Evaluation of Overshunting between Low and Medium Pressure Ventriculoperitoneal Shunts in Dogs with Severe Hydrocephalus Using Frameless Stereotactic Ventricular Shunt Placement
Abstract
Simple Summary
Abstract
1. Introduction
2. Materials and Methods
2.1. Treatment
2.2. Follow-Up
2.3. Statistical Analysis
3. Results
3.1. Low-Pressure Valve Group (LPVs)
3.1.1. Epidemiological Data
3.1.2. Intraoperative Data
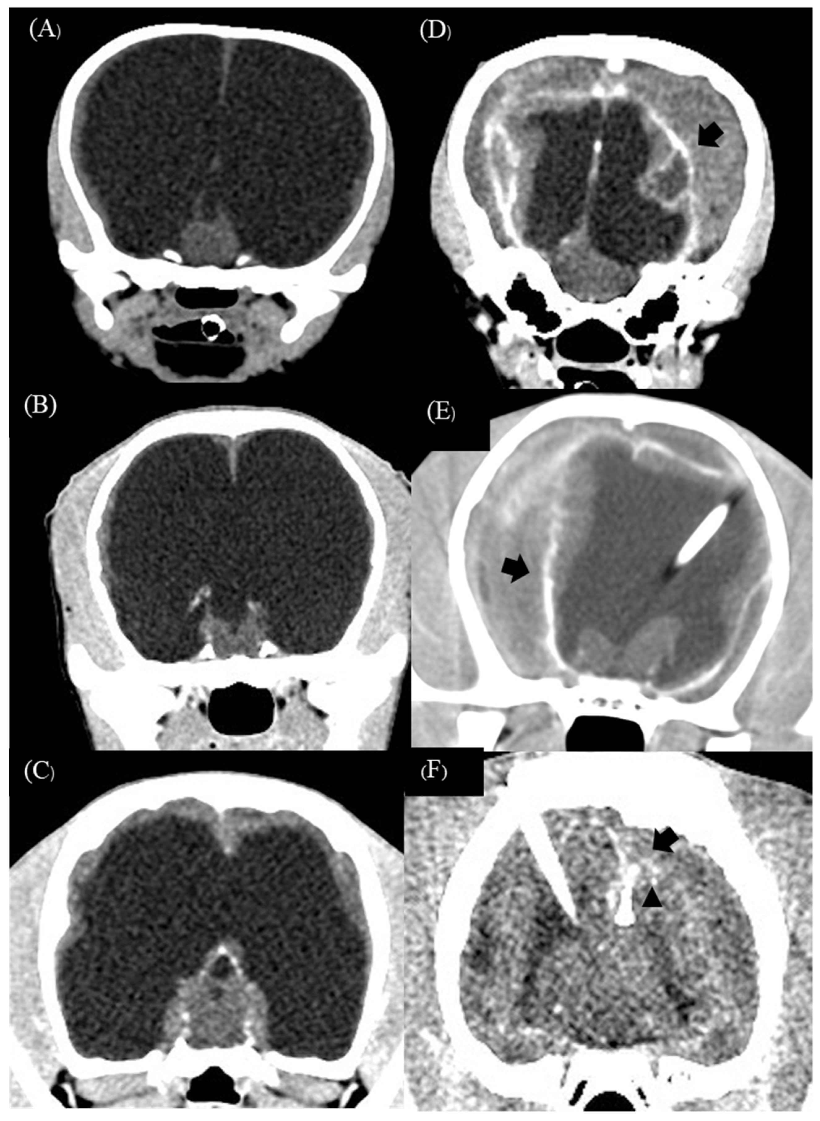
3.1.3. Complication
3.1.4. Outcome
3.2. Medium-Pressure Valve Group (MPVs)
3.2.1. Epidemiological Data
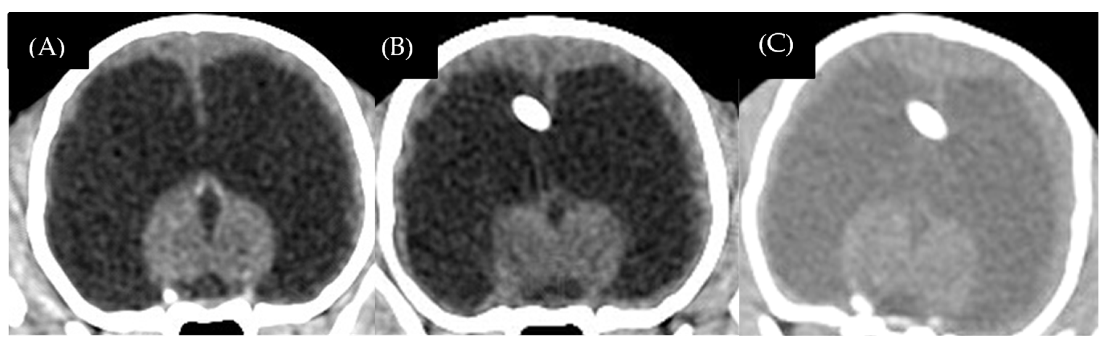
3.2.2. Intraoperative Data
3.2.3. Complication
3.2.4. Outcome
4. Discussion
5. Conclusions
Author Contributions
Funding
Institutional Review Board Statement
Informed Consent Statement
Data Availability Statement
Acknowledgments
Conflicts of Interest
References
- Thomas, W.B. Nonneoplastic disorders of the brain. Clin. Tech. Small Anim. Pract. 1999, 14, 125–147. [Google Scholar] [CrossRef] [PubMed]
- Thomas, W.B. Hydrocephalus in dogs and cats. Vet. Clin. Small Anim. Pract. 2010, 40, 143–159. [Google Scholar] [CrossRef]
- Estey, C.M. Congenital Hydrocephalus. Vet. Clin. Small Anim. Pract. 2016, 46, 217–229. [Google Scholar] [CrossRef] [PubMed]
- Gillespie, S.; Gilbert, Z.; De Decker, S. Results of oral prednisolone administration or ventriculoperitoneal shunt placement in dogs with congenital hydrocephalus: 40 cases (2005–2016). J. Am. Veter. Med. Assoc. 2019, 254, 835–842. [Google Scholar] [CrossRef] [PubMed]
- Shihab, N.; Davies, E.; Kensny, P.J.; Loderstedt, S.; Volk, H.A. Treatment of Hydrocephalus with Ventriculoperitoneal Shunting in Twelve Dogs. Veter. Surg. 2011, 40, 477–484. [Google Scholar] [CrossRef] [PubMed]
- Coates, J.R.; Axlund, T.W.; Dewey, C.W.; Smit, J. Hydrocephalus in Dogs and Cats. Compendium 2006, 28, 136–146. [Google Scholar]
- Biel, M.; Kramer, M.; Forterre, F.; Jurina, K.; Lautersack, O.; Failing, K.; Schmidt, M.J. Outcome of ventriculoperitoneal shunt im-plantation for treatment of congenital internal hydrocephalus in dogs and cats: 36 cases (2001–2009). J. Am. Vet. Med. Assoc. 2013, 242, 948–958. [Google Scholar] [CrossRef]
- Gradner, G.; Kaefinger, R.; Dupré, G. Complications associated with ventriculoperitoneal shunts in dogs and cats with idio-pathic hydrocephalus: A systematic review. J. Vet. Intern. Med. 2019, 33, 403–412. [Google Scholar] [CrossRef]
- Lehner, L.; Czeibert, K.; Nagy, G. Two different indications of ventriculoperitoneal and cystoperitoneal shunting in six dogs. Acta Veter. Hung. 2020, 68, 95–104. [Google Scholar] [CrossRef]
- Roth, J.; Berger, A.; Constantini, S.; Ram, Z. Acute subdural hematomas in shunted normal-pressure hydrocephalus patients—Management options and literature review: A case-based series. Surg. Neurol. Int. 2018, 9, 238. [Google Scholar] [CrossRef]
- Goeser, C.D.; McLeary, M.S.; Young, L.W. Diagnostic imaging of ventriculoperitoneal shunt malfunctions and complications. Radiographics 1998, 18, 635–651. [Google Scholar] [CrossRef]
- Kim, J.M.; Park, J.; Kim, J.-H.; Han, T.S.; Chang, D.; Na, K.-J.; Choi, S.H.; Kim, G. Treatment of hydrocephalus with high-pressure valve ventriculoperitoneal shunt in a dog. Jpn. J. Veter. Res. 2010, 58, 137–142. [Google Scholar]
- Kitagawa, M.; Kanayama, K.; Sakai, T. Subdural accumulation of fluid in a dog after the insertion of a ventriculoperitoneal shunt. Veter. Rec. 2005, 156, 206–208. [Google Scholar] [CrossRef] [PubMed]
- Mogambery, T.A.; Moodley, A.; Connolly, C. Is the intravenous giving set a reliable alternative to the spinal manometer in measuring cerebrospinal fluid opening pressure? S. Afr. Med. J. 2018, 108, 865–869. [Google Scholar] [CrossRef] [PubMed]
- Schmidt, M.; Ondreka, N. Hydrocephalus in Animals. In Pediatric Hydrocephalus; Springer: Cham, Switzerland, 2019; pp. 53–95. [Google Scholar] [CrossRef]
- Schlosser, H.G.; Crawack, H.J.; Miethke, C.; Knitter, T.; Zeiner, A.; Sprung, C. An improved reservoir for the flushing test to diagnose shunt insufficiency. Neurosurg. Focus 2016, 41, E14. [Google Scholar] [CrossRef]
- Doherty, C.M.; Forbes, R.B. Diagnostic Lumbar Puncture. Ulst. Med. J. 2014, 83, 93–102. [Google Scholar]
- Kolecka, M.; Farke, D.; Failling, K.; Kramer, M.; Schmidt, M.J. Intraoperative measurement of intraventricular pressure in dogs with communicating internal hydrocephalus. PLoS ONE 2019, 14, e0222725. [Google Scholar] [CrossRef]
- Kestle, J.R. Pediatric hydrocephalus: Current management. Neurol. Clin. 2003, 21, 883–895. [Google Scholar] [CrossRef]
- Kim, K.-H.; Yeo, I.-S.; Yi, J.-S.; Lee, H.-J.; Yang, J.-H.; Lee, I.-W. A pressure adjustment protocol for programmable valves. J. Korean Neurosurg. Soc. 2009, 46, 370–377. [Google Scholar] [CrossRef]
- Wünschmann, A.; Oglesbee, M. Periventricular Changes Associated with Spontaneous Canine Hydrocephalus. Veter. Pathol. 2001, 38, 67–73. [Google Scholar] [CrossRef]
- Schmidt, M.J.; Hartmann, A.; Farke, D.; Failling, K.; Kolecka, M. Association between improvement of clinical signs and decrease of ventricular volume after ventriculoperitoneal shunting in dogs with internal hydrocephalus. J. Veter. Intern. Med. 2019, 33, 1368–1375. [Google Scholar] [CrossRef] [PubMed]
- Unnwongse, K.; Lachhwani, D.; Tang-Wai, R.; Matley, K.; O’Connor, T.; Nair, D.; Bingaman, W.; Wyllie, E.; Diehl, B. Oral automatisms induced by stimulation of the mesial frontal cortex. Epilepsia 2009, 50, 1620–1623. [Google Scholar] [CrossRef] [PubMed]
- Farke, D.; Kolecka, M.; Czerwik, A.; Wrzosek, M.; Schaub, S.; Kramer, M.; Failing, K.; Schmidt, M.J. Prevalence of seizures in dogs and cats with idiopathic internal hydrocephalus and seizure prevalence after implantation of a ventriculo-peritoneal shunt. J. Veter. Intern. Med. 2020, 34, 1986–1992. [Google Scholar] [CrossRef] [PubMed]
- Yamada, H.; Yokota, A.; Furuta, A.; Horie, A.; Di Curzio, D.L.; Garcia, C.A.B.; Catalão, C.H.R.; Machado, H.R.; Júnior, I.M.; Romeiro, T.H.; et al. Reconstitution of shunted mantle in experimental hydrocephalus. J. Neurosurg. 1992, 76, 856–862. [Google Scholar] [CrossRef]
- Yinon, U.; Chen, M.; Milgram, A. Hydrocephalus in developing cats: Physiological properties of visual cortex cells. Brain Res. Bull. 1990, 25, 651–663. [Google Scholar] [CrossRef]
- Raiger, L.K.; Naithani, U.; Bhatia, S.; Chauhan, S.S. Seizures after intravenous tramadol given as premedication. Indian J. Anaesth. 2012, 56, 55–57. [Google Scholar] [CrossRef] [PubMed]
- Zimmerman, R.D.; Leeds, N.E.; Danziger, A. Subdural empyema: CT findings. Radiology 1984, 150, 417–422. [Google Scholar] [CrossRef]
- Bayston, R.; Brant, C.; Dombrowski, S.M.; Hall, G.; Tuohy, M.; Procop, G.; Luciano, M.G. An experimental in-vivo canine model for adult shunt infection. Cereb. Fluid Res. 2008, 5, 17. [Google Scholar] [CrossRef]
- Arts, S.H.; Boogaarts, H.D.; Van Lindert, E.J. Route of antibiotic prophylaxis for prevention of cerebrospinal fluid-shunt infection. Cochrane Database Syst. Rev. 2019, 6, CD012902. [Google Scholar] [CrossRef]
- Frame, P.T.; McLaurin, R.L. Treatment of CSF shunt infections with intrashunt plus oral antibiotic therapy. J. Neurosurg. 1984, 60, 354–360. [Google Scholar] [CrossRef]
- Konstantelias, A.A.; Vardakas, K.Z.; Polyzos, K.A.; Tansarli, G.S.; Falagas, M.E. Antimicrobial-impregnated and -coated shunt catheters for prevention of infections in patients with hydrocephalus: A systematic review and meta-analysis. J. Neurosurg. 2015, 122, 1096–1112. [Google Scholar] [CrossRef] [PubMed]
- Moussa, W.M.M.; Mohamed, M.A.A. Efficacy of postoperative antibiotic injection in and around ventriculoperitoneal shunt in reduction of shunt infection: A randomized controlled trial. Clin. Neurol. Neurosurg. 2016, 143, 144–149. [Google Scholar] [CrossRef] [PubMed]
- Taylor, A.R.; Cohen, N.D.; Fletcher, S.; Griffin, J.F.; Levine, J.M. Application and machine accuracy of a new frameless computed tomography-guided stereotactic brain biopsy system in dogs. Veter. Radiol. Ultrasound 2013, 54, 332–342. [Google Scholar] [CrossRef] [PubMed]
- Packer, R.A.; McGrath, S. Onscreen-guided resection of extra-axial and intra-axial forebrain masses through registration of a variable-suction tissue resection device with a neuronavigation system. Veter. Surg. 2020, 49, 676–684. [Google Scholar] [CrossRef]
- Peng, A.; Yang, M.; Zhao, H.; Wu, Y.; Zhao, Y.; Zhou, L. Compared with conventional procedures, an intraoperative navigation system for ventriculoperitoneal shunting via the occipital horn improves outcomes in patients with hydrocephalus. Br. J. Neurosurg. 2020, 35, 292–300. [Google Scholar] [CrossRef]
- Lin, J. 3D Modeling for Comparison of Surgically Treated Intracranial Arachnoid Cysts in Children. Biomed. J. Sci. Tech. Res. 2018, 8, 6707–6711. [Google Scholar] [CrossRef]
- Laubner, S.; Ondreka, N.; Failing, K.; Kramer, M.; Schmidt, M.J. Magnetic resonance imaging signs of high intraventricular pres-sure-comparison of findings in dogs with clinically relevant internal hydrocephalus and asymptomatic dogs with ventriculomegaly. BMC Vet. Res. 2015, 11, 181. [Google Scholar] [CrossRef]








| Low-Pressure Valves (LPVs) | |||||||||||
|---|---|---|---|---|---|---|---|---|---|---|---|
| Case | Breed | Sex | Age (Month) | Body Weight (kg) | Duration of Signs (Week) | Cause of Hydrocephalus | Intraventricular Pressure (mmHg) | Pre-Ventricular Volume (cm3) | Post-Ventricular Volume 12 Weeks (cm3) | Ventricular Volume Reduction (%) | Post-Imaging Overshunting (Subdural Effusion) |
| 1 | Crossbreed | male | 2 | 2.4 | 3 | Mesencephalic aqueduct stenosis | 2.94 | 142.10 | 60 | 57.77 | Bilateral subdural hematoma and empyema |
| 2 | American Pitbull | male | 4 | 13.7 | 8 | Obstruction of interventricular foramen | 2.57 | 205.40 | 98.60 | 51.99 | Bilateral subdural hematoma and empyema |
| 3 | American Bully | male | 6 | 9.7 | 4 | Mesencephalic aqueduct stenosis | 3.68 | 139 | 7.57 | 94.55 | Bilateral subdural hematoma and empyema |
| 4 | Jack Russel Terrier | male | 6 | 1.6 | 12 | Mesencephalic aqueduct stenosis | 2.20 | 132 | 57.70 | 56.28 | Bilateral subdural hematoma |
| 5 | Chihuahua | female | 12 | 2.7 | 24 | Mesencephalic aqueduct stenosis with arachnoid cyst | 2.21 | 52.20 | 46.10 | 11.68 | Not detectable |
| Case | Preoperative Neurological Signs | Postoperative Signs (2 Weeks) | Postoperative Signs (4–12 Weeks) | Postoperative Signs (12 Months) |
|---|---|---|---|---|
| 1 | Disoriented Aggressive Right circling Conjugated nystagmus Both eye cortical blindness | Consciousness Reduced right circling Reduced aggressiveness | Shunt infection (6 weeks) Seizure Consciousness Reduced right circling Reduced aggressiveness | Death (parvovirus infection) |
| 2 | Obtunded Right circling Dysmetria Left eye cortical blindness Periodic oral automatism | Consciousness Reduced right circling Reduced dysmetria | Shunt infection (4 weeks) Seizure Consciousness Moderated right circling Improved learning ability Periodic oral automatism signs disappeared | Consciousness Continuously improved learning Mild right circling Seizure free Left eye cortical blindness |
| 3 | Obtunded Right leaning | Seizure (tramadol effect) Consciousness | Shunt infection (6 weeks) Consciousness Improved learning ability | Consciousness Continuously improved learning Seizure free |
| 4 | Disoriented Right circling Dysmetria Both eye cortical blindness | Disoriented Seizure Acute overshunting (72 h) | Disoriented Right circling and dysmetria Both eye cortical blindness Second shunt revision | Death (status epilepsy) |
| 5 | Disoriented Aggressive Both eye cortical blindness Seizure | Disoriented Both eye cortical blindness Decreased seizure frequency Reduced aggressiveness | Mild improvement in consciousness Both eye cortical blindness Decreased seizure frequency Reduced aggressiveness | Both eye cortical blindness Decreased seizure frequency No aggressiveness |
| Low-Pressure Valves (LPVs) | |||
|---|---|---|---|
| Case | Preoperative Medical Treatment | Postoperative Medical Treatment at VPS 12 Weeks | Postoperative Medical Treatment at VPS 12 Months |
| 1 | Prednisolone 0.5 mg/kg, PO, SID Furosemide 2 mg/kg, PO, BID Gabapentin 10 mg/kg, PO, BID | Prednisolone 0.5 mg/kg, PO, SID Furosemide 1 mg/kg, PO, SID Phenobarbital 2.7 mg/kg, PO, q12h | - |
| 2 | Mannitol 0.5 g/kg, IV, q24h with furosemide 0.7 mg/kg, IV, q24h for 3 days Dexamethasone 0.1 mg/kg, PO, SID Phenobarbital 2.5 mg/kg, PO, q12h | Dexamethasone 0.02 mg/kg, PO, QOD Furosemide 1.5 mg/kg, PO, SID Phenobarbital 2.5 mg/kg, PO, q12h | Dexamethasone 0.02 mg/kg, PO, Q2D Phenobarbital 2 mg/kg, PO, q12h |
| 3 | Mannitol 0.5 mg/kg, IV, q24h Furosemide 0.7 mg/kg, IV, q24h Dexamethasone 0.1 mg/kg, PO, SID Acetazolamide 10 mg/kg, PO, BID | Dexamethasone 0.05 mg/kg, PO, SID Furosemide 1 mg/kg, PO, SID Phenobarbital 2.7 mg/kg, PO, q12h | Dexamethasone 0.02 mg/kg, PO, Q3D |
| 4 | Dexamethasone 0.1 mg/kg, PO, SID Acetazolamide 10 mg/kg, PO, BID | Dexamethasone 0.1 mg/kg, PO, SID Phenobarbital 3 mg/kg, PO, q12h Levetiracetam 25 mg/kg, PO, q8h | - |
| 5 | Phenobarbital 3 mg/kg, PO, q12h Dexamethasone 0.07 mg/kg, PO, SID Furosemide 1 mg/kg, PO, SID Omeprazole 3 mg/kg, PO, SID | Phenobarbital 3 mg/kg, PO, q12h | Phenobarbital 3 mg/kg, PO, q12h |
| Medium-Pressure Valves (MPVs) | |||||||||||
|---|---|---|---|---|---|---|---|---|---|---|---|
| Case | Breed | Sex | Age (Month) | Body Weight (kg) | Duration of Signs (Week) | Cause of Hydrocephalus | Intraventricular Pressure (mmHg) | Pre-Ventricular Volume (cm3) | Post-Ventricular Volume 12 Weeks (cm3) | Ventricular Volume Reduction (%) | Post-Imaging Overshunting (Subdural Effusion) |
| 6 | Chihuahua | male | 5 | 1.4 | 6 | Obstruction of the lateral apertures with encephalitis | 8.80 | 49.70 | 45.30 | 8.85 | No detectable |
| 7 | Chihuahua | female | 48 | 2.5 | 48 | Obstruction of the lateral apertures with meningoencephalitis of unknown origin | 5.88 | 16.40 | 13.40 | 18.29 | No detectable |
| 8 | Chihuahua | male | 10 | 3.7 | 32 | Post-traumatic | 7.35 | 11 | - | - | - |
| Case | Preoperative Neurological Signs | Postoperative Signs (2 Weeks) | Postoperative Signs (4–12 Weeks) | Postoperative Signs (12 Months) |
|---|---|---|---|---|
| 6 | Disoriented Vocalization Periodic oral automatism signs Unable to walk and turned to the left Unconjugated nystagmus Both eye cortical blindness | Disoriented Reduced vocalization Reduced periodic oral automatism Reduced nystagmus Left circling | Disoriented Reduced left circling Reduced nystagmus and periodic oral automatism | Disoriented Still left circling Still nystagmus and periodic oral automatism |
| 7 | Disoriented Severe vocalization Unable to walk and turned to the right Unconjugated nystagmus Refractory seizure Both eye subcortical blindness | Reduced vocalization, attempted to stand, and right circling Reduced nystagmus Seizure free | Attempted to stand and right circling No nystagmus Seizure free | Slight walking and no circling No nystagmus Seizure free Both eye subcortical blindness |
| 8 | Disoriented Aggressive Unable to walk and turned to the right Refractory seizure Both eye cortical blindness | Disoriented Reduced aggressiveness Right circling Decreased seizure frequency (2 weeks) | No further follow-up | Disoriented Unable to walk and turned to the right Refractory seizure |
| Medium-Pressure Valves (MPVs) | |||
|---|---|---|---|
| Case | Preoperative Medical Treatment | Postoperative Medical Treatment at VPS 12 Weeks | Postoperative Medical Treatment at VPS 12 Months |
| 6 | Mannitol 0.5 mg/kg, IV, q24h Furosemide 0.7 mg/kg, IV, q24h Dexamethasone 0.1 mg/kg, PO, SID Phenobarbital 3 mg/kg, PO, q12h Pregabalin 5 mg/kg, PO, q8h | Phenobarbital 3 mg/kg, PO, q12h Dexamethasone 0.1 mg/kg, PO, QOD Furosemide 0.7 mg/kg, PO, QOD | Phenobarbital 3 mg/kg/q12h Dexamethasone 0.1 mg/kg/Q2D Furosemide 0.7 mg/kg/QOD |
| 7 | Phenobarbital 3.5 mg/kg, PO, q12h Levetiracetam 26 mg/kg, PO, q8h Pregabalin 5 mg/kg, PO, q8h Acetazolamide 5 mg/kg, PO, BID Prednisolone 1 mg/kg, PO, QOD | Phenobarbital 3.5 mg/kg, PO, q12h Levetiracetam 26mg/kg, PO, q8h Pregabalin 5 mg/kg, PO, q8h Prednisolone 0.25 mg/kg, PO, QOD | Phenobarbital 3.5 mg/kg, PO, q12h Levetiracetam 26 mg/kg, PO, q8h Pregabalin 5 mg/kg, PO, q8h Prednisolone 0.25 mg/kg, PO, QOD |
| 8 | Dexamethasone 0.05 mg/kg, PO, SID Acetazolamide 10 mg/kg, PO, BID Phenobarbital 3.5 mg/kg, PO, q8h Levetiracetam 30 mg/kg, PO, q8h | Dexamethasone 0.05 mg/kg, PO, SID Phenobarbital 3.5 mg/kg, PO, q8h Levetiracetam 30 mg/kg, PO, q8h (2 weeks after surgery) | Dexamethasone 0.05 mg/kg, PO, QOD Furosemide 1 mg/kg, PO, SID Phenobarbital 3.5 mg/kg, PO, q8h Levetiracetam 30 mg/kg, PO, q8h |
Disclaimer/Publisher’s Note: The statements, opinions and data contained in all publications are solely those of the individual author(s) and contributor(s) and not of MDPI and/or the editor(s). MDPI and/or the editor(s) disclaim responsibility for any injury to people or property resulting from any ideas, methods, instructions or products referred to in the content. |
© 2023 by the authors. Licensee MDPI, Basel, Switzerland. This article is an open access article distributed under the terms and conditions of the Creative Commons Attribution (CC BY) license (https://creativecommons.org/licenses/by/4.0/).
Share and Cite
Keadwut, K.; Lewchalermwong, P.; Inpithuk, N.; Choochalermporn, P.; Pongpradit, A.; Koatsang, N.; Suwanna, N. Evaluation of Overshunting between Low and Medium Pressure Ventriculoperitoneal Shunts in Dogs with Severe Hydrocephalus Using Frameless Stereotactic Ventricular Shunt Placement. Animals 2023, 13, 1890. https://doi.org/10.3390/ani13121890
Keadwut K, Lewchalermwong P, Inpithuk N, Choochalermporn P, Pongpradit A, Koatsang N, Suwanna N. Evaluation of Overshunting between Low and Medium Pressure Ventriculoperitoneal Shunts in Dogs with Severe Hydrocephalus Using Frameless Stereotactic Ventricular Shunt Placement. Animals. 2023; 13(12):1890. https://doi.org/10.3390/ani13121890
Chicago/Turabian StyleKeadwut, Kanokwan, Pakthorn Lewchalermwong, Nathanat Inpithuk, Piyathip Choochalermporn, Ananya Pongpradit, Nattika Koatsang, and Nirut Suwanna. 2023. "Evaluation of Overshunting between Low and Medium Pressure Ventriculoperitoneal Shunts in Dogs with Severe Hydrocephalus Using Frameless Stereotactic Ventricular Shunt Placement" Animals 13, no. 12: 1890. https://doi.org/10.3390/ani13121890
APA StyleKeadwut, K., Lewchalermwong, P., Inpithuk, N., Choochalermporn, P., Pongpradit, A., Koatsang, N., & Suwanna, N. (2023). Evaluation of Overshunting between Low and Medium Pressure Ventriculoperitoneal Shunts in Dogs with Severe Hydrocephalus Using Frameless Stereotactic Ventricular Shunt Placement. Animals, 13(12), 1890. https://doi.org/10.3390/ani13121890
