Development of Nested Polymerase Chain Reaction with Novel Specific Primers for Detection of Tritrichomonas muris Infection in Laboratory Mice
Abstract
Simple Summary
Abstract
1. Introduction
2. Materials and Methods
2.1. Ethics Statement
2.2. Collection of Fecal Samples and Preparation of Genomic DNA
2.3. Isolation of T. muris
2.4. Light Microscopy Observation
2.5. Scanning Electron Microscopy Observation
2.6. Primer Design
2.7. Optimization of the Nested PCR Reaction System
2.8. Sequence Analysis
2.9. Validation of the Nested PCR Assays
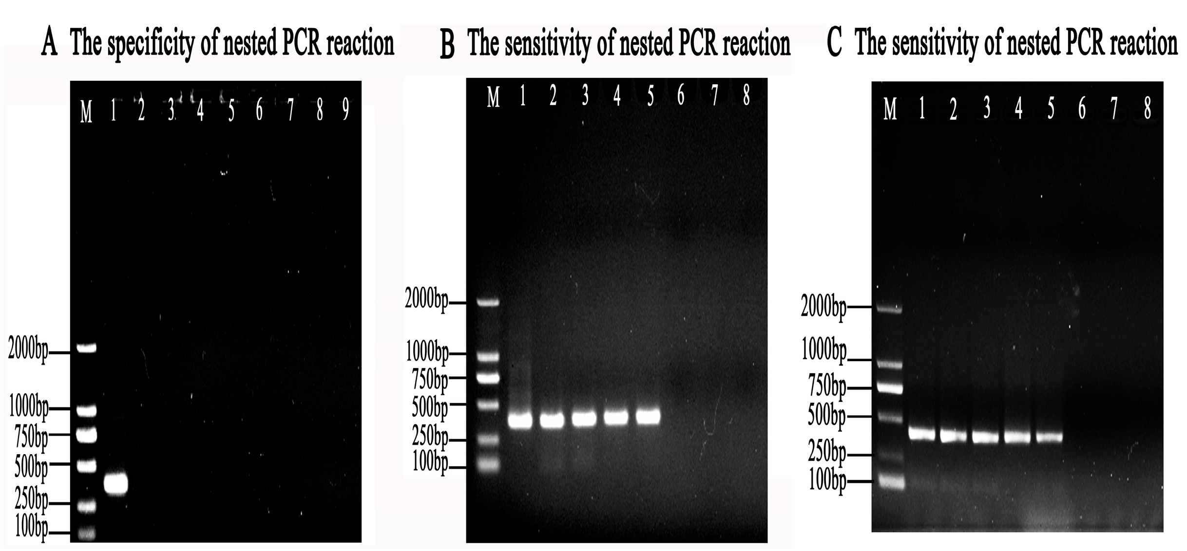
2.9.1. Specificity Validation of the Nested PCR Reaction
2.9.2. Sensitivity Validation of the Nested PCR Reaction
2.10. Clinical Application of the New Primer in the Nested PCR System for T. muris
2.11. Data Analysis
3. Results
3.1. Morphological Identification of T. muris
3.2. Sequence Analysis of T. muris’ Small Subunit Ribosomal RNA (SSU rRNA)
3.3. Determination of the Optimal Nested PCR
3.4. Specificity of the Nested PCR System
3.5. Sensitivity of the Nested PCR
3.6. Clinical Application of the New Primer of the Nested PCR System for T. muris
4. Discussion
5. Conclusions
Author Contributions
Funding
Institutional Review Board Statement
Informed Consent Statement
Data Availability Statement
Conflicts of Interest
References
- Mattern, C.F.; Daniel, W.A. Tritrichomonas muris in the Hamster: Pseudocysts and the infection of newborn. J. Protozool. 1980, 27, 435–439. [Google Scholar] [CrossRef] [PubMed]
- Lipman, N.S.; Lampen, N.; Nguyen, H.T. Identification of pseudocysts of Tritrichomonas muris in Armenian hamsters and their transmission to mice. Lab. Anim. Sci. 1999, 49, 313–315. [Google Scholar] [PubMed]
- Maritz, J.M.; Land, K.M.; Carlton, J.M.; Hirt, R.P. What is the importance of zoonotic trichomonads for human health? Trends Parasitol. 2014, 30, 333–341. [Google Scholar] [CrossRef] [PubMed]
- Escalante, N.K.; Lemire, P.; Cruz Tleugabulova, M.; Prescott, D.; Mortha, A.; Streutker, C.J.; Girardin, S.E.; Philpott, D.J.; Mallevaey, T. The common mouse protozoa Tritrichomonas muris alters mucosal T cell homeostasis and colitis susceptibility. J. Exp. Med. 2016, 213, 2841–2850. [Google Scholar] [CrossRef]
- Chang, C.Y.; Wang, J.; Zhao, Y.; Liu, J.; Yang, X.; Yue, X.; Wang, H.; Zhou, F.; Inclan-Rico, J.M.; Ponessa, J.J.; et al. Tumor suppressor p53 regulates intestinal type 2 immunity. Nat. Commun. 2021, 12, 3371. [Google Scholar] [CrossRef]
- Roach, P.D.; Wallis, P.M.; Olson, M.E. The use of Metronidazole, Tinidazole and Dimetridazole in eliminating Trichomonads from laboratory mice. Lab. Anim. 1988, 22, 361–364. [Google Scholar] [CrossRef]
- Cepicka, I.; Hampl, V.; Kulda, J.; Flegr, J. New evolutionary lineages, unexpected diversity, and host specificity in the parabasalid genus Tetratrichomonas. Mol. Phylogenet. Evol. 2006, 39, 542–551. [Google Scholar] [CrossRef]
- Won, Y.S.; Jeong, E.S.; Park, H.J.; Lee, C.H.; Nam, K.H.; Kim, H.C.; Hyun, B.H.; Lee, S.K.; Choi, Y.K. Microbiological contamination of laboratory mice and rats in Korea from 1999 to 2003. Exp. Anim. 2006, 55, 11–16. [Google Scholar] [CrossRef][Green Version]
- Hayashimoto, N.; Morita, H.; Ishida, T.; Uchida, R.; Tanaka, M.; Ozawa, M.; Yasuda, M.; Itoh, T. Microbiological survey of mice (Mus. musculus) purchased from commercial pet shops in Kanagawa and Tokyo, Japan. Exp. Anim. 2015, 64, 155–160. [Google Scholar] [CrossRef]
- Chagas, C.R.F.; Gonzalez, I.H.L.; Favoretto, S.M.; Ramos, P.L. Parasitological surveillance in a rat (Rattus norvegicus) colony in São Paulo Zoo animal house. Ann. Parasitol. 2017, 63, 291–297. [Google Scholar]
- Steenkeste, N.; Rogers, W.O.; Okell, L.; Jeanne, I.; Incardona, S.; Duval, L.; Chy, S.; Hewitt, S.; Chou, M.; Socheat, D.; et al. Sub-microscopic malaria cases and mixed malaria infection in a remote area of high malaria endemicity in Rattanakiri province, Cambodia: Implication for malaria elimination. Malar. J. 2010, 9, 108. [Google Scholar] [CrossRef]
- Daniels, M.E.; Smith, W.A.; Jenkins, M.W. Estimating Cryptosporidium and Giardia disease burdens for children drinking untreated groundwater in a rural population in India. PLoS Negl. Trop. Dis. 2018, 12, e0006231. [Google Scholar] [CrossRef]
- Hess, J. Review of current methods for the detection of Trichomonas in clinical material. J. Clin. Pathol. 1969, 22, 269–272. [Google Scholar] [CrossRef]
- Inoue, T.; Hayashimoto, N.; Yasuda, M.; Sasaki, E.; Itoh, T. Pentatrichomonas hominis in laboratory-bred common marmosets. Exp. Anim. 2015, 64, 363–368. [Google Scholar] [CrossRef]
- Abou Gamra, M.M.; Kamel, H.H.; Ezz Eldin, H.M.; Taha Zahran, F.M. Efficacy of netropsin dihydrochloride against the viability, cytopathogenicity and hemolytic activity of Trichomonas vaginalis clinical isolates. J. Infect. Chemother. 2019, 25, 955–964. [Google Scholar] [CrossRef]
- Chudnovskiy, A.; Mortha, A.; Kana, V.; Kennard, A.; Ramirez, J.D.; Rahman, A.; Remark, R.; Mogno, I.; Ng, R.; Gnjatic, S.; et al. Host-protozoan interactions protect from mucosal infections through activation of the inflammasome. Cell 2016, 167, 444–456.e14. [Google Scholar] [CrossRef]
- Ghindilis, A.L.; Chesnokov, O.; Ngasala, B.; Smith, M.W.; Smith, K.; Mårtensson, A.; Oleinikov, A.V. Detection of sub-microscopic blood levels of Plasmodium falciparum using Tandem Oligonucleotide Repeat Cascade Amplification (TORCA) assay with an attomolar detection limit. Sci. Rep. 2019, 9, 2901. [Google Scholar] [CrossRef]
- Van de Peer, Y.; De Rijk, P.; Wuyts, J.; Winkelmans, T.; De Wachter, R. The European small subunit ribosomal RNA database. Nucleic Acids Res. 2000, 28, 175–176. [Google Scholar] [CrossRef]
- Olsen, G.J.; Woese, C.R. Ribosomal RNA: A key to phylogeny. FASEB J. 1993, 7, 113–123. [Google Scholar] [CrossRef]
- Van de Peer, Y.; De Wachter, R. Evolutionary relationships among the eukaryotic crown taxa taking into account site-to-site rate variation in 18S rRNA. J. Mol. Evol. 1997, 45, 619–630. [Google Scholar] [CrossRef]
- Yu, F.; Li, D.; Chang, Y.; Wu, Y.; Guo, Z.; Jia, L.; Xu, J.; Li, J.; Qi, M.; Wang, R.; et al. Molecular characterization of three intestinal protozoans in hospitalized children with different disease backgrounds in Zhengzhou, central China. Parasites Vectors 2019, 12, 543. [Google Scholar] [CrossRef]
- Chakrabarti, D.; Dame, J.B.; Gutell, R.R.; Yowell, C.A. Characterization of the rDNA unit and sequence analysis of the small subunit rRNA and 5.8S rRNA genes from Tritrichomonas foetus. Mol. Biochem. Parasitol. 1992, 52, 75–83. [Google Scholar] [CrossRef]
- Edgcomb, V.; Viscogliosi, E.; Simpson, A.G.; Delgado-Viscogliosi, P.; Roger, A.J.; Sogin, M.L. New insights into the phylogeny of Trichomonads inferred from small subunit rRNA sequences. Protist 1998, 149, 359–366. [Google Scholar] [CrossRef]
- Lumsden, T.; Bentley, A.A.; Beutler, W.; Ghosh, A.; Galkin, O.; Komar, A.A. Yeast strains with N-terminally truncated ribosomal protein S5: Implications for the evolution, structure and function of the Rps5/Rps7 proteins. Nucleic Acids Res. 2010, 38, 1261–1272. [Google Scholar] [CrossRef]
- Hawley, A.K.; Torres-Beltrán, M.; Zaikova, E.; Walsh, D.A.; Mueller, A.; Scofield, M.; Kheirandish, S.; Payne, C.; Pakhomova, L.; Bhatia, M.; et al. A compendium of multi-omic sequence information from the Saanich Inlet water column. Sci. Data 2017, 4, 170160. [Google Scholar] [CrossRef]
- Ajonina, C.; Buzie, C.; Möller, J.; Otterpohl, R. The detection of Entamoeba histolytica and Toxoplasma gondii in wastewater. J. Toxicol. Environ. Health A 2018, 81, 1–5. [Google Scholar] [CrossRef]
- Li, W.C.; Wang, K.; Li, Y.; Zhao, L.P.; Xiao, Y.; Gu, Y.F. Survey and molecular characterization of Trichomonads in pigs in Anhui Province, East China, 2014. Iran. J. Parasitol. 2018, 13, 602–610. [Google Scholar]
- Vejano, M.R.A.; Dela Peña, L.B.R.O.; Rivera, W.L. Occurrence of Giardia duodenalis in selected stations and tributary rivers of Laguna Lake, Philippines. Environ. Monit. Assess. 2021, 193, 466. [Google Scholar] [CrossRef]
- Keller, M.; Naue, J.; Zengerle, R.; von Stetten, F.; Schmidt, U. Automated forensic animal family identification by nested PCR and melt curve analysis on an Off-the-Shelf thermocycler augmented with a centrifugal microfluidic disk segment. PLoS ONE 2015, 10, e0131845. [Google Scholar] [CrossRef]
- Saeki, H.; Togo, M.; Imai, S.; Ishii, T. A new method for the serial cultivation of Tritrichomonas muris. Nihon Juigaku Zasshi. 1983, 45, 151–156. [Google Scholar] [CrossRef]
- Howitt, M.R.; Lavoie, S.; Michaud, M.; Blum, A.M.; Tran, S.V.; Weinstock, J.V.; Gallini, C.A.; Redding, K.; Margolskee, R.F.; Osborne, L.C.; et al. Tuft cells, taste-chemosensory cells, orchestrate parasite type 2 immunity in the gut. Science 2016, 351, 1329–1333. [Google Scholar] [CrossRef] [PubMed]
- Riggio, M.P.; Lennon, A.; Wray, D. Detection of Helicobacter pylori DNA in recurrent aphthous stomatitis tissue by PCR. J. Oral Pathol. Med. 2000, 29, 507–513. [Google Scholar] [CrossRef] [PubMed]
- Riggio, M.P.; Lennon, A. Development of a novel PCR assay for detection of Prevotella oris in clinical specimens. FEMS Microbiol. Lett. 2007, 276, 123–128. [Google Scholar] [CrossRef] [PubMed][Green Version]
- Tamura, K.; Stecher, G.; Peterson, D.; Filipski, A.; Kumar, S. MEGA6: Molecular evolutionary genetics analysis version 6.0. Mol. Biol. Evol. 2013, 30, 2725–2729. [Google Scholar] [CrossRef]
- Steingart, K.R.; Henry, M.; Ng, V.; Hopewell, P.C.; Ramsay, A.; Cunningham, J.; Urbanczik, R.; Perkins, M.; Aziz, M.A.; Pai, M. Fluorescence versus conventional sputum smear microscopy for tuberculosis: A systematic review. Lancet Infect. Dis. 2006, 6, 570–581. [Google Scholar] [CrossRef]
- Namagembe, A.; Ssekabira, U.; Weaver, M.R.; Blum, N.; Burnett, S.; Dorsey, G.; Sebuyira, L.M.; Ojaku, A.; Schneider, G.; Willis, K.; et al. Improved clinical and laboratory skills after team-based, malaria case management training of health care professionals in Uganda. Malar. J. 2012, 11, 44. [Google Scholar] [CrossRef]
- Bjerrum, S.; Schiller, I.; Dendukuri, N.; Kohli, M.; Nathavitharana, R.R.; Zwerling, A.A.; Denkinger, C.M.; Steingart, K.R.; Shah, M. Lateral flow urine lipoarabinomannan assay for detecting active tuberculosis in people living with HIV. Cochrane Database Syst. Rev. 2019, 10, CD011420. [Google Scholar] [CrossRef]
- Ren, N.; JinLi, J.; Chen, Y.; Zhou, X.; Wang, J.; Ge, P.; Khan, F.A.; Zhang, L.; Hu, C.; Robertson, I.D.; et al. Identification of new diagnostic biomarkers for Mycobacterium tuberculosis and the potential application in the serodiagnosis of human tuberculosis. Microb. Biotechnol. 2018, 11, 893–904. [Google Scholar] [CrossRef]
- Lam, W.Y.; Yeung, A.C.; Tang, J.W.; Ip, M.; Chan, E.W.; Hui, M.; Chan, P.K. Rapid multiplex nested PCR for detection of respiratory viruses. J. Clin. Microbiol. 2007, 45, 3631–3640. [Google Scholar] [CrossRef]
- Osaki, S.C.; Soccol, V.T.; Costa, A.O.; Oliveira-Silva, M.B.; Pereira, J.T.; Procópio, A.E. Polymerase chain reaction and nested-PCR approaches for detecting Cryptosporidium in water catchments of water treatment plants in Curitiba, State of Paraná, Brazil. Rev. Soc. Bras. Med. Trop. 2013, 46, 270–276. [Google Scholar] [CrossRef]
- Šeligová, B.; Lukáč, Ľ.; Bábelová, M.; Vávrová, S.; Sulo, P. Diagnostic reliability of nested PCR depends on the primer design and threshold abundance of Helicobacter pylori in biopsy, stool, and saliva samples. Helicobacter 2020, 25, e12680. [Google Scholar] [CrossRef] [PubMed]
- Smolejová, M.; Cihová, I.; Sulo, P. Reliable and sensitive nested PCR for the detection of chlamydia in sputum. Microorganisms 2021, 9, 935. [Google Scholar] [CrossRef] [PubMed]
- Lin, C.; Ying, F.; Lai, Y.; Li, X.; Xue, X.; Zhou, T.; Hu, D. Use of nested PCR for the detection of Trichomonads in bronchoalveolar lavage fluid. BMC Infect. Dis. 2019, 19, 512. [Google Scholar] [CrossRef] [PubMed]
- Overbaugh, J.; McClelland, R.S.; John-Stewart, G. HIV acquisition during pregnancy and postpartum is associated with genital infections and partnership characteristics. AIDS 2015, 29, 2025–2033. [Google Scholar]
- Da Costa, A.; Graham, T.; Duncan, J.; Pillai, S.; Jennifer, L. Detection and treatment strategy for Tritrichomonas muris in the common laboratory mouse. bioRxiv 2019, 11, 827055. [Google Scholar] [CrossRef]
- Aguirre, E.; Tesouro, M.; Amusategui, I.; Rodríguez-Franco, F.; Sainz, A. Comparison between different polymerase chain reaction methods for the diagnosis of Ehrlichia canis infection. Ann. N. Y. Acad. Sci. 2008, 1149, 118–120. [Google Scholar] [CrossRef]
- Noh, C.S.; Kim, S.S.; Park, S.Y.; Moon, H.S.; Hong, Y.; Ryu, J.S. Comparison of Two PCR Assays for Trichomonas vaginalis. Korean J. Parasitol. 2019, 57, 27–31. [Google Scholar] [CrossRef]
- Dandasena, D.; Bhandari, V.; Sreenivasamurthy, G.S.; Murthy, S.; Roy, S.; Bhanot, V.; Arora, J.S.; Singh, S.; Sharma, P. A Real-Time PCR based assay for determining parasite to host ratio and parasitaemia in the clinical samples of Bovine Theileriosis. Sci. Rep. 2018, 8, 15441. [Google Scholar] [CrossRef]
- Murthy, S.; Suresh, A.; Dandasena, D.; Singh, S.; Subudhi, M.; Bhandari, V.; Bhanot, V.; Arora, J.S.; Sharma, P. Multiplex ddPCR: A promising diagnostic assay for early detection and drug monitoring in Bovine Theileriosis. Pathogens 2023, 12, 296. [Google Scholar] [CrossRef]
- Fayer, R.; Santin, M.; Macarisin, D. Detection of concurrent infection of dairy cattle with Blastocystis, Cryptosporidium, Giardia, and Enterocytozoon by molecular and microscopic methods. Parasitol. Res. 2012, 111, 1349–1355. [Google Scholar] [CrossRef]
- Belkessa, S.; Thomas-Lopez, D.; Houali, K.; Ghalmi, F.; Stensvold, C.R. Molecular characterization of Giardia duodenalis in children and adults sampled in Algeria. Microorganisms 2020, 9, 54. [Google Scholar] [CrossRef] [PubMed]
- Ryan, U.; Zahedi, A.; Feng, Y.; Xiao, L. An update on zoonotic Cryptosporidium species and genotypes in Humans. Animals 2021, 11, 3307. [Google Scholar] [CrossRef] [PubMed]
- Zhang, N.; Zhang, H.; Yu, Y.; Gong, P.; Li, J.; Li, Z.; Li, T.; Cong, Z.; Tian, C.; Liu, X.; et al. High prevalence of Pentatrichomonas hominis infection in gastrointestinal cancer patients. Parasites Vectors 2019, 12, 423. [Google Scholar] [CrossRef]
- Zhang, H.; Zhang, N.; Gong, P.; Cheng, S.; Wang, X.; Li, X.; Hou, Z.; Liu, C.; Bi, T.; Wang, B.; et al. Prevalence and molecular characterization of Pentatrichomonas hominis in Siberian tigers (Panthera tigris altaica) in northeast China. Integr. Zool. 2022, 17, 543–549. [Google Scholar] [CrossRef]
- Herath, S.; Balendran, T.; Herath, A.; Iddawela, D.; Wickramasinghe, S. Comparison of diagnostic methods and analysis of socio-demographic factors associated with Trichomonas vaginalis infection in Sri Lanka. PLoS ONE 2021, 16, e0258556. [Google Scholar] [CrossRef]
- Martínez-Herrero, M.C.; Garijo-Toledo, M.M.; Liebhart, D.; Ganas, P.; Martínez-Díaz, R.A.; Ponce-Gordo, F.; Carrero-Ruiz, A.; Hess, M.; Gómez-Muñoz, M.T. Novel avian oropharyngeal trichomonads isolated from European turtle doves (Streptopelia turtur) and racing pigeons (Columba livia): Genetic and morphometric characterisation of clonal cultures. Infect. Genet. Evol. 2017, 55, 93–103. [Google Scholar] [CrossRef] [PubMed]
- Santín, M.; Cortés Vecino, J.A.; Fayer, R. A large scale molecular study of Giardia duodenalis in horses from Colombia. Vet. Parasitol. 2013, 196, 31–36. [Google Scholar] [CrossRef]
- Jian, Y.; Zhang, X.; Li, X.; Karanis, G.; Ma, L.; Karanis, P. Prevalence and molecular characterization of Giardia duodenalis in cattle and sheep from the Qinghai-Tibetan Plateau Area (QTPA), northwestern China. Vet. Parasitol. 2018, 250, 40–44. [Google Scholar] [CrossRef]
- Fan, Y.; Wang, X.; Yang, R.; Zhao, W.; Li, N.; Guo, Y.; Xiao, L.; Feng, Y. Molecular characterization of the waterborne pathogens Cryptosporidium spp., Giardia duodenalis, Enterocytozoon bieneusi, Cyclospora cayetanensis and Eimeria spp. in wastewater and sewage in Guangzhou, China. Parasites Vectors 2021, 14, 66. [Google Scholar] [CrossRef]
- Xu, J.; Liu, H.; Jiang, Y.; Jing, H.; Cao, J.; Yin, J.; Li, T.; Sun, Y.; Shen, Y.; Wang, X. Genotyping and subtyping of Cryptosporidium spp. and Giardia duodenalis isolates from two wild rodent species in Gansu Province, China. Sci. Rep. 2022, 12, 12178. [Google Scholar] [CrossRef]
- Zhang, H.; Shan, F.; Zhou, X.; Li, B.; Zhai, J.Q.; Zou, S.Z.; Wu, M.F.; Chen, W.; Zhai, S.L.; Luo, M.L. Outbreak and genotyping of canine distemper virus in captive Siberian tigers and red pandas. Sci. Rep. 2017, 7, 8132. [Google Scholar] [CrossRef] [PubMed]
- Loew, F.M. The animal welfare bête noire in veterinary medicine. Can. Vet. J. 1987, 28, 689–692. [Google Scholar] [PubMed]
- Marx, J.O.; Jacobsen, K.O.; Petervary, N.A.; Casebolt, D.B. A survey of laboratory animal veterinarians regarding mouse welfare in biomedical research. J. Am. Assoc. Lab. Anim. Sci. 2021, 60, 139–145. [Google Scholar] [CrossRef]
- Korbonits, L.; Kleinwort, K.J.H.; Amann, B.; Didier, A.; Märtlbauer, E.; Hauck, S.M.; Deeg, C.A. Mycobacterium avium subsp. paratuberculosis infected cows reveal divergent immune response in bovine peripheral blood derived lymphocyte proteome. Metabolites 2022, 12, 924. [Google Scholar] [CrossRef]
- Whiting, T.L.; Brennan, S.C.; Wruck, G.C. The veterinary profession’s role in policing animal welfare. Can. Vet. J. 2006, 47, 1065–1072. [Google Scholar]
- Thodberg, K.; Gould, L.M.; Støier, S.; Anneberg, I.; Thomsen, P.T.; Herskin, M.S. Experiences and opinions of Danish livestock drivers transporting sows regarding fitness for transport and management choices relevant for animal welfare. Transl. Anim. Sci. 2020, 4, txaa015. [Google Scholar] [CrossRef] [PubMed]
- Yang, Y.; Liu, S.; Lei, Z.; Chen, G.; Huang, L.; Yang, F.; Lei, Y.; Liu, Y.; Yang, L.; Liu, W.; et al. Circular RNA profile in liver tissue of EpCAM knockout mice. Int. J. Mol. Med. 2019, 44, 1063–1077. [Google Scholar] [CrossRef]
- Vonesch, N.; Binazzi, A.; Bonafede, M.; Melis, P.; Ruggieri, A.; Iavicoli, S.; Tomao, P. Emerging zoonotic viral infections of occupational health importance. Pathog. Dis. 2019, 77, ftz018. [Google Scholar] [CrossRef]





| Species Names | GenBank No. | Product Size (bp) | Taxonomy ID |
|---|---|---|---|
| Tririchomonas muris | AY886846.1 | 1502 | 5726 |
| Tritrichomonas foetus | U17509.1 | 1569 | 1,144,522 |
| Trichomonas tenax | U37711.1 | 1580 | 43,075 |
| Pentatrichomonas hominis | AF124609.1 | 1504 | 5728 |
| Dientamoeba fragilis | U37461.1 | 1676 | 43,352 |
| Entamoeba histolytica | AB197936.1 | 1941 | 5759 |
| Cryptosporidium parvum | AF040725.1 | 7820 | 5807 |
| Blastocystis hominis | U51151.1 | 1770 | 12,968 |
| Toxoplasma gondii | M97703.1 | 1795 | 5811 |
| Eimeria tenella | AB564274.1 | 1829 | 5802 |
| Giardia intestinalis | L29192.1 | 1844 | 5741 |
| Trichomonas vaginalis | AY677680.1 | 2032 | 5722 |
| Trichomonas gallinae | MK172847.1 | 1924 | 56,777 |
| Tetratrichomonas sp. | MT011382.1 | 1624 | 1,851,209 |
| Tetratrichomonas gallinarum | AY245144.1 | 1512 | 5730 |
| Pseudotrichomonas keilini | U17511.1 | 1569 | 39,065 |
| Histomonas meleagridis | AF293056.1 | 1602 | 135,588 |
| Trichomitus batrachorum | MH321573.1 | 1496 | 5732 |
| Hypotrichomonas acosta | KJ591565.1 | 1515 | 5735 |
| Reaction System | Size of Amplified Fragment | Tm | Mg2+ | No. of Cycles |
|---|---|---|---|---|
| The 1st PCR | 906 bp | 61.0 °C | 4.0 mmol/L | 30 cycles |
| The 2nd PCR | 384 bp | 56.0 °C | 4.0 mmol/L | 30 cycles |
| Category | No. | No. Positive (%) | No. Positive Using Microscope (%) | p-Value | df | χ2 | % (95% CI) |
|---|---|---|---|---|---|---|---|
| C57/BL-6J mice | 60 | 8 (13.33%) | 5 (8.33%) | 0.01 | 1 | 6.708 | 3.25 (1.295–8.136) |
| Kunming mice | 60 | 13 (21.67%) | 12 (20%) | 0.152 | 1 | 2.048 | 1.808 (0.8–4.087) |
| BALB/C mice | 60 | 12 (20%) | 8 (13.33%) | 0.099 | 1 | 2.7 | 2.0 (0.872–4.585) |
| Gerbil mice | 60 | 20 (33.33%) | 16 (26.67%) | - | 1 | - | Reference |
| BALB/C nude mice | 66 | 5 (7.5%) | 2 (3.03%) | 0 | 1 | 13.1 | 6.1 (2.118–17.572) |
| Total | 306 | 58 (18.96%) | 43 (14.05%) |
| Microscope | Nested PCR | |
|---|---|---|
| True positive samples | 43 | 58 |
| False negative samples | 15 | 0 |
| True negative samples | 248 | 248 |
| False positive samples | 0 | 0 |
| Diagnostic sensitivity | 74% | 100% |
| Diagnostic specificity | 100% | 100% |
Disclaimer/Publisher’s Note: The statements, opinions and data contained in all publications are solely those of the individual author(s) and contributor(s) and not of MDPI and/or the editor(s). MDPI and/or the editor(s) disclaim responsibility for any injury to people or property resulting from any ideas, methods, instructions or products referred to in the content. |
© 2023 by the authors. Licensee MDPI, Basel, Switzerland. This article is an open access article distributed under the terms and conditions of the Creative Commons Attribution (CC BY) license (https://creativecommons.org/licenses/by/4.0/).
Share and Cite
Zhang, H.; Zhang, N.; Li, J.; Zhao, P.; Li, X.; Wang, X.; Zhang, X.; Yuan, B.; Gao, F.; Gong, P.; et al. Development of Nested Polymerase Chain Reaction with Novel Specific Primers for Detection of Tritrichomonas muris Infection in Laboratory Mice. Animals 2023, 13, 3177. https://doi.org/10.3390/ani13203177
Zhang H, Zhang N, Li J, Zhao P, Li X, Wang X, Zhang X, Yuan B, Gao F, Gong P, et al. Development of Nested Polymerase Chain Reaction with Novel Specific Primers for Detection of Tritrichomonas muris Infection in Laboratory Mice. Animals. 2023; 13(20):3177. https://doi.org/10.3390/ani13203177
Chicago/Turabian StyleZhang, Hongbo, Nan Zhang, Jianhua Li, Panpan Zhao, Xin Li, Xiaocen Wang, Xu Zhang, Bao Yuan, Fei Gao, Pengtao Gong, and et al. 2023. "Development of Nested Polymerase Chain Reaction with Novel Specific Primers for Detection of Tritrichomonas muris Infection in Laboratory Mice" Animals 13, no. 20: 3177. https://doi.org/10.3390/ani13203177
APA StyleZhang, H., Zhang, N., Li, J., Zhao, P., Li, X., Wang, X., Zhang, X., Yuan, B., Gao, F., Gong, P., & Zhang, X. (2023). Development of Nested Polymerase Chain Reaction with Novel Specific Primers for Detection of Tritrichomonas muris Infection in Laboratory Mice. Animals, 13(20), 3177. https://doi.org/10.3390/ani13203177

