Clinical Implications of Immune Checkpoints and the RANK/RANK-L Signaling Pathway in High-Grade Canine Mast Cell Tumors
Abstract
Simple Summary
Abstract
1. Introduction
2. Materials and Methods
2.1. Case Selection
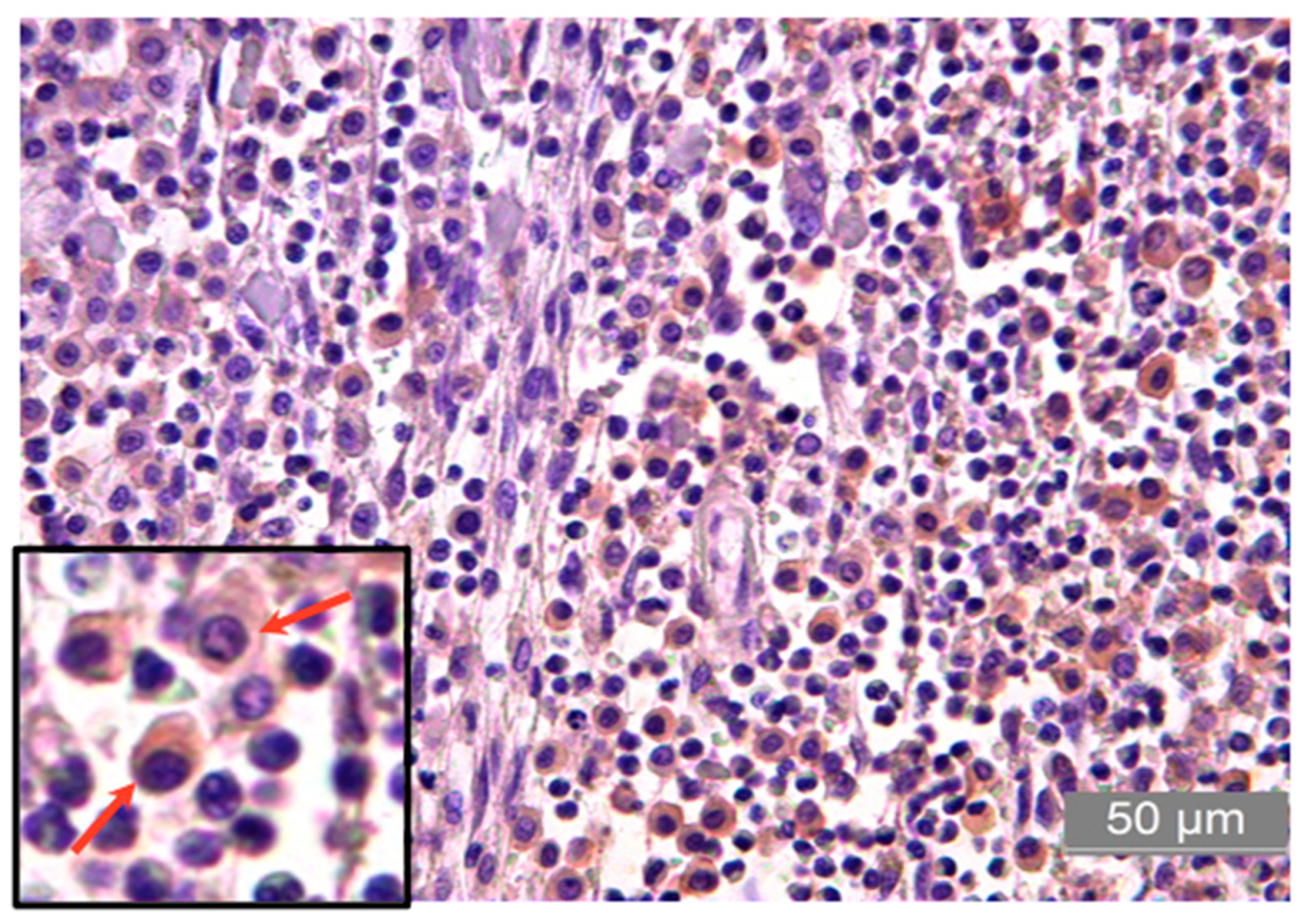
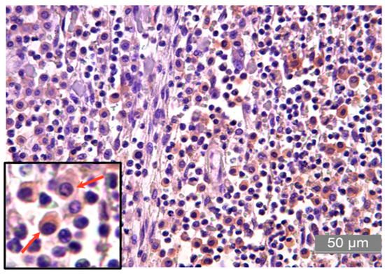
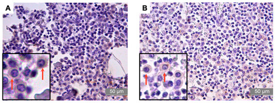
2.2. Cytology and Histopathology Analyses
2.3. Immunohistochemical Analyses: PD-L1, RANK, RANK-L, CTLA-4, and IFN-γ
2.4. Statistical Analysis
3. Results
3.1. Epidemiological and Clinical Data
3.2. Immunolabeling of Proteins PD-L1, CTLA-4, RANK, RANK-L, and IFN-γ
3.3. Correlations between Immunoreactivity Associated with Tumor Characteristics and the Clinical Features of the Animals
4. Discussion
5. Conclusions
Author Contributions
Funding
Institutional Review Board Statement
Informed Consent Statement
Data Availability Statement
Acknowledgments
Conflicts of Interest
References
- Bellamy, E.; Berlato, D. Canine cutaneous and subcutaneous mast cell tumours: A narrative review. J. Small Anim. Pract. 2022, 63, 497–511. [Google Scholar] [CrossRef] [PubMed]
- De Nardi, A.B.; Dos Santos Horta, R.; Fonseca-Alves, C.E.; de Paiva, F.N.; Linhares, L.C.M.; Firmo, B.F.; Ruiz Sueiro, F.A.; de Oliveira, K.D.; Lourenço, S.V.; De Francisco Strefezzi, R.; et al. Diagnosis, prognosis and treatment of canine cutaneous and subcutaneous mast cell tumors. Cells 2022, 11, 618. [Google Scholar] [CrossRef]
- Vail, D.M.; Thamm, D.H.; Liptak, J.M. Withrow & MacEwen’s Small Animal Clinical Oncology, 6th ed.; Elsevier: St. Louis, MO, USA, 2020. [Google Scholar]
- Ribeiro, P.R.; Bianchi, M.V.; Bandinelli, M.B.; Rosa, R.B.; Echenique, J.V.Z.; Serpa Stolf, A.; Driemeier, D.; Sonne, L.; Pavarini, S.P. Pathological aspects of cutaneous mast cell tumors with metastases in 49 dogs. Vet. Pathol. 2022, 59, 922–930. [Google Scholar] [CrossRef] [PubMed]
- Kumar, V.; Sharma, A. Mast cells: Emerging sentinel innate immune cells with diverse role in immunity. Mol. Immunol. 2010, 48, 14–25. [Google Scholar] [CrossRef] [PubMed]
- London, C.A.; Galli, S.J.; Yuuki, T.; Hu, Z.Q.; Helfand, S.C.; Geissler, E.N. Spontaneous canine mast cell tumors express tandem duplications in the proto-oncogene c-kit. Exp. Hematol. 1999, 27, 689–697. [Google Scholar] [CrossRef] [PubMed]
- Webster, J.D.; Yuzbasiyan-Gurkan, V.; Kaneene, J.B.; Miller, R.; Resau, J.H.; Kiupel, M. The role of c-KIT in tumorigenesis: Evaluation in canine cutaneous mast cell tumors. Neoplasia 2006, 8, 104–111. [Google Scholar] [CrossRef] [PubMed]
- Patnaik, A.K.; Ehler, W.J.; MacEwen, E.G. Canine Cutaneous Mast Cell Tumor: Morphologic Grading and Survival Time in 83 Dogs. Vet. Pathol. 1984, 21, 469–474. [Google Scholar] [CrossRef] [PubMed]
- Kiupel, M.; Webster, J.D.; Bailey, K.L.; Best, S.; DeLay, J.; Detrisac, C.J.; Fitzgerald, S.D.; Gamble, D.; Ginn, P.E.; Goldschmidt, M.H.; et al. Proposal of a 2-Tier Histologic Grading System for Canine Cutaneous Mast Cell Tumors to More Accurately Predict Biological Behavior. Vet. Pathol. 2011, 48, 147–155. [Google Scholar] [CrossRef] [PubMed]
- Berlato, D.; Bulman-Fleming, J.; Clifford, C.A.; Garrett, L.; Intile, J.; Jones, P.; Kamstock, D.A.; Liptak, J.M.; Pavuk, A.; Powell, R.; et al. Value, limitations, and recommendations for grading of canine cutaneous mast cell tumors: A consensus of the oncology-pathology working group. Vet. Pathol. 2021, 58, 858–863. [Google Scholar] [CrossRef]
- Pizzoni, S.; Sabattini, S.; Stefanello, D.; Dentini, A.; Ferrari, R.; Dacasto, M.; Giantin, M.; Laganga, P.; Amati, M.; Tortorella, G.; et al. Features and prognostic impact of distant metastases in 45 dogs with de novo stage IV cutaneous mast cell tumours: A prospective study. Vet. Comp. Oncol. 2018, 16, 28–36. [Google Scholar] [CrossRef]
- Freytag, J.O.; Queiroz, M.R.; Govoni, V.M.; Pereira, I.V.A.; Pulz, L.H.; de Francisco Strefezzi, R.; Queiroga, F.L.; Cogliati, B. Prognostic value of immunohistochemical markers in canine cutaneous mast cell tumours: A systematic review and meta-analysis. Vet. Comp. Oncol. 2021, 19, 529–540. [Google Scholar] [CrossRef] [PubMed]
- Oliveira, M.T.; Campos, M.; Lamego, L.; Magalhães, D.; Menezes, R.; Oliveira, R.; Patanita, F.; Ferreira, D.A. Canine and Feline Cutaneous Mast Cell Tumor: A Comprehensive Review of Treatments and Outcomes. Top. Companion Anim. Med. 2020, 41, 100472. [Google Scholar] [CrossRef] [PubMed]
- Chalfon, C.; Sabattini, S.; Finotello, R.; Faroni, E.; Guerra, D.; Pisoni, L.; Ciammaichella, L.; Vasconi, M.E.; Annoni, M.; Marconato, L. Lymphadenectomy improves outcome in dogs with resected Kiupel high-grade cutaneous mast cell tumours and overtly metastatic regional lymph nodes. J. Small Anim. Pract. 2022, 63, 661–669. [Google Scholar] [CrossRef]
- Hollebecque, A.; Chung, H.C.; de Miguel, M.J.; Italiano, A.; Machiels, J.P.; Lin, C.C.; Dhani, N.C.; Peeters, M.; Moreno, V.; Su, W.C.; et al. Safety and Antitumor Activity of α-PD-L1 Antibody as Monotherapy or in Combination with α-TIM-3 Antibody in Patients with Microsatellite Instability–High/Mismatch Repair–Deficient Tumors. Clin. Cancer Res. 2021, 27, 6393–6404. [Google Scholar] [CrossRef] [PubMed]
- Liu, R.; Li, W.; Meng, Y.; Gao, S.; Zhang, J.; Hu, X. Phase I study of pucotenlimab (HX008), an anti-PD-1 antibody, for patients with advanced solid tumors. Ther. Adv. Med. Oncol. 2021, 13, 17588359211020528. [Google Scholar] [CrossRef]
- Sobhani, N.; Tardiel-Cyril, D.R.; Davtyan, A.; Generali, D.; Roudi, R.; Li, Y. CTLA-4 in regulatory T cells for cancer immunotherapy. Cancers 2021, 13, 1440. [Google Scholar] [CrossRef]
- Ribas, A.; Wolchok, J.D. Cancer immunotherapy using checkpoint blockade. Science 1979, 23, 1350–1355. [Google Scholar] [CrossRef]
- Curiel, T.J.; Wei, S.; Dong, H.; Alvarez, X.; Cheng, P.; Mottram, P.; Krzysiek, R.; Knutson, K.L.; Daniel, B.; Zimmermann, M.C.; et al. Blockade of B7-H1 improves myeloid dendritic cell–mediated antitumor immunity. Nat. Med. 2003, 21, 562–567. [Google Scholar] [CrossRef]
- Fransen, M.F.; Schoonderwoerd, M.; Knopf, P.; Camps, M.G.M.; Hawinkels, L.J.A.C.; Kneilling, M.; van Hall, T.; Ossendorp, F. Tumor-draining lymph nodes are pivotal in PD-1/PD-L1 checkpoint therapy. JCI Insight 2018, 3, e124507. [Google Scholar] [CrossRef]
- Ariyarathna, H.; Thomson, N.A.; Aberdein, D.; Perrott, M.R.; Munday, J.S. Increased programmed death ligand (PD-L1) and cytotoxic T-lymphocyte antigen-4 (CTLA-4) expression is associated with metastasis and poor prognosis in malignant canine mammary gland tumours. Vet. Immunol. Immunopathol. 2020, 230, 110142. [Google Scholar] [CrossRef]
- Maekawa, N.; Konnai, S.; Okagawa, T.; Nishimori, A.; Ikebuchi, R.; Izumi, Y.; Takagi, S.; Kagawa, Y.; Nakajima, C.; Suzuki, Y.; et al. Immunohistochemical Analysis of PD-L1 Expression in Canine Malignant Cancers and PD-1 Expression on Lymphocytes in Canine Oral Melanoma. PLoS ONE 2016, 11, e0157176. [Google Scholar] [CrossRef] [PubMed]
- Maekawa, N.; Konnai, S.; Ikebuchi, R.; Okagawa, T.; Adachi, M.; Takagi, S.; Kagawa, Y.; Nakajima, C.; Suzuki, Y.; Murata, S.; et al. Expression of PD-L1 on Canine Tumor Cells and Enhancement of IFN-γ Production from Tumor-Infiltrating Cells by PD-L1 Blockade. PLoS ONE 2014, 9, e98415. [Google Scholar] [CrossRef] [PubMed]
- Kartsogiannis, V.; Zhou, H.; Horwood, N.J.; Thomas, R.J.; Hards, D.K.; Quinn, J.M.; Niforas, P.; Ng, K.W.; Martin, T.J.; Gillespie, M.T. Localization of RANKL (receptor activator of NFκB ligand) mRNA and protein in skeletal and extraskeletal tissues. Bone 1999, 25, 525–534. [Google Scholar] [CrossRef] [PubMed]
- Walsh, M.C.; Choi, Y. Regulation of T cell-associated tissues and T cell activation by RANKL-RANK-OPG. J. Bone Miner. Metab. 2021, 39, 54–63. [Google Scholar] [CrossRef]
- Kitamura, T.; Qian, B.Z.; Pollard, J.W. Immune cell promotion of metastasis. Nat. Rev. Immunol. 2015, 15, 73–86. [Google Scholar] [CrossRef] [PubMed]
- Renema, N.; Navet, B.; Heymann, M.F.; Lezot, F.; Heymann, D. RANK-RANKL signalling in cancer. Biosci. Rep. 2016, 36, e00366. [Google Scholar] [CrossRef] [PubMed]
- Wu, X.; Li, F.; Dang, L.; Liang, C.; Lu, A.; Zhang, G. RANKL/RANK system-based mechanism for breast cancer bone metastasis and related therapeutic strategies. Front. Cell Dev. Biol. 2020, 8, 76. [Google Scholar] [CrossRef] [PubMed]
- Casimiro, S.; Vilhais, G.; Gomes, I.; Costa, L. The roadmap of RANKL/RANK pathway in cancer. Cells 2021, 10, 1978. [Google Scholar] [CrossRef]
- Chen, G.; Sircar, K.; Aprikian, A.; Potti, A.; Goltzman, D.; Rabbani, S.A. Expression of RANKL/RANK/OPG in primary and metastatic human prostate cancer as markers of disease stage and functional regulation. Cancer 2006, 15, 289–298. [Google Scholar] [CrossRef]
- Garnier, L.; Pick, R.; Montorfani, J.; Sun, M.; Brighouse, D.; Liaudet, N.; Kammertoens, T.; Blankenstein, T.; Page, N.; Bernier-Latamani, J.; et al. IFN-γ–dependent tumor-antigen cross-presentation by lymphatic endothelial cells promotes their killing by T cells and inhibits metastasis. Sci. Adv. 2022, 10, 23. [Google Scholar] [CrossRef]
- Suami, H.; Yamashita, S.; Soto-Miranda, M.A.; Chang, D.W. Lymphatic Territories (Lymphosomes) in a Canine: An Animal Model for Investigation of Postoperative Lymphatic Alterations. PLoS ONE 2013, 8, e69222. [Google Scholar] [CrossRef] [PubMed]
- Reis, I.B.; Tibo, L.H.S.; Socca, E.A.R.; Souza, B.R.; Duran, N.; Fávaro, W.J. OncoTherad® (MRB-CFI-1) nano-immunotherapy reduced tumoral progression in non-muscle invasive bladder cancer through activation of Toll-like signaling pathway. Tissue Cell 2022, 76, 101762. [Google Scholar] [CrossRef] [PubMed]
- Reis, I.B.; Tibo, L.H.S.; Souza, B.R.; Duran, N.; Fávaro, W.J. OncoTherad® is an immunomodulator of biological response that downregulate RANK/RANKL signaling pathway and PD-1/PD-L1 immune checkpoint in non-muscle invasive bladder cancer. J. Cancer Res. Clin. Oncol. 2022, 1–12. [Google Scholar] [CrossRef] [PubMed]
- Shosu, K.; Sakurai, M.; Inoue, K.; Nakagawa, T.; Sakai, H.; Morimoto, M.; Okuda, M.; Noguchi, S.; Mizuno, T. Programmed cell death ligand 1 expression in canine cancer. Vivo 2016, 30, 195–204. [Google Scholar]
- O’Malley, D.P.; Yang, Y.; Boisot, S.; Sudarsanam, S.; Wang, J.F.; Chizhevsky, V.; Zhao, G.; Arain, S.; Weiss, L.M. Immunohistochemical detection of PD-L1 among diverse human neoplasms in a reference laboratory: Observations based upon 62,896 cases. Mod. Pathol. 2019, 32, 929–942. [Google Scholar] [CrossRef]
- Salvi, S.; Fontana, V.; Boccardo, S.; Merlo, D.F.; Margallo, E.; Laurent, S.; Morabito, A.; Rijavec, E.; Dal Bello, M.G.; Mora, M.; et al. Evaluation of CTLA-4 expression and relevance as a novel prognostic factor in patients with non-small cell lung cancer. Cancer Immunol. Immunother. 2012, 61, 1463–1472. [Google Scholar] [CrossRef]
- Hua, Y.; Bergers, G. Tumors vs. Chronic Wounds: An Immune Cell’s Perspective. Front. Immunol. 2019, 10, 2178. [Google Scholar] [CrossRef]
- Yano, H.; Kinuta, M.; Tateishi, H.; Nakano, Y.; Matsui, S.; Monden, T.; Okamura, J.; Sakai, M.; Okamoto, S. Mast cell infiltration around gastric cancer cells correlates with tumor angiogenesis and metastasis. Gastric Cancer 1999, 2, 26–32. [Google Scholar] [CrossRef]
- Chen, Y.; Li, C.; Xie, H.; Fan, Y.; Yang, Z.; Ma, J.; He, D.; Li, L. Infiltrating mast cells promote renal cell carcinoma angiogenesis by modulating PI3K→AKT→GSK3β→AM signaling. Oncogene 2017, 36, 2879–2888. [Google Scholar] [CrossRef]
- Visciano, C.; Prevete, N.; Liotti, F.; Marone, G. Tumor-Associated Mast Cells in Thyroid Cancer. Int. J. Endocrinol. 2015, 2015, 705169. [Google Scholar] [CrossRef]
- Komi, D.E.A.; Redegeld, F.A. Role of Mast Cells in Shaping the Tumor Microenvironment. Clin. Rev. Allergy Immunol. 2020, 58, 313–325. [Google Scholar] [CrossRef] [PubMed]
- Oh, S.A.; Wu, D.C.; Cheung, J.; Navarro, A.; Xiong, H.; Cubas, R.; Totpal, K.; Chiu, H.; Wu, Y.; Comps-Agrar, L.; et al. PD-L1 expression by dendritic cells is a key regulator of T-cell immunity in cancer. Nat. Cancer 2020, 1, 681–691. [Google Scholar] [CrossRef]
- Mayoux, M.; Roller, A.; Pulko, V.; Sammicheli, S.; Chen, S.; Sum, E.; Jost, C.; Fransen, M.F.; Buser, R.B.; Kowanetz, M.; et al. Dendritic cells dictate responses to PD-L1 blockade cancer immunotherapy. Sci. Transl. Med. 2020, 12, eaav7431. [Google Scholar] [CrossRef] [PubMed]
- Ghebeh, H.; Mohammed, S.; Al-Omair, A.; Qattan, A.; Lehe, C.; Al-Qudaihi, G.; Elkum, N.; Alshabanah, M.; Amer, S.B.; Tulbah, A.; et al. The B7-H1 (PD-L1) T Lymphocyte-Inhibitory Molecule Is Expressed in Breast Cancer Patients with Infiltrating Ductal Carcinoma: Correlation with Important High-Risk Prognostic Factors. Neoplasia 2006, 8, 190–198. [Google Scholar] [CrossRef]
- Ma, K.; Wei, X.; Dong, D.; Wu, Y.; Geng, Q.; Li, E. PD-L1 and PD-1 expression correlate with prognosis in extrahepatic cholangiocarcinoma. Oncol. Lett. 2017, 14, 250–256. [Google Scholar] [CrossRef] [PubMed]
- Inman, B.A.; Sebo, T.J.; Frigola, X.; Dong, H.; Bergstralh, E.J.; Frank, I.; Fradet, Y.; Lacombe, L.; Kwon, E.D. PD-L1 (B7-H1) expression by urothelial carcinoma of the bladder and BCG-induced granulomata. Cancer 2007, 109, 1499–1505. [Google Scholar] [CrossRef] [PubMed]
- Chapon, M.; Randriamampita, C.; Maubec, E.; Badoual, C.; Fouquet, S.; Wang, S.F.; Marinho, E.; Farhi, D.; Garcette, M.; Jacobelli, S.; et al. Progressive Upregulation of PD-1 in Primary and Metastatic Melanomas Associated with Blunted TCR Signaling in Infiltrating T Lymphocytes. J. Investig. Dermatol. 2011, 131, 1300–1307. [Google Scholar] [CrossRef]
- Wu, C.; Zhu, Y.; Jiang, J.; Zhao, J.; Zhang, X.G.; Xu, N. Immunohistochemical localization of programmed death-1 ligand-1 (PD-L1) in gastric carcinoma and its clinical significance. Acta Histochem. 2006, 108, 19–24. [Google Scholar] [CrossRef]
- Tagawa, M.; Kurashima, C.; Takagi, S.; Maekawa, N.; Konnai, S.; Shimbo, G.; Matsumoto, K.; Inokuma, H.; Kawamoto, K.; Miyahara, K. Evaluation of costimulatory molecules in dogs with B cell high grade lymphoma. PLoS ONE. 2018, 24, e0201222. [Google Scholar] [CrossRef]
- Rotte, A. Combination of CTLA-4 and PD-1 blockers for treatment of cancer. J. Exp. Clin. Cancer Res. 2019, 13, 255. [Google Scholar] [CrossRef]
- Blank, C.U.; Rozeman, E.A.; Fanchi, L.F.; Sikorska, K.; van de Wiel, B.; Kvistborg, P.; Krijgsman, O.; van den Braber, M.; Philips, D.; Broeks, A.; et al. Neoadjuvant versus adjuvant ipilimumab plus nivolumab in macroscopic stage III melanoma. Nat. Med. 2018, 8, 1655–1661. [Google Scholar] [CrossRef] [PubMed]
- Motzer, R.J.; Tannir, N.M.; McDermott, D.F.; Arén Frontera, O.; Melichar, B.; Choueiri, T.K.; Plimack, E.R.; Barthélémy, P.; Porta, C.; George, S.; et al. Nivolumab plus Ipilimumab versus Sunitinib in Advanced Renal-Cell Carcinoma. N. Engl. J. Med. 2018, 5, 1277–1290. [Google Scholar] [CrossRef] [PubMed]
- Cella, D.; Grünwald, V.; Escudier, B.; Hammers, H.J.; George, S.; Nathan, P.; Grimm, M.O.; Rini, B.I.; Doan, J.; Ivanescu, C.; et al. Patient-reported outcomes of patients with advanced renal cell carcinoma treated with nivolumab plus ipilimumab versus sunitinib (CheckMate 214): A randomised, phase 3 trial. Lancet Oncol. 2019, 20, 297–310. [Google Scholar] [CrossRef]
- Somasundaram, R.; Zhang, G.; Fukunaga-Kalabis, M.; Perego, M.; Krepler, C.; Xu, X.; Wagner, C.; Hristova, D.; Zhang, J.; Tian, T.; et al. Tumor-associated B-cells induce tumor heterogeneity and therapy resistance. Nat. Commun. 2017, 8, 607. [Google Scholar] [CrossRef] [PubMed]
- Ni, L.; Lu, J. Interferon gamma in cancer immunotherapy. Cancer Med. 2018, 7, 4509–4516. [Google Scholar] [CrossRef] [PubMed]
- Higgs, B.W.; Morehouse, C.A.; Streicher, K.; Brohawn, P.Z.; Pilataxi, F.; Gupta, A.; Ranade, K. Interferon Gamma Messenger RNA Signature in Tumor Biopsies Predicts Outcomes in Patients with Non–Small Cell Lung Carcinoma or Urothelial Cancer Treated with Durvalumab. Clin. Cancer Res. 2018, 24, 3857–3866. [Google Scholar] [CrossRef]
- Karachaliou, N.; Gonzalez-Cao, M.; Crespo, G.; Drozdowskyj, A.; Aldeguer, E.; Gimenez-Capitan, A.; Teixido, C.; Molina-Vila, M.A.; Viteri, S.; De Los Llanos Gil, M.; et al. Interferon gamma, an important marker of response to immune checkpoint blockade in non-small cell lung cancer and melanoma patients. Ther. Adv. Med. Oncol. 2018, 10, 1758834017749748. [Google Scholar] [CrossRef]
- Goltz, D.; Gevensleben, H.; Vogt, T.J.; Dietrich, J.; Golletz, C.; Bootz, F.; Kristiansen, G.; Landsberg, J.; Dietrich, D. CTLA4 methylation predicts response to anti–PD-1 and anti–CTLA-4 immunotherapy in melanoma patients. JCI Insight 2018, 3, e97693. [Google Scholar] [CrossRef]
- Oyer, J.L.; Gitto, S.B.; Altomare, D.A.; Copik, A.J. PD-L1 blockade enhances anti-tumor efficacy of NK cells. Oncoimmunology 2018, 7, e1509819. [Google Scholar] [CrossRef]
- Mimura, K.; The, J.L.; Okayama, H.; Shiraishi, K.; Kua, L.F.; Koh, V.; Smoot, D.T.; Ashktorab, H.; Oike, T.; Suzuki, Y.; et al. PD-L1 expression is mainly regulated by interferon gamma associated with JAK-STAT pathway in gastric cancer. Cancer Sci. 2018, 109, 43–53. [Google Scholar] [CrossRef]
- Galluzzi, L.; Buqué, A.; Kroemer, G. Prevention of breast cancer by RANKL/RANK blockade. Cell Res. 2016, 26, 751–752. [Google Scholar] [CrossRef] [PubMed]
- Barger, A.M.; Fan, T.M.; de Lorimier, L.P.; Sprandel, I.T.; O’Dell-Anderson, K. Expression of Receptor Activator of Nuclear Factor k-B Ligand (RANKL) in Neoplasms of Dogs and Cats. J. Vet. Intern. Med. 2007, 21, 133–140. [Google Scholar] [PubMed]
- Ahern, E.; Harjunpää, H.; O’Donnell, J.S.; Allen, S.; Dougall, W.C.; Teng, M.W.L.; Smyth, M.J. RANKL blockade improves efficacy of PD1-PD-L1 blockade or dual PD1-PD-L1 and CTLA4 blockade in mouse models of cancer. Oncoimmunology 2018, 7, e1431088. [Google Scholar] [CrossRef]
- Fávaro, W.J.; Iantas, S.R.; Gonçalves, J.M.; Dias, Q.C.; Reis, I.B.; Billis, A.; Duran, N.; Alonso, J.C.C. Role of OncoTherad immunotherapy in the regulation of toll-like receptors-mediated immune system and RANK/RANKL signaling: New therapeutic perspective for non-muscle invasive bladder cancer. J. Clin. Oncol. 2019, 37, e16004. [Google Scholar] [CrossRef]
- Böckelmann, P.K.; Tizziani, S.H.S.; Durán, N.; Fávaro, W.J. New Therapeutic Perspective for Bladder Cancer in Dogs: Toxicological and Clinical Effects of OncoTherad Nanostructured Immunotherapy. J. Phys. Conf. Ser. 2019, 1323, 012022. [Google Scholar] [CrossRef]
- Fonseca-Alves, C.E.; Ferreira, Ê.; de Oliveira Massoco, C.; Strauss, B.E.; Fávaro, W.J.; Durán, N.; Oyafuso da Cruz, N.; dos Santos Cunha, S.C.; Castro, J.L.C.; Rangel, M.M.M.; et al. Current Status of Canine Melanoma Diagnosis and Therapy: Report From a Colloquium on Canine Melanoma Organized by ABROVET (Brazilian Association of Veterinary Oncology). Front. Vet. Sci. 2021, 8, 707025. [Google Scholar] [CrossRef] [PubMed]








| Antibody | Code | Distributor | Dilution |
|---|---|---|---|
| Mouse, monoclonal anti-PD-L1 | sc-518027 | DAKO, USA | MCT skin: 1:25 MCT lymph node: 1:100 |
| Mouse, monoclonal anti-CTLA-4 | sc-376016 | Santa Cruz Biotechnology, USA | MCT skin: 1:50 MCT lymph node: 1:100 |
| Mouse, monoclonal anti-RANK | sc-374360 | Santa Cruz Biotechnology, USA | MCT skin: 1:50 |
| Mouse, monoclonal anti- RANK-L | sc-52950 | Santa Cruz Biotechnology, USA | MCT skin: 1:50 |
| Rabbit, polyclonal anti-IFN-γ Rα | sc-12755 | Santa Cruz Biotechnology, USA | MCT skin: 1:50 |
| Score | Percentage Cell Immunoreactivity | Interpretation |
|---|---|---|
| 0 | 0% | No immunoreactivity |
| 1 | 1–25% | Poor immunoreactivity |
| 2 | 25.1–50% | Mild immunoreactivity |
| 3 | 50.1–75% | Moderate immunoreactivity |
| 4 | More than 75% | Intense immunoreactivity |
| Dog No. | Breed | Age | Sex |
|---|---|---|---|
| 1 | Golden Retriever | 9 years | Female |
| 2 | Pug | 0.6 years | Female |
| 3 | Shar-Pei | 6.6 years | Male |
| 4 | Mongrel | 15 years | Female |
| 5 | Dachshund | 8 years | Female |
| 6 | Mongrel | 6 years | Female |
| 7 | Boxer | 7 years | Male |
| 8 | Mongrel | 13 years | Male |
| 9 | Labrador Retriever | 7 years | Male |
| 10 | Mongrel | 10 years | Female |
| Patient No. | MCT Size | Skin Regional Location | Skin Ulceration | Stage | Recurrence | Metastasis | Survival |
|---|---|---|---|---|---|---|---|
| 1 | >3 cm | Pelvic limb | Yes | IIa | Yes | Lymph node | >6 months |
| 2 | <3 cm | Ear | No | IIa | Yes | Lymph node | >6 months |
| 3 | >3 cm | Multiple | No | IIIa | Yes | Lymph node | >6 months |
| 4 | >3 cm | Thoracic limb | Yes | IVb | Yes | Lymph node and blood | <6 months |
| 5 | <3 cm | Inguinal | No | IIIa | Yes | Lymph node | >6 months |
| 6 | >3 cm | Thorax | No | IIa | No | Lymph node | >6 months |
| 7 | >3 cm | Base of ear | Yes | IIa | Yes | Lymph node | <6 months |
| 8 | >3 cm | Pelvic limb | No | Iva | No | Spleen and lymph node | <6 months |
| 9 | <3 cm | Thorax | No | Ia | No | No | >6 months |
| 10 | >3 cm | Thoracic limb | Yes | IIa | Yes | Lymph node | <6 months |
| PD-L1 | CTLA-4 | RANK | RANK-L | IFN-γ |
|---|---|---|---|---|
| 3 | 3 | 3 | 3 | 3 |
| (68.9 ± 11.10%) | (71.49 ± 8.07%) | (69.19 ± 5.24%) | (70.50 ± 5.38%) | (71.30 ± 7%) |
| PD-L1 | CTLA-4 |
|---|---|
| 4 | 3 |
| (76.17 ± 7.67%) | (56.35 ± 11.52%) |
| High-Grade Canine MCT Immunoreactivity | ||||||
|---|---|---|---|---|---|---|
| PD-L1 | CTLA-4 | RANK | RANK-L | IFN-y | ||
| Survival time | <6 months | 3 | 3 | 3 | 3 | 3 |
| (59.06 ± 11.52%) * | (71.3 ± 5.15) | (68.4 ± 5.49%) | (69.8 ± 3.98%) | (67.9 ± 6.81%) | ||
| >6 months | 3 | 3 | 3 | 3 | 3 | |
| (69.0 ± 6.85%) | (62.9 ± 11.84%) | (69.3 ± 5.63%) | (67.2 ± 8.35%) | (72.7 ± 7.88) | ||
| Tumor size | >3 cm | 3 | 3 | 3 | 4 | 3 |
| (69.8 ± 10.78%) | (67.98 ± 7.45%) | (68.7 ± 1.96%) | (77.0 ± 5.96%) * | (66.97 ± 6.40%) | ||
| <3 cm | 3 | 4 | 3 | 3 | 3 | |
| (57.4 ± 14.79%) | (75.7 ± 5.49%) | (73.2 ± 4.63%) | (67.9 ± 3.68%) | (73.2 ± 7.88%) | ||
| Characteristics | Skin ulcerated | 3 | 3 | 3 | 3 | 3 |
| (59.1 ± 13.95%) | (64.83 ± 7.39%) | (68.02 ± 1.96%) | (67.2 ± 3.98) | (67.9 ± 6.49) | ||
| Skin Non-ulcerated | 3 | 4 | 4 | 3 | 3 | |
| (70.6 ± 2.99%) | (76.0 ± 4.61%) * | (78.32 ± 4.63) * | (71.23 ± 8.35%) | (74.6 ± 7.01) | ||
| Immunoreactivity of the Different Antigens in Metastatic Lymph Nodes | |||
|---|---|---|---|
| PD-L1 | CTLA-4 | ||
| Status | Survival time< 6 months | 3 | 3 |
| (69.70 ± 8.26%) | (56.35 ± 11.01%) | ||
| Survival time > 6 months | 4 | 3 | |
| (78.44 ± 5.69%) | (61.18 ± 11.23%) | ||
| Characteristics | MCT skin Ulcerated | 3 | 3 |
| (78.44 ± 6.09%) | (55.03 ± 11.48%) | ||
| MCT skin Non-ulcerated | 3 | 3 | |
| (70.9 ± 8.22%) | (56.35 ± 10.55%) | ||
| MCT size | >3 cm | 4 | 3 |
| (78.44 ± 5.57%) * | (55.03 ± 11.03%) | ||
| <3 cm | 3 | 3 | |
| (65.00 ± 4.06%) | (56.4 ± 12.01%) | ||
Disclaimer/Publisher’s Note: The statements, opinions and data contained in all publications are solely those of the individual author(s) and contributor(s) and not of MDPI and/or the editor(s). MDPI and/or the editor(s) disclaim responsibility for any injury to people or property resulting from any ideas, methods, instructions or products referred to in the content. |
© 2023 by the authors. Licensee MDPI, Basel, Switzerland. This article is an open access article distributed under the terms and conditions of the Creative Commons Attribution (CC BY) license (https://creativecommons.org/licenses/by/4.0/).
Share and Cite
Talavera Guillén, N.C.; Barboza de Nardi, A.; Noleto de Paiva, F.; Dias, Q.C.; Pinheiro Fantinatti, A.; Fávaro, W.J. Clinical Implications of Immune Checkpoints and the RANK/RANK-L Signaling Pathway in High-Grade Canine Mast Cell Tumors. Animals 2023, 13, 1888. https://doi.org/10.3390/ani13121888
Talavera Guillén NC, Barboza de Nardi A, Noleto de Paiva F, Dias QC, Pinheiro Fantinatti A, Fávaro WJ. Clinical Implications of Immune Checkpoints and the RANK/RANK-L Signaling Pathway in High-Grade Canine Mast Cell Tumors. Animals. 2023; 13(12):1888. https://doi.org/10.3390/ani13121888
Chicago/Turabian StyleTalavera Guillén, Noelia C., Andrigo Barboza de Nardi, Felipe Noleto de Paiva, Queila Cristina Dias, Alexandra Pinheiro Fantinatti, and Wagner José Fávaro. 2023. "Clinical Implications of Immune Checkpoints and the RANK/RANK-L Signaling Pathway in High-Grade Canine Mast Cell Tumors" Animals 13, no. 12: 1888. https://doi.org/10.3390/ani13121888
APA StyleTalavera Guillén, N. C., Barboza de Nardi, A., Noleto de Paiva, F., Dias, Q. C., Pinheiro Fantinatti, A., & Fávaro, W. J. (2023). Clinical Implications of Immune Checkpoints and the RANK/RANK-L Signaling Pathway in High-Grade Canine Mast Cell Tumors. Animals, 13(12), 1888. https://doi.org/10.3390/ani13121888

