Assessment of Tumor-Associated Tissue Eosinophilia (TATE) and Tumor-Associated Macrophages (TAMs) in Canine Transitional Cell Carcinoma of the Urinary Bladder
Abstract
Simple Summary
Abstract
1. Introduction
2. Materials and Methods
2.1. Animals and Histopathology
2.2. Histological Grading
2.3. TATE Evaluation in Canine TCC
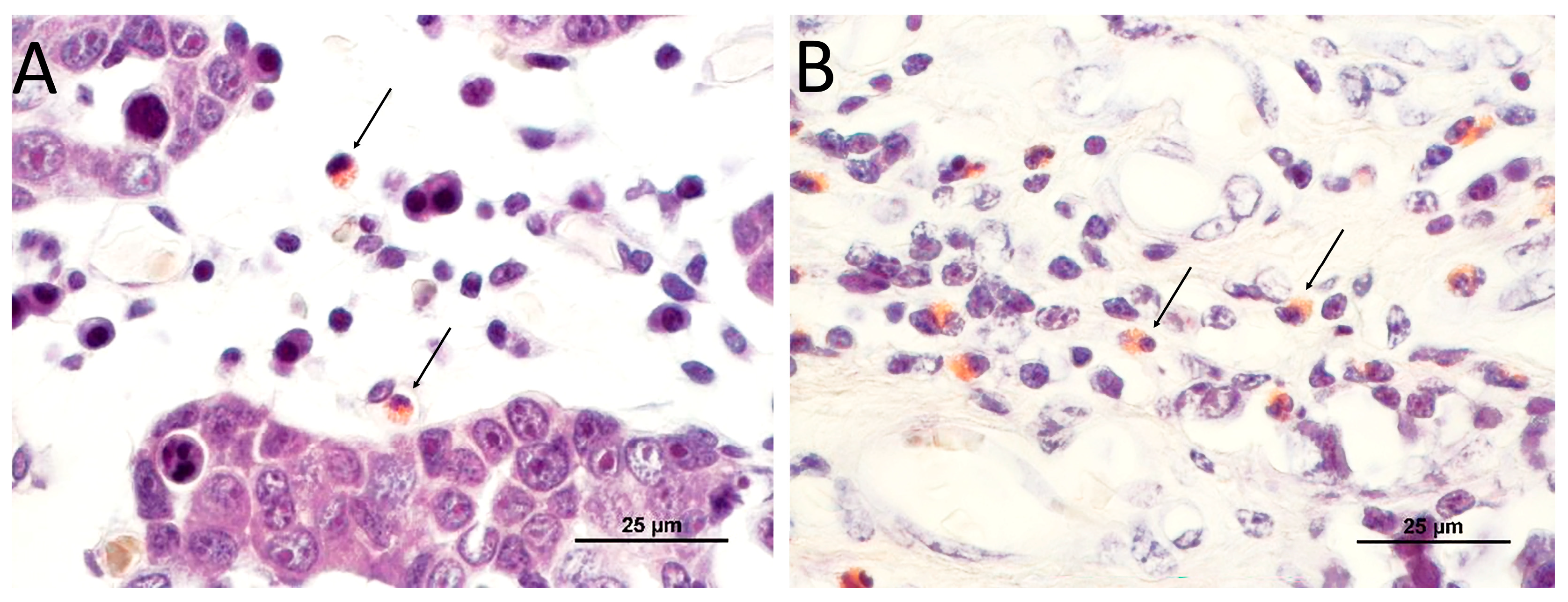
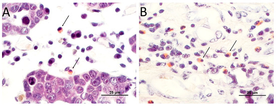
2.3.1. Congo Red Staining Procedure
2.3.2. Quantification of TATE
2.4. TAMs Evaluation in Canine TCC
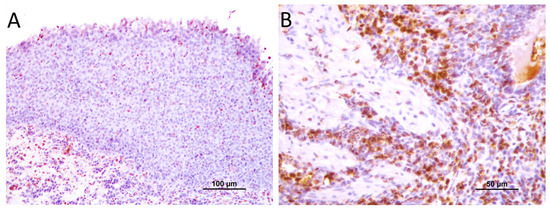
2.4.1. Immunohistochemistry Staining Procedure
2.4.2. Quantification of TAMs
2.5. Statistical Analysis
3. Results
3.1. Clinical Information
3.2. Histological Grading of the Canine TCC of the Urinary Bladder
3.3. TATE Was Increased in High-Grade Canine TCC
3.4. TAMs Were Increased in High-Grade Tumors Canine TCC
3.5. TAMs Are Not Statistically Associated with TATE
4. Discussion
5. Conclusions
Author Contributions
Funding
Institutional Review Board Statement
Informed Consent Statement
Data Availability Statement
Conflicts of Interest
References
- Dhawan, D.; Ramos-Vara, J.A.; Utturkar, S.M.; Ruple, A.; Tersey, S.A.; Nelson, J.B.; Cooper, B.R.; Heng, H.G.; Ostrander, E.A.; Parker, H.G.; et al. Identification of a Naturally-Occurring Canine Model for Early Detection and Intervention Research in High Grade Urothelial Carcinoma. Front. Oncol. 2022, 12, 1011969. [Google Scholar] [CrossRef] [PubMed]
- Fulkerson, C.M.; Knapp, D.W. Management of Transitional Cell Carcinoma of the Urinary Bladder in Dogs: A Review. Vet. J. 2015, 205, 217–225. [Google Scholar] [CrossRef] [PubMed]
- Azémar, M.-D.; Comperat, E.; Richard, F.; Cussenot, O.; Rouprêt, M. Bladder Recurrence after Surgery for Upper Urinary Tract Urothelial Cell Carcinoma: Frequency, Risk Factors, and Surveillance. Urol. Oncol. Semin. Orig. Investig. 2011, 29, 130–136. [Google Scholar] [CrossRef] [PubMed]
- Knapp, D.W.; Ramos-Vara, J.A.; Moore, G.E.; Dhawan, D.; Bonney, P.L.; Young, K.E. Urinary Bladder Cancer in Dogs, a Naturally Occurring Model for Cancer Biology and Drug Development. ILAR J. 2014, 55, 100–118. [Google Scholar] [CrossRef] [PubMed]
- Pinard, C.J.; Hocker, S.E.; Poon, A.C.; Inkol, J.M.; Matsuyama, A.; Wood, R.D.; Wood, G.A.; Woods, J.P.; Mutsaers, A.J. Evaluation of PD-1 and PD-L1 Expression in Canine Urothelial Carcinoma Cell Lines. Vet. Immunol. Immunopathol. 2022, 243, 110367. [Google Scholar] [CrossRef] [PubMed]
- Tsamouri, M.M.; Steele, T.M.; Mudryj, M.; Kent, M.S.; Ghosh, P.M. Comparative Cancer Cell Signaling in Muscle-Invasive Urothelial Carcinoma of the Bladder in Dogs and Humans. Biomedicines 2021, 9, 1472. [Google Scholar] [CrossRef] [PubMed]
- John, B.A.; Said, N. Insights from Animal Models of Bladder Cancer: Recent Advances, Challenges, and Opportunities. Oncotarget 2017, 8, 57766–57781. [Google Scholar] [CrossRef] [PubMed]
- Arnold, E.J.; Childress, M.O.; Fourez, L.M.; Tan, K.M.; Stewart, J.C.; Bonney, P.L.; Knapp, D.W. Clinical Trial of Vinblastine in Dogs with Transitional Cell Carcinoma of the Urinary Bladder. J. Vet. Intern. Med. 2011, 25, 1385–1390. [Google Scholar] [CrossRef]
- Mutsaers, A.J.; Widmer, W.R.; Knapp, D.W. Canine Transitional Cell Carcinoma. J. Vet. Intern. Med. 2003, 17, 136–144. [Google Scholar] [CrossRef]
- Fulkerson, C.M.; Knapp, D.W. 30-Tumors of the Urinary System. In Withrow and MacEwen’s Small Animal Clinical Oncology, 6th ed.; Vail, D.M., Thamm, D.H., Liptak, J.M., Eds.; W.B. Saunders: St. Louis, MO, USA, 2019; pp. 645–656. ISBN 978-0-323-59496-7. [Google Scholar]
- Hildebrandt, I.; Culp, W.T.N.; Griffin, M.A. A Systematic Review of Canine Cystectomy: Indications, Techniques, and Outcomes. Animals 2023, 13, 2896. [Google Scholar] [CrossRef]
- Van Wilpe, S.; Gerretsen, E.C.F.; Van Der Heijden, A.G.; De Vries, I.J.M.; Gerritsen, W.R.; Mehra, N. Prognostic and Predictive Value of Tumor-Infiltrating Immune Cells in Urothelial Cancer of the Bladder. Cancers 2020, 12, 2692. [Google Scholar] [CrossRef] [PubMed]
- Fridman, W.H.; Zitvogel, L.; Sautès–Fridman, C.; Kroemer, G. The Immune Contexture in Cancer Prognosis and Treatment. Nat. Rev. Clin. Oncol. 2017, 14, 717–734. [Google Scholar] [CrossRef] [PubMed]
- DeNardo, D.G.; Ruffell, B. Macrophages as Regulators of Tumour Immunity and Immunotherapy. Nat. Rev. Immunol. 2019, 19, 369–382. [Google Scholar] [CrossRef]
- Kumari, N.; Choi, S.H. Tumor-Associated Macrophages in Cancer: Recent Advancements in Cancer Nanoimmunotherapies. J. Exp. Clin. Cancer Res. 2022, 41, 68. [Google Scholar] [CrossRef] [PubMed]
- Vitale, I.; Manic, G.; Coussens, L.M.; Kroemer, G.; Galluzzi, L. Macrophages and Metabolism in the Tumor Microenvironment. Cell Metab. 2019, 30, 36–50. [Google Scholar] [CrossRef]
- Chanmee, T.; Ontong, P.; Konno, K.; Itano, N. Tumor-Associated Macrophages as Major Players in the Tumor Microenvironment. Cancers 2014, 6, 1670–1690. [Google Scholar] [CrossRef] [PubMed]
- Rhee, I. Diverse Macrophages Polarization in Tumor Microenvironment. Arch. Pharm. Res. 2016, 39, 1588–1596. [Google Scholar] [CrossRef] [PubMed]
- Williams, C.B.; Yeh, E.S.; Soloff, A.C. Tumor-Associated Macrophages: Unwitting Accomplices in Breast Cancer Malignancy. Npj Breast Cancer 2016, 2, 15025. [Google Scholar] [CrossRef]
- Cassetta, L.; Pollard, J.W. Targeting Macrophages: Therapeutic Approaches in Cancer. Nat. Rev. Drug Discov. 2018, 17, 887–904. [Google Scholar] [CrossRef]
- Wynn, T.A.; Chawla, A.; Pollard, J.W. Macrophage Biology in Development, Homeostasis and Disease. Nature 2013, 496, 445–455. [Google Scholar] [CrossRef]
- Guth, A.M.; Hafeman, S.D.; Elmslie, R.E.; Dow, S.W. Liposomal Clodronate Treatment For Tumor Macrophage Depletion in Dogs with Soft Tissue Sarcoma. Vet. Comp. Oncol. 2013, 11, 296–305. [Google Scholar] [CrossRef]
- Regan, D.P.; Chow, L.; Das, S.; Haines, L.; Palmer, E.; Kurihara, J.N.; Coy, J.W.; Mathias, A.; Thamm, D.H.; Gustafson, D.L.; et al. Losartan Blocks Osteosarcoma-Elicited Monocyte Recruitment, and Combined With the Kinase Inhibitor Toceranib, Exerts Significant Clinical Benefit in Canine Metastatic Osteosarcoma. Clin. Cancer Res. 2022, 28, 662–676. [Google Scholar] [CrossRef] [PubMed]
- Proksch, S.F.; Matthysen, C.P.; Jardine, J.E.; Wyatt, K.M.; Finlay, J.R.; Nelson, D.J. Developing a Translational Murine-to-canine Pathway for an anti-CD40 Antibody Cancer Immunotherapy. Vet. Comp. Oncol. 2022, 20, 602–612. [Google Scholar] [CrossRef] [PubMed]
- Brady, R.V.; Thamm, D.H. Tumor-Associated Macrophages: Prognostic and Therapeutic Targets for Cancer in Humans and Dogs. Front. Immunol. 2023, 14, 1176807. [Google Scholar] [CrossRef] [PubMed]
- Hartley, G.; Faulhaber, E.; Caldwell, A.; Coy, J.; Kurihara, J.; Guth, A.; Regan, D.; Dow, S. Immune Regulation of Canine Tumour and Macrophage PD-L1 Expression. Vet. Comp. Oncol. 2017, 15, 534–549. [Google Scholar] [CrossRef] [PubMed]
- Gordon, S.R.; Maute, R.L.; Dulken, B.W.; Hutter, G.; George, B.M.; McCracken, M.N.; Gupta, R.; Tsai, J.M.; Sinha, R.; Corey, D.; et al. PD-1 Expression by Tumor-Associated Macrophages Inhibits Phagocytosis and Tumor Immunity. Nature 2017, 545, 495–499. [Google Scholar] [CrossRef] [PubMed]
- Igase, M.; Nemoto, Y.; Itamoto, K.; Tani, K.; Nakaichi, M.; Sakurai, M.; Sakai, Y.; Noguchi, S.; Kato, M.; Tsukui, T.; et al. A Pilot Clinical Study of the Therapeutic Antibody against Canine PD-1 for Advanced Spontaneous Cancers in Dogs. Sci. Rep. 2020, 10, 18311. [Google Scholar] [CrossRef]
- Mattei, F.; Andreone, S.; Marone, G.; Gambardella, A.R.; Loffredo, S.; Varricchi, G.; Schiavoni, G. Eosinophils in the Tumor Microenvironment. In Tumor Microenvironment; Birbrair, A., Ed.; Advances in Experimental Medicine and Biology; Springer International Publishing: Cham, Switzerland, 2020; Volume 1273, pp. 1–28. ISBN 978-3-030-49269-4. [Google Scholar]
- Saraiva, A.L.; Carneiro, F. New Insights Into the Role of Tissue Eosinophils in the Progression of Colorectal Cancer: A Literature Review. Acta Médica Port. 2018, 31, 329–337. [Google Scholar] [CrossRef]
- Ghaffari, S.; Rezaei, N. Eosinophils in the Tumor Microenvironment: Implications for Cancer Immunotherapy. J. Transl. Med. 2023, 21, 551. [Google Scholar] [CrossRef]
- Meuten, D.J.; Everitt, J.; Inskeep, W.; Jacobs, R.M.; Peleteiro, M.; Thompson, K.G. Histological Classification of Tumors of the Urinary System of Domestic Animals; WHO International Histological Classification of Tumors of Domestic Animals Second Series; Armed Forces Institute of Pharmacology: Washington, DC, USA, 2004; ISBN 1881041905. [Google Scholar]
- Brambilla, E.; Govoni, V.M.; Cavalca, A.M.B.; Laufer-Amorim, R.; Fonseca-Alves, C.E.; Grieco, V. Grading Systems for Canine Urothelial Carcinoma of the Bladder: A Comparative Overview. Animals 2022, 12, 1455. [Google Scholar] [CrossRef]
- Cheng, L.; MacLennan, G.T.; Lopez-Beltran, A. Histologic Grading of Urothelial Carcinoma: A Reappraisal. Hum. Pathol. 2012, 43, 2097–2108. [Google Scholar] [CrossRef]
- Humphrey, P.A.; Moch, H.; Cubilla, A.L.; Ulbright, T.M.; Reuter, V.E. The 2016 WHO Classification of Tumours of the Urinary System and Male Genital Organs—Part B: Prostate and Bladder Tumours. Eur. Urol. 2016, 70, 106–119. [Google Scholar] [CrossRef] [PubMed]
- Joshi, P.S.; Kaijkar, M.S. A Histochemical Study of Tissue Eosinophilia in Oral Squamous Cell Carcinoma Using Congo Red Staining. Dent. Res. J. 2013, 10, 784–789. [Google Scholar]
- Vieira, A.T.L.; Silva, M.; Silva, F.; Prada, J.; Pires, I. Tumor-Associated Tissue Eosinophilia Is Associated with Histological Grade in Canine Squamous Cell Carcinoma. Egypt. J. Otolaryngol. 2023, 39, 86. [Google Scholar] [CrossRef]
- Carvalho, M.I.; Pires, I.; Prada, J.; Ferreira, A.F.; Queiroga, F.L. Positive Interplay Between CD3+ T-Lymphocytes and Concurrent COX-2/EGFR Expression in Canine Malignant Mammary Tumors. Anticancer Res. 2015, 35, 2915–2920. [Google Scholar] [PubMed]
- Pires, I.; Prada, J.; Coelho, C.; Garcia, A.; Queiroga, F.L. Tumour-Associated Macrophages (TAMs) and Cox-2 Expression in Canine Melanocytic Lesions. In Melanoma in the Clinic; Murph, M., Ed.; IntechOpen: Rijeka, Croatia, 2011; pp. 163–180. ISBN 978-953-307-571-6. [Google Scholar]
- Varvil, M.S.; Bailey, T.; Dhawan, D.; Knapp, D.W.; Ramos-Vara, J.A.; Santos, A.P.D. The miRNome of Canine Invasive Urothelial Carcinoma. Front. Vet. Sci. 2022, 9, 945638. [Google Scholar] [CrossRef] [PubMed]
- Meuten, D.J.; Meuten, T.L.K. Tumors of the Urinary System. In Tumors in Domestic Animals; John Wiley & Sons, Ltd.: Hoboken, NJ, USA, 2016; pp. 632–688. ISBN 978-1-119-18120-0. [Google Scholar]
- Coussens, L.M.; Werb, Z. Inflammation and Cancer. Nature 2002, 420, 860–867. [Google Scholar] [CrossRef] [PubMed]
- Philip, M.; Rowley, D.A.; Schreiber, H. Inflammation as a Tumor Promoter in Cancer Induction. Semin. Cancer Biol. 2004, 14, 433–439. [Google Scholar] [CrossRef] [PubMed]
- Aggarwal, B.B.; Shishodia, S.; Sandur, S.K.; Pandey, M.K.; Sethi, G. Inflammation and Cancer: How Hot Is the Link? Biochem. Pharmacol. 2006, 72, 1605–1621. [Google Scholar] [CrossRef]
- Wu, M.P.; Luo, H.L.; Weng, S.F.; Ho, C.-H.; Chancellor, M.B.; Chuang, Y.C. Risk of Urinary Tract Carcinoma among Subjects with Bladder Pain Syndrome/Interstitial Cystitis: A Nationwide Population-Based Study. BioMed Res. Int. 2018, 2018, 7495081. [Google Scholar] [CrossRef]
- Butty, E.M.; Hahn, S.; Labato, M.A. Presumptive Malignant Transformation of Chronic Polypoid Cystitis into an Apical Transitional Cell Carcinoma without BRAF Mutation in a Young Female Dog. J. Vet. Intern. Med. 2021, 35, 1551–1557. [Google Scholar] [CrossRef] [PubMed]
- Simon, S.C.S.; Utikal, J.; Umansky, V. Opposing Roles of Eosinophils in Cancer. Cancer Immunol. Immunother. 2019, 68, 823–833. [Google Scholar] [CrossRef] [PubMed]
- Chusid, M.J. Eosinophils: Friends or Foes? J. Allergy Clin. Immunol. Pract. 2018, 6, 1439–1444. [Google Scholar] [CrossRef] [PubMed]
- Ferrari, D.; Vuerich, M.; Casciano, F.; Longhi, M.S.; Melloni, E.; Secchiero, P.; Zech, A.; Robson, S.C.; Müller, T.; Idzko, M. Eosinophils and Purinergic Signaling in Health and Disease. Front. Immunol. 2020, 11, 1339. [Google Scholar] [CrossRef] [PubMed]
- Reichman, H.; Karo-Atar, D.; Munitz, A. Emerging Roles for Eosinophils in the Tumor Microenvironment. Trends Cancer 2016, 2, 664–675. [Google Scholar] [CrossRef] [PubMed]
- Carretero, R.; Sektioglu, I.M.; Garbi, N.; Salgado, O.C.; Beckhove, P.; Hämmerling, G.J. Eosinophils Orchestrate Cancer Rejection by Normalizing Tumor Vessels and Enhancing Infiltration of CD8+ T Cells. Nat. Immunol. 2015, 16, 609–617. [Google Scholar] [CrossRef] [PubMed]
- Popov, H.; Donev, I.S.; Ghenev, P. Quantitative Analysis of Tumor-Associated Tissue Eosinophilia in Recurring Bladder Cancer. Cureus 2018, 10, e3279. [Google Scholar] [CrossRef] [PubMed]
- Nielsen, H.J.; Hansen, U.; Christensen, I.J.; Reimert, C.M.; Brünner, N.; Moesgaard, F.; The RANX05 Study Group. Independent Prognostic Value of Eosinophil and Mast Cell Infiltration in Colorectal Cancer Tissue. J. Pathol. 1999, 189, 487–495. [Google Scholar] [CrossRef]
- Harbaum, L.; Pollheimer, M.J.; Kornprat, P.; Lindtner, R.A.; Bokemeyer, C.; Langner, C. Peritumoral Eosinophils Predict Recurrence in Colorectal Cancer. Mod. Pathol. 2015, 28, 403–413. [Google Scholar] [CrossRef]
- Ownby, H.E.; Roi, L.D.; Isenberg, R.R.; Brennan, M.J. Peripheral Lymphocyte and Eosinophil Counts as Indicators of Prognosis in Primary Breast Cancer. Cancer 2006, 52, 126–130. [Google Scholar] [CrossRef]
- Shinke, G.; Yamada, D.; Eguchi, H.; Iwagami, Y.; Akita, H.; Asaoka, T.; Noda, T.; Gotoh, K.; Kobayashi, S.; Takeda, Y.; et al. The Postoperative Peak Number of Leukocytes after Hepatectomy Is a Significant Prognostic Factor for Cholangiocarcinoma. Mol. Clin. Oncol. 2019, 10, 531–540. [Google Scholar] [CrossRef] [PubMed]
- Orsi, G.; Tovoli, F.; Dadduzio, V.; Vivaldi, C.; Brunetti, O.; Ielasi, L.; Conti, F.; Rovesti, G.; Gramantieri, L.; Rizzato, M.D.; et al. Prognostic Role of Blood Eosinophil Count in Patients with Sorafenib-Treated Hepatocellular Carcinoma. Target. Oncol. 2020, 15, 773–785. [Google Scholar] [CrossRef] [PubMed]
- Zhang, Y.; Ren, H.; Wang, L.; Ning, Z.; Zhuang, Y.; Gan, J.; Chen, S.; Zhou, D.; Zhu, H.; Tan, D.; et al. Clinical Impact of Tumor-Infiltrating Inflammatory Cells in Primary Small Cell Esophageal Carcinoma. Int. J. Mol. Sci. 2014, 15, 9718–9734. [Google Scholar] [CrossRef] [PubMed]
- Prizment, A.E.; Vierkant, R.A.; Smyrk, T.C.; Tillmans, L.S.; Lee, J.J.; Sriramarao, P.; Nelson, H.H.; Lynch, C.F.; Thibodeau, S.N.; Church, T.R.; et al. Tumor Eosinophil Infiltration and Improved Survival of Colorectal Cancer Patients: Iowa Women’s Health Study. Mod. Pathol. 2016, 29, 516–527. [Google Scholar] [CrossRef] [PubMed]
- Jacobse, J.; Aziz, Z.; Sun, L.; Chaparro, J.; Pilat, J.M.; Kwag, A.; Buendia, M.; Wimbiscus, M.; Nasu, M.; Saito, T.; et al. Eosinophils Exert Antitumorigenic Effects in the Development of Esophageal Squamous Cell Carcinoma. Cell. Mol. Gastroenterol. Hepatol. 2023, 16, 961–983. [Google Scholar] [CrossRef] [PubMed]
- Temiz, M.Z.; Colakerol, A.; Ulus, I.; Kilic, E.; Paslanmaz, F.; Sahin, S.; Yuruk, E.; Kandirali, E.; Semercioz, A.; Muslumanoglu, A.Y. Prediction of Non-Muscle-Invasive Bladder Cancer Recurrence during Intravesical BCG Immunotherapy by Use of Peripheral Blood Eosinophil Count and Percentage: A Preliminary Report. Cancer Immunol. Immunother. 2021, 70, 245–252. [Google Scholar] [CrossRef] [PubMed]
- Cormier, S.A.; Taranova, A.G.; Bedient, C.; Nguyen, T.; Protheroe, C.; Pero, R.; Dimina, D.; Ochkur, S.I.; O’Neill, K.; Colbert, D.; et al. Pivotal Advance: Eosinophil Infiltration of Solid Tumors Is an Early and Persistent Inflammatory Host Response. J. Leukoc. Biol. 2006, 79, 1131–1139. [Google Scholar] [CrossRef]
- Davis, B.P.; Rothenberg, M.E. Eosinophils and Cancer. Cancer Immunol. Res. 2014, 2, 1–8. [Google Scholar] [CrossRef]
- Zhao, H.; Wu, L.; Yan, G.; Chen, Y.; Zhou, M.; Wu, Y.; Li, Y. Inflammation and Tumor Progression: Signaling Pathways and Targeted Intervention. Signal Transduct. Target. Ther. 2021, 6, 263. [Google Scholar] [CrossRef]
- Martinelli-Kläy, C.P.; Mendis, B.R.R.N.; Lombardi, T. Eosinophils and Oral Squamous Cell Carcinoma: A Short Review. J. Oncol. 2009, 2009, 310132. [Google Scholar] [CrossRef]
- Domingues, P.; González-Tablas, M.; Otero, Á.; Pascual, D.; Miranda, D.; Ruiz, L.; Sousa, P.; Ciudad, J.; Gonçalves, J.M.; Lopes, M.C.; et al. Tumor Infiltrating Immune Cells in Gliomas and Meningiomas. Brain. Behav. Immun. 2016, 53, 1–15. [Google Scholar] [CrossRef] [PubMed]
- Geissler, K.; Fornara, P.; Lautenschläger, C.; Holzhausen, H.-J.; Seliger, B.; Riemann, D. Immune Signature of Tumor Infiltrating Immune Cells in Renal Cancer. OncoImmunology 2015, 4, e985082. [Google Scholar] [CrossRef] [PubMed]
- Barnes, T.A.; Amir, E. HYPE or HOPE: The Prognostic Value of Infiltrating Immune Cells in Cancer. Br. J. Cancer 2017, 117, 451–460. [Google Scholar] [CrossRef] [PubMed]
- Grivennikov, S.I.; Greten, F.R.; Karin, M. Immunity, Inflammation, and Cancer. Cell 2010, 140, 883–899. [Google Scholar] [CrossRef] [PubMed]
- Aldebert, D.; Lamkhioued, B.; Desaint, C.; Gounni, A.S.; Goldman, M.; Capron, A.; Prin, L.; Capron, M. Eosinophils Express a Functional Receptor for Interferon a:Inhibitory Role of Interferon a on the Release of Mediators. Blood 1996, 87, 2354–2360. [Google Scholar] [CrossRef] [PubMed]
- Proffer, S.L.; Guo, R.; Demer, A.M.; Peters, M.S. Eosinophils in Metastatic Melanoma. Hum. Pathol. 2023, 141, 110–117. [Google Scholar] [CrossRef] [PubMed]
- Wu, T.; Dai, Y. Tumor Microenvironment and Therapeutic Response. Cancer Lett. 2017, 387, 61–68. [Google Scholar] [CrossRef]
- Leek, R.D.; Hunt, N.C.; Landers, R.J.; Lewis, C.E.; Royds, J.A.; Harris, A.L. Macrophage Infiltration Is Associated with VEGF and EGFR Expression in Breast Cancer. J. Pathol. 2000, 190, 430–436. [Google Scholar] [CrossRef]
- Wu, H.; Zhang, X.; Han, D.; Cao, J.; Tian, J. Tumour-Associated Macrophages Mediate the Invasion and Metastasis of Bladder Cancer Cells through CXCL8. PeerJ 2020, 8, e8721. [Google Scholar] [CrossRef]
- Subimerb, C.; Pinlaor, S.; Khuntikeo, N.; Leelayuwat, C.; Morris, A.; McGrath, M.S.; Wongkham, S. Tissue Invasive Macrophage Density Is Correlated with Prognosis in Cholangiocarcinoma. Mol. Med. Rep. 2010, 3, 597–605. [Google Scholar] [CrossRef]
- Yokota, S.; Kaji, K.; Yonezawa, T.; Momoi, Y.; Maeda, S. CD204+ Tumor-Associated Macrophages Are Associated with Clinical Outcome in Canine Pulmonary Adenocarcinoma and Transitional Cell Carcinoma. Vet. J. 2023, 296–297, 105992. [Google Scholar] [CrossRef]
- Yang, G.; Zhang, L.; Liu, M.; Liu, Q.; Duan, X.; Bo, J. CD163+ Macrophages Predict a Poor Prognosis in Patients with Primary T1 High-Grade Urothelial Carcinoma of the Bladder. World J. Urol. 2019, 37, 2721–2726. [Google Scholar] [CrossRef] [PubMed]
- Hanada, T.; Nakagawa, M.; Emoto, A.; Nomura, T.; Nasu, N.; Nomura, Y. Prognostic Value of Tumor-associated Macrophage Count in Human Bladder Cancer. Int. J. Urol. 2000, 7, 263–269. [Google Scholar] [CrossRef]
- Leblond, M.M.; Zdimerova, H.; Desponds, E.; Verdeil, G. Tumor-Associated Macrophages in Bladder Cancer: Biological Role, Impact on Therapeutic Response and Perspectives for Immunotherapy. Cancers 2021, 13, 4712. [Google Scholar] [CrossRef] [PubMed]
- Pollard, J.W. Macrophages Define the Invasive Microenvironment in Breast Cancer. J. Leukoc. Biol. 2008, 84, 623–630. [Google Scholar] [CrossRef] [PubMed]
- Evrard, D.; Szturz, P.; Tijeras-Raballand, A.; Astorgues-Xerri, L.; Abitbol, C.; Paradis, V.; Raymond, E.; Albert, S.; Barry, B.; Faivre, S. Macrophages in the Microenvironment of Head and Neck Cancer: Potential Targets for Cancer Therapy. Oral Oncol. 2019, 88, 29–38. [Google Scholar] [CrossRef] [PubMed]
- Zhang, Q.; Liu, L.; Gong, C.; Shi, H.; Zeng, Y.; Wang, X.; Zhao, Y.; Wei, Y. Prognostic Significance of Tumor-Associated Macrophages in Solid Tumor: A Meta-Analysis of the Literature. PLoS ONE 2012, 7, e50946. [Google Scholar] [CrossRef] [PubMed]
- Varricchi, G.; Galdiero, M.R.; Loffredo, S.; Lucarini, V.; Marone, G.; Mattei, F.; Marone, G.; Schiavoni, G. Eosinophils: The Unsung Heroes in Cancer? OncoImmunology 2018, 7, e1393134. [Google Scholar] [CrossRef]
- Kratochvill, F.; Neale, G.; Haverkamp, J.M.; Van de Velde, L.-A.; Smith, A.M.; Kawauchi, D.; McEvoy, J.; Roussel, M.F.; Dyer, M.A.; Qualls, J.E.; et al. TNF Counterbalances the Emergence of M2 Tumor Macrophages. Cell Rep. 2015, 12, 1902–1914. [Google Scholar] [CrossRef]
- Li, J.; Li, L.; Li, Y.; Long, Y.; Zhao, Q.; Ouyang, Y.; Bao, W.; Gong, K. Tumor-Associated Macrophage Infiltration and Prognosis in Colorectal Cancer: Systematic Review and Meta-Analysis. Int. J. Colorectal Dis. 2020, 35, 1203–1210. [Google Scholar] [CrossRef]
- Gatault, S.; Legrand, F.; Delbeke, M.; Loiseau, S.; Capron, M. Involvement of Eosinophils in the Anti-Tumor Response. Cancer Immunol. Immunother. 2012, 61, 1527–1534. [Google Scholar] [CrossRef]
- Rigoni, A.; Colombo, M.P.; Pucillo, C. Mast Cells, Basophils and Eosinophils: From Allergy to Cancer. Semin. Immunol. 2018, 35, 29–34. [Google Scholar] [CrossRef]




| Histological Grade | Histological Features |
|---|---|
| Low-Grade | Organized proliferation of the urothelium, mild to moderate cellular atypia, rare cases of mitosis, and absence of invasion. |
| High-grade | Disorganized growth of the urothelium, loss of cell polarity, numerous mitotic events, presence of multiple nucleoli, and evidence of invasion. |
| Infiltration | Number of TATE | Score |
|---|---|---|
| Low infiltration | 0–10 | 1 |
| Moderate infiltration | 11–20 | 2 |
| High infiltration | >21 | 3 |
| Infiltration | Number of TAMs | Score |
|---|---|---|
| Low infiltration | <20 | 1 |
| Moderate infiltration | 20–100 | 2 |
| High infiltration | >100 | 3 |
| Score | TATE 1 | TATE 2 | TATE 3 | Total |
|---|---|---|---|---|
| TAM 1 | 3 | 1 | 3 | 7 |
| TAM 2 | 7 | 2 | 3 | 12 |
| TAM 3 | 11 | 2 | 2 | 15 |
| Total | 21 | 5 | 8 | 34 |
Disclaimer/Publisher’s Note: The statements, opinions and data contained in all publications are solely those of the individual author(s) and contributor(s) and not of MDPI and/or the editor(s). MDPI and/or the editor(s) disclaim responsibility for any injury to people or property resulting from any ideas, methods, instructions or products referred to in the content. |
© 2024 by the authors. Licensee MDPI, Basel, Switzerland. This article is an open access article distributed under the terms and conditions of the Creative Commons Attribution (CC BY) license (https://creativecommons.org/licenses/by/4.0/).
Share and Cite
Files, R.; Okwu, V.; Topa, N.; Sousa, M.; Silva, F.; Rodrigues, P.; Delgado, L.; Prada, J.; Pires, I. Assessment of Tumor-Associated Tissue Eosinophilia (TATE) and Tumor-Associated Macrophages (TAMs) in Canine Transitional Cell Carcinoma of the Urinary Bladder. Animals 2024, 14, 519. https://doi.org/10.3390/ani14030519
Files R, Okwu V, Topa N, Sousa M, Silva F, Rodrigues P, Delgado L, Prada J, Pires I. Assessment of Tumor-Associated Tissue Eosinophilia (TATE) and Tumor-Associated Macrophages (TAMs) in Canine Transitional Cell Carcinoma of the Urinary Bladder. Animals. 2024; 14(3):519. https://doi.org/10.3390/ani14030519
Chicago/Turabian StyleFiles, Rita, Victor Okwu, Nuno Topa, Marisa Sousa, Filipe Silva, Paula Rodrigues, Leonor Delgado, Justina Prada, and Isabel Pires. 2024. "Assessment of Tumor-Associated Tissue Eosinophilia (TATE) and Tumor-Associated Macrophages (TAMs) in Canine Transitional Cell Carcinoma of the Urinary Bladder" Animals 14, no. 3: 519. https://doi.org/10.3390/ani14030519
APA StyleFiles, R., Okwu, V., Topa, N., Sousa, M., Silva, F., Rodrigues, P., Delgado, L., Prada, J., & Pires, I. (2024). Assessment of Tumor-Associated Tissue Eosinophilia (TATE) and Tumor-Associated Macrophages (TAMs) in Canine Transitional Cell Carcinoma of the Urinary Bladder. Animals, 14(3), 519. https://doi.org/10.3390/ani14030519

