Impact of Ocean Acidification on the Gut Histopathology and Intestinal Microflora of Exopalaemon carinicauda
Abstract
:Simple Summary
Abstract
1. Introduction
2. Materials and Methods
2.1. Experimental Design and Sample Collection
2.2. Assessment of Intestinal Morphology
2.3. Extraction of DNA and Sequencing
2.4. Analysis of Microbial Diversity and Predicted Functions
2.5. Statistical Analysis
3. Results
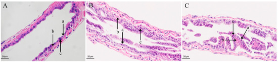
3.1. Survival Rate, Histological Structure of Intestinal Tissues
3.2. Characteristics of the High-Throughput Sequencing Data
3.3. Diversity of the Intestinal Microflora
3.4. Community Structures of the Intestinal Microflora
3.5. Functional Prediction of the Intestinal Microflora
4. Discussion
5. Conclusions
Supplementary Materials
Author Contributions
Funding
Institutional Review Board Statement
Informed Consent Statement
Data Availability Statement
Conflicts of Interest
References
- IPCC. Climate Change 2007: The Physical Science Basis. In Contribution of Working Group I to the Fourth Assessment Report of the Intergovernmental Panel on Climate Change; Solomon, S., Qin, D., Manning, M., Marquis, M., Averyt, K.B., Tignor, M., Miller, H.L., Chen, Z., Eds.; Cambridge University Press: Cambridge, UK; New York, NY, USA, 2007; 996p. [Google Scholar]
- Caldeira, K.; Wickett, M.E. Anthropogenic carbon and ocean pH. Nature 2003, 4256956, 365. [Google Scholar] [CrossRef]
- Orr, J.C.; Fabry, V.J.; Aumont, O.; Bopp, L.; Doney, S.C.; Feely, R.A.; Gnanadesikan, A.; Gruber, N.; Ishida, A.; Joos, F.; et al. Anthropogenic ocean acidification over the twenty-first century and its impact on calcifying organisms. Nature 2005, 4377059, 681–686. [Google Scholar] [CrossRef]
- Vijayan, K.K.; Diwan, A.O. Influence of Temperature, Salinity, pH and Light on Molting and Growth in the Indian White Prawn Penaeus indicus (Crustacea: Decapoda: Penaeidae) under Laboratory Conditions. Asian Fish. Sci. 1995, 81, 63–72. [Google Scholar] [CrossRef]
- Gireesh, R.; Gopinathan, C. Effect of salinity and pH on the larval development and spat production of Paphia malabarica. J. Mar. Biol. Assoc. India 2004, 462, 146–153. [Google Scholar]
- Lin, W.; Ren, Z.; Mu, C.; Ye, Y.; Wang, C. Effects of Elevated pCO2 on the Survival and Growth of Portunus trituberculatus. Front. Physiol. 2020, 11, 750. [Google Scholar] [CrossRef] [PubMed]
- Kurihara, H.; Matsui, M.; Furukawa, H.; Hayashi, M.; Ishimatsu, A. Long-term effects of predicted future seawater CO2 conditions on the survival and growth of the marine shrimp Palaemon pacificus. J. Exp. Mar. Biol. Ecol. 2008, 3671, 41–46. [Google Scholar] [CrossRef]
- Appelhans, Y.S.; Thomsen, J.; Pansch, C.; Melzner, F.; Wahl, M. Sour times: Seawater acidification effects on growth, feeding behaviour and acid–base status of Asterias rubens and Carcinus maenas. Mar. Ecol. Progr. Ser. 2012, 459, 85–98. [Google Scholar] [CrossRef]
- Harms, L.; Frickenhaus, S.; Schiffer, M.; Mark, F.; Storch, D.; Held, C.; Pörtner, H.-O.; Lucassen, M. Gene expression profiling in gills of the great spider crab Hyas araneus in response to ocean acidification and warming. BMC Genom. 2014, 151, 789. [Google Scholar] [CrossRef]
- Paganini, A.W.; Miller, N.A.; Stillman, J.H. Temperature and acidification variability reduce physiological performance in the intertidal zone porcelain crab Petrolisthes cinctipes. J. Exp. Biol. 2014, 21722, 3974–3980. [Google Scholar] [CrossRef]
- Miller, J.J.; Maher, M.; Bohaboy, E.; Friedman, C.S.; McElhany, P. Exposure to low pH reduces survival and delays development in early life stages of Dungeness crab (Cancer magister). Mar. Biol. 2016, 1635, 118. [Google Scholar] [CrossRef]
- Levy, M.; Blacher, E.; Elinav, E. Microbiome, metabolites and host immunity. Curr. Opin. Microbiol. 2017, 35, 8–15. [Google Scholar] [CrossRef]
- Hsiao, E.Y.; McBride, S.W.; Hsien, S.; Sharon, G.; Hyde, E.R.; McCue, T.; Codelli, J.A.; Chow, J.; Reisman, S.E.; Petrosino, J.F.; et al. Microbiota modulate behavioral and physiological abnormalities associated with neurodevelopmental disorders. Cell 2013, 1557, 1451–1463. [Google Scholar] [CrossRef]
- Koeth, R.A.; Wang, Z.; Levison, B.S.; Buffa, J.A.; Org, E.; Sheehy, B.T.; Britt, E.B.; Fu, X.; Wu, Y.; Li, L.; et al. Intestinal microbiota metabolism of L-carnitine, a nutrient in red meat, promotes atherosclerosis. Nat. Med. 2013, 195, 576–585. [Google Scholar] [CrossRef] [PubMed]
- Kong, N.; Han, S.; Fu, Q.; Yu, Z.; Wang, L.; Song, L. Impact of ocean acidification on the intestinal microflora of the Pacific oyster Crassostrea gigas. Aquaculture 2022, 546, 737365. [Google Scholar] [CrossRef]
- Fonseca, F.; Cerqueira, R.; Fuentes, J. Impact of Ocean Acidification on the Intestinal Microbiota of the Marine Sea Bream (Sparus aurata L.). Front. Physiol. 2019, 10, 1446. [Google Scholar] [CrossRef]
- Christopher Long, W.; Swiney, K.M.; Foy, R.J. Effects of ocean acidification on the embryos and larvae of red king crab, Paralithodes camtschaticus. Mar. Pollut. Bull. 2013, 691–692, 38–47. [Google Scholar] [CrossRef]
- Muralisankar, T.; Kalaivani, P.; Thangal, S.H.; Santhanam, P. Growth, biochemical, antioxidants, metabolic enzymes and hemocytes population of the shrimp Litopenaeus vannamei exposed to acidified seawater. Comp. Biochem. Physiol. C Toxicol. Pharmacol. 2021, 239, 108843. [Google Scholar] [CrossRef] [PubMed]
- Thangal, S.H.; Muralisankar, T.; Anandhan, K.; Gayathri, V.; Yogeshwaran, A. Effect of CO2 driven ocean acidification on the mud crab Scylla serrata instars. Environ. Pollut. 2022, 312, 119995. [Google Scholar] [CrossRef]
- Deng, G.; Duan, J.; Mu, H.; Yan, B.; Chen, H.; Hu, G.; Gao, W.; Gao, H. Effects of dietary short-chain fatty acid salts on the growth performance, digestive, antioxidant and immune enzyme activities, immune-related gene expression and resistance to Vibro parahaemolytics infection in juvenile ridgetail white prawn (Exopalaemon carinicauda). Aquac. Res. 2021, 5212, 6716–6725. [Google Scholar]
- Gao, H.; Li, Z.; Lai, X.; Xue, B.; Yan, B.; Cheng, H.; Pan, Q. A new heat shock protein 70 gene (HSC70) and its expression profiles in response to cadmium stress and after different post-moulting times in Exopalaemon carinicauda (Holthuis, 1950) (Decapoda, Palaemonidae). Crustaceana 2016, 893, 321–336. [Google Scholar] [CrossRef]
- Ma, H.; Sun, J.; Xu, W.; Dai, Q.; Hu, G.; Lai, X.; Yan, B.; Gao, H. Profiles of mitochondrial DNA methylation in the ridgetail white prawn, Exopalaemon carinicauda (Holthuis, 1950) (Decapoda, Palaemonidae) under heavy metal stress from chromium and cadmium. Crustaceana 2019, 928, 997–1005. [Google Scholar] [CrossRef]
- Qi, S.; Xin, W.W.; Gang, C.H.; Geng, Z.H.; Hua, C.J.; Huan, G. Tanscriptome analysis of Exopalaemon carinicauda (holthuis, 1950) (caridea, palaemonidae) in response to CO2-driven acidification. Crustaceana 2021, 946, 661–667. [Google Scholar]
- Jiang, J.; Wu, H.; Guo, H.; Zhang, Z.; Liu, X.; Xia, S.; Zhuang, B.; Fu, Z. Effects of salinities on the growth and nutrient composition in the muscle of Exopalaemon carinicauda. Mar. Sci. Bull. 2016, 18, 81–92. [Google Scholar]
- Xingqiang, W.; Sudha, K.; Cao, M.; Ma, S. Effects of Low Salinity and Low Temperature on Survival, Growth, and Energy Budget of Juvenile Exopalaemon carinicauda. J. Shellfish Res. 2010, 29, 1035–1041. [Google Scholar] [CrossRef]
- Beutler, M.; Wiltshire, K.; Meyer, B.; Moldaenke, C.; Luring, C.; Meyerhofer, M.; Hansen, U. Standard Methods for the Examination of Water and Wastewater; American Public Health Association: Washington, DC, USA, 2005. [Google Scholar]
- Han, S.; Zheng, Y.; Yu, Z.; Fu, Q.; Lian, X.; Wang, L.; Song, L. Comparative characterization of bacterial communities in digestive glands of Crassostrea gigas fed with different microalgal diets. Invertebr. Surviv. J. 2020, 17, 51–62. [Google Scholar] [CrossRef]
- Lin, Z.; He, Z.; Liao, W.; Liao, M.; Zhou, J.; Xue, Y.; Sun, C. Dietary supplementation with chondroitin sulfate improved the growth, immunity, and intestinal microbiota structure of Penaeus monodon. Aquaculture 2023, 563, 738952. [Google Scholar] [CrossRef]
- Magoč, T.; Salzberg, S.L. FLASH: Fast length adjustment of short reads to improve genome assemblies. Bioinformatics 2011, 2721, 2957–2963. [Google Scholar] [CrossRef] [PubMed]
- Callahan, B.J.; McMurdie, P.J.; Rosen, M.J.; Han, A.W.; Johnson, A.J.A.; Holmes, S.P. DADA2: High-resolution sample inference from Illumina amplicon data. Nat. Methods 2016, 137, 581–583. [Google Scholar] [CrossRef] [PubMed]
- Poon, A.F.Y.; Price, M.N.; Dehal, P.S.; Arkin, A.P. FastTree 2–Approximately Maximum-Likelihood Trees for Large Alignments. PLoS ONE 2010, 53, e9490. [Google Scholar]
- Segata, N.; Izard, J.; Waldron, L.; Gevers, D.; Miropolsky, L.; Garrett, W.S.; Huttenhower, C. Metagenomic biomarker discovery and explanation. Genome Biol. 2011, 126, R60. [Google Scholar] [CrossRef]
- Duan, Y.; Wang, Y.; Zhang, J.; Liu, Q.; Ding, X. Morphologic, digestive enzymes and immunological responses of intestine from Litopenaeus vannamei after lipopolysaccharide injection. J. Invertebr. Pathol. 2018, 153, 186–194. [Google Scholar] [CrossRef] [PubMed]
- Suo, Y.; Li, E.; Li, T.; Jia, Y.; Qin, J.G.; Gu, Z.; Chen, L. Response of gut health and microbiota to sulfide exposure in Pacific white shrimp Litopenaeus vannamei. Fish Shellfish Immunol. 2017, 63, 87–96. [Google Scholar] [CrossRef] [PubMed]
- Duan, Y.; Wang, Y.; Liu, Q.; Zhang, J.; Xiong, D. Changes in the intestine barrier function of Litopenaeus vannamei in response to pH stress. Fish Shellfish Immunol. 2019, 88, 142–149. [Google Scholar] [CrossRef] [PubMed]
- Wang, W.-Z.; Huang, J.-S.; Zhang, J.-D.; Wang, Z.-L.; Li, H.-J.; Amenyogbe, E.; Chen, G. Effects of hypoxia stress on the intestinal microflora of juvenile of cobia (Rachycentron canadum). Aquaculture 2021, 536, 736419. [Google Scholar] [CrossRef]
- Xiong, J. Progress in the gut microbiota in exploring shrimp disease pathogenesis and incidence. Appl. Microbiol. Biotechnol. 2018, 10217, 7343–7350. [Google Scholar] [CrossRef] [PubMed]
- Li, Y.-F.; Yang, N.; Liang, X.; Yoshida, A.; Osatomi, K.; Power, D.; Batista, F.M.; Yang, J.-L. Elevated Seawater Temperatures Decrease Microbial Diversity in the Gut of Mytilus coruscus. Front. Physiol. 2018, 9, 839. [Google Scholar] [CrossRef] [PubMed]
- Sun, S.; Yang, M.; Fu, H.; Ge, X.; Zou, J. Altered intestinal microbiota induced by chronic hypoxia drives the effects on lipid metabolism and the immune response of oriental river prawn Macrobrachium nipponense. Aquaculture 2020, 526, 735431. [Google Scholar] [CrossRef]
- Gao, S.; Pan, L.; Huang, F.; Song, M.; Tian, C.; Zhang, M. Metagenomic insights into the structure and function of intestinal microbiota of the farmed Pacific white shrimp (Litopenaeus vannamei). Aquaculture 2019, 499, 109–118. [Google Scholar] [CrossRef]
- Su, H.; Hu, X.; Xu, Y.; Xu, W.; Huang, X.; Wen, G.; Yang, K.; Li, Z.; Cao, Y. Persistence and spatial variation of antibiotic resistance genes and bacterial populations change in reared shrimp in South China. Environ. Int. 2018, 119, 327–333. [Google Scholar] [CrossRef] [PubMed]
- Su, C.; Fan, D.; Pan, L.; Lu, Y.; Wang, Y.; Zhang, M. Effects of Yu-Ping-Feng polysaccharides (YPS) on the immune response, intestinal microbiota, disease resistance and growth performance of Litopenaeus vannamei. Fish Shellfish Immunol. 2020, 105, 104–116. [Google Scholar] [CrossRef]
- Holt, C.C.; Bass, D.; Stentiford, G.D.; van der Giezen, M. Understanding the role of the shrimp gut microbiome in health and disease. J. Invertebr. Pathol. 2021, 186, 107387. [Google Scholar] [CrossRef] [PubMed]
- Zheng, L.; Xie, S.; Zhuang, Z.; Liu, Y.; Tian, L.; Niu, J. Effects of yeast and yeast extract on growth performance, antioxidant ability and intestinal microbiota of juvenile Pacific white shrimp (Litopenaeus vannamei). Aquaculture 2021, 530, 735941. [Google Scholar] [CrossRef]
- Li, E.; Xu, C.; Wang, X.; Wang, S.; Zhao, Q.; Zhang, M.; Qin, J.G.; Chen, L. Gut Microbiota and its Modulation for Healthy Farming of Pacific White Shrimp Litopenaeus vannamei. Rev. Fish. Sci. Aquac. 2018, 263, 381–399. [Google Scholar] [CrossRef]
- Wang, Y.; Wang, B.; Liu, M.; Jiang, K.; Wang, M.; Wang, L. Aflatoxin B1 (AFB1) induced dysregulation of intestinal microbiota and damage of antioxidant system in pacific white shrimp (Litopenaeus vannamei). Aquaculture 2018, 495, 940–947. [Google Scholar] [CrossRef]
- Chen, H.; Pan, J.; Wang, Y.; Qiao, Y.; Han, F.; Xu, C.; Farhadi, A.; Li, E. Growth, health status and gut microbiota of the scalloped spiny lobster (Panulirus homarus) at different salinities. Aquaculture 2023, 562, 738779. [Google Scholar] [CrossRef]
- Labella, A.; Berbel, C.; Manchado, M.; Castro, D.; Borrego, J. Photobacterium damselae subsp. damselae, an emerging pathogen affecting new cultured marine fish species in southern Spain. Recent Adv. Fish Farms 2011, 9, 135–152. [Google Scholar]
- Labella, A.M.; Castro, M.D.; Manchado, M.; Lucena, T.; Arahal, D.R.; Borrego, J.J. Photobacterium malacitanum sp. nov., and Photobacterium andalusiense sp. nov., two new bacteria isolated from diseased farmed fish in Southern Spain. Syst. Appl. Microbiol. 2018, 415, 444–451. [Google Scholar] [CrossRef] [PubMed]
- Zhang, M.; Sun, Y.; Liu, Y.; Qiao, F.; Chen, L.; Liu, W.-T.; Du, Z.; Li, E. Response of gut microbiota to salinity change in two euryhaline aquatic animals with reverse salinity preference. Aquaculture 2016, 454, 72–80. [Google Scholar] [CrossRef]
- Liu, F.; Liu, G.; Li, F. Characterization of two pathogenic Photobacterium strains isolated from Exopalaemon carinicauda causing mortality of shrimp. Aquaculture 2016, 464, 129–135. [Google Scholar] [CrossRef]
- Walayat, S.; Malik, A.; Hussain, N.; Lynch, T. Sphingomonas paucimobilis presenting as acute phlebitis: A case report. IDCases 2018, 11, 6–8. [Google Scholar] [CrossRef]
- Duan, Y.; Liu, Q.; Wang, Y.; Zhang, J.; Xiong, D. Impairment of the intestine barrier function in Litopenaeus vannamei exposed to ammonia and nitrite stress. Fish Shellfish Immunol. 2018, 78, 279–288. [Google Scholar] [CrossRef] [PubMed]
- Rungrassamee, W.; Klanchui, A.; Maibunkaew, S.; Karoonuthaisiri, N. Bacterial dynamics in intestines of the black tiger shrimp and the Pacific white shrimp during Vibrio harveyi exposure. J. Invertebr. Pathol. 2016, 133, 12–19. [Google Scholar] [CrossRef] [PubMed]
- Zhou, L.; Limbu, S.M.; Shen, M.; Zhai, W.; Qiao, F.; He, A.; Du, Z.-Y.; Zhang, M. Environmental concentrations of antibiotics impair zebrafish gut health. Environ. Pollut. 2018, 235, 245–254. [Google Scholar] [CrossRef] [PubMed]
- Frank, D.N.; St. Amand, A.L.; Feldman, R.A.; Boedeker, E.C.; Harpaz, N.; Pace, N.R. Molecular-phylogenetic characterization of microbial community imbalances in human inflammatory bowel diseases. Proc. Natl. Acad. Sci. USA 2007, 10434, 13780–13785. [Google Scholar] [CrossRef]








| Alpha Diversity | Mean | Standard Deviation | Significance | ||||
|---|---|---|---|---|---|---|---|
| CONT | AC74 | AC70 | CONT | AC74 | AC70 | ||
| Chao 1 | 631.691 | 717.876 | 758.405 | 168.187 | 170.615 | 375.091 | p = 0.686 |
| Shannon | 5.262 | 6.293 | 6.584 | 0.768 | 0.584 | 1.491 | p = 0.125 |
Disclaimer/Publisher’s Note: The statements, opinions and data contained in all publications are solely those of the individual author(s) and contributor(s) and not of MDPI and/or the editor(s). MDPI and/or the editor(s) disclaim responsibility for any injury to people or property resulting from any ideas, methods, instructions or products referred to in the content. |
© 2023 by the authors. Licensee MDPI, Basel, Switzerland. This article is an open access article distributed under the terms and conditions of the Creative Commons Attribution (CC BY) license (https://creativecommons.org/licenses/by/4.0/).
Share and Cite
Wang, C.; Han, W.; Cheng, W.; Liu, D.; Wang, W.; Yan, B.; Gao, H.; Hu, G. Impact of Ocean Acidification on the Gut Histopathology and Intestinal Microflora of Exopalaemon carinicauda. Animals 2023, 13, 3299. https://doi.org/10.3390/ani13203299
Wang C, Han W, Cheng W, Liu D, Wang W, Yan B, Gao H, Hu G. Impact of Ocean Acidification on the Gut Histopathology and Intestinal Microflora of Exopalaemon carinicauda. Animals. 2023; 13(20):3299. https://doi.org/10.3390/ani13203299
Chicago/Turabian StyleWang, Chao, Wanyu Han, Weitao Cheng, Dexue Liu, Weili Wang, Binlun Yan, Huan Gao, and Guangwei Hu. 2023. "Impact of Ocean Acidification on the Gut Histopathology and Intestinal Microflora of Exopalaemon carinicauda" Animals 13, no. 20: 3299. https://doi.org/10.3390/ani13203299
APA StyleWang, C., Han, W., Cheng, W., Liu, D., Wang, W., Yan, B., Gao, H., & Hu, G. (2023). Impact of Ocean Acidification on the Gut Histopathology and Intestinal Microflora of Exopalaemon carinicauda. Animals, 13(20), 3299. https://doi.org/10.3390/ani13203299
