Simple Summary
The increased application of chromium compounds in several fields has resulted in elevated levels of toxic hexavalent chromium (Cr6+) in the aquatic environment, thus creating the potential for bioaccumulation of Cr6+ in the tissues as well as eliciting various toxic effects in organisms. The present study investigated the effects of Cr6+ exposure on the tissue distribution, proximate composition, and histopathology of an aquatic mollusk, periwinkle (Littorina littorea). The animals were exposed to sublethal concentrations of Cr6+ (0.42, 0.84, and 4.2 mg/L) for 30 days. Exposure to Cr6+ resulted in changes in the proximate composition and histological architecture of L. littorea. There was a low potential for bioaccumulation of Cr6+ in the tissue of L. littorea. Thus, its consumption did not pose any serious health risks to humans.
Abstract
The increased use of hexavalent chromium (Cr6+) in various industrial applications has contributed to its elevated levels in the environment, especially the aquatic environment. Thus, there is the potential for accumulation of Cr6+ in the tissues of aquatic organisms and consequent toxic effects. The toxic effects of Cr6+ in aquatic organisms have been widely reported; however, little is known about the patterns of tissue accumulation of Cr6+ and its toxicity in aquatic mollusks. Thus, the present study investigated the effects of Cr6+ exposure on the tissue distribution, proximate composition, and histopathology of an aquatic mollusk, periwinkle (Littorina littorea). The animals were exposed to sublethal concentrations of Cr6+ (0.42, 0.84, and 4.2 mg/L) for 30 days, after which the condition index, tissue accumulation, proximate composition, and histopathological effects were determined. The control animals were maintained in a medium that did not contain Cr6+ (0 mg/L). The condition index did not differ significantly among the groups. The levels of Cr6+ in the tissues differed significantly among the different tissue types while there was no significant effect of the exposure concentration, except in the foot tissue. The proximate parameters (protein, carbohydrates, lipid, crude fiber, and moisture contents) differed significantly among the groups. The protein contents of the exposed animals were significantly lower than those of the control animals and the histological architecture of the major organs was altered in the chromium-exposed animals. The findings from this study indicate a low potential of L. littorea to bioaccumulate Cr6+ in its tissues at the low exposure concentrations tested in this study; as such, its consumption may not pose any serious health risks to humans. However, changes in the proximate composition and histological architecture of the exposed L. littorea show that Cr6+ is potentially toxic to periwinkles.
1. Introduction
Hexavalent chromium (Cr6+) is one of the stable oxidation states of the transition metal chromium, and the adjudged most toxic of all its oxidation states [1,2]. Hexavalent chromium has been listed as a chemical of public health concern [3,4,5]. Similarly, it has been rated as a group 1 carcinogen by the International Agency for Research on Cancer (IARC) [6,7]. The environmental levels of hexavalent chromium compounds have increased tremendously in recent years due to their industrial applications in the production of stainless steel, leather tanning, wood preservation, electroplating, etc. [8]. The United States annual production of sodium dichromate in the year 2015 was put at 280 million pounds [9]. Hence, hexavalent chromium has been detected in industrial effluents in different parts of the world at levels that were above the permissible limit of 20 µg/L in drinking water [10,11,12]. Specifically, a concentration as high as 7.65 mg/L of chromium was detected at a site that was close to a tannery in Uttar Pradesh, India [13].
The aquatic ecosystems mostly serve as the repository for the discharged environmental contaminants, which predisposes resident organisms to various physiological disturbances and ultimately death [14,15]. The toxic effects of hexavalent chromium on aquatic organisms have been reported; the exposure of Indian major carp (Catla catla) to a sublethal concentration of hexavalent chromium resulted in increased frequencies of micro- and binucleated erythrocytes, as well as increased DNA in the DNA tail [16]. Similarly, Nagpure et al. [17] showed that the exposure of a freshwater fish, Labeo rohita to sublethal concentrations of hexavalent chromium resulted in an increased percentage tail DNA in the erythrocytes and gills of the exposed fish compared to the control fish, and thus concluded that hexavalent chromium was genotoxic to the fish. The acute exposure of tadpoles of Lithobates catesbeianus to 4, 12 or 36 mg/L hexavalent chromium resulted in significantly higher frequencies of micronuclei and induction of histopathological lesions such as necrosis, hepatocytes with pyknotic nuclei, loss of cellular integrity, inflammatory infiltrates, congested sinusoids, and the presence of melanomacrophages in the liver and inflammatory infiltrates, granulomas, tubular and glomerular hypertrophy, and tubular necrosis in the kidney of the exposed tadpoles [18]. Fernando et al. [19] reported that the chronic exposure of the tadpoles and adults of the Asian common toad, Duttaphrynus melanostictus to sublethal concentrations of hexavalent chromium (0.002–2.0 mg/L) altered its hematological parameters, and caused a significant increase in the frequencies of erythrocytic micronuclei and the percentage tail DNA. In the Olive Flounder, Paralichthys olivaceus, exposure to 1.0 or 2.0 mg/L waterborne hexavalent chromium caused increased activities of enzymes involved in redox homeostasis as well as immune dysfunction evidenced in reduced activity of lysozyme and immunoglobulin M levels [20]. Also, the exposure of the bivalve, Venus verrucosa to 1, 10, or 100 µg/L hexavalent chromium for 7 days resulted in oxidative stress and altered the fatty acids composition [21].
Periwinkles are gastropods that are commonly found in the intertidal zones, and are an important source of dietary proteins for humans and other animals [22,23]. A number of studies have shown that periwinkles have the potential to bioaccumulate toxicants, especially metals in their tissues [24,25], and since metals react strongly with biological systems, this may result in damage to body cells and tissues. The details of tissue accumulation patterns of hexavalent chromium and the damage to tissues in periwinkle are not fully understood. Furthermore, there are reports that the nutritive values of edible aquatic organisms are compromised due to exposure to toxicants [26,27]. However, there is a paucity of information on the effects of exposure to hexavalent chromium on the proximate composition of periwinkles. It is against this background that this study aimed to investigate the effects of exposure to hexavalent chromium on the proximate compositions of periwinkles. The tissue distribution of hexavalent chromium, and the histopathological analyses of major tissues of the periwinkle, L. littorea were performed.
2. Materials and Methods
2.1. Experimental Organism
The periwinkles (Shell length: 4–5 cm; average weight: 4.2 ± 0.8 g) used in this study were obtained from brackish water in Abealala, Ilaje Local Government, Ondo State, Nigeria (6°21′18″ N 4°66′10″ E). The environmental salinity at the point of the collection was determined in situ and was found to be 7.9 ppt. Water samples were collected at the collection point, and both the periwinkles and water samples were transported in clean plastic containers to the Postgraduate Research Laboratory, Department of Biology of the Federal University of Technology, Akure, Nigeria. The organisms were allowed to acclimatize to the laboratory environment for fourteen (14) days prior to commencement of experiments, and fed with water leaf, Talinum triangulare. The background concentration of total chromium in water samples collected from the collection point was found to be 0.3 mg/L using atomic absorption spectrophotometry.
2.2. Laboratory Exposure of Periwinkles to Hexavalent Chromium
Firstly, the laboratory-acclimatized animals were divided into seven groups and transferred into plastic containers (150 × 80 × 50 mm) and were exposed to 0, 3.5, 7.0. 10.5, 14.0, 17.5, or 21.0 mg/L of Cr6+ for 96 h. The choice of the exposure concentrations was based on previous range-finding experiments performed in the laboratory. The test solutions were prepared from a 1000 mg/L stock solution of hexavalent chromium, which was previously prepared from a potassium dichromate salt. The plastic containers were acid-washed prior to use for experiments. Each container contained twenty experimental organisms, and there were three replicates of each treatment. The animals were monitored for survival during the exposure duration at 24 h intervals. An animal is adjudged dead when completely retracted into its shell or failed to protrude the foot during 15 min of observation. The survival data were subjected to Probit analysis using the Statistics Package for Social Sciences (SPSS), version 21 for the determination of median lethal concentration (LC50).
Thereafter, in another set of experiments, the animals were exposed for thirty (30) days to three sublethal concentrations; 0.42, 0.84, and 4.2 mg/L being 1/20, 1/10, and ½ of the 96 h LC50 of Cr6+, respectively. The animals were exposed to sublethal concentrations to enhance survival during the exposure duration. The exposure medium was changed every four days during the experiment to prevent the accumulation of excretory products in the experimental medium. The animals’ exposure to Cr6+ was performed in plastic containers (150 × 80 × 50 mm), with twenty animals per container, and there were three replicates of each treatment. The control animals were maintained in water not contaminated with Cr6+. The containers were covered with muslin cloth to allow for access to oxygen but prevented the animals from escaping during experiments. At the end of the exposure, representative samples of the animals were crushed, and the soft tissues were excised, and frozen at −20 °C for later determination of proximate composition and metal accumulation in the tissues. A portion of each tissue was fixed in formaldehyde for histopathological analysis.
2.3. Determination of Levels of Chromium in Periwinkle Tissues
The level of chromium was determined following the procedures described by Adeyemi and Deaton [28], with minor modifications. The excised soft tissues (head, gill, mantle, foot, and intestine) were rinsed with deionized water and dried in an oven at 60 °C for 48 h in order to obtain a constant weight. The dried tissues were subsequently digested in a mixture of nitric acid and hydrochloric acid (ratio 1:3 v/v), and the digests were made up to volume with distilled water. The total chromium in the tissue digests was determined using a flame atomic absorption spectrophotometer (Buck 235). The calibration curve was obtained by plotting the absorbance values against the concentrations of working standard solutions (0.5–10 mg/L), which were prepared from a 1000 mg/L stock solution. The absorbance value of the reagent blank was determined ten times, and the method’s limit of detection was determined using the formula:
where LOD is the limit of detection, SD is the standard deviation of 10 blank determinations and m is the slope of the calibration curve. The LOD was found to be 0.092 ± 0.06 mg/L.
LOD = 3 SD/m
2.4. Determination of Condition Index (CI)
At the end of the 30-day exposure, 20 animals were sub-sampled from each experimental group, and the total wet weights of the soft tissue and the whole organism were determined using a weighing balance (JA3003 model). The condition index (CI) was determined following the method of Michel et al. [29] as follows:
CI = (wet weight of soft tissue/wet weight of the whole organism) × 100
2.5. Determination of Proximate Compositions of Periwinkle Tissues
The proximate compositions of the periwinkles were determined according to the methods of the Association of Official Analytical Chemists [30]. The proximate parameters determined were moisture, ash, carbohydrate, crude fiber, and crude protein. The ash content was determined by drying the tissues in an oven at 550 °C for 20 h until a white residue was obtained. The moisture content in the fish tissue was estimated by drying the samples in an oven, set at 105 °C for 8 h until a constant weight was obtained. The moisture content is the difference in weight between the wet weight and the dry weight. The protein content was determined by digesting the tissue with sulfuric acid inside a micro-Kjeldahl flask. The tissue digests were then diluted with sodium hydroxide and distilled water. Boric acid was used to collect the released ammonia, and the total nitrogen was determined titrimetrically. The crude fiber content was determined by digesting the sample in sulfuric acid for under reflux. Thereafter, the digests were filtered and washed with hot water. The residues were boiled in potassium hydroxide, filtered, and washed in a mixture of water and acetone, and the residues were dried in the oven at 105 °C, so as to obtain a constant weight. The lipid content was determined by homogenizing about 2 g of the tissues in a chloroform–methanol mixture (2:1 v/v) and then centrifuged at 1000× g for 10 min. The upper layer was gently removed with a Pasteur pipette while the lower portion was allowed to evaporate to dryness, and the weight of the residue was taken. The carbohydrate content was estimated by finding the summation of all the proximate parameters determined and subtracting the sum from 100 g.
2.6. Histopathological Analyses of the Soft Tissue
The procedures described by Adeyemi et al. [31], with slight modifications, were followed for the histopathological analyses. The soft tissues (brain, gills, intestine, foot, and mantle) were fixed in 10% formaldehyde for 24 h, after which they were dehydrated in ethanol gradients. The tissues were then cleared with xylene, and embedded in paraffin wax. Sections of about 7 µm were cut onto clean slides from the embedded tissues using a microtome (AM-202A manual rotary). The slides were then stained with hematoxylin/eosin dyes, and observed under a microscope at ×40 objective, and the photomicrographs of the desired views were taken.
2.7. Data Analysis
Data were presented as the mean ± standard deviation. The survival data obtained from the acute toxicity experiment were subjected to Probit analysis for the determination of median lethal concentration (LC50). The differences in the means of tissue accumulation of hexavalent chromium were tested using a two-way analysis of variance (the factors being the tissue types and exposure concentration) while the differences in the means of data from other parameters were determined using a one-way analysis of variance, and the means were separated using New Duncan’s Multiple Range Test. Statistical significance was assumed at p < 0.05. Statistical analyses were performed using the Statistics Package for Social Sciences (SPSS), version 21.
3. Results
3.1. Mortality Rate
The percentage mortality of the periwinkles exposed to different concentrations of Cr6+ is shown in Table 1. The percentage mortality was both concentration- and exposure-duration-dependent. The percentage mortality increased significantly with increasing exposure concentration, at the four exposure time points (p < 0.05). Also, the percentage mortality was higher at longer exposure durations, especially at 72 and 96 h exposure durations.
Table 1.
Percentage mortality of L. littorea exposed to hexavalent chromium (Cr6+).
3.2. Condition Index (CI)
The condition index of L. littorea exposed to sublethal concentrations of Cr6+ is presented in Figure 1. The condition index did not differ significantly (p > 0.05) among the groups.
Figure 1.
The condition index of L. littorea exposed to sublethal concentrations of Cr6+. Each bar is the mean ± standard deviation of three replicates. Bars represented with the same alphabets are not significantly different.
3.3. Tissue Accumulation of Total Chromium in L. littorea Exposed to Sublethal Concentrations
Table 2 shows the levels of total chromium in the brain, gills, mantle, foot, and intestine of L. littorea exposed to sublethal concentrations of Cr6+. The exposure concentration did not have a significant effect on the accumulation of total chromium in the tissues of L. littorea except in the foot where the level of chromium increased significantly at the highest concentration (4.2 mg/L). For all the exposure concentrations and the control, the total levels of chromium differed significantly among the tissues (p < 0.05). Specifically, the levels of total chromium were highest in the brain followed by the intestine, and least in the foot. The total chromium tissue accumulation ranges were 0.67–0.78, 0.30–0.48, 0.40–0.48, 0.57–0.69, and 0.46–0.58 µg/g in the brain, foot, gills, intestine, and mantle, respectively.
Table 2.
Total chromium (µg/g) in the different tissues of L. littorea sublethal concentrations of Cr6+.
3.4. Proximate Compositions of the Tissues
The proximate compositions of the tissues of L. littorea exposed to sublethal concentrations of hexavalent chromium are presented in Table 3. Overall, the protein contents in the tissues decreased significantly with increasing exposure concentration except in the mantle where the protein levels were statistically similar. However, the carbohydrate content increased with increasing exposure concentration except in the mantle where the carbohydrate levels decreased significantly in the group that was exposed to the highest hexavalent chromium concentration (4.2 mg/L). In the brain, the protein and crude fiber contents decreased significantly while the carbohydrate and moisture contents increased significantly in the exposed groups compared to the control (p < 0.05). However, the crude lipid levels were statistically similar for all the exposure groups, except for the group exposed to 0.42 mg/L hexavalent chromium in which the lipid levels were significantly higher. The range values of protein, carbohydrate, lipid, fiber, and moisture were 19.38–29.89, 4.74–9.50, 1.08–2.63, 3.55–6.05, and 58–64%, respectively.
Table 3.
Effects of hexavalent chromium on proximate composition of the tissues of L. littorea.
In the foot, the levels of protein decreased significantly in the animals that were exposed to hexavalent chromium while the levels of carbohydrate and crude fiber increased significantly (p < 0.05). There was no significant difference in the moisture contents among the groups (p > 0.05). Additionally, the lipid contents were statistically the same for most of the groups except in the animals that were exposed to 0.42 mg/L in which there was a significant increase in the lipid contents. The range values of protein, carbohydrate, lipid, fiber, and moisture were 19.18–22.68, 11.72–14.07, 1.56–2.90, 2.42–5.86, and 59–61.66%, respectively.
In the gills, the protein contents decreased significantly while the carbohydrate and lipid levels increased significantly in the exposed groups, especially in the animals exposed to 4.2 mg/L (p < 0.05). The crude fiber levels were significantly higher in the animals exposed to 0.42 and 0.8 mg/L hexavalent chromium compared to the control. The moisture content was highest in the animals exposed to 4.2 mg/L hexavalent chromium compared to the other groups. The range values of protein, carbohydrate, lipids, crude fiber, and moisture contents were 15.36–32.15, 2.42–9.36, 1.96–9.85, 2.39–3.80, and 59–67%, respectively.
In the intestine, the percentage of protein, carbohydrate, fiber, and lipids increased significantly in the animals that were exposed to hexavalent chromium especially those exposed to 0.84 and 4.2 mg/L. The moisture content was significantly higher in the animals exposed to the highest concentration compared to the other groups (p < 0.05). The range values of protein, carbohydrate, lipids, crude fiber, and moisture contents were 10.61–28.12, 6.72–10.70, 1.88–7.39, 3.10–8.30, and 59–63%, respectively.
In the mantle, the protein and crude fiber content did not differ significantly among the groups (p > 0.05). There was a significant decrease in the carbohydrate and moisture contents in the exposed animals, especially at the highest exposure concentration while the lipid contents were significantly higher in the exposed animals. The range values of protein, carbohydrate, lipids, crude, and moisture contents were 17.66–18.86, 8.30–11.51, 4.81–10.31, 2.51–3.53, and 59–63%, respectively.
3.5. Histopathology of the Soft Tissues of L. littorea
3.5.1. Brain
Figure 2A–D shows the transverse sections of the brain of L. littorea chronically exposed to 0, 0.42, 0.84, and 4.2 mg/L Cr6+, respectively. Figure 2A shows the normal histology of the brain of L. littorea in which there was no atrophy, and the white and grey matter of the neural cells were clearly shown. The animals exposed to 0.42 mg/L Cr6+ had visible lesions in the brain (Figure 2B). The exposure of L. littorea to 0.84 mg/L resulted in the pia matter becoming widened, as well as the atrophy of neurons at the boundary of grey and white matter (Figure 2C). The animals that were exposed to 4.2 mg/L Cr6+ showed a high degree of deterioration of neural cells and lacked a clear distinction between the grey and white matter (Figure 2D).
Figure 2.
(A–D) are the transverse sections of the brain of L. littorea cronically exposed to 0, 0.42, 0.84, and 4.2 mg/L Cr6+, respectively. Showing MWM: medulla of white matter, ML: molecular layer, CGM: cortex of grey matter, PM: pia mater, PCL: Purkinje cell layer, GCL: granule cell layer, AN: atrophy of neurons and WPM: widened pia mater. The tissues were stained with H&E and viewed at magnification × 40.
3.5.2. Gills
The histological sections of the gills of L. littorea exposed to Cr6+ are shown in Figure 3. The histological sections of the control animals showed the normal histoarchitecture of the gills of L. littorea in which the pillar cells, mucous cells, pavement cells, and erythrocytes are all clearly identified (Figure 3A). The animals that were exposed to 0.42 mg/L Cr6+ showed necrosis and atrophy of secondary lamella of the pavement and pillar cells (Figure 3B). There was atrophy of the secondary lamella in animals exposed to 0.84 and 4.20 mg/L Cr6+ (Figure 3C and Figure 3D, respectively).

Figure 3.
(A–D) are the transverse sections of the gills of L. littorea chronically exposed to 0, 0.42, 0.84, and 4.2 mg/L Cr6+, respectively. Showing P: pillar cells, M: mucous cell, PVC: pavement cells, E: erythrocyte, A: area of atrophy and N: area of necrosis. The arrows in (D) show the secondary lamellae. The tissues were stained with H&E and viewed at magnification × 400.
3.5.3. Mantle
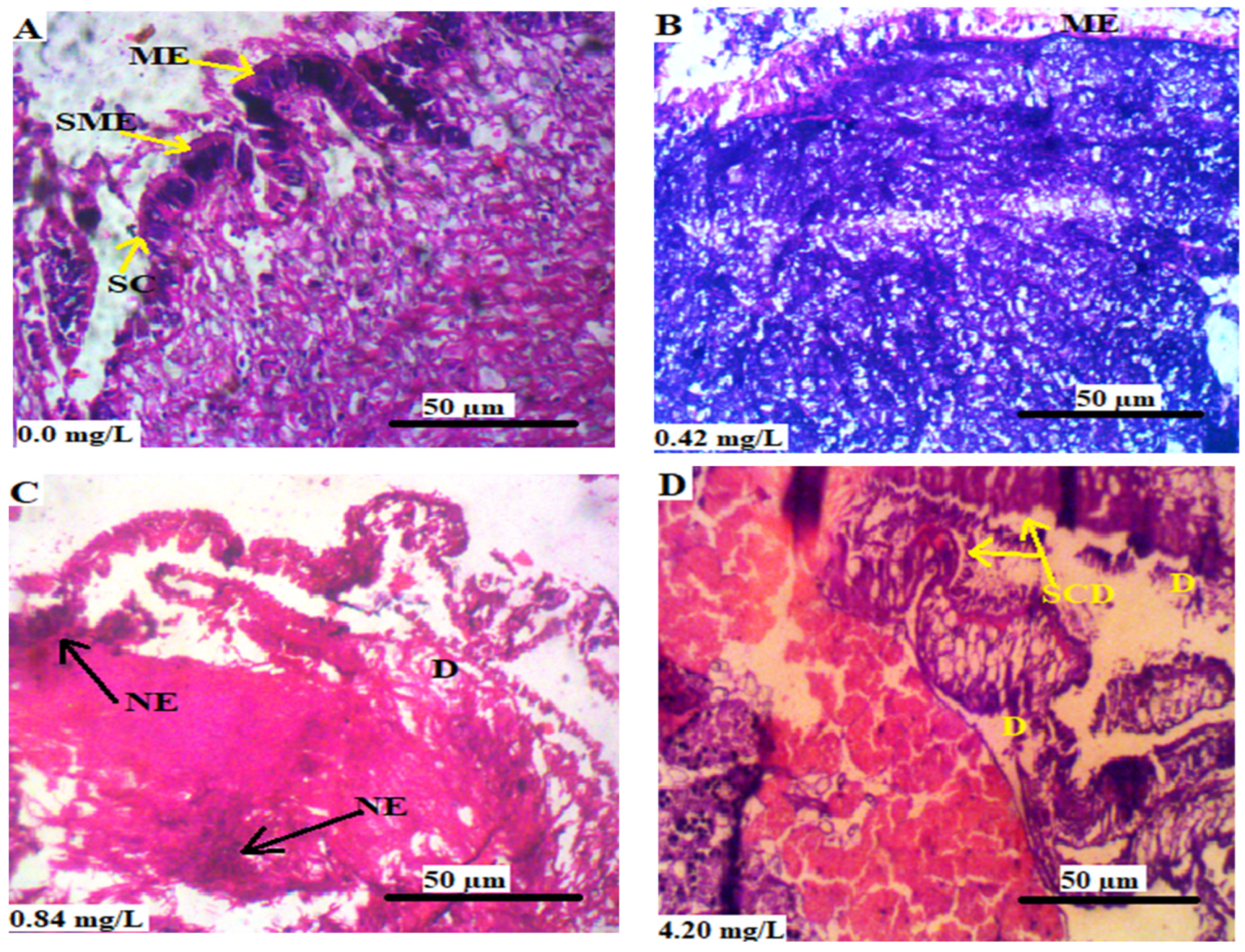
Figure 4 shows the transverse section of the mantle of L. littorea chronically exposed to Cr6+. There was no observable lesion in the section of the mantle of control animals (Figure 4A) and those exposed 0.42 mg/L Cr6+ (B), in which the mantle epithelium (shown in Figure 4A,B) and secretory cells (Figure 4A alone) were visible. There was degeneration of secretory cells and mantle epithelium in the exposed animals (Figure 4C,D).
Figure 4.
(A–D) are the transverse sections of the mantle of L. littorea chronically exposed to 0, 0.42, 0.84, and 4.2 mg/L Cr6+, respectively, for 30 days. Showing SME: secretory mantle epithelium, ME: mantle epithelium, SC: secretory cell, SCD: secretory cells degenerated, NE: necrosis of epithelium and D: area of degeneration. The tissues were stained with H&E and viewed at magnification × 400.
3.5.4. Intestine
The histological sections of the intestine of L. littorea exposed to Cr6+ are shown in Figure 5. The histological section of the control animals did not reveal any observable lesion. The Crypts of Lieberkuhn, ectasia of the intestinal lumen, mucosa, muscularis mucosae, villi, and submucosa were visible (Figure 5A). The animals that were exposed to 0.42 mg/L Cr6+ showed necrosis of the basal cells (Figure 5B). There was a degradation of basal cells and infiltration of hemocytes into the villi in the sections of animals exposed to 0.84 mg/L Cr6+ (Figure 5C). The exposure of L. littorea to 4.2 mg/L Cr6+ resulted in the widening of the lumen as well as ectasia of the villi around the lumen. The epithelial cells of the villi that enclosed the lumen showed some degree of degradation (Figure 5D).
Figure 5.
(A–D) are the transverse sections of the intestinal tissues of L. littorea chronically exposed to 0, 0.42, 0.84, and 4.2 mg/L Cr6+, respectively, for 30 days. Showing B: basal cell, BD: degradation of basal cells CL: Crypts of LieberkÜhn E: ectasia of villi around the intestinal lumen, M: mucosa, MM: muscularis mucosae, V: villi, S: submucosa, IH: infiltration of hemocytes, and N: area of necrosis. The tissues were stained with H&E and viewed at magnification × 400.
3.5.5. Foot
Figure 6 shows the transverse sections of the foot of L. littorea chronically exposed to Cr6+. The control animals showed normal histoarchitecture of the foot in which the hyaline, muscle fibers (myofibers), and epithelium were visible (Figure 6A). The exposed animals showed the atrophy of myofibers (Figure 6B), swelling of the epithelium, and degeneration of myofibers (Figure 6C,D).
Figure 6.
(A–D) are the transverse sections of the foot tissues of L. littorea chronically exposed to 0, 0.42, 0.84, and 4.2 mg/L Cr6+, respectively, for 30 days. Showing H: hyaline, MF: muscle fiber, MSG: mucous-secreting gland, E: epithelium, S: space/gap, AM: atrophy of myofiber, SDM: swelling and degeneration of myofibers, and D: degenerative area. The tissues were stained with H&E and viewed at magnification × 400.
4. Discussion
The results from this study indicate a significant difference in the levels of chromium in the different tissues of the periwinkle, L. littorea. A number of studies have reported the accumulation of toxic hexavalent chromium in the different tissues of aquatic animals [32,33]. The accumulation of metals in the tissues of animals has been shown to depend on factors such as exposure concentration, exposure duration, species, and tissue type [33,34,35]. In the present study, chromium accumulation was highest in the brain, intestine, and mantle of L. littorea. These results were consistent with findings from similar studies that determined the tissue accumulation of metals in aquatic mollusks. Gundacker [36] reported high concentrations of metals such as cadmium, lead, copper, and zinc in the viscera (internal organs including the intestine) of freshwater mollusks. Also, Vernon et al. [37] reported the highest accumulation of metals including chromium in the digestive tract of the marine bivalve, Mytilus galloprovincialis. There have been disparities in the levels and patterns of tissue-specific accumulation of hexavalent chromium in laboratory-exposed aquatic organisms. For example, the gills and digestive glands levels of hexavalent chromium in the bivalve mollusk, Venus verrucosa were 180 and 150 µg/g, respectively, while a tissue concentration as low as 1.73 µg/g in the gills of a fish chronically exposed to 5.3 mg/L hexavalent chromium [21,31]. Comparatively, the levels of hexavalent chromium in the tissues of periwinkles were low ranging from 0.40 to 0.48 µg/g in the gills to 0.67–0.78 µg/g in the brain. This low accumulation of chromium in the soft tissues of L. littorea indicates that the dietary route through consumption of periwinkles does not pose a serious health risk to human health.
The condition index has been routinely used as an indicator of exposure of animals to environmental pollutants [38,39]. The condition index did not differ significantly among the exposure groups in this study. The non-significant difference in the condition index in the exposed animals has also been reported in a study by Neves et al. [38] in which periwinkles were exposed to various concentrations of copper. This may be due to the metabolizing activities of some metal-detoxifying enzymes and proteins such as cytochrome P450 and metallothioneins, which can bind to cytosolic metals, thus reducing their adverse effects in the exposed organisms [40,41,42]. Generally, the condition index decreases in response to exposure to environmental pollutants [38,43], and this may be due to the toxicants interfering with the normal life activities of the animals.
The proximate composition of an animal reveals its nutritive value. Periwinkles are consumed as a delicacy in several parts of the world for their richness in proteins and omega-3 fatty acids [44]. Chronic exposure to hexavalent chromium significantly altered the proximate composition of the animals, especially the protein content, which reduced significantly in all the tissues of the exposed animals, especially at the highest exposure concentration. The decreased protein content in the exposed animals has been reported in other studies [45,46]. The protein content of the fish African catfish decreased significantly following exposure to chlorpyrifos [45]. Also, Sohail et al. [46] reported a significant decrease in the protein contents in the tissues of the freshwater mussel, Anodonta anatina. The decreased protein content could be due to interference of the metal with the process of protein synthesis in the exposed animals [47].
The changes in the histological architecture have been used as indices of the physiological effects of pollutants on organisms [30,31]. The tissue-specific histological changes in animals have been shown to relate to the extent of pollutant accumulation in the tissue [48,49]. In the present study, exposure to hexavalent chromium resulted in several changes in the histological structures of the tissues of L. littorea such as atrophy of neuronal cells, necrosis and atrophy of the gills’ secondary lamellae, degeneration of mantle’s secretory cells, degradation of the villi epithelial cells, and atrophy and degeneration of foot’s myofibers. Although the reports of histopathological effects of hexavalent chromium in periwinkle and aquatic mollusks are scarce, a number of studies have shown that exposure to chromium resulted in histological changes in the tissues of fish and other aquatic animals [18,31,50,51,52]. The histopathological changes are physiological responses to defend the animals against assaults by toxicants [31]. For example, histological changes such as hyperplasia and hypertrophy, and fusion of lamellae have been identified as defense mechanisms to minimize the toxic effects of pollutants in fish [53].
5. Conclusions
The levels of hexavalent chromium differed significantly among the tissue types but this was not due to the exposure concentration since for the levels of hexavalent chromium were statistically similar between the control and the exposed groups for most of the tissues. Exposure to hexavalent chromium caused a significant change in the proximate compositions of the animals. In particular, the protein contents of the exposed animals were significantly lower than those of the control animals. The histological architecture of the major organs was altered in the chromium-exposed animals. Overall, the findings from this study indicate a low potential of L. littorea to bioaccumulate Cr6+ in its tissues; as such, its consumption did not pose any serious health risks to humans. However, changes in the proximate composition and histological architecture of the exposed L. littorea show that Cr6+ is potentially toxic to periwinkles.
Author Contributions
Conceptualization, J.A.A., F.B.J. and C.O.A.; methodology, O.S.S. and T.S.O.; formal analysis, O.S.S. and J.A.A.; investigation, O.S.S. and T.S.O.; resources, J.A.A., F.B.J. and C.O.A.; data curation, O.S.S. and T.S.O.; writing—original draft, O.S.S., J.A.A., T.S.O., F.B.J. and C.O.A.; writing—review and editing, J.A.A., F.B.J. and C.O.A.; supervision, J.A.A., F.B.J. and C.O.A. All authors have read and agreed to the published version of the manuscript.
Funding
This research received no external funding.
Institutional Review Board Statement
The animal study protocol was approved by the Ethics Committee of The Federal University of Technology, Akure, Nigeria (Protocol code: FUTA/ETH/22/91; approved on 9 June 2022).
Informed Consent Statement
Not applicable.
Data Availability Statement
All data sets, on which the conclusions of the manuscript rely on, are present in the results section in the manuscript.
Acknowledgments
The authors appreciate Theophilus A. Jerikre and Ambrose O. Nwagbara of the Histopathology Department, University College Hospital, University of Ibadan, Nigeria for assistance with histopathological analyses.
Conflicts of Interest
The authors declare no conflict of interest.
References
- Stohs, S.J.; Bagchi, D.; Hassoun, E.; Bagchi, M. Oxidative mechanisms in the toxicity of chromium and cadmium ions. J. Environ. Pathol. Toxicol. Oncol. 2001, 20, 201–213. [Google Scholar]
- Alvarez, C.C.; Gómez, M.E.B.; Zavala, A.H. Hexavalent chromium: Regulation and health effects. J. Trace Elem. Med. Biol. 2021, 65, 126729. [Google Scholar]
- Topcuoğlu, S.; Kırbaşoğlu, Ç.; Güngör, N. Heavy metals in organisms and sediments from Turkish Coast of the Black Sea, 1997–1998. Environ. Int. 2002, 27, 521–526. [Google Scholar]
- Agency for Toxic Substances and Disease Registry (ATSDR). Toxicological Profile for Chromium. 2012. Available online: https://www.atsdr.cdc.gov/toxprofiles/tp7.pdf (accessed on 23 August 2023).
- Shekhawat, K.; Chatterjee, S.; Joshi, B. Chromium toxicity and its health hazards. Int. J. Adv. Res. 2015, 3, 167–172. [Google Scholar]
- Rocha, C.A.M.; Cardoso, P.C.S.; Cunha, L.A.; Gomes, C.F.; Ribeiro Junior, R.F.G.; Pinheiro, R.H.; Costa, M.H.P.; Burbano, R.R. Mutagenic effects of potassium dichromate as evaluated by means of animal and plant bioindicators. In Vivo 2015, 29, 729–735. [Google Scholar]
- IARC. Lista de Classificações da IARC. 2018. Available online: http://monographs.iarc.fr/ENG/Classification/latest_classif.php (accessed on 26 August 2023).
- Singh, P.; Itankar, N.; Patil, Y. Biomanagement of hexavalent chromium: Current trends and promising perspectives. J. Environ. Manag. 2021, 279, 111547. [Google Scholar]
- National Toxicological Program. Reports on Carcinogens: Hexavalent Chromium Compounds. 2021. Available online: https://ntp.niehs.nih.gov/sites/default/files/ntp/roc/content/profiles/chromiumhexavalentcompounds.pdf (accessed on 23 August 2023).
- Onchoke, K.K.; Sasu, S.A. Determination of Hexavalent Chromium (Cr (VI)) concentrations via ion chromatography and UV-Vis spectrophotometry in samples collected from Nacogdoches wastewater treatment plant, East Texas (USA). Adv. Environ. Chem. 2016, 2016, 1–10. [Google Scholar]
- Miyake, Y.; Tokumura, M.; Iwazaki, Y.; Wang, Q.; Amagai, T.; Horii, Y.; Otsuka, H.; Tanikawa, N.; Kobayashi, T.; Oguchi, M. Determination of hexavalent chromium concentration in industrial waste incinerator stack gas by using a modified ion chromatography with post-column derivatization method. J. Chromatogr. A. 2017, 1502, 24–29. [Google Scholar]
- Zewdu, F.; Amare, M. Determination of the level of hexavalent, trivalent, and total chromium in the discharged effluent of Bahir Dar tannery using ICP-OES and UV–Visible spectrometry. Cogent Chem. 2018, 4, 1534566. [Google Scholar]
- Chowdhary, P.; Yadav, A.; Singh, R.; Chandra, R.; Singh, D.P.; Raj, A.; Bharagava, R.N. Stress response of Triticum aestivum L. and Brassica juncea L. against heavy metals growing at distillery and tannery wastewater contaminated site. Chemosphere 2018, 206, 122–131. [Google Scholar]
- Sardiña, P.; Leahy, P.; Metzeling, L.; Stevenson, G.; Hinwood, A. Emerging and legacy contaminants across land-use gradients and the risk to aquatic ecosystems. Sci. Total Environ. 2019, 695, 133842. [Google Scholar]
- Uddin, S.; Fowler, S.W.; Behbehani, M. An assessment of microplastic inputs into the aquatic environment from wastewater streams. Mar. Pollut. Bull. 2020, 160, 111538. [Google Scholar]
- Arunachalam, K.D.; Annamalai, S.K.; Kuruva, J.K. In vivo evaluation of hexavalent chromium induced DNA damage by alkaline comet assay and oxidative stress in Catla catla. Am. J. Environ. Sci. 2013, 9, 470–482. [Google Scholar]
- Nagpure, N.S.; Srivastava, R.; Kumar, R.; Kushwaha, B.; Srivastava, S.K.; Kumar, P.; Dabas, A. Assessment of genotoxic and mutagenic potential of hexavalent chromium in the freshwater fish Labeo rohita (Hamilton, 1822). Drug Chem. Toxicol. 2015, 38, 9–15. [Google Scholar]
- Monteiro, J.A.D.N.; Cunha, L.A.D.; Costa, M.H.P.D.; Reis, H.S.D.; Aguiar, A.C.D.S.; Oliveira-Bahia, V.R.L.; Burbano, R.M.R.; Rocha, C.A.M.D. Mutagenic and histopathological effects of hexavalent chromium in tadpoles of Lithobates catesbeianus (Shaw, 1802) (Anura, Ranidae). Ecotoxicol. Environ. Saf. 2018, 163, 400–407. [Google Scholar]
- Fernando, V.A.; Weerasena, J.; Lakraj, G.P.; Perera, I.C.; Dangalle, C.D.; Handunnetti, S.; Wijesinghe, M.R. Lethal and sub-lethal effects on the Asian common toad Duttaphrynus melanostictus from exposure to hexavalent chromium. Aquat. Toxicol. 2016, 177, 98–105. [Google Scholar]
- Lee, J.W.; Kim, J.H.; Lee, D.C.; Lim, H.J.; Kang, J.C. Toxic effects on oxidative stress, neurotoxicity, stress, and immune responses in juvenile olive flounder, Paralichthys olivaceus, exposed to waterborne hexavalent chromium. Biology 2022, 11, 766. [Google Scholar]
- Chaâbane, M.; Bejaoui, S.; Trabelsi, W.; Telahigue, K.; Chetoui, I.; Chalghaf, M.; Zeghal, N.; Soudani, N. The potential toxic effects of hexavalent chromium on oxidative stress biomarkers and fatty acids profile in soft tissues of Venus verrucosa. Ecotoxicol. Environ. Saf. 2020, 196, 110562. [Google Scholar]
- Ogungbenle, H.N.; Omowole, B.M. Chemical, functional and amino acid composition of periwinkle (Tympanotonus fuscatus var radula) meat. Int. J. Pharm. Sci. Rev. Res. 2012, 13, 128–132. [Google Scholar]
- Nwaka, S.U.; Udoh, J.P. Evaluation of Nutritional Profile of Periwinkle (Tympanotonus fuscatus) from Ekeuku Market, Owerri, Imo State. J. Aquat. Sci. 2022, 37, 63–71. [Google Scholar]
- Noventa, S.; Pavoni, B.; Galloway, T.S. Periwinkle (Littorina littorea) as a sentinel species: A field study integrating chemical and biological analyses. Environ. Sci. Technol. 2011, 45, 2634–2640. [Google Scholar]
- Ololade, I.A.; Lajide, L.; Olumekun, V.O.; Ololade, O.O.; Ejelonu, B.C. Influence of diffuse and chronic metal pollution in water and sediments on edible seafoods within Ondo oil-polluted coastal region, Nigeria. J. Environ. Sci. Health A Toxic/Hazard. Subst. Environ. Eng. 2011, 46, 898–908. [Google Scholar]
- Ayanda, I.O.; Ekhator, U.I.; Bello, O.A. Determination of selected heavy metal and analysis of proximate composition in some fish species from Ogun River, Southwestern Nigeria. Heliyon 2019, 5, e02512. [Google Scholar]
- Ghazala, G.; Sultana, S.; Al-Ghanim, K.A.; Mahboob, S. The effect of profenofos on the nutritive composition of major carp for estimating maximum allowable toxicant concentration of the pesticide. Pol. J. Environ. Stud. 2019, 28, 1127–1133. [Google Scholar]
- Adeyemi, J.A.; Deaton, L.E. The effect of cadmium exposure on digestive enzymes in the Eastern oyster Crassostrea virginica. J. Shellfish Res. 2012, 31, 631–634. [Google Scholar]
- Michel, C.; Bourgeault, A.; Gourlay-Francé, C.; Palais, F.; Geffard, A.; Vincent-Hubert, F. Seasonal and PAH impact on DNA strand-break levels in gills of transplanted zebra mussels. Ecotoxicol. Environ. Saf. 2013, 92, 18–26. [Google Scholar]
- AOAC. Association of Official Analytical Chemist, Official Methods of Analysis, 18th ed.; AOAC International: Gaithersburg, ML, USA, 2005. [Google Scholar]
- Adeyemi, J.A.; Olise, C.C.; Bamidele, O.S.; Akinola, B.K. Effect of ultraviolet photoxidation of cypermethrin on the activities of phosphatases and digestive enzymes, and intestinal histopathology in African cat fish, Clarias gariepinus (Burchell, 1822). J. Exp. Zool. 2020, 333, 543–549. [Google Scholar]
- Jindal, R.; Handa, K. Hexavalent chromium-induced toxic effects on the antioxidant levels, histopathological alterations and expression of Nrf2 and MT2 genes in the branchial tissue of Ctenopharyngodon idellus. Chemosphere 2019, 230, 144–156. [Google Scholar]
- Aliu, C.; Ajayi, O.O.; Olawuyi, T.S.; Gbadamosi, O.K.; Barbosa, F.; Adedire, C.O.; Adeyemi, J.A. Tissue accumulation, cytotoxicity, oxidative stress, and immunotoxicity in African catfish, Clarias gariepinus exposed to sublethal concentrations of hexavalent chromium. Biol. Trace Elem. Res. 2023, 1–14. [Google Scholar] [CrossRef]
- Kuehr, S.; Kosfeld, V.; Schlechtriem, C. Bioaccumulation assessment of nanomaterials using freshwater invertebrate species. Environ. Sci. Europe. 2021, 33, 1–36. [Google Scholar]
- Shahjahan, M.; Taslima, K.; Rahman, M.S.; Al-Emran, M.; Alam, S.I.; Faggio, C. Effects of heavy metals on fish physiology—A review. Chemosphere 2022, 300, 134519. [Google Scholar]
- Gundacker, C. Comparison of heavy metal bioaccumulation in freshwater molluscs of urban river habitats in Vienna. Environ. Pollut. 2000, 110, 61–71. [Google Scholar]
- Vernon, E.L.; Jha, A.N.; Ferreira, M.F.; Slomberg, D.L.; Malard, V.; Grisolia, C.; Payet, M.; Turner, A. Bioaccumulation, release and genotoxicity of stainless steel particles in marine bivalve molluscs. Chemosphere 2022, 303, 134914. [Google Scholar]
- Neves, R.A.F.; Valentin, J.L.; Figueiredo, G.M.; Hegaret, H. Responses of the common periwinkle Littorina littorea to exposure to the toxic dinoflagellate Alexandrium minutum. J. Mollus. Stud. 2015, 81, 308–311. [Google Scholar]
- Świacka, K.; Michnowska, A.; Maculewicz, J.; Caban, M.; Smolarz, K. Toxic effects of NSAIDs in non-target species: A review from the perspective of the aquatic environment. Environ. Pollut. 2021, 273, 115891. [Google Scholar]
- Gorbi, S.; Baldini, C.; Regoli, F. Seasonal variability of metallothioneins, cytochrome P450, bile metabolites and oxyradical metabolism in the European eel Anguilla anguilla L.(Anguillidae) and striped mullet Mugil cephalus L. (Mugilidae). Arch. Environ. Contam. Toxicol. 2005, 49, 62–70. [Google Scholar]
- Dai, Y.; Zhang, Y.; Sun, W.; Chen, Y.; Wang, X.; Xin, T.; Wan, B.; Xia, B.; Zhong, L.; Zou, Z. The metabolism and detoxification effects of lead exposure on Aleurolyphus ovatus (Acari: Acaridae) via transcriptome analysis. Chemosphere 2023, 333, 138886. [Google Scholar]
- Velma, V.; Tchounwou, P.B. Chromium-induced biochemical, genotoxic and histopathologic effects in liver and kidney of goldfish, Carassius auratus. Mutat. Res. 2010, 698, 43–51. [Google Scholar]
- Domingues, I.; Oliveira, R.; Lourenço, J.; Grisolia, C.K.; Mendo, S.; Soares, A.M.V.M. Biomarkers as a tool to assess effects of chromium (VI): Comparison of responses in zebrafish early life stages and adults. Comp. Biochem. Physiol. C Toxicol. Pharmacol. 2010, 152, 338–345. [Google Scholar]
- Byrd, K.; Fakoya, K.; Akintola, S.; Westlund, L.; Isa, S.; Cohen, P. The Role of Small-Scale Fisheries in Nigeria’s Food System. WorldFish Technical Report. 2022. Available online: https://hdl.handle.net/20.500.12348/5270 (accessed on 23 August 2023).
- Karbalaei, S.; Karami, A.; Ebrahimi, M.; Jahromi, M.F.; Ismail, A.; Liang, J.B.; Simpson, S.L.; Ismail, S.N.S.; Goh, Y.M. Changes in nutritional parameters in diploid and triploid African catfish Clarias gariepinus following chlorpyrifos exposure. Aquat. Biol. 2017, 26, 101–111. [Google Scholar]
- Sohail, M.; Khan, M.N.; Chaudhry, A.S.; Qureshi, N.A. Bioaccumulation of heavy metals and analysis of mineral element alongside proximate composition in foot, gills and mantle of freshwater mussels (Anodonta anatina). Rendiconti Lincei 2016, 27, 687–696. [Google Scholar]
- Jeyanthi, V.; Paul, J.A.J.; Selvi, B.K.; Karmegam, N. Comparative study of biochemical responses in three species of earthworms exposed to pesticide and metal contaminated soil. Environ. Process. 2016, 3, 167–178. [Google Scholar]
- Maurya, P.K.; Malik, D.S.; Yadav, K.K.; Gupta, N.; Kumar, S. Haematological and histological changes in fish Heteropneustes fossilis exposed to pesticides from industrial waste water. Hum. Ecol. Risk Assess. 2019, 25, 1251–1278. [Google Scholar]
- Mustafa, S.A. Histopathology and heavy metal bioaccumulation in some tissues of Luciobarbus xanthopterus collected from Tigris River of Baghdad, Iraq. Egypt. J. Aquat. Res. 2020, 46, 123–129. [Google Scholar]
- Velma, V.; Vutukuru, S.S.; Tchounwou, P.B. Ecotoxicology of hexavalent chromium in freshwater fish: A critical review. Rev. Environ. Health. 2009, 24, 129–145. [Google Scholar]
- Muthukumaravel, K.; Rajaraman, P. A study on the toxicity of chromium on the histology of gill and liver of freshwater fish Labeo rohita. J. Pure Appl. Zool. 2013, 1, 122–126. [Google Scholar]
- Bakshi, A.; Panigrahi, A.K. A comprehensive review on chromium induced alterations in fresh water fishes. Toxicol. Rep. 2018, 5, 440–447. [Google Scholar]
- Rodrigues, S.; Antunes, S.C.; Nunes, B.; Correia, A.T. Histological alterations in gills and liver of rainbow trout (Oncorhynchus mykiss) after exposure to the antibiotic oxytetracycline. Environ. Toxicol. Pharmacol. 2017, 53, 164–176. [Google Scholar]
Disclaimer/Publisher’s Note: The statements, opinions and data contained in all publications are solely those of the individual author(s) and contributor(s) and not of MDPI and/or the editor(s). MDPI and/or the editor(s) disclaim responsibility for any injury to people or property resulting from any ideas, methods, instructions or products referred to in the content. |
© 2023 by the authors. Licensee MDPI, Basel, Switzerland. This article is an open access article distributed under the terms and conditions of the Creative Commons Attribution (CC BY) license (https://creativecommons.org/licenses/by/4.0/).






