Genome Survey of Male Rana dybowskii to Further Understand the Sex Determination Mechanism
Abstract
Simple Summary
Abstract
1. Introduction
2. Materials and Methods
2.1. Phenotypic Sex Determination and DNA Extraction from Tissue Samples
2.2. Identification of Genotypic Sex
2.3. Library Construction and Sequencing
2.4. Quality Control
2.5. NT Comparison and K-Mer Analysis
2.6. Sequence Assembly and Gene Prediction
2.7. Searching the Known Male-Specific DNA Markers in the Scaffolding Genome of R. dybowskii
2.8. Assembly of the Dmrt1 Gene and Analysis of Its Relationship with Male-Specific DNA Markers
3. Results
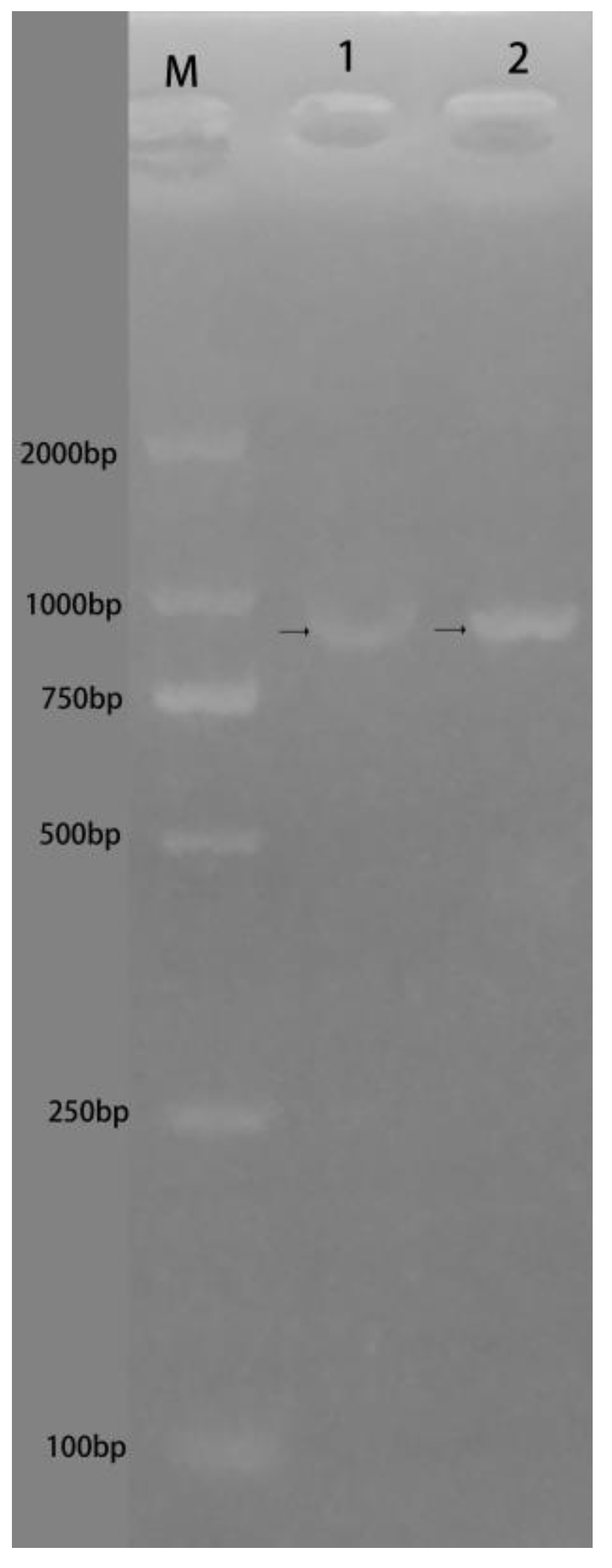
3.1. Identification of the Genotypic Sex of R. dybowskii Individuals
3.2. Sequencing Data Statistics and Quality Evaluation
3.3. NT Comparison Statistics
3.4. Genome Size, Heterozygosity Rate, and Repeat Sequence Ratio
3.5. Preliminary Scaffolding Genome and Gene Prediction
3.6. Homologous Sequences of Male-Specific DNA Markers in the Scaffolding Genome
3.7. The Dmrt1 Gene Sequence of R. dybowskii and Its Relationship with Male-Specific DNA Markers
4. Discussion
5. Conclusions
Supplementary Materials
Author Contributions
Funding
Institutional Review Board Statement
Informed Consent Statement
Data Availability Statement
Acknowledgments
Conflicts of Interest
References
- Ringler, E.; Rojas, B.; Stynoski, J.L.; Schulte, L.M. What amphibians can teach us about the evolution of parental care. Annu. Rev. Ecol. Evol. Syst. 2023, 54, 43–62. [Google Scholar] [CrossRef] [PubMed]
- Stebbins, R.C.; Cohen, N.W. A Natural History of Amphibians; Princeton University Press: Princeton, NJ, USA, 2021. [Google Scholar]
- Liedtke, H.C.; Wiens, J.J.; Gomez-Mestre, I. The evolution of reproductive modes and life cycles in amphibians. Nat. Commun. 2022, 13, 7039. [Google Scholar] [CrossRef] [PubMed]
- Kemp, T.S. Amphibians: A Very Short Introduction; Oxford University Press: Oxford, UK, 2021; Volume 670. [Google Scholar]
- Kyono, Y.; Raj, S.; Sifuentes, C.J.; Buisine, N.; Sachs, L.; Denver, R.J. DNA methylation dynamics underlie metamorphic gene regulation programs in Xenopus tadpole brain. Dev. Biol. 2020, 462, 180–196. [Google Scholar] [CrossRef]
- Mueller, R.L.; Cressler, C.E.; Schwartz, R.S.; Chong, R.A.; Butler, M.A. Metamorphosis Imposes Variable Constraints on Genome Expansion through Effects on Development. Integr. Org. Biol. 2023, 5, obad015. [Google Scholar] [CrossRef]
- Mondal, S.; Singh, R.L. (Eds.) Advances in Animal Genomics; Academic Press: Cambridge, MA, USA, 2020. [Google Scholar]
- Ma, W.J.; Veltsos, P. The diversity and evolution of sex chromosomes in frogs. Genes 2021, 124, 483. [Google Scholar] [CrossRef] [PubMed]
- Hillis, D.M.; Green, D.M. Evolutionary changes of heterogametic sex in the phylogenetic history of amphibians. J. Evol. Biol. 1990, 3, 49–64. [Google Scholar] [CrossRef]
- Dufresnes, C.; Crochet, P.A. Sex chromosomes as supergenes of speciation: Why amphibians defy the rules? Philos. Trans. R. Soc. B 2022, 377, 20210202. [Google Scholar] [CrossRef]
- Targueta, C.P.; Krylov, V.; Nondilo, T.E.; Lima, J.; Lourenço, L.B. Sex chromosome evolution in frogs—Helpful insights from chromosome painting in the genus Engystomops. Heredity 2021, 126, 396–409. [Google Scholar] [CrossRef]
- Miura, I. Sex determination and sex chromosomes in Amphibia. Sex. Dev. 2018, 11, 298–306. [Google Scholar] [CrossRef]
- Amphibia Web. Rana dybowskii: Dybovsky’s Frog; University of California: Berkeley, CA, USA, 2007; Available online: https://amphibiaweb.org/species/5024 (accessed on 8 January 2024).
- Xie, F.; Ye, C.; Fei, L.; Jiang, J.; Zeng, X.; Matsui, M. Taxonomical studies on Brown frogs (Rana) from Noertheastern China (amphibian: Ranidae). Acta Zootaxonomica Sin. 1999, 24, 224–231. [Google Scholar]
- Wang, W.; Ma, J. The Investigation and Analysis of Effect on Natural Ecology of Northeast Forest Frog Semi-breeding in the Northeast Forest Area. Sichuan J. Zool. 2011, 30, 456–459. [Google Scholar]
- Shao, Y.; Guo, R.; Xia, Q.; Wu, Q. Study on chromosome karyotype and Ag band of Rana chensinensis David from Liaoning Province. J. Fudan Univ. 1999, 38, 557–560. [Google Scholar]
- Tong, Q.; Liu, X.N.; Hu, Z.F.; Ding, J.F.; Bie, J.; Wang, H.B.; Zhang, J.T. Effects of captivity and season on the gut microbiota of the brown frog (Rana dybowskii). Front. Microbiol. 2019, 10, 1912. [Google Scholar] [CrossRef] [PubMed]
- Zhang, Y.; Wang, Y.; Li, M.; Liu, S.; Yu, J.; Yan, Z.; Zhou, H. Traditional uses, bioactive constituents, biological functions, and safety properties of Oviductus ranae as functional foods in China. Oxidative Med. Cell. Longev. 2019, 2019, 4739450. [Google Scholar] [CrossRef]
- Zeng, K.; Chen, F.; Xiao, X. The karyotype of Rana chensinensis in Xunke County. J. Northeast. For. Univ. 2001, 29, 47–49. [Google Scholar]
- Xu, Y.; Du, Z.; Liu, J.; Su, H.; Ning, F.; Cui, S.; Wang, L.; Liu, J.; Ren, C.; Di, S.; et al. Male heterogametic sex determination in Rana dybowskii based on sex-linked molecular markers. Integr. Zool. 2021, 17, 105–114. [Google Scholar] [CrossRef]
- Chen, Y.; Chen, Y.; Shi, C.; Huang, Z.; Zhang, Y.; Li, S.; Li, Y.; Ye, J.; Yu, C.; Li, Z.; et al. SOAPnuke: A MapReduce acceleration-supported software for integrated quality control and preprocessing of high-throughput sequencing data. Gigascience 2018, 7, 1–6. [Google Scholar] [CrossRef] [PubMed]
- Altschul, S.F.; Gish, W.; Miller, W.; Myers, E.W.; Lipman, D.J. Basic local alignment search tool. J. Mol. Biol. 1990, 215, 403–410. [Google Scholar] [CrossRef]
- Liu, B.; Shi, Y.; Yuan, J.; Hu, X.; Zhang, H.; Li, N.; Li, Z.; Chen, Y.; Mu, D.; Fan, W. Estimation of genomic characteristics by analyzing k-mer frequency in de novo genome projects. arXiv 2013, arXiv:1308.2012. [Google Scholar]
- Jackman, S.D.; Raymond, A.G.; Birol, I. Scaffolding a Genome Sequence Assembly Using ABySS. 2021. Available online: http://sjackman.ca/abyss-scaffold-paper/ (accessed on 13 January 2024).
- Simao, F.A.; Waterhouse, R.M.; Ioannidis, P.; Kriventseva, E.V.; Zdobnov, E.M. BUSCO: Assessing genome assembly and annotation completeness with single-copy orthologs. Bioinformatics 2015, 31, 3210–3212. [Google Scholar] [CrossRef]
- Xu, Y.; Cui, S.; Li, T.; Du, Z.; Ning, F.; Jiang, H.; Bai, X.; Wang, X.; Bao, J. Testicular Transcriptome of Males and Pseudo-Males Provides Important New Insight into Sex Reversal of Rana dybowskii. Animals 2022, 12, 2887. [Google Scholar] [CrossRef] [PubMed]
- Hu, T.; Chitnis, N.; Monos, D.; Dinh, A. Next-generation sequencing technologies: An overview. Hum. Immunol. 2021, 82, 801–811. [Google Scholar] [CrossRef]
- Satam, H.; Joshi, K.; Mangrolia, U.; Waghoo, S.; Zaidi, G.; Rawool, S.; Thakare, R.P.; Banday, S.; Mishra, A.K.; Das, G.; et al. Next-Generation Sequencing Technology: Current Trends and Advancements. Biology 2023, 12, 997. [Google Scholar] [CrossRef] [PubMed]
- Surachat, K.; Narkthewan, P.; Thotsagotphairee, C.; Wonglapsuwan, M.; Thongpradub, W. The First Genome Survey and De Novo Assembly of the Short Mackerel (Rastrelliger brachysoma) and Indian Mackerel (Rastrelliger kanagurta). Animals 2022, 12, 1769. [Google Scholar] [CrossRef]
- Choi, E.; Lee, S.J.; Jo, E.; Kim, J.; Parker, S.J.; Kim, J.H.; Park, H. Genomic Survey and Microsatellite Marker Investigation of Patagonian Moray Cod (Muraenolepis orangiensis). Animals 2022, 12, 1608. [Google Scholar] [CrossRef] [PubMed]
- Li, Z.; Tian, C.; Huang, Y.; Lin, X.; Wang, Y.; Jiang, D.; Zhu, C.; Chen, H.; Li, G. A first insight into a draft genome of silver sillago (Sillago sihama) via genome survey sequencing. Animals 2019, 9, 756. [Google Scholar] [CrossRef] [PubMed]
- Kim, J.; Lee, S.-J.; Jo, E.; Choi, E.; Cho, M.; Choi, S.; Kim, J.-H.; Park, H. Whole-Genome Survey and Microsatellite Marker Detection of Antarctic Crocodile Icefish, Chionobathyscus dewitti. Animals 2022, 12, 2598. [Google Scholar] [CrossRef]
- Zhao, Z. Studies on ecology of the Rana temporaria chensinensis. J. Northeast. Norm. Univ. 1982, 3, 89–96. [Google Scholar]
- Spasić-Bošković, O.; Tanić, N.; Blagojević, J.; Vujošević, M. Comparative cytogenetic analysis of European brown frogs: Rana temporaria, R. dalmatina and R. graeca. Caryologia 1997, 50, 139–149. [Google Scholar] [CrossRef]
- Streicher, J.W. Wellcome Sanger Institute Tree of Life programme; Wellcome Sanger Institute Scientific Operations: DNA Pipelines collective; Tree of Life Core Informatics collective; Darwin Tree of Life Consortium. The genome sequence of the common frog, Rana temporaria Linnaeus 1758. Wellcome Open Res. 2021, 6, 286. [Google Scholar]
- Li, Y.; Xing, T.; Liu, J. Genome-wide association analyses based on whole-genome sequencing of Protosalanx hyalocranius provide insights into sex determination of Salangid fishes. Mol. Ecol. Resour. 2020, 20, 1038–1049. [Google Scholar] [CrossRef] [PubMed]
- Cai, L.; Liu, G.; Wei, Y.; Zhu, Y.; Li, J.; Miao, Z.; Chen, M.; Yue, Z.; Yu, L.; Dong, Z.; et al. Whole-genome sequencing reveals sex determination and liver high-fat storage mechanisms of yellowstripe goby (Mugilogobius chulae). Commun. Biol. 2021, 4, 15. [Google Scholar] [CrossRef] [PubMed]
- Zhang, M.; Jia, X.; Ma, Y.; Ma, J. Genetic diversity and differentiation of the Dybowski’s frog (Rana dybowskii) in Northeast China. J. For. Res. 2010, 21, 239–245. [Google Scholar] [CrossRef]
- Ito, M. Sex Determination and Differentiation in Frogs. In Reproductive and Developmental Strategies; Springer: Tokyo, Japan, 2018. [Google Scholar]









| Marker | Primer | Sequence (5′→3′) | |
|---|---|---|---|
| MSM-222 | Forward1 | Dmrt1-1 | GGCTATTCGTCGCTACTAAAGG |
| Reverse1 | EM4 | GACTGCGTACGAATTTGA | |
| MSM-261 | Forward2 | Dmrt1-2 | GGTCATTCCTTGTCCTAATTATCAGT |
| Reverse2 | EM7 | GACTGCGTACGAATTGAG | |
| Verify Target | Primer | Sequence (5′→3′) | Annealing Temperature (°C) | Time of Extension (s) | Position of Template |
|---|---|---|---|---|---|
| Upstream MSM-222 in scaffolding genomes | 289F | TGCATAAGCCATGTCTGTG | 51.5 | 60 | >RanDyb_scaf_498:645910742-645911053 |
| 289R | AGAACTTGCTTCAAAATTTAA | ||||
| Downstream MSM-222 in scaffolding genomes | 303F | TGATGCAACGCTGCTCTC | 47.5 | 60 | RanDyb_scaf_498:505645920-505646238 |
| 303R | CTATTTGTTTTCTAATCTGGTTG | ||||
| Double-ended MSM-261 in scaffolding genomes | 403F | AAACTAACAATTATTCTTCC | 51 | 60 | >RanDyb_scaf_3:159744804-159745236 |
| 403R | GTGGTGCAATGTGAAGC |
| Verify Target | Primer | Sequence (5′→3′) | Annealing Temperature (°C) | Time of Extension (s) | Position of Template |
|---|---|---|---|---|---|
| Suspicious location of MSM-222 in Dmrt1 | 913F | TTGTGGAGGATTGTTACCCAAT | 61.4 | 90 | >RanDyb_Dmrt1:1-1020 |
| 1021R | CTCTCCACCCAAAACAAAAATAAT | ||||
| Suspicious location of MSM-261 in Dmrt1 | 940F | AAACTAACAATTATTCTTCC | 47.8 | 60 | >RanDyb_Dmrt1:13828-14767 |
| 940R | GTGGTGCAATGTGAAGC |
| Data Type | ReadNum | BaseCount (bp) | ReadLength (bp) | Q20 (%) | Q30 (%) | GC Content (%) |
|---|---|---|---|---|---|---|
| raw data | 1,389,252,868 | 208,387,930,200 | 150;150 | 99.0;96.8 | 95.2;89.9 | 43.2;43.1 |
| clean data | 1,333,643,016 | 200,046,452,400 | 150;150 | 99.0;96.8 | 95.2;89.7 | 43.1;43.0 |
| Species | Reads 1 | Reads 2 | Total (%) |
|---|---|---|---|
| Rana chensinensis | 201 | 189 | 1.95 |
| Nanorana parkeri | 91 | 76 | 0.835 |
| Rana rugosa | 83 | 69 | 0.76 |
| Coregonus sp. | 65 | 57 | 0.61 |
| Rana temporaria | 54 | 57 | 0.555 |
| Species | Genome Size (G) |
|---|---|
| Spea bombifrons | 0.96 |
| Xenopus tropicalis | 1.5 |
| Pyxicephalus adspersus | 1.6 |
| Leptodactylus fuscus | 2.2 |
| Engystomops pustulosus | 2.6 |
| Xenopus borealis | 2.7 |
| Xenopus laevis | 2.7 |
| Eleutherodactylus coqui | 2.8 |
| Pelobates cultripes | 3.1 |
| Hymenochirus boettgeri | 3.2 |
| Leptobrachium ailaonicum | 3.5 |
| Leptobrachium leishanense | 3.5 |
| Rana dybowskii | 3.5 |
| Monodelphis domestica | 3.6 |
| Geotrypetes seraphini | 3.8 |
| Bufotes viridis | 3.8 |
| Discoglossus pictus | 3.9 |
| Hyla sarda | 4.1 |
| Rana temporaria | 4.1 |
| Gastrophryne carolinensis | 4.3 |
| Bufo gargarizans | 4.5 |
| Microcaecilia unicolor | 4.7 |
| Bufo bufo | 5 |
| Rhinatrema bivittatum | 5.3 |
| Ranitomeya imitator | 6 |
| Pseudophryne corroboree | 8.9 |
| Bombina bombina | 10 |
| Ichthyophis bannanicus | 12.4 |
| Ambystoma mexicanum | 28.2 |
| Item | Contig | Scaffold |
|---|---|---|
| Total Number | 270,785 | 498 |
| Total size contig/scaffolds (bp) | 374,8543,415 | 3765,862,278 |
| Longest contig/scaffolds (bp) | 137,967,485 | 1,808,367,828 |
| Shortest contig/scaffolds (bp) | 62 | 881 |
| Number of contig/scaffolds > 1K nt | 233,279 | 497 |
| Percentage of contig/scaffolds > 1K nt | 86.10 | 99.80 |
| Number of contig/scaffolds > 10K nt | 99,620 | 451 |
| Percentage of contig/scaffolds > 10K nt | 36.80 | 90.60 |
| Number of contig/scaffolds > 100K nt | 2274 | 213 |
| Percentage of contig/scaffolds > 100K nt | 0.80 | 42.80 |
| Number of contig/scaffolds > 1M nt | 13 | 41 |
| Percentage of contig/scaffolds > 1M nt | 0.00 | 8.20 |
| Number of contig/scaffolds > 10M nt | 2 | 14 |
| Percentage of contig/scaffolds > 10M nt | 0.00 | 2.80 |
| Mean contig/scaffolds size | 13,843 | 7,561,972 |
| Median contig/scaffolds size | 5837 | 69,683 |
| N50 contig/scaffolds length | 31,988 | 336,385,783 |
| L50 contig/scaffolds count | 29,092 | 2 |
| contig/scaffolds %A | 28.2 | 28.07 |
| contig/scaffolds %C | 21.13 | 21.03 |
| contig/scaffolds %G | 21.15 | 21.05 |
| contig/scaffolds %T | 28.22 | 28.09 |
| contig/scaffolds %N | 1.3 | 1.75 |
| contig/scaffolds %non-ACGTN | 0 | 0 |
| Number of contig/scaffolds non-ACGTN nt | 0 | 0 |
| Percentage of assembly in scaffolded contigs | 100 | |
| Percentage of assembly in unscaffolded contigs | 0 | |
| Average number of contigs per scaffold | 543.7 | |
| Average length of break (≥25 Ns) between contigs in scaffold | 64 | |
| Number of contigs in scaffolds | 270,745 | |
| Number of contigs not in scaffolds | 40 | |
Disclaimer/Publisher’s Note: The statements, opinions and data contained in all publications are solely those of the individual author(s) and contributor(s) and not of MDPI and/or the editor(s). MDPI and/or the editor(s) disclaim responsibility for any injury to people or property resulting from any ideas, methods, instructions or products referred to in the content. |
© 2024 by the authors. Licensee MDPI, Basel, Switzerland. This article is an open access article distributed under the terms and conditions of the Creative Commons Attribution (CC BY) license (https://creativecommons.org/licenses/by/4.0/).
Share and Cite
Xu, Y.; Liu, H.; Jiang, X.; Zhang, X.; Liu, J.; Tian, Y.; Bai, X.; Cui, S.; Di, S. Genome Survey of Male Rana dybowskii to Further Understand the Sex Determination Mechanism. Animals 2024, 14, 2968. https://doi.org/10.3390/ani14202968
Xu Y, Liu H, Jiang X, Zhang X, Liu J, Tian Y, Bai X, Cui S, Di S. Genome Survey of Male Rana dybowskii to Further Understand the Sex Determination Mechanism. Animals. 2024; 14(20):2968. https://doi.org/10.3390/ani14202968
Chicago/Turabian StyleXu, Yuan, Hanyu Liu, Xinshuai Jiang, Xinning Zhang, Jiayu Liu, Yaguang Tian, Xiujuan Bai, Shiquan Cui, and Shengwei Di. 2024. "Genome Survey of Male Rana dybowskii to Further Understand the Sex Determination Mechanism" Animals 14, no. 20: 2968. https://doi.org/10.3390/ani14202968
APA StyleXu, Y., Liu, H., Jiang, X., Zhang, X., Liu, J., Tian, Y., Bai, X., Cui, S., & Di, S. (2024). Genome Survey of Male Rana dybowskii to Further Understand the Sex Determination Mechanism. Animals, 14(20), 2968. https://doi.org/10.3390/ani14202968
