Immunohistochemical Investigation of Cyclooxygenase-2 Expression in Rabbit Uterine Adenocarcinoma and the Potential Use of COX-2 Inhibitors in Cancer Therapy
Simple Summary
Abstract
1. Introduction
1.1. Cyclooxygenase
1.2. Role of Selective COX-2 Inhibitors
1.3. The Aim of the Study
2. Materials and Methods
2.1. Study Overview and Case Selection
2.2. Histopathological Examination
2.3. Immunohistochemistry
2.4. Immunohistochemical Score System
2.5. Statistical Analysis
3. Results
3.1. Rabbit Demographics and Histological Diagnosis
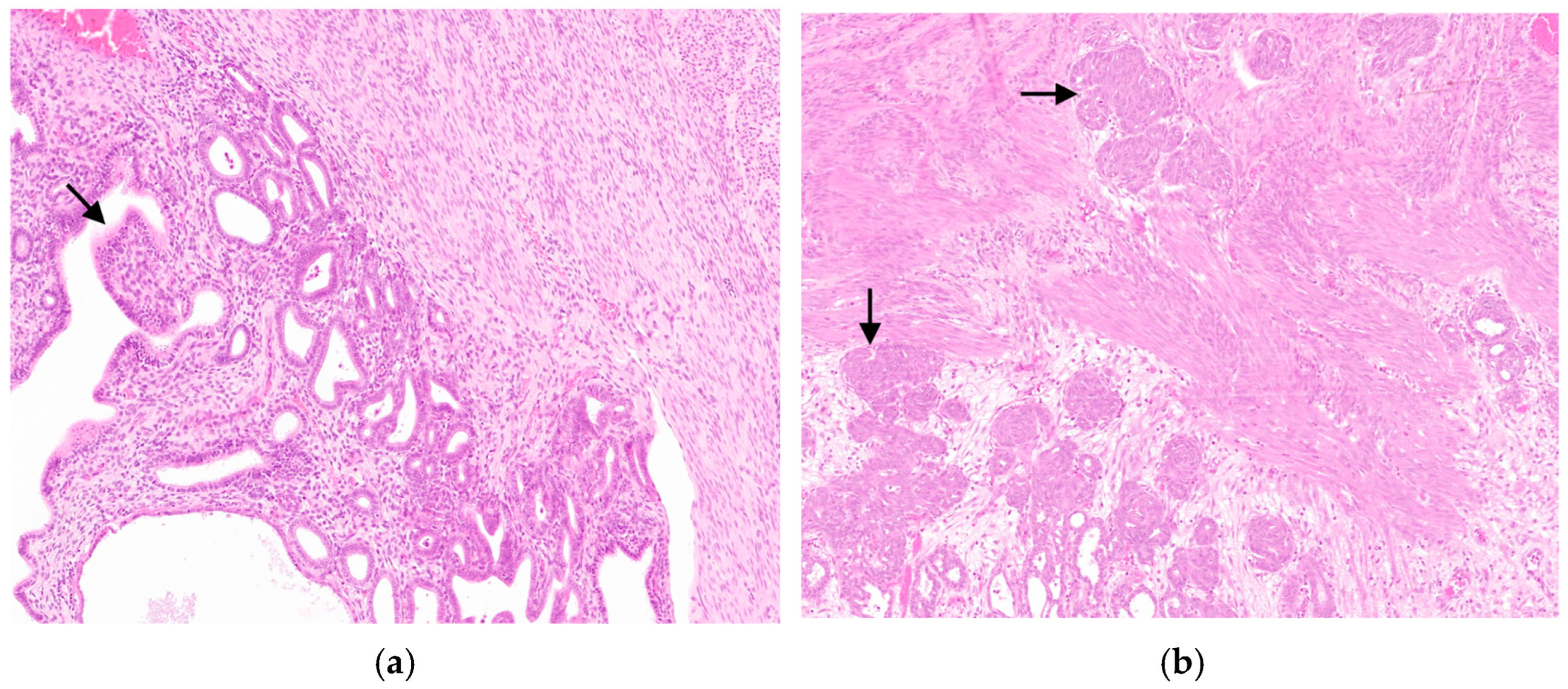
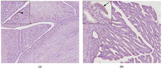
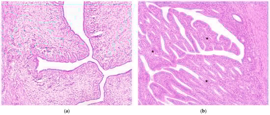
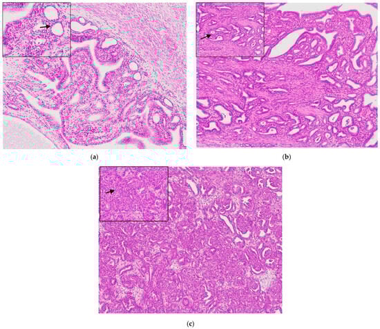
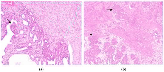
3.2. Histopathological Evaluation
3.3. Immunohistochemistry
3.4. Follow-Up and Therapy
3.5. Statistical Analysis
4. Discussion
5. Conclusions
Supplementary Materials
Author Contributions
Funding
Institutional Review Board Statement
Informed Consent Statement
Data Availability Statement
Conflicts of Interest
References
- Harcourt-Brown, F.M. Disorders of the Reproductive Tract of Rabbits. Vet. Clin. N. Am. Exot. Anim. Pract. 2017, 20, 555–587. [Google Scholar] [CrossRef] [PubMed]
- Van Zeeland, Y. Rabbit Oncology: Diseases, Diagnostics, and Therapeutics. Vet. Clin. N. Am. Exot. Anim. Pract. 2017, 20, 135–182. [Google Scholar] [CrossRef]
- Walter, B.; Poth, T.; Böhmer, E.; Braun, J.; Matis, U. Uterine disorders in 59 rabbits. Vet. Rec. 2010, 166, 230–233. [Google Scholar] [CrossRef] [PubMed]
- Turner, V.; Marina, L.B.; Dale, A.S. Pathology of Small Mammal Pets, 1st ed.; John Wiley & Sons, Inc.: Hoboken, NJ, USA, 2018. [Google Scholar]
- Harcourt-Brown, F.M. Reproductive disease. In Textbook of Rabbit Medicine; Harcourt-Brown, F., Ed.; Butterworth-Heinemann: Oxford, UK, 2002; pp. 348–351. [Google Scholar]
- Künzel, F.; Grinninger, P.; Shibly, S.; Hassan, J.; Tichy, A.; Berghold, P.; Fuchs-Baumgartinger, A. Uterine disorders in 50 pet rabbits. J. Am. Anim. Hosp. Assoc. 2015, 51, 8–14. [Google Scholar] [CrossRef]
- Louise, R.H.; Andrew, J.D. A role for cyclooxygenase-2 inhibitors in the prevention and treatment of cancer. Semin. Oncol. 2002, 29, 111–119. [Google Scholar]
- Tong, B.J.; Tan, J.; Tajeda, L.; Das, S.K.; Chapman, J.A.; DuBois, R.N.; Dey, S.K. Heightened expression of cyclooxygenase-2 and peroxisome proliferator-activated receptor-delta in human endometrial adenocarcinoma. Neoplasia 2000, 2, 483–490. [Google Scholar] [CrossRef][Green Version]
- Kulkarni, S.; Rader, J.S.; Zhang, F.; Liapis, H.; Koki, A.T.; Masferrer, J.L.; Subbaramaiah, K.; Dannenberg, A.J. Cyclooxygenase-2 is overexpressed in human cervical cancer. Clin. Cancer Res. 2001, 7, 429–434. [Google Scholar]
- Sheng, H.; Shao, J.; DuBois, R.N. K-ras-mediated increase in cyclooxygenase-2 mRNA stability involves activation of the protein kinase B1. Cancer Res. 2001, 61, 2670–2675. [Google Scholar]
- Jiang, H.; Wang, J.; Zhao, W. Cox-2 in non-small cell lung cancer: A meta-analysis. Clin. Chim. Acta 2013, 419, 26–32. [Google Scholar] [CrossRef]
- Yang, Y.; Zhu, J.; Gou, H.; Cao, D.; Jiang, M.; Hou, M. Clinical significance of Cox-2, Survivin and Bcl-2 expression in hepatocellular carcinoma (HCC). Med. Oncol. 2011, 28, 796–803. [Google Scholar] [CrossRef]
- Hasegawa, K.; Ohashi, Y.; Ishikawa, K.; Yasue, A.; Kato, R.; Achiwa, Y.; Nishio, E.; Udagawa, Y. Expression of cyclooxygenase-2 in uterine endometrial cancer and anti-tumor effects of a selective COX-2 inhibitor. Int. J. Oncol. 2005, 26, 1419–1428. [Google Scholar] [CrossRef] [PubMed]
- Erkanli, S.; Bolat, F.; Kayaselcuk, F.; Demirhan, B.; Kuscu, E. COX-2 and survivin are overexpressed and positively correlated in endometrial carcinoma. Gynecol. Oncol. 2007, 104, 320–325. [Google Scholar] [CrossRef] [PubMed]
- Leahy, K.M.; Koki, A.T.; Masferrer, J.L. Role of cyclooxygenases in angiogenesis. Curr. Med. Chem. 2000, 7, 1163–1170. [Google Scholar] [CrossRef]
- Spugnini, E.; Porrello, A.; Citro, G.; Baldi, A. COX-2 overexpression in canine tumors: Potential therapeutic targets in oncology. Histol. Histopathol. 2005, 20, 1309–1312. [Google Scholar] [PubMed]
- Doré, M. Cyclooxygenase-2 expression in animal cancers. Vet. Pathol. 2011, 48, 254–265. [Google Scholar] [CrossRef]
- Mohammed, S.I.; Bennett, P.F.; Craig, B.A.; Glickman, N.W.; Mutsaers, A.J.; Snyder, P.W.; Widmer, W.R.; De Gortari, A.E.; Bonney, P.L.; Knapp, D.W. Effects of the cyclooxygenase inhibitor, piroxicam, on tumor response, apoptosis, and angiogenesis in a canine model of human invasive urinary bladder cancer. Cancer Res. 2002, 62, 356–358. [Google Scholar]
- Tomozawa, S.; Nagawa, H.; Tsuno, N.; Hatano, K.; Osada, T.; Kitayama, J.; Sunami, E.; Nita, M.E.; Ishihara, S.; Yano, H.; et al. Inhibition of hematogenous metastasis of colon cancer in mice by a selective COX-2 inhibitor, JTE-522. Br. J. Cancer 1999, 81, 1274–1279. [Google Scholar] [CrossRef]
- Tsubouchi, Y.; Mukai, S.; Kawahito, Y.; Yamada, R.; Kohno, M.; Inoue, K.; Sano, H. Meloxicam inhibits the growth of non-small cell lung cancer. Anticancer Res. 2000, 20, 2867–2872. [Google Scholar] [PubMed]
- Harris, R.E.; Alshafie, G.A.; Abou-Issa, H.; Seibert, K. Chemoprevention of Breast Cancer in Rats by Celecoxib, a Cyclooxygenase 2 Inhibitor. Cancer Res. 2000, 15, 2101–2103. [Google Scholar]
- McCormick, D.L.; Moon, R.C. Inhibition of mammary carcinogenesis by flurbiprofen, a non-steroidal anti-inflammatory agent. Br. J. Cancer 1983, 48, 859–861. [Google Scholar] [CrossRef]
- Knapp, D.W.; Richardson, R.C.; Chan, T.C.; Bottoms, G.D.; Widmer, W.R.; DeNicola, D.B.; Teclaw, R.; Bonney, P.L.; Kuczek, T. Piroxicam therapy in 34 dogs with transitional cell carcinoma of the urinary bladder. J. Vet. Intern. Med. 1994, 8, 273–278. [Google Scholar] [CrossRef] [PubMed]
- Wolfesberger, B.; Walter, I.; Hoelzl, C.; Thalhammer, J.G.; Egerbacher, M. Antineoplastic effect of the cyclooxygenase inhibitor meloxicam on canine osteosarcoma cells. Res. Vet. Sci. 2006, 80, 308–316. [Google Scholar] [CrossRef] [PubMed]
- Ogino, K.; Hatanaka, K.; Kawamura, M.; Katori, M.; Harada, Y. Evaluation of pharmacological profile of meloxicam as an anti-inflammatory agent, with particular reference to its relative selectivity for cyclooxygenase-2 over cyclooxygenase-1. Pharmacology 1997, 55, 44–53. [Google Scholar] [CrossRef]
- Arantes-Rodrigues, R.; Pinto-Leite, R.; Ferreira, R.; Neuparth, M.J.; Pires, M.J.; Gaivão, I.; Palmeira, C.; Santos, L.; Colaço, A.; Oliveira, P. Meloxicam in the treatment of in vitro and in vivo models of urinary bladder cancer. Biomed. Pharmacother. 2013, 67, 277–284. [Google Scholar] [CrossRef]
- Li, M.; Li, M.; Wei, Y.; Xu, H. Prognostic and Clinical Significance of Cyclooxygenase-2 Overexpression in Endometrial Cancer: A Meta-Analysis. Front. Oncol. 2020, 6, 1202. [Google Scholar] [CrossRef]
- Asakawa, M.G.; Goldschmidt, M.H.; Une, Y.; Nomura, Y. The immunohistochemical evaluation of estrogen receptor-alpha and progesterone receptors of normal, hyperplastic, and neoplastic endometrium in 88 pet rabbits. Vet. Pathol. 2008, 45, 217–225. [Google Scholar] [CrossRef]
- Veterinary Cancer Guidelines and Protocols. Available online: https://vcgp.org/ (accessed on 4 March 2024).
- Soslow, R.A.; Tornos, C.; Park, K.J.; Malpica, A.; Matias-Guiu, X.; Oliva, E.; Parkash, V.; Carlson, J.; McCluggage, W.G.; Gilks, C.B. Endometrial Carcinoma Diagnosis: Use of FIGO Grading and Genomic Subcategories in Clinical Practice: Recommendations of the International Society of Gynecological Pathologists. Int. J. Gynecol. Pathol. 2019, 38 (Suppl. S1), S64–S74. [Google Scholar] [CrossRef] [PubMed]
- Saraiva, A.L.; Payan-Carreira, R.; Gärtner, F.; Santana, I.; Rêma, A.; Lourenço, L.M.; Pires, M.A. Immunohistochemical expression of cyclooxygenase-2 (COX-2) in feline endometrial adenocarcinoma and in normal and hyperplastic endometria. Reprod. Domest. Anim. 2015, 50, 333–340. [Google Scholar] [CrossRef] [PubMed]
- Solanki, R.; Agrawal, N.; Ansari, M.; Jain, S.; Jindal, A. COX-2 Expression in Breast Carcinoma with Correlation to Clinicopathological Parameters. Asian Pac. J. Cancer Prev. 2018, 19, 1971–1975. [Google Scholar]
- Elsinghorst, T.A.; Timmermans, H.J.; Hendriks, H.G. Comparative pathology of endometrial carcinoma. Vet. Q. 1984, 6, 200–208. [Google Scholar] [CrossRef]
- PathologyOutlines.com. Available online: https://www.pathologyoutlines.com/topic/uterusendometrioid.html (accessed on 10 April 2024).
- Ratna, D.P.; Dicky, M.R.; Rul, A.S.; Ika, P.S. Role of COX-2 for Successful Embryo Implantation Process: A Mini-review. Maced. J. Med. Sci. 2023, 31–37. [Google Scholar]
- Lai, Z.Z.; Yang, H.L.; Ha, S.Y.; Chang, K.K.; Mei, J.; Zhou, W.J.; Qiu, X.M.; Wang, X.Q.; Zhu, R.; Li, D.J.; et al. Cyclooxygenase-2 in Endometriosis. Int. J. Biol. Sci. 2019, 15, 2783–2797. [Google Scholar] [CrossRef] [PubMed]
- Mitacek, M.C.G.; Praderio, R.G.; Stornelli, M.C.; de la Sota, R.L.; Stornelli, M.A. Endometritis in the bitch: Immunohistochemical localization of cyclooxygenase 2. Open Vet. J. 2020, 10, 157–163. [Google Scholar] [CrossRef] [PubMed]
- Gregório, H.; Magalhães, T.R.; Pires, I.; Prada, J.; Carvalho, M.I.; Queiroga, F.L. The role of COX expression in the prognostication of overall survival of canine and feline cancer: A systematic review. Vet. Med. Sci. 2021, 7, 1107–1119. [Google Scholar] [CrossRef] [PubMed]
- Queiroga, F.L.; Pires, I.; Lobo, L.; Lopes, C.S. The role of Cox-2 expression in the prognosis of dogs with malignant mammary tumors. Res. Vet. Sci. 2010, 88, 441–445. [Google Scholar] [CrossRef]
- Jeong, J.Y.; Hwang, S.O.; Lee, B.; Kim, K.; Kim, Y.B.; Park, S.H.; Choi, H.Y. Risk factors of progression to endometrial cancer in women with endometrial hyperplasia: A retrospective cohort study. PLoS ONE 2020, 15, e0243064. [Google Scholar] [CrossRef]
- Harmon, B.G.; Munday, J.S.; Crane, M.M. Diffuse cystic endometrial hyperplasia and metastatic endometrial adenocarcinoma in a Vietnamese pot-bellied pig (Sus scrofa). J. Vet. Diagn. Investig. 2004, 16, 587–589. [Google Scholar] [CrossRef]
- Barthold, S.W.; Griffey, S.M. Pathology of Laboratory Rodents and Rabbits, 4th ed.; John Wiley & Sons: Hoboken, NJ, USA, 2016; p. 320. [Google Scholar]
- Pornsukarom, S.; Sudjaidee, P.; Ratipunyapornkum, N.; Tungjitpeanpong, T.; Chettanawanit, A.; Amornteparak, C.; Sananmuang, T. Analysis of occurrence and risk factors associated with pet rabbits’ tumors in Central Thailand. J. Vet. Med. Sci. 2023, 85, 1341–1347. [Google Scholar] [CrossRef]
- Mäkitaipale, J.; Airas, N.; Engblom, S.; Lindén, J. Prospective survey of neoplastic and non-neoplastic uterine disorders in 116 domestic rabbits (Oryctolagus cuniculus). J. Exot. Pet Med. 2022, 41, 3–8. [Google Scholar] [CrossRef]







| Number of Cases | |
|---|---|
| Adenocarcinoma | |
| Papillary | 9 |
| Tubular/solid | 21 |
| Myometrial invasion | |
| Superficial | 10 |
| Deep | 20 |
| Vascular/lymphatic invasion | 0 |
| Mitotic count (×10 HPFs) | |
| ≤1 | 4 |
| 1–5 | 12 |
| x ≥ 5 | 14 |
| Case Number | Histologic Grade | COX-2 Quantity Score | COX-2 Intensity Score | Cox-2 IHS |
|---|---|---|---|---|
| 1 | 1 | 2 | 2 | 4 |
| 2 | 3 | 3 | 2 | 6 |
| 3 | 3 | 1 | 1 | 1 |
| 4 | 3 | 1 | 2 | 2 |
| 5 | 3 | 1 | 1 | 1 |
| 6 | 3 | 1 | 1 | 1 |
| 7 | 3 | 3 | 3 | 9 |
| 8 | 3 | 2 | 2 | 4 |
| 9 | 3 | 1 | 1 | 1 |
| 10 | 1 | 1 | 1 | 1 |
| 11 | 1 | 2 | 3 | 6 |
| 12 | 2 | 2 | 1 | 2 |
| 13 | 3 | 2 | 1 | 2 |
| 14 | 2 | 2 | 3 | 6 |
| 15 | 3 | 2 | 2 | 4 |
| 16 | 3 | 2 | 1 | 2 |
| 17 | 2 | 3 | 2 | 6 |
| 18 | 3 | 2 | 2 | 4 |
| 19 | 2 | 2 | 1 | 2 |
| 20 | 2 | 2 | 2 | 4 |
| 21 | 2 | 2 | 2 | 4 |
| 22 | 3 | 3 | 3 | 9 |
| 23 | 3 | 1 | 1 | 1 |
| 24 | 1 | 2 | 2 | 4 |
| 25 | 3 | 3 | 3 | 9 |
| 26 | 2 | 2 | 1 | 2 |
| 27 | 3 | 3 | 2 | 6 |
| 28 | 3 | 2 | 1 | 2 |
| 29 | 2 | 1 | 1 | 1 |
| 30 | 1 | 2 | 1 | 2 |
| Case Number | COX-2 Quantity Score | COX-2 Intensity Score | Cox-2 IHS |
|---|---|---|---|
| 1 | 1 | 2 | 2 |
| 2 | 1 | 1 | 1 |
| 3 | 1 | 1 | 1 |
| 4 | 1 | 1 | 1 |
| 5 | 1 | 2 | 2 |
| Case Number | COX-2 Quantity Score | COX-2 Intensity Score | Cox-2 IHS |
|---|---|---|---|
| 1 | 1 | 1 | 1 |
| 2 | 1 | 1 | 1 |
| 3 | 1 | 1 | 1 |
| 4 | 0 | 0 | 0 |
| 5 | 1 | 1 | 1 |
Disclaimer/Publisher’s Note: The statements, opinions and data contained in all publications are solely those of the individual author(s) and contributor(s) and not of MDPI and/or the editor(s). MDPI and/or the editor(s) disclaim responsibility for any injury to people or property resulting from any ideas, methods, instructions or products referred to in the content. |
© 2024 by the authors. Licensee MDPI, Basel, Switzerland. This article is an open access article distributed under the terms and conditions of the Creative Commons Attribution (CC BY) license (https://creativecommons.org/licenses/by/4.0/).
Share and Cite
Vaccaro, E.; Navas, L.; Ercolano, M.; Piegari, G.; Di Napoli, E.; Papparella, S.; Inverso, D.; Brunetti, B.; Paciello, O.; Russo, V. Immunohistochemical Investigation of Cyclooxygenase-2 Expression in Rabbit Uterine Adenocarcinoma and the Potential Use of COX-2 Inhibitors in Cancer Therapy. Animals 2024, 14, 3169. https://doi.org/10.3390/ani14223169
Vaccaro E, Navas L, Ercolano M, Piegari G, Di Napoli E, Papparella S, Inverso D, Brunetti B, Paciello O, Russo V. Immunohistochemical Investigation of Cyclooxygenase-2 Expression in Rabbit Uterine Adenocarcinoma and the Potential Use of COX-2 Inhibitors in Cancer Therapy. Animals. 2024; 14(22):3169. https://doi.org/10.3390/ani14223169
Chicago/Turabian StyleVaccaro, Emanuela, Luigi Navas, Martina Ercolano, Giuseppe Piegari, Evaristo Di Napoli, Serenella Papparella, Donato Inverso, Barbara Brunetti, Orlando Paciello, and Valeria Russo. 2024. "Immunohistochemical Investigation of Cyclooxygenase-2 Expression in Rabbit Uterine Adenocarcinoma and the Potential Use of COX-2 Inhibitors in Cancer Therapy" Animals 14, no. 22: 3169. https://doi.org/10.3390/ani14223169
APA StyleVaccaro, E., Navas, L., Ercolano, M., Piegari, G., Di Napoli, E., Papparella, S., Inverso, D., Brunetti, B., Paciello, O., & Russo, V. (2024). Immunohistochemical Investigation of Cyclooxygenase-2 Expression in Rabbit Uterine Adenocarcinoma and the Potential Use of COX-2 Inhibitors in Cancer Therapy. Animals, 14(22), 3169. https://doi.org/10.3390/ani14223169

