Computed Tomographic Assessment of Pituitary Gland Dimensions in Domestic Short-Haired Cats
Abstract
Simple Summary
Abstract
1. Introduction
2. Materials and Methods
2.1. Selection and Description of Subjects
2.2. CT Scan Protocol
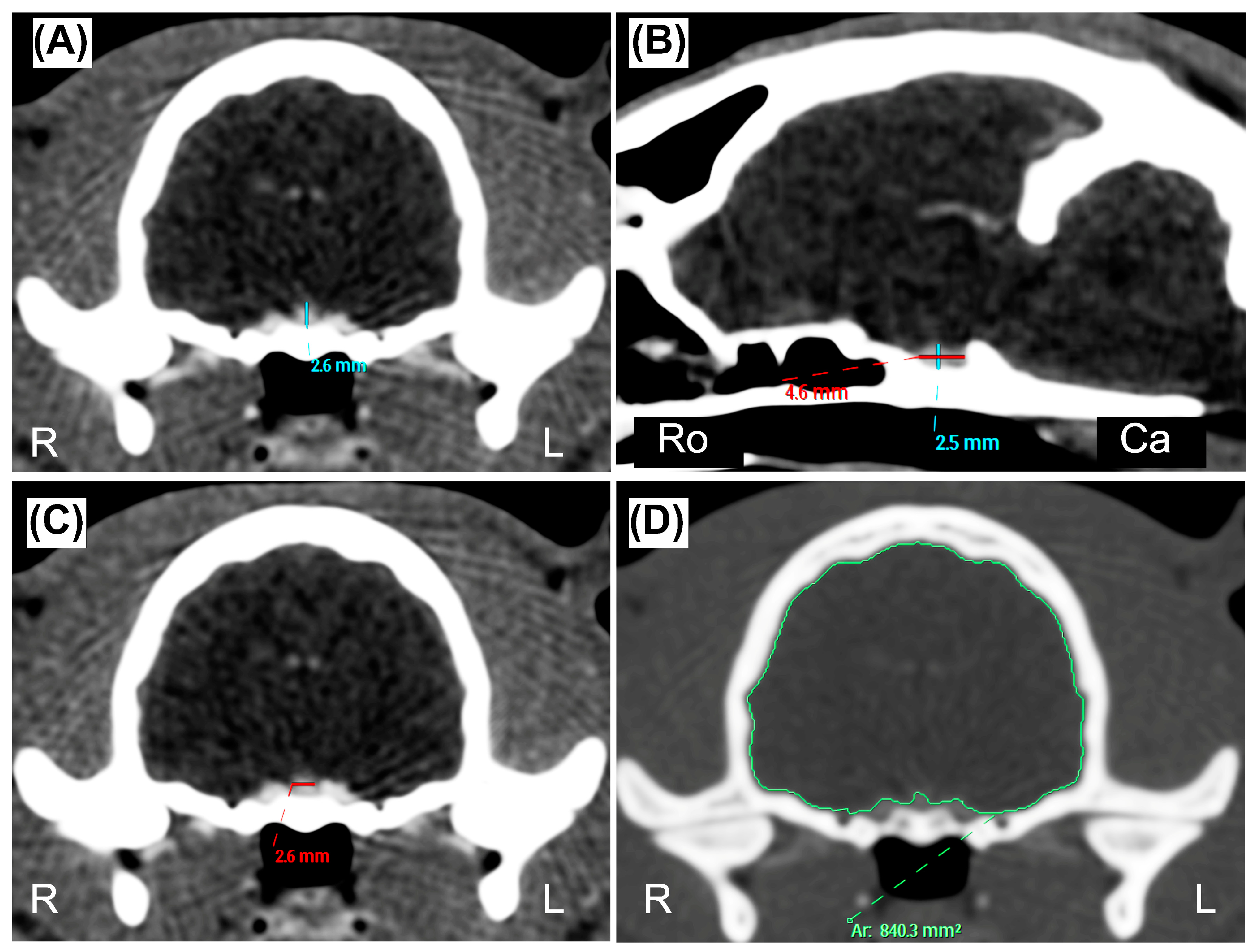
2.3. Data Recording and Image Analysis
2.4. Statistical Analysis
3. Results
4. Discussion
5. Conclusions
Author Contributions
Funding
Institutional Review Board Statement
Informed Consent Statement
Data Availability Statement
Conflicts of Interest
References
- Davis, S.W.; Ellsworth, B.S.; Peréz Millan, M.I.; Gergics, P.; Schade, V.; Foyouzi, N.; Brinkmeier, M.L.; Mortensen, A.H.; Camper, S.A. Pituitary gland development and disease: From stem cell to hormone production. Curr. Top. Dev. Biol. 2013, 106, 1–47. [Google Scholar] [CrossRef]
- Rosol, T.J.; Meuten, D.J. Tumors of the Endocrine Glands. In Tumors in Domestic Animals; Wiley: Chichester, UK, 2016; pp. 766–833. [Google Scholar] [CrossRef]
- Polledo, L.; Grinwis, G.C.M.; Graham, P.; Dunning, M.; Baiker, K. Pathological Findings in the Pituitary Glands of Dogs and Cats. Vet. Pathol. 2018, 55, 880–888. [Google Scholar] [CrossRef]
- Lunn, K.F.; Boston, S.E. 26—Tumors of the Endocrine System. In Withrow and MacEwen’s Small Animal Clinical Oncology, 6th ed.; Vail, D.M., Thamm, D.H., Liptak, J.M., Eds.; W.B. Saunders: St. Louis, MO, USA, 2020; pp. 565–596. [Google Scholar] [CrossRef]
- Lopes, M.B.S. The 2017 World Health Organization classification of tumors of the pituitary gland: A summary. Acta Neuropathol. 2017, 134, 521–535. [Google Scholar] [CrossRef]
- Sanders, K.; Galac, S.; Meij, B.P. Pituitary tumour types in dogs and cats. Vet. J. 2021, 270, 105623. [Google Scholar] [CrossRef]
- Holmes, S.P. Imaging the Feline Neurologic System. In Feline Diagnostic Imaging; Wiley: Chichester, UK, 2020; pp. 77–111. [Google Scholar] [CrossRef]
- Owen, T.J.; Martin, L.G.; Chen, A.V. Transsphenoidal Surgery for Pituitary Tumors and Other Sellar Masses. Vet. Clin. N. Am. Small Anim. Pract. 2018, 48, 129–151. [Google Scholar] [CrossRef]
- Hecht, S.; Schwarz, T. Pituitary Gland. In Veterinary Computed Tomography; Wiley: Chichester, UK, 2011; pp. 197–203. [Google Scholar] [CrossRef]
- Gunn-Moore, D. Feline endocrinopathies. Vet. Clin. N. Am. Small Anim. Pract. 2005, 35, 171–210. [Google Scholar] [CrossRef] [PubMed]
- Reusch, C.E. Chapter 2—Disorders of Growth Hormone. In Canine and Feline Endocrinology, 4th ed.; Feldman, E.C., Nelson, R.W., Reusch, C.E., Scott-Moncrieff, J.C.R., Eds.; W.B. Saunders: St. Louis, MO, USA, 2015; pp. 37–76. [Google Scholar] [CrossRef]
- Niessen, S.J.M.; Forcada, Y.; Mantis, P.; Lamb, C.R.; Harrington, N.; Fowkes, R.; Korbonits, M.; Smith, K.; Church, D.B. Studying Cat (Felis catus) Diabetes: Beware of the Acromegalic Imposter. PLoS ONE 2015, 10, e0127794. [Google Scholar] [CrossRef] [PubMed]
- Tyson, R.; Graham, J.P.; Bermingham, E.; Randall, S.; Berry, C.R. Dynamic computed tomography of the normal feline hypophysis cerebri (Glandula pituitaria). Vet. Radiol. Ultrasound. 2005, 46, 33–38. [Google Scholar] [CrossRef]
- Wallack, S.T.; Wisner, E.R.; Feldman, E.C. Mensuration of the pituitary gland from magnetic resonance images in 17 cats. Vet. Radiol. Ultrasound. 2003, 44, 278–282. [Google Scholar] [CrossRef] [PubMed]
- Nadimi, S.; Molazem, M.; Jarolmasjed, S.; Esmaili Nejad, M.R. Volumetric evaluation of pituitary gland in dog and cat using computed tomography. Vet. Res. Forum. 2018, 9, 337–341. [Google Scholar] [CrossRef]
- Häußler, T.C.; von Pückler, K.H.; Thiel, C.; Enderlein, S.; Failing, K.; Ondreka, N.; Kramer, M.; Schmidt, M.J. Measurement of the normal feline pituitary gland in brachycephalic and mesocephalic cats. J. Feline. Med. Surg. 2018, 20, 578–586. [Google Scholar] [CrossRef] [PubMed]
- Kooistra, H.S.; Voorhout, G.; Mol, J.A.; Rijnberk, A. Correlation between impairment of glucocorticoid feedback and the size of the pituitary gland in dogs with pituitary-dependent hyperadrenocorticism. J. Endocrinol. 1997, 152, 387–394. [Google Scholar] [CrossRef] [PubMed]
- Friedrichs, K.R.; Harr, K.E.; Freeman, K.P.; Szladovits, B.; Walton, R.M.; Barnhart, K.F.; Blanco-Chavez, J. ASVCP reference interval guidelines: Determination of de novo reference intervals in veterinary species and other related topics. Vet. Clin. Pathol. 2012, 41, 441–453. [Google Scholar] [CrossRef]
- Reed, A.H.; Henry, R.J.; Mason, W.B. Influence of statistical method used on the resulting estimate of normal range. Clin. Chem. 1971, 17, 275–284. [Google Scholar] [CrossRef]
- Institute, C.a.L.S. EP28-A3C Defining, Establishing and Verifying Reference Intervals in the Clinical Laboratory; Approved Guideline; Clinical and Laboratory Standards Institute: Wayne, PA, USA, 2008. [Google Scholar]
- Koo, T.K.; Li, M.Y. A Guideline of Selecting and Reporting Intraclass Correlation Coefficients for Reliability Research. J. Chiropr. Med. 2016, 15, 155–163. [Google Scholar] [CrossRef]
- Geffré, A.; Concordet, D.; Braun, J.-P.; Trumel, C. Reference Value Advisor: A new freeware set of macroinstructions to calculate reference intervals with Microsoft Excel. Vet. Clin. Pathol. 2011, 40, 107–112. [Google Scholar] [CrossRef]
- Hecht, S.; Adams, W.H. MRI of brain disease in veterinary patients part 1: Basic principles and congenital brain disorders. Vet. Clin. N. Am. Small Anim. Pract. 2010, 40, 21–38. [Google Scholar] [CrossRef]
- Verdun, F.R.; Racine, D.; Ott, J.G.; Tapiovaara, M.J.; Toroi, P.; Bochud, F.O.; Veldkamp, W.J.H.; Schegerer, A.; Bouwman, R.W.; Giron, I.H.; et al. Image quality in CT: From physical measurements to model observers. Phys. Med. 2015, 31, 823–843. [Google Scholar] [CrossRef]
- Faby, S.; Flohr, T. Multidetector-Row CT Basics, Technological Evolution, and Current Technology. In Body MDCT in Small Animals: Basic Principles, Technology, and Clinical Applications; Bertolini, G., Ed.; Springer International Publishing: Cham, Switzerland, 2017; pp. 3–33. [Google Scholar]
- Bertolini, G. Basic Principles of MDCT Angiography. In Body MDCT in Small Animals: Basic Principles, Technology, and Clinical Applications; Bertolini, G., Ed.; Springer International Publishing: Cham, Switzerland, 2017; pp. 37–51. [Google Scholar]
- Schwarz, T.; O’Brien, R. CT Acquisition Principles. In Veterinary Computed Tomography; Wiley: Chichester, UK, 2011; pp. 9–27. [Google Scholar] [CrossRef]
- Saunders, J.; Ohlerth, S. CT Physics and Instrumentation—Mechanical Design. In Veterinary Computed Tomography; Wiley: Chichester, UK, 2011; pp. 1–8. [Google Scholar] [CrossRef]
- Argyropoulou, M.; Perignon, F.; Brunelle, F.; Brauner, R.; Rappaport, R. Height of normal pituitary gland as a function of age evaluated by magnetic resonance imaging in children. Pediatr. Radiol. 1991, 21, 247–249. [Google Scholar] [CrossRef] [PubMed]
- Sari, S.; Sari, E.; Akgun, V.; Ozcan, E.; Ince, S.; Saldir, M.; Babacan, O.; Acikel, C.; Basbozkurt, G.; Ozenc, S.; et al. Measures of pituitary gland and stalk: From neonate to adolescence. J. Pediatr. Endocrinol. Metab. 2014, 27, 1071–1076. [Google Scholar] [CrossRef]
- Lurie, S.N.; Doraiswamy, P.M.; Husain, M.M.; Boyko, O.B.; Ellinwood, E.H., Jr.; Figiel, G.S.; Krishnan, K.R. In vivo assessment of pituitary gland volume with magnetic resonance imaging: The effect of age. J. Clin. Endocrinol. Metab. 1990, 71, 505–508. [Google Scholar] [CrossRef] [PubMed]
- van der Vlugt-Meijer, R.H.; Meij, B.P.; Voorhout, G. Intraobserver and interobserver agreement, reproducibility, and accuracy of computed tomographic measurements of pituitary gland dimensions in healthy dogs. Am. J. Vet. Res. 2006, 67, 1750–1755. [Google Scholar] [CrossRef] [PubMed]
- Van Hoe, L.; Haven, F.; Bellon, E.; Baert, A.L.; Bosmans, H.; Feron, M.; Suetens, P.; Marchal, G. Factors influencing the accuracy of volume measurements in spiral CT: A phantom study. J. Comput. Assist. Tomogr. 1997, 21, 332–338. [Google Scholar] [CrossRef] [PubMed]


| Measurement | Mean (±SD) | Range (Min–Max) | Lower Limit (90% CI) | Upper Limit (90% CI) |
|---|---|---|---|---|
| PHT (mm) | 2.94 (±0.52) | 2.0–4.1 | 1.88 (1.68–2.10) | 4.01 (3.81–4.20) |
| PHS (mm) | 2.95 (±0.55) | 1.9–4.0 | 1.84 (1.63–2.08) | 4.10 (3.89–4.27) |
| PL (mm) | 3.17 (±0.52) | 2.0–4.4 | 2.13 (1.92–2.37) | 4.23 (4.03–4.42) |
| PW (mm) | 3.24 (±0.61) | 2.1–4.8 | 1.92 (1.66–2.15) | 4.41 (4.12–4.71) |
| BA (mm2) | 789.02 (±61.85) | 647.87–962.85 | 659.51 (634.51–687.61) | 910.96 (883–938.01) |
| P:B ratio | 0.37 (±0.06) | 0.25–0.48 | 0.25 (0.23–0.28) | 0.49 (0.47–0.51) |
| Measurement | Body Weight | p-Value | Age | p-Value |
|---|---|---|---|---|
| PHT (mm) | r = 0.39 | 0.004 | rs = 0.22 | 0.12 |
| PHS (mm) | r = 0.30 | 0.032 | rs = 0.35 | 0.012 |
| PL (mm) | r = 0.28 | 0.044 | rs = 0.36 | 0.009 |
| PW (mm) | r = 0.35 | 0.011 | rs = 0.12 | 0.39 |
| BA (mm2) | r = 0.29 | 0.036 | rs = 0.17 | 0.24 |
| P:B ratio | r = 0.29 | 0.038 | rs = 0.14 | 0.33 |
| Measurement | ICC | 95% CI | p-Value |
|---|---|---|---|
| PHT | 0.69 | 0.38–0.84 | <0.0001 |
| PHS | 0.58 | 0.37–0.74 | <0.0001 |
| PL | 0.58 | 0.36–0.73 | <0.0001 |
| PW | 0.66 | 0.46–0.79 | <0.0001 |
| BA | 0.81 | 0.50–0.91 | <0.0001 |
| Measurement | Operator 1 | Operator 2 | ||||
|---|---|---|---|---|---|---|
| ICC | 95% CI | p-Value | ICC | 95% CI | p-Value | |
| PHT | 0.81 | 0.63–0.91 | <0.0001 | 0.66 | 0.17–0.86 | <0.0001 |
| PHS | 0.87 | 0.71–0.94 | <0.0001 | 0.60 | −0.04–0.85 | <0.0001 |
| PL | 0.51 | 0.19–0.73 | 0.001 | 0.70 | 0.10–0.89 | <0.0001 |
| PW | 0.78 | 0.59–0.89 | <0.0001 | 0.60 | 0.08–0.83 | <0.0001 |
| BA | 0.82 | 0.66–0.91 | <0.0001 | 0.92 | 0.84–0.96 | <0.0001 |
Disclaimer/Publisher’s Note: The statements, opinions and data contained in all publications are solely those of the individual author(s) and contributor(s) and not of MDPI and/or the editor(s). MDPI and/or the editor(s) disclaim responsibility for any injury to people or property resulting from any ideas, methods, instructions or products referred to in the content. |
© 2023 by the authors. Licensee MDPI, Basel, Switzerland. This article is an open access article distributed under the terms and conditions of the Creative Commons Attribution (CC BY) license (https://creativecommons.org/licenses/by/4.0/).
Share and Cite
Costanza, D.; Coluccia, P.; Auletta, L.; Castiello, E.; Navas, L.; Greco, A.; Meomartino, L. Computed Tomographic Assessment of Pituitary Gland Dimensions in Domestic Short-Haired Cats. Animals 2023, 13, 1935. https://doi.org/10.3390/ani13121935
Costanza D, Coluccia P, Auletta L, Castiello E, Navas L, Greco A, Meomartino L. Computed Tomographic Assessment of Pituitary Gland Dimensions in Domestic Short-Haired Cats. Animals. 2023; 13(12):1935. https://doi.org/10.3390/ani13121935
Chicago/Turabian StyleCostanza, Dario, Pierpaolo Coluccia, Luigi Auletta, Erica Castiello, Luigi Navas, Adelaide Greco, and Leonardo Meomartino. 2023. "Computed Tomographic Assessment of Pituitary Gland Dimensions in Domestic Short-Haired Cats" Animals 13, no. 12: 1935. https://doi.org/10.3390/ani13121935
APA StyleCostanza, D., Coluccia, P., Auletta, L., Castiello, E., Navas, L., Greco, A., & Meomartino, L. (2023). Computed Tomographic Assessment of Pituitary Gland Dimensions in Domestic Short-Haired Cats. Animals, 13(12), 1935. https://doi.org/10.3390/ani13121935

