Triplex-Loop-Mediated Isothermal Amplification Combined with a Lateral Flow Immunoassay for the Simultaneous Detection of Three Pathogens of Porcine Viral Diarrhea Syndrome in Swine
Abstract
Simple Summary
Abstract
1. Introduction
2. Materials and Methods
2.1. Virus Strains and Viral Genes
2.2. Design of LAMP Primers
2.3. Preparation of Standard Plasmids
2.4. Preparation of the LFD
2.5. Construction of the Triplex LAMP–LFD Reaction System
2.6. Optimization of the Triplex LAMP–LFD Assay
2.7. Evaluation of Specificity and Sensitivity
2.8. Real-Time PCR Assay Based on Fluorescent Probes
2.9. Detection of Field Samples
2.10. Data Analyses
3. Results
3.1. Assay Principle
3.2. Optimization of the Triplex LAMP–LFD Conditions
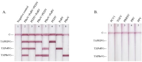
3.3. Testing of Specificity and Sensitivity for the Triplex LAMP–LFD Assay
3.4. Field Sample Testing
4. Discussion
5. Conclusions
Supplementary Materials
Author Contributions
Funding
Institutional Review Board Statement
Informed Consent Statement
Data Availability Statement
Acknowledgments
Conflicts of Interest
References
- Su, M.; Li, C.; Qi, S.; Yang, D.; Jiang, N.; Yin, B.; Guo, D.; Kong, F.; Yuan, D.; Feng, L.; et al. A molecular epidemiological investigation of PEDV in China: Characterization of co-infection and genetic diversity of S1-based genes. Transbound. Emerg. Dis. 2020, 67, 1129–1140. [Google Scholar] [CrossRef]
- Wang, D.; Fang, L.; Xiao, S. Porcine epidemic diarrhea in China. Virus Res. 2016, 226, 7–13. [Google Scholar] [CrossRef] [PubMed]
- Antas, M.; Woźniakowski, G. Current Status of Porcine Epidemic Diarrhoea (PED) in European Pigs. J. Vet. Res. 2019, 63, 465–470. [Google Scholar] [CrossRef] [PubMed]
- Li, C.; Lu, H.; Geng, C.; Yang, K.; Liu, W.; Liu, Z.; Yuan, F.; Gao, T.; Wang, S.; Wen, P.; et al. Epidemic and Evolutionary Characteristics of Swine Enteric Viruses in South-Central China from 2018 to 2021. Viruses 2022, 14, 1420. [Google Scholar] [CrossRef]
- Aryal, M.; Liu, G. Porcine Bocavirus: A 10-Year History since Its Discovery. Virol. Sin. 2021, 36, 1261–1272. [Google Scholar] [CrossRef]
- Pensaert, M.B.; de Bouck, P. A new coronavirus-like particle associated with diarrhea in swine. Arch. Virol. 1978, 58, 243–247. [Google Scholar] [CrossRef]
- Lin, C.; Saif, L.J.; Marthaler, D.; Wang, Q. Evolution, antigenicity and pathogenicity of global porcine epidemic diarrhea virus strains. Virus Res. 2016, 226, 20–39. [Google Scholar] [CrossRef]
- Sun, D.; Wang, X.; Wei, S.; Chen, J.; Feng, L. Epidemiology and vaccine of porcine epidemic diarrhea virus in China: A mini-review. J. Vet. Med. Sci. 2016, 78, 355–363. [Google Scholar] [CrossRef] [PubMed]
- Wang, E.; Guo, D.; Li, C.; Wei, S.; Wang, Z.; Liu, Q.; Zhang, B.; Kong, F.; Feng, L.; Sun, D. Molecular characterization of the ORF3 and S1 genes of porcine epidemic diarrhea virus non S-INDEL strains in seven regions of China, 2015. PLoS ONE 2016, 11, e0160561. [Google Scholar] [CrossRef]
- Hofmann, M.; Wyler, R. Quantitation, biological and physicochemical properties of cell culture-adapted porcine epidemic diarrhea coronavirus (PEDV). Vet. Microbiol. 1989, 20, 131–142. [Google Scholar] [CrossRef] [PubMed]
- Xu, X.; Zhang, H.; Zhang, Q.; Huang, Y.; Dong, J.; Liang, Y.; Liu, H.; Tong, D. Porcine epidemic diarrhea virus N protein prolongs S-phase cell cycle, induces endoplasmic reticulum stress, and up-regulates interleukin-8 expression. Vet. Microbiol. 2013, 164, 212–221. [Google Scholar] [CrossRef]
- Ding, Z.; Fang, L.; Jing, H.; Zeng, S.; Wang, D.; Liu, L.; Zhang, H.; Luo, R.; Chen, H.; Xiao, S. Porcine epidemic diarrhea virus nucleocapsid protein antagonizes beta interferon production by sequestering the interaction between IRF3 and TBK1. J. Virol. 2014, 88, 8936–8945. [Google Scholar] [CrossRef] [PubMed]
- Grunewald, M.E.; Fehr, A.R.; Athmer, J.; Perlman, S. The coronavirus nucleocapsid protein is ADP-ribosylated. Virology 2018, 517, 62–68. [Google Scholar] [CrossRef]
- Yang, J.; Dhodary, B.; Quy, H.T.K.; Kim, J.; Kim, E.; Oh, W.K. Three new coumarins from Saposhnikovia divaricata and their porcine epidemic diarrhea virus (PEDV) inhibitory activity. Tetrahedron 2015, 71, 4651–4658. [Google Scholar] [CrossRef] [PubMed]
- Yang, J.; Ha, T.K.; Dhodary, B.; Pyo, E.; Nguyen, N.H.; Cho, H.; Kim, E.; Oh, W.K. Oleanane triterpenes from the flowers of Camellia japonica inhibit porcine epidemic diarrhea virus (PEDV) replication. J. Med. Chem. 2015, 58, 1268–1280. [Google Scholar] [CrossRef]
- Blomstro¨m, A.-L.; Bela’k, S.; Fossum, C.; McKillen, J.; Allan, G.; Wallgren, P.; Berg, M. Detection of a novel porcine boca-like virus in the background of porcine circovirus type 2 induced postweaning multisystemic wasting syndrome. Virus Res. 2009, 146, 125–129. [Google Scholar] [CrossRef] [PubMed]
- Cheung, A.K.; Wu, G.; Wang, D.; Bayles, D.O.; Lager, K.M.; Vincent, A.L. Identification and molecular cloning of a novel porcine parvovirus. Arch. Virol. 2010, 155, 801–806. [Google Scholar] [CrossRef]
- Shan, T.; Lan, D.; Li, L.; Wang, C.; Cui, L.; Zhang, W.; Hua, X.; Zhu, C.; Zhao, W.; Delwart, E. Genomic characterization and high prevalence of bocaviruses in swine. PLoS ONE 2011, 6, e17292. [Google Scholar] [CrossRef]
- Keros, T.; Jemersic, L.; Toplak, I.; Prpic, J. The silent spread of porcine bocavirus in croatian pigs: Should we be concerned? Acta Vet. Hung. 2017, 65, 565–573. [Google Scholar] [CrossRef] [PubMed]
- Jiang, Y.; Xiao, C.; Yin, S.; Gerber, P.F.; Halbur, P.G.; Opriessnig, T. High prevalence and genetic diversity of porcine bocaviruses in pigs in the USA, and identification of multiple novel porcine bocaviruses. J. Gen. Virol. 2014, 95, 453–465. [Google Scholar] [CrossRef]
- Choi, M.G.; Park, S.J.; Nguyen, V.G.; Chung, H.C.; Kim, A.R.; Park, B.K. Molecular detection and genetic analysis of porcine bocavirus in Korean domestic swine herds. Arch. Virol. 2014, 159, 1487–1492. [Google Scholar] [CrossRef]
- Zhai, S.; Yue, C.; Wei, Z.; Long, J.; Ran, D.; Lin, T.; Deng, Y.; Huang, L.; Sun, L.; Zheng, H.; et al. High prevalence of a novel porcine bocavirus in weanling piglets with respiratory tract symptoms in China. Arch. Virol. 2014, 155, 1313–1317. [Google Scholar] [CrossRef]
- Zeng, S.; Wang, D.; Fang, L.; Ma, J.; Song, T.; Zhang, R.; Chen, H.; Xiao, S. Complete coding sequences and phylogenetic analysis of porcine bocavirus. J. Gen. Virol. 2011, 92, 784–788. [Google Scholar] [CrossRef]
- Zhou, Y.; Xu, J.; Wang, W.; Song, S.; Zhu, S.; Meng, Q.; Yu, F.; Li, C.; Liu, N.; Luan, W. A TaqMan-based real-time PCR assay for the detection of ungulate bocaparvovirus 2. J. Virol. Methods 2018, 261, 17–21. [Google Scholar] [CrossRef] [PubMed]
- Zheng, X.; Liu, G.; Opriessnig, T.; Wang, Z.; Yang, Z.; Jiang, Y. Development and validation of a multiplex conventional PCR assay for simultaneous detection and grouping of porcine bocaviruses. J. Virol. Methods 2016, 236, 164–169. [Google Scholar] [CrossRef]
- Woode, G.N.; Bridger, J.; Hall, G.A.; Jones, J.M.; Jackson, G. The isolation of reovirus-like agents (rota-viruses) from acute gastroenteritis of piglets. J. Med. Microbiol. 1976, 9, 203–209. [Google Scholar] [CrossRef]
- Xue, R.; Tian, Y.; Zhang, Y.; Zhang, M.; Li, Z.; Chen, S.; Liu, Q. Diversity of group A rotavirus of porcine rotavirus in Shandong province China. Acta Virol. 2018, 62, 229–234. [Google Scholar] [CrossRef]
- Jing, Z.; Zhang, X.; Shi, H.; Chen, J.; Shi, D.; Dong, H.; Feng, L. A G3P[13] porcine group A rotavirus emerging in China is a reassortant and a natural recombinant in the VP4 gene. Transbound. Emerg. Dis. 2018, 65, e317–e328. [Google Scholar] [CrossRef] [PubMed]
- Zhu, J.; Yang, Q.; Cao, L.; Dou, X.; Zhao, J.; Zhu, W.; Ding, F.; Bu, R.E.; Suo, S.; Ren, Y.; et al. Development of porcine rotavirus vp6 protein based ELISA for differentiation of this virus and other viruses. Virol. J. 2013, 10, 91. [Google Scholar] [CrossRef] [PubMed]
- Zhang, F.; Luo, S.; Gu, J.; Li, Z.; Li, K.; Yuan, W.; Ye, Y.; Li, H.; Ding, Z.; Song, D.; et al. Prevalence and phylogenetic analysis of porcine diarrhea associated viruses in southern China from 2012 to 2018. BMC Vet. Res. 2019, 15, 470. [Google Scholar] [CrossRef] [PubMed]
- Zhang, Q.; Hu, R.; Tang, X.; Wu, C.; He, Q.; Zhao, Z.; Chen, H.; Wu, B. Occurrence and investigation of enteric viral infections in pigs with diarrhea in China. Arch. Virol. 2013, 158, 1631–1636. [Google Scholar] [CrossRef] [PubMed]
- Zhang, B.; Tang, C.; Yue, H.; Ren, Y.; Song, Z. Viral metagenomics analysis demonstrates the diversity of viral flora in piglet diarrhoeic faeces in China. J. Gen. Virol. 2014, 95, 1603–1611. [Google Scholar] [CrossRef] [PubMed]
- Jung, K.; Hu, H.; Saif, L.J. Porcine deltacoronavirus infection: Etiology, cell culture for virus isolation and propagation, molecular epidemiology and pathogenesis. Virus Res. 2016, 226, 50–59. [Google Scholar] [CrossRef] [PubMed]
- Sun, S.; Guo, H.; Sun, D.; Yin, S.; Shang, Y.; Cai, X.; Liu, X. Development and validation of an ELISA using a protein encoded by ORF2 antigenic domain of porcine circovirus type 2. Virol. J. 2010, 7, 274. [Google Scholar] [CrossRef]
- Racine, S.; Kheyar, A.; Gagnon, C.A.; Charbonneau, B.; Dea, S. Eucaryotic expression of the nucleocapsid protein gene of porcine circovirus type 2 and use of the protein in an indirect immunofluorescence assay for serological diagnosis of postweaning multisystemic wasting syndrome in pigs. Clin. Diagn. Lab. Immunol. 2004, 11, 736–741. [Google Scholar] [CrossRef]
- Koike, N.; Mai, T.N.; Shirai, M.; Kubo, M.; Hata, K.; Marumoto, N.; Watanabe, S.; Sasaki, Y.; Mitoma, S.; Notsu, K.; et al. Detection of neutralizing antibody against porcine epidemic diarrhea virus in subclinically infected finishing pigs. J. Vet. Med. Sci. 2018, 80, 1782–1786. [Google Scholar] [CrossRef]
- Liang, G.; Long, Y.; Li, Q.; Yang, L.; Huang, Y.; Yu, D.; Song, W.; Zhou, M.; Xu, G.; Huang, C.; et al. Propidium Monoazide Combined With RT-qPCR Detects Infectivity of Porcine Epidemic Diarrhea Virus. Front. Vet. Sci. 2022, 9, 931392. [Google Scholar] [CrossRef]
- Du, J.; Ma, B.; Li, J.; Shuai, J.; Yu, X.; Zhang, X.; Zhang, M. Probe-based Loop-Mediated Isothermal Amplification Assay for Multi-target Quantitative Detection of Three Foodborne Pathogens in Seafood. Food Anal. Methods 2022, 15, 3479–3489. [Google Scholar] [CrossRef]
- Zhi, A.; Ma, B.; Wu, Y.; Wu, Y.; Fang, J.; Yu, X.; Zhang, M. Detection of Viable Vibrio cholerae Cells in Seafood Using a Real-Time Visual Loop-Mediated Isothermal Amplification Combined with Propidium Monoazide. Food Anal. Methods 2018, 11, 99–110. [Google Scholar] [CrossRef]
- Notomi, T.; Okayama, H.; Masubuchi, H.; Yonekawa, T.; Watanabe, K.; Amino, N. Loop-mediated isothermal amplifification of DNA. Nucleic Acids Res. 2000, 28, e63. [Google Scholar] [CrossRef]
- Nagamine, K.; Watanabe, K.; Ohtsuka, K.; Hase, T.; Notomi, T. Loop-mediated isothermal amplifification reaction using a nondenatured template. Clin. Chem. 2001, 47, 1742–1743. [Google Scholar] [CrossRef]
- Parida, M.; Sannarangaiah, S.; Dash, P.K.; Rao, P.V.; Morita, K. Loop mediated isothermal amplifification (LAMP): A new generation of innovative gene amplifification technique; perspectives in clinical diagnosis of infectious diseases. Rev. Med. Virol. 2008, 18, 407–421. [Google Scholar] [CrossRef] [PubMed]
- Soroka, M.; Wasowicz, B.; Rymaszewska, A. Loop-Mediated Isothermal Amplification (LAMP): The Better Sibling of PCR? Cells 2021, 10, 1931. [Google Scholar] [CrossRef] [PubMed]
- Mori, Y.; Kitao, M.; Tomita, N.; Notomi, T. Real-time turbidimetry of LAMP reaction for quantifying template DNA. J. Biochem. Biophys. Methods 2004, 59, 145–157. [Google Scholar] [CrossRef]
- Ren, X.; Li, P. Development of reverse transcription loop-mediated isothermal amplification for rapid detection of porcine epidemic diarrhea virus. Virus Genes 2011, 42, 229–235. [Google Scholar] [CrossRef]
- Zhao, K.; Hu, R.; Ni, J.; Liang, J.; He, X.; Du, Y.; Xu, Y.; Zhao, B.; Zhang, Q.; Li, C. Establishment of a porcine parvovirus (PPV) LAMP visual rapid detection method. J. Virol. Methods 2020, 284, 13924. [Google Scholar] [CrossRef]
- Talap, J.; Shen, M.; Yu, L.; Zeng, S.; Cai, S. RT-LAMP assay combining multi-fluorescent probes for SARS-CoV-2 RNA detection and variant differentiation. Talanta 2022, 248, 123644. [Google Scholar] [CrossRef] [PubMed]
- Khunthong, S.; Jaroenram, W.; Arunrut, N.; Suebsing, R.; Mungsantisuk, I.; Kiatpathomchai, W. Rapid and sensitive detection of shrimp yellow head virus by loop-mediated isothermal amplification combined with a lateral flow dipstick. J. Virol. Methods 2013, 188, 51–56. [Google Scholar] [CrossRef]
- Ge, Y.; Wu, B.; Qi, X.; Zhao, K.; Guo, X.; Zhu, Y.; Qi, Y.; Shi, Z.; Zhou, M.; Wang, H.; et al. Rapid and sensitive detection of novel avian-origin influenza A (H7N9) virus by reverse transcription loop-mediated isothermal amplification combined with a lateral-flow device. PLoS ONE 2013, 8, e69941. [Google Scholar] [CrossRef]
- Li, C.; Liang, J.; Yang, D.; Zhang, Q.; Miao, D.; He, X.; Du, Y.; Zhang, W.; Ni, J.; Zhao, K. Visual and Rapid Detection of Porcine Epidemic Diarrhea Virus (PEDV) Using Reverse Transcription Loop-Mediated Isothermal Amplification Method. Animals 2022, 12, 2712. [Google Scholar] [CrossRef]
- GB/T 36871-2018; Multiplex RT-PCR to Detect Porcine Transmissible Gastroenteritis Virus, Porcine Epidemic Diarrhea Virus and Porcine Rotavirus. Standards Press of China: Beijing, China, 2018.
- GB/T 34757-2017; Porcine Epidemic Diarrhea—RT-PCR for Detecting Virus Acid. Standards Press of China: Beijing, China, 2017.
- Liu, Q.; Wang, H. Porcine enteric coronaviruses: An updated overview of the pathogenesis, prevalence, and diagnosis. Vet. Res. Commun. 2021, 45, 75–86. [Google Scholar] [CrossRef]
- Pan, Z.; Lu, J.; Wang, N.; He, W.; Zhang, L.; Zhao, W.; Su, S. Development of a TaqMan-probe-based multiplex real-time PCR for the simultaneous detection of emerging and reemerging swine coronaviruses. Virulence 2020, 11, 707–718. [Google Scholar] [CrossRef] [PubMed]
- Cao, W.; He, D.; Chen, Z.; Zuo, Y.; Chen, X.; Chang, Y.; Zhang, Z.; Ye, L.; Shi, L. Development of a droplet digital PCR for detection and quantification of porcine epidemic diarrhea virus. J. Vet. Diagn. Investig. 2020, 32, 572–576. [Google Scholar] [CrossRef]
- Areekit, S.; Tangjitrungrot, P.; Khuchareontaworn, S.; Rattanathanawan, K.; Jaratsing, P.; Yasawong, M.; Chansiri, G.; Viseshakul, N.; Chansiri, K. Development of Duplex LAMP Technique for Detection of Porcine Epidemic Diarrhea Virus (PEDV) and Porcine Circovirus Type 2 (PCV 2). Curr. Issues Mol. Biol. 2022, 44, 5427–5439. [Google Scholar] [CrossRef]
- Zhou, H.; Shi, K.; Long, F.; Zhao, K.; Feng, S.; Yin, Y.; Xiong, C.; Qu, S.; Lu, W.; Li, Z. A Quadruplex qRT-PCR for Differential Detection of Four Porcine Enteric Coronaviruses. Vet. Sci. 2022, 9, 634. [Google Scholar] [CrossRef] [PubMed]
- Luo, Y.; Liang, L.; Zhou, L.; Zhao, K.; Cui, S. Concurrent infections of pseudorabies virus and porcine bocavirus in China detected by duplex nanoPCR. J. Virol. Methods 2015, 219, 46–50. [Google Scholar] [CrossRef]
- Jia, S.; Feng, B.; Wang, Z.; Ma, Y.; Gao, X.; Jiang, Y.; Cui, W.; Qiao, X.; Tang, L.; Li, Y.; et al. Dual priming oligonucleotide (DPO)-based real-time RT-PCR assay for accurate differentiation of four major viruses causing porcine viral diarrhea. Mol. Cell. Probes 2019, 47, 101435. [Google Scholar] [CrossRef]
- Zheng, L.; Cui, J.; Han, H.; Hou, H.; Wang, L.; Liu, F.; Chen, H. Development of a duplex SYBR GreenI; based real-time PCR assay for detection of porcine epidemic diarrhea virus and porcine bocavirus3/4/5. Mol. Cell. Probes 2020, 51, 101544. [Google Scholar] [CrossRef] [PubMed]
- Ding, G.; Fu, Y.; Li, B.; Chen, J.; Wang, J.; Yin, B.; Sha, W.; Liu, G. Development of a multiplex RT-PCR for the detection of major diarrhoeal viruses in pig herds in China. Transbound. Emerg. Dis. 2020, 67, 678–685. [Google Scholar] [CrossRef]
- Niu, J.; Li, J.; Guan, J.; Deng, K.; Wang, X.; Li, G.; Zhou, X.; Xu, M.; Chen, R.; Zhai, S.; et al. Development of a multiplex RT-PCR method for the detection of four porcine enteric coronaviruses. Front. Vet. Sci. 2022, 9, 1033864. [Google Scholar] [CrossRef]
- Li, G.; Wu, M.; Li, J.; Cai, W.; Xie, Y.; Si, G.; Xiao, L.; Cong, F.; He, D. Rapid detection of porcine deltacoronavirus and porcine epidemic diarrhea virus using the duplex recombinase polymerase amplification method. J. Virol. Methods 2021, 292, 114096. [Google Scholar] [CrossRef]
- Gou, H.; Deng, J.; Wang, J.; Pei, J.; Liu, W.; Zhao, M.; Chen, J. Rapid and sensitive detection of porcine epidemic diarrhea virus by reverse transcription loop-mediated isothermal amplification combined with a vertical flow visualization strip. Mol. Cell. Probes 2015, 29, 48–53. [Google Scholar] [CrossRef] [PubMed]
- Mai, T.N.; Nguyen, V.D.; Yamazaki, W.; Okabayashi, T.; Mitoma, S.; Notsu, K.; Sakai, Y.; Yamaguchi, R.; Norimine, J.; Sekiguchi, S. Development of pooled testing system for porcine epidemic diarrhoea using real-time fluorescent reverse-transcription loop-mediated isothermal amplification assay. BMC Vet. Res. 2018, 14, 172. [Google Scholar] [CrossRef] [PubMed]
- Wang, D.; Yu, J.; Wang, Y.; Zhang, M.; Li, P.; Liu, M.; Liu, Y. Development of a real-time loop-mediated isothermal amplification (LAMP) assay and visual LAMP assay for detection of African swine fever virus (ASFV). J. Virol. Methods 2020, 276, 113775. [Google Scholar] [CrossRef]
- Wang, Y.; Dai, J.; Liu, Y.; Yang, J.; Hou, Q.; Ou, Y.; Ding, Y.; Ma, B.; Chen, H.; Li, M.; et al. Development of a Potential Penside Colorimetric LAMP Assay Using Neutral Red for Detection of African Swine Fever Virus. Front. Microbiol. 2021, 12, 609821. [Google Scholar] [CrossRef]
- Liu, J.; Tao, D.; Chen, X.; Shen, L.; Zhu, L.; Xu, B.; Liu, H.; Zhao, S.; Li, X.; Liu, X.; et al. Detection of Four Porcine Enteric Coronaviruses Using CRISPR-Cas12a Combined with Multiplex Reverse Transcriptase Loop-Mediated Isothermal Amplification Assay. Viruses 2022, 14, 833. [Google Scholar] [CrossRef]
- Zhou, L.; Chen, Y.; Fang, X.; Liu, Y.; Du, M.; Lu, X.; Li, Q.; Sun, Y.; Ma, J.; Lan, T. Microfluidic-RT-LAMP chip for the point-of-care detection of emerging and re-emerging enteric coronaviruses in swine. Anal. Chim. Acta 2020, 1125, 57–65. [Google Scholar] [CrossRef]
- Kim, J.K.; Kim, H.R.; Kim, D.Y.; Kim, J.M.; Kwon, N.Y.; Park, J.H.; Park, J.Y.; Kim, S.H.; Lee, K.K.; Lee, C.; et al. A simple colorimetric detection of porcine epidemic diarrhea virus by reverse transcription loop-mediated isothermal amplification assay using hydroxynaphthol blue metal indicator. J. Virol. Methods 2021, 298, 114289. [Google Scholar] [CrossRef] [PubMed]
- Wang, H.; Cong, F.; Zeng, F.; Lian, Y.; Liu, X.; Luo, M.; Guo, P.; Ma, J. Development of a real time reverse transcription loop-mediated isothermal amplification method (RT-LAMP) for detection of a novel swine acute diarrhea syndrome coronavirus (SADS-CoV). J. Virol. Methods 2018, 260, 45–48. [Google Scholar] [CrossRef] [PubMed]





| Target Gene | Primer | Sequence (5′–3′) | Modification | Length |
|---|---|---|---|---|
| PEDV-gp6 NC_003436.1 | F3 | GGTACTTGCAAACAACGCTG | — | 218 bp |
| B3 | TCTTTGCGCCTTCTTTAGCA | — | ||
| FIP | TCAATTCGCTCACCACGGCGTTTTCAAGGGGAATAAGGACCAGC | — | ||
| BIP | ACTACCTCGGAACAGGACCTCATTTTACCCAGAAAACACCCTCAGT | — | ||
| LF | AGCGAATTTGCTCATTCCAGTA | 5′ Biotin | ||
| LB | GACCTCCGTTATAGGACTCGT | 5′ Digoxin | ||
| PBoV-vp1 NC_023673.1 | F3 | CAACACCACAGTCGGGTAAC | — | 228 bp |
| B3 | TTTCCCTCCCCCATCTGG | — | ||
| FIP | GCTCTGGACGCCAATTCTTGGTTTTTATTTACGCAACGGGACAAGT | — | ||
| BIP | GCAACAAGATGAGAGCCGACGTTTTTGGCATGGTTTCGTAGTAGCT | — | ||
| LF | TCCCATTCAATTTCGCAGGAG | 5′ Biotin | ||
| LB | TACAAAATCAACGCCGATGGAGGAT | 5′ Cy5 | ||
| PoRV-vp6 KC113249.1 | F3 | CATGCTACTGTCGGACTT | — | 198 bp |
| B3 | CAAGTTATCTTCTCTTGAAGGT | — | ||
| FIP | GCCGTTACATTTGCCAATAAAGTTTTTTTGAACTGAATCTGCAGTTTGT | — | ||
| BIP | TTCGTCAGGAATATGCTATACCAGTTTTTGAATAATTGGTAACCAGCTCTG | — | ||
| LF | CGTCCGCAAGCACAGATTC | 5′ Biotin | ||
| LB | GACCAGTATTTCCACCAGGTATG | 5′ ROX |
| Test Result | Numbers of Samples (%) with rt-qPCR | Total Numbers of Samples (%) | Coincidence Rate (%) | |
|---|---|---|---|---|
| PEDV (+) | PEDV (−) | |||
| LAMP–LFD a | ||||
| PEDV (+) | 8 | 0 | 8 (6.4) | 99.2 (124/125) |
| PEDV (−) | 1 | 116 | 117 (93.6) | |
| Total | 9 (7.2) | 116 (92.8) | 125 | |
| Numbers of samples (%) with rt-qPCR | ||||
| PoRV (+) | PoRV (–) | |||
| LAMP–LFD | ||||
| PoRV (+) | 8 | 0 | 8 (6.4) | 100 (125/125) |
| PoRV (−) | 0 | 117 | 117 (93.6) | |
| Total | 8 (6.4) | 117 (93.6) | 125 | |
| Numbers of samples (%) with rt-qPCR | ||||
| PBoV (+) | PBoV (−) | |||
| LAMP–LFD | ||||
| PBoV (+) | 6 | 1 | 7 (5.6) | 99.2 (124/125) |
| PBoV (−) | 0 | 118 | 118 (94.4) | |
| Total | 6 (4.8) | 119 (95.2) | 125 | |
| Genotype | Numbers of Genotypes Found Positive by: | P a (%) | PPV (%) | NPV (%) | ||
|---|---|---|---|---|---|---|
| LAMP–LFD | rt-qPCR | LAMP–LFD & rt-qPCR | ||||
| PEDV | 8 | 9 | 8 | 8.8 (11/125) | 90.9 (10/11) | 99.1 (113/114) |
| PoRV | 8 | 8 | 8 | |||
| PBoV | 7 | 6 | 6 | |||
Disclaimer/Publisher’s Note: The statements, opinions and data contained in all publications are solely those of the individual author(s) and contributor(s) and not of MDPI and/or the editor(s). MDPI and/or the editor(s) disclaim responsibility for any injury to people or property resulting from any ideas, methods, instructions or products referred to in the content. |
© 2023 by the authors. Licensee MDPI, Basel, Switzerland. This article is an open access article distributed under the terms and conditions of the Creative Commons Attribution (CC BY) license (https://creativecommons.org/licenses/by/4.0/).
Share and Cite
Hong, Y.; Ma, B.; Li, J.; Shuai, J.; Zhang, X.; Xu, H.; Zhang, M. Triplex-Loop-Mediated Isothermal Amplification Combined with a Lateral Flow Immunoassay for the Simultaneous Detection of Three Pathogens of Porcine Viral Diarrhea Syndrome in Swine. Animals 2023, 13, 1910. https://doi.org/10.3390/ani13121910
Hong Y, Ma B, Li J, Shuai J, Zhang X, Xu H, Zhang M. Triplex-Loop-Mediated Isothermal Amplification Combined with a Lateral Flow Immunoassay for the Simultaneous Detection of Three Pathogens of Porcine Viral Diarrhea Syndrome in Swine. Animals. 2023; 13(12):1910. https://doi.org/10.3390/ani13121910
Chicago/Turabian StyleHong, Yi, Biao Ma, Jiali Li, Jiangbing Shuai, Xiaofeng Zhang, Hanyue Xu, and Mingzhou Zhang. 2023. "Triplex-Loop-Mediated Isothermal Amplification Combined with a Lateral Flow Immunoassay for the Simultaneous Detection of Three Pathogens of Porcine Viral Diarrhea Syndrome in Swine" Animals 13, no. 12: 1910. https://doi.org/10.3390/ani13121910
APA StyleHong, Y., Ma, B., Li, J., Shuai, J., Zhang, X., Xu, H., & Zhang, M. (2023). Triplex-Loop-Mediated Isothermal Amplification Combined with a Lateral Flow Immunoassay for the Simultaneous Detection of Three Pathogens of Porcine Viral Diarrhea Syndrome in Swine. Animals, 13(12), 1910. https://doi.org/10.3390/ani13121910

