Transcriptome Analysis of Brain and Skin Reveals Immune Responses to Acute Hypoxia and Reoxygenation in Pseudobagrus ussuriensis
Abstract
Simple Summary
Abstract
1. Introduction
2. Materials and Methods
2.1. Experimental Fish Management and Hypoxia Treatment
2.2. Sample Collection
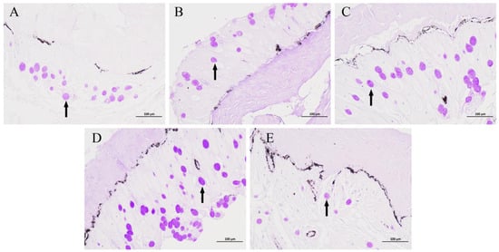
2.3. Skin Histological Analysis
2.4. Determination of Oxidative Stress and Immunological Indices in the Fish Brains and Skin
2.5. Total RNA Extraction and Transcriptome Sequencing
2.6. Quality Control and De Novo Assembly
2.7. Functional Annotation
2.8. Analysis of Differentially Expressed Unigenes (DEGs), Cluster Analysis, GO and KEGG Enrichment
2.9. qPCR Validation of the Transcriptome Data
2.10. Statistical Analysis
3. Results
3.1. Histological Changes in the Skin
3.2. Antioxidant and Immune Indicators in the Brains and Skin
3.3. Transcriptome Results and Quality of Data
3.4. Differential Gene Analysis
3.4.1. Differential Gene Analysis of the Skin Samples
3.4.2. Differential Gene Analysis of the Brain Samples
3.5. GO Enrichment Analysis
3.6. KEGG Enrichment Analysis
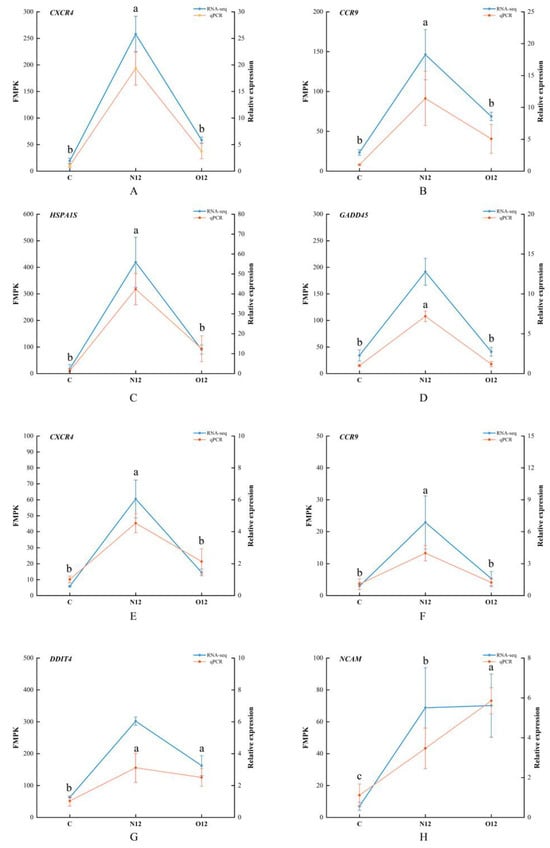
3.7. Transcriptome Sequencing Validated Using qPCR
4. Discussion
5. Conclusions
Supplementary Materials
Author Contributions
Funding
Institutional Review Board Statement
Informed Consent Statement
Data Availability Statement
Conflicts of Interest
References
- Jane, S.F.; Hansen, G.J.; Kraemer, B.M.; Leavitt, P.R.; Mincer, J.L.; North, R.L.; Pilla, R.M.; Stetler, J.T.; Williamson, C.E.; Woolway, R.I. Widespread deoxygenation of temperate lakes. Nature 2021, 594, 66–70. [Google Scholar] [CrossRef] [PubMed]
- Chowdhury, S.; Saikia, S. Oxidative Stress in Fish: A Review. J. Sci. Res. 2020, 12, 145–160. [Google Scholar] [CrossRef]
- Abdel-Tawwab, M.; Monier, M.N.; Hoseinifar, S.H.; Faggio, C. Fish response to hypoxia stress: Growth, physiological, and immunological biomarkers. Fish Physiol. Biochem. 2019, 45, 997–1013. [Google Scholar] [CrossRef] [PubMed]
- Mattiasen, E.G.; Kashef, N.S.; Stafford, D.M.; Logan, C.A.; Sogard, S.M.; Bjorkstedt, E.P.; Hamilton, S.L. Effects of hypoxia on the behavior and physiology of kelp forest fishes. Glob. Chang. Biol. 2020, 26, 3498–3511. [Google Scholar] [CrossRef]
- Liu, H.; He, J.; Chi, C.; Gu, Y. Identification and analysis of icCu/Zn-SOD, Mn-SOD and ecCu/Zn-SOD in superoxide dismutase multigene family of Pseudosciaena crocea. Fish Shellfish. Immunol. 2015, 43, 491–501. [Google Scholar] [CrossRef]
- Liu, X.-L.; Xi, Q.-Y.; Yang, L.; Li, H.-Y.; Jiang, Q.-Y.; Shu, G.; Wang, S.-B.; Gao, P.; Zhu, X.-T.; Zhang, Y.-L. The effect of dietary Panax ginseng polysaccharide extract on the immune responses in white shrimp, Litopenaeus vannamei. Fish Shellfish. Immunol. 2011, 30, 495–500. [Google Scholar] [CrossRef]
- Li, M.; Wang, X.; Qi, C.; Li, E.; Du, Z.; Qin, J.G.; Chen, L. Metabolic response of Nile tilapia (Oreochromis niloticus) to acute and chronic hypoxia stress. Aquaculture 2018, 495, 187–195. [Google Scholar] [CrossRef]
- Wang, J.; Wang, L.; Liu, Y.; Du, C.; Hou, C.; Xie, Q.; Tang, D.; Liu, F.; Lou, B.; Zhu, J. Change to the transcriptomic profile, oxidative stress, apoptotic and immunity in the liver of small yellow croaker (Larimichthys polyactis) under hypoxic stress. Aquaculture 2023, 576, 739854. [Google Scholar] [CrossRef]
- Niklasson, L.; Sundh, H.; Fridell, F.; Taranger, G.; Sundell, K. Disturbance of the intestinal mucosal immune system of farmed Atlantic salmon (Salmo salar), in response to long-term hypoxic conditions. Fish Shellfish. Immunol. 2011, 31, 1072–1080. [Google Scholar] [CrossRef]
- Gomez, D.; Sunyer, J.O.; Salinas, I. The mucosal immune system of fish: The evolution of tolerating commensals while fighting pathogens. Fish Shellfish. Immunol. 2013, 35, 1729–1739. [Google Scholar] [CrossRef]
- Esteban, M.Á.; Cerezuela, R. Fish mucosal immunity: Skin. In Mucosal Health in Aquaculture; Elsevier: Amsterdam, The Netherlands, 2015; pp. 67–92. [Google Scholar]
- Wang, M.; Li, B.; Wang, J.; Xie, S.; Zhang, L. Skin transcriptome and physiological analyses reveal the metabolic and immune responses of yellow catfish (Pelteobagrus fulvidraco) to acute hypoxia. Aquaculture 2022, 546, 737277. [Google Scholar] [CrossRef]
- Vakili, F.; Roosta, Z.; Hoseinifar, S.H.; Akbarzadeh, A. Effects of thermal stress and hypoxia on skin mucus immune and stress responses in blue gourami (Trichogaster trichopterus) cultured in intensive recirculation aquaculture system and semi-intensive systems. Aquac. Res. 2021, 52, 6581–6590. [Google Scholar] [CrossRef]
- De Mercado, E.; Larrán, A.M.; Pinedo, J.; Tomás-Almenar, C. Skin mucous: A new approach to assess stress in rainbow trout. Aquaculture 2018, 484, 90–97. [Google Scholar] [CrossRef]
- Guardiola, F.A.; Cuesta, A.; Esteban, M.Á. Using skin mucus to evaluate stress in gilthead seabream (Sparus aurata L.). Fish Shellfish. Immunol. 2016, 59, 323–330. [Google Scholar] [CrossRef]
- Wong, C.K.; Pak IA, P.; Jiang Liu, X. Gill damage to juvenile orange-spotted grouper Epinephelus coioides (H amilton, 1822) following exposure to suspended sediments. Aquac. Res. 2013, 44, 1685–1695. [Google Scholar] [CrossRef]
- Mani, A.; Salinas, I. The knowns and many unknowns of CNS immunity in teleost fish. Fish Shellfish. Immunol. 2022, 131, 431–440. [Google Scholar] [CrossRef]
- Li, J.; Yang, Z.; Yan, J.; Zhang, K.; Ning, X.; Wang, T.; Ji, J.; Zhang, G.; Yin, S.; Zhao, C. Multi-omics analysis revealed the brain dysfunction induced by energy metabolism in Pelteobagrus vachelli under hypoxia stress. Ecotoxicol. Environ. Saf. 2023, 254, 114749. [Google Scholar] [CrossRef]
- Zhao, L.L.; Sun, J.L.; Liang, J.; Liu, Q.; Luo, J.; Li, Z.Q.; Yan, T.M.; Zhou, J.; Yang, S. Enhancing lipid metabolism and inducing antioxidant and immune responses to adapt to acute hypoxic stress in Schizothorax prenanti. Aquaculture 2020, 519, 734933. [Google Scholar] [CrossRef]
- Shang, F.; Lu, Y.; Li, Y.; Han, B.; Wei, R.; Liu, S.; Liu, Y.; Liu, Y.; Wang, X. Transcriptome Analysis Identifies Key Metabolic Changes in the Brain of Takifugu rubripes in Response to Chronic Hypoxia. Genes 2022, 13, 1347. [Google Scholar] [CrossRef]
- Wang, Y.; Yu, S.; Ma, G.; Chen, S.; Shi, Y.; Yang, Y. Comparative study of proximate composition and amino acid in farmed and wild Pseudobagrus ussuriensis muscles. Int. J. Food Sci. Technol. 2014, 49, 983–989. [Google Scholar] [CrossRef]
- Tang, B.; Bu, X.; Lian, X.; Zhang, Y.; Muhammad, I.; Zhou, Q.; Liu, H.; Yang, Y. Effect of replacing fish meal with meat and bone meal on growth, feed utilization and nitrogen and phosphorus excretion for juvenile Pseudobagrus ussuriensis. Aquac. Nutr. 2018, 24, 894–902. [Google Scholar] [CrossRef]
- Pan, Z.; Zhu, C.; Chang, G.; Wu, N.; Ding, H.; Wang, H. Differential expression analysis and identification of sex-related genes by gonad transcriptome sequencing in estradiol-treated and non-treated Ussuri catfish Pseudobagrus ussuriensis. Fish Physiol. Biochem. 2021, 47, 565–581. [Google Scholar] [CrossRef]
- Hua-Min, H.; He-Zhong, H.; Wan-Su, F.; Han-Fu, X.; Yi-He, J.; Qian-Qian, L. Pseudobagrus ussuriensi: The point of no return, suffocation point, and sensitivity to five aquacultural drugs. Mar. Sci. 2011, 35, 26–32. [Google Scholar]
- Ye, H.; Lin, Q.; Luo, H. Applications of transcriptomics and proteomics in understanding fish immunity. Fish Shellfish. Immunol. 2018, 77, 319–327. [Google Scholar] [CrossRef] [PubMed]
- Long, Y.; Li, Q.; Zhou, B.; Song, G.; Li, T.; Cui, Z. De novo assembly of mud loach (Misgurnus anguillicaudatus) skin transcriptome to identify putative genes involved in immunity and epidermal mucus secretion. PLoS ONE 2013, 8, e56998. [Google Scholar] [CrossRef]
- Wang, L.; Guan, T.; Gu, J.; Zhu, C.; Pan, Z.; Wang, H.; Li, J. Comparative transcriptome analysis of gonads in male and female Pseudobagrus ussuriensis (Bagridae, Siluriformes). Comp. Biochem. Physiol. Part D Genom. Proteom. 2023, 47, 101105. [Google Scholar] [CrossRef] [PubMed]
- Livak, K.J.; Schmittgen, T.D. Analysis of relative gene expression data using real-time quantitative PCR and the 2−ΔΔCT method. Methods 2001, 25, 402–408. [Google Scholar] [CrossRef] [PubMed]
- Vatsos, I.; Kotzamanis, Y.; Henry, M.; Angelidis, P.; Alexis, M. Monitoring stress in fish by applying image analysis to their skin mucous cells. Eur. J. Histochem. 2010, 54, e22. [Google Scholar] [CrossRef]
- Mommsen, T.P.; Vijayan, M.M.; Moon, T.W. Cortisol in teleosts: Dynamics, mechanisms of action, and metabolic regulation. Rev. Fish Biol. Fish. 1999, 9, 211–268. [Google Scholar] [CrossRef]
- Ni, M.; Wen, H.; Li, J.; Chi, M.; Bu, Y.; Ren, Y.; Zhang, M.; Song, Z.; Ding, H. The physiological performance and immune responses of juvenile Amur sturgeon (Acipenser schrenckii) to stocking density and hypoxia stress. Fish Shellfish. Immunol. 2014, 36, 325–335. [Google Scholar] [CrossRef]
- Missinhoun, D.; Qiang, J.; Jin-Wen, B.; Yi-Fan, T.; Hao-Jun, Z.; Mutebi, T.E.; Kevin, N.T.; Pao, X. Effects of acute hypoxia stress on hemato-biochemical parameters, oxidative resistance ability, and immune responses of hybrid yellow catfish (Pelteobagrus fulvidraco × P. vachelli) juveniles. Aquac. Int. 2021, 29, 2181–2196. [Google Scholar] [CrossRef]
- Mandic, M.; Joyce, W.; Perry, S.F. The evolutionary and physiological significance of the Hif pathway in teleost fishes. J. Exp. Biol. 2021, 224, jeb231936. [Google Scholar] [CrossRef] [PubMed]
- Liu, C.; Li, J.; Qi, X.; Wang, L.; Sun, D.; Zhang, J.; Zhang, K.; Li, J.; Li, Y.; Wen, H. Cytochrome P450 superfamily in spotted sea bass: Genome-wide identification and expression profiles under trichlorfon and environmental stresses. Comp. Biochem. Physiol. Part D Genom. Proteom. 2023, 46, 101078. [Google Scholar] [CrossRef] [PubMed]
- Mu, Y.; Li, W.; Wei, Z.; He, L.; Zhang, W.; Chen, X. Transcriptome analysis reveals molecular strategies in gills and heart of large yellow croaker (Larimichthys crocea) under hypoxia stress. Fish Shellfish. Immunol. 2020, 104, 304–313. [Google Scholar] [CrossRef]
- Feng, C.; Li, X.; Sha, H.; Luo, X.; Zou, G.; Liang, H. Comparative transcriptome analysis provides novel insights into the molecular mechanism of the silver carp (Hypophthalmichthys molitrix) brain in response to hypoxia stress. Comp. Biochem. Physiol. Part D Genom. Proteom. 2022, 41, 100951. [Google Scholar] [CrossRef]
- Harris, S.L.; Levine, A.J. The p53 pathway: Positive and negative feedback loops. Oncogene 2005, 24, 2899–2908. [Google Scholar] [CrossRef]
- Liu, S.; Luo, L.; Zuo, F.; Geng, Y.; Ou, Y.; Chen, D.; Yang, S.; Luo, W.; Wang, Y.; Wang, J. Immunosuppression and apoptosis activation mediated by p53-Bcl2/Bax signaling pathway-The potential mechanism of goldfish (Carassius auratus Linnaeus) gill disease caused by Myxobolus ampullicapsulatus. Front. Immunol. 2022, 13, 998975. [Google Scholar] [CrossRef] [PubMed]
- Chen, B.-X.; Yi, S.-K.; Wang, W.-F.; He, Y.; Huang, Y.; Gao, Z.-X.; Liu, H.; Wang, W.-M.; Wang, H.-L. Transcriptome comparison reveals insights into muscle response to hypoxia in blunt snout bream (Megalobrama amblycephala). Gene 2017, 624, 6–13. [Google Scholar] [CrossRef]
- Zhang, X.; Ming, Y.; Fu, X.; Niu, Y.; Lin, Q.; Liang, H.; Luo, X.; Liu, L.; Li, N. PI3K/AKT/p53 pathway inhibits infectious spleen and kidney necrosis virus infection by regulating autophagy and immune responses. Fish Shellfish. Immunol. 2022, 120, 648–657. [Google Scholar] [CrossRef]
- Zhou, Y.; Luo, W.; Yu, X.; Wang, J.; Feng, Y.; Tong, J. Cardiac transcriptomics reveals that MAPK pathway plays an important role in hypoxia tolerance in bighead carp (Hypophthalmichthys nobilis). Animals 2020, 10, 1483. [Google Scholar] [CrossRef]
- Harris, J.; Bird, D.J. Modulation of the fish immune system by hormones. Vet. Immunol. Immunopathol. 2000, 77, 163–176. [Google Scholar] [CrossRef] [PubMed]







| Gene Name | Sequences (5′-3′) | Product Length (bp) |
|---|---|---|
| β-actin | F: AGAGCGTAACCCTCGTAG | 235 |
| R: CTGCTTTGCGGCTGAATA | ||
| CXCR4 | F: GCCGTTCTATGCCGTGGATG | 107 |
| R: GGATGAGGACGCTGCTATACAAG | ||
| CCR9 | F: GTACCTGCTGAACCTTGCCTTAG | 121 |
| R: CAACGCCGATGTGCCCTTAC | ||
| HSPA1S | F: TTACGGTGCGGCGGTTCAG | 80 |
| R: CCACATCCAAGAGCAGCAAGTC | ||
| DDIT4 | F: GAGTGAGAGTGTTTGGGCTGATG | 137 |
| R: CAGAACCAGTATCGGAGCAATCG | ||
| NCAM | F: TGGTGAGAATGCGAAGGTTGTG | 124 |
| R: GTAGCGAGAGGAATCTGATGTGTC | ||
| GADD45 | F: GCTGCGAGAACGACATCAACATC | 83 |
| R: CTCCTTGGTGCTTGGCTCTCC |
| C | N3 | N6 | N12 | O12 | |
|---|---|---|---|---|---|
| Number of mucus cells | 29.67 ± 3.30 b | 25.33 ± 3.68 b | 32.33 ± 2.36 b | 49.67 ± 5.19 a | 13.67 ± 2.05 c |
| Sample | Raw Reads (M) | Raw Bases (G) | Clean Reads (M) | Clean Bases (G) | Valid Bases (%) | Q30 (%) | GC (%) |
|---|---|---|---|---|---|---|---|
| C-B1 | 48.21 | 7.23 | 47.6 | 6.91 | 95.59 | 93.41 | 46.1 |
| C-B2 | 51.69 | 7.75 | 51.05 | 7.42 | 95.67 | 93.62 | 46.02 |
| C-B3 | 49.6 | 7.44 | 48.99 | 7.12 | 95.68 | 93.32 | 45.93 |
| C-S1 | 49.19 | 7.38 | 48.59 | 7.05 | 95.49 | 94.39 | 47.52 |
| C-S2 | 48.25 | 7.24 | 47.65 | 6.9 | 95.35 | 94.43 | 47.45 |
| C-S3 | 49.09 | 7.36 | 48.45 | 7.02 | 95.32 | 93.74 | 47.46 |
| N12-B1 | 51.04 | 7.66 | 50.47 | 7.32 | 95.65 | 93.37 | 45.99 |
| N12-B2 | 51.05 | 7.66 | 50.44 | 7.35 | 95.95 | 94.03 | 46.11 |
| N12-B3 | 48.77 | 7.32 | 48.07 | 6.98 | 95.35 | 93.96 | 46.01 |
| N12-S1 | 51.75 | 7.76 | 51.1 | 7.42 | 95.59 | 93.7 | 47.53 |
| N12-S2 | 48.2 | 7.23 | 47.57 | 6.91 | 95.62 | 93.76 | 47.62 |
| N12-S3 | 48.22 | 7.23 | 47.63 | 6.93 | 95.78 | 93.61 | 47.44 |
| O12-B1 | 48.09 | 7.21 | 47.36 | 6.84 | 94.86 | 94.06 | 45.92 |
| O12-B2 | 50.49 | 7.57 | 49.75 | 7.18 | 94.75 | 93.97 | 46.05 |
| O12-B3 | 48.91 | 7.34 | 48.26 | 7.01 | 95.58 | 93.99 | 45.92 |
| O12-S1 | 47.81 | 7.17 | 47.09 | 6.80 | 94.89 | 94.29 | 47.28 |
| O12-S2 | 47.36 | 7.10 | 46.67 | 6.74 | 94.80 | 94.24 | 47.26 |
| O12-S3 | 47.21 | 7.08 | 46.39 | 6.68 | 94.31 | 94.42 | 47.39 |
Disclaimer/Publisher’s Note: The statements, opinions and data contained in all publications are solely those of the individual author(s) and contributor(s) and not of MDPI and/or the editor(s). MDPI and/or the editor(s) disclaim responsibility for any injury to people or property resulting from any ideas, methods, instructions or products referred to in the content. |
© 2024 by the authors. Licensee MDPI, Basel, Switzerland. This article is an open access article distributed under the terms and conditions of the Creative Commons Attribution (CC BY) license (https://creativecommons.org/licenses/by/4.0/).
Share and Cite
Liu, Q.; Li, Y.; Cao, Y.; Gu, L.; Li, T.; Liu, Y.; Song, J.; Wang, W.; Wang, X.; Li, B.; et al. Transcriptome Analysis of Brain and Skin Reveals Immune Responses to Acute Hypoxia and Reoxygenation in Pseudobagrus ussuriensis. Animals 2024, 14, 246. https://doi.org/10.3390/ani14020246
Liu Q, Li Y, Cao Y, Gu L, Li T, Liu Y, Song J, Wang W, Wang X, Li B, et al. Transcriptome Analysis of Brain and Skin Reveals Immune Responses to Acute Hypoxia and Reoxygenation in Pseudobagrus ussuriensis. Animals. 2024; 14(2):246. https://doi.org/10.3390/ani14020246
Chicago/Turabian StyleLiu, Qing, Yuxing Li, Yang Cao, Libo Gu, Tongyao Li, Yu Liu, Jing Song, Weiwei Wang, Xianzong Wang, Bugao Li, and et al. 2024. "Transcriptome Analysis of Brain and Skin Reveals Immune Responses to Acute Hypoxia and Reoxygenation in Pseudobagrus ussuriensis" Animals 14, no. 2: 246. https://doi.org/10.3390/ani14020246
APA StyleLiu, Q., Li, Y., Cao, Y., Gu, L., Li, T., Liu, Y., Song, J., Wang, W., Wang, X., Li, B., & Liu, S. (2024). Transcriptome Analysis of Brain and Skin Reveals Immune Responses to Acute Hypoxia and Reoxygenation in Pseudobagrus ussuriensis. Animals, 14(2), 246. https://doi.org/10.3390/ani14020246

