Concurrent Detection of a Papillomatous Lesion and Sequence Reads Corresponding to a Member of the Family Adintoviridae in a Bell’s Hinge-Back Tortoise (Kinixys belliana)
Abstract
Simple Summary
Abstract
1. Introduction
2. Material and Methods
2.1. Animals
2.2. Diagnostics
3. Results
3.1. Initial Clinical Condition and Therapy
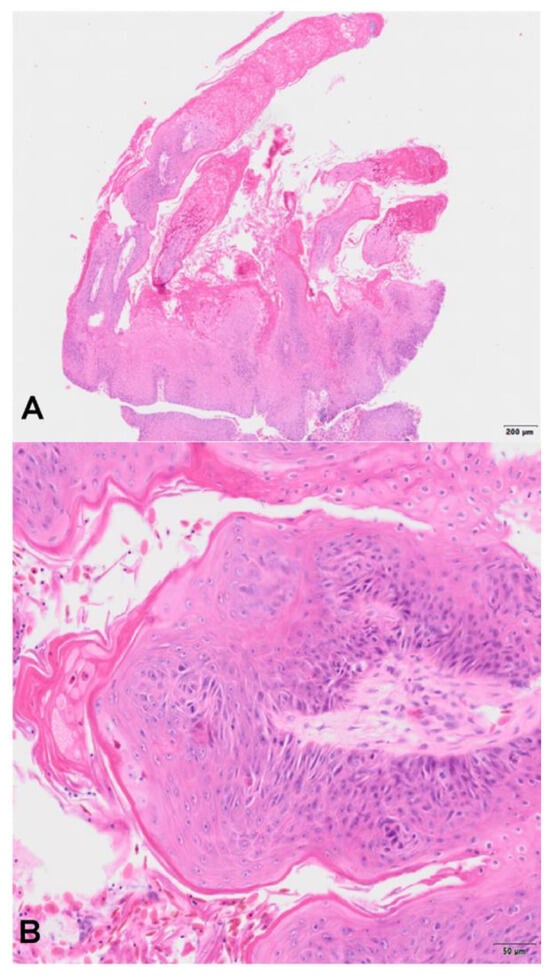
3.2. Diagnostic Results
3.3. Follow-up History
4. Discussion
5. Conclusions
Author Contributions
Funding
Institutional Review Board Statement
Informed Consent Statement
Data Availability Statement
Acknowledgments
Conflicts of Interest
References
- Garner, M.M.; Hernandez-Divers, S.M.; Raymond, J.T. Reptile neoplasia: A retrospective study of case submissions to a specialty diagnostic service. Vet. Clin. Exot. Anim. Pract. 2004, 7, 653–671. [Google Scholar] [CrossRef] [PubMed]
- Hernandez-Divers, S.M.; Garner, M.M. Neoplasia of reptiles with an emphasis on lizards. Vet. Clin. Exot. Anim. Pract. 2003, 6, 251–273. [Google Scholar] [CrossRef] [PubMed]
- Sykes, J.M.; Trupkiewicz, J.G. Reptile neoplasia at the Philadelphia zoological garden, 1901–2002. J. Zoo Wildl. Med. 2006, 37, 11–19. [Google Scholar] [CrossRef] [PubMed]
- Divers, S.J.; Stahl, S.J. Mader’s Reptile and Amphibian Medicine and Surgery-e-Book; Elsevier Health Sciences: Amsterdam, The Netherlands, 2018. [Google Scholar]
- Hellebuyck, T.; Pasmans, F.; Haesebrouck, F.; Martel, A. Dermatological diseases in lizards. Vet. J. 2012, 193, 38–45. [Google Scholar] [CrossRef] [PubMed]
- Herbst, L.H.; Lenz, J.; Van Doorslaer, K.; Chen, Z.; Stacy, B.A.; Wellehan, J.F., Jr.; Manire, C.A.; Burk, R.D. Genomic characterization of two novel reptilian papillomaviruses, Chelonia mydas papillomavirus 1 and Caretta caretta papillomavirus 1. Virology 2009, 383, 131–135. [Google Scholar] [CrossRef]
- Marschang, R.E. Viruses infecting reptiles. Viruses 2011, 3, 2087–2126. [Google Scholar] [CrossRef] [PubMed]
- Gibbons, P.M.; Steffes, Z.J. Emerging infectious diseases of chelonians. Vet. Clin. Exot. Anim. Pract. 2013, 16, 303–317. [Google Scholar] [CrossRef] [PubMed]
- Harding, E.F.; Russo, A.G.; Yan, G.J.; Mercer, L.K.; White, P.A. Revealing the uncharacterised diversity of amphibian and reptile viruses. ISME Commun. 2022, 2, 95. [Google Scholar] [CrossRef] [PubMed]
- Nieto-Claudin, A.; Esperón, F.; Apakupakul, K.; Peña, I.; Deem, S.L. Health assessments uncover novel viral sequences in five species of Galapagos tortoises. Transbound Emerg. Dis. 2022, 69, e1079–e1089. [Google Scholar] [CrossRef] [PubMed]
- Girling, S.J.; Raiti, P. BSAVA Manual of Reptiles; British Small Animal Veterinary Association: Gloucester, UK, 2019. [Google Scholar]
- Allander, T.; Emerson, S.U.; Engle, R.E.; Purcell, R.H.; Bukh, J. A virus discovery method incorporating DNase treatment and its application to the identification of two bovine parvovirus species. Proc. Natl. Acad. Sci. USA 2001, 98, 11609–11614. [Google Scholar] [CrossRef] [PubMed]
- Kalantar, K.L.; Carvalho, T.; de Bourcy, C.F.; Dimitrov, B.; Dingle, G.; Egger, R.; Han, J.; Holmes, O.B.; Juan, Y.F.; King, R.; et al. IDseq-An open source cloud-based pipeline and analysis service for metagenomic pathogen detection and monitoring. Gigascience 2020, 9, giaa111. [Google Scholar] [CrossRef] [PubMed]
- Ramesh, A.; Nakielny, S.; Hsu, J.; Kyohere, M.; Byaruhanga, O.; de Bourcy, C.; Egger, R.; Dimitrov, B.; Juan, Y.F.; Sheu, J.; et al. Metagenomic next-generation sequencing of samples from pediatric febrile illness in Tororo. Uganda PLoS ONE 2019, 14, e0218318. [Google Scholar] [CrossRef] [PubMed]
- Husnjak, K.; Grce, M.; Magdić, L.; Pavelić, K. Comparison of five different polymerase chain reaction methods for detection of human papillomavirus in cervical cell specimens. J. Virol. Methods 2000, 88, 125–134. [Google Scholar] [CrossRef] [PubMed]
- VanDevanter, D.R.; Warrener, P.; Bennett, L.; Schultz, E.R.; Coulter, S.; Garber, R.L.; Rose, T.M. Detection and analysis of diverse herpesviral species by consensus primer PCR. J. Clin. Microbiol. 1996, 34, 1666. [Google Scholar] [CrossRef] [PubMed]
- Jacobson, E.R.; Gaskin, J.M.; Clubb, S.; Calderwood, M. Papilloma-like virus infection in Bolivian side-neck turtles. J. Am. Vet. Med. Assoc. 1982, 181, 1325–1328. [Google Scholar] [PubMed]
- Starrett, G.J.; Tisza, M.J.; Welch, N.L.; Belford, A.K.; Peretti, A.; Pastrana, D.V.; Buck, C.B. Adintoviruses: A proposed animal-tropic family of midsize eukaryotic linear dsDNA (MELD) viruses. Virus Evol. 2021, 7, veaa055. [Google Scholar] [CrossRef] [PubMed]
- Perry, B.J.; Darestani, M.M.; Ara, M.G.; Hoste, A.; Jandt, J.M.; Dutoit, L.; Holmes, E.C.; Ingram, T.; Geoghegan, J.L. Viromes of Freshwater Fish with Lacustrine and Diadromous Life Histories Differ in Composition. Viruses 2022, 14, 257. [Google Scholar] [CrossRef] [PubMed]
- Darke, S.; Marschang, R.E.; Hetzel, U.; Reinacher, M. Experimental infection of Boa constrictor with an orthoreovirus isolated from a snake with inclusion body disease. J. Zoo Wildl. Med. 2014, 45, 433–436. [Google Scholar] [CrossRef] [PubMed]
- La’Toya, V.L.; Wellehan, J. Selected emerging infectious diseases of squamata. Vet. Clin. Exot. Anim. Pract. 2013, 16, 319–338. [Google Scholar]


Disclaimer/Publisher’s Note: The statements, opinions and data contained in all publications are solely those of the individual author(s) and contributor(s) and not of MDPI and/or the editor(s). MDPI and/or the editor(s) disclaim responsibility for any injury to people or property resulting from any ideas, methods, instructions or products referred to in the content. |
© 2024 by the authors. Licensee MDPI, Basel, Switzerland. This article is an open access article distributed under the terms and conditions of the Creative Commons Attribution (CC BY) license (https://creativecommons.org/licenses/by/4.0/).
Share and Cite
Hetterich, J.; Mirolo, M.; Kaiser, F.; Ludlow, M.; Reineking, W.; Zdora, I.; Hewicker-Trautwein, M.; Osterhaus, A.D.M.E.; Pees, M. Concurrent Detection of a Papillomatous Lesion and Sequence Reads Corresponding to a Member of the Family Adintoviridae in a Bell’s Hinge-Back Tortoise (Kinixys belliana). Animals 2024, 14, 247. https://doi.org/10.3390/ani14020247
Hetterich J, Mirolo M, Kaiser F, Ludlow M, Reineking W, Zdora I, Hewicker-Trautwein M, Osterhaus ADME, Pees M. Concurrent Detection of a Papillomatous Lesion and Sequence Reads Corresponding to a Member of the Family Adintoviridae in a Bell’s Hinge-Back Tortoise (Kinixys belliana). Animals. 2024; 14(2):247. https://doi.org/10.3390/ani14020247
Chicago/Turabian StyleHetterich, Johannes, Monica Mirolo, Franziska Kaiser, Martin Ludlow, Wencke Reineking, Isabel Zdora, Marion Hewicker-Trautwein, Albert D. M. E. Osterhaus, and Michael Pees. 2024. "Concurrent Detection of a Papillomatous Lesion and Sequence Reads Corresponding to a Member of the Family Adintoviridae in a Bell’s Hinge-Back Tortoise (Kinixys belliana)" Animals 14, no. 2: 247. https://doi.org/10.3390/ani14020247
APA StyleHetterich, J., Mirolo, M., Kaiser, F., Ludlow, M., Reineking, W., Zdora, I., Hewicker-Trautwein, M., Osterhaus, A. D. M. E., & Pees, M. (2024). Concurrent Detection of a Papillomatous Lesion and Sequence Reads Corresponding to a Member of the Family Adintoviridae in a Bell’s Hinge-Back Tortoise (Kinixys belliana). Animals, 14(2), 247. https://doi.org/10.3390/ani14020247

