Novel Mutation in the Feline GAA Gene in a Cat with Glycogen Storage Disease Type II (Pompe Disease)
Abstract
Simple Summary
Abstract
1. Introduction
2. Materials and Methods
2.1. Specimen
2.2. Mutation Analysis
2.3. Pathogenicity and Stability Prediction
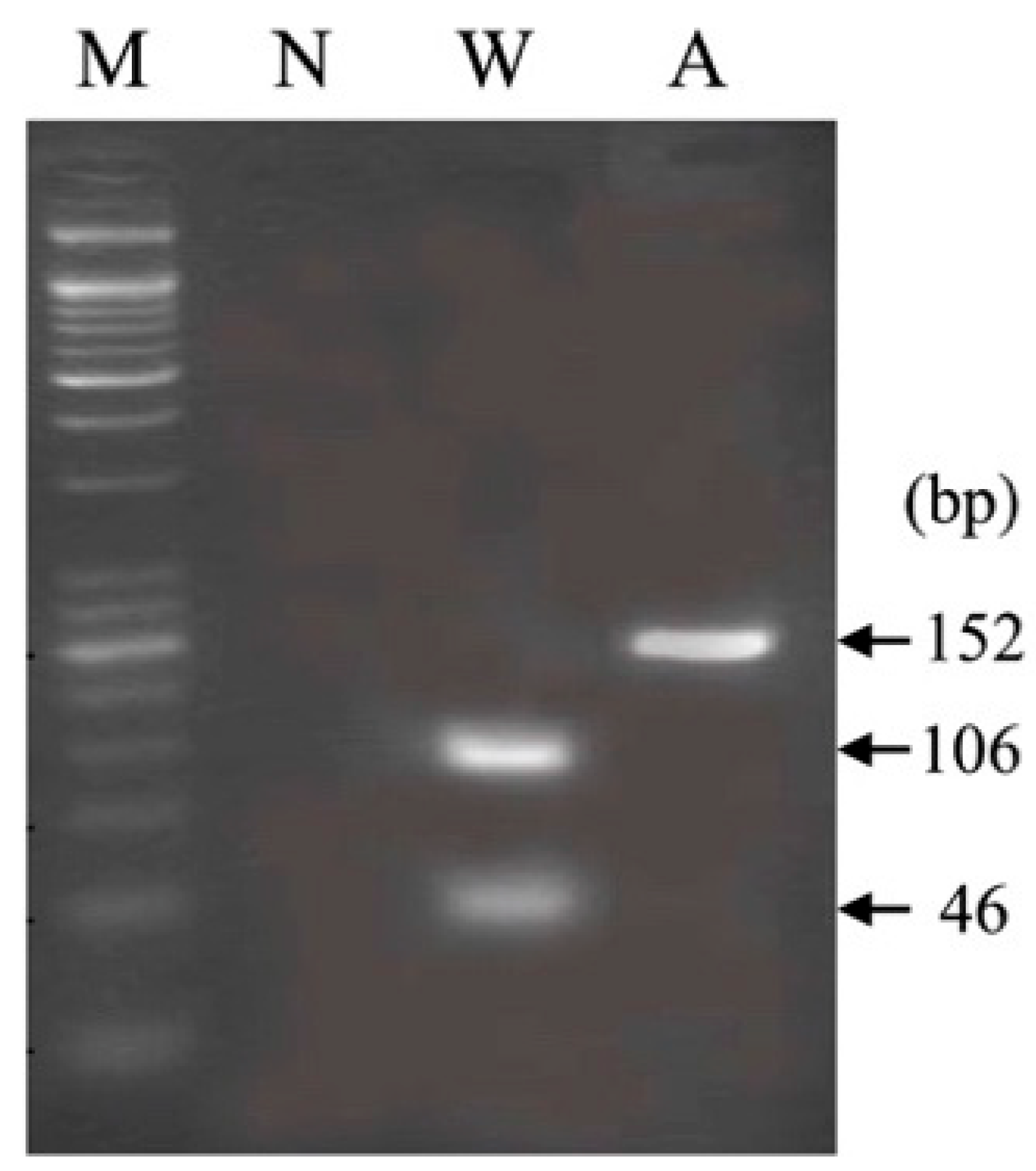
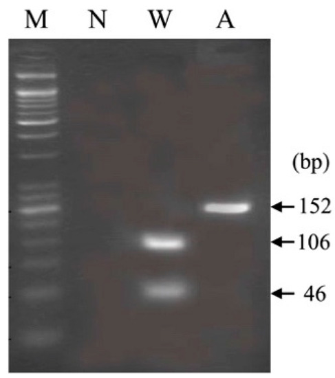
2.4. PCR-Restriction Fragment Length Polymorphism (RFLP)
3. Results
3.1. Mutation Detection
3.2. Pathogenicity and Stability Prediction
3.3. PCR-RFLP and Genotyping
4. Discussion
5. Conclusions
Supplementary Materials
Author Contributions
Funding
Institutional Review Board Statement
Informed Consent Statement
Data Availability Statement
Acknowledgments
Conflicts of Interest
References
- Seppälä, E.H.; Reuser, A.J.; Lohi, H. A nonsense mutation in the acid α-glucosidase gene causes Pompe disease in Finnish and Swedish Lapphunds. PLoS ONE 2013, 8, e56825. [Google Scholar] [CrossRef]
- Bychkov, I.; Baydakova, G.; Filatova, A.; Migiaev, O.; Marakhonov, A.; Pechatnikova, N.; Pomerantseva, E.; Konovalov, F.; Ampleeva, M.; Kaimonov, V. Complex transposon insertion as a novel cause of Pompe disease. Int. J. Mol. Sci. 2021, 22, 10887. [Google Scholar] [CrossRef] [PubMed]
- Almeida, V.; Conceição, I.; Fineza, I.; Coelho, T.; Silveira, F.; Santos, M.; Valverde, A.; Geraldo, A.; Maré, R.; Aguiar, T.C. Screening for Pompe disease in a Portuguese high risk population. Neuromuscul. Disord. 2017, 27, 777–781. [Google Scholar] [CrossRef]
- Kishnani, P.S.; Amartino, H.M.; Lindberg, C.; Miller, T.M.; Wilson, A.; Keutzer, J. Methods of diagnosis of patients with Pompe disease: Data from the Pompe Registry. Mol. Genet. Metab. 2014, 113, 84–91. [Google Scholar] [CrossRef] [PubMed]
- Mokhtariye, A.; Hagh-Nazari, L.; Varasteh, A.-R.; Keyfi, F. Diagnostic methods for Lysosomal storage disease. Rep. Biochem. Mol. Biol. 2019, 7, 119. [Google Scholar]
- Fukuhara, Y.; Fuji, N.; Yamazaki, N.; Hirakiyama, A.; Kamioka, T.; Seo, J.-H.; Mashima, R.; Kosuga, M.; Okuyama, T. A molecular analysis of the GAA gene and clinical spectrum in 38 patients with Pompe disease in Japan. Mol. Genet. Metab. Rep. 2018, 14, 3–9. [Google Scholar] [CrossRef]
- Thirumal Kumar, D.; Umer Niazullah, M.; Tasneem, S.; Judith, E.; Susmita, B.; George Priya Doss, C.; Selvarajan, E.; Zayed, H. A computational method to characterize the missense mutations in the catalytic domain of GAA protein causing Pompe disease. J. Cell. Biochem. 2019, 120, 3491–3505. [Google Scholar] [CrossRef] [PubMed]
- Skelly, B.J.; Franklin, R.J. Recognition and diagnosis of lysosomal storage diseases in the cat and dog. J. Vet. Intern. Med. 2002, 16, 133–141. [Google Scholar] [CrossRef]
- Smith, L.D.; Bainbridge, M.N.; Parad, R.B.; Bhattacharjee, A. Second tier molecular genetic testing in newborn screening for Pompe disease: Landscape and challenges. Int. J. Neonatal Screen. 2020, 6, 32. [Google Scholar] [CrossRef] [PubMed]
- Dasouki, M.; Jawdat, O.; Almadhoun, O.; Pasnoor, M.; McVey, A.L.; Abuzinadah, A.; Herbelin, L.; Barohn, R.J.; Dimachkie, M.M. Pompe disease: Literature review and case series. Neurol. Clin. 2014, 32, 751–776. [Google Scholar] [CrossRef]
- Tanaka, S.; Suzuki, R.; Koyama, H.; Machida, N.; Yabuki, A.; Yamato, O. Glycogen storage disease in a young cat with heart failure. J. Vet. Intern. Med. 2022, 36, 259–263. [Google Scholar] [CrossRef] [PubMed]
- Niño, M.Y.; in ‘t Groen, S.L.M.; Bergsma, A.J.; van der Beek, N.A.M.E.; Kroos, M.; Hoogeveen-Westerveld, M.; van der Ploeg, A.T.; Pijnappel, W.W.M.P. Extension of the Pompe mutation database by linking disease-associated variants to clinical severity. Hum. Mutat. 2019, 40, 1954–1967. [Google Scholar] [CrossRef]
- Niño, M.Y.; in ‘t Groen, S.L.M.; Bergsma, A.J.; van der Beek, N.A.M.E.; Kroos, M.; Hoogeveen-Westerveld, M.; van der Ploeg, A.T.; Pijnappel, W.W.M.P. Extension of the Pompe Mutation Database by Linking Disease-Associated Variants to Clinical Severity. Available online: http://www.pompevariantdatabase.nl/pompe_mutations_list.php?orderby=aMut_ID1 (accessed on 17 March 2023).
- Kishnani, P.S.; Beckemeyer, A.A.; Mendelsohn, N.J. The new era of Pompe disease: Advances in the detection, understanding of the phenotypic spectrum, pathophysiology, and management. Am. J. Med. Genet. Part C Semin. Med. Genet. 2012, 160, 1–7. [Google Scholar] [CrossRef]
- Sandström, B.; Westman, J.; Öckerman, P. Glycogenosis of the central nervous system in the cat. Acta Neuropathol. 1969, 14, 194–200. [Google Scholar] [CrossRef]
- Jolly, R.; Van-de-Water, N.; Richards, R.B.; Dorling, P.R. Generalized glycogenosis in beef shorthorn cattle--heterozygote detection. Aust. J. Exp. Biol. Med. Sci. 1977, 55, 141–150. [Google Scholar] [CrossRef]
- O’sullivan, B.; Healy, P.; Fraser, I.; Nieper, R.; Whittle, R.; Sewell, C. Generalised glycogenosis in Brahman cattle. Aust. Vet. J. 1981, 57, 227–229. [Google Scholar] [CrossRef]
- Manktelow, B.; Hartley, W. Generalized glycogen storage disease in sheep. J. Comp. Pathol. 1975, 85, 139–145. [Google Scholar] [CrossRef]
- Matsui, T.; Kuroda, S.; Mizutani, M.; Kiuchi, Y.; Suzuki, K.; Ono, T. Generalized glycogen storage disease in Japanese quail (Coturnix coturnix japonica). Vet. Pathol. 1983, 20, 312–321. [Google Scholar] [CrossRef] [PubMed]
- Dennis, J.A.; Moran, C.; Healy, P.J. The bovine α-glucosidase gene: Coding region, genomic structure, and mutations that cause bovine generalized glycogenosis. Mamm. Genome 2000, 11, 206–212. [Google Scholar] [CrossRef]
- Bendl, J.; Stourac, J.; Salanda, O.; Pavelka, A.; Wieben, E.D.; Zendulka, J.; Brezovsky, J.; Damborsky, J. PredictSNP: Robust and accurate consensus classifier for prediction of disease-related mutations. PLoS Comput. Biol. 2014, 10, e1003440. [Google Scholar] [CrossRef] [PubMed]
- Chen, C.-W.; Lin, J.; Chu, Y.-W. iStable: Off-the-shelf predictor integration for predicting protein stability changes. BMC Bioinform. 2013, 14, S5. [Google Scholar] [CrossRef]
- De Baets, G.; Van Durme, J.; Reumers, J.; Maurer-Stroh, S.; Vanhee, P.; Dopazo, J.; Schymkowitz, J.; Rousseau, F. SNPeffect 4.0: On-line prediction of molecular and structural effects of protein-coding variants. Nucleic Acids Res. 2012, 40, D935–D939. [Google Scholar] [CrossRef] [PubMed]
- Chang, H.S.; Shibata, T.; Arai, S.; Zhang, C.; Yabuki, A.; Mitani, S.; Higo, T.; Sunagawa, K.; Mizukami, K.; Yamato, O. Dihydropyrimidinase deficiency: The first feline case of dihydropyrimidinuria with clinical and molecular findings. JIMD Rep. 2012, 6, 21–26. [Google Scholar] [PubMed]
- Reuser, A.J.; van der Ploeg, A.T.; Chien, Y.H.; Llerena Jr, J.; Abbott, M.A.; Clemens, P.R.; Kimonis, V.E.; Leslie, N.; Maruti, S.S.; Sanson, B.J. GAA variants and phenotypes among 1,079 patients with Pompe disease: Data from the Pompe registry. Hum. Mutat. 2019, 40, 2146–2164. [Google Scholar] [CrossRef] [PubMed]
- McCready, M.; Carson, N.; Chakraborty, P.; Clarke, J.; Callahan, J.; Skomorowski, M.; Chan, A.; Bamforth, F.; Casey, R.; Rupar, C. Development of a clinical assay for detection of GAA mutations and characterization of the GAA mutation spectrum in a Canadian cohort of individuals with glycogen storage disease, type II. Mol. Genet. Metab. 2007, 92, 325–335. [Google Scholar] [CrossRef]
- Tsujino, S.; Huie, M.; Kanazawa, N.; Sugie, H.; Goto, Y.; Kawai, M.; Nonaka, I.; Hirschhorn, R.; Sakuragawa, N. Frequent mutations in Japanese patients with acid maltase deficiency. Neuromuscul. Disord. 2000, 10, 599–603. [Google Scholar] [CrossRef]
- Ko, T.M.; Hwu, W.L.; Lin, Y.W.; Tseng, L.H.; Hwa, H.L.; Wang, T.R.; Chuang, S.M. Molecular genetic study of Pompe disease in Chinese patients in Taiwan. Hum. Mutat. 1999, 13, 380–384. [Google Scholar] [CrossRef]
- Tarnopolsky, M.; Katzberg, H.; Petrof, B.J.; Sirrs, S.; Sarnat, H.B.; Myers, K.; Dupré, N.; Dodig, D.; Genge, A.; Venance, S.L. Pompe disease: Diagnosis and management. Evidence-based guidelines from a Canadian expert panel. Can. J. Neurol. Sci. 2016, 43, 472–485. [Google Scholar] [CrossRef]
- Kishnani, P.; Corzo, D.; Nicolino, M.; Byrne, B.; Mandel, H.; Hwu, W.; Leslie, N.; Levine, J.; Spencer, C.; McDonald, M.; et al. Recombinant human acid α-glucosidase: Major clinical benefits in infantile-onset Pompe disease. Neurology 2007, 68, 99–109. [Google Scholar] [CrossRef]
- Van der Ploeg, A.T.; Clemens, P.R.; Corzo, D.; Escolar, D.M.; Florence, J.; Groeneveld, G.J.; Herson, S.; Kishnani, P.S.; Laforet, P.; Lake, S.L. A randomized study of alglucosidase alfa in late-onset Pompe’s disease. N. Engl. J. Med. 2010, 362, 1396–1406. [Google Scholar] [CrossRef]




| Exon No. | Mutations | SIFT Score | SIFT | PredictSNP | MAPP | PhD-SNP | Polyphen-1 | Polyphen-2 | SNAP | PANTHER |
|---|---|---|---|---|---|---|---|---|---|---|
| 2 | V19M | 0.03 | D | D | UK | N | D | D | D | N |
| 2 | G61S | 0.92 | N | N | N | N | N | N | N | UK |
| 8 | R433Q | 0.91 | N | N | N | N | N | N | N | N |
| 10 | E494K | 0.55 | N | N | N | N | N | N | N | N |
| 13 | R600H | 0.00 | D | D | D | D | D | D | D | D |
| 14 | E630G | 0.39 | N | N | N | N | N | N | N | N |
| 15 | V718L | 0.32 | N | N | N | D | N | N | N | N |
| 16 | R736H | 0.06 | N | N | N | N | N | N | N | N |
| 17 | P808R | 0.24 | N | N | N | N | N | N | N | N |
| 18 | V877I | 0.21 | N | N | N | N | N | N | N | N |
| 19 | A910T | 0.60 | N | N | N | N | N | N | N | N |
| Exon No. | Mutations | i-Mutant2.0 SEQ | DDG | MUpro | Conf. Score | iStable | Conf. Score |
|---|---|---|---|---|---|---|---|
| 2 | V19M | Decrease | −1.81 | Null | Null | Decrease | 0.570209 |
| 13 | R600H | Decrease | −1.63 | Decrease | −0.30256 | Decrease | 0.685774 |
Disclaimer/Publisher’s Note: The statements, opinions and data contained in all publications are solely those of the individual author(s) and contributor(s) and not of MDPI and/or the editor(s). MDPI and/or the editor(s) disclaim responsibility for any injury to people or property resulting from any ideas, methods, instructions or products referred to in the content. |
© 2023 by the authors. Licensee MDPI, Basel, Switzerland. This article is an open access article distributed under the terms and conditions of the Creative Commons Attribution (CC BY) license (https://creativecommons.org/licenses/by/4.0/).
Share and Cite
Rakib, T.M.; Islam, M.S.; Tanaka, S.; Yabuki, A.; Pervin, S.; Maki, S.; Faruq, A.A.; Tacharina, M.R.; Yamato, O. Novel Mutation in the Feline GAA Gene in a Cat with Glycogen Storage Disease Type II (Pompe Disease). Animals 2023, 13, 1336. https://doi.org/10.3390/ani13081336
Rakib TM, Islam MS, Tanaka S, Yabuki A, Pervin S, Maki S, Faruq AA, Tacharina MR, Yamato O. Novel Mutation in the Feline GAA Gene in a Cat with Glycogen Storage Disease Type II (Pompe Disease). Animals. 2023; 13(8):1336. https://doi.org/10.3390/ani13081336
Chicago/Turabian StyleRakib, Tofazzal Md, Md Shafiqul Islam, Shigeki Tanaka, Akira Yabuki, Shahnaj Pervin, Shinichiro Maki, Abdullah Al Faruq, Martia Rani Tacharina, and Osamu Yamato. 2023. "Novel Mutation in the Feline GAA Gene in a Cat with Glycogen Storage Disease Type II (Pompe Disease)" Animals 13, no. 8: 1336. https://doi.org/10.3390/ani13081336
APA StyleRakib, T. M., Islam, M. S., Tanaka, S., Yabuki, A., Pervin, S., Maki, S., Faruq, A. A., Tacharina, M. R., & Yamato, O. (2023). Novel Mutation in the Feline GAA Gene in a Cat with Glycogen Storage Disease Type II (Pompe Disease). Animals, 13(8), 1336. https://doi.org/10.3390/ani13081336

