In Ovo Feeding Techniques of Green Nanoparticles of Silver and Probiotics: Evaluation of Performance, Physiological, and Microbiological Responses of Hatched One-Day-Old Broiler Chicks
Abstract
:Simple Summary
Abstract
1. Introduction
2. Materials and Methods
2.1. Macroalgae Selection, Collection, and Extract Preparation for Nano Silver Synthesis
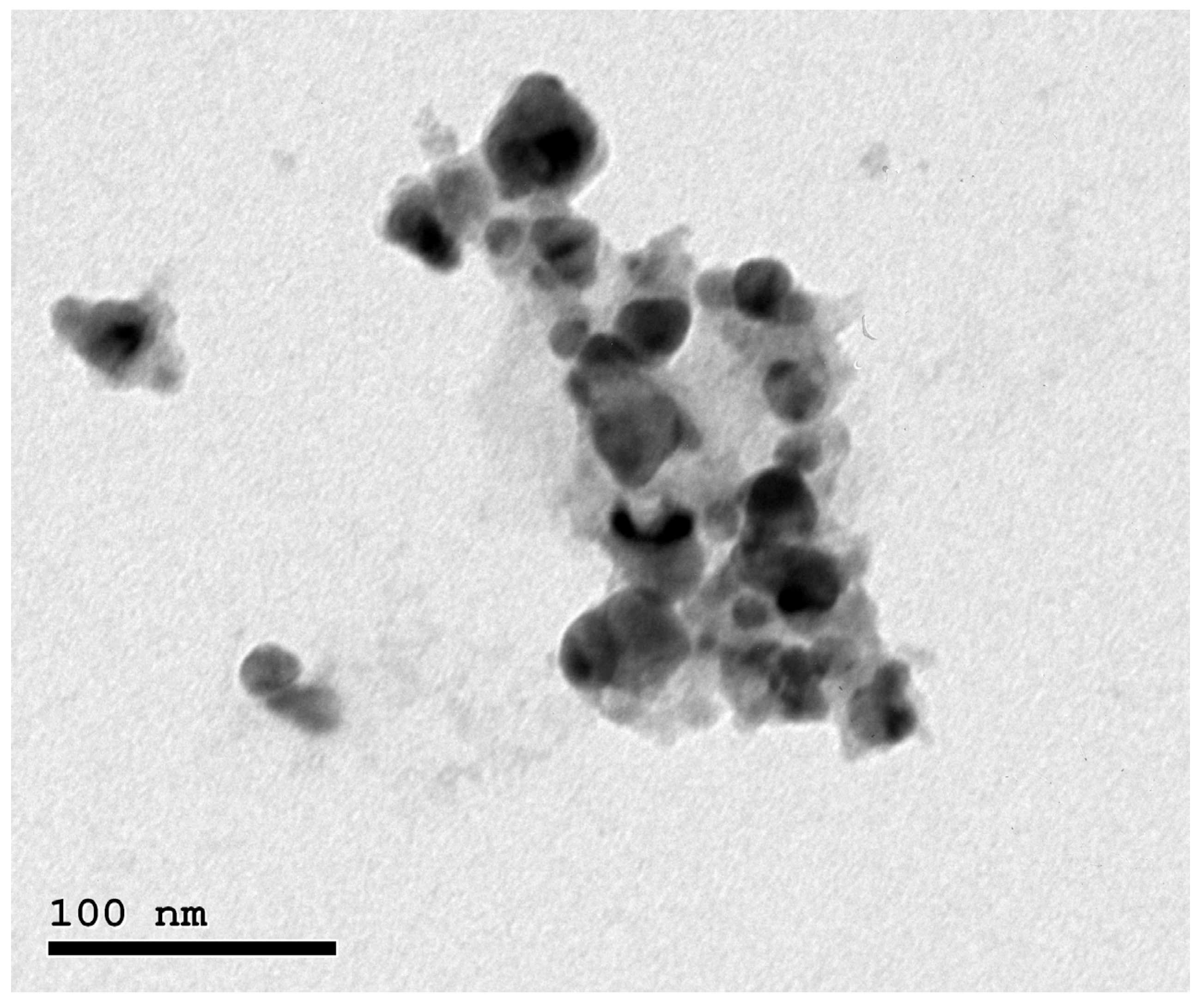
2.2. Green Synthesis of Silver Nanoparticles
2.3. Probiotic Strain Preparation
2.4. Experimental Design and Incubation Conditions
2.5. Productive Performance
2.6. Carcass Criteria
2.7. Blood Sampling and Laboratory Analyses
2.8. Microbial Enumeration
2.9. Statistical Analysis
3. Results
3.1. Productive Performance
3.2. Carcass Criteria and Internal Organ Weight
3.3. Blood Biochemistry
3.4. Microbial Counts
4. Discussion
5. Conclusions
Author Contributions
Funding
Institutional Review Board Statement
Informed Consent Statement
Data Availability Statement
Acknowledgments
Conflicts of Interest
References
- De Oliveira, J.E.; Van Der Hoeven-Hangoor, E.; Van De Linde, I.B.; Montijn, R.C.; Van Der Vossen, J.M.B.M. In ovo inoculation of chicken embryos with probiotic bacteria and its effect on post-hatch Salmonella susceptibility. Poult. Sci. 2014, 93, 818–829. [Google Scholar] [CrossRef]
- Yoho, D.E.; Moyle, J.R.; Swaffar, A.D.; Bramwell, R.K. Effect of incubating poor-quality broiler breeder hatching eggs on overall hatchability, hatch of fertile. Avian Advice 2008, 10, 1–3. [Google Scholar]
- Das, R.; Mishra, P.; Jha, R. In ovo feeding as a tool for improving performance and gut health of poultry: A Review. Front. Vet. Sci. 2021, 10, 1086349. [Google Scholar] [CrossRef]
- Abd El-Moneim, E.A.; El-Wardany, I.; Abu-Taleb, A.M.; Wakwak, M.M.; Ebeid, T.A.; Saleh, A.A. Assessment of in ovo administration of Bifidobacterium bifidum, Bifidobacterium longum on performance, ileal histomorphometry, blood hematological, biochemical parameters of broilers. Probiotics Antimicrob. Proteins 2020, 12, 439–450. [Google Scholar] [CrossRef] [PubMed]
- Siwek, M.; Slawinska, A.; Stadnicka, K.; Bogucka, J.; Dunislawska, A.; Bednarczyk, M. Prebiotics, synbiotics—In ovo delivery for improved lifespan condition in chicken. BMC Vet. Res. 2018, 14, 402. [Google Scholar] [CrossRef] [PubMed]
- Al-Khalaifah, H.S. Benefits of probiotics/or prebiotics for antibiotic-reduced poultry. Poult. Sci. 2018, 97, 3807–3815. [Google Scholar] [CrossRef]
- Gazit, E. Plenty of Room for Biology at the Bottom: An Introduction to Bionanotechnology; Imperial College Press: London, UK, 2007; ISBN 978-1-86094-677-6. [Google Scholar]
- Fayaz, A.M.; Balaji, K.; Girilal, M.; Yadav, R.; Kalaichelvan, P.T.; Venketesan, R. Biogenic synthesis of silver nanoparticles and their synergistic effect with antibiotics: A study against gram-positive and gram-negative bacteria. Nanomedicine 2010, 6, 103–109. [Google Scholar] [CrossRef]
- Abdelsalam, M.; Al-Homidan, I.; Ebeid, T.; Abou-Emera, O.; Mostafa, M.; El-Razik, A.; Shehab-El-Deen, M.; Abdel Ghani, S.; Fathi, M. Effect of silver nanoparticle administration on productive performance, blood parameters, antioxidative status, and silver residues in growing rabbits under hot climate. Animals 2019, 9, 967. [Google Scholar] [CrossRef]
- Oladokun, S.; Deborah, I.A. In ovo delivery of bioactive substances: An alternative to the use of antibiotic growth promoters in poultry production—A Review. J. Appl. Poult. Res. 2020, 29, 744–763. [Google Scholar] [CrossRef]
- Negash, T.; Al-Garib, S.O.; Gruys, E. Comparison of in ovo, post-hatch vaccination with particular reference to infectious bursal disease. A Review. Vet. Q. 2004, 26, 76–87. [Google Scholar] [CrossRef]
- Noy, Y.; Uni, Z. Early nutritional strategies. World’s Poult. Sci. J. 2010, 66, 639–646. [Google Scholar] [CrossRef]
- Dobrzanski, Z.; Zygadlik, K.; Patkowska-Sokola, B.; Nowakowski, P.; Janczak, M.; Sobczak, A.; Bodkowski, R. The effectiveness of nanosilver and mineral sorbents in the reduction of ammonia emissions from livestock manure. Przemysł Chem. 2010, 4, 348–351. [Google Scholar]
- Azizi, S.; Namvar, F.; Mahdavi, M.; Ahmad, M.B.; Mohamad, R. Biosynthesis of silver nanoparticles using brown marine macroalga, Sargassum muticum aqueous extract. Materials 2013, 6, 5942–5950. [Google Scholar] [CrossRef] [PubMed]
- Kollmansperger, S.; Anders, M.; Werner, J.; Saller, A.M.; Weiss, L.; Süß, S.C.; Reiser, J.; Schneider, G.; Schusser, B.; Baumgartner, C.; et al. Nociception in Chicken Embryos, Part II: Embryonal Development of Electroencephalic Neuronal Activity In Ovo as a Prerequisite for Nociception. Animals 2023, 13, 2839. [Google Scholar] [CrossRef] [PubMed]
- Elwan, H.; Mohamed, A.S.A.; Dawood, D.H.; Elnesr, S.S. Modulatory Effects of Arctostaphylos uva-urs Extract In Ovo Injected into Broiler Embryos Contaminated by Aflatoxin B1. Animals 2022, 12, 2042. [Google Scholar] [CrossRef] [PubMed]
- SAS Institute. SAS/GRAPH 9.2: Graph Template Language User’s Guide; SAS Institute: Cary, NC, USA, 2009. [Google Scholar]
- Majidi-Mosleh, A.; Sadeghi, A.A.; Mousavi, S.N.; Chamani, M.; Zarei, A. Ileal MUC2 gene expression and microbial population, but not growth performance and immune response, are influenced by in ovo injection of probiotics in broiler chickens. Br. Poult. Sci. 2017, 58, 40–45. [Google Scholar] [CrossRef] [PubMed]
- Triplett, M.D.; Zhai, W.; Peebles, E.D.; McDaniel, C.D.; Kiess, A.S. Investigating commercial in ovo technology as a strategy for introducing probiotic bacteria to broiler embryos. Poult. Sci. 2018, 97, 658–666. [Google Scholar] [CrossRef]
- Beck, C.N.; McDaniel, C.D.; Wamsley, K.G.S.; Kiess, A.S. The potential for inoculating Lactobacillus animalis and Enterococcus faecium alone or in combination using commercial in ovo technology without negatively impacting hatch and post-hatch performance. Poult. Sci. 2019, 98, 7050–7062. [Google Scholar] [CrossRef]
- Bhanja, S.K.; Hotowy, A.; Mehra, M.; Sawosz, E.; Pineda, L.; Vadalasetty, K.; Kurantowicz, N. In Ovo Administration of Silver Nanoparticles And/or Amino Acids Influence Metabolism and Immune Gene Expression in Chicken Embryos. Int. J. Mol. Sci. 2015, 16, 9484–9503. [Google Scholar] [CrossRef]
- Duan, A.Y.; Ju, A.Q.; Zhang, Y.N.; Qin, Y.J.; Xue, L.G.; Ma, X.; Luan, W.M.; Yang, S.B. The Effects of In Ovo Injection of Synbiotics on the Early Growth Performance and Intestinal Health of Chicks. Front. Vet. Sci. 2021, 8, 658301. [Google Scholar] [CrossRef]
- Haščík, P.; Trembecká, L.; Bobko, M.; Čuboň, J.; Bučko, O.; Tkáčová, J. Evaluation of meat quality after application of different feed additives in diet of broiler chickens. J. Food Sci. 2015, 9, 174–182. [Google Scholar] [CrossRef]
- Ahmadi, F. Impact of different levels of silver nanoparticles (AgNPs) on performance, oxidative enzymes and blood parameters in broiler chicks. Pak. Vet. J. 2012, 32, 325–328. [Google Scholar]
- Hassan, A.M. Effect of Nano-Ag on performance and some physiological parameters of broiler chicks under south Sinai condition. Int. J. Innov. Appl. Res. 2018, 6, 1–8. [Google Scholar]
- Ognik, K.; Cholewińska, E.; Czech, A.; Kozłowski, K.; Wlazło, L.; Nowakowicz Debek, B.; Szlazak, R.; Tutaj, K. Effect of silver nanoparticles on the immune, redox, and lipid status of chicken blood. Czech J. Anim. Sci. 2016, 61, 450–461. [Google Scholar] [CrossRef]
- Dosoky, W.M.; Fouda, M.M.; Alwan, A.B.; Abdelsalam, N.R.; Taha, A.E.; Ghareeb, R.Y.; El-Aassar, M.R.; Khafaga, A.F. Dietary supplementation of silver-silica nanoparticles promotes histological, immunological, ultrastructural, and performance parameters of broiler chickens. Sci. Rep. 2021, 11, 4166. [Google Scholar] [CrossRef] [PubMed]
- Lohakare, J.; Abdel-Wareth, A.A.A. Effects of Dietary Supplementation of Oregano Bioactive Lipid Compounds and Silver Nanoparticles on Broiler Production. Sustainability 2022, 14, 13715. [Google Scholar] [CrossRef]
- Khabirov, A.; Khaziakhmetov, F.; Kuznetsov, V.; Tagirov, H.; Rebezov, M.; Reyeva, A. Effect of Normosil Probiotic Supplementation on the Growth Performance and Blood Parameters of Broiler Chickens. Indian J. Pharm. Educ. Res. 2020, 54, 1046–1055. [Google Scholar] [CrossRef]
- Elleithy, E.M.M.; Basma, M.B.; Shaimaa, K.; Elshaimaa, I.; Dina, W.B.; Dalia, H.; Khaled, N.F. Influence of dietary Bacillus coagulans or Bacillus licheniformis based probiotics on performance, gut health, gene expression, and litter quality of broiler chickens. Trop. Anim. Health Prod. 2023, 55, 38. [Google Scholar] [CrossRef]
- Tolba, A.; Sabry, H.; Medani, G. Effect of microbial probiotics on performance of broiler chicks under normal or heat stress conditions; 2-Bacteria concentration or yeast culture. Egypt. Poult. Sci. J. 2004, 24, 333–349. [Google Scholar]
- Kumar, B.; Vijayasarathi, S.; Rao, S. Effect of feeding probiotics on the performance of broilers in experimental fowl typhoid. Indian Vet. J. 2003, 80, 52–55. [Google Scholar]
- Borel, T.; Sabliov, C.M. Nanodelivery of bioactive components for food applications: Types of delivery systems, properties, and their effect on ADME profiles and toxicity of nanoparticles. Annu. Rev. Food Sci. Technol. 2014, 5, 197–213. [Google Scholar] [CrossRef]
- Ahmat, M.; Cheng, J.; Abbas, Z.; Cheng, Q.; Fan, Z.; Ahmad, B.; Hou, M.; Osman, G.; Guo, H.; Wang, J.; et al. Effects of Bacillus amyloliquefaciens LFB112 on Growth Performance, Carcass Traits, Immune, and Serum Biochemical Response in Broiler Chickens. Antibiot. J. 2021, 10, 14–27. [Google Scholar] [CrossRef] [PubMed]
- Carr, A.C.; McCall, M.R.; Frei, B. Oxidation of LDL by myeloperoxidase and reactive nitrogen species: Reaction pathways and antioxidant protection. Arterioscler. Thromb. Vasc. Biol. 2000, 20, 1716–1723. [Google Scholar] [CrossRef] [PubMed]
- Kim, S.; Yu, D.; Lee, S.; Park, S.; Ryu, K.; Lee, D. Effects of feeding Aspergillus oryzae ferments on performance, intestinal microfloua, blood serum components and environmental factors in broiler. Korean J. Poult. Sci. 2003, 30, 151–159. [Google Scholar]
- Santoso, U.; Tanaka, K.; Ohtani, S.; Sakaida, M. Effect of fermented product from Bacillus subtilis on feed conversion efficiency, lipid accumulation and ammonia production in broiler chicks. Asian-Australas. J. Anim. Sci. 2001, 14, 333–337. [Google Scholar] [CrossRef]
- Zhu, C.; Gong, L.; Huang, K.; Li, F.; Tong, D.; Zhang, H. Effect of heat-inactivated compound probiotics on growth performance, plasma biochemical indices, and cecal microbiome in yellow-feathered broilers. Front. Microbiol. 2020, 11, 585623. [Google Scholar] [CrossRef]
- Rabie, M.; Ismail, F.; Sherif, S.K. Effect of dietary energy level with probiotic enzyme addition on performance; nutrient digestibility; carcass traits of broilers. Egypt. Poult. Sci. J. 2010, 30, 179–201. [Google Scholar]
- Abdel-Azeem, F. Digestion, neomycin, yeast supplementation in broiler diets under Egyptian summer conditions. Egypt. Poult. Sci. J. 2002, 22, 235–257. [Google Scholar]
- Arreguin-Nava, M.A.; Graham, B.D.; Adhikari, B.; Agnello, M.; Selby, C.M.; Hernez-Velasco, X.; Vuong, C.N.; Solis-Cruz, B.; Hernez-Patlan, D.; Latorre, J.D. Evaluation of in ovo Bacillus spp. based probiotic administration on horizontal transmission of virulent Escherichia coli in neonatal broiler chickens. Poult. Sci. 2019, 98, 6483–6491. [Google Scholar] [CrossRef]
- Abdel-Moneim, A.M.E.; Elbaz, A.M.; Khidr, R.E.S.; Badri, F.B. Effect of in ovo inoculation of Bifidobacterium spp. on growth performance, thyroid activity, ileum histomorphometry, microbial enumeration of broilers. Probiotics Antimicrob. Proteins 2020, 12, 873–882. [Google Scholar] [CrossRef]
- Shehata, A.M.; Paswan, V.K.; Attia, Y.A.; Abdel-Moneim, A.M.E.; Abougabal, M.S.; Sharaf, M.; Elmazoudy, R.; Alghafari, W.T.; Osman, M.A.; Farag, M.R. Managing Gut Microbiota through In Ovo Nutrition Influences Early-Life Programming in Broiler Chickens. Animals 2021, 11, 3491. [Google Scholar] [CrossRef] [PubMed]
- Skjøt-Rasmussen, L.; Svang, D.; Blanch, A.; Nielsen, J.M.; Styrishave, T.; Schnabl, J.; Brockmann, E.; Beck, C.N.; Kiess, A.S. Post hatch recovery of a probiotic Enterococcus faecium strain in the yolk sac, intestinal tract of broiler chickens after in ovo injection. FEMS Microbiol. Lett. 2019, 366, fnz078. [Google Scholar] [CrossRef] [PubMed]
- Li, T.; Claudia, D.; Castañeda, J.M.; Chris, D.; Aaron, S.K.; Li, Z. Effects of in ovo probiotic administration on the incidence of avian pathogenic Escherichia coli in broilers and an evaluation on its virulence and antimicrobial resistance properties. Poult. Sci. 2021, 100, 100903. [Google Scholar] [CrossRef] [PubMed]
- Ahmad, I.; Mashwani, Z.U.; Raja, N.I.; Kazmi, A.; Wahab, A.; Ali, A.; Younas, Z.; Yaqoob, S.; Rahimi, M. Comprehensive Approaches of Nanoparticles for Growth Performance and Health Benefits in Poultry An Update on the Current Scenario. BioMed Res. Int. 2022, 17, 9539908. [Google Scholar] [CrossRef]
- Cho, K.H.; Park, J.E.; Osaka, T.; Park, S.G. The study of antimicrobial activity and preservative effects of Nano-Silver ingredient. Electrochim. Acta 2005, 51, 956–960. [Google Scholar] [CrossRef]







| Items | Treatments | SEM | p-Value | ||||
|---|---|---|---|---|---|---|---|
| Control-N | Control-P | Nano-Ag | Probiotics | Combination | |||
| Carcass% | 32.091 b | 33.713 b | 38.122 ab | 47.196 a | 41.558 a | 1.577 | 0.003 |
| Liver% | 2.842 | 2.753 | 2.970 | 2.847 | 2.866 | 0.042 | 0.669 |
| Heart% | 0.643 | 0.708 | 0.669 | 0.692 | 0.674 | 0.009 | 0.236 |
| Gizzard% | 4.883 | 5.209 | 5.127 | 5.109 | 5.144 | 0.103 | 0.916 |
| Intestine% | 4.226 | 4.397 | 4.154 | 4.568 | 4.532 | 0.105 | 0.721 |
| Cecum% | 1.424 | 1.427 | 1.580 | 1.583 | 1.579 | 0.045 | 0.647 |
| Proventriculus% | 0.996 | 1.049 | 0.935 | 1.137 | 1.037 | 0.029 | 0.273 |
Disclaimer/Publisher’s Note: The statements, opinions and data contained in all publications are solely those of the individual author(s) and contributor(s) and not of MDPI and/or the editor(s). MDPI and/or the editor(s) disclaim responsibility for any injury to people or property resulting from any ideas, methods, instructions or products referred to in the content. |
© 2023 by the authors. Licensee MDPI, Basel, Switzerland. This article is an open access article distributed under the terms and conditions of the Creative Commons Attribution (CC BY) license (https://creativecommons.org/licenses/by/4.0/).
Share and Cite
Ahmed, M.M.N.; Ismail, Z.S.H.; Elwardany, I.; Lohakare, J.; Abdel-Wareth, A.A.A. In Ovo Feeding Techniques of Green Nanoparticles of Silver and Probiotics: Evaluation of Performance, Physiological, and Microbiological Responses of Hatched One-Day-Old Broiler Chicks. Animals 2023, 13, 3725. https://doi.org/10.3390/ani13233725
Ahmed MMN, Ismail ZSH, Elwardany I, Lohakare J, Abdel-Wareth AAA. In Ovo Feeding Techniques of Green Nanoparticles of Silver and Probiotics: Evaluation of Performance, Physiological, and Microbiological Responses of Hatched One-Day-Old Broiler Chicks. Animals. 2023; 13(23):3725. https://doi.org/10.3390/ani13233725
Chicago/Turabian StyleAhmed, Mervat M. N., Zienhom S. H. Ismail, Ibrahim Elwardany, Jayant Lohakare, and Ahmed A. A. Abdel-Wareth. 2023. "In Ovo Feeding Techniques of Green Nanoparticles of Silver and Probiotics: Evaluation of Performance, Physiological, and Microbiological Responses of Hatched One-Day-Old Broiler Chicks" Animals 13, no. 23: 3725. https://doi.org/10.3390/ani13233725
APA StyleAhmed, M. M. N., Ismail, Z. S. H., Elwardany, I., Lohakare, J., & Abdel-Wareth, A. A. A. (2023). In Ovo Feeding Techniques of Green Nanoparticles of Silver and Probiotics: Evaluation of Performance, Physiological, and Microbiological Responses of Hatched One-Day-Old Broiler Chicks. Animals, 13(23), 3725. https://doi.org/10.3390/ani13233725

