Evaluation of the Tibial Plateau–Patella Angle (TPPA) in Dogs
Abstract
Simple Summary
Abstract
1. Introduction
2. Study Part One: Cadaver Study
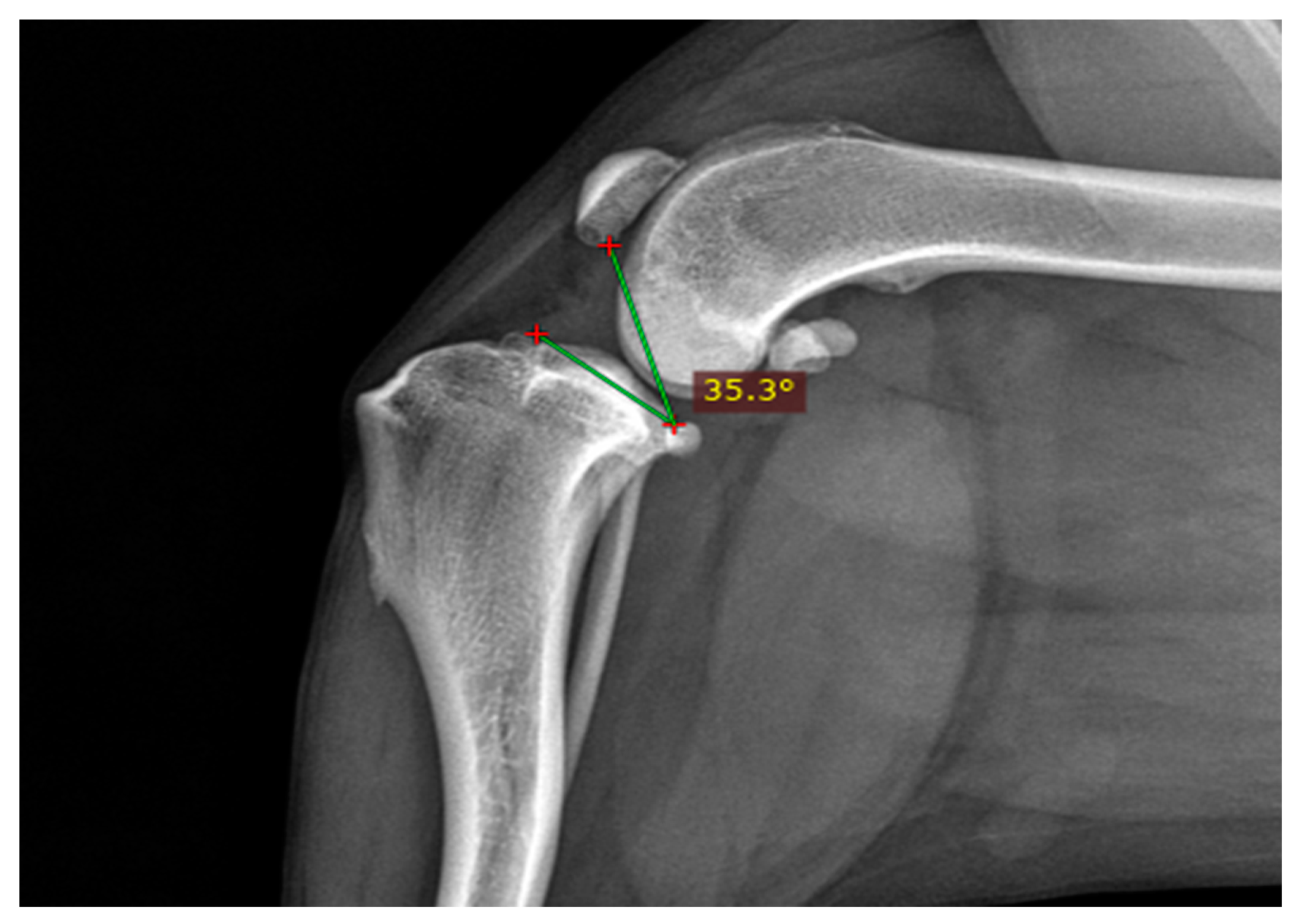
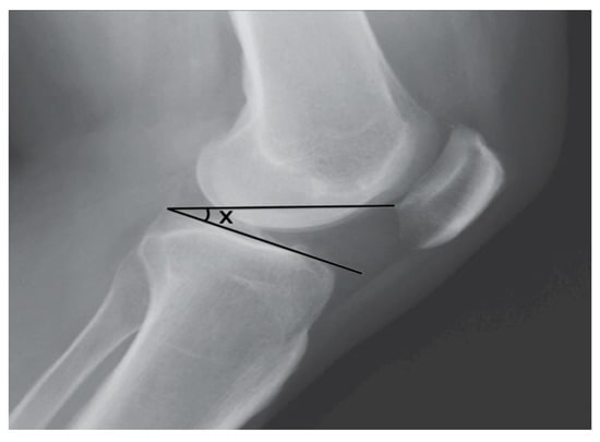
2.1. Materials and Methods
2.2. Statistical Analysis
2.3. Results of the Cadaver Study
3. Study Part Two: Patient Study
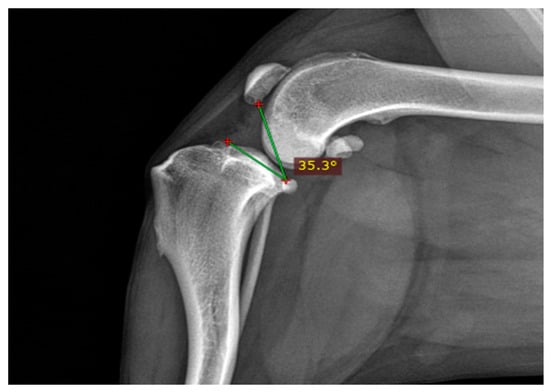
3.1. Materials and Methods
3.2. Statistical Analysis
3.3. Results of the Patient Study
4. Discussion
5. Conclusions
Author Contributions
Funding
Institutional Review Board Statement
Informed Consent Statement
Data Availability Statement
Acknowledgments
Conflicts of Interest
References
- LaFond, E.; Breuer, G.J.; Austin, C.C. Breed susceptibility for developmental orthopedic diseases in dog. J. Am. Anim. Hosp. Assoc. 2002, 38, 467–477. [Google Scholar] [CrossRef]
- L’Eplattenier, H.; Montavon, P.M. Patellar luxation in dogs and cats: Management and prevention. Compe. Conti. Educ. Pract. Vet. 2002, 24, 292–298. [Google Scholar]
- Roush, J.K. Canine patellar luxation. Vet. Clin. N. Am. Small Anim. Pract. 1993, 23, 855–868. [Google Scholar] [CrossRef] [PubMed]
- Gilbert, S.; Langenbach, A.; Marcellin-Little, D.J.; Pease, A.P.; Ru, H. Stifle joint osteoarthritis at the time of diagnosis of cranial cruciate ligament injury is higher in Boxers and in dogs weighing more than 35 kilograms. Vet. Radiol. Ultrasound 2019, 60, 280–288. [Google Scholar] [CrossRef] [PubMed]
- Roy, R.G.; Wallace, L.J.; Johnston, G.R.; Wickstrom, S.L. A retrospective evaluation of stifle osteoarthritis in dogs with bilateral medial patellar luxation and unilateral surgical repair. Vet. Surg. 1992, 21, 475–479. [Google Scholar] [CrossRef]
- Miles, J.E.; Dickow, M.; Nielsen, D.H.; Jensen, B.R.; Kirpensteijn, J.; Svalastoga, E.L.; Eriksen, T. Five patellar proximodistal positioning indices compared in clinically normal Greenland sled dogs. Vet. J. 2012, 193, 529–534. [Google Scholar] [CrossRef]
- Browne, C.; Hermida, J.C.; Bergula, A.; Colwell, C.W.; D’Lima, D.D. Patellofemoral forces after total knee arthroplasty: Effect of extensor moment arm. Knee 2005, 12, 81–88. [Google Scholar] [CrossRef] [PubMed]
- Figgie, H.E.; Goldberg, V.M.; Heiple, K.G.; Moller, H.S.; Gordon, N.H. The influence of tibial-patellofemoral location on function of the knee in patients with the posterior stabilized condylar knee prothesis. J. Bone Jt. Surg. Am. 1986, 68, 1035–1040. [Google Scholar] [CrossRef]
- Floren, M.; Davis, J.; Peterson, M.G.; Laskin, R.S. A mini-midvastus capsular approach with patellar displacement decreases the prevalence of patella baja. J. Arthroplast. 2007, 22, 51–57. [Google Scholar] [CrossRef]
- Ghandi, R.; de Beer, J.; Leone, J.; Petruccelli, D.; Winemark, M.; Adili, A. Predictive risk factors for stiff knees in total knee arthroplasty. J. Atrhroplasty 2006, 21, 46–52. [Google Scholar]
- Luyckx, T.; Didden, K.; Vandenneucker, H.; Labey, L.; Innocenti, B.; Bellemans, J. Is there a biomechanical explanation for anteror knee pain in patients with patella alta?: Influence of patellar height on patellofemoral contact force, contact area and contact pressure. J. Bone Jt. Surg. Br. 2009, 91, 344–350. [Google Scholar] [CrossRef] [PubMed]
- Thaunat, M.; Erasmus, J.P. Recurrent patellar dislocation after medial patellofemoral ligament reconstruction. Knee Surg. Sport. Traumatol. Arthrosc. 2008, 16, 40–43. [Google Scholar] [CrossRef] [PubMed]
- Aparicio, G.; Abril, J.C.; Calvo, E.; Alvarez, L. Radiologic study of patellar height in Osgood-Shaltter disease. J. Pediatr. Orthop. 1997, 17, 63–66. [Google Scholar] [CrossRef] [PubMed]
- Hirano, A.; Fukubayashi, T.; Ishii, T.; Ochiai, N. Relationship between the patellar neight and the disorder of the knee extensor mechanism in immature athletes. Pediatr. Orthop. 2001, 21, 541–544. [Google Scholar] [CrossRef]
- Visuri, T.; Pihlajamäki, H.K.; Mattila, V.M.; Kiuru, M. Elongated patellae at the final stage of Osgood-Shaltter disease: A radigraohic study. Knee 2007, 14, 198–203. [Google Scholar] [CrossRef] [PubMed]
- Drexler, M.; Dwyer, T.; Marmor, M.; Sternheim, A.; Cameron, H.U.; Cameron, J.C. The treatment of acquired patella baja with proximalize the tibial tuberosity. Knee Surg. Sports Traumatol. Arthrosc. 2013, 21, 2578–2583. [Google Scholar] [CrossRef] [PubMed]
- Paulos, L.E.; Rosenberg, T.D.; Drawbert, J.; Manning, J.; Abbott, P. Infrapatellar contracture syndrome: An unrecognize cause of knee stiffness with patella entrapment and patella infera. Am. J. Sports Med. 1987, 15, 331–341. [Google Scholar] [CrossRef] [PubMed]
- Schiphof, D.; Middelkoop, M.; Klerk, B.M.; Oei, E.H.G.; Hofman, A.; Koes, B.W.; Weinans, H.; Zeinstra, S.M.A. Crepitus is a first indication of patellofemoral osteoarthritis (and not of tibiofemoral osteoarthiris). Osteoa. Carti. 2014, 22, 631–638. [Google Scholar] [CrossRef]
- Bei, M.; Tian, F.; Liu, N.; Zheng, Z.; Cao, X.; Zhang, H.; Wang, Y.; Xiao, Y.; Dai, M.; Zhang, L. Anovel Rat Model of Patellofemoral Osteoarthritis Due to Patella Baja, or Low-Lying Patella. Med. Sci. Monit. 2019, 13, 2702–2717. [Google Scholar] [CrossRef]
- Grelsamer, R.P.; Meadows, S. The modified Insall-Salvati ratio for assessment of patellar height. Clin. Orthop. Relat. Res. 1992, 282, 170–176. [Google Scholar] [CrossRef]
- Johnson, A.L.; Probst, C.W.; DeCamp, C.E.; Rosenstein, D.S.; Hauptman, J.G.; Kern, T.L. Vertical position of the patella in the stifle joint of clinically normal large-breed dogs. Am. J. Vet. Res. 2002, 63, 42–46. [Google Scholar] [CrossRef] [PubMed]
- Mostafa, A.A.; Griffon, D.J.; Thomas, W.M.; Constable, P.D. Proximodistal alignment of the canine patella: Radiographic evaluation and association with medial and lateral patellar luxation. Vet. Surg. 2008, 37, 201–2011. [Google Scholar] [CrossRef] [PubMed]
- Vincenti, S.; Knell, S.; Pozzi, A. Surgical treatment of a proximal diaphyseal tibial deformity associated with partial caudal and cranial cruciate ligament deficiency and patella baja. Schweiz. Arch. Tierheilk. 2017, 159, 237–242. [Google Scholar] [CrossRef] [PubMed]
- Knazovicky, D.; Ledecky, V.; Hluchy, M.; Durej, M. Use of modified Insall Salvati method for determination of vertical patellar position in dogs with and without cranial cruciate ligament rupture considering the morphology of the cranio-proximal tibia. Acta. Vet. Brno 2012, 81, 403–407. [Google Scholar] [CrossRef]
- Lojszczyk, S.A.; Slimanowicz, P.; Komsta, R.; Osinski, Z. Determination of reference values and frequency of occurrence of patella alta in German shepherd dogs: A retrospective study. Acta Vet. Scand. 2017, 59, 36. [Google Scholar] [CrossRef] [PubMed]
- Lorinson, K.; Winkler, M.; Lorinson, D.; Tichy, A. Radiographische Evaluierung der prä- und post-operativen Patellahöhe bei TPLO und TTA Patienten. Wien. Tierarztl. Monat- Vet. Med. Austria 2022, 109, Doc1. [Google Scholar] [CrossRef]
- Ocal, M.K.; Seyrek-Intas, D.; Cagatay, S. Comparison of Insall-Salvati Index and its modification in normal dogs from four different body weight groups. Vet. Comp. Othop. Traumatol. 2020, 33, 110–115. [Google Scholar] [CrossRef] [PubMed]
- Johnson, A.L.; Broaddus, K.D.; Hauptman, J.G.; Marsh, S.; Monsere, J.; Sepulveda, G. Vertical patellar position in large-breed dogs with clinically normal stifles and large-breed dogs with medial patellar luxation. Vet. Surg. 2006, 35, 78–81. [Google Scholar] [CrossRef] [PubMed]
- Portner, O.; Pakzad, H. The evaluation of patellar height: A simple method. J. Bone Jt. Surg. Am. 2011, 93, 73–80. [Google Scholar] [CrossRef]
- Murakami, S.; Shimada, M.; Harada, Y.; Hara, Y. Examination of the Proximodistal patellar position in small dogs in relation to anatomical features of the distal femur and medial patellar luxation. PLoS ONE 2021, 5, e0252531. [Google Scholar] [CrossRef]
- Wangdee, C.; Theyse, L.F.H.; Hasewinkel, H.A.W. Proximo-distal patellar position in three small dogs breeds with medial patellar luxation. Vet. Comp. Orthop. Traumatol. 2015, 28, 270–273. [Google Scholar] [PubMed]
- Bonadio, M.B.; Torres, J.A.P.; Filho, V.M.; Helito, C.P. Plateau-patella angle: An option for assessing patellar height on proximal tibia osteotomy. Acta Orth. Bras. 2016, 24, 127–130. [Google Scholar] [CrossRef] [PubMed][Green Version]
- Slocum, B.; Slocum, T.D. Tibial plateau leveling osteotomy for repair of cranial cruciate ligament rupture in the canine. Vet. Clin. N. Am. Small Anin. Pract. 1993, 23, 777–795. [Google Scholar] [CrossRef] [PubMed]
- Reif, U.; Dejardin, L.M.; Probst, C.W.; DeCamp, C.E.; Flo, G.L.; Johnson, A.L. Influence of limb positioning and measurement method on the magnitude of the tibial plateau angle. Vet. Surg. 2004, 33, 368–375. [Google Scholar] [CrossRef] [PubMed]
- Geier, M.C.; Frederick, S.W.; Cross, A.R. Evaluation of the risk of patella fracture as the result of decreasing tibial plateau angle following tibial plateau leveling osteotomy. Vet. Surg. 2021, 50, 984–989. [Google Scholar] [CrossRef] [PubMed]
- Capkin, S.; Guler, S.; Sezgin, E. Comparison of five patellar height measurement methods in a Turkish adult cohort. Ann. Med. Res. 2020, 27, 1549–1553. [Google Scholar] [CrossRef]
- Winkler, M. Radiologische Evaluierung der Patellaposition Anhand Spezifischer Indizes Bei Tibia Plateau Leveling Osteotomy und Tibial Tuberosity Advancement Bei Hunden. Master’s Thesis, The University of Veterinary Medicine, Vienna, Austria, 2019. [Google Scholar]
- Garnoeva, R.S. Evaluation of Proximodistal patellar alignment in small breed dogs with or without patellar luxation using the Insall-Salvati, Caton-Deschamps, and Blackburne-Peel indices. Open Vet. J. 2023, 13, 663–667. [Google Scholar] [CrossRef] [PubMed]
- Feldmane, L.; Theyse, L.F.H. Proximodistal and caudocranial position of the insertion of the patellar ligament on the tibial tuberosity and patellar ligament length of normal stifle and stifle with grade II medial patellar luxation in small-breed dogs. Vet. Surg. 2021, 50, 1017–1022. [Google Scholar] [CrossRef] [PubMed]
- Lorinson, K.; Kneissl, S.; Tichy, A.; Lorinson, D. Radiographic Measurement of the Patellar Height in Cats Using the Tibia Plateau-Patella Angle (TPPA). Biomed. J. Sci. Tech. Res. 2023, 49, 40929–40933. [Google Scholar]
- De Carvalho, A.; Andersen, A.H.; Topp, S.; Jurik, A.G. A method for assessing the height of the patella. Internat. Orthop. 1985, 9, 195–197. [Google Scholar] [CrossRef]
- Bound, N.; Zakai, D.; Butterworth, S.J.; Pead, M. Clinical features and radiographic evidence of limb deviation. Vet. Comp. Orthop. Traumatol. 2009, 22, 32–37. [Google Scholar] [PubMed]







| Weight Group | Stifle Angle | Mean TPPA | ±SD 1 |
|---|---|---|---|
| ~45° | L | 43.67° | |
| M | 40.28° | ||
| S | 37.92° | ||
| Across groups 2 | 40.68° | ±4.28° | |
| ~90° | L | 35.12° | |
| M | 34.80° | ||
| S | 35.62° | ||
| Across groups | 35.26° | ±3.88° | |
| ~135° | L | 29.32° | |
| M | 26.37° | ||
| S | 28.06° | ||
| Across groups | 28.23° | ±3.54° |
| Observer | Mean TPPA | ±SD |
|---|---|---|
| 1 | 36.22° | ±4.52° |
| 2 | 37.10° | ±5.29° |
| 3 | 39.37° | ±4.66° |
| Observer | Observer | Difference | MD |
|---|---|---|---|
| 1 | 2 | 3.62–4.69° | 4.15° |
| 1 | 3 | 1.48–2.34° | 1.95° |
| 2 | 3 | 2.21–3.29° | 2.75° |
Disclaimer/Publisher’s Note: The statements, opinions and data contained in all publications are solely those of the individual author(s) and contributor(s) and not of MDPI and/or the editor(s). MDPI and/or the editor(s) disclaim responsibility for any injury to people or property resulting from any ideas, methods, instructions or products referred to in the content. |
© 2024 by the authors. Licensee MDPI, Basel, Switzerland. This article is an open access article distributed under the terms and conditions of the Creative Commons Attribution (CC BY) license (https://creativecommons.org/licenses/by/4.0/).
Share and Cite
Zaimovic, N.; Lorinson, D.; Lorinson, K.; Tichy, A.; Bockstahler, B. Evaluation of the Tibial Plateau–Patella Angle (TPPA) in Dogs. Animals 2024, 14, 1798. https://doi.org/10.3390/ani14121798
Zaimovic N, Lorinson D, Lorinson K, Tichy A, Bockstahler B. Evaluation of the Tibial Plateau–Patella Angle (TPPA) in Dogs. Animals. 2024; 14(12):1798. https://doi.org/10.3390/ani14121798
Chicago/Turabian StyleZaimovic, Nedim, Dragan Lorinson, Karin Lorinson, Alexander Tichy, and Barbara Bockstahler. 2024. "Evaluation of the Tibial Plateau–Patella Angle (TPPA) in Dogs" Animals 14, no. 12: 1798. https://doi.org/10.3390/ani14121798
APA StyleZaimovic, N., Lorinson, D., Lorinson, K., Tichy, A., & Bockstahler, B. (2024). Evaluation of the Tibial Plateau–Patella Angle (TPPA) in Dogs. Animals, 14(12), 1798. https://doi.org/10.3390/ani14121798

