Transmission of Classical Swine Fever Virus in Cohabitating Piglets with Various Immune Statuses Following Attenuated Live Vaccine
Abstract
Simple Summary
Abstract
1. Introduction
2. Materials and Methods
2.1. Cells and Virus
2.2. Experimental Design
2.3. Quantitative Reverse Transcription Real-Time Polymerase Chain Reaction (QRRT-PCR) of CSFV
2.4. Anti-CSFV NAs
2.5. CSFV-Specific Interferon (IFN)-γ-Secreting Cells
2.6. Immunohistochemistry
2.7. Statistics
3. Results
3.1. Clinical Signs
3.2. CSFV Viremia
3.3. CSFV Shedding in Saliva
3.4. CSFV Shedding in Feces
3.5. CSFV Loads in Tissues Obtained through Necropsy
3.6. CSFV in the Experimental Environment
3.7. CSFV-Specific IFN-γ-Secreting PBMCs
3.8. Anti-CSFV NAs
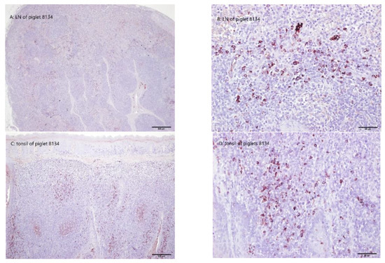
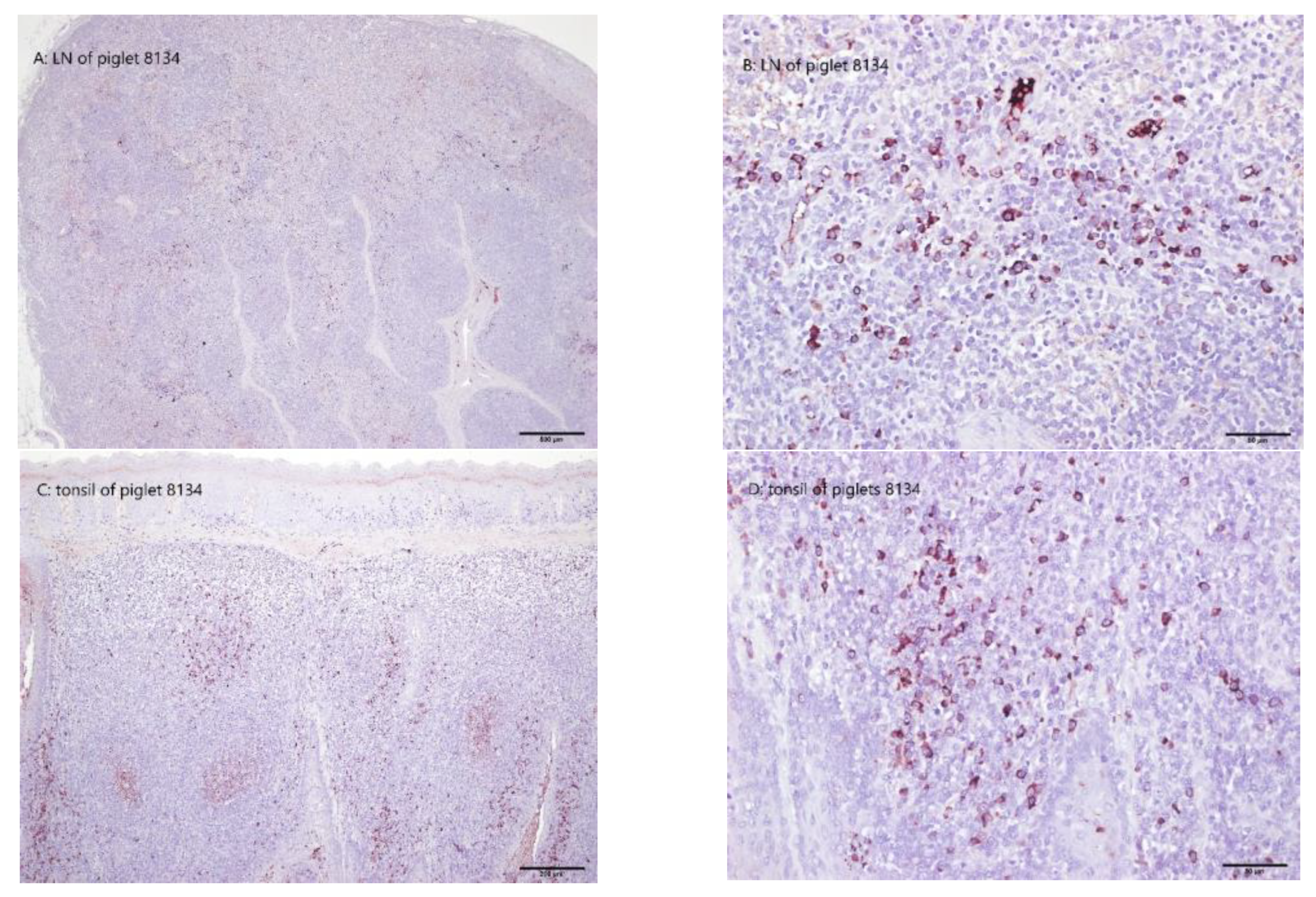
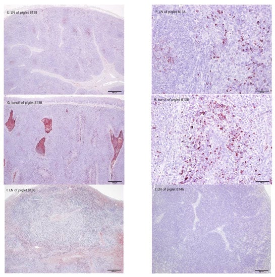
3.9. Immunohistochemistry Detecting CSFV Antigen Signals in Necropsy Tissue Samples
4. Discussion
5. Conclusions
Author Contributions
Funding
Institutional Review Board Statement
Data Availability Statement
Acknowledgments
Conflicts of Interest
References
- WOAH. Chapter 15.2: Infection with classical swine fever virus. In Terrestrial Animal Health Code; WOAH: Paris, France, 2022. [Google Scholar]
- Ganges, L.; Crooke, H.R.; Bohórquez, J.A.; Postel, A.; Sakoda, Y.; Becher, P.; Ruggli, N. Classical swine fever virus: The past, present and future. Virus Res. 2020, 289, 198151. [Google Scholar] [CrossRef] [PubMed]
- WOAH (World Animal Health Information System). Classical Swine Fever: Official Disease Status. Available online: www.woah.org/en/disease/classical-swine-fever/#ui-id-2 (accessed on 1 September 2022).
- Sawai, K.; Nishi, T.; Fukai, K.; Kato, T.; Hayama, Y.; Yamamoto, T. Phylogenetic and phylodynamic analysis of a classical swine fever virus outbreak in Japan (2018–2020). Transbound. Emerg. Dis. 2022, 69, 1529–1538. [Google Scholar] [CrossRef] [PubMed]
- De Oliveira, L.G.; Gatto, I.R.H.; Mechler-Dreibi, M.L.; Almeida, H.M.S.; Sonálio, K.; Storino, G.Y. Achievements and challenges of classical swine fever eradication in Brazil. Viruses 2022, 12, 1327. [Google Scholar] [CrossRef] [PubMed]
- Zhu, X.; Liu, M.; Wu, X.; Ma, W.; Zhao, X. Phylogenetic analysis of classical swine fever virus isolates from China. Arch. Virol. 2021, 166, 2255–2261. [Google Scholar] [CrossRef] [PubMed]
- Lindenbach, B.D.; Thiel, H.J.; Rice, C.M. Flaviviridae: The viruses and their replication. In Fields Virology, 5th ed.; Knipe, D.M., Howley, P.M., Griffin, D.E., Eds.; Lippincott Williams & Wilkins: Philadelphia, PA, USA, 2007; pp. 1101–1152. [Google Scholar]
- Paton, D.J.; McGoldrick, A.; Greiser-Wilke, I.; Parchariyanon, S.; Song, J.Y.; Liou, P.P.; Stadejek, T.; Lowings, J.P.; Bjorklund, H.; Belak, S. Genetic typing of classical swine fever virus. Vet. Microbiol. 2000, 73, 137–157. [Google Scholar] [CrossRef] [PubMed]
- Depner, K.R.; Hinrichs, U.; Bickhardt, K.; Greiser-Wilke, I.; Pohlenz, J.; Moennig, V.; Liess, B. Influence of breed-related factors on the course of classical swine fever virus infection. Vet. Rec. 1997, 140, 506–507. [Google Scholar] [CrossRef]
- Floegel-Niesmann, G.; Bunzenthal, C.; Fischer, S.; Moennig, V. Virulence of recent and former classical swine fever virus isolates evaluated by their clinical and pathological signs. J. Vet. Med. Ser. B 2003, 50, 214–220. [Google Scholar] [CrossRef]
- Moennig, V.; Floegel-Niesmann, G.; Greiser-Wilke, I. Clinical signs and epidemiology of classical swine fever: A review of new knowledge. Vet. J. 2003, 165, 11–20. [Google Scholar] [CrossRef]
- Durand, B.; Davila, S.; Cariolet, R.; Mesplède, A.; Le Potier, M.F. Comparison of viraemia- and clinical-based estimates of within- and between-pen transmission of classical swine fever virus from three transmission experiments. Vet. Microbiol. 2009, 135, 196–204. [Google Scholar] [CrossRef]
- Weesendorp, E.; Backer, J.; Stegeman, A.; Loeffen, W. Effect of strain and inoculation dose of classical swine fever virus on within-pen transmission. Vet. Res. 2009, 40, 59. [Google Scholar] [CrossRef]
- Huang, Y.L.; Deng, M.C.; Wang, F.I.; Huang, C.C.; Chang, C.Y. The challenges of classical swine fever control: Modified live and E2 subunit vaccines. Virus Res. 2014, 179, 1–11. [Google Scholar] [CrossRef] [PubMed]
- Suradhat, S.; Damrongwatanapokin, S.; Thanawongnuwech, R. Factors critical for successful vaccination against classical swine fever in endemic areas. Vet. Microbiol. 2007, 119, 1–9. [Google Scholar] [CrossRef] [PubMed]
- Van Oirschot, J.T. Vaccinology of classical swine fever: From lab to field. Vet. Microbiol. 2003, 96, 367–384. [Google Scholar] [CrossRef]
- Terpstra, C.; Wensvoort, G. The Protective value of vaccine-induced neutralising antibody titres in swine fever. Vet. Microbiol. 1988, 16, 123–128. [Google Scholar] [CrossRef]
- Vandeputte, J.; Too, H.L.; Ng, F.K.; Chen, C.; Chai, K.K.; Liao, G.A. Adsorption of colostral antibodies against classical swine fever, persistence of maternal antibodies, and effect on response to vaccination in baby pigs. Am. J. Vet. Res. 2001, 62, 1805–1811. [Google Scholar] [CrossRef] [PubMed]
- Ma, W.J.; Chen, Q.L.; Chang, C.C. Investigation of antibody performance and presence of viral RNA before and after vaccination of classical swine fever vaccine strain in Taiwan pig farms. Taiwan Vet. J. 2010, 36, 45–54. [Google Scholar]
- Mittelholzer1, C.; Moser, C.; Tratschin, J.D.; Hofmann, M.A. Analysis of classical swine fever virus replication kinetics allows differentiation of highly virulent from avirulent strains. Vet. Microbiol. 2000, 74, 293–308. [Google Scholar] [CrossRef]
- Huang, Y.L.; Pang, V.F.; Pan, C.H.; Chen, T.H.; Jong, M.H.; Huang, T.S.; Jeng, C.R. Development of a reverse transcription multiplex real-time PCR for the detection and genotyping of classical swine fever virus. J. Virol. Methods 2009, 160, 111–118. [Google Scholar] [CrossRef]
- Huang, Y.L.; Meyer, D.; Postel, A.; Tsai, K.J.; Liu, H.M.; Yang, C.H.; Huang, Y.C.; Berkley, N.; Deng, M.C.; Wang, F.I.; et al. Identification of a common conformational epitope on the glycoprotein E2 of classical swine fever virus and border disease virus. Viruses 2021, 13, 1655. [Google Scholar] [CrossRef]
- Graham, S.P.; Everett, H.E.; Haines, F.J.; Johns, H.L.; Sosan, O.A.; Salguero, F.J.; Clifford, D.J.; Steinbach, F.; Drew, T.W.; Crooke, H. Challenge of pigs with classical swine fever viruses after C-strain vaccination reveals remarkably rapid protection and insights into early immunity. PLoS ONE 2012, 7, e29310. [Google Scholar] [CrossRef]
- Graham, S.P.; Haines, F.J.; Johns, H.L.; Sosan, O.; Rocca, S.A.L.; Lamp, B.; Rumenapf, T.; Everett, H.; Crooke, H. Characterisation of vaccine-induced, broadly cross-reactive IFN-γ secreting T cell responses that correlate with rapid protection against classical swine fever virus. Vaccine 2012, 30, 2742–2748. [Google Scholar] [CrossRef] [PubMed]
- Suradhat, S.; Intrakamhaeng, M.; Damrongwatanapokin, S. The correlation of virus-specific interferon-gamma production and protection against classical swine fever virus infection. Vet. Immunol. Immunopathol. 2001, 83, 177–189. [Google Scholar] [CrossRef] [PubMed]
- Planas, D.; Veyer, D.; Baidaliuk, A.; Staropoli, I.; Guivel-Benhassine, F.; Rajah, M.M.; Planchais, C.; Porrot, F.; Robillard, N.; Puech, J.; et al. Reduced sensitivity of SARS-CoV-2 variant delta to antibody neutralization. Nature 2021, 596, 276–280. [Google Scholar] [CrossRef]
- Zhang, C.; Hu, J. Porcine reproductive and respiratory syndrome virus vaccines: Current status and strategies to a universal Vaccine. Transbound. Emerg. Dis. 2014, 61, 109–120. [Google Scholar]
- Andre, F.E.; Booy, R.; Bock, H.L.; Clemens, J.; Datta, S.K.; John, T.J.; Lee, B.W.; Lolekha, S.; Peltola, H.; Ruff, T.A.; et al. Vaccination greatly reduces disease, disability, death and inequity worldwide. Bull. World Health Organ. 2008, 86, 140–146. [Google Scholar] [CrossRef] [PubMed]
- Rose, N.; Andraud, M. The use of vaccines to control pathogen spread in pig populations. Porcine Health Manag. 2017, 3, 8. [Google Scholar] [CrossRef] [PubMed]
- Andraud, M.; Grasland, B.; Durand, B.; Cariolet, R.; Jestin, A.; Madec, F.; Rose, N. Quantification of porcine circovirus type 2 (PCV-2) within- and between-pen transmission in pigs. Vet. Res. 2008, 39, 43. [Google Scholar] [CrossRef]
- Rose, N.; Andraud, M.; Bigault, L.; Jestin, A.; Grasland, B. A commercial PCV2abased vaccine significantly reduces PCV2b transmission in experimental conditions. Vaccine 2016, 34, 3738–3745. [Google Scholar] [CrossRef]
- Rose, N.; Renson, P.; Andraud, M.; Paboeuf, F.; Le Potier, M.F.; Bourry, O. Porcine reproductive and respiratory syndrome virus (PRRSv) modified-live vaccine reduces virus transmission in experimental conditions. Vaccine 2015, 33, 2493–2499. [Google Scholar] [CrossRef]
- Bouma, A.; De Smit, A.J.; De Jong, M.C.M.; De Kluijver, E.P.; Moormann, R.J.M. Determination of the onset of the herd-immunity induced by the E2 subunit vaccine against classical swine fever virus. Vaccine 2000, 18, 1374–1381. [Google Scholar] [CrossRef]
- De Smit, A.J.; Bouma, A.; Van Gennip, H.G.P.; De Kluijver, E.P.; Moormann, R.J.M. Chimeric (marker) C-strain viruses induce clinical protection against virulent classical swine fever virus (CSFV) and reduce transmission of CSFV between vaccinated pigs. Vaccine 2001, 19, 1467–1476. [Google Scholar] [CrossRef] [PubMed]
- Van Nes, A.; Stegeman, J.A.; De Jong, M.C.M.; Loeffen, W.L.A.; Kimman, T.G.; Verheijden, J.H.M. No major outbreaks of pseudorabies virus in well immunized sow herds. Vaccine 1996, 14, 1042–1044. [Google Scholar] [CrossRef] [PubMed]
- Shrestha, N.K.; Burke, P.C.; Nowacki, A.S.; Terpeluk, P.; Gordon, S.M. Necessity of coronavirus disease 2019 (COVID-19) vaccination in persons who have already had COVID-19. Clin. Infect. Dis. 2022, 75, e662–e671. [Google Scholar] [CrossRef] [PubMed]
- Gómez-Villamandos, J.C.; Ruiz-Villamor, E.; Bautista, M.J.; Sánchez, C.P.; Sánchez-Cordón, P.J.; Salguero, F.J.; Jover, A. Morphological and immunohistochemical changes in splenic macrophages of pigs infected with classical swine fever. J. Comp. Pathol. 2001, 125, 98–109. [Google Scholar] [CrossRef]
- Sánchez-Cordón, P.J.; Romanini, S.; Salguero, F.J.; Ruiz-Villamor, E.; Carrasco, L.; Gómez-Villamandos, J.C. A histopathologic, immunohistochemical, and ultrastructural study of the intestine in pigs inoculated with classical swine fever virus. Vet. Pathol. 2003, 40, 254–262. [Google Scholar] [CrossRef]
- Sah, V.; Kumar, A.; Dhar, P.; Upmanyu, V.; Tiwari, A.K.; Wani, S.A.; Sahu, A.R.; Kumar, A.; Badasara, S.K.; Pandey, A.; et al. Signature of genome wide gene expression in classical swine fever virus infected macrophages and PBMCs of indigenous vis-a-vis crossbred pigs. Gene 2020, 731, 144356. [Google Scholar] [CrossRef]
- Coronado, L.; Bohórquez, J.A.; Muñoz-González, S.; Perez, L.J.; Rosell, R.; Fonseca, O.; Delgado, L.; Perera, C.L.; Frías, M.T.; Ganges, L. Investigation of chronic and persistent classical swine fever infections under field conditions and their impact on vaccine efficacy. BMC Vet. Res. 2019, 15, 247. [Google Scholar] [CrossRef]
- Rivera-Toledo, E.; Gómez, B. Respiratory syncytial virus persistence in macrophages alters the profile of cellular gene expression. Viruses 2012, 4, 3270–3280. [Google Scholar] [CrossRef]
- Kruize, Z.; Kootstra, N.A. The role of macrophages in HIV-1 persistence and pathogenesis. Front. Microbiol. 2019, 10, 2828. [Google Scholar] [CrossRef]
- Borca, M.V.; Gudmundsdottir, I.; Fernandez-Sainz, I.J.; Holinka, L.G.; Risatti, G.R. Patterns of cellular gene expression in swine macrophages infected with highly virulent classical swine fever virus strain Brescia. Virus Res. 2008, 138, 89–96. [Google Scholar] [CrossRef]







| Days Post-experiment (DPE) | 0 | 7 | 8 | 9 | 10 | 11 | 12 | 13 | 14 | 15 | 16 | 17 | 18 | 19 | 20 | 21 | 22 | 23 | 24 | 25 | 26 | 27 | 28 | 29 | 30 | 31 | 32 | 33 | 34 | 35 | 36 | 37 | 38 | 39 | 
|---|---|---|---|---|---|---|---|---|---|---|---|---|---|---|---|---|---|---|---|---|---|---|---|---|---|---|---|---|---|---|---|---|---|---|
| Days post-first contact (DP1C) | 0 | 1 | 2 | 3 | 4 | 5 | 6 | 7 | 8 | 9 | 10 | 11 | 12 | 13 | 14 | 15 | 16 | 17 | 18 | 19 | 20 | 21 | 22 | 23 | 24 | 25 | 26 | 27 | 28 | 29 | 30 | 31 | 32 | |
| Days post-second contact (DP2C) | 0 | 1 | 2 | 3 | 4 | 5 | 6 | 7 | 8 | 9 | 10 | 11 | 12 | 13 | 14 | 15 | 16 | 17 | 18 | 19 | 20 | 21 | 22 | |||||||||||
| Group 1 (n = 1) | 0 | 0 | 0 | 0 | 0 | 0 | 100 | 100 # | 100 | 100 | 100 | 100 | 100 | |||||||||||||||||||||
| Group 2 (n = 6) | 0 | 0 | 0 | 0 | 0 | 0 | 0 | 0 | 0 | 0 | 0 | 0 | 0 | 0 | 0 | 0 | 0 | 0 | 0 | 0 | 0 | 0 | 0 | 0 | 0 | 0 | 0 | 0 | 0 | 0 | 0 | |||
| Group 3 (n = 3) | 0 | 0 | 0 | 0 | 0 | 0 | 0 | 0 | 0 | 0 | 0 | 0 | 0 | 0 | 0 | 0 | 0 | 33 | 33 # | 33 | 100 | 100 | 100 | 100 | 100 | 100 | 100 | 100 | 100 | 100 | 100 | |||
| Group 4 (n = 6) | 0 | 0 | 0 | 0 | 0 | 0 | 0 | 0 | 0 | 0 | 0 | 0 | 0 | 0 | 0 | 0 | 0 | 0 | 0 | 0 | 0 | 0 | 0 | 0 | 0 | 0 | 0 | 0 | 0 | 0 | 0 | 0 | 0 | 0 | 
| Group 5 (n = 3) | 0 | 0 | 0 | 0 | 0 | 0 | 0 | 0 | 0 | 0 | 0 | 0 | 0 | 0 | 0 | 0 | 0 | 0 | 0 | 0 | 0 | 33 | 33 | 33 | 67 # | 67 | 67 | 100 | 100 | 100 | 100 | 100 | 100 | 100 | 
| Group | 1 | 2 | 3 | 4 | 5 | 
|---|---|---|---|---|---|
| Serum | 5.08 (1/1) # | - (0/6) | 7.52 ± 0.39 (2/3) * | - (0/6) | 5.91 ± 0.78 (3/3) | 
| EDTA: blood | 6.40 (1/1) | 1.65 (1/6) | 7.59 ± 0.61 (2/3) | - (0/6) | 7.63 ± 0.39 (3/3) | 
| Tonsil | 7.08 (1/1) | 3.78 (1/6) | 7.63 ± 2.55 (3/3) | - (0/6) | 9.36 ± 0.29 (3/3) | 
| Inguinal lymph node | 7.92 (1/1) | 2.41 (1/6) | 9.50 ± 0.34 (2/3) | - (0/6) | 9.45 ± 0.55 (3/3) | 
| Submaxillary lymph node | 8.16 (1/1) | 3.33 (1/6) | 7.79 ± 2.87 (3/3) | - (0/6) | 9.63 ± 0.31 (3/3) | 
| Bronchial lymph node | 8.10 (1/1) | - (0/6) | 7.20 ± 3.60 (3/3) | - (0/6) | 9.71 ± 0.35 (3/3) | 
| Lung | 7.08 (1/1) | - (0/6) | 8.41 ± 1.25 (2/3) | - (0/6) | 9.03 ± 0.11 (3/3) | 
| Spleen | 9.37 (1/1) | - (0/6) | 7.50 ± 1.15 (2/3) | - (0/6) | 8.66 ± 0.34 (3/3) | 
| Liver | 8.57 (1/1) | - (0/6) | 8.71 ± 0.20 (2/3) | - (0/6) | 7.87 ± 0.70 (3/3) | 
| Heart | 8.17 (1/1) | - (0/6) | 9.06 ± 0.13(2/3) | - (0/6) | 7.27 ± 0.50 (3/3) | 
| Kidney | 8.45 (1/1) | - (0/6) | 9.53 ± 0.28 (2/3) | - (0/6) | 8.58 ± 1.07 (3/3) | 
| Mesentery lymph node | 8.45 (1/1) | - (0/6) | 8.92 ± 0.86 (2/3) | - (0/6) | 8.75 ± 0.95 (3/3) | 
| Cerebrum | 7.65 (1/1) | - (0/6) | 8.38 ± 0.40 (2/3) | - (0/6) | 7.09 ± 1.31 (3/3) | 
| Cerebellum | 8.07 (1/1) | - (0/6) | 7.86 ± 1.54 (2/3) | - (0/6) | 8.22 ± 0.74 (3/3) | 
| Testes | 8.47 (1/1) | - (0/6) | 8.06 ± 1.96 (2/3) | - (0/6) | 8.16 ± 0.57 (3/3) | 
| Stomach | 8.67 (1/1) | - (0/6) | 7.46 ± 0.04 (2/3) | - (0/6) | 7.60 ± 0.09 (3/3) | 
| Small intestines | 3.76 (1/1) | - (0/6) | 6.48 ± 1.31 (2/3) | - (0/6) | 7.02 ± 0.39 (3/3) | 
| Large intestines | 6.88 (1/1) | - (0/6) | 8.62 ± 0.65 (2/3) | - (0/6) | 7.48 ± 0.30 (3/3) | 
| Bladder | 8.51(1/1) | - (0/6) | 8.73 ± 0.05 (2/3) | - (0/6) | 7.96 ± 0.70 (3/3) | 
| Room Number | Room 12 | Room 2 | Room 4 | |||||||||
|---|---|---|---|---|---|---|---|---|---|---|---|---|
| DPE | 14 | 17 | 21 | 24 | 28 | 31 | 35 | 21 | 24 | 28 | 31 | 35 | 
| Fences | - * | - | - | - | - | - | - | - | - | 1.60 | 1.21 | 0.94 | 
| Feces on floor | 0.75 † | 2.45 | - | - | - | - | - | - | 3.48 | 3.74 | 3.50 | 3.25 | 
| Feed trough | - | - | - | - | - | - | - | - | - | 1.59 | 2.40 | 2.78 | 
| Drinking fountain | - | - | - | - | - | - | - | - | - | 2.45 | 1.00 | 3.34 | 
| Disclaimer/Publisher’s Note: The statements, opinions and data contained in all publications are solely those of the individual author(s) and contributor(s) and not of MDPI and/or the editor(s). MDPI and/or the editor(s) disclaim responsibility for any injury to people or property resulting from any ideas, methods, instructions or products referred to in the content. | 
© 2023 by the authors. Licensee MDPI, Basel, Switzerland. This article is an open access article distributed under the terms and conditions of the Creative Commons Attribution (CC BY) license (https://creativecommons.org/licenses/by/4.0/).
Share and Cite
Chang, C.-Y.; Tsai, K.-J.; Deng, M.-C.; Wang, F.-I.; Liu, H.-M.; Tsai, S.-H.; Tu, Y.-C.; Lin, N.-N.; Huang, Y.-L. Transmission of Classical Swine Fever Virus in Cohabitating Piglets with Various Immune Statuses Following Attenuated Live Vaccine. Animals 2023, 13, 368. https://doi.org/10.3390/ani13030368
Chang C-Y, Tsai K-J, Deng M-C, Wang F-I, Liu H-M, Tsai S-H, Tu Y-C, Lin N-N, Huang Y-L. Transmission of Classical Swine Fever Virus in Cohabitating Piglets with Various Immune Statuses Following Attenuated Live Vaccine. Animals. 2023; 13(3):368. https://doi.org/10.3390/ani13030368
Chicago/Turabian StyleChang, Chia-Yi, Kuo-Jung Tsai, Ming-Chung Deng, Fun-In Wang, Hsin-Meng Liu, Shu-Hui Tsai, Yang-Chang Tu, Nien-Nong Lin, and Yu-Liang Huang. 2023. "Transmission of Classical Swine Fever Virus in Cohabitating Piglets with Various Immune Statuses Following Attenuated Live Vaccine" Animals 13, no. 3: 368. https://doi.org/10.3390/ani13030368
APA StyleChang, C.-Y., Tsai, K.-J., Deng, M.-C., Wang, F.-I., Liu, H.-M., Tsai, S.-H., Tu, Y.-C., Lin, N.-N., & Huang, Y.-L. (2023). Transmission of Classical Swine Fever Virus in Cohabitating Piglets with Various Immune Statuses Following Attenuated Live Vaccine. Animals, 13(3), 368. https://doi.org/10.3390/ani13030368
 
        




 
       