W.; Phetcharaburanin, J.; Villareal, M.O.; Isoda, H.; Duangjinda, M. Thai native chicken as a potential functional meat source rich in anserine, anserine/carnosine, and antioxidant substances. Animals 2021, 11, 902. [Google Scholar] [CrossRef]
 - Jacob, J.; Wilson, H.R.; Miles, R.D.; Butcher, G.D.; Mather, F.B. Factors Affecting Egg Production in Backyard Chicken. 2014. Available online: https://edis.ifas.ufl.edu/publication/PS029 (accessed on 15 September 2021).
 - USDA APHIS, Iowa State University. US Poultry Industry Manual—Production Cycles of Egg-Type Chickens. 2023. Available online: https://www.thepoultrysite.com/articles/production-cycles-of-egg-type-chickens (accessed on 15 February 2024).
 - Kheawkanha, T.; Boonkum, W.; Vongpralub, T.; Chankitisakul, V. Characterization of oviduct lining, with emphasis on the sperm storage tubule region (uterovaginal junction), correlated with fertility in mature and old Thai native hens. Animals 2021, 11, 3446. [Google Scholar] [CrossRef]
 - Brillard, J.P. Sperm storage and transport following natural mating and artificial insemination. Poult. Sci. 1993, 72, 923–928. [Google Scholar] [CrossRef]
 - Orr, T.J.; Zuk, M. Sperm storage. Curr. Biol. 2012, 22, 8–10. [Google Scholar] [CrossRef]
 - Bréque, C.; Surai, P.; Brillard, J.P. Roles of antioxidants on prolonged storage of avian spermatozoa in vivo and in vitro. Mol. Reprod. Dev. 2003, 66, 314–323. [Google Scholar] [CrossRef]
 - Holt, W.V.; Fazeli, A. Sperm Storage in the Female Reproductive. Annu. Rev. Anim. Biosci. 2016, 4, 291–310. [Google Scholar] [CrossRef]
 - Van Krey, H.P.; Leighton Jr, A.T.; Potter, L.M. Sperm gland populations and late seasonal declines in fertility (Abstr.). Poult. Sci. 1976, 46, 1333. [Google Scholar]
 - Harper, J.A.; Arscott, G.H. Seasonal decline in fertility of turkey eggs. Poult. Sci. 1969, 48, 2109–2113. [Google Scholar] [CrossRef]
 - Van Krey, H.P.; Leighton Jr, A.T. Sperm gland populations, oviduct homogenates and late season declines in fertility (Abstr.). Poult. Sci. 1970, 49, 1447. [Google Scholar]
 - Das, S.; Das, C.; Nagasak, N.; Yoshimura, Y. Effects of repeated artificial insemination on the structure and function of oviducal sperm storage tubules in hens. Poult. Sci. 2005, 42, 39–47. [Google Scholar] [CrossRef]
 - Burrows, W.H.; Quinn, J.P. The collection of spermatozoa from the domestic fowl and turkey. Poult. Sci. 1936, 16, 9–24. [Google Scholar] [CrossRef]
 - Kim, J.K.; Shin, W.J.; Shus, G.S.; Sul, D.S.; Lee, J.K. Effect of dilution rate of semen and insemination interval on fertility in the domestic fowl. Res. Report Office Rural Dev. Suwon Korea 1974, 16, 77–81. [Google Scholar]
 - Sexton, T. A new poultry semen extender1. Effect of extension on the fertility of chicken semen. Poult. Sci. 1997, 56, 1443–1446. [Google Scholar] [CrossRef]
 - Tabatabaei, S. The effect of spermatozoa number on fertility rate of chicken in artificial insemination programs. J. Anim. Vet. Adv. 2010, 9, 1717–1719. [Google Scholar] [CrossRef]
 - Sasanami, T.; Matsuzaki, M.; Mizushima, S.; Hiyama, G. Sperm storage in the female reproductive tract in birds. J. Reprod. Dev. 2013, 59, 334–338. [Google Scholar] [CrossRef]
 - Parker, H.M.; Yeatman, J.B.; Schultz, C.D.; Zumwalt, C.D.; McDaniel, C.D. Use of a sperm analyzer for evaluating broiler breeder males. 2. Selection of young broiler breeder roosters for the sperm quality index increases fertile egg production. Poult. Sci. 2000, 79, 771–777. [Google Scholar] [CrossRef]
 - Brillard, J.P. Factors affecting oviductal sperm storage in the domestic fowl following artificial insemination. Anim. Reprod. Sci. 1992, 27, 247–256. [Google Scholar] [CrossRef]
 - Chotesangasa, R. Effects of mating ratio, cock number in the flock and breeder age on fertility in Thai native chicken flock. Agric. Nat. Resour. 2001, 35, 122–131. [Google Scholar]
 - Chankitisakul, V.; Boonkum, W.; Kaewkanha, T.; Pimprasert, M.; Ratchamak, R.; Authaida, S.; Thananurak, P. Fertilizing ability and survivability of rooster sperm diluted with a novel semen extender supplemented with serine for practical use on smallholder farms. Poult. Sci. 2022, 101, 102188. [Google Scholar] [CrossRef]
 - Bakst, M.R. Structure of the avian oviduct with emphasis on sperm storage in poultry. J. Exp. Zool. 1998, 282, 618–626. [Google Scholar] [CrossRef]
 - Pierson, E.E.M.; Krista, L.M.; McDaniel, G.R. Effect of age and physiological status on sperm storage 24 hours after artificial insemination in broiler breeder hens. British Poult. Sci. 1988, 29, 193–197. [Google Scholar] [CrossRef]
 - Pollesel, M.; Tassinari, M.; Frabetti, A.; Fornasini, D.; Cavallini, D. Effect of does parity order on litter homogeneity parameters. Ital. J. Anim. Sci. 2020, 19, 1188–1194. [Google Scholar] [CrossRef]
 - Raspa, F.; Tarantola, M.; Muca, E.; Bergero, D.; Soglia, D.; Cavallini, D.; Vervuert, I.; Bordin, C.; De Palo, P.; Valle, E. Does feeding management make a difference to behavioural activities and welfare of horses reared for meat production? Animals 2022, 12, 1740. [Google Scholar] [CrossRef]
 - Tabatabaei, S.; Batavani, R.A.; Talebi, A.R. Comparison of semen quality in indigenous and ross broiler breeder roosters. J. Anim. Vet. Adv. 2009, 8, 90–93. [Google Scholar]
 - Brillard, J.P. Artificial insemination: How many sperm, how often? In Proceedings of the First International Symposium on the Artificial Insemination of Poultry 1995; Poultry Science Association: Savoy, IL, USA, 1995; pp. 176–183. [Google Scholar]
 - Hunton, P. Poultry production, 1st ed.; Elsevier Science Ltd.: Amsterdam, NY, USA, 1995. [Google Scholar]
 - Thélie, A.; Grasseau, I.; Grimaud-Jottreau, I.; Seigneurin, F.; Blesbois, E. Semen biotechnology optimization for successful fertilization in Japanese quail (Coturnix japonica). Theriogenology 2019, 139, 98–105. [Google Scholar] [CrossRef]
 - Pfunzo, T.M.; Bonato, M.; Irek, A.K.; Cloete, W.P.S. Minimum sperm dose for optimal fertility after artificial insemination in ostriches. Theriogenology 2022, 187, 34–41. [Google Scholar] [CrossRef]
 - Birkhead, T.R.; Brillard, J.P. Reproductive isolation in birds: Postcopulatory prezygotic barriers. Trends Ecol. Evol. 2007, 22, 266–272. [Google Scholar] [CrossRef]
 - Brillard, J.P.; Bakst, M.R. Quantification of spermatozoa in the sperm-storage tubules of turkey hens and the relation to sperm numbers in the perivitelline layer of eggs. Biol. Reprod. 1990, 43, 271–275. [Google Scholar] [CrossRef]
 - Pizzari, T.; Birkhead, T.R. Female feral fowl eject sperm of subdominant males. Nature 2000, 405, 787–789. [Google Scholar] [CrossRef]
 - Santos, T.C.; Murakami, A.E.; Oliveira, C.A.L.; Giraldelli, N. Sperm-egg interaction and fertility of Japanese breeder quails from 10 to 61 weeks. Poult. Sci. 2013, 92, 205–210. [Google Scholar] [CrossRef]
 - Khillare, G.S.; Sastry, K.V.H.; Agrawal, R.; Prakash, A.; Mohan, J.; Singh, R.P. Molecular and biochemical events in sperm storage tubules of oviduct in birds. Worlds Poult. Sci. J. 2018, 74, 35–44. [Google Scholar] [CrossRef]
 - Bakst, M.R.; Donoghue, A.M.; Yoho, D.E.; Moyle, J.R.; Whipple, S.M.; Camp, M.J.; Liu, G.Q.; Bramwell, R.K. Comparisons of sperm storage tubule distribution and number in 4 strains of mature broiler breeders and turkey hens before and after the onset of photostimulation. Poult. Sci. 2010, 89, 986–992. [Google Scholar] [CrossRef]
 - Bakst, M.R.; Wishart, G.; Brillard, J.P. Oviducal sperm selection, transport, and storage in poultry. Poult. Sci. Rev. 1994, 5, 117–143. [Google Scholar]
 - Ciccone, N.A.; Sharp, P.J.; Wilson, P.W.; Dunn, I.C. Changes in reproductive neuroendocrine mRNAs with decreasing ovarian function in aging hens. Gen. Comp. Endocrinol. 2005, 144, 20–27. [Google Scholar] [CrossRef]
 - Brillard, J.P.; McDaniel, G.R. Influence of spermatozoa numbers and insemination frequency on fertility in dwarf broiler breeder hens. Poult. Sci. 1986, 65, 2330–2334. [Google Scholar] [CrossRef]
 - Mendonca, T.; Cadby, A.J.; Hemmings, N. Sperm gatekeeping: 3d imaging reveals a constricted entrance to zebra finch sperm storage tubules. Biophys. J. 2019, 117, 2180–2187. [Google Scholar] [CrossRef]
 - Brady, K.; Krasnec, K.; Hanlon, C.; Long, J.A. Turkey hen sperm storage tubule transcriptome response to artificial insemination and the presence of semen. Front. Physiol. 2024, 14, 1305168. [Google Scholar] [CrossRef]
 





| Parameters | Groups of Artificial Insemination | SEM | Effect (p Values) | |||||||
|---|---|---|---|---|---|---|---|---|---|---|
| 150 × 106 spz/dose | 250 × 106 spz/dose | |||||||||
| Once | Twice | Thrice | Once | Twice | Thrice | Conc. | Freq. | Conc. × Freq. | ||
| Weekly | Weekly | Weekly | Weekly | Weekly | Weekly | |||||
| Number of eggs | 224 | 221 | 221 | 205 | 218 | 216 | - | - | - | - | 
| Total fertility (%) | 65.78 b | 78.07 a | 83.68 a | 76.59 b | 78.87 a | 84.06 a | 7.49 | 0.2727 | 0.0419 | 0.0551 | 
| Source of Variations | Characteristics of SSTs Containing Sperm (p Values) | ||||
|---|---|---|---|---|---|
| SST1 | SST2 | SST3 | SST4 | SST5 | |
| Freq. | 0.7095 | 0.6064 | 0.0312 | 0.0003 | 0.0001 | 
| Day of UVJ tissue collection | 0.3155 | 0.4443 | 0.0025 | 0.2780 | 0.9043 | 
| Freq. × Day of UVJ tissue collection | 0.4413 | 0.0424 | 0.0326 | 0.0002 | 0.0001 | 
Disclaimer/Publisher’s Note: The statements, opinions and data contained in all publications are solely those of the individual author(s) and contributor(s) and not of MDPI and/or the editor(s). MDPI and/or the editor(s) disclaim responsibility for any injury to people or property resulting from any ideas, methods, instructions or products referred to in the content.  | 
© 2024 by the authors. Licensee MDPI, Basel, Switzerland. This article is an open access article distributed under the terms and conditions of the Creative Commons Attribution (CC BY) license (https://creativecommons.org/licenses/by/4.0/).
Share and Cite
Kheawkanha, T.; Chankitisakul, V.; Pimprasert, M.; Boonkum, W.; Vongpralub, T. Fertility and Insemination Characteristics of Sperm Storage Tubules in Old Thai-Native Hens. Animals 2024, 14, 694. https://doi.org/10.3390/ani14050694
Kheawkanha T, Chankitisakul V, Pimprasert M, Boonkum W, Vongpralub T. Fertility and Insemination Characteristics of Sperm Storage Tubules in Old Thai-Native Hens. Animals. 2024; 14(5):694. https://doi.org/10.3390/ani14050694
Chicago/Turabian StyleKheawkanha, Theerapat, Vibuntita Chankitisakul, Maruay Pimprasert, Wuttigrai Boonkum, and Thevin Vongpralub. 2024. "Fertility and Insemination Characteristics of Sperm Storage Tubules in Old Thai-Native Hens" Animals 14, no. 5: 694. https://doi.org/10.3390/ani14050694
APA StyleKheawkanha, T., Chankitisakul, V., Pimprasert, M., Boonkum, W., & Vongpralub, T. (2024). Fertility and Insemination Characteristics of Sperm Storage Tubules in Old Thai-Native Hens. Animals, 14(5), 694. https://doi.org/10.3390/ani14050694
        
