Knee Joint Osteoarthritis in Overweight Cats: The Clinical and Radiographic Findings
Abstract
Simple Summary
Abstract
1. Introduction
2. Materials and Methods
2.1. Study Design
2.2. Clinical Data Collection
2.3. Radiological Data Collection
2.4. Data Processing
2.5. Statistical Analyses
2.5.1. Descriptive Statistics
2.5.2. Prevalence of Symptoms and Signs of Knee Joint OA
3. Results
3.1. Descriptive Statistics Results
3.2. Prevalence of Symptoms and Signs of Knee Joint OA
4. Discussion
5. Conclusions
Author Contributions
Funding
Institutional Review Board Statement
Informed Consent Statement
Data Availability Statement
Conflicts of Interest
References
- Kraus, V.B.; Blanco, F.J.; Englund, M.; Karsdal, M.A.; Lohmander, L.S. Call for standardized definitions of osteoarthritis and risk stratification for clinical trials and clinical use. Osteoarthr. Cartil. 2015, 23, 1233–1241. [Google Scholar] [CrossRef] [PubMed]
- Cope, P.; Ourradi, K.; Li, Y.; Sharif, M. Models of osteoarthritis: The good, the bad and the promising. Osteoarthr. Cartil. 2019, 27, 230–239. [Google Scholar] [CrossRef] [PubMed]
- Nganvongpanit, K.; Soponteerakul, R.; Kaewkumpai, P.; Punyapornwithaya, V.; Buddhachat, K.; Nomsiri, R.; Kaewmong, P.; Kittiwatanawong, K.; Chawangwongsanukun, R.; Angkawanish, T.; et al. Osteoarthritis in two marine mammals and 22 land mammals: Learning from skeletal remains. J. Anat. 2017, 231, 140–155. [Google Scholar] [CrossRef] [PubMed]
- Clarke, S.; Mellor, D.; Clements, D.; Gemmill, T.; Farrell, M.; Carmichael, S.; Bennett, D. Prevalence of radiographic signs of degenerative joint disease in a hospital population of cats. Vet. Rec. 2005, 157, 793–799. [Google Scholar] [CrossRef] [PubMed]
- Godfrey, D. Osteoarthritis in cats: A retrospective radiological study. J. Small Anim. Pract. 2005, 46, 425–429. [Google Scholar] [CrossRef]
- Hardie, E.M.; Roe, S.C.; Martin, F.R. Radiographic evidence of degenerative joint disease in geriatric cats: 100 cases (1994–1997). J. Am. Vet. Med. Assoc. 2002, 220, 628–632. [Google Scholar] [CrossRef]
- Freire, M.; Robertson, I.; Bondell, H.D.; Brown, J.; Hash, J.; Pease, A.P.; Lascelles, B.D.X. Radiographic evaluation of feline appendicular degenerative joint disease vs. macroscopic appearance of articular cartilage. Vet. Radiol. Ultrasound 2011, 52, 239–247. [Google Scholar] [CrossRef]
- Slingerland, L.; Hazewinkel, H.; Meij, B.; Picavet, P.; Voorhout, G. Cross-sectional study of the prevalence and clinical features of osteoarthritis in 100 cats. Vet. J. 2011, 187, 304–309. [Google Scholar] [CrossRef]
- Lascelles, B.D.X.; Henry III, J.B.; Brown, J.; Robertson, I.; Sumrell, A.T.; Simpson, W.; Wheeler, S.; Hansen, B.D.; Zamprogno, H.; Freire, M.; et al. Cross-sectional study of the prevalence of radiographic degenerative joint disease in domesticated cats. Vet. Surg. 2010, 39, 535–544. [Google Scholar] [CrossRef]
- Gandolfi, B.; Alamri, S.; Darby, W.; Adhikari, B.; Lattimer, J.; Malik, R.; Wade, C.M.; Lyons, L.A.; Cheng, J.; Bateman, J.F.; et al. A dominant TRPV4 variant underlies osteochondrodysplasia in Scottish fold cats. Osteoarthr. Cartil. 2016, 24, 1441–1450. [Google Scholar] [CrossRef]
- Macri, B.; Marino, F.; Mazzullo, G.; Trusso, A.; De Maria, R.; Amedeo, S.; Divari, S.; Castagnaro, M. Mucopolysaccharidosis VI in a Siamese/short-haired European cat. J. Vet. Med. Ser. A 2002, 49, 438–442. [Google Scholar] [CrossRef]
- Valastro, C.; Di Bello, A.; Crovace, A. Congenital elbow subluxation in a cat. Vet. Radiol. Ultrasound 2005, 46, 63–64. [Google Scholar] [CrossRef]
- Lemetayer, J.; Taylor, S. Inflammatory joint disease in cats: Diagnostic approach and treatment. J. Feline Med. Surg. 2014, 16, 547–562. [Google Scholar] [CrossRef]
- Keller, G.; Reed, A.; Lattimer, J.; Corley, E. Hip dysplasia: A feline population study. Vet. Radiol. Ultrasound 1999, 40, 460–464. [Google Scholar] [CrossRef]
- Perry, K. Feline hip dysplasia: A challenge to recognise and treat. J. Feline Med. Surg. 2016, 18, 203–218. [Google Scholar] [CrossRef]
- Prior, J. Luxating patellae in Devon rex cats. Vet. Rec. 1985, 117, 154–155. [Google Scholar] [CrossRef]
- Hamish, R.D.; Butterworth, S. A Guide to Canine and Feline Orthopaedic Surgery; Blackwell Science Ltd, Cap: Oxford, UK, 2000; Volume 12, p. 91. [Google Scholar]
- Černá, P.; Timmermans, J.; Komenda, D.; Nỳvltová, I.; Proks, P. The Prevalence of Feline Hip Dysplasia, Patellar Luxation and Lumbosacral Transitional Vertebrae in Pedigree Cats in The Czech Republic. Animals 2021, 11, 2482. [Google Scholar] [CrossRef]
- Houlton, J.; Meynink, S. Medial patellar luxation in the cat. J. Small Anim. Pract. 1989, 30, 349–352. [Google Scholar] [CrossRef]
- Woodell-May, J.E.; Sommerfeld, S.D. Role of inflammation and the immune system in the progression of osteoarthritis. J. Orthop. Res. 2020, 38, 253–257. [Google Scholar] [CrossRef]
- Hunter, D.J. Pharmacologic therapy for osteoarthritis—the era of disease modification. Nat. Rev. Rheumatol. 2011, 7, 13–22. [Google Scholar] [CrossRef]
- Ramírez-Flores, G.I.; Del Angel-Caraza, J.; Quijano-Hernández, I.A.; Hulse, D.A.; Beale, B.S.; Victoria-Mora, J.M. Correlation between osteoarthritic changes in the stifle joint in dogs and the results of orthopedic, radiographic, ultrasonographic and arthroscopic examinations. Vet. Res. Commun. 2017, 41, 129–137. [Google Scholar] [CrossRef] [PubMed]
- Klinck, M.P.; Frank, D.; Guillot, M.; Troncy, E. Owner-perceived signs and veterinary diagnosis in 50 cases of feline osteoarthritis. Can. Vet. J. 2012, 53, 1181. [Google Scholar]
- Klinck, M.P.; Rialland, P.; Guillot, M.; Moreau, M.; Frank, D.; Troncy, E. Preliminary validation and reliability testing of the Montreal Instrument for Cat Arthritis Testing, for use by veterinarians, in a colony of laboratory cats. Animals 2015, 5, 1252–1267. [Google Scholar] [CrossRef]
- Lascelles, B.D.X.; Hansen, B.D.; Roe, S.; DePuy, V.; Thomson, A.; Pierce, C.C.; Smith, E.S.; Rowinski, E. Evaluation of client-specific outcome measures and activity monitoring to measure pain relief in cats with osteoarthritis. J. Vet. Intern. Med. 2007, 21, 410–416. [Google Scholar] [CrossRef] [PubMed]
- Bennett, D.; Zainal Ariffin, S.M.b.; Johnston, P. Osteoarthritis in the cat: 1. How common is it and how easy to recognise? J. Feline Med. Surg. 2012, 14, 65–75. [Google Scholar] [CrossRef] [PubMed]
- Godfrey, D.; Vaughan, L. Historical prevalence of radiological appendicular osteoarthritis in cats (1972–1973). J. Am. Anim. Hosp. Assoc. 2018, 54, 209–212. [Google Scholar] [CrossRef]
- Bennett, D.; Morton, C. A study of owner observed behavioural and lifestyle changes in cats with musculoskeletal disease before and after analgesic therapy. J. Feline Med. Surg. 2009, 11, 997–1004. [Google Scholar] [CrossRef]
- KuKanich, K.; George, C.; Roush, J.K.; Sharp, S.; Farace, G.; Yerramilli, M.; Peterson, S.; Grauer, G.F. Effects of low-dose meloxicam in cats with chronic kidney disease. J. Feline Med. Surg. 2021, 23, 138–148. [Google Scholar] [CrossRef]
- Gunew, M.N.; Menrath, V.H.; Marshall, R.D. Long-term safety, efficacy and palatability of oral meloxicam at 0.01–0.03 mg/kg for treatment of osteoarthritic pain in cats. J. Feline Med. Surg. 2008, 10, 235–241. [Google Scholar] [CrossRef]
- King, J.N.; King, S.; Budsberg, S.C.; Lascelles, B.D.X.; Bienhoff, S.E.; Roycroft, L.M.; Roberts, E.S. Clinical safety of robenacoxib in feline osteoarthritis: Results of a randomized, blinded, placebo-controlled clinical trial. J. Feline Med. Surg. 2016, 18, 632–642. [Google Scholar]
- Kongara, K.; Chambers, J.P. Robenacoxib in the treatment of pain in cats and dogs: Safety, efficacy, and place in therapy. Vet. Med. Res. Rep. 2018, 9, 53–61. [Google Scholar]
- Guedes, V.; Castro, J.P.; Brito, I. Topical capsaicin for pain in osteoarthritis: A literature review. Reumatol. Clín. Engl. Ed. 2018, 14, 40–45. [Google Scholar] [CrossRef]
- Guedes, A.G.; Meadows, J.M.; Pypendop, B.H.; Johnson, E.G.; Zaffarano, B. Assessment of the effects of gabapentin on activity levels and owner-perceived mobility impairment and quality of life in osteoarthritic geriatric cats. J. Am. Vet. Med. Assoc. 2018, 253, 579–585. [Google Scholar] [CrossRef]
- Gruen, M.E.; Myers, J.A.; Lascelles, B.D.X. Efficacy and safety of an anti-nerve growth factor antibody (frunevetmab) for the treatment of degenerative joint disease-associated chronic pain in cats: A multisite pilot field study. Front. Vet. Sci. 2021, 8, 610028. [Google Scholar]
- Gruen, M.E.; Myers, J.A.; Tena, J.K.S.; Becskei, C.; Cleaver, D.M.; Lascelles, B.D.X. Frunevetmab, a felinized anti-nerve growth factor monoclonal antibody, for the treatment of pain from osteoarthritis in cats. J. Vet. Intern. Med. 2021, 35, 2752–2762. [Google Scholar] [CrossRef]
- Bradshaw, J. Normal feline behaviour:… and why problem behaviours develop. J. Feline Med. Surg. 2018, 20, 411–421. [Google Scholar] [CrossRef]
- Drum, M.G.; Bockstahler, B.; Levine, D.; Marcellin-Little, D.J. Feline rehabilitation. Vet. Clin. Small Anim. Pract. 2015, 45, 185–201. [Google Scholar] [CrossRef]
- Johnson, K.A.; Lee, A.H.; Swanson, K.S. Nutrition and nutraceuticals in the changing management of osteoarthritis for dogs and cats. J. Am. Vet. Med. Assoc. 2020, 256, 1335–1341. [Google Scholar] [CrossRef]
- Clarke, S.; Bennett, D. Feline osteoarthritis: A prospective study of 28 cases. J. Small Anim. Pract. 2006, 47, 439–445. [Google Scholar] [CrossRef]
- Leijon, A.; Ley, C.J.; Corin, A.; Ley, C. Cartilage lesions in feline stifle joints–Associations with articular mineralizations and implications for osteoarthritis. Res. Vet. Sci. 2017, 114, 186–193. [Google Scholar] [CrossRef]
- Voss, K.; Karli, P.; Montavon, P.M.; Geyer, H. Association of mineralisations in the stifle joint of domestic cats with degenerative joint disease and cranial cruciate ligament pathology. J. Feline Med. Surg. 2017, 19, 27–35. [Google Scholar] [CrossRef] [PubMed]
- Freire, M.; Brown, J.; Robertson, I.D.; Pease, A.P.; Hash, J.; Hunter, S.; Simpson, W.; Thomson Sumrell, A.; Lascelles, B.D.X. Meniscal mineralization in domestic cats. Vet. Surg. 2010, 39, 545–552. [Google Scholar] [CrossRef] [PubMed]
- Teng, K.T.; McGreevy, P.D.; Toribio, J.A.L.; Raubenheimer, D.; Kendall, K.; Dhand, N.K. Strong associations of nine-point body condition scoring with survival and lifespan in cats. J. Feline Med. Surg. 2018, 20, 1110–1118. [Google Scholar] [CrossRef] [PubMed]
- Lascelles, B.D.X.; Dong, Y.H.; Marcellin-Little, D.J.; Thomson, A.; Wheeler, S.; Correa, M. Relationship of orthopedic examination, goniometric measurements, and radiographic signs of degenerative joint disease in cats. BMC Vet. Res. 2012, 8, 1–8. [Google Scholar] [CrossRef] [PubMed]
- PECK, G. Manual of Small Animal Diagnostic Imaging; Wiley Online Library: Hoboken, NJ, USA, 1995. [Google Scholar]
- Morgan, J.P.; Wolvekamp, P. Atlas of Radiology of the Traumatized Dog and Cat: The Case-Based Approach, 2nd ed.; Schlütersche: Magdeburg, Germany, 2010. [Google Scholar]
- Kirberger, R.M.; McEvoy, F.J. BSAVA Manual of Canine and Feline Musculoskeletal Imaging; British Small Animal Veterinary Association: Quedgeley, UK, 2016. [Google Scholar]
- Kellgren, J.H.; Lawrence, J. Radiological assessment of osteo-arthrosis. Ann. Rheum. Dis. 1957, 16, 494. [Google Scholar] [CrossRef] [PubMed]
- Freire, M.; Meuten, D.; Lascelles, D. Pathology of articular cartilage and synovial membrane from elbow joints with and without degenerative joint disease in domestic cats. Vet. Pathol. 2014, 51, 968–978. [Google Scholar] [CrossRef]
- Ley, C.J.; Leijon, A.; Uhlhorn, M.; Marcelino, L.; Hansson, K.; Ley, C. Computed tomography is superior to radiography for detection of feline elbow osteoarthritis. Res. Vet. Sci. 2021, 140, 6–17. [Google Scholar] [CrossRef]
- Marshall, W.; Bockstahler, B.; Hulse, D.; Carmichael, S. A review of osteoarthritis and obesity: Current understanding of the relationship and benefit of obesity treatment and prevention in the dog. Vet. Comp. Orthop. Traumatol. 2009, 22, 339–345. [Google Scholar]
- Budsberg, S.C. Medical therapy for stifle osteoarthritis. In Advances in the Canine Cranial Cruciate Ligament; Wiley Online Library: Hoboken, NJ, USA, 2017; pp. 333–341. [Google Scholar]
- Bliddal, H.; Leeds, A.; Christensen, R. Osteoarthritis, obesity and weight loss: Evidence, hypotheses and horizons–a scoping review. Obes. Rev. 2014, 15, 578–586. [Google Scholar]
- Grotle, M.; Hagen, K.B.; Natvig, B.; Dahl, F.A.; Kvien, T.K. Obesity and osteoarthritis in knee, hip and/or hand: An epidemiological study in the general population with 10 years follow-up. BMC Musculoskelet. Disord. 2008, 9, 1–5. [Google Scholar]
- Reijman, M.; Pols, H.; Bergink, A.; Hazes, J.; Belo, J.; Lievense, A.; Bierma-Zeinstra, S. Body mass index associated with onset and progression of osteoarthritis of the knee but not of the hip: The Rotterdam Study. Ann. Rheum. Dis. 2007, 66, 158–162. [Google Scholar]
- Lim, Y.Z.; Wong, J.; Hussain, M.; Estee, M.M.; Zolio, L.; Page, M.J.; Harrison, C.L.; Wluka, A.E.; Wang, Y.; Cicuttini, F.M. Recommendations for weight management in osteoarthritis: A systematic review of clinical practice guidelines. Osteoarthr. Cartil. Open 2022, 4, 100298. [Google Scholar]
- Öhlund, M.; Palmgren, M.; Holst, B.S. Overweight in adult cats: A cross-sectional study. Acta Vet. Scand. 2018, 60, 1–10. [Google Scholar] [CrossRef]
- Courcier, E.; Mellor, D.; Pendlebury, E.; Evans, C.; Yam, P. An investigation into the epidemiology of feline obesity in Great Britain: Results of a cross-sectional study of 47 companion animal practises. Vet. Rec. 2012, 171, 560. [Google Scholar] [PubMed]
- Kanchuk, M.L.; Backus, R.C.; Calvert, C.C.; Morris, J.G.; Rogers, Q.R. Weight gain in gonadectomized normal and lipoprotein lipase–deficient male domestic cats results from increased food intake and not decreased energy expenditure. J. Nutr. 2003, 133, 1866–1874. [Google Scholar] [CrossRef] [PubMed]
- Anderson, K.L.; O’Neill, D.G.; Brodbelt, D.C.; Church, D.B.; Meeson, R.L.; Sargan, D.; Summers, J.F.; Zulch, H.; Collins, L.M. Prevalence, duration and risk factors for appendicular osteoarthritis in a UK dog population under primary veterinary care. Sci. Rep. 2018, 8, 5641. [Google Scholar] [CrossRef] [PubMed]
- Teng, K.T.; McGreevy, P.D.; Toribio, J.A.L.; Raubenheimer, D.; Kendall, K.; Dhand, N.K. Risk factors for underweight and overweight in cats in metropolitan Sydney, Australia. Prev. Vet. Med. 2017, 144, 102–111. [Google Scholar]
- Tarkosova, D.; Story, M.; Rand, J.; Svoboda, M. Feline obesity–prevalence, risk factors, pathogenesis, associated conditions and assessment: A review. Veter. Med. 2016, 61, 295–307. [Google Scholar]
- Pegram, C.; Raffan, E.; White, E.; Ashworth, A.; Brodbelt, D.; Church, D.; O’Neill, D. Frequency, breed predisposition and demographic risk factors for overweight status in dogs in the UK. J. Small Anim. Pract. 2021, 62, 521–530. [Google Scholar]
- Colliard, L.; Paragon, B.M.; Lemuet, B.; Bénet, J.J.; Blanchard, G. Prevalence and risk factors of obesity in an urban population of healthy cats. J. Feline Med. Surg. 2009, 11, 135–140. [Google Scholar] [CrossRef]
- Scarlett, J.; Donoghue, S. Associations between body condition and disease in cats. J. Am. Vet. Med. Assoc. 1998, 212, 1725–1731. [Google Scholar]
- Teunissen, M.; Mastbergen, S.C.; Spoelman, D.C.; Lafeber, F.P.; Ludwig, I.S.; Broere, F.; Tryfonidou, M.A.; Meij, B.P. Knee joint distraction in a dog as treatment for severe osteoarthritis. VCOT Open 2022, 5, e11–e17. [Google Scholar] [CrossRef]
- Lee, S.H.; Roh, Y.H.; Lee, D.B.; Cho, J.H.; Kim, C.H. Stifle Joint Arthrodesis for Treating Chronic-Osteoarthritis-Affected Dogs. Vet. Sci. 2023, 10, 407. [Google Scholar] [CrossRef]
- Watts, R.A.; Conaghan, P.G.; Denton, C.; Foster, H.; Isaacs, J.; Müller-Ladner, U. Clinical features of osteoarthritis. In Oxford Textbook of Rheumatology, 4th ed.; Oxford University Press: Oxford, UK, 2013. [Google Scholar]
- Buffington, C.T.; Bain, M. Stress and feline health. Vet. Clin. Small Anim. Pract. 2020, 50, 653–662. [Google Scholar] [CrossRef]
- Yaribeygi, H.; Panahi, Y.; Sahraei, H.; Johnston, T.P.; Sahebkar, A. The impact of stress on body function: A review. EXCLI J. 2017, 16, 1057. [Google Scholar]
- Stella, J.; Croney, C.; Buffington, T. Effects of stressors on the behavior and physiology of domestic cats. Appl. Anim. Behav. Sci. 2013, 143, 157–163. [Google Scholar] [CrossRef]
- Boyd, S.; Müller, R.; Leonard, T.; Herzog, W. Long-term periarticular bone adaptation in a feline knee injury model for post-traumatic experimental osteoarthritis. Osteoarthr. Cartil. 2005, 13, 235–242. [Google Scholar] [CrossRef]
- Del Vecchio, O.V. Magnetic resonance imaging findings in a cat with cranial cruciate ligament rupture. Vet. Rec. Case Rep. 2021, 9, e91. [Google Scholar] [CrossRef]
- Ciliberti, F.K.; Guerrini, L.; Gunnarsson, A.E.; Recenti, M.; Jacob, D.; Cangiano, V.; Tesfahunegn, Y.A.; Islind, A.S.; Tortorella, F.; Tsirilaki, M.; et al. CT-and MRI-based 3D reconstruction of knee joint to assess cartilage and bone. Diagnostics 2022, 12, 279. [Google Scholar] [CrossRef]
- Du, Y.; Almajalid, R.; Shan, J.; Zhang, M. A novel method to predict knee osteoarthritis progression on MRI using machine learning methods. IEEE Trans. Nanobiosci. 2018, 17, 228–236. [Google Scholar] [CrossRef]
- Chung, C.S.; Tu, Y.J.; Lin, L.S. Comparison of Digital Radiography, Computed Tomography, and Magnetic Resonance Imaging Features in Canine Spontaneous Degenerative Stifle Joint Osteoarthritis. Animals 2023, 13, 849. [Google Scholar] [CrossRef] [PubMed]
- Perry, K. Feline osteoarthritis: Diagnosis and management. In BSAVA Congress Proceedings 2019; BSAVA Library: Quedgeley, UK, 2019; pp. 404–405. [Google Scholar]
- Steenkamp, W.; Rachuene, P.A.; Dey, R.; Mzayiya, N.L.; Ramasuvha, B.E. The correlation between clinical and radiological severity of osteoarthritis of the knee. SICOT J. 2022, 8, 14. [Google Scholar] [CrossRef] [PubMed]




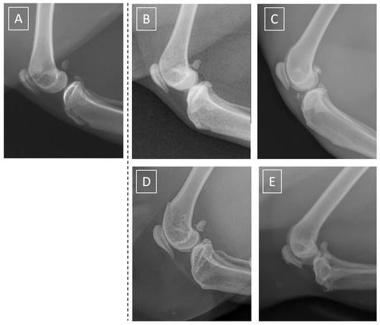
| Score | Severity | Radiographic Signs |
|---|---|---|
| 0 | normal | normal width and shape of the joint space; smooth cortical bone surface; normal subchondral bone pattern; no periosteal proliferation; no intra-articular mineralization |
| 1 | minor | normal width and normal or irregular joint space; normal or irregular cortical bone surface; smooth subchondral bone pattern; flat periosteal proliferation; minor intra-articular mineralization |
| 2 | mild | narrow and irregular joint space with osteophytes; irregular cortical bone surface with well-defined protuberance; smooth subchondral bone pattern; flat periosteal proliferation; mild intra-articular mineralization |
| 3 | moderate | narrow and irregular joint space with multiple osteophytes, enthesiophytes, and marked asymmetry; irregular cortical bone surface with well-defined bone proliferation; subchondral bone cyst; flat periosteal proliferation; moderate intra-articular mineralization |
| 4 | severe | completely narrow joint space with large osteophytes and enthesiophytes; severe deformation of cortical bone surface; subchondral bone sclerosis; flat or intense periosteal proliferation; severe intra-articular mineralization |
| Variables | UW | NW | OW | Total |
|---|---|---|---|---|
| Number of cats | 10 | 35 | 19 | 64 |
| Females | 6 (60%) | 15 (43%) | 2 (11%) | 23 (36%) |
| Neutered females | 2 (20%) | 5 (14%) | 9 (47%) | 16 (25%) |
| Males | 1 (10%) | 9 (26%) | 2 (11%) | 12 (19%) |
| Neutered males | 1 (10%) | 6 (17%) | 6 (32%) | 13 (20%) |
| Chi-square test | ||||
| UW | p = 0.53 | p < 0.0001 | p = 0.45 | |
| NW | p < 0.0001 | p = 0.38 | ||
| OW | p < 0.0001 |
| Variables | UW | NW | OW | Total |
|---|---|---|---|---|
| Number of cats | 10 | 35 | 19 | 64 |
| Clinical symptoms | ||||
| Joint pain | 2 (20%) | 11 (31%) | 4 (21%) | 17 (27%) |
| Joint swelling | 0 (0%) | 3 (9%) | 0 (0%) | 3 (5%) |
| Joint deformities | 3 (30%) | 8 (23%) | 4 (21%) | 15 (23%) |
| Lameness | 2 (20%) | 19 (54%) | 5 (26%) | 26 (41%) |
| Reluctance to move | 3 (30%) | 3 (9%) | 4 (21%) | 10 (16%) |
| Apathy | 9 (90%) | 17 (49%) | 17 (89%) | 43 (67%) |
| Sum | 2.5 (2; 4) | 2 (1; 3) | 2 (1; 3) | 2 (1; 3) |
| Chi-square test | ||||
| UW | p = 0.0004 | p = 0.0002 | p = 0.0005 | |
| NW | p < 0.0001 | p < 0.0001 | ||
| OW | p < 0.0001 |
| Variables | UW | NW | OW | Total |
|---|---|---|---|---|
| Number of cats | 10 | 35 | 19 | 64 |
| Radiographic signs | ||||
| Minor OA (score 1) | 1 (10%) | 17 (49%) | 10 (53%) | 28 (44%) |
| Mild OA (score 2) | 3 (30%) | 6 (17%) | 2 (11%) | 11 (17%) |
| Moderate OA (score 3) | 5 (50%) | 8 (23%) | 4 (21%) | 17 (27%) |
| Severe OA (score 4) | 1 (10%) | 4 (11%) | 3 (16%) | 8 (13%) |
| Chi-square test | ||||
| UW | p = 0.06 | p = 0.01 | p = 0.13 | |
| NW | p = 0.60 | p = 0.46 | ||
| OW | p = 0.76 |
Disclaimer/Publisher’s Note: The statements, opinions and data contained in all publications are solely those of the individual author(s) and contributor(s) and not of MDPI and/or the editor(s). MDPI and/or the editor(s) disclaim responsibility for any injury to people or property resulting from any ideas, methods, instructions or products referred to in the content. |
© 2023 by the authors. Licensee MDPI, Basel, Switzerland. This article is an open access article distributed under the terms and conditions of the Creative Commons Attribution (CC BY) license (https://creativecommons.org/licenses/by/4.0/).
Share and Cite
Bonecka, J.; Skibniewski, M.; Zep, P.; Domino, M. Knee Joint Osteoarthritis in Overweight Cats: The Clinical and Radiographic Findings. Animals 2023, 13, 2427. https://doi.org/10.3390/ani13152427
Bonecka J, Skibniewski M, Zep P, Domino M. Knee Joint Osteoarthritis in Overweight Cats: The Clinical and Radiographic Findings. Animals. 2023; 13(15):2427. https://doi.org/10.3390/ani13152427
Chicago/Turabian StyleBonecka, Joanna, Michał Skibniewski, Paweł Zep, and Małgorzata Domino. 2023. "Knee Joint Osteoarthritis in Overweight Cats: The Clinical and Radiographic Findings" Animals 13, no. 15: 2427. https://doi.org/10.3390/ani13152427
APA StyleBonecka, J., Skibniewski, M., Zep, P., & Domino, M. (2023). Knee Joint Osteoarthritis in Overweight Cats: The Clinical and Radiographic Findings. Animals, 13(15), 2427. https://doi.org/10.3390/ani13152427

