Dietary Supplementation with Putrescine Improves Growth Performance and Meat Quality of Wenchang Chickens
Abstract
Simple Summary
Abstract
1. Introduction
2. Materials and Methods
2.1. Experimental Design and Diets
2.2. Sample Collection
2.3. The Level of Polyamine in Serum and Muscle
2.4. Meat Quality
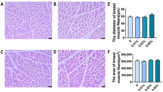
2.5. Muscle Morphology
2.6. Inosine Monophosphate (IMP) Content in Muscle
2.7. Amino Acid and Fatty Acid Contents in Muscle
2.8. Elemental Composition in Muscle
2.9. Statistical Analysis
3. Results
3.1. Growth Performance
3.2. The Content of Polyamine in Serum and Muscle
3.3. Carcass Traits
3.4. Meat Quality and Muscle Morphology
3.5. Amino Acid Profiles
3.6. Fatty Acid Profiles
3.7. IMP and Elemental Composition
4. Discussion
5. Conclusions
Author Contributions
Funding
Institutional Review Board Statement
Informed Consent Statement
Data Availability Statement
Conflicts of Interest
References
- Kim, M.J.; Parvin, R.; Mushtaq, M.M.; Hwangbo, J.; Kim, J.H.; Na, J.C.; Kim, D.W.; Kang, H.K.; Kim, C.D.; Cho, K.O.; et al. Influence of monochromatic light on quality traits, nutritional, fatty acid, and amino acid profiles of broiler chicken meat. Poult. Sci. 2013, 92, 2844–2852. [Google Scholar] [CrossRef]
- Untea, A.E.; Panaite, T.D.; Dragomir, C.; Ropota, M.; Olteanu, M.; Varzaru, I. Effect of dietary chromium supplementation on meat nutritional quality and antioxidant status from broilers fed with Camelina-meal-supplemented diets. Animal 2019, 13, 2939–2947. [Google Scholar] [CrossRef] [PubMed]
- Mazzoni, M.; Petracci, M.; Meluzzi, A.; Cavani, C.; Clavenzani, P.; Sirri, F. Relationship between pectoralis major muscle histology and quality traits of chicken meat. Poult. Sci. 2015, 94, 123–130. [Google Scholar] [CrossRef]
- Son, J.; Kim, H.J.; Hong, E.C.; Kang, H.K. Effects of Stocking Density on Growth Performance, Antioxidant Status, and Meat Quality of Finisher Broiler Chickens under High Temperature. Antioxidants 2022, 11, 871. [Google Scholar] [CrossRef]
- Simitzis, P.E.; Kalogeraki, E.; Goliomytis, M.; Charismiadou, M.A.; Triantaphyllopoulos, K.; Ayoutanti, A.; Niforou, K.; Hager-Theodorides, A.L.; Deligeorgis, S.G. Impact of stocking density on broiler growth performance, meat characteristics, behavioural components and indicators of physiological and oxidative stress. Br. Poult. Sci. 2012, 53, 721–730. [Google Scholar] [CrossRef] [PubMed]
- Zhang, L.; Yue, H.Y.; Zhang, H.J.; Xu, L.; Wu, S.G.; Yan, H.J.; Gong, Y.S.; Qi, G.H. Transport stress in broilers: I. Blood metabolism, glycolytic potential, and meat quality. Poult. Sci. 2009, 88, 2033–2041. [Google Scholar] [CrossRef]
- Hussain, T.; Tan, B.; Ren, W.; Rahu, N.; Dad, R.; Kalhoro, D.H.; Yin, Y. Polyamines: Therapeutic perspectives in oxidative stress and inflammatory diseases. Amino Acids 2017, 49, 1457–1468. [Google Scholar] [CrossRef]
- Mandal, S.; Mandal, A.; Johansson, H.E.; Orjalo, A.V.; Park, M.H. Depletion of cellular polyamines, spermidine and spermine, causes a total arrest in translation and growth in mammalian cells. Proc. Natl. Acad. Sci. USA 2013, 110, 2169–2174. [Google Scholar] [CrossRef]
- Liu, G.; Mo, W.; Xu, X.; Wu, X.; Jia, G.; Zhao, H.; Chen, X.; Wu, C.; Wang, J. Effects of putrescine on gene expression in relation to physical barriers and antioxidant capacity in organs of weaning piglets. RSC Adv. 2019, 9, 19584–19595. [Google Scholar] [CrossRef]
- Chia, T.Y.; Zolp, A.; Miska, J. Polyamine Immunometabolism: Central Regulators of Inflammation, Cancer and Autoimmunity. Cells 2022, 11, 896. [Google Scholar] [CrossRef] [PubMed]
- Wang, Y.; Chen, J.; Li, S.; Zhang, X.; Guo, Z.; Hu, J.; Shao, X.; Song, N.; Zhao, Y.; Li, H.; et al. Exogenous spermine attenuates rat diabetic cardiomyopathy via suppressing ROS-p53 mediated downregulation of calcium-sensitive receptor. Redox Biol. 2020, 32, 101514. [Google Scholar] [CrossRef]
- Gonzalez-Rivas, P.A.; Chauhan, S.S.; Ha, M.; Fegan, N.; Dunshea, F.R.; Warner, R.D. Effects of heat stress on animal physiology, metabolism, and meat quality: A review. Meat Sci. 2020, 162, 108025. [Google Scholar] [CrossRef]
- Del Rio, B.; Redruello, B.; Linares, D.M.; Ladero, V.; Ruas-Madiedo, P.; Fernandez, M.; Martin, M.C.; Alvarez, M.A. The biogenic amines putrescine and cadaverine show in vitro cytotoxicity at concentrations that can be found in foods. Sci. Rep. 2019, 9, 120. [Google Scholar] [CrossRef] [PubMed]
- Chowdhury, S.R.; Smith, T.K. Effects of dietary 1,4-diaminobutane (putrescine) on eggshell quality and laying performance of hens laying thin-shelled eggs. Poult. Sci. 2001, 80, 1702–1709. [Google Scholar] [CrossRef]
- Wang, J.; Tan, B.; Li, J.; Kong, X.; Tan, M.; Wu, G. Regulatory role of l-proline in fetal pig growth and intestinal epithelial cell proliferation. Anim. Nutr. 2020, 6, 438–446. [Google Scholar] [CrossRef]
- Hamano, Y.; Kurimoto, Y. Effects of acetylated wood powder on growth performance, hepatic and muscular free amino acid profiles, and inosine 5′-monophosphate concentration of breast meat in broiler chickens. Br. Poult. Sci. 2016, 57, 643–654. [Google Scholar] [CrossRef] [PubMed]
- Hu, C.J.; Jiang, Q.Y.; Zhang, T.; Yin, Y.L.; Li, F.N.; Deng, J.P.; Wu, G.Y.; Kong, X.F. Dietary supplementation with arginine and glutamic acid modifies growth performance, carcass traits, and meat quality in growing-finishing pigs. J. Anim. Sci. 2017, 95, 2680–2689. [Google Scholar] [CrossRef] [PubMed]
- Sager, M.; Lucke, A.; Ghareeb, K.; Allymehr, M.; Zebeli, Q.; Bohm, J. Dietary deoxynivalenol does not affect mineral element accumulation in breast and thigh muscles of broiler chicken. Mycotoxin Res. 2018, 34, 117–121. [Google Scholar] [CrossRef]
- Latour, Y.L.; Gobert, A.P.; Wilson, K.T. The role of polyamines in the regulation of macrophage polarization and function. Amino Acids 2020, 52, 151–160. [Google Scholar] [CrossRef]
- Wang, J.; Li, G.R.; Tan, B.E.; Xiong, X.; Kong, X.F.; Xiao, D.F.; Xu, L.W.; Wu, M.M.; Huang, B.; Kim, S.W.; et al. Oral administration of putrescine and proline during the suckling period improves epithelial restitution after early weaning in piglets. J. Anim. Sci. 2015, 93, 1679–1688. [Google Scholar] [CrossRef]
- Tabbaa, M.; Ruz Gomez, T.; Campelj, D.G.; Gregorevic, P.; Hayes, A.; Goodman, C.A. The regulation of polyamine pathway proteins in models of skeletal muscle hypertrophy and atrophy: A potential role for mTORC1. Am. J. Physiol. Cell Physiol. 2021, 320, C987–C999. [Google Scholar] [CrossRef] [PubMed]
- Tomonaga, S.; Kawase, T.; Tsukahara, T.; Ohta, Y.; Shiraishi, J.I. Metabolism of Imidazole Dipeptides, Taurine, Branched-Chain Amino Acids, and Polyamines of the Breast Muscle Are Affected by Post-Hatch Development in Chickens. Metabolites 2022, 12, 86. [Google Scholar] [CrossRef] [PubMed]
- Soda, K.; Dobashi, Y.; Kano, Y.; Tsujinaka, S.; Konishi, F. Polyamine-rich food decreases age-associated pathology and mortality in aged mice. Exp. Gerontol. 2009, 44, 727–732. [Google Scholar] [CrossRef]
- Mogridge, J.L.; Smith, T.K.; Sousadias, M.G. Effect of feeding raw soybeans on polyamine metabolism in chicks and the therapeutic effect of exogenous putrescine. J. Anim. Sci. 1996, 74, 1897–1904. [Google Scholar] [CrossRef]
- Furukawa, K.; He, W.; Bailey, C.A.; Bazer, F.W.; Toyomizu, M.; Wu, G. Polyamine synthesis from arginine and proline in tissues of developing chickens. Amino Acids 2021, 53, 1739–1748. [Google Scholar] [CrossRef]
- Lorenzo, J.M.; Franco, D. Fat effect on physico-chemical, microbial and textural changes through the manufactured of dry-cured foal sausage lipolysis, proteolysis and sensory properties. Meat Sci. 2012, 92, 704–714. [Google Scholar] [CrossRef] [PubMed]
- Liu, G.; Mo, W.; Cao, W.; Jia, G.; Zhao, H.; Chen, X.; Wu, C.; Zhang, R.; Wang, J. Digestive abilities, amino acid transporter expression, and metabolism in the intestines of piglets fed with spermine. J. Food Biochem. 2020, 44, e13167. [Google Scholar] [CrossRef]
- Lovegrove, J.A. Dietary dilemmas over fats and cardiometabolic risk. Proc. Nutr. Soc. 2020, 79, 11–21. [Google Scholar] [CrossRef]
- Simopoulos, A.P. The importance of the ratio of omega-6/omega-3 essential fatty acids. Biomed. Pharmacother. 2002, 56, 365–379. [Google Scholar] [CrossRef]
- Ma, L.; Ni, Y.; Wang, Z.; Tu, W.; Ni, L.; Zhuge, F.; Zheng, A.; Hu, L.; Zhao, Y.; Zheng, L.; et al. Spermidine improves gut barrier integrity and gut microbiota function in diet-induced obese mice. Gut Microbes 2020, 12, 1832857. [Google Scholar] [CrossRef]
- Zhou, J.; Pang, J.; Tripathi, M.; Ho, J.P.; Widjaja, A.A.; Shekeran, S.G.; Cook, S.A.; Suzuki, A.; Diehl, A.M.; Petretto, E.; et al. Spermidine-mediated hypusination of translation factor EIF5A improves mitochondrial fatty acid oxidation and prevents non-alcoholic steatohepatitis progression. Nat. Commun. 2022, 13, 5202. [Google Scholar] [CrossRef] [PubMed]
- Patel, Y.; Joseph, J. Sodium Intake and Heart Failure. Int. J. Mol. Sci. 2020, 21, 9474. [Google Scholar] [CrossRef] [PubMed]


| Ingredients | Control |
|---|---|
| Corn | 66.91 |
| Soybean meal | 22.00 |
| Lysine | 0.09 |
| Soybean oil | 3.50 |
| Methionine | 0.10 |
| Bran | 4.10 |
| Limestone | 1.30 |
| Dicalcium phosphate | 0.70 |
| Nacl | 0.30 |
| Premix 1 | 1.00 |
| Analyzed nutrient content | |
| ME, kcal/kg | 3049.58 |
| Crude protein | 16.00 |
| Crude Fat | 6.42 |
| Lysine | 0.96 |
| Methionine | 0.26 |
| Calcium | 0.75 |
| Phosphorous | 0.47 |
| Putrescine, mg/kg | 1.02 |
| Items | Putrescine Concentration | SEM | p-Value | |||
|---|---|---|---|---|---|---|
| Con | 0.01% | 0.03% | 0.05% | |||
| IW (g) | 1277.50 | 1277.50 | 1279.58 | 1278.33 | 0.72 | 0.58 |
| FW (g) | 1917.98 b | 1934.08 b | 1948.01 ab | 1990.33 a | 8.51 | 0.01 |
| ADFI (g) | 96.24 | 92.49 | 96.51 | 97.71 | 0.86 | 0.08 |
| ADG (g) | 16.01 b | 16.41 b | 16.71 ab | 17.80 a | 0.21 | 0.01 |
| F:G (g/g) | 6.02 a | 5.64 b | 5.80 ab | 5.49 b | 0.06 | 0.02 |
| Items | Putrescine Concentration | SEM | p-Value | |||
|---|---|---|---|---|---|---|
| Con | 0.01% | 0.03% | 0.05% | |||
| Carcass yield | 91.44 | 91.90 | 90.74 | 91.60 | 0.24 | 0.62 |
| Semi-eviscerated | 79.12 | 80.67 | 78.73 | 79.60 | 0.51 | 0.71 |
| Eviscerated | 64.28 | 65.77 | 63.83 | 64.98 | 0.46 | 0.49 |
| Abdominal fat | 7.95 | 8.09 | 8.28 | 8.25 | 0.30 | 0.98 |
| Breast muscle | 15.16 | 15.57 | 15.49 | 14.19 | 0.23 | 0.11 |
| Thigh muscle | 18.25 | 17.73 | 18.81 | 18.23 | 0.26 | 0.57 |
| Items | Putrescine Concentration | SEM | p-Value | |||
|---|---|---|---|---|---|---|
| Con | 0.01% | 0.03% | 0.05% | |||
| pH45min | 6.36 | 6.32 | 6.28 | 6.32 | 0.05 | 0.98 |
| pH24h | 5.74 | 5.73 | 5.75 | 5.78 | 0.02 | 0.92 |
| Lightness (L*) | 49.56 | 50.94 | 51.18 | 50.59 | 0.91 | 0.94 |
| Yellowness (b*) | 10.59 | 13.06 | 13.02 | 12.73 | 0.57 | 0.38 |
| Drip loss (%) | 4.64 | 5.64 | 5.64 | 5.69 | 0.48 | 0.83 |
| Shear force (N/cm2) | 44.43 | 50.35 | 44.28 | 41.42 | 1.68 | 0.37 |
| Items | Putrescine Concentration | SEM | p-Value | |||
|---|---|---|---|---|---|---|
| Con | 0.01% | 0.03% | 0.05% | |||
| EAA | 1 | |||||
| Val | 43.46 | 43.25 | 49.57 | 47.13 | 1.16 | 0.15 |
| Thr | 30.61 b | 32.86 ab | 35.67 a | 33.63 ab | 0.62 | 0.02 |
| Met | 19.49 b | 21.39 b | 22.75 a | 21.30 a | 0.41 | 0.01 |
| lle | 32.03 | 33.63 | 38.83 | 36.53 | 0.97 | 0.06 |
| Leu | 56.03 | 59.50 | 67.01 | 63.81 | 1.69 | 0.10 |
| Phe | 23.48 c | 25.60 bc | 28.05 a | 26.30 ab | 0.66 | <0.01 |
| Lys | 80.05 c | 88.93 bc | 94.38 ab | 96.51 a | 2.31 | <0.01 |
| Trp | 0.30 | 0.29 | 0.29 | 0.28 | 0.01 | 0.88 |
| NEAA | ||||||
| Gly | 26.67 | 28.87 | 28.72 | 25.73 | 0.73 | 0.22 |
| Ser | 20.95 | 22.40 | 21.24 | 20.20 | 0.64 | 0.82 |
| Ala | 46.53 | 49.89 | 54.82 | 48.54 | 1.56 | 0.07 |
| Asp | 59.50 c | 64.95 bc | 68.71 a | 66.55 ab | 1.60 | 0.01 |
| Pro | 26.80 b | 29.93 b | 32.63 a | 29.36 b | 0.85 | 0.01 |
| Tyr | 16.40 b | 18.94 ab | 20.47 a | 20.68 a | 0.64 | <0.01 |
| Arg | 33.69 | 35.47 | 31.54 | 34.16 | 1.41 | 0.34 |
| Cys | 3.25 | 3.50 | 3.30 | 2.82 | 0.13 | 0.52 |
| Glu | 77.97 | 86.22 | 85.56 | 77.28 | 2.35 | 0.23 |
| His | 30.63 | 34.96 | 40.01 | 35.46 | 1.44 | 0.15 |
| ∑EAAs | 285.44 b | 304.37 b | 333.71 a | 321.29 a | 8.04 | <0.05 |
| ∑NEAAs | 342.39 | 375.14 | 387.00 | 360.78 | 9.09 | 0.06 |
| ∑TAAs | 627.82 c | 679.50 bc | 720.70 a | 682.07 ab | 16.77 | 0.01 |
| Items | Putrescine Concentration | SEM | p-Value | |||
|---|---|---|---|---|---|---|
| Con | 0.01% | 0.03% | 0.05% | |||
| C6:0 | 0.47 | 0.39 | 0.41 | 0.40 | 0.02 | 0.21 |
| C8:0 | 1.20 | 0.83 | 0.67 | 0.71 | 0.08 | 0.13 |
| C10:0 | 3.79 | 2.89 | 2.24 | 2.46 | 0.22 | 0.06 |
| C11:0 | 0.26 a | 0.17 b | 0.13 b | 0.13 b | 0.01 | <0.01 |
| C12:0 | 15.74 a | 11.62 ab | 9.99 b | 10.00 b | 0.81 | <0.05 |
| C13:0 | 0.80 a | 0.55 ab | 0.48 b | 0.45 b | 0.05 | 0.03 |
| C14:0 | 330.51 a | 240.64 ab | 204.84 b | 205.97 b | 18.63 | <0.05 |
| C15:0 | 42.04 a | 31.68 ab | 27.19 b | 25.50 b | 2.21 | 0.04 |
| C16:0 | 22,276.10 | 16,775.93 | 13,564.91 | 13,876.99 | 1299.36 | 0.10 |
| C17:0 | 91.61 | 67.10 | 55.25 | 53.39 | 5.27 | 0.07 |
| C18:0 | 6606.14 | 5018.99 | 4357.17 | 4559.51 | 322.32 | 0.08 |
| C20:0 | 53.39 a | 38.93 ab | 32.54 b | 30.43 b | 3.14 | <0.05 |
| C21:0 | 23.82 | 22.12 | 19.50 | 21.33 | 0.56 | 0.06 |
| C22:0 | 11.75 a | 9.58 ab | 8.05 b | 7.37 b | 0.60 | <0.05 |
| C23:0 | 10.65 a | 9.99 ab | 9.93 b | 9.62 b | 0.12 | 0.01 |
| C24:0 | 5.62 a | 3.39 ab | 2.66 bc | 2.37 c | 0.33 | <0.01 |
| C14:1 | 92.81 | 88.98 | 69.41 | 62.11 | 7.36 | 0.40 |
| C16:1 | 3029.32 | 2739.30 | 1996.98 | 1850.24 | 213.05 | 0.15 |
| C17:1 | 58.62 | 47.24 | 37.74 | 36.01 | 3.49 | 0.09 |
| C18:1n9c | 37,349.91 | 29,527.51 | 22,638.06 | 23,216.27 | 2355.38 | 0.14 |
| C20:1 | 238.58 | 194.33 | 144.19 | 156.82 | 14.56 | 0.16 |
| C22:1n9 | 14.41 a | 12.10 ab | 9.58 b | 8.93 b | 0.78 | 0.04 |
| C20:3n3 | 24.99 a | 24.48 a | 20.45 b | 21.52 b | 0.56 | <0.01 |
| C20:5n3 | 20.68 | 24.60 | 18.92 | 19.34 | 1.45 | 0.52 |
| C18:3n3 | 703.76 | 667.10 | 495.24 | 467.31 | 46.65 | 0.15 |
| C22:6n3 | 308.88 | 342.19 | 329.28 | 419.07 | 18.05 | 0.22 |
| C20:3n6 | 266.87 a | 251.97 a | 211.61 b | 246.82 ab | 7.21 | 0.04 |
| C20:4n6 | 2785.92 | 2559.33 | 2565.71 | 2789.90 | 59.60 | 0.31 |
| C20:2n6 | 221.08 | 199.63 | 166.20 | 178.60 | 9.12 | 0.11 |
| C18:2n6c | 26,014.85 a | 17,999.73 ab | 14,821.44 b | 14,034.60 b | 1611.01 | <0.05 |
| C18:3n6 | 143.64 | 94.45 | 97.56 | 91.23 | 9.21 | 0.14 |
| ∑SFAs | 29,464.88 | 22,234.80 | 18,295.97 | 18,806.64 | 1643.20 | 0.11 |
| ∑MUFAs | 40,783.65 | 32,609.46 | 24,895.97 | 25,330.37 | 2572.26 | 0.14 |
| n-3PUFAs | 1058.31 | 1058.37 | 863.89 | 927.25 | 51.87 | 0.47 |
| n-6PUFAs | 29,432.35 a | 21,105.12 ab | 17,862.53 b | 17,341.14 b | 1645.07 | <0.05 |
| n-6/n-3PUFAs | 27.05a | 20.00 b | 20.43 b | 18.83 b | 0.71 | <0.01 |
| Items | Putrescine Concentration | SEM | p-Value | |||
|---|---|---|---|---|---|---|
| Con | 0.01% | 0.03% | 0.05% | |||
| IMP | 10.12 | 12.21 | 8.98 | 8.46 | 0.99 | 0.57 |
| K | 1306.53 | 1404.53 | 1550.31 | 1308.13 | 0.44 | 0.17 |
| Mg | 116.34 | 126.56 | 130.7 | 112.04 | 0.03 | 0.18 |
| Na | 127.55 b | 162.09 a | 171.69 a | 130.63 b | 0.06 | 0.01 |
| Zn | 1.42 | 1.57 | 1.58 | 1.42 | 0.44 | 0.41 |
Disclaimer/Publisher’s Note: The statements, opinions and data contained in all publications are solely those of the individual author(s) and contributor(s) and not of MDPI and/or the editor(s). MDPI and/or the editor(s) disclaim responsibility for any injury to people or property resulting from any ideas, methods, instructions or products referred to in the content. |
© 2023 by the authors. Licensee MDPI, Basel, Switzerland. This article is an open access article distributed under the terms and conditions of the Creative Commons Attribution (CC BY) license (https://creativecommons.org/licenses/by/4.0/).
Share and Cite
Qi, Q.; Hu, C.; Zhang, H.; Sun, R.; Liu, Q.; Ouyang, K.; Xie, Y.; Li, X.; Wu, W.; Liu, Y.; et al. Dietary Supplementation with Putrescine Improves Growth Performance and Meat Quality of Wenchang Chickens. Animals 2023, 13, 1564. https://doi.org/10.3390/ani13091564
Qi Q, Hu C, Zhang H, Sun R, Liu Q, Ouyang K, Xie Y, Li X, Wu W, Liu Y, et al. Dietary Supplementation with Putrescine Improves Growth Performance and Meat Quality of Wenchang Chickens. Animals. 2023; 13(9):1564. https://doi.org/10.3390/ani13091564
Chicago/Turabian StyleQi, Qi, Chengjun Hu, Haojie Zhang, Ruiping Sun, Quanwei Liu, Kun Ouyang, Yali Xie, Xiang Li, Wei Wu, Yuhang Liu, and et al. 2023. "Dietary Supplementation with Putrescine Improves Growth Performance and Meat Quality of Wenchang Chickens" Animals 13, no. 9: 1564. https://doi.org/10.3390/ani13091564
APA StyleQi, Q., Hu, C., Zhang, H., Sun, R., Liu, Q., Ouyang, K., Xie, Y., Li, X., Wu, W., Liu, Y., Zhao, G., & Wei, L. (2023). Dietary Supplementation with Putrescine Improves Growth Performance and Meat Quality of Wenchang Chickens. Animals, 13(9), 1564. https://doi.org/10.3390/ani13091564

