Computed Tomography-Guided Radiofrequency Ablation of Nasal Carcinomas in Dogs
Simple Summary
Abstract
1. Introduction
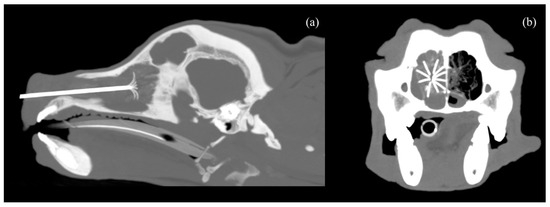
2. Materials and Methods
Statistical Analysis
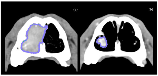
3. Results
4. Discussion
5. Conclusions
Author Contributions
Funding
Institutional Review Board Statement
Informed Consent Statement
Data Availability Statement
Conflicts of Interest
References
- Bienes, T.; Robin, E.; Le Boedec, K. Hydropulsion as Palliative, Long-Term, Last-Resort Treatment of Nasal Carcinoma in a Dog and a Cat. J. Am. Anim. Hosp. Assoc. 2019, 55, e55501. [Google Scholar] [CrossRef] [PubMed]
- Ishigaki, K.; Nariai, K.; Izumi, M.; Teshima, K.; Seki, M.; Edamura, K.; Takahashi, T.; Asano, K. Endoscopic photodynamic therapy using talaporfin sodium for recurrent intranasal carcinomas after radiotherapy in three dogs. J. Small Anim. Pract. 2018, 59, 128–132. [Google Scholar] [CrossRef]
- Merino-Gutierrez, V.; Borrego, J.F.; Puig, J.; Hernández, A.; Clemente-Vicario, F. Treatment of advanced-stage canine nasal carcinomas with toceranib phosphate: 23 cases (2015–2020). J. Small Anim. Pract. 2021, 62, 881–885. [Google Scholar] [CrossRef]
- Adams, W.M.; Kleiter, M.M.; Thrall, D.E.; Klauer, J.M.; Forrest, L.J.; La Due, T.A.; Havighurst, T.C. Prognostic significance of tumor histology and computed tomographic staging for radiation treatment response of canine nasal tumors. Vet. Radiol. Ultrasound 2009, 50, 330–335. [Google Scholar] [CrossRef] [PubMed]
- Murphy, S.M.; Lawrence, J.A.; Schmiedt, C.W.; Davis, K.W.; Lee, F.T., Jr.; Forrest, L.J.; Bjorling, D.E. Image-guided transnasal cryoablation of a recurrent nasal adenocarcinoma in a dog. J. Small Anim. Pract. 2011, 52, 329–333. [Google Scholar] [CrossRef] [PubMed]
- Carreira, L.M.; Azevedo, P. Advantages of the co(2) laser use in the rare condition of nasal mucosa squamous cell carcinoma surgery in dogs-a clinical prospective study. Lasers Med. Sci. 2024, 39, 114. [Google Scholar] [CrossRef] [PubMed]
- Ehling, T.J.; Klein, M.K.; Smith, L.; Prescott, D.; Haney, S.; Looper, J.; LaDue, T.; Brawner, W.; Fidel, J.; Shiomitsu, K.; et al. A prospective, multi-centre, Veterinary Radiation Therapy Oncology Group study reveals potential efficacy of toceranib phosphate (Palladia) as a primary or adjuvant agent in the treatment of canine nasal carcinoma. Vet. Comp. Oncol. 2022, 20, 293–303. [Google Scholar] [CrossRef]
- Morgan, M.J.; Lurie, D.M.; Villamil, A.J. Evaluation of tumor volume reduction of nasal carcinomas versus sarcomas in dogs treated with definitive fractionated megavoltage radiation: 15 cases (2010-2016). BMC Res. Notes 2018, 11, 70. [Google Scholar] [CrossRef] [PubMed]
- Rassnick, K.M.; Goldkamp, C.E.; Erb, H.N.; Scrivani, P.V.; Njaa, B.L.; Gieger, T.L.; Turek, M.M.; McNiel, E.A.; Proulx, D.R.; Chun, R.; et al. Evaluation of factors associated with survival in dogs with untreated nasal carcinomas: 139 cases (1993–2003). J. Am. Vet. Med. Assoc. 2006, 229, 401–406. [Google Scholar] [CrossRef]
- Cancedda, S.; Sabattini, S.; Bettini, G.; Leone, V.F.; Laganga, P.; Rossi, F.; Terragni, R.; Gnudi, G.; Vignoli, M. Combination of radiation therapy and firocoxib for the treatment of canine nasal carcinoma. Vet. Radiol. Ultrasound 2015, 56, 335–343. [Google Scholar] [CrossRef] [PubMed]
- Maglietti, F.; Tellado, M.; Olaiz, N.; Michinski, S.; Marshall, G. Minimally Invasive Electrochemotherapy Procedure for Treating Nasal Duct Tumors in Dogs using a Single Needle Electrode. Radiol. Oncol. 2017, 51, 422–430. [Google Scholar] [CrossRef] [PubMed]
- Bommarito, D.A.; Kent, M.S.; Selting, K.A.; Henry, C.J.; Lattimer, J.C. Reirradiation of recurrent canine nasal tumors. Vet. Radiol. Ultrasound 2011, 52, 207–212. [Google Scholar] [CrossRef] [PubMed]
- Mayer, M.N.; DeWalt, J.O.; Sidhu, N.; Mauldin, G.N.; Waldner, C.L. Outcomes and adverse effects associated with stereotactic body radiation therapy in dogs with nasal tumors: 28 cases (2011–2016). J. Am. Vet. Med. Assoc. 2019, 254, 602–612. [Google Scholar] [CrossRef] [PubMed]
- Gieger, T.L.; Haney, S.M.; Nolan, M.W. Re-irradiation of canine non-lymphomatous nasal tumours using stereotactic radiation therapy (10 Gy x 3) for both courses: Assessment of outcome and toxicity in 11 dogs. Vet. Comp. Oncol. 2022, 20, 502–508. [Google Scholar] [CrossRef]
- Dickerson, V.M.; Grimes, J.A.; Vetter, C.A.; Colopy, S.A.; Duval, J.M.; Northrup, N.C.; Schmiedt, C.W. Outcome following cosmetic rostral nasal reconstruction after planectomy in 26 dogs. Vet. Surg. 2019, 48, 64–69. [Google Scholar] [CrossRef] [PubMed]
- Adams, W.M.; Bjorling, D.E.; McAnulty, J.E.; Green, E.M.; Forrest, L.J.; Vail, D.M. Outcome of accelerated radiotherapy alone or accelerated radiotherapy followed by exenteration of the nasal cavity in dogs with intranasal neoplasia: 53 cases (1990–2002). J. Am. Vet. Med. Assoc. 2005, 227, 936–941. [Google Scholar] [CrossRef] [PubMed]
- Laing, E.J.; Binnington, A.G. Surgical therapy of canine nasal tumors: A retrospective study (1982–1986). Can. Vet. J. 1988, 29, 809–813. [Google Scholar] [PubMed]
- Pauly, L.A.M.; Junginger, J.; Oechtering, G.U.; Hewicker-Trautwein, M.; Rösch, S. Expression of vascular endothelial growth factor receptor-2, epidermal growth factor receptor, cyclooxygenase-2, survivin, E-cadherin and Ki-67 in canine nasal carcinomas and sarcomas—A pilot study. Front. Vet. Sci. 2024, 11, 1388493. [Google Scholar] [CrossRef] [PubMed]
- Giuliano, A.; Almendros, A. Retrospective Evaluation of a Combination of Carboplatin and Bleomycin for the Treatment of Canine Carcinomas. Animals 2022, 12, 2340. [Google Scholar] [CrossRef] [PubMed]
- Woodruff, M.J.; Heading, K.L.; Bennett, P. Canine intranasal tumours treated with alternating carboplatin and doxorubin in conjunction with oral piroxicam: 29 cases. Vet. Comp. Oncol. 2019, 17, 42–48. [Google Scholar] [CrossRef] [PubMed]
- Dobson, J.; de Queiroz, G.F.; Golding, J.P. Photodynamic therapy and diagnosis: Principles and comparative aspects. Vet. J. 2018, 233, 8–18. [Google Scholar] [CrossRef]
- Ellis, L.M.; Curley, C.A.; Tanabe, K.K. Radiofrequency Ablation: Current Indications, Techniques and Outcomes; Springer: New York, NY, USA, 2004; Volume 242. [Google Scholar]
- Singh, S.; Melnik, R. Thermal ablation of biological tissues in disease treatment: A review of computational models and future directions. Electromagn. Biol. Med. 2020, 39, 49–88. [Google Scholar] [CrossRef] [PubMed]
- Vogt, F.M.; Antoch, G.; Veit, P.; Freudenberg, L.S.; Blechschmid, N.; Diersch, O.; Bockisch, A.; Barkhausen, J.; Kuehl, H. Morphologic and functional changes in nontumorous liver tissue after radiofrequency ablation in an in vivo model: Comparison of 18F-FDG PET/CT, MRI, ultrasound, and CT. J. Nucl. Med. 2007, 48, 1836–1844. [Google Scholar] [CrossRef]
- Alyusuf, E.Y.; Ekhzaimy, A.A.; Rivera, J.A. Radiofrequency Ablation as a Primary Therapy for Benign Functioning Insulinoma. AACE Clin. Case Rep. 2021, 7, 153–157. [Google Scholar] [CrossRef] [PubMed]
- Bai, X.M.; Cui, M.; Yang, W.; Wang, H.; Wang, S.; Zhang, Z.Y.; Wu, W.; Chen, M.H.; Yan, K.; Goldberg, S.N. The 10-year Survival Analysis of Radiofrequency Ablation for Solitary Hepatocellular Carcinoma 5 cm or Smaller: Primary versus Recurrent HCC. Radiology 2021, 300, 458–469. [Google Scholar] [CrossRef] [PubMed]
- Dai, Y.; Covarrubias, D.; Uppot, R.; Arellano, R.S. Image-Guided Percutaneous Radiofrequency Ablation of Central Renal Cell Carcinoma: Assessment of Clinical Efficacy and Safety in 31 Tumors. J. Vasc. Interv. Radiol. 2017, 28, 1643–1650. [Google Scholar] [CrossRef]
- Galletti, B.; Gazia, F.; Galletti, C.; Freni, F.; Galletti, C.; Bruno, R.; Sireci, F.; Galletti, F. Radiofrequency VS Cold Surgery to Treat Oral Papillomatous Lesions. Iran. J. Otorhinolaryngol. 2021, 33, 87–91. [Google Scholar] [CrossRef]
- Hasegawa, T.; Kuroda, H.; Sakakura, N.; Sato, Y.; Chatani, S.; Murata, S.; Yamaura, H.; Nakada, T.; Oya, Y.; Inaba, Y. Novel strategy to treat lung metastases: Hybrid therapy involving surgery and radiofrequency ablation. Thorac. Cancer 2021, 12, 2085–2092. [Google Scholar] [CrossRef] [PubMed]
- Inoue, T.; Yoneda, M. Updated evidence on the clinical impact of endoscopic radiofrequency ablation in the treatment of malignant biliary obstruction. Dig. Endosc. 2021, 34, 345–358. [Google Scholar] [CrossRef]
- Koo, J.S.; Chung, S.H. The Efficacy of Radiofrequency Ablation for Bone Tumors Unsuitable for Radical Excision. Clin. Orthop. Surg. 2021, 13, 278–285. [Google Scholar] [CrossRef] [PubMed]
- Nunes, T.F.; Szejnfeld, D.; Xavier, A.C.; Goldman, S.M. Percutaneous ablation of functioning adenoma in a patient with a single adrenal gland. BMJ Case Rep. 2013, 2013, bcr2013009692. [Google Scholar] [CrossRef] [PubMed]
- Nunes, T.F.; Szejnfeld, D.; Xavier, A.C.; Kater, C.E.; Freire, F.; Ribeiro, C.A.; Goldman, S.M. Percutaneous ablation of functioning adrenal adenoma: A report on 11 cases and a review of the literature. Abdom. Imaging 2013, 38, 1130–1135. [Google Scholar] [CrossRef]
- Qu, C.; Li, X.Q.; Li, C.; Xia, F.; Feng, K.; Ma, K. The Short-Term Efficacy of Novel No-Touch Combined Directional Perfusion Radiofrequency Ablation in the Treatment of Small Hepatocellular Carcinoma with Cirrhosis. J. Investig. Surg. 2021, 35, 880–887. [Google Scholar] [CrossRef] [PubMed]
- Rimbaș, M.; Rizzatti, G.; Larghi, A. EUS-guided ablation of pancreatic neoplasms. Minerva Gastroenterol. 2021, 68, 186–201. [Google Scholar] [CrossRef] [PubMed]
- Shen, X.; Chen, T.; Yang, B.; Liu, N.; Qian, X.; Xia, B.; Feng, D.; Chen, S. Magnetic resonance imaging-guided microwave ablation for lung tumor: A case report. Quant. Imaging Med. Surg. 2021, 11, 2780–2784. [Google Scholar] [CrossRef]
- Shibamoto, K.; Mimura, H.; Fukuhara, Y.; Nishino, K.; Kawamoto, H.; Kato, K. Feasibility, safety, and efficacy of artificial carbon dioxide pneumothorax for computed tomography fluoroscopy-guided percutaneous radiofrequency ablation of hepatocellular carcinoma. Jpn. J. Radiol. 2021, 39, 1119–1126. [Google Scholar] [CrossRef] [PubMed]
- Wu, M.H.; Chen, K.Y.; Chen, A.; Chen, C.N. Differences in the ultrasonographic appearance of thyroid nodules after radiofrequency ablation. Clin. Endocrinol. 2021, 95, 489–497. [Google Scholar] [CrossRef] [PubMed]
- Ferrari, M.; Orlandi, E.; Bossi, P. Sinonasal cancers treatments: State of the art. Curr. Opin. Oncol. 2021, 33, 196–205. [Google Scholar] [CrossRef] [PubMed]
- Hay, A.N.; Aycock, K.N.; Lorenzo, M.F.; David, K.; Coutermarsh-Ott, S.; Salameh, Z.; Campelo, S.N.; Arroyo, J.P.; Ciepluch, B.; Daniel, G.; et al. Investigation of High Frequency Irreversible Electroporation for Canine Spontaneous Primary Lung Tumor Ablation. Biomedicines 2024, 12, 2038. [Google Scholar] [CrossRef]
- Zhong, C.H.; Fan, M.Y.; Xu, H.; Jin, R.G.; Chen, Y.; Chen, X.B.; Tang, C.L.; Su, Z.Q.; Li, S.Y. Feasibility and Safety of Radiofrequency Ablation Guided by Bronchoscopic Transparenchymal Nodule Access in Canines. Respiration 2021, 100, 1097–1104. [Google Scholar] [CrossRef]
- Yang, T.; Case, J.B.; Boston, S.; Dark, M.J.; Toskich, B. Microwave ablation for treatment of hepatic neoplasia in five dogs. J. Am. Vet. Med. Assoc. 2017, 250, 79–85. [Google Scholar] [CrossRef] [PubMed]
- Solari, F.P.; Case, J.B.; Vilaplana Grosso, F.R.; Bertran, J.; Fox-Alvarez, S.; Cabrera, R. Laparoscopic ultrasound-guided microwave ablation of hepatocellular carcinoma in a dog. Vet. Surg. 2024, 53, 1495–1503. [Google Scholar] [CrossRef]
- Partridge, B.R.; O’Brien, T.J.; Lorenzo, M.F.; Coutermarsh-Ott, S.L.; Barry, S.L.; Stadler, K.; Muro, N.; Meyerhoeffer, M.; Allen, I.C.; Davalos, R.V.; et al. High-Frequency Irreversible Electroporation for Treatment of Primary Liver Cancer: A Proof-of-Principle Study in Canine Hepatocellular Carcinoma. J. Vasc. Interv. Radiol. 2020, 31, 482–491.e4. [Google Scholar] [CrossRef]
- Mazzaccari, K.; Boston, S.E.; Toskich, B.B.; Bowles, K.; Case, J.B. Video-assisted microwave ablation for the treatment of a metastatic lung lesion in a dog with appendicular osteosarcoma and hypertrophic osteopathy. Vet. Surg. 2017, 46, 1161–1165. [Google Scholar] [CrossRef] [PubMed]
- Locatelli, A.; Treggiari, E.; Innocenti, M.; Romanelli, G. Percutaneous ultrasound-guided microwave ablation for treatment of hepatocellular carcinomas in dogs: Four cases (2019-2020). J. Small Anim. Pract. 2022, 63, 897–903. [Google Scholar] [CrossRef]
- Liu, R.; Duan, S.; Cao, H.; Cao, G.; Chang, Z.; Zhang, Y.; Li, Y.; Wu, Y.; Liu, L.; Zhang, L. A pilot study of the shapes of ablation lesions in the canine prostate by laser, radiofrequency and microwave and their clinical significance. PLoS ONE 2020, 15, e0223229. [Google Scholar] [CrossRef]
- Jia, L.; Bin, H.; Bing, H.; Jin, H. CEUS examination of the outcome of radiofrequency ablation of canine prostate lesions. Minim. Invasive Ther. Allied Technol. 2021, 30, 334–340. [Google Scholar] [CrossRef] [PubMed]
- Hung, A.J.; Ma, Y.; Zehnder, P.; Nakamoto, M.; Gill, I.S.; Ukimura, O. Percutaneous radiofrequency ablation of virtual tumours in canine kidney using Global Positioning System-like technology. BJU Int. 2012, 109, 1398–1403. [Google Scholar] [CrossRef] [PubMed]
- Hu, B.; Hu, B.; Chen, L.; Li, J.; Huang, J. Contrast-enhanced ultrasonography evaluation of radiofrequency ablation of the prostate: A canine model. J. Endourol. 2010, 24, 89–93. [Google Scholar] [CrossRef] [PubMed]
- Gomez Ochoa, P.; Alferez, M.D.; de Blas, I.; Fernendes, T.; Sanchez Salguero, X.; Balana, B.; Melendez Lazo, A.; Barbero Fernandez, A.; Caivano, D.; Corda, F.; et al. Ultrasound-Guided Radiofrequency Ablation of Chemodectomas in Five Dogs. Animals 2021, 11, 2790. [Google Scholar] [CrossRef]
- Dornbusch, J.A.; Wavreille, V.A.; Dent, B.; Fuerst, J.A.; Green, E.M.; Selmic, L.E. Percutaneous microwave ablation of solitary presumptive pulmonary metastases in two dogs with appendicular osteosarcoma. Vet. Surg. 2020, 49, 1174–1182. [Google Scholar] [CrossRef] [PubMed]
- Culp, W.T.N.; Johnson, E.G.; Palm, C.A.; Burton, J.H.; Rebhun, R.B.; Rodriguez, C.O.; Kent, M.S.; Glaiberman, C.B. Use of percutaneous microwave ablation in the treatment of retroperitoneal neoplasia in three dogs. J. Am. Vet. Med. Assoc. 2021, 259, 1171–1177. [Google Scholar] [CrossRef]
- Chen, W.; Tang, X.; Yang, X.; Weng, C.; Yang, K.; Wen, J.; Liu, H.; Wu, Y. Effects and Mechanisms of Radiofrequency Ablation of Renal Sympathetic Nerve on Anti-Hypertension in Canine. Arq. Bras. Cardiol. 2017, 108, 237–245. [Google Scholar] [CrossRef]
- Carroll, J.; Coutermarsh-Ott, S.; Klahn, S.L.; Tuohy, J.; Barry, S.L.; Allen, I.C.; Hay, A.N.; Ruth, J.; Dervisis, N. High intensity focused ultrasound for the treatment of solid tumors: A pilot study in canine cancer patients. Int. J. Hyperth. 2022, 39, 855–864. [Google Scholar] [CrossRef]
- Alférez, M.D.; Corda, A.; de Blas, I.; Gago, L.; Fernandes, T.; Rodríguez-Piza, I.; Balañá, B.; Corda, F.; Gómez Ochoa, P. Percutaneous Ultrasound-Guided Radiofrequency Ablation as a Therapeutic Approach for the Management of Insulinomas and Associated Metastases in Dogs. Animals 2024, 14, 3301. [Google Scholar] [CrossRef] [PubMed]
- Du, W. Effect analysis of nasal inverted papilloma in nasal cavity and paranasal sinus by radiofrequency ablation under nasal endoscopy. Lin Chuang Er Bi Yan Hou Tou Jing Wai Ke Za Zhi 2013, 27, 42–43. [Google Scholar] [PubMed]
- Liang, J.P.; Li, D.Y.; Liu, B. Radiofrequency treatment of hemangioma of nasal cavity under nasal endoscopy. Lin Chuang Er Bi Yan Hou Ke Za Zhi 2000, 14, 456–457. [Google Scholar]
- Kostrzewa, J.P.; Sunde, J.; Riley, K.O.; Woodworth, B.A. Radiofrequency coblation decreases blood loss during endoscopic sinonasal and skull base tumor removal. ORL J. Otorhinolaryngol. Relat. Spec. 2010, 72, 38–43. [Google Scholar] [CrossRef] [PubMed]
- Lou, Z.C. Microwave Ablation for the Removal of Benign Lesion of Nasal Cavity: “How I Do It”. Am. J. Rhinol. Allergy 2020, 34, 74–79. [Google Scholar] [CrossRef]
- Long, X.; Li, Z.; Liu, Y.; Zhen, H. Clinical Application of Low-Temperature Plasma Radiofrequency in the Treatment of Hemangioma in Nasal Cavity, Pharynx and Larynx. Ear Nose Throat J. 2024, 103, 447–453. [Google Scholar] [CrossRef]
- She, C.P.; Zhang, Q.F.; Song, W.; Zhang, X.R.; Cheng, C.J.; Pan, T. Endoscopic surgery using the low-temperature plasma radiofrequency for nasal hemangioma. Zhonghua Er Bi Yan Hou Tou Jing Wai Ke Za Zhi 2010, 45, 197–199. [Google Scholar] [PubMed]
- Zhang, D.; Xiao, L.; Tian, H. Endoscopic pleomorphic adenoma of nasal septum resection assisted by low-temperature plasm radiofrequency: A case report. Lin Chuang Er Bi Yan Hou Tou Jing Wai Ke Za Zhi 2014, 28, 1713. [Google Scholar]
- Zhang, Q.; She, C.; Song, W.; Cui, S. Nasal mucosa recovery after endoscopic surgery using the plasma radiofrequency ablation at low temperature for treatment of nasal inverted papilloma. Lin Chuang Er Bi Yan Hou Tou Jing Wai Ke Za Zhi 2014, 28, 520–522. [Google Scholar]
- Zhong, Q.Y.; Sun, Q.; Liu, Z.H. Endoscopic Low-Temperature Plasma Radiofrequency Ablation for Primary Thyroid-Like Low-Grade Nasopharyngeal Papillary Adenocarcinoma. Ear Nose Throat J. 2021, 100, 563–564. [Google Scholar] [CrossRef] [PubMed]
- Cannon, D.E.; Poetker, D.M.; Loehrl, T.A.; Chun, R.H. Use of coblation in resection of juvenile nasopharyngeal angiofibroma. Ann. Otol. Rhinol. Laryngol. 2013, 122, 353–357. [Google Scholar] [CrossRef] [PubMed]
- Ruiz, J.W.; Saint-Victor, S.; Tessema, B.; Eloy, J.A.; Anstead, A. Coblation assisted endoscopic juvenile nasopharyngeal angiofibroma resection. Int. J. Pediatr. Otorhinolaryngol. 2012, 76, 439–442. [Google Scholar] [CrossRef]
- Syed, M.I.; Mennie, J.; Williams, A.T. Early experience of radio frequency coblation in the management of intranasal and sinus tumors. Laryngoscope 2012, 122, 436–439. [Google Scholar] [CrossRef] [PubMed]
- Zhang, L.; Shi, H.; Li, D.; Ye, H.; Zhang, W.; Yin, S. Radiofrequency Coblation-Assisted Resection of Skull Base Neoplasms Using an Endoscopic Endonasal Approach. ORL J. Otorhinolaryngol. Relat. Spec. 2020, 82, 25–33. [Google Scholar] [CrossRef]
- Goldberg, S.N.; Gazelle, G.S.; Compton, C.C.; Mueller, P.R.; Tanabe, K.K. Treatment of intrahepatic malignancy with radiofrequency ablation: Radiologic-pathologic correlation. Cancer 2000, 88, 2452–2463. [Google Scholar] [CrossRef]
- Jiang, B.; Zhao, K.; Yan, K.; Wang, S.; Meng, Y.; Liu, B.; Wu, H.; Wang, H. Percutaneous radiofrequency ablation near large vessels in beagle livers: The impact of time and distance on the ablation zone. Int. J. Hyperth. 2021, 38, 1263–1270. [Google Scholar] [CrossRef] [PubMed]
- Wood, B.J.; Abraham, J.; Hvizda, J.L.; Alexander, H.R.; Fojo, T. Radiofrequency ablation of adrenal tumors and adrenocortical carcinoma metastases. Cancer 2003, 97, 554–560. [Google Scholar] [CrossRef]
- Faraoni, D.; Willems, A.; Melot, C.; De Hert, S.; Van der Linden, P. Efficacy of tranexamic acid in paediatric cardiac surgery: A systematic review and meta-analysis. Eur. J. Cardiothorac. Surg. 2012, 42, 781–786. [Google Scholar] [CrossRef] [PubMed]
- Fletcher, D.J.; Blackstock, K.J.; Epstein, K.; Brainard, B.M. Evaluation of tranexamic acid and epsilon-aminocaproic acid concentrations required to inhibit fibrinolysis in plasma of dogs and humans. Am. J. Vet. Res. 2014, 75, 731–738. [Google Scholar] [CrossRef] [PubMed]
- Marin, L.M.; Iazbik, M.C.; Zaldivar-Lopez, S.; Guillaumin, J.; McLoughlin, M.A.; Couto, C.G. Epsilon aminocaproic acid for the prevention of delayed postoperative bleeding in retired racing greyhounds undergoing gonadectomy. Vet. Surg. 2012, 41, 594–603. [Google Scholar] [CrossRef] [PubMed]
- Henry, C.J.; Brewer, W.G., Jr.; Tyler, J.W.; Brawner, W.R.; Henderson, R.A.; Hankes, G.H.; Royer, N. Survival in dogs with nasal adenocarcinoma: 64 cases (1981-1995). J. Vet. Intern. Med. 1998, 12, 436–439. [Google Scholar] [CrossRef]
- Malinowski, C. Canine and feline nasal neoplasia. Clin. Tech. Small Anim. Pract. 2006, 21, 89–94. [Google Scholar] [CrossRef]
- Mizuno, R.; Mori, T. Prognostic factors and survival following radiation therapy for canine nasal tumors: A single-institution retrospective study of 166 cases. Open Vet. J. 2024, 14, 1538–1552. [Google Scholar] [CrossRef]
- Nemcek, A.A. Complications of radiofrequency ablation of neoplasms. Semin. Interv. Radiol. 2006, 23, 177–187. [Google Scholar] [CrossRef] [PubMed]
- Mir, L.M.; Morsli, N.; Garbay, J.R.; Billard, V.; Robert, C.; Marty, M. Electrochemotherapy: A new treatment of solid tumors. J. Exp. Clin. Cancer Res. 2003, 22, 145–148. [Google Scholar] [PubMed]
- Hunley, D.W.; Mauldin, G.N.; Shiomitsu, K.; Mauldin, G.E. Clinical outcome in dogs with nasal tumors treated with intensity-modulated radiation therapy. Can. Vet. J. 2010, 51, 293–300. [Google Scholar]
- Zhang, Y.; Sun, Y.; Chen, J.; Wang, X.; Wu, K.; Huang, Z. Microwave ablation combined with neoadjuvant chemotherapy for the treatment of breast cancer: A randomized controlled trial. Oncotarget 2017, 8, 44579–44591. [Google Scholar]
- Song, M.J.; Bae, S.H.; Lee, J.S.; Lee, S.W.; Song, D.S.; You, C.R.; Choi, J.Y.; Yoon, S.K. Radiofrequency ablation plus drug-eluting beads transcatheter arterial chemoembolization for the treatment of single large hepatocellular carcinoma. Liver Int. 2019, 39, 1427–1436. [Google Scholar]
- Liu, H.; Wang, Z.G.; Fu, S.Y.; Li, A.J.; Pan, Z.Y.; Zhou, W.P.; Lau, W.Y.; Wu, M.C. Combination of radiofrequency ablation with transarterial chemoembolization for hepatocellular carcinoma: A multicentre randomized trial. J. Hepatol. 2016, 64, 619–626. [Google Scholar]
- Kim, J.W.; Kim, J.H.; Won, H.J.; Shin, Y.M.; Yoon, H.K.; Sung, K.B.; Kim, P.N. Percutaneous radiofrequency ablation combined with transcatheter arterial chemoembolization and ethanol injection for hepatocellular carcinoma 3–5 cm in diameter. Eur. Radiol. 2014, 24, 403–409. [Google Scholar]
- Greten, T.F.; Mauda-Havakuk, M.; Heinrich, B.; Korangy, F.; Wood, B.J. Combination radiofrequency ablation and immunotherapy in unresectable hepatocellular carcinoma: A randomized phase II trial. J. Clin. Oncol. 2020, 38, 4590. [Google Scholar]
- Vanherberghen, M.; Day, M.J.; Delvaux, F.; Gabriel, A.; Clercx, C.; Peeters, D. An immunohistochemical study of the inflammatory infiltrate associated with nasal carcinoma in dogs and cats. J. Comp. Pathol. 2009, 141, 17–26. [Google Scholar] [CrossRef] [PubMed]
- Nierkens, S.; den Brok, M.H.; Ruers, T.J.; Adema, G.J. Radiofrequency Ablation in Cancer Therapy: Tuning in to in situ Tumor Vaccines. In Tumor Ablation: Effects on Systemic and Local Anti-Tumor Immunity and on Other Tumor-Microenvironment Interactions; Keisari, Y., Ed.; Springer: Dordrecht, The Netherlands, 2013; pp. 39–59. [Google Scholar] [CrossRef]
- Gameiro, S.R.; Higgins, J.P.; Dreher, M.R.; Woods, D.L.; Reddy, G.; Wood, B.J.; Guha, C.; Hodge, J.W. Combination therapy with local radiofrequency ablation and systemic vaccine enhances antitumor immunity and mediates local and distal tumor regression. PLoS ONE 2013, 8, e70417. [Google Scholar] [CrossRef] [PubMed]
- Slovak, R.; Ludwig, J.M.; Gettinger, S.N.; Herbst, R.S.; Kim, H.S. Immuno-thermal ablations—Boosting the anticancer immune response. J. Immunother. Cancer 2017, 5, 78. [Google Scholar] [CrossRef] [PubMed]
- Palussière, J.; Italiano, A.; Descat, E.; Ferron, S.; Cornélis, F.; Avril, A.; Brouste, V.; Bui, B.N. Sarcoma Lung Metastases Treated with Percutaneous Radiofrequency Ablation: Results from 29 Patients. Ann. Surg. Oncol. 2011, 18, 3771–3777. [Google Scholar] [CrossRef] [PubMed]
- Parvinian, A.; Thompson, S.M.; Schmitz, J.J.; Welch, B.T.; Hibbert, R.; Adamo, D.A.; Kurup, A.N. Update on Percutaneous Ablation for Sarcoma. Curr. Oncol. Rep. 2024, 26, 601–613. [Google Scholar] [CrossRef]



| Variable | Time | Mean | SD | min | Q1 | Q2 | Q3 | Max | p-Value w |
|---|---|---|---|---|---|---|---|---|---|
| HU | T0 | 98.2 | 6.6 | 87 | 95 | 98 | 101.5 | 110 | 0.001 |
| T1 | 60.9 | 9.4 | 50 | 52.5 | 61 | 67.5 | 78 | ||
| Attenuation reduction (%) | 37.6 | 11.1 | 11.4 | 32.4 | 38 | 46.1 | 51.8 | ||
| Volume (cm3) | T0 | 25.2 | 11.1 | 12.3 | 17.0 | 19.5 | 35.7 | 43.8 | 0.001 |
| T2 | 4.4 | 2.7 | 2.2 | 2.6 | 3.2 | 4.8 | 11.2 | ||
| Volume reduction (%) | 82.8 | 4.5 | 74.4 | 81.5 | 83.1 | 84.7 | 9.1 | ||
Disclaimer/Publisher’s Note: The statements, opinions and data contained in all publications are solely those of the individual author(s) and contributor(s) and not of MDPI and/or the editor(s). MDPI and/or the editor(s) disclaim responsibility for any injury to people or property resulting from any ideas, methods, instructions or products referred to in the content. |
© 2024 by the authors. Licensee MDPI, Basel, Switzerland. This article is an open access article distributed under the terms and conditions of the Creative Commons Attribution (CC BY) license (https://creativecommons.org/licenses/by/4.0/).
Share and Cite
Alférez, M.D.; Corda, A.; de Blas, I.; Gago, L.; Fernandes, T.; Rodríguez-Piza, I.; Balañá, B.; Pentcheva, P.; Caruncho, J.; Barbero-Fernández, A.; et al. Computed Tomography-Guided Radiofrequency Ablation of Nasal Carcinomas in Dogs. Animals 2024, 14, 3682. https://doi.org/10.3390/ani14243682
Alférez MD, Corda A, de Blas I, Gago L, Fernandes T, Rodríguez-Piza I, Balañá B, Pentcheva P, Caruncho J, Barbero-Fernández A, et al. Computed Tomography-Guided Radiofrequency Ablation of Nasal Carcinomas in Dogs. Animals. 2024; 14(24):3682. https://doi.org/10.3390/ani14243682
Chicago/Turabian StyleAlférez, María Dolores, Andrea Corda, Ignacio de Blas, Lucas Gago, Telmo Fernandes, Ignacio Rodríguez-Piza, Beatriz Balañá, Plamena Pentcheva, Javier Caruncho, Alicia Barbero-Fernández, and et al. 2024. "Computed Tomography-Guided Radiofrequency Ablation of Nasal Carcinomas in Dogs" Animals 14, no. 24: 3682. https://doi.org/10.3390/ani14243682
APA StyleAlférez, M. D., Corda, A., de Blas, I., Gago, L., Fernandes, T., Rodríguez-Piza, I., Balañá, B., Pentcheva, P., Caruncho, J., Barbero-Fernández, A., Llinás, J., Rivas, D., Escudero, A., & Gómez-Ochoa, P. (2024). Computed Tomography-Guided Radiofrequency Ablation of Nasal Carcinomas in Dogs. Animals, 14(24), 3682. https://doi.org/10.3390/ani14243682

