Pathological Changes and Sodium Rhodizonate Test as Tools for Investigating Gunshot Wounds in Veterinary Forensic Pathology
Abstract
Simple Summary
Abstract
1. Introduction
2. Material and Methods
2.1. Study Design
2.2. Gross Examination and Macroscopic Chromogenic Test
2.3. Histological and Histochemical Examination
3. Results
3.1. Gross Examination
3.2. Macroscopic Colorimetric Test (Bullet Hole Testing Kit)
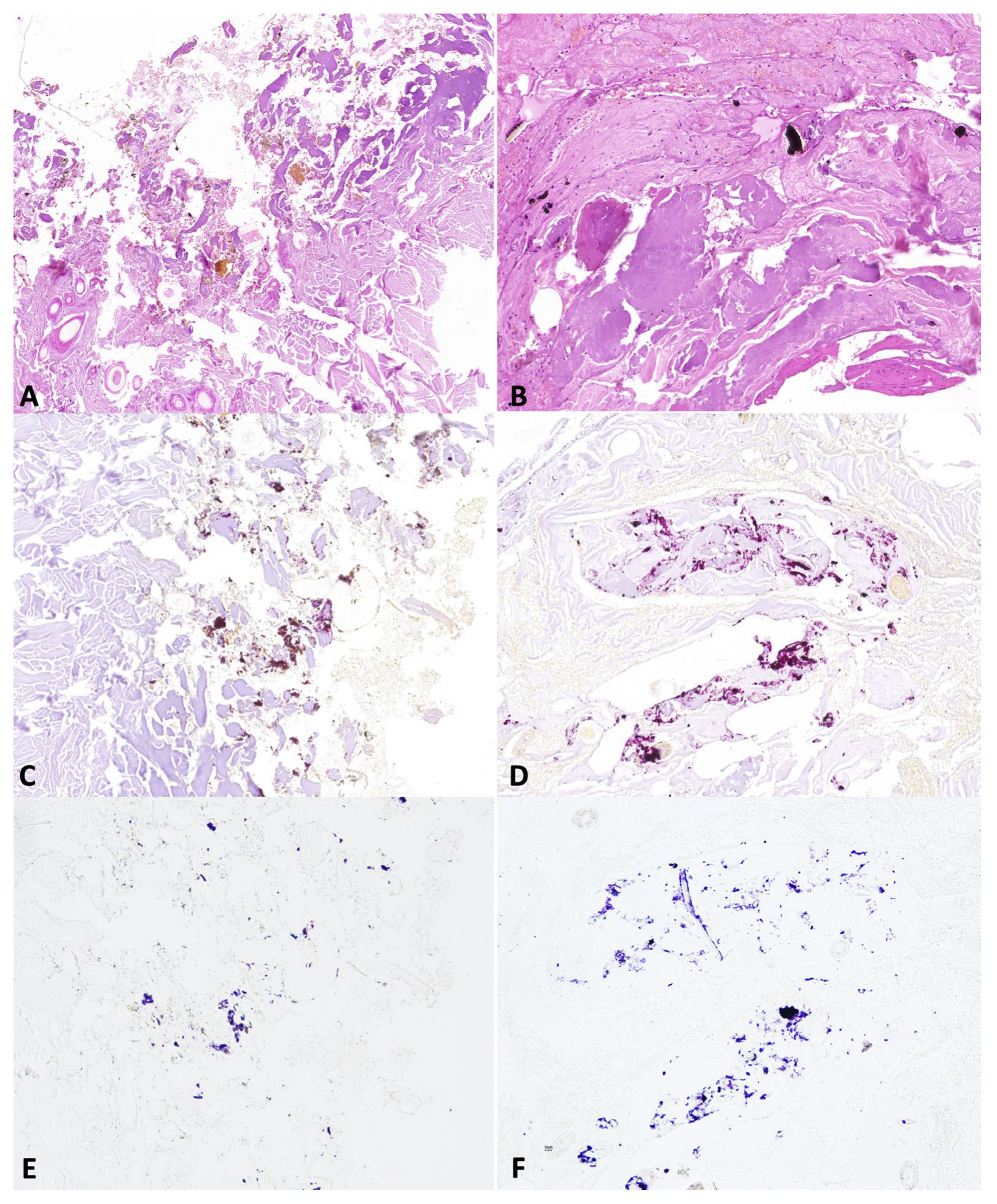
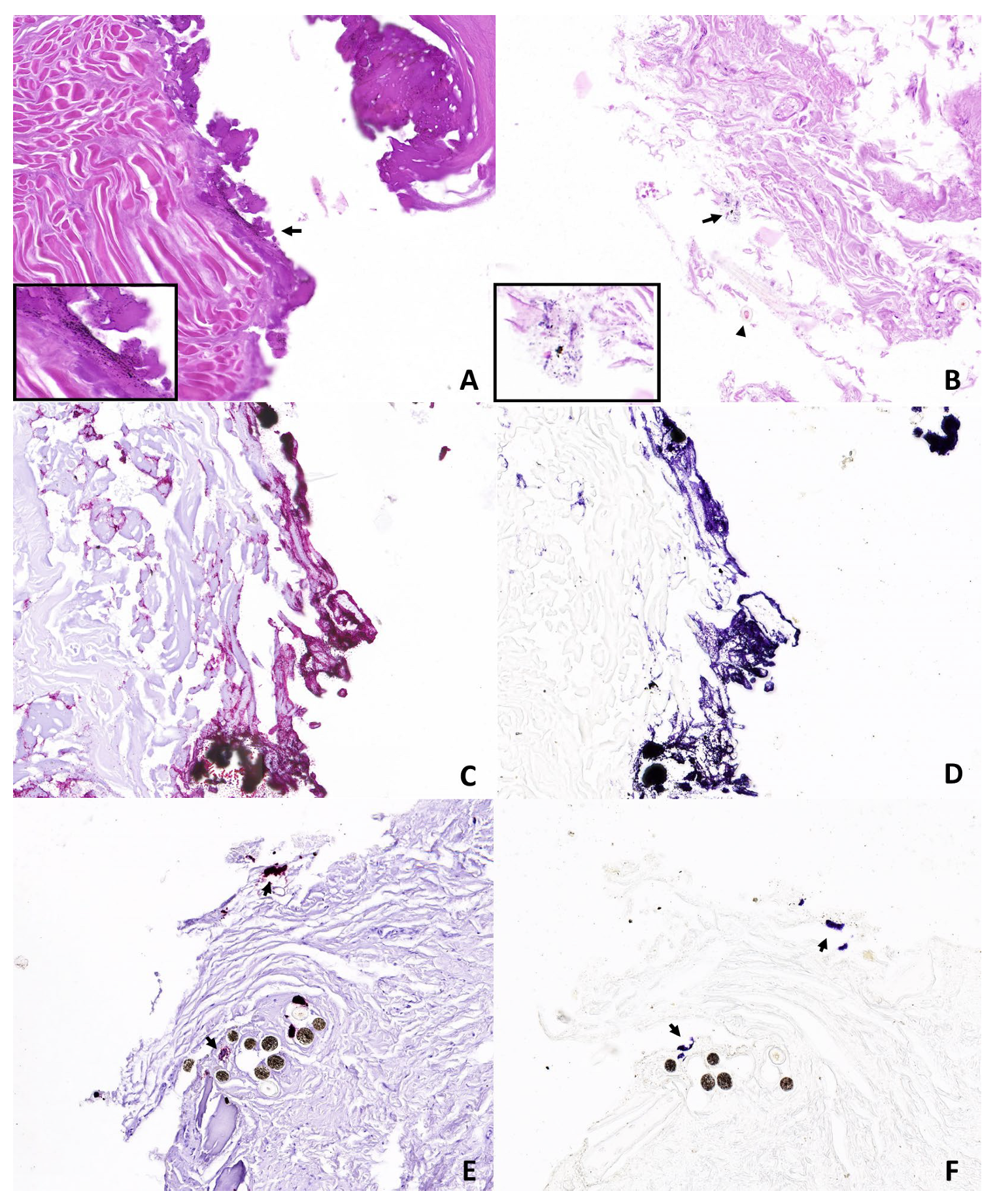
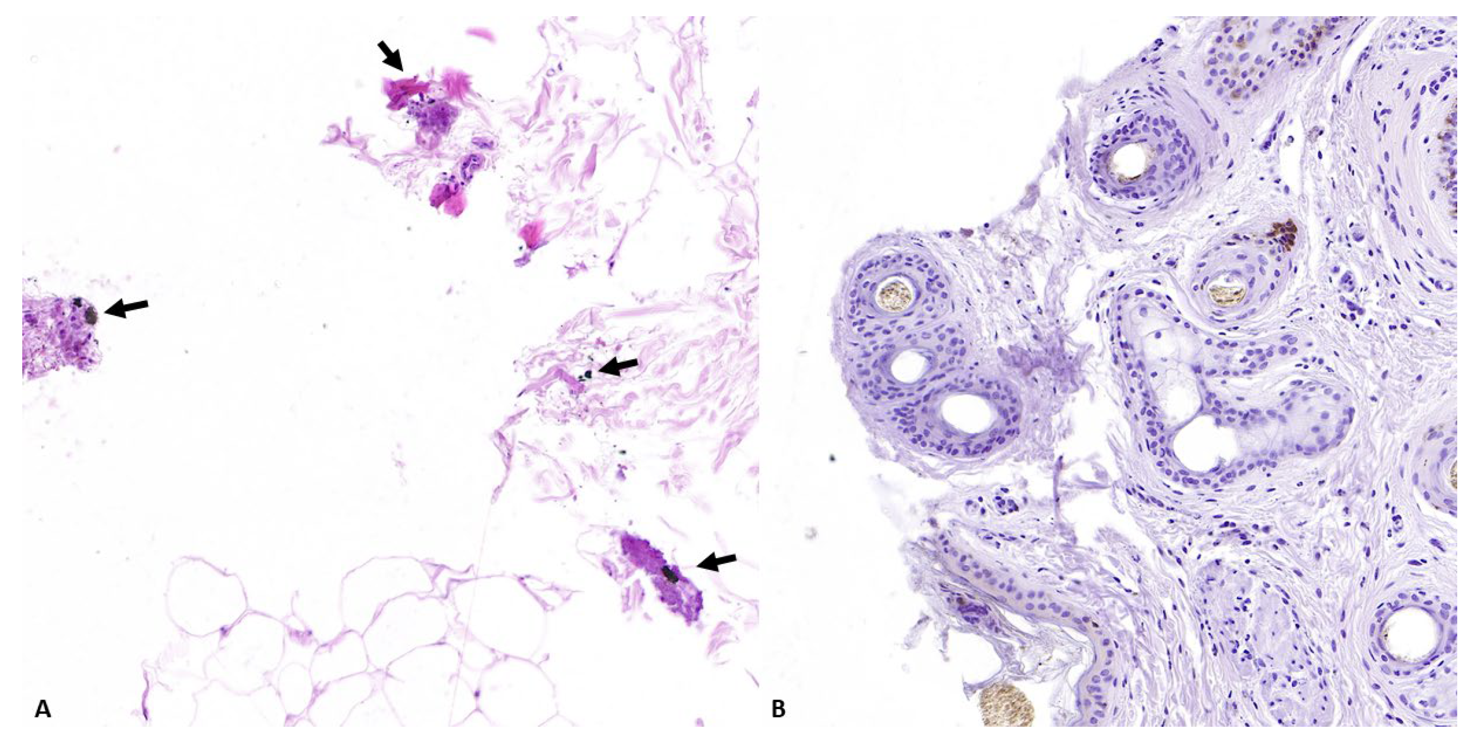
3.3. Histological and Histochemical Analysis (Sodium Rhodizonate Histochemical Staining)
4. Discussion
4.1. Macroscopic and Histological Findings
4.2. Macroscopic and Microscopic Colorimetric Tests
5. Conclusions
6. Limitations
Supplementary Materials
Author Contributions
Funding
Institutional Review Board Statement
Informed Consent Statement
Data Availability Statement
Conflicts of Interest
References
- Gonzalez-Urquijo, M.; Zambrano-La, M. Broken Knife Blade Completely Penetrating the Humerus: A Case Report and Literature Review. Bull. Emerg. Trauma 2020, 8, 202–204. [Google Scholar] [CrossRef] [PubMed] [PubMed Central]
- Reginelli, A.; Pinto, A.; Russo, A.; Fontanella, G.; Rossi, C.; Del Prete, A.; Zappia, M.; D’Andrea, A.; Guglielmi, G.; Brunese, L. Sharp penetrating wounds: Spectrum of imaging findings and legal aspects in the emergency setting. Radiol. Med. 2015, 120, 856–865. [Google Scholar] [CrossRef] [PubMed]
- Stefanopoulos, P.K.; Pinialidis, D.E.; Hadjigeorgiou, G.F.; Filippakis, K.N. Wound ballistics 101: The mechanisms of soft tissue wounding by bullets. Eur. J. Trauma. Emerg. Surg. 2017, 43, 579–586. [Google Scholar] [CrossRef] [PubMed]
- De Siqueira, A.; Cuevas, S.E.; Salvagni, F.A.; Maiorka, P.C. Forensic Veterinary Pathology: Sharp Injuries in Animals. Vet. Pathol. 2016, 53, 979–987. [Google Scholar] [CrossRef] [PubMed]
- Lotfollahzadeh, S.; Burns, B. Penetrating Abdominal Trauma. In StatPearls; StatPearls Publishing: Treasure Island, FL, USA, 2023. Available online: https://www.ncbi.nlm.nih.gov/books/NBK459123/ (accessed on 15 April 2024).
- Garg, A.; Mandal, A.; Aggarwal, I.; Galhotra, A.; Das, S.; Marwah, S. Transcranial lateral perforating gunshot injury through skull base presenting without residual damage: A fortunate survivor. Chin. J. Traumatol. 2021, 24, 183–186. [Google Scholar] [CrossRef]
- Shrestha, R.; Kanchan, T.; Krishan, K. Gunshot Wounds Forensic Pathology. In StatPearls; StatPearls Publishing: Treasure Island, FL, USA, 2024. Available online: https://www.ncbi.nlm.nih.gov/books/NBK556119/ (accessed on 15 April 2024).
- Baptista, M.V.; d’Ávila, S.C.; d’Ávila, A.M. Histopathological detection of entry and exit holes in human skin wounds caused by firearms. J. Forensic Leg. Med. 2014, 25, 49–52. [Google Scholar] [CrossRef] [PubMed]
- Carroll, J. The Medical Examiner-Coroner and the Firearms Examiner. In Multidisciplinary Medico-Legal Death Investigation; Sathyavagiswaran, L., Rogers, C.B., Eds.; Academic Press: Cambridge, MA, USA, 2018; pp. 245–264. [Google Scholar]
- Vachon, C.R.; Martinez, M.V. Understanding Gunshot Residue Evidence and Its Role in Forensic Science. Am. J. Forensic Med. Pathol 2019, 40, 210–219. [Google Scholar] [CrossRef]
- Wongpakdee, T.; Buking, S.; Ratanawimarnwong, N.; Saetear, P.; Uraisin, K.; Wilairat, P.; Tiyapongpattana, W.; Nacapricha, D. Simple gunshot residue analyses for estimating firing distance: Investigation with four types of fabrics. Forensic Sci. Int. 2021, 329, 111084. [Google Scholar] [CrossRef]
- Serol, M.; Ahmad, S.M.; Quintas, A.; Família, C. Chemical Analysis of Gunpowder and Gunshot Residues. Molecules 2023, 28, 5550. [Google Scholar] [CrossRef]
- Taudte, R.V.; Beavis, A.; Blanes, L.; Cole, N.; Doble, P.; Roux, C. Detection of gunshot residues using mass spectrometry. Biomed. Res. Int. 2014, 2014, 965403. [Google Scholar] [CrossRef]
- Shrivastava, P.; Jain, V.K.; Nagpal, S. Gunshot residue detection technologies—A review. Egypt J. Forensic Sci. 2021, 11, 11. [Google Scholar] [CrossRef]
- Geusens, N.; Nys, B.M.; Charles, S. Implementation and Optimization of the Sodium-Rhodizonate Method for Chemographic Shooting Distance Estimation. J. Forensic Sci. 2019, 64, 1169–1172. [Google Scholar] [CrossRef] [PubMed]
- Marty, W.; Sigrist, T.; Wyler, D. Determination of firing distance using the rhodizonate staining technique. Int. J. Leg. Med. 2002, 116, 1–4. [Google Scholar] [CrossRef] [PubMed]
- Baum, G.R.; Baum, J.T.; Hayward, D.; MacKay, B.J. Gunshot Wounds: Ballistics, Pathology, and Treatment Recommendations, with a Focus on Retained Bullets. Orthop. Res. Rev. 2022, 14, 293–317. [Google Scholar] [CrossRef] [PubMed]
- Perez, D.B.; Molina, D.K. The utility of routine histological examination of gunshot wounds. Am. J. Forensic Med. Pathol. 2012, 33, 231–233. [Google Scholar] [CrossRef]
- Adelson, L. A microscopic study of dermal gunshot wounds. Am. J. Clin. Pathol. 1961, 35, 393–402. [Google Scholar] [CrossRef]
- Grela, M.; Panasiuk-Flak, K.; Listos, P.; Gryzińska, M.; Buszewicz, G.; Chagowski, W.; Teresiński, G. Post-mortem analysis of gunshot wounds to the head and thorax in dogs by computed tomography, radiography and forensic necropsy. Med. Sci. Law 2021, 61, 105–113. [Google Scholar] [CrossRef] [PubMed]
- Gibelli, D.; Brandone, A.; Andreola, S.; Porta, D.; Giudici, E.; Grandi, M.A.; Cattaneo, C. Macroscopic, microscopic, and chemical assessment of gunshot lesions on decomposed pig skin. J. Forensic Sci. 2010, 55, 1092–1097. [Google Scholar] [CrossRef]
- Bradley-Siemens, N.; Brower, A.I. Veterinary Forensics: Firearms and Investigation of Projectile Injury. Vet. Path. 2016, 53, 988–1000. [Google Scholar] [CrossRef]
- Neri, M.; Turillazzi, E.; Riezzo, I.; Fineschi, V. The determination of firing distance applying a microscopic quantitative method and confocal laser scanning microscopy for detection of gunshot residue particles. Int. J. Leg. Med. 2007, 121, 287–292. [Google Scholar] [CrossRef]
- Gentile, G.; Tambuzzi, S.; Andreola, S.; Boracchi, M.; Gibelli, L.; Migliorini, A.S.; Zoja, R. Is it possible to detect lead derived from gunshot residues on decalcified human bone by means of a histochemical staining with sodium rhodizonate? Forensic Sci. Int. 2020, 316, 110474. [Google Scholar] [CrossRef]
- Piegari, G.; Iovane, V.; Carletti, V.; Fico, R.; Costagliola, A.; De Biase, D.; Prisco, F.; Paciello, O. Assessment of Google Glass for Photographic Documentation in Veterinary Forensic Pathology: Usability Study. JMIR Mhealth Uhealth 2018, 6, e180. [Google Scholar] [CrossRef]
- Seltenhammer, M.H.; Fitzl, C.; Wieser, I.; Binder, R.; Paula, P.; Risser, D.U. Does the prior application of the field kit bullet hole testing kit 3 on a suspected bullet hole bias the analysis of atomic absorption spectrophotometry? J. Forensic Sci. 2014, 59, 1364–1367. [Google Scholar] [CrossRef]
- Piegari, G.; d’Aquino, I.; Salanti, G.V.; Russo, V.; De Biase, D.; Caccia, G.; Carfora, A.; Campobasso, C.P.; Paciello, O. Pathological alterations and COHb evaluations as tools for investigating fire-related deaths in veterinary forensic pathology. Front. Vet. Sci. 2024, 11, 1396540. [Google Scholar] [CrossRef]
- Andreola, S.; Gentile, G.; Battistini, A.; Cattaneo, C.; Zoja, R. Forensic applications of sodium rhodizonate and hydrochloric acid: A new histological technique for detection of gunshot residues. J. Forensic Sci. 2011, 56, 771–774. [Google Scholar] [CrossRef]
- Johnson, A.B.; Burns, B. Hemorrhage. In StatPearls; StatPearls Publishing: Treasure Island, FL, USA, 2024. Available online: https://www.ncbi.nlm.nih.gov/books/NBK542273/ (accessed on 20 April 2024).
- Kumar, V.; Abbas, A.K.; Aster, J.C. Robbins Basic Pathology; Elsevier: Amsterdam, The Netherlands, 2017. [Google Scholar]
- Hlavaty, L.; Roquero, L.; Amley, J.; Root, K.; Ishikawa, M.; Koopmeiners, A.; Zhao, L.; Sung, L. Discordance of Gross and Histologic Findings in Estimating the Range of Fire of Gunshot Wounds. J. Forensic Sci. 2019, 64, 1399–1411. [Google Scholar] [CrossRef]
- Zain, Z.M.; Jaluddin, S.N.; Halim, M.I.A.; Subri, M.S.M. The effect of type of firearm and shooting distance on pattern distribution, particle dispersion and amount of gunshot residue. Egypt J. Forensic Sci. 2021, 11, 10. [Google Scholar] [CrossRef]
- Jason, A. Effect of hair on the deposition of gunshot residue. Forensic Sci. Commun. 2004, 6, 2. [Google Scholar]
- Dalby, O.; Butler, D.; Birkett, J.W. Analysis of Gunshot Residue and Associated Materials—A Review. J. Forensic Sci. 2010, 55, 924–943. [Google Scholar] [CrossRef] [PubMed]
- Brożek-Mucha, Z. Trends in Analysis of Gunshot Residue for Forensic Purposes. Anal. Bioanal. Chem. 2017, 409, 5803–5811. [Google Scholar] [CrossRef] [PubMed]
- Minzière, V.R.; Gassner, A.L.; Gallidabino, M.; Roux, C.; Weyermann, C. The relevance of gunshot residues in forensic science. WIREs Forensic Sci. 2023, 5, e1472. [Google Scholar] [CrossRef]
- Bellinger, D.C.; Burger, J.; Cade, T.J.; Cory-Slechta, D.A.; Finkelstein, M.; Hu, H.; Kosnett, M.; Landrigan, P.J.; Lanphear, B.; Pokras, M.A.; et al. Health risks from lead-based ammunition in the environment. Environ. Health Perspect. 2013, 121, A178–A179. [Google Scholar] [CrossRef] [PubMed]
- Boracchi, M.; Andreola, S.; Collini, F.; Gentile, G.; Maciocco, F.; Maghin, F.; Zoja, R. Can cadaverous pollution from environmental lead misguide to false positive results in the histochemical determination of gunshot residues? Study on cadaveric skin samples. Forensic Sci. Int. 2017, 277, 16–20. [Google Scholar] [CrossRef] [PubMed]











| Species | Manner of Death |
|---|---|
| n. 2 cattle (Group A) | animals found shot inside a farm and died after 24 h |
| n. 1 cattle (Group A) | animal found shot to death inside a farm |
| n. 3 dogs (Group A) | animals found shot to death—no additional information was reported |
| n. 2 horses (Group A) | animals found shot to death inside a farm |
| Limbs | Weapon | Bullet | Shooting Range |
|---|---|---|---|
| n. 3 cases (group B) | Pistol | 9 mm copper-plated bullets | close contact |
| n. 3 cases (group B) | Pistol | 9 mm copper-plated bullets | 1 m |
| n. 3 cases (group B) | Pistol | 9 mm copper-plated bullets | 6 m |
| n. 3 cases (group B) | Pistol | 9 mm full metal jacket bullets | close contact |
| n. 3 cases (group B) | Pistol | 9 mm full metal jacket bullets | 1 m |
| n. 3 cases (group B) | Pistol | 9 mm full metal jacket bullets | 6 m |
| n. 3 case (group C) | Rifle | cal. 12 shotgun slug | 6 m |
| n. 3 case (group C) | Rifle | cal. 12 shotgun slug | 12 m |
| Species | Location of the Gunshot Wound |
|---|---|
| n. 1 cattle | skull region |
| n. 1 cattle | abdominal region |
| n. 1 cattle | chest region |
| n. 2 dogs | chest region |
| n. 1 dog | skull and neck regions |
| n. 2 horses | chest region |
Disclaimer/Publisher’s Note: The statements, opinions and data contained in all publications are solely those of the individual author(s) and contributor(s) and not of MDPI and/or the editor(s). MDPI and/or the editor(s) disclaim responsibility for any injury to people or property resulting from any ideas, methods, instructions or products referred to in the content. |
© 2024 by the authors. Licensee MDPI, Basel, Switzerland. This article is an open access article distributed under the terms and conditions of the Creative Commons Attribution (CC BY) license (https://creativecommons.org/licenses/by/4.0/).
Share and Cite
Piegari, G.; d’Aquino, I.; Salanti, G.V.; Romano, V.; Miletti, G.; Sannino, E.; Di Napoli, E.; Riccio, L.; De Biase, D.; Paciello, O. Pathological Changes and Sodium Rhodizonate Test as Tools for Investigating Gunshot Wounds in Veterinary Forensic Pathology. Animals 2024, 14, 2913. https://doi.org/10.3390/ani14192913
Piegari G, d’Aquino I, Salanti GV, Romano V, Miletti G, Sannino E, Di Napoli E, Riccio L, De Biase D, Paciello O. Pathological Changes and Sodium Rhodizonate Test as Tools for Investigating Gunshot Wounds in Veterinary Forensic Pathology. Animals. 2024; 14(19):2913. https://doi.org/10.3390/ani14192913
Chicago/Turabian StylePiegari, Giuseppe, Ilaria d’Aquino, Giovanni Valerio Salanti, Vittoria Romano, Gianluca Miletti, Emanuela Sannino, Evaristo Di Napoli, Lorenzo Riccio, Davide De Biase, and Orlando Paciello. 2024. "Pathological Changes and Sodium Rhodizonate Test as Tools for Investigating Gunshot Wounds in Veterinary Forensic Pathology" Animals 14, no. 19: 2913. https://doi.org/10.3390/ani14192913
APA StylePiegari, G., d’Aquino, I., Salanti, G. V., Romano, V., Miletti, G., Sannino, E., Di Napoli, E., Riccio, L., De Biase, D., & Paciello, O. (2024). Pathological Changes and Sodium Rhodizonate Test as Tools for Investigating Gunshot Wounds in Veterinary Forensic Pathology. Animals, 14(19), 2913. https://doi.org/10.3390/ani14192913

