Rapid Detection of Feline Calicivirus Using Lateral Flow Dipsticks Based on CRISPR/Cas13a System
Simple Summary
Abstract
1. Introduction
2. Materials and Methods
2.1. Extraction of Nucleic Acid
2.2. Design of Primers and crRNA, Selecting of Primers
2.3. Transcription and Purification of crRNA
2.4. Construction of Standard Plasmid
2.5. Establishment of Cas13a-RAA-LFD for FCV Detection
2.6. Optimization of Cas13a-RAA-LFD for FCV Detection
2.7. Specific Detection
2.8. Sensitivity Detection
2.9. Repeatability Detection
2.10. Testing of Clinical Samples
3. Results
3.1. Preparation of Standard Plasmid
3.2. Selecting of RAA Primers
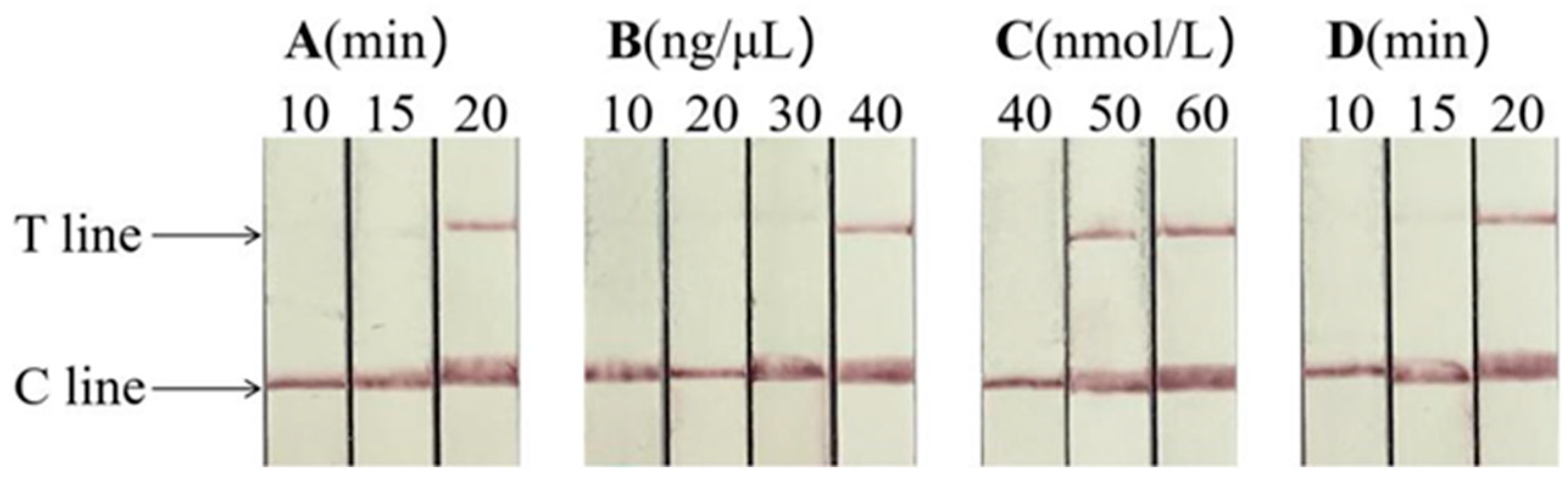
3.3. Optimal Conditions of Cas13a-RAA-LFD for FCV Detection
3.4. Specific Detection of Cas13a-RAA-LFD for FCV Detection
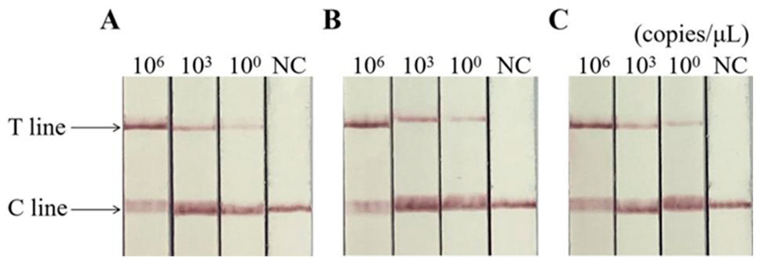
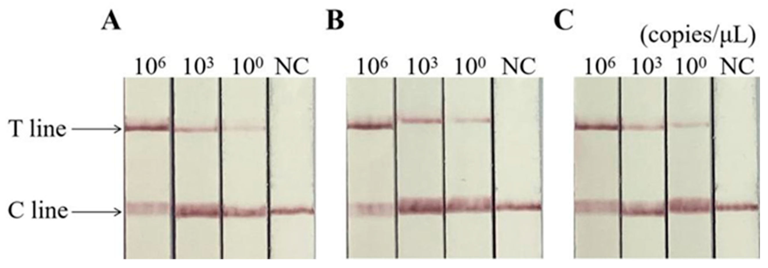
3.5. Sensitivity Detection of Cas13a-RAA-LFD for FCV Detection
3.6. Repeatability Detection of Cas13a-RAA-LFD for FCV Detection
3.7. Clinical Sample Testing
4. Discussion
5. Conclusions
Author Contributions
Funding
Institutional Review Board Statement
Informed Consent Statement
Data Availability Statement
Conflicts of Interest
References
- Hofmann-Lehmann, R.; Hosie, M.J.; Hartmann, K.; Egberink, H.; Truyen, U.; Tasker, S.; Belák, S.; Boucraut-Baralon, C.; Frymus, T.; Lloret, A.; et al. Calicivirus Infection in Cats. Viruses 2022, 14, 937. [Google Scholar] [CrossRef] [PubMed]
- Spiri, A.M. An Update on Feline Calicivirus. Schweiz. Arch. Tierheilkd. 2022, 164, 225–241. [Google Scholar] [CrossRef] [PubMed]
- Komina, A.; Krasnikov, N.; Kucheruk, O.; Zhukova, E.; Yuzhakov, A.; Gulyukin, A. Distribution and Genetic Diversity of Feline Calicivirus in Moscow Metropolitan Area. J. Vet. Sci. 2022, 23, e92. [Google Scholar] [CrossRef]
- Pesavento, P.A.; Chang, K.O.; Parker, J.S. Molecular Virology of Feline Calicivirus. Vet. Clin. N. Am. Small Anim. Pract. 2008, 38, 775–786. [Google Scholar] [CrossRef]
- Spiri, A.M.; Meli, M.L.; Riond, B.; Herbert, I.; Hosie, M.J.; Hofmann-Lehmann, R. Environmental Contamination and Hygienic Measures After Feline Calicivirus Field Strain Infections of Cats in a Research Facility. Viruses 2019, 11, 958. [Google Scholar] [CrossRef]
- Duizer, E.; Bijkerk, P.; Rockx, B.; De Groot, A.; Twisk, F.; Koopmans, M. Inactivation of Caliciviruses. Appl. Environ. Microbiol. 2004, 70, 4538–4543. [Google Scholar] [CrossRef]
- Spiri, A.M.; Novacco, M.; Meli, M.L.; Stirn, M.; Riond, B.; Fogle, J.E.; Boretti, F.S.; Herbert, I.; Hosie, M.J.; Hofmann-Lehmann, R. Modified-Live Feline Calicivirus Vaccination Elicits Cellular Immunity against a Current Feline Calicivirus Field Strain in an Experimental Feline Challenge Study. Viruses 2021, 13, 1736. [Google Scholar] [CrossRef]
- Urban, C.; Luttermann, C. Major Capsid Protein Synthesis from the Genomic RNA of Feline Calicivirus. J. Virol. 2020, 94, 1110–1128. [Google Scholar] [CrossRef]
- Zhang, Y.; Li, S.; Li, R.; Qiu, X.; Fan, T.; Wang, B.; Zhang, B.; Zhang, L. Advances in Application of CRISPR-Cas13a System. Front. Cell. Infect. Microbiol. 2024, 14, 1291557. [Google Scholar] [CrossRef]
- Koonin, E.V.; Makarova, K.S.; Zhang, F. Diversity, Classification and Evolution of CRISPR-Cas Systems. Curr. Opin. Microbiol. 2017, 37, 67–78. [Google Scholar] [CrossRef]
- Abudayyeh, O.O.; Gootenberg, J.S.; Konermann, S.; Joung, J.; Slaymaker, I.M.; Cox, D.B.; Shmakov, S.; Makarova, K.S.; Semenova, E.; Minakhin, L.; et al. C2c2 is a Single-Component Programmable RNA-Guided RNA-Targeting CRISPR Effector. Science 2016, 353, aaf5573. [Google Scholar] [CrossRef] [PubMed]
- van Dongen, J.E.; Berendsen, J.T.W.; Steenbergen, R.D.M.; Wolthuis, R.M.F.; Eijkel, J.C.T.; Segerink, L.I. Point-of-Care CRISPR/Cas Nucleic Acid Detection: Recent Advances, Challenges and Opportunities. Biosens. Bioelectron. 2020, 166, 112445. [Google Scholar] [CrossRef] [PubMed]
- Li, R.; Su, N.; Ren, X.; Sun, X.; Li, W.; Li, Y.; Li, J.; Chen, C.; Wang, H.; Lu, W.; et al. Centrifugal Microfluidic-Based Multiplex Recombinase Polymerase Amplification Assay for Rapid Detection of SARS-CoV-2. iScience 2023, 26, 106245. [Google Scholar] [CrossRef] [PubMed]
- Ngoc, L.T.N.; Lee, Y.C. Current Trends in RNA Virus Detection via Nucleic Acid Isothermal Amplification-Based Platforms. Biosensors 2024, 14, 97. [Google Scholar] [CrossRef]
- Li, X.; Zhu, S.; Zhang, X.; Ren, Y.; He, J.; Zhou, J.; Yin, L.; Wang, G.; Zhong, T.; Wang, L.; et al. Advances in the Application of Recombinase-Aided Amplification Combined with CRISPR-Cas Technology in Quick Detection of Pathogenic Microbes. Front. Bioeng. Biotechnol. 2023, 11, 1215466. [Google Scholar] [CrossRef]
- Kellner, M.J.; Koob, J.G.; Gootenberg, J.S.; Abudayyeh, O.O.; Zhang, F. SHERLOCK: Nucleic Acid Detection with CRISPR Nucleases. Nat. Protoc. 2019, 14, 2986–3012. [Google Scholar] [CrossRef]
- Wei, N.; Zheng, B.; Niu, J.; Chen, T.; Ye, J.; Si, Y.; Cao, S. Rapid Detection of Genotype II African Swine Fever Virus Using CRISPR Cas13a-Based Lateral Flow Strip. Viruses 2022, 14, 179. [Google Scholar] [CrossRef]
- Yan, K.; Wang, X.; Han, Y.; Tian, Y.; Niu, M.; Dong, X.; Li, X.; Li, H.; Sun, Y. Simultaneous Detection of Helicobacter Pylori and Clarithromycin Resistance Mutations Using RAA-CRISPR/Cas13a Assay. Infect. Drug Resist. 2024, 17, 3001–3010. [Google Scholar] [CrossRef]
- Li, J.H.; Jing, D.; Wang, Y.; Xu, J.; Yu, J.; Du, H.; Chen, Q.; Tang, S.; Zhang, X.F.; Dai, Y.C. Establishment and Application of a Rapid Assay for GII.4/GII.17 NoV Detection Based on the Combination of CRISPR/Cas13a and Isothermal Amplification. Front. Microbiol. 2024, 15, 1334387. [Google Scholar] [CrossRef]
- Jiang, F.; Liu, Y.; Yang, X.; Li, Y.; Huang, J. Ultrasensitive and Visual Detection of Feline Herpesvirus Type-1 and Feline Calicivirus Using One-Tube dRPA-Cas12a/Cas13a Assay. BMC Vet. Res. 2024, 20, 106. [Google Scholar] [CrossRef]
- Wei, Y.; Zeng, Q.; Gou, H.; Bao, S. Update on Feline Calicivirus: Viral Evolution, Pathogenesis, Epidemiology, Prevention and Control. Front. Microbiol. 2024, 15, 1388420. [Google Scholar] [CrossRef] [PubMed]
- Meli, M.L.; Berger, A.; Willi, B.; Spiri, A.M.; Riond, B.; Hofmann-Lehmann, R. Molecular Detection of Feline Calicivirus in Clinical Samples: A Study Comparing Its Detection by RT-qPCR Directly From Swabs and After Virus Isolation. J. Virol. Methods 2018, 251, 54–60. [Google Scholar] [CrossRef] [PubMed]
- Yuan, B.; Ai, C.X.; Yuan, L.; Gao, W.; Hu, J.P.; Chen, J.; Ren, W.Z. Preparation of Monoclonal Antibody of Anti-Feline Calicivirus and Establishment of Double-Antibody Sandwich Enzyme-Linked Immunosorbent Assay Detecting Method. Genet. Mol. Res. GMR 2014, 13, 7388–7397. [Google Scholar] [CrossRef] [PubMed]
- Phongroop, K.; Rattanasrisomporn, J.; Tangtrongsup, S.; Rungsipipat, A.; Piewbang, C.; Techangamsuwan, S. High-Resolution Melting Analysis for Simultaneous Detection and Discrimination Between Wild-Type and Vaccine Strains of Feline Calicivirus. Vet. Q. 2023, 43, 1–12. [Google Scholar] [CrossRef]
- Wang, X.; Shang, X.; Huang, X. Next-Generation Pathogen Diagnosis with CRISPR/Cas-Based Detection Methods. Emerg. Microbes Infect. 2020, 9, 1682–1691. [Google Scholar] [CrossRef]
- Gootenberg, J.S.; Abudayyeh, O.O.; Lee, J.W.; Essletzbichler, P.; Dy, A.J.; Joung, J.; Verdine, V.; Donghia, N.; Daringer, N.M.; Freije, C.A.; et al. Nucleic acid Detection with CRISPR-Cas13a/C2c2. Science 2017, 356, 438–442. [Google Scholar] [CrossRef]
- Zhang, Z.; Wang, C.; Chen, X.; Zhang, Z.; Shi, G.; Zhai, X.; Zhang, T. Based on CRISPR-Cas13a System, to Establish a Rapid Visual Detection Method for Avian Influenza Viruses. Front. Vet. Sci. 2023, 10, 1272612. [Google Scholar] [CrossRef]
- Hou, Y.; Liu, X.; Wang, Y.; Guo, L.; Wu, L.; Xia, W.; Zhao, Y.; Xing, W.; Chen, J.; Chen, C. Establishment and Application of a Rapid Visualization Method for Detecting Vibrio Parahaemolyticus Nucleic Acid. Infect. Med. 2024, 3, 100111. [Google Scholar] [CrossRef]
- Zhao, J.; Li, Y.; Xue, Q.; Zhu, Z.; Zou, M.; Fang, F. A Novel Rapid Visual Detection Assay for Toxoplasma Gondii Combining Recombinase-Aided Amplification and Lateral Flow Dipstick Coupled with CRISPR-Cas13a Fluorescence (RAA-Cas13a-LFD). Parasite 2022, 29, 21. [Google Scholar] [CrossRef]
- Khamsingnok, P.; Rapichai, W.; Rattanasrisomporn, A.; Rungsuriyawiboon, O.; Choowongkomon, K.; Rattanasrisomporn, J. Comparison of PCR, Nested PCR, and RT-LAMP for Rapid Detection of Feline Calicivirus Infection in Clinical Samples. Animals 2024, 14, 2432. [Google Scholar] [CrossRef]
- Zhou, H.; Cheng, S.; Li, J.; Liu, H.; Zhuo, G.; Zhang, L. Establishment and Application of RAA-CRISPR/Cas12a-LFS Detection Method for Feline Calicivirus. Chin. J. Prev. Vet. Med. 2023, 45, 494–501. [Google Scholar]
- Liu, D.; Zheng, Y.; Xu, X.; Dong, L.; Kang, H.; Jiang, Q.; Yang, M.; Liu, J.; Qu, L. Optimization and Application of RT-qPCR Method for Detection of Feline Calicivirus. Chin. J. Vet. Med. 2022, 42, 53–60. [Google Scholar] [CrossRef]







| Name | Sequence (5′-3′) | Location (bp) |
|---|---|---|
| FCV-PCR-F | CTGCATTGGAGGGAAACTGT | 2282–2301 |
| FCV-PCR-R | ACATCATATGCGGCTCTGAT | 2500–2519 |
| FCV-RAA-F1 | GTGTGCAATCTGCATTGGGAGTGTGCATGT | 2300–2329 |
| FCV-RAA-F2 | AGGATCTCACACATCTGTGTCACTTCATAA | 2336–2365 |
| FCV-RAA-F3 | TGACAGTGTAAGATTGGATGAACTACCCGC | 2382–2411 |
| FCV-RAA-R1 | AAACTGCCCTGCCAGCGTAAGGTGACGACG | 2464–2493 |
| FCV-RAA-R2 | TGTCAGGGGCAGTAAGCACATCATATGCGG | 2507–2536 |
| FCV-RAA-R3 | CTCATCCATCCAGTGTCGCAACATTGCAGG | 2542–2571 |
| T7-FCV-RAA-F3 | GAAATTAATACGACTCACTATAGGG1TGACAGTGTAAGATTGGATGAACTACCCGC | 2382–2411 |
| crRNA-IVT | TAATTCGGTGTTTGATTTGGCCTGGGCTGTTTTAGTCCCCTTCGTTTTTGGGGTAGTCTAAATC2CCCTATAGTGAGTCGTATTAATTTC | 2433–2460 |
| FCV-crRNA | GAUUUAGACUACCCCAAAAACGAAGGGGACUAAAACAGCCCAGGCCAAAUCAAACACCGAAUUA | 2433–2460 |
| T7 promoter | GAAATTAATACGACTCACTATAGGG | — |
| Detection Method | Positive (Copy) | Negative (Copy) | Positive Rate (%) | Coincidence Rate (%) |
|---|---|---|---|---|
| PCR | 43 | 40 | 51.81 | 96.39 |
| Cas13a-RAA-LFD | 46 | 37 | 55.42 |
Disclaimer/Publisher’s Note: The statements, opinions and data contained in all publications are solely those of the individual author(s) and contributor(s) and not of MDPI and/or the editor(s). MDPI and/or the editor(s) disclaim responsibility for any injury to people or property resulting from any ideas, methods, instructions or products referred to in the content. |
© 2024 by the authors. Licensee MDPI, Basel, Switzerland. This article is an open access article distributed under the terms and conditions of the Creative Commons Attribution (CC BY) license (https://creativecommons.org/licenses/by/4.0/).
Share and Cite
Zhang, Z.; Li, J.; Zhang, C.; Bai, X.; Zhang, T. Rapid Detection of Feline Calicivirus Using Lateral Flow Dipsticks Based on CRISPR/Cas13a System. Animals 2024, 14, 3663. https://doi.org/10.3390/ani14243663
Zhang Z, Li J, Zhang C, Bai X, Zhang T. Rapid Detection of Feline Calicivirus Using Lateral Flow Dipsticks Based on CRISPR/Cas13a System. Animals. 2024; 14(24):3663. https://doi.org/10.3390/ani14243663
Chicago/Turabian StyleZhang, Zichuang, Jing Li, Chengqi Zhang, Xue Bai, and Tie Zhang. 2024. "Rapid Detection of Feline Calicivirus Using Lateral Flow Dipsticks Based on CRISPR/Cas13a System" Animals 14, no. 24: 3663. https://doi.org/10.3390/ani14243663
APA StyleZhang, Z., Li, J., Zhang, C., Bai, X., & Zhang, T. (2024). Rapid Detection of Feline Calicivirus Using Lateral Flow Dipsticks Based on CRISPR/Cas13a System. Animals, 14(24), 3663. https://doi.org/10.3390/ani14243663

