The Histopathological Characteristic of Gastric Carcinoma in the Belgian Tervueren and Groenendael Dog: A Comparison of Two Classification Methods
Abstract
Simple Summary
Abstract
1. Introduction
2. Materials and Methods
2.1. Patient Collection
2.2. Gastroscopy and Collection of Biopsies
2.3. Histological Evaluation
2.4. Histopathology
2.5. Statistical Analysis
3. Results
3.1. Patient Data
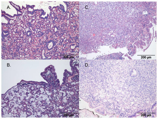
3.2. Tumour Classification and Pathology
3.3. Survival Analysis
4. Discussion
5. Conclusions
Author Contributions
Funding
Institutional Review Board Statement
Informed Consent Statement
Data Availability Statement
Acknowledgments
Conflicts of Interest
Abbreviations
| GC | Gastric carcinoma |
| WHO | World Health Organization |
| GHLO | Gastric Helicobacter-like organisms |
References
- Swann, H.M.; Holt, D.E. Canine gastric adenocarcinoma and leiomyosarcoma: A retrospective study of 21 cases (1986–1999) and literature review. J. Am. Anim. Hosp. Assoc. 2002, 38, 157–164. [Google Scholar] [CrossRef] [PubMed]
- Eisele, J.; McClaran, J.K.; Runge, J.J.; Holt, D.E.; Culp, W.T.; Liu, S.; Long, F.; Bergman, P.J. Evaluation of risk factors for morbidity and mortality after pylorectomy and gastroduodenostomy in dogs. Vet. Surg. 2010, 39, 261–267. [Google Scholar] [CrossRef]
- Gualtieri, M.; Monzeglio, M.G.; Scanziani, E. Gastric neoplasia. Vet. Clin. N. Am. Small Anim. Pract. 1999, 29, 415–440. [Google Scholar]
- Scanziani, E.; Giusti, A.M.; Gualtieri, M.; Fonda, D. Gastric carcinoma in the Belgian shepherd dog. J. Small Anim. Pract. 1991, 32, 465–469. [Google Scholar] [CrossRef]
- Sullivan, M.; Lee, R.; Fisher, E.W.; Nash, A.S.; McCandlish, I.A. A study of 31 cases of gastric carcinoma in dogs. Vet. Rec. 1987, 120, 79–83. [Google Scholar] [CrossRef]
- Lingeman, C.H.; Garner, F.M.; Taylor, D.O. Spontaneous gastric adenocarcinomas of dogs: A review. J. Natl. Cancer Inst. 1971, 47, 137–153. [Google Scholar] [PubMed]
- von Babo, V.; Eberle, N.; Mischke, R.; Meyer-Lindenberg, A.; Hewicker-Trautwein, M.; Nolte, I.; Betz, D. Canine non-hematopoietic gastric neoplasia. Epidemiologic and diagnostic characteristics in 38 dogs with post-surgical outcome of five cases. Tierärztliche Prax. Ausg. K Kleintiere/Heimtiere 2012, 40, 243–249. [Google Scholar] [CrossRef]
- Araújo, D.; Cabral, I.; Vale, N.; Amorim, I. Canine Gastric Cancer: Current Treatment Approaches. Vet. Sci. 2022, 9, 383. [Google Scholar] [CrossRef]
- Hugen, S.; Thomas, R.E.; German, A.J.; Burgener, I.A.; Mandigers, P.J.J. Gastric carcinoma in canines and humans, a review. Vet. Comp. Oncol. 2017, 15, 692–705. [Google Scholar] [CrossRef]
- Candido, M.V.; Syrja, P.; Kilpinen, S.; Spillmann, T. Canine breeds associated with gastric carcinoma, metaplasia and dysplasia diagnosed by histopathology of endoscopic biopsy samples. Acta Vet. Scand 2018, 60, 37. [Google Scholar] [CrossRef]
- Candido, M.V.; Syrja, P.; Hanifeh, M.; Lepajoe, J.; Salla, K.; Kilpinen, S.; Noble, P.M.; Spillmann, T. Gastric mucosal pathology in Belgian Shepherd dogs with and without clinical signs of gastric disease. Acta Vet Scand. 2021, 63, 7. [Google Scholar] [CrossRef]
- Lubbes, D.; Mandigers, P.J.; Heuven, H.C.; Teske, E. Incidence of gastric carcinoma in Dutch Tervueren shepherd dogs born between 1991 and 2002. Tijdschr. Diergeneeskd. 2009, 134, 606–610. [Google Scholar] [PubMed]
- Seim-Wikse, T.; Jorundsson, E.; Nodtvedt, A.; Grotmol, T.; Bjornvad, C.R.; Kristensen, A.T.; Skancke, E. Breed predisposition to canine gastric carcinoma—A study based on the Norwegian canine cancer register. Acta Vet. Scand. 2013, 55, 25. [Google Scholar] [CrossRef] [PubMed]
- Fonda, D.; Gualtieri, M.; Scanziani, E. Gastric carcinoma in the dog: A clinicopathological study of 11 cases. J. Small Anim. Pract. 1989, 30, 353–360. [Google Scholar] [CrossRef]
- Hu, B.; El Hajj, N.; Sittler, S.; Lammert, N.; Barnes, R.; Meloni-Ehrig, A. Gastric cancer: Classification, histology and application of molecular pathology. J. Gastrointest. Oncol. 2012, 3, 251–261. [Google Scholar] [CrossRef]
- Bosman, F.T.; Carneiro, F.; Hruban, R.H.; Theise, N.D. WHO Classification of Tumours of the Digestive System, WHO Classification of Tumours, 4th ed; World Health Organization: Geneva, Switzerland, 2010; Volume 3, ISBN 13 978-92-832-2432-7. Available online: https://publications.iarc.fr/Book-And-Report-Series/Who-Classification-Of-Tumours/WHO-Classification-Of-Tumours-Of-The-Digestive-System-2010 (accessed on 20 February 2023).
- Lauren, P. The Two Histological Main Types of Gastric Carcinoma: Diffuse and So-Called Intestinal-Type Carcinoma. An Attempt at a Histo-Clinical Classification. Acta Pathol. Microbiol. Scand. 1965, 64, 31–49. [Google Scholar] [CrossRef]
- Head, K.W.; Cullen, J.M.; Dubielzig, R.R.; Else, R.W.; Misdorp, W.; Patnaik, A.K.; Tateyama, S.; Van der Gaag, I. Histological Classification of Tumors of the Alimentary System of Domestic Animals; Armed Forces Institute of Pathology, American Registry of Pathology, World Health Organization Collaborating Center for Worldwide Reference on Comparative Oncology: Silver Spring, MD, USA, 2003; ISBN 1881041867. [Google Scholar]
- Head, K.W. Tumors of the Lower Alimentary Tract; Bull WHO: Geneva, Switzerland, 1976; Volume 53, pp. 167–186. [Google Scholar]
- Patnaik, A.K.; Hurvitz, A.I.; Johnson, G.F. Canine gastric adenocarcinoma. Vet. Pathol. 1978, 15, 600–607. [Google Scholar] [CrossRef]
- Carrasco, V.; Canfran, S.; Rodriguez-Franco, F.; Benito, A.; Sainz, A.; Rodriguez-Bertos, A. Canine gastric carcinoma: Immunohistochemical expression of cell cycle proteins (p53, p21, and p16) and heat shock proteins (Hsp27 and Hsp70). Vet. Pathol. 2011, 48, 322–329. [Google Scholar] [CrossRef]
- Chung, H.W.; Lim, J.B. Role of the tumor microenvironment in the pathogenesis of gastric carcinoma. World J. Gastroenterol. 2014, 20, 1667–1680. [Google Scholar] [CrossRef]
- Correa, P.; Houghton, J. Carcinogenesis of Helicobacter pylori. Gastroenterology 2007, 133, 659–672. [Google Scholar] [CrossRef]
- Parsonnet, J. Helicobacter pylori and gastric cancer. Gastroenterol. Clin. N. Am. 1993, 22, 89–104. [Google Scholar] [CrossRef]
- Venerito, M.; Vasapolli, R.; Rokkas, T.; Delchier, J.C.; Malfertheiner, P. Helicobacter pylori, gastric cancer and other gastrointestinal malignancies. Helicobacter 2017, 22 (Suppl. 1), e12413. [Google Scholar] [CrossRef] [PubMed]
- Amorim, I.; Freitas, D.P.; Magalhaes, A.; Faria, F.; Lopes, C.; Faustino, A.M.; Smet, A.; Haesebrouck, F.; Reis, C.A.; Gartner, F. A comparison of Helicobacter pylori and non-Helicobacter pylori Helicobacter spp. Binding to canine gastric mucosa with defined gastric glycophenotype. Helicobacter 2014, 19, 249–259. [Google Scholar] [CrossRef] [PubMed]
- Kubota-Aizawa, S.; Ohno, K.; Fukushima, K.; Kanemoto, H.; Nakashima, K.; Uchida, K.; Chambers, J.K.; Goto-Koshino, Y.; Watanabe, T.; Sekizaki, T.; et al. Epidemiological study of gastric Helicobacter spp. in dogs with gastrointestinal disease in Japan and diversity of Helicobacter heilmannii sensu stricto. Vet. J. 2017, 225, 56–62. [Google Scholar] [CrossRef] [PubMed]
- Cattoli, G.; van Vugt, R.; Zanoni, R.G.; Sanguinetti, V.; Chiocchetti, R.; Gualtieri, M.; Vandenbroucke-Grauls, C.M.; Gaastra, W.; Kusters, J.G. Occurrence and characterization of gastric Helicobacter spp. in naturally infected dogs. Vet. Microbiol. 1999, 70, 239–250. [Google Scholar] [CrossRef]
- Mandigers, P.J.; Biourge, V.; van den Ingh, T.S.; Ankringa, N.; German, A.J. A randomized, open-label, positively-controlled field trial of a hydrolyzed protein diet in dogs with chronic small bowel enteropathy. J. Vet. Intern. Med. 2010, 24, 1350–1357. [Google Scholar] [CrossRef]
- Day, M.J.; Bilzer, T.; Mansell, J.; Wilcock, B.; Hall, E.J.; Jergens, A.; Minami, T.; Willard, M.; Washabau, R. Histopathological standards for the diagnosis of gastrointestinal inflammation in endoscopic biopsy samples from the dog and cat: A report from the World Small Animal Veterinary Association Gastrointestinal Standardization Group. J. Comp. Pathol. 2008, 138 (Suppl. 1), S1–S43. [Google Scholar] [CrossRef]
- Wijnrocx, K.; Francois, L.; Stinckens, A.; Janssens, S.; Buys, N. Half of 23 Belgian dog breeds has a compromised genetic diversity, as revealed by genealogical and molecular data analysis. J. Anim. Breed Genet. 2016, 133, 375–383. [Google Scholar] [CrossRef]
- Parker, H.G.; Dreger, D.L.; Rimbault, M.; Davis, B.W.; Mullen, A.B.; Carpintero-Ramirez, G.; Ostrander, E.A. Genomic Analyses Reveal the Influence of Geographic Origin, Migration, and Hybridization on Modern Dog Breed Development. Cell Rep. 2017, 19, 697–708. [Google Scholar] [CrossRef]
- Seim-Wikse, T.; Kolbjornsen, O.; Jorundsson, E.; Benestad, S.L.; Bjornvad, C.R.; Grotmol, T.; Kristensen, A.T.; Skancke, E. Tumour gastrin expression and serum gastrin concentrations in dogs with gastric carcinoma are poor diagnostic indicators. J. Comp. Pathol. 2014, 151, 207–211. [Google Scholar] [CrossRef]
- Yakirevich, E.; Resnick, M.B. Pathology of gastric cancer and its precursor lesions. Gastroenterol. Clin. N. Am. 2013, 42, 261–284. [Google Scholar] [CrossRef] [PubMed]
- Liu, L.; Wang, Z.W.; Ji, J.; Zhang, J.N.; Yan, M.; Zhang, J.; Liu, B.Y.; Zhu, Z.G.; Yu, Y.Y. A cohort study and meta-analysis between histopathological classification and prognosis of gastric carcinoma. Anticancer Agents Med. Chem. 2013, 13, 227–234. [Google Scholar] [CrossRef]
- Qiu, M.; Zhou, Y.; Zhang, X.; Wang, Z.; Wang, F.; Shao, J.; Lu, J.; Jin, Y.; Wei, X.; Zhang, D.; et al. Lauren classification combined with HER2 status is a better prognostic factor in Chinese gastric cancer patients. BMC Cancer 2014, 14, 823. [Google Scholar] [CrossRef] [PubMed]
- Correa, P. Gastric cancer: Overview. Gastroenterol. Clin. N. Am. 2013, 42, 211–217. [Google Scholar] [CrossRef] [PubMed]
- McLean, M.H.; El-Omar, E.M. Genetics of gastric cancer. Nat. Rev. Gastroenterol. Hepatol. 2014, 11, 664–674. [Google Scholar] [CrossRef]
- Berlth, F.; Bollschweiler, E.; Drebber, U.; Hoelscher, A.H.; Moenig, S. Pathohistological classification systems in gastric cancer: Diagnostic relevance and prognostic value. World J. Gastroenterol. 2014, 20, 5679–5684. [Google Scholar] [CrossRef]
- Bowen, R.C.; Little, N.A.B.; Harmer, J.R.; Ma, J.; Mirabelli, L.G.; Roller, K.D.; Breivik, A.M.; Signor, E.; Miller, A.B.; Khong, H.T. Neutrophil-to-lymphocyte ratio as prognostic indicator in gastrointestinal cancers: A systematic review and meta-analysis. Oncotarget 2017, 8, 32171–32189. [Google Scholar] [CrossRef]
- Lee, H.E.; Chae, S.W.; Lee, Y.J.; Kim, M.A.; Lee, H.S.; Lee, B.L.; Kim, W.H. Prognostic implications of type and density of tumour-infiltrating lymphocytes in gastric cancer. Br. J. Cancer 2008, 99, 1704–1711. [Google Scholar] [CrossRef]
- Hermanns, W.; Kregel, K.; Breuer, W.; Lechner, J. Helicobacter-like organisms: Histopathological examination of gastric biopsies from dogs and cats. J. Comp. Pathol. 1995, 112, 307–318. [Google Scholar] [CrossRef]
- Hartman, D.J.; Owens, S.R. Are routine ancillary stains required to diagnose Helicobacter infection in gastric biopsy specimens? An institutional quality assurance review. Am. J. Clin. Pathol. 2012, 137, 255–260. [Google Scholar] [CrossRef]
- Amorim, I.; Smet, A.; Alves, O.; Teixeira, S.; Saraiva, A.L.; Taulescu, M.; Reis, C.; Haesebrouck, F.; Gartner, F. Presence and significance of Helicobacter spp. in the gastric mucosa of Portuguese dogs. Gut Pathog. 2015, 7, 12. [Google Scholar] [CrossRef] [PubMed]





| Tumour Type | Definition |
|---|---|
| Tubular | A malignant tumour composed of tubules embedded in connective tissue. |
| Papillary | A tumour in which the malignant epithelium is thrown up into papillary projections. |
| Tubulopapillary | A malignant tumour showing both tubular and papillary features. |
| Mucinous | Intracytoplasmic acid mucin-containing vacuoles; goblet cell appearance (i.e., single large vacuole); eosinophilic granules of neutral mucin |
| Signet-ring | A malignant tumour in which more than half is composed of epithelial cells containing intracellular acid or neutral mucin, displacing the nucleus to one side of the cells. Poor differentiation |
| Undifferentiated | A malignant tumour that has epithelial characteristics with no evidence of squamous or glandular differentiation. |
| Sample Count with Tumour Location | Sex | Age of Onset (Diagnosis) | p-Value with Age of Onset (Diagnosis) | |
|---|---|---|---|---|
| Tervueren | 45 (2 C, 34 CM) | 10 M, 11 MN, 11 F, 12 FN | 8.5 ± 1.90 | p = 0.009 |
| Groenendael | 16 (2 C, 9 CM) | 3M, 11MN, 1MN-unknown, 1 F, 8FN | 10.1 ± 2.01 | |
| Total | 61 | 60 |
| Dependent Variable (Age of Onset) | Univariable Regression | |
|---|---|---|
| Category | Estimate | p-Value |
| Groenendael Breed | 1.5312 | 0.009 |
| Tumour (location CM yes) | 0.6627 | 0.396 |
| Tumour (location cardia yes) | −0.3185 | 0.777 |
| Sex (female) | −0.06229 | 0.907 |
| Neuter status (neutered) | −0.1631 | 0.767 |
| WHO subtype (subtype other) | 0.07119 | 0.894 |
| Laurén classification (intestinal) | −0.1958 | 0.714 |
| Inflammation (mild) | 0.7660 | 0.478 |
| WHO and (Laurén) | |
|---|---|
| Mucinous | 12 (D = 12, I = 0 ) |
| Signet-ring | 5 (D = 5, I = 0) |
| Tubular | 29 (D = 0, I = 29) |
| Papillary | 0 |
| Tubulopapillary (mixed) | 2 (D = 0, I = 2) |
| Unclassified | 12 (D = 12, I = 0) |
| Survival Time Laurén = Diffuse | ||||||
|---|---|---|---|---|---|---|
| Time in Days | n Survived | n Casualties | Survival | Std.Err | Lower 95% CI | Upper 95% CI |
| 0 | 26 | 0 | 1.000 | 0.000 | 1.000 | 1.000 |
| 100 | 10 | 16 | 0.385 | 0.0954 | 0.237 | 0.625 |
| 200 | 3 | 7 | 0.115 | 0.0627 | 0.0398 | 0.334 |
| 300 | 2 | 1 | 0.077 | 0.0523 | 0.020 | 0.291 |
| 400 | 1 | 1 | 0.039 | 0.0377 | 0.006 | 0.263 |
| Survival time Laurén = intestinal | ||||||
| Time in days | n survived | n casualties | Survival | Std.err | Lower 95% CI | Upper 95% CI |
| 0 | 29 | 0 | 1.000 | 0.000 | 1.000 | 1.000 |
| 100 | 22 | 7 | 0.756 | 0.080 | 0.618 | 0.932 |
| 200 | 13 | 9 | 0.448 | 0.0923 | 0.299 | 0.671 |
| 300 | 8 | 6 | 0.241 | 0.080 | 0.127 | 0.460 |
| 400 | 3 | 4 | 0.103 | 0.057 | 0.035 | 0.302 |
| 500 | 2 | 1 | 0.069 | 0.047 | 0.018 | 0.263 |
| 600 | 2 | 0 | 0.069 | 0.047 | 0.018 | 0.263 |
| 700 | 1 | 1 | 0.035 | 0.034 | 0.005 | 0.237 |
| Survival Time WHO = Tubular | ||||||
|---|---|---|---|---|---|---|
| Time in Days | n Survived | n Casualties | Survival | STD.Err | Lower 95% CI | Upper 95% CI |
| 0 | 27 | 0 | 1.000 | 0.000 | 1.000 | 1.000 |
| 100 | 21 | 6 | 0.778 | 0.080 | 0.636 | 0.952 |
| 200 | 12 | 9 | 0.444 | 0.096 | 0.292 | 0.678 |
| 300 | 8 | 5 | 0.259 | 0.084 | 0.137 | 0.490 |
| 400 | 3 | 4 | 0.111 | 0.061 | 0.038 | 0.323 |
| 500 | 2 | 1 | 0.074 | 0.050 | 0.020 | 0.281 |
| 600 | 2 | 0 | 0.074 | 0.050 | 0.020 | 0.281 |
| 700 | 1 | 1 | 0.037 | 0.036 | 0.005 | 0.253 |
| Survival time WHO = primarily non-tubular | ||||||
| Time in days | n survived | n casualties | Survival | Std.err | Lower 95% CI | Upper 95% CI |
| 0 | 28 | 0 | 1.000 | 0.000 | 1.000 | 1.000 |
| 100 | 11 | 17 | 0.393 | 0.092 | 0.248 | 0.623 |
| 200 | 4 | 7 | 0.143 | 0.066 | 0.058 | 0.354 |
| 300 | 2 | 2 | 0.071 | 0.049 | 0.019 | 0.272 |
| 400 | 1 | 1 | 0.036 | 0.035 | 0.005 | 0.245 |
Disclaimer/Publisher’s Note: The statements, opinions and data contained in all publications are solely those of the individual author(s) and contributor(s) and not of MDPI and/or the editor(s). MDPI and/or the editor(s) disclaim responsibility for any injury to people or property resulting from any ideas, methods, instructions or products referred to in the content. |
© 2023 by the authors. Licensee MDPI, Basel, Switzerland. This article is an open access article distributed under the terms and conditions of the Creative Commons Attribution (CC BY) license (https://creativecommons.org/licenses/by/4.0/).
Share and Cite
Kijan, C.; Hugen, S.; Thomas, R.E.; Oberbauer, A.M.; Leegwater, P.A.J.; Fieten, H.; German, A.J.; Mandigers, P.J.J. The Histopathological Characteristic of Gastric Carcinoma in the Belgian Tervueren and Groenendael Dog: A Comparison of Two Classification Methods. Animals 2023, 13, 1532. https://doi.org/10.3390/ani13091532
Kijan C, Hugen S, Thomas RE, Oberbauer AM, Leegwater PAJ, Fieten H, German AJ, Mandigers PJJ. The Histopathological Characteristic of Gastric Carcinoma in the Belgian Tervueren and Groenendael Dog: A Comparison of Two Classification Methods. Animals. 2023; 13(9):1532. https://doi.org/10.3390/ani13091532
Chicago/Turabian StyleKijan, Christina, Sanne Hugen, Rachel E. Thomas, Anita M. Oberbauer, Peter A. J. Leegwater, Hille Fieten, Alexander J. German, and Paul J. J. Mandigers. 2023. "The Histopathological Characteristic of Gastric Carcinoma in the Belgian Tervueren and Groenendael Dog: A Comparison of Two Classification Methods" Animals 13, no. 9: 1532. https://doi.org/10.3390/ani13091532
APA StyleKijan, C., Hugen, S., Thomas, R. E., Oberbauer, A. M., Leegwater, P. A. J., Fieten, H., German, A. J., & Mandigers, P. J. J. (2023). The Histopathological Characteristic of Gastric Carcinoma in the Belgian Tervueren and Groenendael Dog: A Comparison of Two Classification Methods. Animals, 13(9), 1532. https://doi.org/10.3390/ani13091532

