A Look Inside—Histopathological Examinations of Different Tail Tip Lesions in Dairy Cows
Abstract
Simple Summary
Abstract
1. Introduction
2. Materials and Methods
3. Results
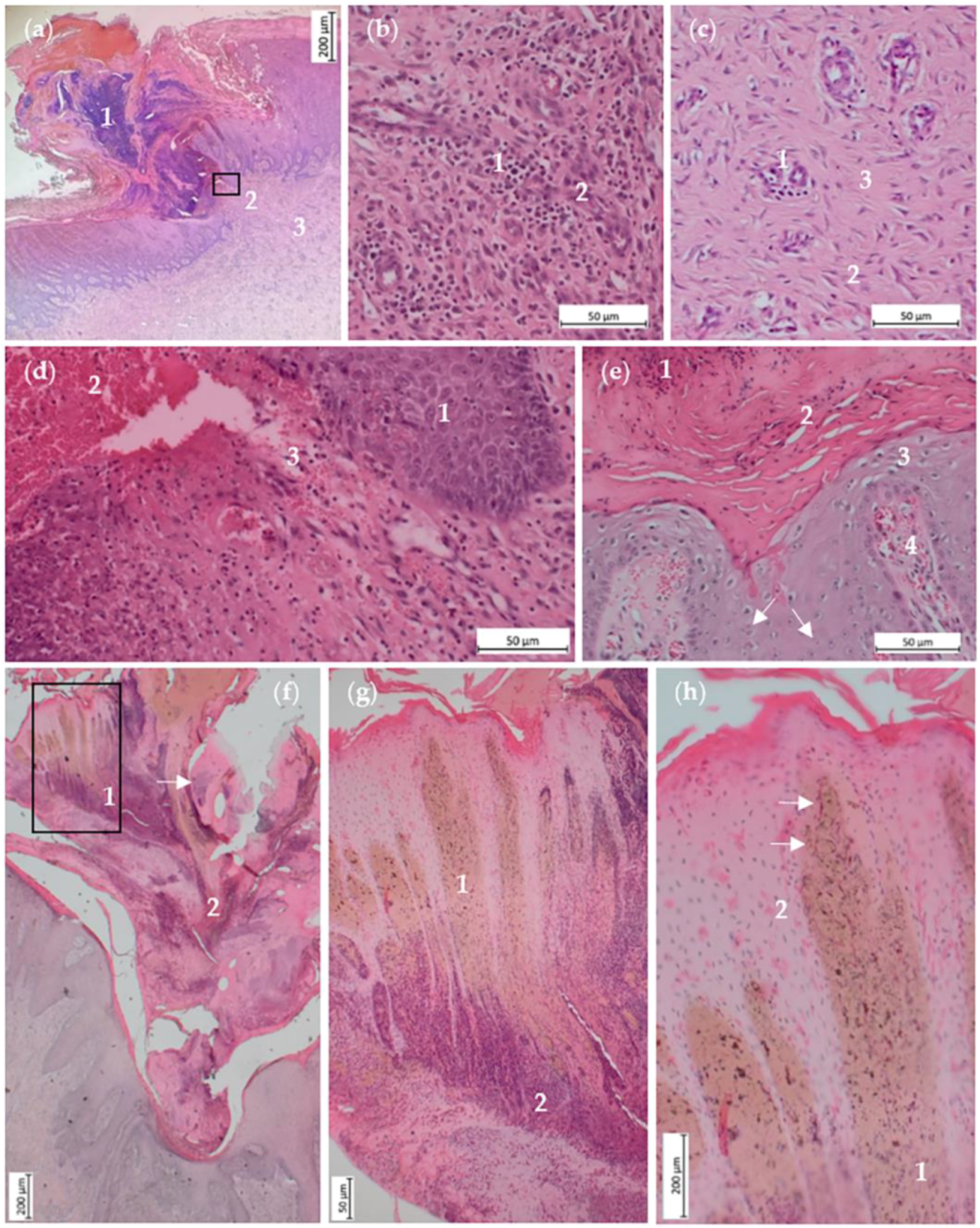
3.1. Annular Constrictions
3.2. Lesions at the Very Tip of the Tail
3.3. Scaling
3.4. Swelling
3.5. Wart-like Masses
3.6. Narrowing of the Tail
3.7. Additional Histopathological Findings
4. Discussion
5. Conclusions
Author Contributions
Funding
Institutional Review Board Statement
Informed Consent Statement
Data Availability Statement
Acknowledgments
Conflicts of Interest
References
- Drolia, H.; Luescher, U.A.; Meek, A.H.; Wilcock, B.P. Tail tip necrosis in Ontario beef feedlot cattle. Can. Vet. J. 1991, 32, 23–29. [Google Scholar] [PubMed]
- Kroll, L.K.; Grooms, D.L.; Siegford, J.M.; Schweihofer, J.P.; Metz, K.; Rust, S.R. Effects of tail docking on health and performance of beef cattle in confined, slatted-floor feedlots. Anim. Sci. 2014, 92, 4108–4114. [Google Scholar] [CrossRef] [PubMed]
- Madsen, E.B.; Nielsen, K. A study of tail tip necrosis in young fattening bulls on slatted floors. Nord. Vet. Med. 1985, 37, 349–357. [Google Scholar] [PubMed]
- Schrader, L.; Roth, H.R.; Winterling, C.; Brodmann, N.; Langhans, W.; Geyer, B.; Graf, B. The occurrence of tail tip alterations in fattening bulls kept under different husbandry conditions. Anim. Welf. 2001, 10, 119–130. [Google Scholar] [CrossRef]
- Cuttance, E.; Mason, W.; Hea, S.; Bryan, M.; Laven, R. The prevalence of damaged tails in New Zealand dairy cattle. N. Z. Vet. J. 2024, 72, 123–132. [Google Scholar] [CrossRef] [PubMed]
- Volhøj, T.; Nielsen, C.K.; Schjermer, D.M.; Jensen, N.S.; Jørgensen, B.M.; Nielsen, S.S.; Jensen, H.E. Prevalence and characterisation of band-shaped tail lesions in Holstein cows. Acta Vet. Scand. 2024, 66, 19. [Google Scholar] [CrossRef] [PubMed]
- Kremer-Rücker, P.V.; Abel, K.M.; Lorenz, L.M.; Schmidt, C.; Lechner, M.; Schubert, K.F.; Köhler, A.A.; Meier, S.; Scholz, A.M. A pilot study: Tail tip lesions in dairy cows—An unnoticed animal welfare issue? Arch. Anim. Breed. 2024, 67, 271–284. [Google Scholar] [CrossRef]
- Gantwerker, E.A.; Hom, D.B. Skin: Histology and Physiology of Wound Healing. Clin. Plast. Surg. 2011, 19, 441–453. [Google Scholar] [CrossRef] [PubMed]
- Rahimabadi, P.D.; Yourdkhani, S.; Rajabi, M.; Sedaghat, R.; Golchin, D.; Rad, H.A. Ergotism in feedlot cattle: Clinical, hematological, and pathological findings. Comp. Clin. Path 2022, 31, 281–291. [Google Scholar] [CrossRef]
- Riet-Correa, F.; Rivero, R.; Odriozola, E.; Adrien, M.d.L.; Medeiros, R.M.T.; Schild, A.L. Mycotoxicoses of ruminants and horses. J. Vet. Diagn. Investig. 2013, 25, 692–708. [Google Scholar] [CrossRef]
- Liegl, C.; McGrath, M. Ergotism: Case Report and Review of the Literature. Int. J. Angiol. 2015, 25, e8–e11. [Google Scholar] [CrossRef] [PubMed][Green Version]
- Reiner, G.; Kuehling, J.; Loewenstein, F.; Lechner, M.; Becker, S. Swine Inflammation and Necrosis Syndrome (SINS). Animals 2021, 11, 1670. [Google Scholar] [CrossRef] [PubMed]
- George, P.O.; Cheeran, J.V.; Aleyas, N.M. Necrosis of the tail in bovine animals. Vet. Rec. 1970, 87, 231–233. [Google Scholar] [CrossRef] [PubMed]
- Crippa, L.; Gobbi, A.; Ceruti, R.M.; Clifford, C.B.; Remuzzi, A.; Scanziani, E. Ringtail in Suckling Munich Wistar Fromter Rats: A Histopathologic Study. Comp. Med. 2000, 50, 536–539. [Google Scholar] [PubMed]
- Recordati, C.; Basta, S.M.; Benedetti, L.; Baldin, F.; Capillo, M.; Scanziani, E.; Gobbi, A. Pathologic and Environmental Studies Provide New Pathogenetic Insights Into Ringtail of Laboratory Mice. Vet. Pathol. 2015, 52, 700–711. [Google Scholar] [CrossRef] [PubMed]
- Andersson, L.; Bergman, A. Pathology of Bovine Laminitis Especially As Regards Vascular Lesions. Acta Vet. Scand. 1980, 21, 559–566. [Google Scholar] [CrossRef] [PubMed]
- Nocek, J.E. Bovine Acidosis: Implications on Laminitis. J. Dairy Sci. 1997, 80, 1005–1028. [Google Scholar] [CrossRef]
- Passos, L.T.; Bettencourt, A.F.; Ritt, L.A.; Canozzi, M.E.A.; Fischer, V. Systematic review of the relationship between rumen acidosis and laminitis in cattle. Res. Vet. Sci. 2023, 161, 110–117. [Google Scholar] [CrossRef]
- Kordowitzki, P. Untersuchungen zum Auftreten der Schwanzspitzennekrose bei Mastbullen; Freie Universität Berlin: Berlin, Germany, 2015. [Google Scholar]
- Noronha Filho, A.D.F.; Freitas, S.L.R.; Rodrigues, D.F.; Mendes, F.F.; Miguel, M.P.; Cunha, P.H.J.; Fioravanti, M.C.S.; Silva, L.A.F. Characterization of ruminal acidosis and initial phase of laminitis inducted by oligofructose in crossbred calves. Pesq. Vet. Bras. 2019, 39, 99–106. [Google Scholar] [CrossRef]
- Thoefner, M.B.; Wattle, O.; Pollitt, C.C.; French, K.R.; Nielsen, S.S. Histopathology of Oligofructose-Induced Acute Laminitis in Heifers. J. Dairy Sci. 2005, 88, 2774–2782. [Google Scholar] [CrossRef]
- Yeruham, I.; Avidar, Y.; Bargai, U.; Adin, G.; Frank, D.; Perl, S.; Bogin, E. Laminitis and dermatitis in heifers associated with excessive carbohydrate intake: Skin lesions and biochemical findings: Case report. J. S. Afr. Vet. Assoc. 1999, 70, 167–171. [Google Scholar] [CrossRef] [PubMed][Green Version]
- Gerhards, K.; Becker, S.; Kuehling, J.; Lechner, M.; Bathke, J.; Willems, H.; Reiner, G. GWAS reveals genomic associations with swine inflammation and necrosis syndrome. Mamm. Genome 2023, 34, 586–601. [Google Scholar] [CrossRef] [PubMed]
- Reiner, G.; Lechner, M.; Eisenack, A.; Kallenbach, K.; Rau, K.; Müller, S.; Fink-Gremmels, J. Prevalence of an inflammation and necrosis syndrome in suckling piglets. Animal 2019, 13, 2007–2017. [Google Scholar] [CrossRef] [PubMed]
- Loewenstein, F.; Becker, S.; Kuehling, J.; Schrade, H.; Lechner, M.; Ringseis, R.; Eder, K.; Moritz, A.; Reiner, G. Inflammation and necrosis syndrome is associated with alterations in blood and metabolism in pigs. BMC Vet. Res. 2022, 18, 50. [Google Scholar] [CrossRef] [PubMed]
- Kuehling, J.; Loewenstein, F.; Wenisch, S.; Kressin, M.; Herden, C.; Lechner, M.; Reiner, G. An in-depth diagnostic exploration of an inflammation and necrosis syndrome in a population of newborn piglets. Animal 2021, 15, 100078. [Google Scholar] [CrossRef] [PubMed]
- Deiss, E. Histologische und Histochemische Untersuchungen an der Haut des Rinderschwanzes: Ein Beitrag zur Problematik der Schwanzspitzenveränderungen des Mastrindes; Vetsuisse Faculty of the University of Zurich: Zürich, Switzerland, 1994. [Google Scholar]
- Goldsberry, S.; Calhoun, M.L. The comparative histology of the skin of Hereford and Aberdeen angus cattle. Am. J. Vet. Res. 1959, 20, 61–68. [Google Scholar]
- Bradford, B.J.; Yuan, K.; Farney, J.K.; Mamedova, L.K.; Carpenter, A.J. Invited review: Inflammation during the transition to lactation: New adventures with an old flame. J. Dairy Sci. 2015, 98, 6631–6650. [Google Scholar] [CrossRef]
- Qiao, K.; Jiang, R.; Contreras, G.A.; Xie, L.; Pascottini, O.B.; Opsomer, G.; Dong, Q. The Complex Interplay of Insulin Resistance and Metabolic Inflammation in Transition Dairy Cows. Animals 2024, 14, 832. [Google Scholar] [CrossRef]
- Movassaghi, A.R.; Mohammadi, G.H. An unusual cutaneous fibroma in a heifer. Comp. Clin. Path 2009, 18, 207–208. [Google Scholar] [CrossRef]





| Macroscopic Findings | Histopathological Findings | |||
|---|---|---|---|---|
| Lesion | Number of Tails with Respective Lesion | Description | Number of Areas with Respective Findings | Description |
| Annular constrictions | 10 | 20 | Different stages of dermal scarring | |
| Alopecic skin | 8 | No epidermal abnormality detected | ||
| 4 | Orthokeratotic hyperkeratosis | |||
| 2 | Parakeratotic hyperkeratosis | |||
| Marginal alopecic skin, central bloody crusts | 1 | Marginal no epidermal abnormality detected, central florid inflammation | ||
| 2 | Marginal orthokeratotic hyperkeratosis, central florid inflammation | |||
| 1 | Marginal orthokeratotic hyperkeratosis, central purulent-necrotizing inflammation, crust with remnants of necrotic skin | |||
| Bloody crusts | 1 | Purulent-necrotizing inflammation | ||
| 1 | Florid inflammation, crust with remnants of necrotic skin | |||
| Lesions at the very tip of the tail | 9 | Alopecia | 3 | Different stages of dermal scarring, no hair follicles, inconspicuous epidermis |
| 4 | Different stages of dermal scarring, no hair follicles, mainly orthokeratotic, with one case of parakeratotic hyperkeratosis | |||
| 1 | Lower hair follicle count, infundibular cyst, inconspicuous epidermis | |||
| Bloody crusts | 1 | Purulent-necrotizing inflammation with underlying granulation tissue, no hair follicles | ||
| Scaling | 2 | No scaling | 1 | Orthokeratotic hyperkeratosis |
| 1 | Predominantly orthokeratotic, partly parakeratotic hyperkeratosis | |||
| 4 | Mild to severe scaling | 1 | Inconspicuous epidermis | |
| 3 | Predominantly orthokeratotic, partly parakeratotic hyperkeratosis | |||
| Swelling | 8 | Swelling in the region of the central longitudinal connective tissue | 8 | Extracellular, low-protein edema |
| Wart-like masses | 7 | Well-circumscribed, alopecic, nonencapsulated dermal nodes | 12 | Nodes consisting of abundant collagen, fibroblasts and blood vessels, covered by an unaltered epidermis |
| Narrowing of the tail | 4 | Narrowing of all layers of the tail | 4 | Narrowing of all layers of the tail |
Disclaimer/Publisher’s Note: The statements, opinions and data contained in all publications are solely those of the individual author(s) and contributor(s) and not of MDPI and/or the editor(s). MDPI and/or the editor(s) disclaim responsibility for any injury to people or property resulting from any ideas, methods, instructions or products referred to in the content. |
© 2024 by the authors. Licensee MDPI, Basel, Switzerland. This article is an open access article distributed under the terms and conditions of the Creative Commons Attribution (CC BY) license (https://creativecommons.org/licenses/by/4.0/).
Share and Cite
Lorenz, L.M.; Volkwein, M.E.; Schmidt, C.; Lechner, M.; Kremer-Rücker, P.V. A Look Inside—Histopathological Examinations of Different Tail Tip Lesions in Dairy Cows. Animals 2024, 14, 2094. https://doi.org/10.3390/ani14142094
Lorenz LM, Volkwein ME, Schmidt C, Lechner M, Kremer-Rücker PV. A Look Inside—Histopathological Examinations of Different Tail Tip Lesions in Dairy Cows. Animals. 2024; 14(14):2094. https://doi.org/10.3390/ani14142094
Chicago/Turabian StyleLorenz, Lea M., Marielle E. Volkwein, Christine Schmidt, Mirjam Lechner, and Prisca V. Kremer-Rücker. 2024. "A Look Inside—Histopathological Examinations of Different Tail Tip Lesions in Dairy Cows" Animals 14, no. 14: 2094. https://doi.org/10.3390/ani14142094
APA StyleLorenz, L. M., Volkwein, M. E., Schmidt, C., Lechner, M., & Kremer-Rücker, P. V. (2024). A Look Inside—Histopathological Examinations of Different Tail Tip Lesions in Dairy Cows. Animals, 14(14), 2094. https://doi.org/10.3390/ani14142094

