A Survey of Diseases in Different Species of Wild, Captive, and Illegally Traded Birds in Brazil
Abstract
Simple Summary
Abstract
1. Introduction
2. Materials and Methods
2.1. Sampling Method
2.2. Postmortem Examination and Histopathology
2.3. Histochemistry
2.4. Ancillary Tests
3. Results
3.1. Samples
3.2. Diagnosis
3.2.1. Viral Diseases
3.2.2. Bacterial Diseases
3.2.3. Fungal Diseases
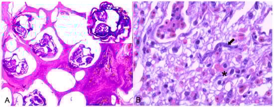
3.2.4. Parasitic Diseases
3.2.5. Poisoning
3.2.6. Metabolic Diseases
3.2.7. Fractures and Traumatic Injuries
3.2.8. Neoplasms
3.2.9. Coinfections
3.2.10. Metabolic Diseases and Associated Infections
3.2.11. Other Concomitant Causes and Conditions
3.2.12. Frequency of Diseases Associated with Bird Origin
4. Discussion
5. Conclusions
Author Contributions
Funding
Institutional Review Board Statement
Informed Consent Statement
Data Availability Statement
Conflicts of Interest
References
- Santos, G.G.C.; Matuella, G.A.; Coraiola, A.M.; Silva, L.C.S.; Lange, R.R.; Santin, E. Doenças de aves selvagens diagnosticadas na Universidade Federal do Paraná (2003–2007). Pesq. Vet. Bras. 2008, 28, 565–570. [Google Scholar] [CrossRef]
- Oliveira, L.G.S.; Lipinski, G.P.; Lorenzett, M.P.; Rolim, V.M.; Marques, S.M.T.; Driemeier, D.; Cruz, C.E.F. Causes of bird losses recorded in a captive-bred wild bird flock between 2011 and 2015. Cienc. Rural. 2017, 47, 1–8. [Google Scholar] [CrossRef][Green Version]
- Nemeth, N.M.; Gonzalez-Astudillo, V.; Oesterle, P.T.; Howerth, E.W. A 5- Year Retrospective Review of Avian Diseases Diagnosed at the Department of Pathology, University of Georgia. J. Comp. Path. 2016, 155, 105–120. [Google Scholar] [CrossRef] [PubMed]
- de Freitas Raso, T.; Godoy, S.N.; Milanelo, L.; de Souza, C.A.I.; Matuschima, E.R.; Araújo, J.P., Jr.; Pinto, A.A. An outbreak of chlamydiosis in captive blue-fronted amazon parrots (Amazona aestiva) in Brazil. J. Zoo Wildl. Med. 2004, 35, 94–96. [Google Scholar] [CrossRef]
- Raso, T.F.; Seixas, G.H.F.; Guedes, N.M.R.; Pinto, A.A. Chlamydophila psittaci in free-living Blue-fronted Amazon parrots (Amazona aestiva) and Hyacinth macaws (Anodorhynchus hyacinthinus) in the Pantanal of Mato Grosso do Sul, Brazil. Vet. Microbiol. 2006, 117, 235–241. [Google Scholar] [CrossRef] [PubMed]
- Ecco, R.; Preis, I.S.; Martins, N.R.S.; Vilela, D.A.R.; Shivaprasad, H.L. An outbreak of Chlamydiosis in captive psittacines. Braz. J. Vet. Pathol. 2009, 2, 85–90. [Google Scholar]
- Luppi, M.M.; Luiz, A.P.M.F.; Coelho, F.M.; Malta, M.C.C.; Preis, I.S.; Ecco, R.; Fonseca, F.G.; Resende, M. Identification and isolation of Psittacid herpesvirus from psittacids in Brazil. Vet. Microbiol. 2011, 154, 69–77. [Google Scholar] [CrossRef]
- Murer, L.; Ribeiro, M.B.; Kommers, G.D.; Soares, M.P.; Cargnelutti, J.F.; Flores, E.F.; Lovato, M. Psittacid herpesvirus 3 infection in rose-ringed parakeets in southern Brazil. J. Vet. Diagn. Investig. 2020, 32, 409–412. [Google Scholar] [CrossRef]
- Echenique, J.V.Z.; Soares, M.P.; Albano, A.P.N.; Bandarra, P.M.; Schild, A.L. Diseases of wild birds in southern Rio Grande do Sul, Brazil. Pesq. Vet. Bras. 2020, 40, 121–128. [Google Scholar] [CrossRef]
- Ecco, R.; Preis, I.S.; Vilela, D.A.R.; Luppi, M.M.; Malta, M.C.C.; Beckstead, R.B.; Stimmelmayr, R.; Gerhold, R.W. Molecular confirmation of Trichomonas gallinae and other parabasalids from Brazil using the 5.8 S and ITS-1 rRNA regions. Vet. Parasitol. 2012, 190, 36–42. [Google Scholar] [CrossRef]
- Echenique, J.V.Z.; Soares, M.P.; Bruni, M.; Farias, N.A.; Moretti, V.D.; Bandarra, P.M.; Albano, A.P.N.; Schild, A.L. Oral trichomoniasis in raptors in Southern Brazil. Pesq. Vet. Bras. 2019, 39, 983–988. [Google Scholar] [CrossRef]
- Fontoura, G.D.R.S.; Sousa, D.E.R.; Macêdo, I.L.; Hirano, L.Q.L.; Castro, M.B. Fatal traumatic injuries in free-living wild Passeriformes and Psittaciformes birds in Central Brazil, 2006-2018. Pesq. Vet. Bras. 2023, 43, e07275. [Google Scholar]
- Weston, M.K.; Memon, M.A. The illegal parrot trade in Latin America and its consequences to parrot nutrition, health and conservation. Bird Popul. 2009, 9, 76–83. [Google Scholar]
- Nóbrega Alves, R.R.; Lima, J.R.F.; Araujo, H.F.P. The live bird trade in Brazil and its conservation implications: An overview. Bird Conserv. Int. 2012, 23, 53–65. [Google Scholar] [CrossRef]
- Sehgal, R.N.M. Deforestation and avian infectious diseases. J. Exp. Biol. 2010, 213, 955–960. [Google Scholar] [CrossRef]
- Serafini, P.P.; Meurer, R.; Biesdorf, S.M.; Sipinski, E.A.B. O uso da microbiologia como ferramenta para a conservação de aves ameaçadas: Dados preliminares para o papagaio-de-cara-roxa, Amazona brasiliensis (Aves: Psittacidae) no Paraná. Arq. Ciênc. Vet. Zool Unipar 2015, 18, 65–69. [Google Scholar] [CrossRef][Green Version]
- Freitas, A.C.P.; Oviedo-Pastrana, M.E.; Vilela, D.A.R.; Pereira, P.L.L.; Loureiro, L.O.C.; Haddad, J.P.A.; Martins, N.R.S.; Soares, D.F.M. Diagnóstico de animais ilegais recebidos no centro de triagem de animais silvestres de Belo Horizonte, Estado de Minas Gerais, no ano de 2011. Cienc. Rural. 2015, 45, 163–170. [Google Scholar] [CrossRef]
- Luna, L.G. Manual of Histologic Staining Methods of the Armed Forces Institute of Pathology, 3rd ed.; McGraw-Hill: New York, NY, USA, 1968; ISBN 9780070015074. [Google Scholar]
- Maluenda, A.C.H.; Casagrande, R.A.; Kanamura, C.T.; Torres, L.N.; Neto, F.Q.; Gomes, M.S.; Matushima, E.R. Rhabdomyosarcoma in a Yellow-Headed Caracara (Milvago chimachima). Avian Dis. 2010, 54, 951–954. [Google Scholar] [CrossRef]
- Marques, M.V.R.; Marin, S.Y.; Couto, R.M.; Ecco, R.; Resende, M.; Martins, N.R.S. Fatal necrotic tracheitis by Adenovirus in captive Alagoas curassows (Pauxi mitu) extinct form the wild. Avian Pathol. 2019, 48, 278–283. [Google Scholar] [CrossRef]
- Ecco, R.; Silva, L.M.N.; Lacerda, M.S.C.; Moraes, M.V.S.; Oliveira, L.B.; Santos, W.H.M.; Rizotto, L.S.; Saraiva, L.H.G.; Bueno, L.M.; Dorlass, E.G.; et al. First detection of Psittacid alphaherpesvirus 5 and coinfection with beak and feather disease virus in naturally infected captive ringneck parakeets (Psittacula krameri) in Brazil. Arch. Virol. 2022, 167, 2319–2324. [Google Scholar] [CrossRef]
- Donatti, R.V.; Resende, M.; Ferreira, F.C.J.; Marques, M.V.R.; Ecco, R.; Shivaprasad, H.L.; Resende, J.S.; Martins, N.R.S. Fatal proventricular dilatation disease in captive native psittacines in Brazil. Avian Dis. 2014, 58, 187–193. [Google Scholar] [CrossRef] [PubMed]
- Braga, J.F.V.; Chanteloup, N.K.; Trotereau, A.; Baucheron, S.; Guabiraba, R.; Ecco, R.; Schouler, C. Diversity of Escherichia coli strains involved in vertebral osteomyelitis and arthritis in broilers in Brazil. BMC Vet. Res. 2016, 12, 140. [Google Scholar] [CrossRef] [PubMed]
- Gerlach, H. Viruses. In Avian Medicine: Principles and Application; Ritchie, B.W., Harrison, G.J., Harrison, L.R., Eds.; Wingers: Florida, FL, USA, 1994; pp. 1053–1060. ISBN 9780967406602. [Google Scholar]
- Schmdit, R.E.; Reavill, D.R.; Phalen, D.N. Liver. In Pathology of Pet and Aviary Birds, 2nd ed.; Schmdit, R.E., Reavill, D.R., Phalen, D.N., Eds.; Wiley Blackwell: Iowa, IA, USA, 2015; pp. 95–125. ISBN 978-1118828090. [Google Scholar]
- Tomaszewski, E.; Wilson, V.G.; Wigle, W.L.; Phalen, D.N. Detection and heterogeneity of herpesviruses causing Pacheco’s disease in parrots. J. Clin. Microbiol. 2001, 39, 533–538. [Google Scholar] [CrossRef] [PubMed][Green Version]
- Gabor, M.; Gabor, L.J.; Peacock, L.; Srivastava, M.; Rosenwax, A.; Phalen, D. Psittacid herpesvirus 3 infection in the eclectus parrot (Eclectus roratus) in Australia. Vet. Pathol. 2013, 50, 1053–1057. [Google Scholar] [CrossRef] [PubMed]
- Sutherland, M.; Sarker, S.; Raidal, S.R. Molecular and microscopic characterisation of a novel pathogenic herpesvirus from Indian ringneck parrots (Psittacula krameri). Vet. Microbiol. 2019, 239, 108428. [Google Scholar] [CrossRef] [PubMed]
- Bottinelli, M.; Fortin, A.; Zanardello, C.; Budai, J.; Gobbo, F.; Antonazzo, G.; Leone, S.; Merenda, M.; Terregino, C.; Catania, S. Herpetic pneumonia in Indian ringneck parrots (Psittacula krameria): First report of novel Psittacid Alphaherpesvirus-5 infection in Europe. Animals 2022, 12, 188. [Google Scholar] [CrossRef] [PubMed]
- Shivaprasad, H.L.; Phalen, D.N. A novel herpesvirus associated with respiratory disease in Bourke’s parrots (Neopsephotus bourkii). Avian Pathol. 2012, 41, 531–539. [Google Scholar] [CrossRef] [PubMed][Green Version]
- Casagrande, R.A.; Machado, V.R.; Souza, S.O.; Watanabe, T.T.N.; Sonne, L.; Pavarini, S.P.; Driemeier, D. Diagnóstico imuno-histoquímico e caracterização anatomopatológica de clamidiose em psitacídeos. Pesq. Vet. Bras. 2014, 34, 885–890. [Google Scholar] [CrossRef]
- Proença, L.M.; Fagliari, J.J.; Raso, T.F. Infecção por C. psittaci: Uma revisão com ênfase em psitacídeos. Cienc. Rural. 2011, 41, 841–847. [Google Scholar] [CrossRef]
- Brandolini, S.V.P.B.; Amato, S.B. Morfologia externa de espécimes adultos de Paratanaisia bragai (Santos, 1934) (Digenea: Eucotylidae). Rev. Bras. Parasitol. Vet. 2007, 16, 129–132. [Google Scholar] [CrossRef]
- Santi, M.; André, M.R.; Hoppe, E.G.L.; Werther, K. Renal trematode infection inwild birds: Histopathological, morphological, and molecular aspects. Parasitol. Res. 2018, 117, 883–891. [Google Scholar] [CrossRef] [PubMed]
- Teodoro, T.G.W.; Oliveira, I.M., Jr.; Lima, H.C.; Reis, M.O.; Miranda, J.L.; Favoretto, S.M.; Pinto, H.A.; Lacreta, A.C.C., Jr.; Wouters, A.T.B.; Varaschin, M.S. Psittacara leucophthalmus (Aves: Psittacidae) como um novo hospedeiro de Paratanaisia bragai (Trematoda: Eucotylidae) no Brasil: Achados clínicos e patológicos: Relato de caso. Arq. Bras. Med. Vet. Zootec. 2018, 70, 1569–1576. [Google Scholar] [CrossRef]
- Keller, D.G.; Araújo, J.L.B. Ciclo evolutivo da Paratanaisia bragai (Santos, 1934) (Trematoda, Eucotylidae) como novo hospedeiro intermediário no Brasil: Leptinaria unimellata (D’Orbigny, 1835) (Gastropoda, Pulmonata, Subulinidae) em condições de laboratório. Rev. Bras. Parasitol. Vet. 1992, 1, 89–92. [Google Scholar]
- Brandolini, S.V.; Amato, S.B.; Pereira, A.A. Relacionamento de Tanaisia bragai (Digenea Eucotylidae) e seu hospedeiro intermediário, Subulina octona (Gastropoda Subulinidae) sob condições experimentais. Parasitol. Día. 1997, 21, 109–113. [Google Scholar] [CrossRef]
- Sanches, T.C.; Godoy, S.N. Passeriformes (Canário, Sabiá, Pássaro-preto e Trinca-ferro). In Tratado De Animais Selvagens, 2nd ed.; Cubas, Z.S., Silva, J.C.R., Catão-Dias, J.L., Eds.; Roca: São Paulo, Brazil, 2014; ISBN 978-8527726184. [Google Scholar]
- Campos, S.D.E.; Machado, C.S.C.; Souza, T.V.T.; Cevalorolli, R.C.; Almosny, N.R.P. Extraintestinal isosporoid coccidian causing atoxoplasmosis in captive green-winged saltators: Clinical and hematological features. Pesq. Vet. Bras. 2017, 37, 1327–1330. [Google Scholar] [CrossRef][Green Version]
- Cushing, T.L.; Schat, K.A.; States, S.L.; Grodio, J.L.; O’Oconnell, P.H.; Buckles, E.L. Characterization of the host response in systemic isosporosis (atoxoplasmosis) in a colony of captive American goldfinches (Spinus tristis) and house sparrows (Passer domesticus). Vet. Pathol. 2011, 48, 985–992. [Google Scholar] [CrossRef] [PubMed]
- Joppert, A.M. Accipitriformes, Falconiformes e Strigiformes (Gaviões, Águias, Falcões e Corujas). In Tratado De Animais Selvagens, 2nd ed.; Cubas, Z.S., Silva, J.C.R., Catão-Dias, J.L., Eds.; Roca: São Paulo, Brazil, 2014; ISBN 978-8527726184. [Google Scholar]
- Sales, I.S.; Nogueira, C.H.O.; Silveira, L.S. Gota úrica visceral em coruja suindara (Tyto alba) de vida livre. Pesq. Vet. Bras. 2015, 35, 169–172. [Google Scholar] [CrossRef]
- Shuster, K.A.; Brock, K.L.; Dysko, R.C.; DiRita, V.J.; Bergin, I.L. Polytetrafluoroethylene toxicosis in recently hatched chickens (Gallus domesticus). Comp. Med. 2012, 62, 49–52. [Google Scholar]
- Wells, R.E. Fatal toxicosis in pet birds caused by an overheated cooking pan lined with polytetrafluoroethylene. J. Am. Vet. Med. Assoc. 1983, 82, 1248–1250. [Google Scholar]
- Marques, M.V.R. Galliformes (Aracuã, Jacu, Jacutinga, Mutum e Uru). In Tratado De Animais Selvagens, 2nd ed.; Cubas, Z.S., Silva, J.C.R., Catão-Dias, J.L., Eds.; Roca: São Paulo, Brazil, 2014; ISBN 978-8527726184. [Google Scholar]
- Blackmore, D.K. The clinical approach to tumours in cage bird. I The pathology and incidence of neoplasia in cage birds. J. Small Anim Pract. 1966, 7, 217–223. [Google Scholar] [CrossRef]
- Godoy, S.N.; Alves, V.A.F.; Kanamura, C.T.; Matushima, E.R. Principais processos neoplásicos encontrados em psitacídeos mantidos em cativeiro. Pesq. Vet. Bras. 2009, 29, 445–451. [Google Scholar] [CrossRef]
- Grespan, A.; Raso, T.F. Psittaciformes (Araras, Papagaios, Periquitos, Calopsitas e Cacatuas). In Tratado De Animais Selvagens, 2nd ed.; Cubas, Z.S., Silva, J.C.R., Catão-Dias, J.L., Eds.; Roca: São Paulo, Brazil, 2014; ISBN 13. [Google Scholar]
- Joseph, V. Infectious and parasitic diseases of captive passerines. Semin. Avian Exot. Pet. Med. 2003, 12, 21–28. [Google Scholar] [CrossRef]
- Godoy, S.N.; Matushima, E.R. A survey of diseases in passeriform birds obtained from illegal wildlife trade in São Paulo City, Brazil. J. Avian Med. Surg. 2010, 24, 199–209. [Google Scholar] [CrossRef]






| Order (n) | Family | Genus/Species (n) |
|---|---|---|
| Accipitriformes (5) | Accipitridae | Rupornis magnirostris (4) |
| NI (1) | ||
| Anseriformes (1) | Anatidae | Anas platyrhynchos domesticus (1) |
| Cariamiformes (1) | Cariamidae | Cariama cristata (1) |
| Columbiformes (14) | Columbidae | Columba livia (10) |
| Columbina sp. (1) | ||
| NI (3) | ||
| Coraciiformes (1) | Alcedinidae | Megaceryle torquata (1) |
| Cuculiformes (1) | Cuculinae | Piaya cayana (1) |
| Falconiformes (3) | Falconidae | Falco sparverius (2) |
| Caracara plancus (1) | ||
| Galliformes (16) | Phasianidae | Pavo cristatus (4) |
| Chrysolophus pictus (2) | ||
| Meleagris gallopavo domesticus (2) | ||
| NI (3) | ||
| Cracidae | Pauxi mitu (4) | |
| Numididae | Numida meleagris (1) | |
| Gruiformes (1) | Rallidae | Aramides sp. (1) |
| Musophagiformes (1) | Musophagidae | Tauraco porphyreolophus (1) |
| Passeriformes (66) | Cardinalidae | Cyanoloxia brissonii (2) |
| Fringilidae | Carduelis carduelis (1) | |
| Paroaria coronata (1) | ||
| Serinus canaria (19) | ||
| Spinus cucullatus (1) | ||
| NI (3) | ||
| Furnariidae | Furnarius rufus (1) | |
| Icteridae | Icterus jamacaii (1) | |
| Molothrus bonariensis (1) | ||
| Thraupidae | Saltator similis (13) | |
| Schistochlamys sp. (1) | ||
| Sicalis flaveola (2) | ||
| Sporophila angolensis (2) | ||
| Sporophila lineola (2) | ||
| Sporophila maximiliani (8) | ||
| Stilpnia cayana (1) | ||
| Tersina viridis (1) | ||
| NI (3) | ||
| Turdidae (2) | Turdus amaurochalinus (1) | |
| Turdus leucemelas (1) | ||
| NI | NI (1) | |
| Piciformes (8) | Picidae | Colaptes campestris (5) |
| NI (1) | ||
| Ramphastidae | Ramphastos toco (2) | |
| Psittaciformes (114) | Cacatuidae | Cacatua sanguinea (1) |
| Nymphicus hollandicus (11) | ||
| Psittaculidae | Psephotus haematonotus (1) | |
| Lorius garrulus (1) | ||
| Psittacidae | Amazona aestiva (36) | |
| Amazona amazonica (2) | ||
| Amazona ochrocephala (1) | ||
| Amazona vinacea (7) | ||
| Amazona sp. (13) | ||
| Anodorhynchus sp. (3) | ||
| Ara ararauna (2) | ||
| Ara severus (1) | ||
| Ara sp. (6) | ||
| Aratinga (9) | ||
| Diopsittaca nobilis (1) | ||
| Eupsittula aurea (3) | ||
| Forpus xanthopterygius (1) | ||
| Melopsittacus undulatus (1) | ||
| Pionus menstruus (2) | ||
| Pionus maximiliani (2) | ||
| Platycercus eximius (1) | ||
| Primolius maracana (1) | ||
| Psilopsiagon aymara (1) | ||
| Psittacara leucophthalmus (1) | ||
| Psittacula krameri (3) | ||
| NI (3) | ||
| Rheiformes (4) | Rheidae | Rhea americana (4) |
| Strigiformes (6) | Strigidae | Asio clamator (4) |
| Athene cunicularia (1) Strix hylophila (1) | ||
| Tinamiformes (1) | Tinamidae | Rhynchotus sp. (1) |
| Total (n) | 243 |
| Infectious Diseases | Agent | N | Frequency |
|---|---|---|---|
| Viral | Herpesviruses | 21 | 8.64% |
| Avian Bornavirus | 8 | 3.29% | |
| Birnavirus | 4 | 1.64% | |
| Fowl Aviadenovirus A | 4 | 1.64% | |
| Avipoxvirus | 2 | 0.82% | |
| Not confirmed | 4 | 1.64% | |
| Total | 43/243 | 17.6% | |
| Bacterial | Chlamydia psittaci | 12 | 4.93% |
| Escherichia coli | 2 | 0.82% | |
| Mycobacterium spp. | 2 | 0.82% | |
| Not confirmed | 8 | 3.29% | |
| Total | 24/243 | 9.87% | |
| Fungal | Aspergillus spp. | 15 | 6.17% |
| Macrorhabdus ornithogaster | 5 | 2.05% | |
| Candida spp. | 2 | 0.82% | |
| Not confirmed | 0 | 0% | |
| Total | 22/243 | 9.05% | |
| Parasitic | Paratanaisia bragai | 7 | 2.88% |
| Trichomonas gallinae | 7 | 2.88% | |
| Microfilaria | 5 | 2.05% | |
| Extra intestinal Isospora sp. | 5 | 2.05% | |
| Sarcocystis spp. | 5 | 2.05% | |
| Knemidocoptes spp. | 4 | 1.64% | |
| Coccidia | 3 | 1.23% | |
| Sternostoma tracheacolum | 1 | 0.41% | |
| Histomonas sp. | 1 | 0.41% | |
| Raillietina spp. | 1 | 0.41% | |
| Ascaridia spp. | 1 | 0.41% | |
| Toxoplasma gondii | 1 | 0.41% | |
| Not confirmed | 3 | 1.23% | |
| Total | 44/243 | 18.1% | |
| Overall total | 133/243 | 54.73% |
| Etiology and Lesions | Order | Total | Frequency |
|---|---|---|---|
| Viral and bacterial | |||
| Chlamydia sp. (hepatitis and splenitis) + Psittacid herpesvirus (hepatitis) | Psittaciformes | 10 − | 4.11% |
| Psittacid herpesvirus (hepatitis) + bacteria (meningoencephalitis) | Psittaciformes | 1 − | 0.41% |
| Psittacid herpesvirus (hepatitis) + bacteria (necrosuppurative panniculitis) | Psittaciformes | 1 − | 0.41% |
| Bacterial and fungal | |||
| Malassezia sp. + cocci bacteria (pododermatitis with tendinitis and osteomyelitis) | Passeriformes | 2 + | 0.82% |
| Pseudo-hyphae and blastoconidia of Candida sp., Macrorhabdus ornithogaster + bacteria (proventriculitis and ventriculitis) | Psittaciformes | 4 + | 1.64% |
| Bacterial and parasitic | |||
| Indicative of Mycoplasma sp. (rhinitis and sinusitis) + Cryptosporidium sp. (small intestine enteritis) | Psittaciformes | 2 + | 0.82% |
| Fibrinonecrotic and heterophilic hepatitis and typhlitis indicative of Salmonella spp. + Eucoleus sp. (proliferative ingluvitis) | Galliformes | 1 + | 0.41% |
| Indicative of Mycoplasma sp. (tracheitis with loss of cilia) + Sternostoma tracheacolum (subpleural arthropods in the lung) | Passeriformes | 2 + | 0.82% |
| Knemidocoptes mutans (orthokeratotic hyperkeratosis in the pelvic limb, tibiotarsus, and digits) + bacteria (fibrinoheterophilic bronchopneumonia) | Passeriformes | 1 + | 0.41% |
| Coccidia (enteritis) + Bacteria (bacterial meningoencephalitis) | Columbiformes | 1 * | 0.41% |
| Fungal and parasitic | |||
| Pseudo-hyphae indicative of Candida sp. (ventriculitis) + Paratanaisia bragai (ectatic medullary renal tubules) | Piciformes | 1 + | 0.41% |
| Hyphae indicative of Aspergillus spp. (necrotic bronchopneumonia and vasculitis with thrombosis) + extra intestinal Isospora sp. (hepatitis) | Passeriformes | 1 − | 0.41% |
| Macrorhabdus ornithogaster (proventriculitis) + extra intestinal Isospora sp. (hepatitis, splenitis, and necrotic and histiocytic enteritis) | Passeriformes | 1 + | 0.41% |
| Macrorhabdus ornithogaster (proventriculitis) + Knemidocoptes mutans (orthokeratotic hyperkeratosis on the pelvic limbs and digit skin) | Passeriformes | 2 + | 0.41% |
| Fungi association | |||
| Pseudo-hyphae indicative of Candida sp. (proventriculitis and ventriculitis) + Macrorhabdus ornithogaster (proventriculitis) | Psittaciformes | 4 + | 1.64% |
| Parasitic association | |||
| Trichomonas sp. (fibrinonecrotic and heterophilic esophagitis) + Paratanaisia bragai (ectatic medullary renal tubules) | Columbiformes | 1 NI | 0.41% |
| Ascaridea spp., Histomonas meleagridis + Heterakis gallinarum (fibrinonecrotic typhlitis) | Galliformes | 1 + | 0.41% |
| Ascaridia spp. + Heterakis gallinarum (enterocolitis) | Galliformes | 1 + | 0.41% |
| Viral and parasitic | |||
| Sarcocystis falcatula (lymphoplasmacytic pneumonia and hepatitis associated with cysts and sinuous schizonts) + Psittacid herpesvirus (hepatitis) | Psittaciformes | 1 − | 0.41% |
| Herpesvirus (lymphoplasmacytic hepatitis) + protozoa | Psittaciformes | 1 − | 0.41% |
| Avipoxvirus (proliferative epidermitis with intracytoplasmic corpuscles (Bollinger) in the pelvic limbs and digits) + Knemidocoptes mutans (orthokeratotic hyperkeratosis) | Passeriformes | 1 + | 0.41% |
| Birnavirus (Bursa: atrophy and diffuse lymphoid hypoplasia) + Eimeria spp. (lymphocitic and histioplasmacytic typhlitis) | Galliformes | 2 + | 0.82% |
| Bacterial, protozoa and viral | |||
| Mycoplasma spp. + extra intestinal Isospora sp., (lymphoplasmacytic enteritis) + Avipoxvirus. PCR positive for Chlamydia psittaci and Mycoplasma spp. | Passeriformes | 2 + | 0.82% |
| Total | 44/243 | 18.10% |
| Etiology | Order | N | Frequency |
|---|---|---|---|
| Hepatic lipidosis and microfilariae (lung) | Passeriformes | 1 * | 0.41% |
| Hepatic lipidosis and Macrorhabdus ornithogaster (proventriculus) | Passeriformes | 3 + | 1.23% |
| Iron storage disease and Sarcocystis falcatula (pneumonia) | Psittaciformes | 1 + | 0.41% |
| Hepatic lipidosis and Proventricular Dilatation Disease (PDD) virus | Psittaciformes | 1 + | 0.41% |
| Iron storage disease and colibacillosis (lungs and air sacs) | Galliformes | 1 + | 0.41% |
| Overall total | 7/243 | 2.88% |
| Order | Diagnosis | N | Frequency |
|---|---|---|---|
| Accipitriformes | Rectal impaction | 1 * | 0.41% |
| Psittaciformes | Rectum and colon prolapse/Intussusception | 1 − | 0.41% |
| Psittaciformes | Intussusception | 1 + | 0.41% |
| Rheiformes | Cachexia | 3 + | 1.24% |
| Galliformes/Psittaciformes | Hepatic cirrhosis | 1 + | 0.41% |
| Passeriformes | Hepatic fibrosis | 2 * | 0.82% |
| Psittaciformes | Aspiration pneumonia | 5 + | 2.05% |
| Falconiformes | Foreign body ingestion | 1 + | 0.41% |
| Total | 15/243 | 6.17% |
| Origin | Wild | Captive | Rescued | NI | Total |
|---|---|---|---|---|---|
| Infectious | n = 21 (8.6%) | n = 92 (37.8%) | n = 61 (25.1%) | n = 3 (1.2%) | n = 177 (72.8%) |
| Metabolic | n = 2 (0.8%%) | n = 15 (6.1%) | n = 7 (2.9%) | n = 2 (0.8%) | n = 26 (10.7%) |
| Poisoning | - | n = 3 (1.2%) | - | - | n = 3 (1.2%) |
| Neoplastic | - | n = 8 (3.3%) | - | - | n = 8 (3.3%) |
| Fractures and traumatic injuries | n = 1 * (0.4%) | n = 4 * (1.6%) | n = 9 † (3.7%) | - | n = 14 (5.7%) |
| Other concomitant causes and conditions | n = 3 (1.2%) | n = 11 (4.5%) | n = 1 (0.4%) | - | n = 15 (6.2%) |
| Total | n = 27 (9.5%) | n = 133 (56.4%) | n = 78 (32%) | n = 5 (2%) | n = 243 (100%) |
Disclaimer/Publisher’s Note: The statements, opinions and data contained in all publications are solely those of the individual author(s) and contributor(s) and not of MDPI and/or the editor(s). MDPI and/or the editor(s) disclaim responsibility for any injury to people or property resulting from any ideas, methods, instructions or products referred to in the content. |
© 2023 by the authors. Licensee MDPI, Basel, Switzerland. This article is an open access article distributed under the terms and conditions of the Creative Commons Attribution (CC BY) license (https://creativecommons.org/licenses/by/4.0/).
Share and Cite
Lacerda, M.d.S.C.; de Magalhães Santos, W.H.; Lopes, M.C.; Fonseca, C.S.; de Carvalho, M.P.N.; da Silva Martins, N.R.; Ecco, R. A Survey of Diseases in Different Species of Wild, Captive, and Illegally Traded Birds in Brazil. Animals 2024, 14, 25. https://doi.org/10.3390/ani14010025
Lacerda MdSC, de Magalhães Santos WH, Lopes MC, Fonseca CS, de Carvalho MPN, da Silva Martins NR, Ecco R. A Survey of Diseases in Different Species of Wild, Captive, and Illegally Traded Birds in Brazil. Animals. 2024; 14(1):25. https://doi.org/10.3390/ani14010025
Chicago/Turabian StyleLacerda, Maira dos Santos Carneiro, Willian Henrique de Magalhães Santos, Marcelo Coelho Lopes, Clarissa Silva Fonseca, Marcelo Pires Nogueira de Carvalho, Nelson Rodrigo da Silva Martins, and Roselene Ecco. 2024. "A Survey of Diseases in Different Species of Wild, Captive, and Illegally Traded Birds in Brazil" Animals 14, no. 1: 25. https://doi.org/10.3390/ani14010025
APA StyleLacerda, M. d. S. C., de Magalhães Santos, W. H., Lopes, M. C., Fonseca, C. S., de Carvalho, M. P. N., da Silva Martins, N. R., & Ecco, R. (2024). A Survey of Diseases in Different Species of Wild, Captive, and Illegally Traded Birds in Brazil. Animals, 14(1), 25. https://doi.org/10.3390/ani14010025

