Evaluation of the Effectiveness of Medical-Grade Honey and Hypericum Perforatum Ointment on Second-Intention Healing of Full-Thickness Skin Wounds in Cats
Abstract
:Simple Summary
Abstract
1. Introduction
2. Materials and Methods
2.1. Cats
2.2. Anesthesia
2.3. Skin Wound Creation
2.4. Post-Operative Care
2.5. Visual Observations
2.6. Laser Doppler Flowmetry (LDF)
2.7. Planimetry
- % epithelization = area of epithelium day n/total wound area day n × 100;
- % contraction = 100 – Χ,
- % total wound healing n = 100 − Υ,
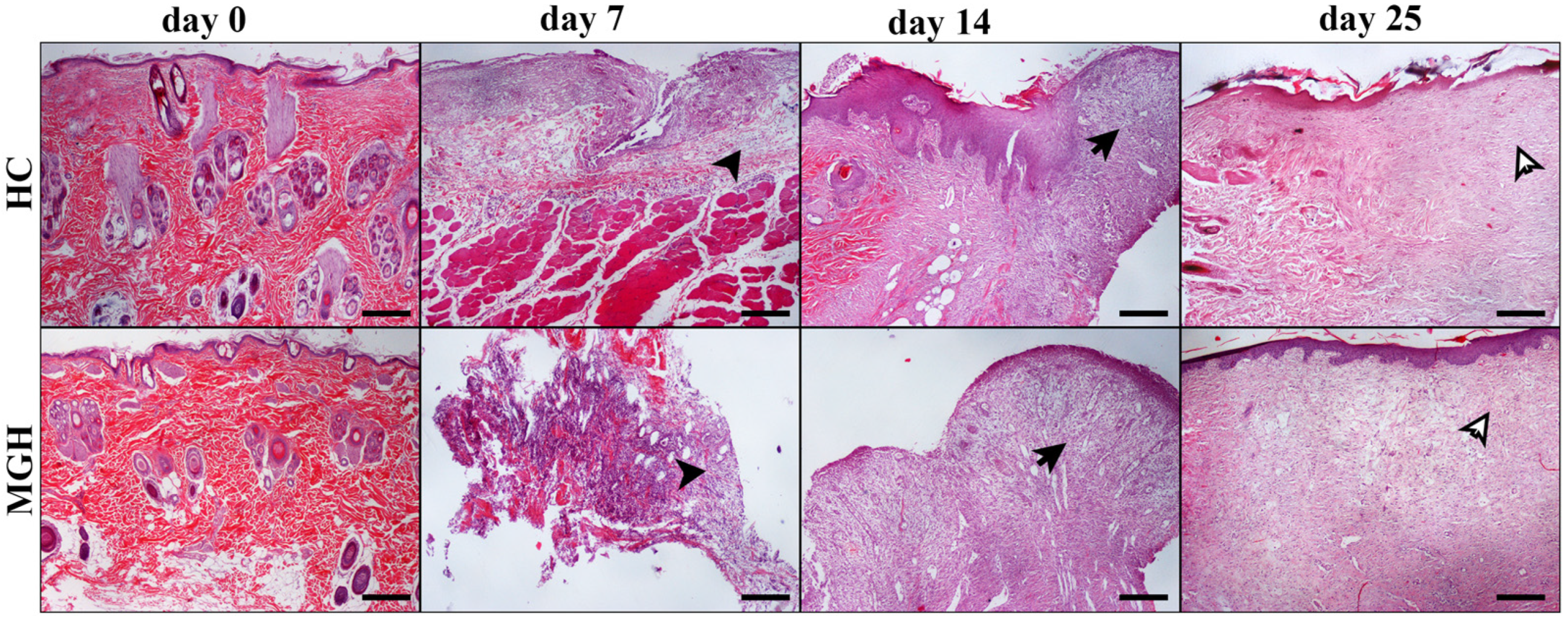
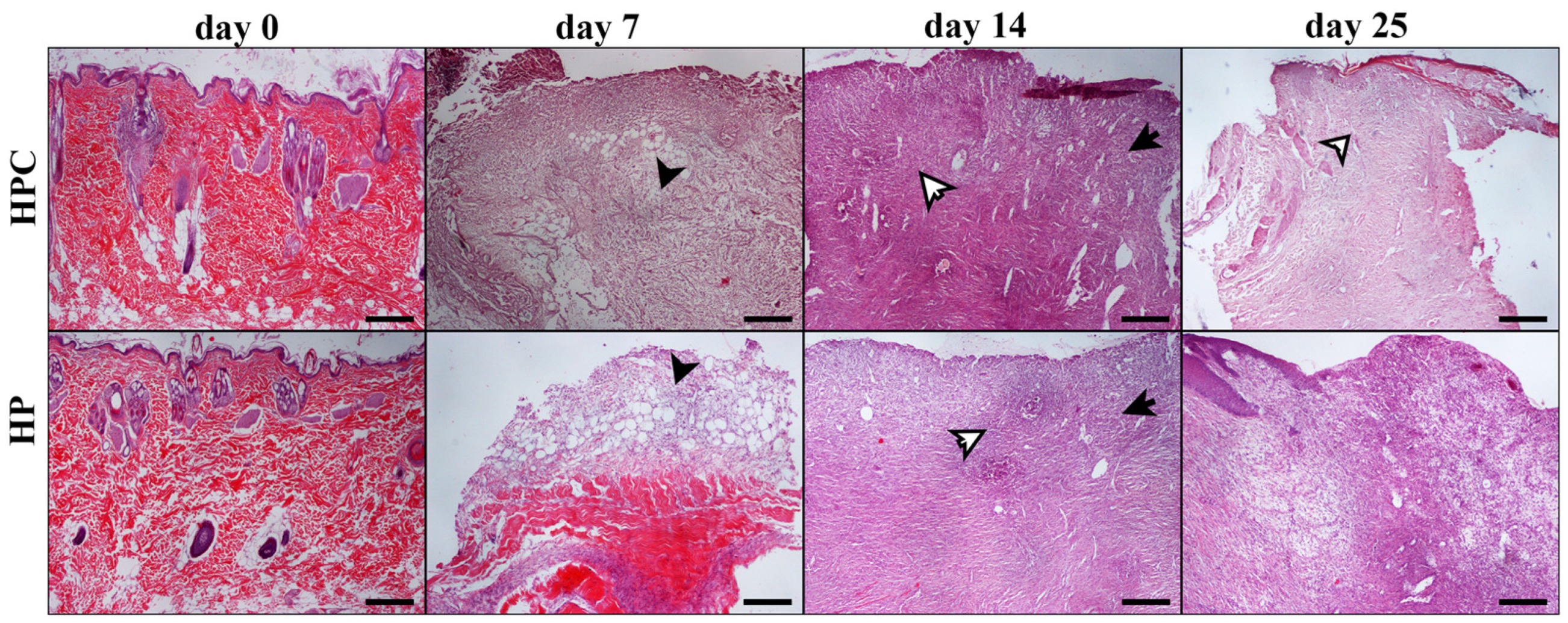
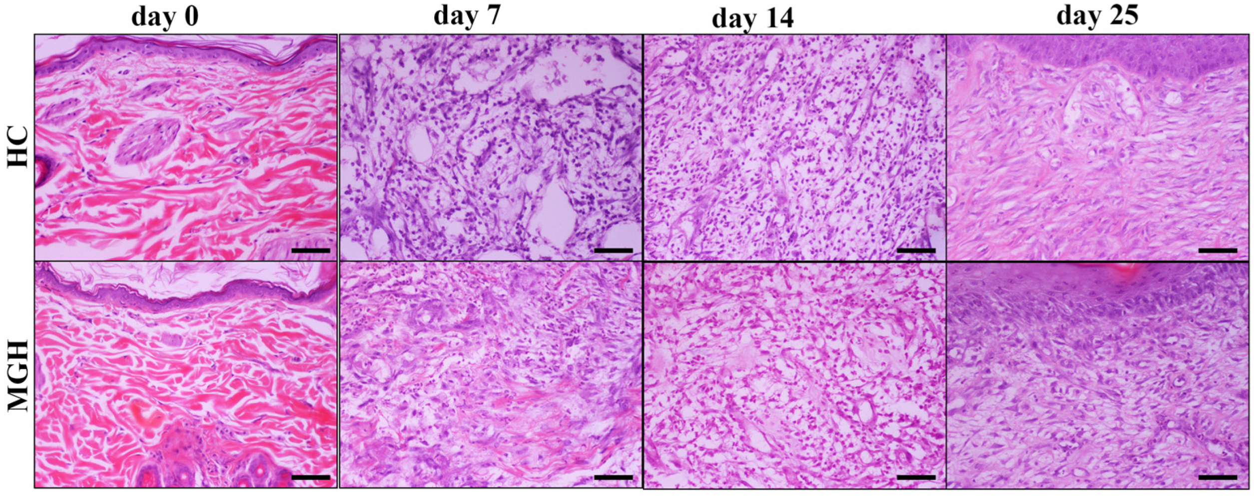
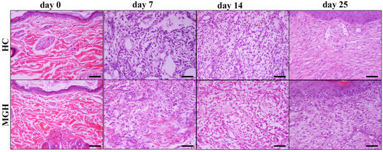
2.8. Histologic Evaluation
2.9. Statistical Analysis
3. Results
3.1. Visual Observations
3.2. Laser Doppler Flowmetry (LDF)
3.3. Planimetry
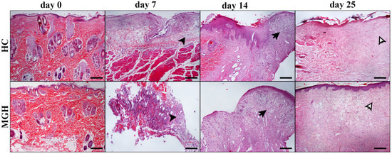
3.4. Histologic Evaluation
4. Discussion
5. Conclusions
Author Contributions
Funding
Institutional Review Board Statement
Informed Consent Statement
Data Availability Statement
Conflicts of Interest
References
- Bohling, M.W.; Henderson, R.A.; Swaim, S.F.; Kincaid, S.A.; Wright, J.C. Cutaneous wound healing in the cat: A macroscopic description and comparison with cutaneous wound healing in the dog. Vet. Surg. 2004, 33, 579–587. [Google Scholar] [CrossRef] [PubMed]
- Bohling, M.W.; Henderson, R.A. Differences in cutaneous wound healing between dogs and cats. Vet. Clin. Small Anim. 2006, 36, 687–692. [Google Scholar] [CrossRef] [PubMed]
- Volk, S.W.; Bohling, M.W. Comparative wound healing-Are the small animal veterinarian’s clinical patients an improved trans-lational model for human wound healing research? Wound Rep. Reg. 2013, 21, 372–381. [Google Scholar] [CrossRef] [PubMed]
- Karayannopoulou, M.; Loukopoulos, P.; Papazoglou, L.G.; Tsioli, V.; Anagnostou, T.L.; Assaloumidis, N.; Constantinidis, T.C.; Assimopoulou, A.N.; Kaldrymidou, E.; Papageorgiou, V.P. Naturally occurring isohexenylnapthazarins and wound healing: An experimental study in dogs. J. Cutan. Med. Surg. 2010, 14, 62–70. [Google Scholar] [CrossRef] [PubMed]
- Karayannopoulou, M.; Tsioli, V.; Loukopoulos, P.; Anagnostou, T.L.; Giannakas, N.; Savvas, I.; Papazoglou, L.G.; Kaldrymidou, E. Evaluation of the effectiveness of an ointment based on Alkannins/Shikonins on second intention wound healing in the dog. Can. J. Vet. Res. 2011, 75, 42–48. [Google Scholar] [PubMed]
- Psalla, D.; Kazakos, G.; Loukopoulos, P.; Giannakas, N.; Savvas, I.; Kritsepi-Konstantinou, M.; Chantes, A.; Papazoglou, L.G.; Karayannopoulou, M. Effect of locally injected autologous platelet-rich plasma on second intention wound healing of acute full-thickness skin defects in dogs. Vet. Comp. Orthop. Traumatol. 2015, 28, 172–178. [Google Scholar] [CrossRef]
- Swaim, S.F. Initial wound management of contaminated and infected wounds. In Management of Small Animal Distal Limb Injuries, 1st ed.; Swaim, S.F., Welch, J., Gillette, R.L., Eds.; Teton New Media: Jackson, WY, USA, 2015; pp. 1–36. [Google Scholar]
- Lukanc, B.; Potokar, T.; Erjavec, V. Observational study of the effect of L-Mesitran® medical honey on wound healing in cats. Vet. Arh. 2018, 88, 59–74. [Google Scholar] [CrossRef]
- Lukanc, B.; Potokar, T.; Erjavec, V. Complete skin regeneration with medical honey after skin loss on the entire circumference of a leg in a cat. J. Tissue Viability 2020, 29, 148–152. [Google Scholar] [CrossRef]
- Angelou, V.; Psalla, D.; Dovas, C.I.; Kazakos, G.M.; Marouda, C.; Chatzimisios, K.; Kyrana, Z.; Moutou, E.; Karayannopoulou, M.; Papazoglou, L.G. Locally Injected Autologous Platelet-Rich Plasma Improves Cutaneous Wound Healing in Cats. Animals 2022, 12, 1993. [Google Scholar] [CrossRef]
- Cremers, N.A. Something old, something new: Does medical-grade honey target multidrug resistance? J. Wound Care 2021, 30, 160–161. [Google Scholar] [CrossRef]
- Pleeging, C.C.; Wagener, F.A.; de Rooster, H.; Cremers, N.A. Revolutionizing non-conventional wound healing using honey by simultaneously targeting multiple molecular mechanisms. Drug Resist. Updates 2022, 62, 100834. [Google Scholar] [CrossRef] [PubMed]
- Hermanns, R.; Mateescu, C.; Thrasyvoulou, A.; Tananaki, C.; Wagener, F.A.; Cremers, N.A. Defining the standards for medical grade honey. J. Apic. Res. 2020, 59, 125–135. [Google Scholar] [CrossRef]
- Nair, H.K.; Tatavilis, N.; Pospíšilová, I.; Kučerová, J.; Cremers, N.A. Medical-Grade Honey Kills Antibiotic-Resistant Bacteria and Prevents Amputation in Diabetics with Infected Ulcers: A Prospective Case Series. Antibiotics 2020, 9, 529. [Google Scholar] [CrossRef] [PubMed]
- Smaropoulos, E.; Cremers, N.A. Medical-Grade Honey for the Treatment of Extravasation-Induced Injuries in Preterm Neonates: A Case Series. Adv. Neonatal Care 2021, 21, 122–132. [Google Scholar] [CrossRef]
- Cremers, N.; Belas, A.; Costa, S.S.; Couto, I.; de Rooster, H.; Pomba, C. In vitro antimicrobial efficacy of two medical grade honey formulations against common high-risk meticillin-resistant staphylococci and Pseudomonas spp. pathogens. Vet. Dermatol. 2020, 31, 90–96. [Google Scholar] [CrossRef]
- Kuś, P.M.; Szweda, P.; Jerković, I.; Tuberoso, C.I.G. Activity of Polish unifloral honeys against pathogenic bacteria and its correlation with colour, phenolic content, antioxidant capacity, and other parameters. Lett. Appl. Microbiol. 2016, 62, 269–276. [Google Scholar] [CrossRef]
- Pleeging, C.C.; Coenye, T.; Mossialos, D.; De Rooster, H.; Chrysostomou, D.; Wagener, F.A.; Cremers, N.A. Synergistic Antimicrobial Activity of Supplemented Medical-Grade Honey against Pseudomonas aeruginosa Biofilm Formation and Eradication. Antibiotics 2020, 9, 866. [Google Scholar] [CrossRef]
- Sherlock, O.; Dolan, A.; Athman, R.; Power, A.; Gethin, G.; Cowman, S.; Humphreys, H. Comparison of the antimicrobial activity of Ulmo honey from Chile and Manuka honey against methicillin-resistant Staphylococcus aureus, Escherichia coli and Pseudomonas aeruginosa. BMC Complement. Altern. Med. 2010, 10, 47. [Google Scholar] [CrossRef]
- Smaropoulos, E.; Cremers, N.A. Medical grade honey for the treatment of paediatric abdominal wounds: A case series. J. Wound Care 2020, 29, 94–99. [Google Scholar] [CrossRef]
- de Groot, T.; Janssen, T.; Faro, D.; Cremers, N.A.; Chowdhary, A.; Meis, J.F. Antifungal Activity of a Medical-Grade Honey Formulation against Candida auris. J. Fungi 2021, 7, 50. [Google Scholar] [CrossRef]
- Hermanns, R.; Cremers, N.A.; Leeming, J.P.; van der Werf, E.T. Sweet Relief: Determining the Antimicrobial Activity of Medical Grade Honey Against Vaginal Isolates of Candida albicans. J. Fungi 2019, 5, 85. [Google Scholar] [CrossRef] [PubMed]
- Oliveira, A.M.P.; Devesa, J.S.P.; Hill, P.B. In vitro efficacy of a honey-based gel against canine clinical isolates of Staphylococcus pseudintermedius and Malassezia pachydermatis. Vet. Dermatol. 2018, 29, 180-e65. [Google Scholar] [CrossRef] [PubMed]
- Bell, S.G. The Therapeutic Use of Honey. Neonatal Netw. 2007, 26, 247–251. [Google Scholar] [CrossRef] [PubMed]
- Cooper, R. Using honey to inhibit wound pathogens. Nurs. Times 2008, 104, 48–49. [Google Scholar]
- Lotfi, A. Use of honey as a medicinal product in wound dressing (Human and animal Studies): A review. Res. J. Biol. Sci. 2008, 3, 136–140. [Google Scholar]
- Postmes, T.; Bogaard, A.V.D.; Hazen, M. Honey for wounds, ulcers, and skin graft preservation. Lancet 1993, 341, 756–757. [Google Scholar] [CrossRef]
- Overgaauw, P.; Kirpensteijn, J. Application of honey in the treatment of skin wounds. Eur. J. Com. Anim. Pract. 2006, 16, 1–3. [Google Scholar]
- Bischofberger, A.S.; Dart, C.M.; Perkins, N.R.; Dart, A.J. A Preliminary study on the effect of manuka honey on second-intention healing of contaminated wounds on the distal aspect of the forelimbs of horses. Vet. Surg. 2011, 40, 898–902. [Google Scholar] [CrossRef]
- Bischofberger, A.S.; Dart, C.M.; Perkins, N.R.; Kelly, A.; Jeffcott, L.; Dart, A.J. The effect of short- and long-term treatment with manuka honey on second intention healing of contaminated and noncontaminated wounds on the distal aspect of the forelimbs in horses. Vet. Surg. 2013, 42, 154–160. [Google Scholar] [CrossRef]
- Mandel, H.H.; Sutton, G.A.; Abu, E.; Kelmer, G. Intralesional application of medical grade honey improves healing of surgically treated lacerations in horses. Equine Vet. J. 2020, 52, 41–45. [Google Scholar] [CrossRef]
- Gustafsson, K.; Tatz, A.J.; Slavin, R.A.; Sutton, G.A.; Dahan, R.; Ahmad, W.A.; Kelmer, G. Intraincisional medical grade honey decreases the prevalence of incisional infection in horses undergoing colic surgery: A prospective randomized controlled study. Equine Vet. J. 2021, 53, 1112–1118. [Google Scholar] [CrossRef] [PubMed]
- Repellin, R.L.; Pitt, K.A.; Lu, M.; Welker, J.; Noland, E.L.; Stanley, B.J. The effects of a proprietary Manuka honey and essential oil hydrogel on the healing of acute full-thickness wounds in dogs. Vet. Surg. 2021, 50, 1634–1643. [Google Scholar] [CrossRef] [PubMed]
- Samadi, S.; Khadivzaden, T.; Enami, A.; Mousavi, N.S.; Tafaghodi, M.; Behnaman, H.R. The effect of hypericum perforatum on the wound healing and scar of cesarian. J. Altern. Complement. Med. 2010, 16, 113–117. [Google Scholar] [CrossRef]
- Yadollah-Damavandi, S.; Chavoshi-Nejad, M.; Jangholi, E.; Nekouyian, N.; Hosseini, S.; Seifaee, A.; Rafiee, S.; Karimi, H.; Ashkani-Esfahani, S.; Parsa, Y.; et al. Topical Hypericum perforatum Improves Tissue Regeneration in Full-Thickness Excisional Wounds in Diabetic Rat Model. Evid.-Based Complement. Altern. Med. 2015, 2015, 245328. [Google Scholar] [CrossRef]
- Tresch, M.; Mevissen, M.; Ayrle, H.; Melzig, M.; Roosje, P.; Walkenhorst, M. Medicinal plants as therapeutic options for topical treatment in canine dermatology? A systematic review. BMC Vet. Res. 2019, 15, 174. [Google Scholar] [CrossRef]
- Vatnikov, Y.; Shabunin, S.; Kulikov, E.; Karamyan, A.; Lenchenko, E.; Sachivkina, N.; Bobkova, N.; Bokov, D.; Zhilkina, V.; Tokar, A.; et al. Effectiveness of biologically active substances from Hypericum Perforatum L. in the complex treatment of purulent wounds. Int. J. Pharm. Res. 2020, 12, 1108–1117. [Google Scholar]
- Elisabetta, G.; Chiara, C.; Gaetano, S.; Maria, R.; Maria, L.; Simona, D.P. Evaluation of wound healing activity of St. John’s Wort (Hypericum perfoliatum) in horses. Comp. Clin. Pathol. 2017, 26, 611–615. [Google Scholar] [CrossRef]
- Marino, G.; Pugliese, M.; Pecchia, F.; Garufi, G.; Lupo, V.; Giorgio, S.; Sfacteria, A. Conservative treatments for feline fibroadenomatous changes of the mammary gland. Open Vet. J. 2021, 11, 680–685. [Google Scholar] [CrossRef]
- Bohling, M.W.; Henderson, R.A.; Swaim, S.F.; Kincaid, S.A.; Wright, J.C. Comparison of the role of the subcutaneous tissues in cuta-neous wound healing in the dog and cat. Vet. Surg. 2006, 35, 3–14. [Google Scholar] [CrossRef]
- Gillette, R.L.; Swaim, S.F.; Sartin, E.A.; Bradley, D.M.; Coolman, S.L. Effects of a bioactive glass on healing of closed skin wounds in dogs. Am. J. Vet. Res. 2001, 62, 1149–1153. [Google Scholar] [CrossRef]
- Field, A. Discovering Statistics with SPSS; SAGE Publications: New Delhi, India, 2009. [Google Scholar]
- Mehta, C.R.; Patel, N.R. Exact Tests; SPSS Incorporated: Lewes, DE, USA, 1996. [Google Scholar]
- Boekema, B.; Pool, L.; Ulrich, M. The effect of a honey based gel and silver sulphadiazine on bacterial infections of in vitro burn wounds. Burns 2013, 39, 754–759. [Google Scholar] [CrossRef] [PubMed]
- Bocoum, A.; van Riel, S.J.J.M.; Traoré, S.O.; Ii, E.F.N.O.; Traoré, Y.; Thera, A.T.; Fané, S.; Dembele, B.T.; Cremers, N.A.J. Medical-Grade Honey Enhances the Healing of Caesarean Section Wounds and Is Similarly Effective to Antibiotics Combined with Povidone-Iodine in the Prevention of Infections—A Prospective Cohort Study. Antibiotics 2023, 12, 92. [Google Scholar] [CrossRef] [PubMed]
- Holubová, A.; Chlupáčová, L.; Cetlová, L.; Cremers, N.A.J.; Pokorná, A. Medical-Grade Honey as an Alternative Treatment for Antibiotics in Non-Healing Wounds—A Prospective Case Series. Antibiotics 2021, 10, 918. [Google Scholar] [CrossRef] [PubMed]
- Naik, P.P.; Chrysostomou, D.; Cinteza, M.; Pokorná, A.; Cremers, N.A. When time does not heal all wounds-the use of medical grade honey in wound healing: A case series. J. Wound Care 2022, 31, 548–558. [Google Scholar] [CrossRef]
- Naik, P.P.; Mossialos, D.; Wijk, B.V.; Novakova, P.; Wagener, F.A.; Cremers, N.A. Medical-Grade Honey Outperforms Conventional Treatments for Healing Cold Sores-A Clinical Study. Pharmaceuticals 2021, 14, 1264. [Google Scholar] [CrossRef]
- Sell, S.A.; Wolfe, P.S.; Spence, A.J.; Rodriguez, I.A.; McCool, J.M.; Petrella, R.L.; Garg, K.; Ericksen, J.J.; Bowlin, G.L. A preliminary study on the potential of manuka honey and platelet-rich plasma in wound healing. Int. J. Biomater. 2012, 2012, 313781. [Google Scholar] [CrossRef]
- Rossiter, K.; Cooper, A.; Voegeli, D.; Lwaleed, B. Honey promotes angiangiogenicivity in the rat aortic ring assay. J. Wound Care 2010, 19, 440–446. [Google Scholar] [CrossRef]
- Gupta, S.K.; Singh, H.; Varshney, A.C.; Prakash, P. Therapeutic efficacy of honey in infected wounds in buffaloes. Ind. J. Anim. Sci. 1992, 62, 521–523. [Google Scholar]
- Schmidt, R.J.; Chung, L.Y.; Andrews, A.M.; Spyratou, O.; Turner, T.D. Biocompatibility of Wound Management Products: A Study of the Effects of Various Polysaccharides on Murine L929 Fibroblast Proliferation and Macrophage Respiratory Burst. J. Pharm. Pharmacol. 1993, 45, 508–513. [Google Scholar] [CrossRef]
- Martínez-Poveda, B.; Quesada, A.R.; Medina, M.Á. Hyperforin, a bio-active compound of St. John’s Wort, is a new inhibitor of angiogenesis targeting several key steps of the process. Int. J. Cancer 2005, 117, 775–780. [Google Scholar] [CrossRef]
- Majerník, M.; Jendželovský, R.; Babinčák, M.; Košuth, J.; Ševc, J.; Gombalová, Z.T.; Jendželovská, Z.; Buríková, M.; Fedoročko, P. Novel Insights into the Effect of Hyperforin and Photodynamic Therapy with Hypericin on Chosen Angiogenic Factors in Colorectal Micro-Tumors Created on Chorioallantoic Membrane. Int. J. Mol. Sci. 2019, 20, 3004. [Google Scholar] [CrossRef] [PubMed]
- Bergman, A.; Yanai, J.; Weiss, J.; Bell, D.; David, M.P. Acceleration of wound healing by topical application of honey: An animal model. Am. J. Surg. 1983, 145, 374–376. [Google Scholar] [CrossRef] [PubMed]
- Majtan, J. Honey is an immunomodulator in wound healing. Wound Repair Regen. 2014, 22, 187–192. [Google Scholar] [CrossRef]
- Hosgood, G. Stages of wound healing and their clinical relevance. Vet. Clin. Small Anim. 2006, 36, 667–685. [Google Scholar] [CrossRef]
- Qian, H.; Shan, Y.; Gong, R.; Lin, D.; Zhang, M.; Wang, C.; Wang, L. Fibroblasts in Scar Formation: Biology and Clinical Translation. Oxidative Med. Cell. Longev. 2022, 2022, 4586569. [Google Scholar] [CrossRef]










| Groups | Tissue Perfusion in Full-Thickness Wounds | |||
|---|---|---|---|---|
| Day 0 | Day 7 | Day 14 | Day 25 | |
| MGH | 1.85 (±0.59) | 2.90 (±0.82) * | 2.26 (±0.80) * | 1.54 (±0.95) * |
| HC | 1.75 (±0.41) | 1.98 (±0.51) * | 1.59 (±0.56) * | 1.06 (±0.41) * |
| HP | 1.71 (±0.48) | 2.36 (±0.68) * | 2.24 (±0.92) * | 1.69 (±0.78) * |
| HPC | 1.66 (±0.43) | 1.80 (±0.37) * | 1.87 (±0.70) * | 1.07 (±0.77) * |
| Group | Day | Epithelialization % | Contraction % | Total Wound Healing |
|---|---|---|---|---|
| MGH | 0 | |||
| 7 | 13.95 (±5.14) | 22.60 (±11.80) | 43.11 (±14.18) | |
| 14 | 50.50 (±11.23) | 58.64 (±9.12) | 77.54 (±7.56) | |
| 25 | 86.58 (±14.95) | 86.45 (±6.99) | 97.86 (±3.00) | |
| HC | 0 | |||
| 7 | 11.46 (±4.28) | 22.08 (±14.81) | 43.76 (±17.60) | |
| 14 | 47.86 (±6.72) | 69.64 (±11.05) | 83.43 (±6.06) | |
| 25 | 88.14 (±10.41) | 84.78 (±4.99) | 98.41 (±1.44) | |
| HP | 0 | |||
| 7 | 12.89 (±4.34) | 20.54 (±8.97) | 44.35 (±10.05) | |
| 14 | 56.61 (±8.20) | 56.83 (±10.20) | 78.68 (±6.73) | |
| 25 | 79.61 (±14.75) | 83.59 (±8.61) | 95.31 (±3.82) | |
| HPC | 0 | |||
| 7 | 8.38 (±4.90) | 21.15 (±11.47) | 43.29 (±14.06) | |
| 14 | 49.63 (±6.54) | 60.35 (±11.66) | 79.23 (±8.53) | |
| 25 | 80.1 (±17.91) | 81.28 (±6.27) | 96.25 (±3.38) |
Disclaimer/Publisher’s Note: The statements, opinions and data contained in all publications are solely those of the individual author(s) and contributor(s) and not of MDPI and/or the editor(s). MDPI and/or the editor(s) disclaim responsibility for any injury to people or property resulting from any ideas, methods, instructions or products referred to in the content. |
© 2023 by the authors. Licensee MDPI, Basel, Switzerland. This article is an open access article distributed under the terms and conditions of the Creative Commons Attribution (CC BY) license (https://creativecommons.org/licenses/by/4.0/).
Share and Cite
Chatzimisios, K.; Tsioli, V.; Brellou, G.D.; Apostolopoulou, E.P.; Angelou, V.; Pratsinakis, E.D.; Cremers, N.A.J.; Papazoglou, L.G. Evaluation of the Effectiveness of Medical-Grade Honey and Hypericum Perforatum Ointment on Second-Intention Healing of Full-Thickness Skin Wounds in Cats. Animals 2024, 14, 36. https://doi.org/10.3390/ani14010036
Chatzimisios K, Tsioli V, Brellou GD, Apostolopoulou EP, Angelou V, Pratsinakis ED, Cremers NAJ, Papazoglou LG. Evaluation of the Effectiveness of Medical-Grade Honey and Hypericum Perforatum Ointment on Second-Intention Healing of Full-Thickness Skin Wounds in Cats. Animals. 2024; 14(1):36. https://doi.org/10.3390/ani14010036
Chicago/Turabian StyleChatzimisios, Kyriakos, Vassiliki Tsioli, Georgia D. Brellou, Emmanouela P. Apostolopoulou, Vasileia Angelou, Emmanouil D. Pratsinakis, Niels A. J. Cremers, and Lysimachos G. Papazoglou. 2024. "Evaluation of the Effectiveness of Medical-Grade Honey and Hypericum Perforatum Ointment on Second-Intention Healing of Full-Thickness Skin Wounds in Cats" Animals 14, no. 1: 36. https://doi.org/10.3390/ani14010036
APA StyleChatzimisios, K., Tsioli, V., Brellou, G. D., Apostolopoulou, E. P., Angelou, V., Pratsinakis, E. D., Cremers, N. A. J., & Papazoglou, L. G. (2024). Evaluation of the Effectiveness of Medical-Grade Honey and Hypericum Perforatum Ointment on Second-Intention Healing of Full-Thickness Skin Wounds in Cats. Animals, 14(1), 36. https://doi.org/10.3390/ani14010036

