Abstract
Simple Summary
Pyometra is a common reproductive disease in dogs that often begins with mild symptoms, but if not promptly treated, it can turn into a threat to life. Despite being frequent, the disease is still not fully understood. In the last few years, studies have contributed to a better comprehension of this disease, raising new hypotheses regarding the epidemiology, bacteria involved, the pre-existing uterine lesions that might be associated, and even a possible influence of one’s diet. In light of this, this work aimed to review the current understanding of canine pyometra, with particular emphasis on the recent research findings.
Abstract
Pyometra, characterized by the accumulation of purulent exudate in the uterus, is the most prevalent reproductive disease in canines. While the disease often begins with mild local symptoms, it can escalate into peritonitis, sepsis, and multi-organ dysfunction, thereby posing a significant threat to life. Despite the high incidence and recognized significance of canine pyometra, gaps persist in our understanding of its epidemiology, etiology, and pathogenesis. Recent studies have, however, broadened our comprehension of this disease, shedding light on potential new infection sources, etiologies, and the application of clinical predictive biomarkers and new therapeutic protocols. This study aimed to review the current understanding of canine pyometra, with particular emphasis on the latest research concerning its etiology and epidemiology. Furthermore, it addressed key research questions and proposed directions for future investigations into various facets of canine pyometra.
1. Introduction
Pyometra is characterized by the accumulation of purulent exudate in the uterine lumen and is the most prevalent reproductive disease in canines []. It typically develops during the luteal phase, with Escherichia coli being the most frequently isolated bacteria [,,]. Other commonly reported microorganisms include Staphylococcus pseudintermedius and Streptococcus canis. Recent studies, however, have suggested the potential involvement of less common pathogens, including Brucella abortus, Corynebacterium spp., and possibly Porphyromonas spp. [,].
Canine pyometra typically begins with subtle clinical signs such as polydipsia, polyuria, and vaginal discharge. Without timely treatment, it can progress to peritonitis, sepsis, and the dysfunction of multiple organs [,]. Consequently, it is regarded as a life-threatening infection [,,].
Despite the prevalent occurrence and recognized significance of canine pyometra, our understanding of its epidemiology, etiology, and pathogenesis remains incomplete. Recent studies have broadened our knowledge of this disease, identifying potential new infection sources, causes, and biomarkers that could aid in predicting its prognosis and severity. Consequently, this review aimed to consolidate the current knowledge on canine pyometra, with particular emphasis on the latest research concerning its etiology and epidemiology.
2. Epidemiology and Risk Factors
Pyometra, a bacterial infection in the uterus, is the most prevalent reproductive disease in dogs, impacting up to 25% of non-castrated females []. This disease is characterized by a bacterial infection in the uterus that results in local and systemic clinical signs [,,]. Although pyometra can occur in dogs ranging from 3 months to 20 years old, it predominantly affects middle-aged to older dogs (Figure 1), with a median diagnosis age of nine years [,,]. The higher incidence of pyometra in middle-aged to older dogs is thought to be associated with repeated estrous cycles. During diestrus, progesterone enhances the secretory activity of the endometrial glands, promotes endometrial proliferation, diminishes myometrium contractility, and induces cervix closure []. Additionally, diestrus also reduces local leukocyte responses and uterine resistance to bacterial infection [,]. These effects, which accumulate after repeated estrous cycles, escalate the risk of pyometra with each cycle [,,].

Figure 1.
Infographic summarizing the possible risk factors and features of canine pyometra. 1—Some breeds may be more predisposed to pyometra [,,]. 2—Although pyometra is primarily caused by microorganisms from the gastrointestinal tract, recent studies have suggested that other sources, including those that are hematogenous, are potential contributors [,]. 3—The most common bacteria involved in pyometra is phylogroup B2 E. coli, which ascend from the rectum microbiota to the uterus [,,]. 4—Diet seems to impact the frequency of phylogroup B2 E. coli []. 5—Transmission of E. coli-causing-pyometra to another susceptible individual in the same household was recently reported []. 6—Administration of steroid hormones increases the risk of pyometra [,,,]. 7—A higher occurrence of pyometra is seen in animals around seven years of age, but the disease has been described in animals ranging in age from three months to 20 years [,,,]. Created using BioRender® (https://www.biorender.com/).
Some studies suggest that certain breeds may be more susceptible to pyometra (Table 1) [,,,]. However, the prevalence of pyometra appears to fluctuate according to studies conducted across various countries, and the hypothesis of breed predisposition remains speculative. Recent research involving Golden Retrievers has identified a potential correlation between pyometra and specific changes in the ABCC4 gene located on chromosome 22 [,]. This discovery introduces, for the first time, a potential explanation for the increased incidence of pyometra in a particular breed. Despite this finding, there remains no definitive evidence of breed predisposition to pyometra, and the reasons for its higher prevalence in some breeds largely remain a mystery.

Table 1.
Reported frequency of dog breeds affected by pyometra.
The administration of drugs used for reproductive control, such as progestogens or estrogen compounds, is a recognized predisposing factor for canine pyometra [,,,]. These drugs, which suppress the sexual receptivity phase in female dogs, have been linked to an increased risk of pyometra and other conditions, including fetal maceration, endometrial and mammary tumors, and insulin resistance [,,]. Hormonal effects, which intensify over time, may account for the higher incidence of pyometra in animals over seven years of age [,].
3. Etiopathogenesis
Despite the high incidence of canine pyometra, its pathogenesis remains inadequately understood. It is evident, however, that this pathogenesis is multifactorial, involving bacterial infection, hormonal changes (or a favorable endocrine environment), genetic predisposition, and pre-existing uterine lesions []. During the luteal phase of the estrous cycle (diestrus), progesterone stimulates the proliferation and secretion of endometrial glands. Moreover, progesterone inhibits myometrial contraction and weakens the uterine immune response, thereby promoting bacterial colonization [,,]. Early studies on the pathogenesis of canine pyometra established a connection between hormonal stimulation and the occurrence of pyometra []. At that time, cystic endometrial hyperplasia was considered a predisposing endometrial lesion leading to pyometra under experimental conditions []. However, it was later discovered that, in addition to cystic endometrial hyperplasia, bitches in diestrus often develop another type of proliferative change in the endometrium. This change is characterized by endometrial hyperplasia with glandular cystic changes and decidual changes affecting the superficial endometrial epithelium, termed “pseudoplacentational endometrial hyperplasia” (Figure 2A,B) []. A recent study showed that in naturally occurring canine pyometra, pseudoplacentational endometrial hyperplasia is significantly associated with pyometra, whereas cystic endometrial hyperplasia is not []. Notably, despite this significant association, a cause-and-effect relationship between pseudoplacentational endometrial hyperplasia and pyometra has yet to be established [,]. These recent findings [] suggest that the traditional terminology of the “cystic endometrial hyperplasia-pyometra complex” is outdated []. However, this should not be misinterpreted as diminishing the importance of endometrial hyperplastic changes in the pathogenesis of canine pyometra.

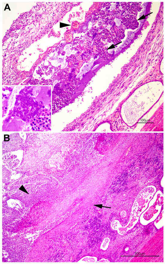
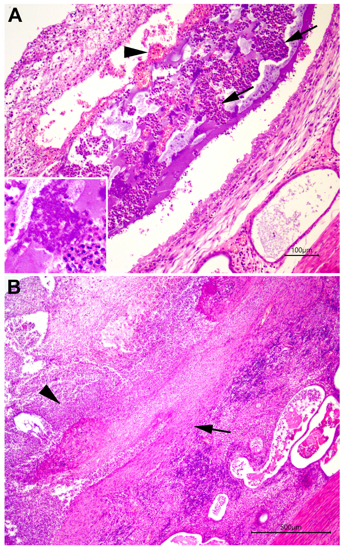
Figure 2.
Uterus from a female dog with pyometra. (A) Endometrium with diffuse severe neutrophilic inflammatory infiltrates (arrows); hemorrhage (arrowhead), fibrin, and intraluminal bacterial aggregates (inset); and a columnar and vacuolated endometrial superficial epithelium (decidual reaction) and ectasia of endometrial glands in a case of pseudo-placentacional endometrial hyperplasia. HE; bar = 100 μm. (B) Endometrium with necrosis and superficial epithelial loss (arrow), with a diffuse severe neutrophilic inflammatory (arrowhead) infiltrate and mild hemorrhage. Endometrium with diffuse severe interstitial lymphoplasmacytic inflammation and marked glandular ectasia. HE; bar = 500 μm.
A broad spectrum of bacteria can contribute to pyometra in dogs [,]. E. coli is among the most prevalent microorganisms, implicated in up to 90% of canine pyometra cases (Table 2). This Gram-negative facultative anaerobic bacterium is also the primary pathogen in uterine infections across various species, including humans [,,]. As E. coli is a component of the gut microbiota, it has been postulated that this microorganism can ascend from the rectum to the uterus, thereby causing this disease. This theory has been substantiated by studies demonstrating that the E. coli strains responsible for pyometra are often indistinguishable from those colonizing the gastrointestinal tract of the same dog [,,]. Intriguingly, most dogs with pyometra are gut-colonized specifically by E. coli from phylogroup B2 [], the same phylogroup frequently isolated from the uterine contents of affected animals [,,]. Conversely, healthy dogs are more commonly gut-colonized by other phylogroups, including B1 [,,]. This observation has led to the hypothesis that colonization by certain E. coli strains may elevate the risk of pyometra. In this context, a recent study demonstrated that diet can influence the colonization rate by E. coli from phylogroup B2 in the gut, suggesting that certain diets may indirectly heighten the risk of pyometra. If this hypothesis is further validated, strategies for altering or modulating the microbiota could provide an additional means of preventing or reducing the risk of pyometra [].

Table 2.
Most common bacterial species isolated from the uterus of female dogs with pyometra.
In addition to phylogroup studies, researchers have examined the presence of virulence factors in E. coli isolated from canine pyometra. Some suggest that the possession of a specific combination of virulence genes may determine the severity of pyometra in female dogs [,]. Among these virulence factors, the gene encoding type P fimbriae (papC) has recently attracted considerable attention. Firstly, the prevalence of this gene is often higher in E. coli isolates from dogs with pyometra (ranging between 36.5 and 44.1%) compared to strains from the gut of healthy dogs (ranging between 18.2 and 29.2%) [,]. Secondly, experimental studies have shown that this fimbria plays a crucial role in the adhesion and colonization of E. coli in the canine endometrium []. A recent study also revealed a higher degree of uterine necrosis in dogs with pyometra caused by E. coli papC-positive strains. Interestingly, the degree of necrosis was positively correlated with the duration of hospitalization, suggesting a potential link between this fimbria and disease severity []. Another study proposed that uterine E. coli infection could alter the expression of sex hormone receptors in the uterus of female dogs, thereby enhancing the hormonal factors that promote bacterial growth []. Collectively, these studies strongly suggest that certain E. coli strains, possessing specific virulence traits, may be more likely to cause canine pyometra by facilitating tissue colonization and even modifying the uterine environment so that infection is favored. Further research is required to better understand the influence of the gut microbiota and diet on colonization by pyometra-causing E. coli.
In addition to E. coli, other members of the Enterobacteriaceae family, such as Klebsiella pneumoniae and Proteus mirabilis, are frequently implicated in pyometra. Bacteria from the Streptococcus, Staphylococcus, and Enterococcus genera are also noteworthy (Table 2). Studies have demonstrated that, similar to E. coli, K. pneumoniae, S. pseudintermedius, S. canis, and E. faecalis strains isolated from dogs with pyometra differ from most commensal strains. They express virulence factors such as adhesins, toxins, iron acquisition mechanisms, and mechanisms for evading the host immune system. These factors facilitate colonization and sustain the infection in the canine uterus [,,,,].
Studies have intriguingly reported that no microorganisms are isolated in up to 25% of pyometra cases [,,]. Several hypotheses have been proposed to explain this phenomenon, including the host immune system’s elimination of the pathogen, the use of antimicrobials during the preoperative period, the low sensitivity of culture methods, and the existence of microorganisms that do not grow in the standard culture media used for routine diagnosis []. This last hypothesis has been reinforced by studies that have identified the presence of some uncommon microorganisms causing pyometra, such as Mycoplasma spp., Nocardia spp., Corynebacterium spp., Moraxella spp., Clostridium perfringens, Porphyromonas spp., and Brucella abortus [,]. While the infection in most cases likely ascends from the gastrointestinal tract, the detection of certain specific bacteria, including Brucella abortus, suggests that other infection routes, such as hematogenous pathways, are also possible [,,]. Notably, Porphyromonas sp. has recently been confirmed as a cause of pyometra, leading to the hypothesis that bacteria typically found in the oral cavity can cause pyometra. Interestingly, Porphyromonas sp. is a well-established cause of reproductive diseases in humans as well as endocarditis, lung, liver, and kidney infections, which can spread through the bloodstream (hematogenously) [,,,,].
4. Clinical Presentation
Pyometra typically manifests with local and systemic clinical signs (Figure 3), generally appearing between two and four-months post-estrus [,,]. The most prevalent clinical symptom in dogs with open pyometra is the presence of vaginal discharge that ranges from mucopurulent to hemorrhagic in nature (Figure 4) []. Conversely, dogs with a closed cervix often exhibit abdominal distention owing to the lack of uterine content drainage (Figure 5) [].
Clinical findings in pyometra cases can vary, but they commonly include inappetence/anorexia, depression/lethargy, polydipsia, polyuria, tachycardia, and tachypnea [,,]. Pyometra is a life-threatening condition because of the potential for complications such as uterine rupture, nephropathy, peritonitis, endotoxemia, and, particularly, sepsis [,,].

Figure 3.
Main clinical signs and laboratory findings in female dogs with pyometra, according to previous reports [,,,,,,,]. * AST—Aspartate aminotransferase.

Figure 4.
Purulent vaginal discharge in a bitch with open cervix pyometra.

Figure 5.
Intraoperative image of an enlarged, pus-filled uterus in a bitch (mixed-breed dog) with pyometra.
Notably, fever and hypothermia have been identified as factors increasing the risk of peritonitis development. Concurrently, moderate to severe general depression and pale mucous membranes are linked to extended hospitalization periods []. Furthermore, animals with closed pyometra exhibit a more severe condition and an elevated risk of sepsis [,].
5. Diagnosis
The clinical diagnosis of this disease is often made for cases of open pyometra. However, in the absence of vaginal discharge, diagnosis can be significantly more challenging owing to the variability of other clinical signs []. Typically, diagnosis relies on patient history, clinical signs, and imaging tests such as abdominal radiography and ultrasound. Additional tests, including blood counts, leukograms, and liver function evaluations, can also provide valuable information (Figure 3) [,,]. Leukocytosis and anemia, along with signs of azotemia, are frequently observed in affected animals. This is because renal dysfunction can result from endotoxemia, glomerular dysfunction, renal tubular damage, and a decreased response to the antidiuretic hormone [].
Ultrasonography has proven beneficial in identifying intrauterine fluid, even when the uterine diameter falls within the normal range (Figure 6). Additionally, it offers the advantage of revealing further pathological alterations in the tissue and ovaries, such as ovarian cysts or cystic endometrial hyperplasia [,].

Figure 6.
Abdominal ultrasound image of the uterus of a Pinscher. An enlarged left uterine horn measuring approximately 4.26 cm in diameter in the transverse plane is noted (cursors), with hypoechogenic content related to pyometra.
While not commonly requested, additional complementary examinations may prove beneficial. These include histopathological analyses of the uterus following ovariohysterectomy and a microbiological culture of uterine content. These tests can confirm a diagnosis of pyometra, identify the bacteria associated with the infection, and facilitate antimicrobial susceptibility testing of the isolate [].
6. Treatment
Pyometra is a medical emergency requiring prompt attention, and ovariohysterectomy (OHE) remains the preferred treatment option. Typically, a patient’s overall clinical condition reverts to normal within two weeks once the infection source is eliminated [,]. However, the procedure’s primary drawback is permanent sterility, which is particularly significant if the owner has a breeding interest in the animal []. Complications associated with OHE include hemorrhage, accidental ureteral ligation, estrogen-responsive urinary incontinence, ovarian remnant syndrome, and stump pyometra [,]. Stump pyometra may develop post-OHE if a section of the uterine horns or body remains and the animal exhibits elevated progesterone levels and/or an ovarian remnant [,,]. The clinical manifestation, diagnosis, and treatment of stump pyometra are similar to those for pyometra, except for the history of a prior OHE [].
While antibiotic therapy is frequently incorporated into the standard treatment protocol for pyometra, some researchers propose that perioperative antimicrobials should be reserved for animals exhibiting moderate to severe depression, thereby minimizing unnecessary antimicrobial usage [,]. In such instances, the initial selection of an antimicrobial should be effective against E. coli, the most prevalent bacteria implicated, and, ideally, adjusted based on culture and antibiogram results to a personalized narrow-spectrum alternative for each patient, thereby mitigating the risk of selecting multidrug-resistant bacteria [,]. However, it is worth noting that the majority of veterinarians seldom, if ever, request these culture tests [].
Fluoroquinolones, such as enrofloxacin and amoxicillin/clavulanate, are the primary and secondary recommendations for pyometra treatment according to the Antibiotic Use Guidelines for Companion Animal Practice (Table 3) []. Conversely, the Finnish and Swedish guidelines propose sulfadoxine-trimethoprim and ampicillin as the preferred choices, respectively [,]. Research from various countries indicates that most antimicrobials, including those recommended by these guidelines, are largely effective against isolates from canine pyometra. Other effective compounds include cephalothin, streptomycin, and gentamicin [,,,,]. A recent retrospective review corroborated these findings by demonstrating that ampicillin or amoxicillin are effective antimicrobials for cases requiring antibiotic treatment, particularly in dogs exhibiting moderate to severe general demeanor depression [].

Table 3.
Antimicrobials recommended for the treatment of bitches with pyometra, according to published guidelines and references [,,].
Pharmacological treatment has been exclusively utilized in certain scenarios, such as with young breeders or when anesthesia and surgery are currently not feasible [,,]. The goal of the pharmacological management of pyometra is to actively expel purulent contents from the uterus and inhibit bacterial growth, thereby promoting uterine healing. Consequently, these protocols typically involve the simultaneous administration of steroids, antiprogestatives, and antimicrobials (Table 4). Aglepristone, a progesterone receptor blocker, and cloprostenol, a synthetic prostaglandin F2α (PGF2α) analog, are commonly used in this regard [,,].

Table 4.
Examples of protocols used for pharmaceutical treatment of open cervical pyometra affecting bitches.
In addition, antimicrobial therapy (preferably based on sensitivity tests) and supportive treatment are essential. It is important to note that these protocols are not recommended for dogs exhibiting certain clinical signs, such as fever, hypothermia, liver and/or kidney failure, or suspected peritonitis. Bitches subjected to nonsurgical treatment need to be closely monitored considering the risk of drug side effects and rapid general health deterioration, the latter of which is mostly linked to sepsis and endotoxemia. Also, owners should be aware that recurrence is possible. Interestingly, it was once believed that, following pharmacological treatment, endometrial lesions in canine pyometra would impair a dog’s ability to conceive or sustain pregnancy, but recent studies show that the pregnancy rate and litter size do not decrease [,,,,].
7. Predictive Markers
Research has attempted to link prognosis with the identification of certain biomarkers []. Factors such as leukopenia, inappetence, azotemia, reduced packed cell volume, and dehydration have been correlated with extended hospitalization following OHE [,,]. Additionally, leukopenia has been connected with the incidence of peritonitis [,].
C-reactive protein (CRP) is arguably the most extensively researched biomarker in dogs with pyometra. Current knowledge suggests that CRP levels decrease gradually following OHE, with sustained or increased concentrations potentially indicating complications [,,]. Similarly, serum amyloid A, the hormone procalcitonin, and cell-free DNA exhibit the same pattern [,,,]. CRP levels are also elevated in dogs with pyometra and sepsis compared to those with mucometra []. Consequently, some researchers have proposed that CRP could serve as a marker for severe cases or be used to distinguish pyometra from mucometra [,,]. The level of CRP has been directly linked to the length of the postoperative period [], suggesting its potential as a valuable prognostic tool. Other studies have proposed that serum amyloid A and cell-free DNA could be used for sepsis screening, while interleukin-6 and high-mobility group Box 1 might be useful for the therapeutic monitoring of sepsis [,,]. Regrettably, these biomarkers are not yet routinely used in most veterinary hospitals. Conversely, some parameters commonly included in routine testing, such as serum creatinine and urinary gamma-glutamyl transpeptidase, have not proven clinically useful in determining the severity of pyometra or renal injury in affected dogs [].
8. Prevention
Elective OHE (“spaying”) serves as the primary method for pyometra prevention. However, sterilization can lead to adverse side effects, including surgical and anesthetic complications, a heightened occurrence of certain musculoskeletal and endocrinological disorders, obesity, and urinary incontinence in female dogs []. It is crucial to meticulously evaluate the advantages and disadvantages of such a procedure in each case, considering the breed of the animal [,,].
The potential for pathogenic E. coli to ascend from the intestinal tract to the uterus has been documented [,]. This finding suggests that future research could explore how various diets influence intestinal colonization by bacteria that cause pyometra, potentially leading to preventative measures for this condition in dogs. A recent case study reported the transmission of pyometra between two Chow Chow dogs. Although the mechanisms are not fully understood, it is suggested that isolating healthy cohabiting animals from dogs with purulent vaginal discharge (indicative of open-cervix pyometra) may prevent disease transmission [].
9. Future Perspectives
Canine pyometra, a potentially lethal and commonly occurring reproductive disease in female dogs, is known to be influenced by preexisting uterine lesions and hormonal and bacterial factors. However, its pathogenesis remains largely unknown. Our understanding of the etiological factors involved in E. coli-induced pyometra as well as the role of other pathogens is continually evolving. Future research may elucidate the influence of diet and intestinal microbiota on the risk of pyometra, potentially aiding in the development of more effective prevention protocols for this enduringly prevalent disease. Although challenging, it is necessary to determine whether certain breeds are at a higher risk of developing pyometra. Understanding the mechanisms underlying this susceptibility can help in developing novel strategies for preventing and reducing the incidence of pyometra.
Recent studies have also described the involvement of less common pathogens in pyometra, raising the hypothesis that other infection routes, including hematogenous routes, may be more common than previously anticipated. In this context, the hypothesis that microorganisms from oral microbiota cause pyometra should be further explored.
10. Conclusions
Despite the significance of canine pyometra, our understanding of its epidemiology and etiopathogenesis remains limited. Pyometra is a multifactorial disease that commonly occurs during diestrus. Some established risk factors include age and the use of drugs for reproductive control. It is also likely that some breeds are predisposed to infection; however, this hypothesis has not yet been proven. Bitches with cystic endometrial hyperplasia or pseudo-placentational endometrial hyperplasia also seem to be at higher risk of developing infections. Ovariohysterectomy (OHE) remains the preferred treatment for canine pyometra; however, pharmacological treatment, commonly with anglepristone, is also possible in some specific cases.
Author Contributions
Conceptualization, R.O.S.S. and R.L.S.; writing—original draft preparation, R.G.C.X., C.H.S., Y.G.d.C., T.G.V.d.S. and V.S.d.A. All authors were involved in the review and editing. All authors have read and agreed to the published version of the manuscript.
Funding
This research was funded by Fundação de Amparo à Pesquisa do Estado de Minas Gerais, the Coordination for the Improvement of Higher Education Personnel, and the National Council for Scientific and Technological Development (CNPq). Both ROSS and RLS are recipients of fellowships from CNPq.
Institutional Review Board Statement
Not applicable.
Informed Consent Statement
Not applicable.
Data Availability Statement
No new data were created or analyzed in this study. Data sharing is not applicable to this article.
Acknowledgments
We express our gratitude to all the veterinarians who contributed clinical case images for this study, including Oscar Leitão Pinto, Carolina Costa Cardoso, Amanda Oliveira Paraguassú, and Paloma Helena Sanches da Silva.
Conflicts of Interest
The authors declare no conflict of interest.
References
- Hagman, R. Pyometra in Small Animals. Vet. Clin. Small Anim. Pract. 2018, 48, 639–661. [Google Scholar] [CrossRef] [PubMed]
- Kassé, F.N.; Fairbrother, J.M.; Dubuc, J. Relationship between Escherichia Coli Virulence Factors and Postpartum Metritis in Dairy Cows. J. Dairy Sci. 2016, 99, 4656–4667. [Google Scholar] [CrossRef] [PubMed]
- Castillo, J.M.; Dockweiler, J.C.; Cheong, S.H.; de Amorim, M.D. Pyometra and Unilateral Uterine Horn Torsion in a Sheep. Reprod. Domest. Anim. 2018, 53, 274–277. [Google Scholar] [CrossRef] [PubMed]
- Rainey, B.; Singh, A.; Valverde, A.; Hoddinott, K.; Beaufrère, H.; Tindal, L.; Smith, D. Laparoscopic-Assisted Ovariohysterectomy for the Treatment of Pyometra in a Bengal Tiger (Panthera Tigris Tigris). Can. Vet. J. 2018, 59, 895–898. [Google Scholar] [PubMed]
- Wareth, G.; Melzer, F.; El-Diasty, M.; Schmoock, G.; Elbauomy, E.; Abdel-Hamid, N.; Sayour, A.; Neubauer, H. Isolation of Brucella Abortus from a Dog and a Cat Confirms Their Biological Role in Re-Emergence and Dissemination of Bovine Brucellosis on Dairy Farms. Transbound. Emerg. Dis. 2017, 64, e27–e30. [Google Scholar] [CrossRef] [PubMed]
- Zheng, H.-H.; Du, C.-T.; Zhang, Y.-Z.; Yu, C.; Huang, R.-L.; Tang, X.-Y.; Xie, G.-H. A Study on the Correlation between Intrauterine Microbiota and Uterine Pyogenesis in Dogs. Theriogenology 2023, 196, 97–105. [Google Scholar] [CrossRef] [PubMed]
- Jitpean, S.; Ambrosen, A.; Emanuelson, U.; Hagman, R. Closed Cervix Is Associated with More Severe Illness in Dogs with Pyometra. BMC Vet. Res. 2017, 13, 11. [Google Scholar] [CrossRef]
- Hagman, R. Pyometra in Small Animals 2.0. Vet. Clin. N. Am. Small Anim. Pract. 2022, 52, 631–657. [Google Scholar] [CrossRef]
- Agostinho, J.M.A.; de Souza, A.; Schocken-Iturrino, R.P.; Beraldo, L.G.; Borges, C.A.; Ávila, F.A.; Marin, J.M. Escherichia Coli Strains Isolated from the Uteri Horn, Mouth, and Rectum of Bitches Suffering from Pyometra: Virulence Factors, Antimicrobial Susceptibilities, and Clonal Relationships among Strains. Int. J. Microbiol. 2014, 2014, 979584. [Google Scholar] [CrossRef]
- Fieni, F.; Topie, E.; Gogny, A. Medical Treatment for Pyometra in Dogs. Reprod. Domest. Anim. 2014, 49, 28–32. [Google Scholar] [CrossRef]
- Jitpean, S.; Ström-Holst, B.; Emanuelson, U.; Höglund, O.V.; Pettersson, A.; Alneryd-Bull, C.; Hagman, R. Outcome of Pyometra in Female Dogs and Predictors of Peritonitis and Prolonged Postoperative Hospitalization in Surgically Treated Cases. BMC Vet. Res. 2014, 10, 6. [Google Scholar] [CrossRef]
- Chen, Y.M.M.; Wright, P.J.; Lee, C.-S.; Browning, G.F. Uropathogenic Virulence Factors in Isolates of Escherichia Coli from Clinical Cases of Canine Pyometra and Feces of Healthy Bitches. Vet. Microbiol. 2003, 94, 57–69. [Google Scholar] [CrossRef] [PubMed]
- Rautela, R.; Katiyar, R. Review on Canine Pyometra, Oxidative Stress and Current Trends in Diagnostics. Asian Pac. J. Reprod. 2019, 8, 45. [Google Scholar] [CrossRef]
- Martins, D.; Apparicio, M.; Vicente, W. A Survey of Three Years Consultation: 119 Cases of Pyometra, Prognosis and Outcome. J. Anim. Sci. Adv. 2015, 5, 1202–1207. [Google Scholar] [CrossRef]
- Lansubsakul, N.; Sirinarumitr, K.; Sirinarumitr, T.; Imsilp, K.; Wattananit, P.; Supanrung, S.; Limmanont, C. First Report on Clinical Aspects, Blood Profiles, Bacterial Isolation, Antimicrobial Susceptibility, and Histopathology in Canine Pyometra in Thailand. Vet. World 2022, 15, 1804–1813. [Google Scholar] [CrossRef] [PubMed]
- Xavier, R.G.C.; Nicolino, R.R.; Santana, C.H.; Silva, P.H.S.; Paraguassú, A.O.; Freitas, P.M.C.; Santos, R.L.; Silva, R.O.S. Association between Bacterial Pathogenicity, Endometrial Histological Changes and Clinical Prognosis in Canine Pyometra. Theriogenology 2023, 214, 118–123. [Google Scholar] [CrossRef] [PubMed]
- Pretzer, S.D. Clinical Presentation of Canine Pyometra and Mucometra: A Review. Theriogenology 2008, 70, 359–363. [Google Scholar] [CrossRef] [PubMed]
- Wijewardana, V.; Sugiura, K.; Sugiura, D.P.H.; Hatoya, S.; Nishimura, T.; Kanegi, R.; Ushigusa, T.; Inaba, T. Effect of Ovarian Hormones on Maturation of Dendritic Cells from Peripheral Blood Monocytes in Dogs. J. Vet. Med. Sci. 2015, 77, 771–775. [Google Scholar] [CrossRef] [PubMed]
- Sachan, V.; Kumar, A.; Agrawal, J.; Saxena, A. Etiopathology and Blood Biochemistry Alterations in Canine Pyometra: A Review. Int. J. Livest. Res. 2019, 9, 352–354. [Google Scholar] [CrossRef]
- Arendt, M.; Ambrosen, A.; Fall, T.; Kierczak, M.; Tengvall, K.; Meadows, J.R.S.; Karlsson, Å.; Lagerstedt, A.-S.; Bergström, T.; Andersson, G.; et al. The ABCC4 Gene Is Associated with Pyometra in Golden Retriever Dogs. Sci. Rep. 2021, 11, 16647. [Google Scholar] [CrossRef]
- Xavier, R.G.C.; da Silva, P.H.S.; Trindade, H.D.; Carvalho, G.M.; Nicolino, R.R.; Freitas, P.M.C.; Silva, R.O.S. Characterization of Escherichia coli in Dogs with Pyometra and the Influence of Diet on the Intestinal Colonization of Extraintestinal Pathogenic E. Coli (ExPEC). Vet. Sci. 2022, 9, 245. [Google Scholar] [CrossRef] [PubMed]
- Xavier, R.G.C.; Santana, C.H.; da Silva, P.H.S.; Aburjaile, F.F.; Pereira, F.L.; Figueiredo, H.C.P.; Freitas, P.M.C.; Santos, R.L.; Silva, R.O.S. Transmission of Escherichia Coli Causing Pyometra between Two Female Dogs. Microorganisms 2022, 10, 2465. [Google Scholar] [CrossRef] [PubMed]
- Hagman, R. Pyometra in Small Animals 3.0. Vet. Clin. N. Am. Small Anim. Pract. 2023, 53, 1223–1254. [Google Scholar] [CrossRef] [PubMed]
- Smith, F.O. Canine Pyometra. Theriogenology 2006, 66, 610–612. [Google Scholar] [CrossRef] [PubMed]
- Whitehead, M.L. Risk of Pyometra in Bitches Treated for Mismating with Low Doses of Oestradiol Benzoate. Vet. Rec. 2008, 162, 746–749. [Google Scholar] [CrossRef]
- Sala, P.L.; Assis, M.M.Q.; Ribeiro, R.C.L.; Sá, T.C.; Rocha, A.G.P.; Maia, L.T.; Silva, T.P.; Trentim, M.S.; Quessada, A.M. Does a Single Application of Contraceptive Cause Pathological Changes in Bitches? Arq. Bras. Med. Vet. E Zootec. 2021, 73, 752–756. [Google Scholar] [CrossRef]
- Younis, M.; Mohammed, F.F.; Abu-Seida, A.M.; Ragab, R.S.; Gohar, H.M. Ultrasonography and Pathological Evaluation of Cystic Endometrial Hyperplasia Pyometra Complex in Bitches and Queens with Related Ovarian Alterations. Glob. Vet. 2014, 13, 60–67. [Google Scholar] [CrossRef]
- Antonov, A.; Atanassov, A.; Fasulkov, I.; Georgiev, P.; Yotov, S.; Karadaev, M.; Vasilev, N.Y. Influence of Some Factors on the Incidence of Pyometra in the Bitch. Bulg. J. Vet. Med. 2015, 18, 367–372. [Google Scholar] [CrossRef]
- Sethi, G.; Gandotra, V.; Honparkhe, M.; Singh, A.; Ghuman, S. Association of Age, Breed, Estrus and Mating History in Occurrence of Pyometra. J. Entomol. Zool. Stud. 2020, 8, 852–855. [Google Scholar]
- Dos Anjos, M.S.; Bittencourt, R.F.; Biscarde, C.E.A.; Silva, M.A.d.A.; dos Santos, E.S.; Maggitti, L.D.P., Jr.; Santana, L.R.; Felix, M.D.; Bittencourt, M.V.; Cavalcante, A.K.d.S. Canine Pyometra: Interferences of Age and Type in Blood Count and Serum Biochemistry. Rev. Bras. Ciênc. Vet. 2021, 28, 167–173. [Google Scholar] [CrossRef]
- Chouksey, S.; Bajaj, N.K.; Shukla, S.N.; Sahu, S.; Kumar, J.; Choudhary, G.P. Incidence of Canine Pyometra and Cystic Endometrial Hyperplasia in Jabalpur (M.P) Region. Pharma Innov. J. 2022, 11, 1807–1810. [Google Scholar]
- Dow, C. The Cystic Hyperplasia-Pyometra Complex in the Bitch. J. Comp. Pathol. Ther. 1959, 69, 237-IN18. [Google Scholar] [CrossRef]
- Berky, A.V.; Townsend, W. The Relationship between the Prevalence of Uterine Lesions and the Use of Medroxyprogesterone Acetate for Canine Population Control. Aust. Vet. J. 1993, 70, 249–250. [Google Scholar] [CrossRef] [PubMed]
- Niskanen, M.; Thrusfield, M.V. Associations between Age, Parity, Hormonal Therapy and Breed, and Pyometra in Finnish Dogs. Vet. Rec. 1998, 143, 493–498. [Google Scholar] [CrossRef] [PubMed]
- Santana, C.H.; Santos, R.L. Canine Pyometra—An Update and Revision of Diagnostic Terminology. Braz. J. Vet. Pathol. 2021, 14, 1–8. [Google Scholar] [CrossRef]
- Prapaiwan, N.; Manee-in, S.; Olanratmanee, E.; Srisuwatanasagul, S. Expression of Oxytocin, Progesterone, and Estrogen Receptors in the Reproductive Tract of Bitches with Pyometra. Theriogenology 2017, 89, 131–139. [Google Scholar] [CrossRef] [PubMed]
- Schlafer, D.H.; Gifford, A.T. Cystic Endometrial Hyperplasia, Pseudo-Placentational Endometrial Hyperplasia, and Other Cystic Conditions of the Canine and Feline Uterus. Theriogenology 2008, 70, 349–358. [Google Scholar] [CrossRef] [PubMed]
- Santana, C.H.; Santos, D.O.; Trindade, L.M.; Moreira, L.G.; Paixão, T.A.; Santos, R.L. Association of Pseudoplacentational Endometrial Hyperplasia and Pyometra in Dogs. J. Comp. Pathol. 2020, 180, 79–85. [Google Scholar] [CrossRef] [PubMed]
- Young, Y.G.; Guevarra, R.B.; Jun, H.L.; Wattanaphansak, S.; Bit, N.K.; Hyeun, B.K.; Kun, H.S. Comparative Analysis of the Reproductive Tract Microbial Communities in Female Dogs with and without Pyometra through the 16S RRNA Gene Pyrosequencing. Jpn. J. Vet. Res. 2017, 65, 193–200. [Google Scholar] [CrossRef]
- McCain, S.; Ramsay, E.; Allender, M.C.; Souza, C.; Schumacher, J. Pyometra in Captive Large Felids: A Review of Eleven Cases. J. Zoo Wildl. Med. Off. Publ. Am. Assoc. Zoo Vet. 2009, 40, 147–151. [Google Scholar] [CrossRef]
- Ikeda, M.; Takahashi, T.; Kurachi, H. Spontaneous Perforation of Pyometra: A Report of Seven Cases and Review of the Literature. Gynecol. Obstet. Investig. 2013, 75, 243–249. [Google Scholar] [CrossRef] [PubMed]
- Wadås, B.; Kühn, I.; Lagerstedt, A.S.; Jonsson, P. Biochemical Phenotypes of Escherichia Coli in Dogs: Comparison of Isolates Isolated from Bitches Suffering from Pyometra and Urinary Tract Infection with Isolates from Faeces of Healthy Dogs. Vet. Microbiol. 1996, 52, 293–300. [Google Scholar] [CrossRef] [PubMed]
- Mateus, L.; Henriques, S.; Merino, C.; Pomba, C.; Lopes da Costa, L.; Silva, E. Virulence Genotypes of Escherichia Coli Canine Isolates from Pyometra, Cystitis and Fecal Origin. Vet. Microbiol. 2013, 166, 590–594. [Google Scholar] [CrossRef] [PubMed]
- Henriques, S.; Silva, E.; Lemsaddek, A.; Lopes-da-Costa, L.; Mateus, L. Genotypic and Phenotypic Comparison of Escherichia Coli from Uterine Infections with Different Outcomes: Clinical Metritis in the Cow and Pyometra in the Bitch. Vet. Microbiol. 2014, 170, 109–116. [Google Scholar] [CrossRef] [PubMed]
- Coura, F.M.; Diniz, A.N.; Oliveira, C.A., Jr.; Lage, A.P.; Lobato, F.C.F.; Heinemann, M.B.; Silva, R.O.S.; Coura, F.M.; Diniz, A.N. Detection of Virulence Genes and the Phylogenetic Groups of Escherichia Coli Isolated from Dogs in Brazil. Ciênc. Rural 2018, 48, e20170478. [Google Scholar] [CrossRef]
- Lopes, C.E.; De Carli, S.; Riboldi, C.I.; De Lorenzo, C.; Panziera, W.; Driemeier, D.; Siqueira, F.M. Pet Pyometra: Correlating Bacteria Pathogenicity to Endometrial Histological Changes. Pathogens 2021, 10, 833. [Google Scholar] [CrossRef]
- Siqueira, A.K.; Ribeiro, M.G.; Leite, D.d.S.; Tiba, M.R.; de Moura, C.; Lopes, M.D.; Prestes, N.C.; Salerno, T.; da Silva, A.V. Virulence Factors in Escherichia Coli Strains Isolated from Urinary Tract Infection and Pyometra Cases and from Feces of Healthy Dogs. Res. Vet. Sci. 2009, 86, 206–210. [Google Scholar] [CrossRef]
- Krekeler, N.; Marenda, M.S.; Browning, G.F.; Holden, K.M.; Charles, J.A.; Wright, P.J. The Role of Type 1, P and S Fimbriae in Binding of Escherichia Coli to the Canine Endometrium. Vet. Microbiol. 2013, 164, 399–404. [Google Scholar] [CrossRef]
- Qian, C.; Hou, J. Escherichia Coli Virulence Influences the Roles of Sex Hormone Receptors in Female Dogs with Simulated Pyometra. Exp. Ther. Med. 2017, 14, 3013–3021. [Google Scholar] [CrossRef]
- Hassan, A.A.; Khan, I.U.; Abdulmawjood, A.; Lämmler, C. Development of PCR Assays for Detection of Streptococcus Canis. FEMS Microbiol. Lett. 2003, 219, 209–214. [Google Scholar] [CrossRef]
- Bachman, M.A.; Oyler, J.E.; Burns, S.H.; Caza, M.; Lépine, F.; Dozois, C.M.; Weiser, J.N. Klebsiella Pneumoniae Yersiniabactin Promotes Respiratory Tract Infection through Evasion of Lipocalin 2. Infect. Immun. 2011, 79, 3309–3316. [Google Scholar] [CrossRef] [PubMed]
- Gulhan, T.; Boynukara, B.; Ciftci, A.; Sogut, M.U.; Findik, A. Characterization of Enterococcus Faecalis Isolates Originating from Different Sources for Their Virulence Factors and Genes, Antibiotic Resistance Patterns, Genotypes and Biofilm Production. Iran. J. Vet. Res. 2015, 16, 261–266. [Google Scholar] [PubMed]
- Pitchenin, L.C.; Brandão, L.N.S.; Rosa, J.M.A.; Kagueyama, F.C.; Alves, A.d.S.; Rocha, Í.S.M.; Nakazato, L.; Dutra, V. Occurrence of Toxin Genes in Staphylococcus Pseudintermedius from Diseased Dogs and Other Domestic and Wild Species. J. Infect. Dev. Ctries. 2017, 11, 957–961. [Google Scholar] [CrossRef] [PubMed]
- Yoon, H.-Y.; Byun, J.-Y.; Park, K.-H.; Min, B.-S.; Kim, J.-H. Sterile Pyometra in Two Dogs. Immune Netw. 2017, 17, 128–131. [Google Scholar] [CrossRef] [PubMed]
- Hagman, R.; Kühn, I. Escherichia Coli Strains Isolated from the Uterus and Urinary Bladder of Bitches Suffering from Pyometra: Comparison by Restriction Enzyme Digestion and Pulsed-Field Gel Electrophoresis. Vet. Microbiol. 2002, 84, 143–153. [Google Scholar] [CrossRef] [PubMed]
- Hardham, J.; Dreier, K.; Wong, J.; Sfintescu, C.; Evans, R.T. Pigmented-Anaerobic Bacteria Associated with Canine Periodontitis. Vet. Microbiol. 2005, 106, 119–128. [Google Scholar] [CrossRef] [PubMed]
- Shub, A.; Swain, J.R.; Newnham, J.P. Periodontal Disease and Adverse Pregnancy Outcomes. J. Matern. Fetal Neonatal Med. 2006, 19, 521–528. [Google Scholar] [CrossRef] [PubMed]
- Hashimoto, M.; Yamazaki, T.; Hamaguchi, M.; Morimoto, T.; Yamori, M.; Asai, K.; Isobe, Y.; Furu, M.; Ito, H.; Fujii, T.; et al. Periodontitis and Porphyromonas Gingivalis in Preclinical Stage of Arthritis Patients. PLoS ONE 2015, 10, e0122121. [Google Scholar] [CrossRef] [PubMed]
- John, V.; Alqallaf, H.; De Bedout, T. Periodontal Disease and Systemic Diseases: An Update for the Clinician. J. Indiana Dent. Assoc. 2016, 95, 16–23. [Google Scholar]
- Ludovichetti, F.S.; Signoriello, A.G.; Gobbato, E.A.; Artuso, A.; Stellini, E.; Mazzoleni, S. Can Periodontal Disease Affect Conception? A Literature Review. Reprod. Fertil. 2021, 2, R27–R34. [Google Scholar] [CrossRef]
- Müştak, H.K.; Günaydin, E.; Kaya, İ.B.; Salar, M.Ö.; Babacan, O.; Önat, K.; Ata, Z.; Diker, K.S. Phylo-Typing of Clinical Escherichia Coli Isolates Originating from Bovine Mastitis and Canine Pyometra and Urinary Tract Infection by Means of Quadruplex PCR. Vet. Q. 2015, 35, 194–199. [Google Scholar] [CrossRef] [PubMed][Green Version]
- Maddens, B.; Daminet, S.; Smets, P.; Meyer, E. Escherichia Coli Pyometra Induces Transient Glomerular and Tubular Dysfunction in Dogs. J. Vet. Intern. Med. 2010, 24, 1263–1270. [Google Scholar] [CrossRef] [PubMed]
- Talukdar, D.; Sarma, K.; Konwar, B.; Tolenkhomba, T.C.; Talukdar, P.; Islam, S.J.; Deka, A.; Garg, A. Clinico-Haemato-Biochemical and Pathological Alteration of Pyometra in Canines. Indian J. Anim. Res. 2022, 44, 1–7. [Google Scholar] [CrossRef]
- Pailler, S.; Slater, M.R.; Lesnikowski, S.M.; Gayle, J.M.; Duvieusart, C.B.C.A.; Ledesma, E.J.; Lee, M.L.; Stevens, J.D.; DeClementi, C. Findings and Prognostic Indicators of Outcomes for Bitches with Pyometra Treated Surgically in a Nonspecialized Setting. J. Am. Vet. Med. Assoc. 2022, 260, S49–S56. [Google Scholar] [CrossRef] [PubMed]
- Peixoto, A.J.R.; Lima, V.C.T.; Fernandes, M.E.d.S.L.; Oliveira, L.C.; Blanc, B.T.; Barros, F.F.P.d.C.; Knackfuss, F.B.; Baldani, C.D.; Coelho, C.M.M. The Impact of Clinical Presentation, Presence of SIRS and Organ Dysfunction on Mortality in Bitches with Pyometra. Ciênc. Rural 2023, 54, e20220219. [Google Scholar] [CrossRef]
- Kaymaz, M.; Baştan, A.; Erünal, N.; Aslan, S.; Findik, M. The Use of Laboratory Findings in the Diagnosis of CEH-Pyometra Complexin the Bitch. Turk. J. Vet. Anim. Sci. 1999, 23, 127–134. [Google Scholar]
- Jitpean, S.; Holst, B.S.; Höglund, O.V.; Pettersson, A.; Olsson, U.; Strage, E.; Södersten, F.; Hagman, R. Serum Insulin-like Growth Factor-I, Iron, C-Reactive Protein, and Serum Amyloid A for Prediction of Outcome in Dogs with Pyometra. Theriogenology 2014, 82, 43–48. [Google Scholar] [CrossRef] [PubMed]
- Bigliardi, E.; Parmigiani, E.; Cavirani, S.; Luppi, A.; Bonati, L.; Corradi, A. Ultrasonography and Cystic Hyperplasia–Pyometra Complex in the Bitch. Reprod. Domest. Anim. 2004, 39, 136–140. [Google Scholar] [CrossRef] [PubMed]
- Howe, L.M. Surgical Methods of Contraception and Sterilization. Theriogenology 2006, 66, 500–509. [Google Scholar] [CrossRef]
- Ball, R.L.; Birchard, S.J.; May, L.R.; Threlfall, W.R.; Young, G.S. Ovarian Remnant Syndrome in Dogs and Cats: 21 Cases (2000–2007). J. Am. Vet. Med. Assoc. 2010, 236, 548–553. [Google Scholar] [CrossRef]
- Ehrhardt, C.; Odunayo, A.; Pascutti, K.; Carvajal, J.; Ham, K.; Harris, A.N. Stump Pyometra in a Spayed Female Dog Secondary to Tamoxifen. Vet. Med. Sci. 2023, 9, 47–52. [Google Scholar] [CrossRef] [PubMed]
- Axnér, E.; Back, H.; Bergvall, K.; Enderle, A.; Eriksson, J.; Greko, C.; Gunnarsson, L.; Hanson, J.; Hultén, F.; Larsson, C.I.; et al. Dosering Av Antibiotika till Hund—Ny Rekommendation; Swedish Medical Products Agency: Uppsala, Sweden, 2016. [Google Scholar]
- Turkki, O.M.; Sunesson, K.W.; den Hertog, E.; Varjonen, K. Postoperative Complications and Antibiotic Use in Dogs with Pyometra: A Retrospective Review of 140 Cases (2019). Acta Vet. Scand. 2023, 65, 11. [Google Scholar] [CrossRef] [PubMed]
- Ghanbarpour, R.; Akhtardanesh, B. Genotype and Antibiotic Resistance Profile of Escherichia Coli Strains Involved in Canine Pyometra. Comp. Clin. Pathol. 2012, 21, 737–744. [Google Scholar] [CrossRef]
- Lavin, L.E.; Maki, L.C. Antimicrobial Use in the Surgical Treatment of Canine Pyometra: A Questionnaire Survey of Arizona-Licensed Veterinarians. Vet. Med. Sci. 2023, 9, 1124–1133. [Google Scholar] [CrossRef] [PubMed]
- Jessen, L.R.; Damborg, P.; Spohr, A.; Goericke-Pesch, S.; Langhorn, R.; Houser, G.; Eriksen, T.; Willesen, J.; Schjærff, M.; Sørensen, T.M.; et al. Antibiotic Use Guidelines for Companion Animal Practice, 2nd ed.; The Danish Small Animal Veterinary Association: Frederiksberg, Denmark, 2019. [Google Scholar]
- EVIRA. Mikrobilääkkeiden Käyttösuositukset Eläinten Tärkeimpiin Tulehdus-Ja Tartuntatauteihin; Elintarviketurvallisuusvirasto: Helsinki, Finland, 2016. [Google Scholar]
- Rocha, R.A.; Ribeiro, W.M.; de Almeida, J.A.; Santos, A.L.; Fernandes, M.R.; Barbosa, M.S.; de Filho, A.V.M.; Carneiro, L.C.; da Silva, C.A. Detecção de genes de resistência em bactérias isoladas de piometra em cadelas. Braz. J. Vet. Res. Anim. Sci. 2021, 58, e173908. [Google Scholar] [CrossRef]
- Hagman, R.; Greko, C. Antimicrobial Resistance in Escherichia Coli Isolated from Bitches with Pyometra and from Urine Samples from Other Dogs. Vet. Rec. 2005, 157, 193–196. [Google Scholar] [CrossRef] [PubMed]
- Inoue, I.; Shibata, S.; Fukata, T. Efficacy of Fosfomycin on Escherichia Coli Isolated from Bitches with Pyometra. J. Vet. Med. Sci. 2013, 75, 657–658. [Google Scholar] [CrossRef] [PubMed][Green Version]
- Sperling, S.; Mitchell, A.; Cheong, S.H.; de Amorim, M.D. Singleton Pregnancy with Concurrent Pyometra in the Contralateral Horn in a Bitch with a Live Puppy Outcome. Reprod. Domest. Anim. 2018, 53, 1609–1612. [Google Scholar] [CrossRef] [PubMed]
- Melandri, M.; Veronesi, M.C.; Pisu, M.C.; Majolino, G.; Alonge, S. Fertility Outcome after Medically Treated Pyometra in Dogs. J. Vet. Sci. 2019, 20, e39. [Google Scholar] [CrossRef]
- Ros, L.; Holst, B.S.; Hagman, R. A Retrospective Study of Bitches with Pyometra, Medically Treated with Aglepristone. Theriogenology 2014, 82, 1281–1286. [Google Scholar] [CrossRef]
- Contri, A.; Gloria, A.; Carluccio, A.; Pantaleo, S.; Robbe, D. Effectiveness of a Modified Administration Protocol for the Medical Treatment of Canine Pyometra. Vet. Res. Commun. 2015, 39, 1–5. [Google Scholar] [CrossRef] [PubMed]
- Trasch, K.; Wehrend, A.; Bostedt, H. Follow-up examinations of bitches after conservative treatment of pyometra with the antigestagen aglepristone. J. Vet. Med. Ser. A 2003, 50, 375–376. [Google Scholar] [CrossRef] [PubMed]
- Jurka, P.; Max, A.; Hawryńska, K.; Snochowski, M. Age-related pregnancy results and further examination of bitches after aglepristone treatment of pyometra. Reprod. Domest. Anim. 2010, 45, 525–529. [Google Scholar] [CrossRef] [PubMed]
- Gobello, C.; Castex, G.; Klima, L.; Rodríguez, R.; Corrada, Y. A study of two protocols combining aglepristone and cloprostenol to treat open cervix pyometra in the bitch. Theriogenology 2003, 60, 901–908. [Google Scholar] [CrossRef] [PubMed]
- Fieni, F. Clinical Evaluation of the Use of Aglepristone, with or without Cloprostenol, to Treat Cystic Endometrial Hyperplasia-Pyometra Complex in Bitches. Theriogenology 2006, 66, 1550–1556. [Google Scholar] [CrossRef] [PubMed]
- England, G.C.W.; Freeman, S.L.; Russo, M. Treatment of Spontaneous Pyometra in 22 Bitches with a Combination of Cabergoline and Cloprostenol. Vet. Rec. 2007, 160, 293–296. [Google Scholar] [CrossRef] [PubMed]
- Ahn, S.; Bae, H.; Kim, J.; Kim, S.; Park, J.; Kim, S.-K.; Jung, D.-I.; Yu, D. Comparison of Clinical and Inflammatory Parameters in Dogs with Pyometra Before and After Ovariohysterectomy. BMC Vet. Res. 2021, 85, 271–278. [Google Scholar] [CrossRef]
- Hagman, R. Canine Pyometra: What Is New? Reprod. Domest. Anim. 2017, 52, 288–292. [Google Scholar] [CrossRef]
- Matur, E.; Dokuzeylül, B.; Özcan, M.; Çetinkaya, H.; Arslan, M.; Or, E.; Erhan, S.; Çötelioğlu, Ü. Can Procalcitonin Be Used as a Clinical Biomarker during Bacterial, Viral and Parasitic Infections in Dogs? Jpn. J. Vet. Res. 2021, 69, 5–17. [Google Scholar] [CrossRef]
- Soler, L.; Szczubiał, M.; Dąbrowski, R.; Płusa, A.; Bochniarz, M.; Brodzki, P.; Lampreave, F.; Piñeiro, M. Measurement of ITIH4 and Hp Levels in Bitches with Pyometra Using Newly Developed ELISA Methods. Vet. Immunol. Immunopathol. 2021, 235, 110221. [Google Scholar] [CrossRef]
- Dąbrowski, R.; Kostro, K.; Szczubiał, M. Concentrations of C-Reactive Protein, Serum Amyloid A, and Haptoglobin in Uterine Arterial and Peripheral Blood in Bitches with Pyometra. Theriogenology 2013, 80, 494–497. [Google Scholar] [CrossRef] [PubMed]
- Enginler, S.O.; Ateş, A.; Sığırcı, B.D.; Sontaş, B.H.; Sönmez, K.; Karaçam, E.; Ekici, H.; Dal, G.E.; Gürel, A. Measurement of C-Reactive Protein and Prostaglandin F2α Metabolite Concentrations in Differentiation of Canine Pyometra and Cystic Endometrial Hyperplasia/Mucometra. Reprod. Domest. Anim. 2014, 49, 641–647. [Google Scholar] [CrossRef] [PubMed]
- Fransson, B.A.; Lagerstedt, A.-S.; Bergstrom, A.; Hagman, R.; Park, J.S.; Chew, B.P.; Evans, M.A.; Ragle, C.A. C-Reactive Protein, Tumor Necrosis Factor α, and Interleukin-6 in Dogs with Pyometra and SIRS. J. Vet. Emerg. Crit. Care 2007, 17, 373–381. [Google Scholar] [CrossRef]
- Do Braz, L.A.N. SDMA and Urinary GGT in Acute Kidney Injury in Septic Dogs and Their Correlation with Renal Histopathological Findings. Repositório Institucional UNESP. Ph.D. Thesis, Universidade Estadual Paulista, Sao Paulo, Brazil, 2021. [Google Scholar] [CrossRef]
- Root Kustritz, M. Effects of Surgical Sterilization on Canine and Feline Health and on Society: Small Animal Gonadectomy. Reprod. Domest. Anim. 2012, 47, 214–222. [Google Scholar] [CrossRef] [PubMed]
- Howe, L.M. Current Perspectives on the Optimal Age to Spay/Castrate Dogs and Cats. Vet. Med. Res. Rep. 2015, 6, 171–180. [Google Scholar] [CrossRef] [PubMed]
- Kutzler, M.A. Gonad-Sparing Surgical Sterilization in Dogs. Front. Vet. Sci. 2020, 7, 342. [Google Scholar] [CrossRef] [PubMed]
- Kutzler, M.A. Understanding the Effects of Sustained Supraphysiologic Concentrations of Luteinizing Hormone in Gonadectomized Dogs: What We Know and What We Still Need to Learn. Theriogenology 2023, 196, 270–274. [Google Scholar] [CrossRef]
Disclaimer/Publisher’s Note: The statements, opinions and data contained in all publications are solely those of the individual author(s) and contributor(s) and not of MDPI and/or the editor(s). MDPI and/or the editor(s) disclaim responsibility for any injury to people or property resulting from any ideas, methods, instructions or products referred to in the content. |
© 2023 by the authors. Licensee MDPI, Basel, Switzerland. This article is an open access article distributed under the terms and conditions of the Creative Commons Attribution (CC BY) license (https://creativecommons.org/licenses/by/4.0/).