The Importance of Ultrasonography in the Evaluation of Mammary Tumors in Bitches
Abstract
Simple Summary
Abstract
1. Introduction
2. Diagnosis
3. Ultrasonography
3.1. B-Mode
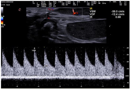
3.2. Doppler Ultrasonography
3.3. Elastography
3.4. Contrast-Enhanced Ultrasound (CEUS)
3.5. Regional Lymph Nodes
4. Conclusions
Author Contributions
Funding
Institutional Review Board Statement
Informed Consent Statement
Data Availability Statement
Acknowledgments
Conflicts of Interest
References
- Andrade, M.B.; Guimarães, E.C.; Coleto, A.F.; Soares, N.P.; Medeiros-Ronchi, A.A. Retrospective Study of Mammary Lesions in Bitches-Uberlândia, MG, Brazil. Acta Sci. Vet. 2017, 45, 8. [Google Scholar] [CrossRef]
- Kuppusamy, K.; Rajan, A.; Warrier, A.; Nadhan, R.; Patra, D.; Srinivas, P. Cytological grading of breast tumors—The human and canine perspective. Front. Vet. Sci. 2019, 6, 283. [Google Scholar] [CrossRef] [PubMed]
- Philibert, J.C.; Snyder, P.W.; Glickman, N.; Glickman, L.T.; Knapp, D.W.; Waters, D.J. Influence of host factors on survival in dogs with malignant mammary gland tumors. J. Vet. Intern. Med. 2003, 17, 102–106. [Google Scholar] [CrossRef] [PubMed]
- Oliveira Filho, J.C.; Kommers, G.D.; Masuda, E.K.; Marques, B.M.; Fighera, R.A.; Irigoyen, L.F.; Barros, C.S. Estudo retrospectivo de 1.647 tumores mamários em cães. Pesqui. Vet. Bras. 2010, 30, 177–185. [Google Scholar] [CrossRef]
- Barbosa, C.C.; Souza, M.B.; Scalercio, S.R.; Silva, T.F.; Domingues, S.F.; Silva, L.D. Ovarian and uterine periovulatory Doppler ultrasonography in bitches. Pesqui. Vet. Bras. 2013, 33, 1144–1150. [Google Scholar] [CrossRef]
- Davidson, A.P.; Baker, T.W. Reproductive ultrasound of the bitch and queen. Top Companion. Anim. Med. 2009, 24, 55–63. [Google Scholar] [CrossRef]
- Aires, L.P.N.; Gasser, B.; Silva, P.; Da Silva, P.D.A.; Silveira, M.V.; Carneiro, R.K.; Yamada, D.I.; Padilha-Nakaghi, L.C.; Uscategui, R.A.R.; Spada, S.; et al. High-definition ultrasonography in the evaluation of the reproductive tract of bitches during the follicular phase of the estrous cycle. Anim. Reprod. Sci. 2021, 234, 106870. [Google Scholar] [CrossRef]
- Aristokli, N.; Polycarpou, I.; Themistocleous, S.C.; Sophocleous, D.; Mamais, I. Comparison of the diagnostic performance of Magnetic Resonance Imaging (MRI), ultrasound and mammography for detection of breast cancer based on tumor type, breast density and patient’s history: A review. Radiography 2022, 28, 848–856. [Google Scholar] [CrossRef]
- Rosas, C.H.D.S.; Góes, A.C.D.A.; Saltão, L.M.; Tanaka, A.M.D.S.; Marques, E.F.; Bitencourt, A.G.V. Pregnancy-lactation cycle: How to use imaging methods for breast evaluation. Radiol. Bras. 2020, 53, 405–412. [Google Scholar] [CrossRef]
- Da Silva, D.M.; Juliani, A.I.; Ribeiro, C.L.; Guérios, S.D.; Froes, T.R. Abdominal ultrasonographic findings in dogs with mammary tumors: Association with tumor characteristics and survival. Turkish J. Vet. Anim. Sci. 2019, 43, 808–816. [Google Scholar] [CrossRef]
- Saharan, S.; Singh, P.; Singh, A.; Gupta, R.P.; Dutt, R. Sonographic and Histopathological Study of Mammary Tumours in Female Dogs. Appl. Biol. Res. 2022, 24, 245–250. [Google Scholar] [CrossRef]
- Gennisson, J.-L.; Deffieux, T.; Fink, M.; Tanter, M. Ultrasound elastography: Principles and techniques. Diagn. Interv. Imaging 2013, 94, 487–495. [Google Scholar] [CrossRef] [PubMed]
- Nogueira, A.C.; Morcerf, F.; Moraes, Á.V.; Carrinho, M.; Medeiros, C.; Dohmann, H. Ultra-sonografia com agentes de contrastes por microbolhas na avaliação da perfusão renal em indivíduos normais. Rev. Bras. Ecocardiografia 2002, 15, 74–78. [Google Scholar]
- Takeda, C.S.I.; Carvalho, C.F.; Chammas, M.C. Ultrassonografia contrastada na medicina veterinária revisão. Clín. Vet. 2012, 17, 108–114. [Google Scholar]
- Tang, M.X.; Mulvana, H.; Gauthier, T.; Lim, A.K.P.; Cosgrove, D.O.; Eckersley, R.J.; Stride, E. Quantitative contrast-enhanced ultrasound imaging: A review of sources of variability. Interface Focus 2011, 1, 520–539. [Google Scholar] [CrossRef]
- Cassali, G.D.; Jark, P.C.; Gamba, C.; Damasceno, K.A.; Lima, A.E.; De Nardi, A.B.; Ferreiro, E.; Horta, R.S.; Firmo, B.F.; Sueiro, F.A.R.; et al. Consensus regarding the diagnosis, prognosis and treatment of canine and feline mammary tumors-2019. Braz. J. Vet. Pathol. 2020, 13, 555–574. [Google Scholar] [CrossRef]
- Pierini, A.; Millanta, F.; Zanforlin, R.; Vannozzi, I.; Marchetti, V. Usefulness of cytologic criteria in ultrasound-guided fine-needle aspirates from subcentimeter canine mammary tumors. J. Vet. Diagn. Investig. 2017, 29, 869–873. [Google Scholar] [CrossRef]
- Cassali, G.D.; Gobbi, H.; Malm, C.; Schmitt, F. Evaluation of accuracy of fine needle aspiration cytology for diagnosis of canine mammary tumors: Comparative features with human tumors. Cytopathol. 2007, 18, 191–196. [Google Scholar] [CrossRef]
- Simon, D.; Schoenrock, D.; Nolte, I.; Baumgärtner, W.; Barron, R.; Mischke, R. Cytologic examination of fine-needle aspirates from mammary gland tumors in the dog: Diagnostic accuracy with comparison to histopathology and association with postoperative outcome. Vet. Clin. Pathol. 2009, 38, 521–528. [Google Scholar] [CrossRef]
- Thippani, C.; Kumar, A.; Laxman, M. Pathology and Immunohistochemistry of Mammary Tumours in Dogs. Ind. J. Pure App. Biosci. 2020, 8, 46–53. [Google Scholar] [CrossRef]
- Colombo, J.; Moschetta-Pinheiro, M.G.; Novais, A.A.; Stoppe, B.R.; Bonini, E.D.; Gonçalves, F.M.; Fukumasu, H.; Coutinho, L.L.; Chuffa, L.G.A.; Zuccari, D.A.P.D.C. Liquid biopsy as a diagnostic and prognostic tool for women and female dogs with breast cancer. Cancers 2021, 13, 5233. [Google Scholar] [CrossRef] [PubMed]
- Kaszak, I.; Witkowska-Piłaszewicz, O.; Domrazek, K.; Jurka, P. The Novel Diagnostic Techniques and Biomarkers of Canine Mammary Tumors. Vet. Sci. 2022, 9, 526. [Google Scholar] [CrossRef]
- Gonzalez de Bulnes, A.; Garcia Fernandez, P.; Mayenco Aguirre, A.M.; Sanchez De La Muela, M. Ultrasonographic imaging of canine mammary tumours. Vet. Rec. 1998, 143, 687–689. [Google Scholar] [CrossRef] [PubMed]
- Feliciano, M.A.R.; Uscategui, R.A.R.; Maronezi, M.C.; Simões, A.P.R.; Silva, P.; Gasser, B.; Pavan, L.; Carvalho, C.F.; Canola, J.C.; Vicente, W.R.R. Ultrasonography methods for predicting malignancy in canine mammary tumors. PLoS ONE 2017, 12, e0178143. [Google Scholar] [CrossRef] [PubMed]
- Nyman, H.T.; Nielsen, O.L.; McEvoy, F.J.; Lee, M.H.; Martinussen, T.; Hellmén, E.; Kristensen, A.T. Comparison of B-mode and Doppler ultrasonographic findings with histologic features of benign and malignant mammary tumors in dogs. Am. J. Vet. Res. 2006, 67, 985–991. [Google Scholar] [CrossRef] [PubMed]
- Baştan, A.; Özenç, E.; Pir Yağci, I.; Baki Acar, D. Ultrasonographic evaluation of mammary tumors in bitches. J. Fac. Vet. Med. 2009, 15, 81–86. [Google Scholar]
- Guedes, P.E.B.; Daniel, H.B.T.; Sampaio, K.M.O.R.; Da Silva, E.B.; Ferreira, M.L.; De Lavor, M.S.L.; Clark, R.M.O.; Wenceslau, A.A.; Said, R.A.; Silva, F.L. Clinical and Ultrasonographic Aspects of Benign and Malignant Mammary Tumors in Female Dogs. Acta Sci. Vet. 2020, 48, 1723. [Google Scholar] [CrossRef]
- Soler, M.; Dominguez, E.; Lucas, X.; Novellas, R.; Gomes-Coelho, K.V.; Espada, Y.; Agut, A. Comparison between ultrasonographic findings of benign and malignant canine mammary gland tumours using B-mode, colour Doppler, power Doppler and spectral Doppler. Res. Vet. Sci. 2016, 107, 141–146. [Google Scholar] [CrossRef]
- Hillaert, A.; Stock, E.; Duchateau, L.; De Rooster, H.; Devriendt, N.; Vanderperren, K. B-Mode and Contrast-Enhanced Ultrasonography Aspects of Benign and Malignant Superficial Neoplasms in Dogs: A Preliminary Study. Animals 2022, 12, 2765. [Google Scholar] [CrossRef]
- Feliciano, M.A.R.; Vicente, W.R.R.; Nepomuceno, A.C. Ultrasound in differentiation of canine mammary tumors. Vet. Zootec. 2012, 19, 43–47. [Google Scholar]
- Gasser, B.; Rodriguez, M.G.K.; Uscategui, R.A.R.; Silva, P.A.; Maronezi, M.C.; Pavan, L.; Feliciano, M.A.R.; Vicente, W.R.R. Ultrasonographic characteristics of benign mammary lesions in bitches. Vet. Med. 2018, 63, 216–224. [Google Scholar] [CrossRef]
- Feliciano, M.A.R.; Ramirez, R.A.U.; Maronezi, M.C.; Maciel, G.S.; Avante, M.L.; Senhorello, I.L.S.; Mucédola, T.; Gasser, B.; Carvalho, C.F.; Vicente, W.R.R. Accuracy of four ultrasonography techniques in predicting histopathological classification of canine mammary carcinomas. Vet. Radiol. Ultrasound. 2018, 59, 444–452. [Google Scholar] [CrossRef] [PubMed]
- Vannozzi, I.; Tesi, M.; Zangheri, M.; Innocenti, V.M.; Rota, A.; Citi, S.; Poli, A. B-mode ultrasound examination of canine mammary gland neoplastic lesions of small size (diameter < 2 cm). Vet. Res. Commun. 2018, 42, 137–143. [Google Scholar] [CrossRef] [PubMed]
- Mohammed, S.I.; Meloni, G.B.; Parpaglia, M.L.; Marras, V.; Burrai, G.P.; Meloni, F.; Pirino, S.; Antuofermo, E. Mammography and Ultrasound Imaging of Preinvasive and Invasive Canine Spontaneous Mammary Cancer and Their Similarities to Human Breast Cancer. Cancer Prev. Res. 2011, 4, 1790–1798. [Google Scholar] [CrossRef] [PubMed]
- Tagawa, M.; Kanai, E.; Shimbo, G.; Kano, M.; Kayanuma, H. Ultrasonographic evaluation of depth–width ratio (D/W) of benign and malignant mammary tumors in dogs. J. Vet. Med. 2016, 78, 521–524. [Google Scholar] [CrossRef] [PubMed]
- Mendelson, E.B.; Böhm-Vélez, M.; Berg, W.A.; Whitman, G.J.; Feldman, M.I.; Madjar, H.; Rizzatto, G.; Baker, J.A.; Zuley, M.; Stavros, A.T.; et al. ACR BI-RADS® Ultrasound. In ACR BI-RADS® Atlas, Breast Imaging Reporting and Data System; American College of Radiology: Reston, VA, USA, 2013. [Google Scholar]
- Oliveira, D.M.; Costa, F.S.; Wischral, A. BI-RADS classification and gray level histogram of malignant mammary tumors in bitches. Pesqui. Vet. Bras. 2018, 38, 1942–1948. [Google Scholar] [CrossRef]
- Mülazimoğlu, S.B.; Beceriklisoy, H.B.; Schäfer-Somi, S.; Kaya, M.; Bumin, A.; Özenç, E.; Gültiken, N.; Kanca, H.; Günen, M.Z.; Kutsal, O.; et al. B-mode echotexture analysis and color doppler sonography in canine mammary tumors. Kafkas Univ. Vet. Fak. Derg. 2016, 22, 961–969. [Google Scholar] [CrossRef]
- Sleeckx, N.; Van Brantegem, L.; Van den Eynden, G.; Fransen, E.; Casteleyn, C.; Van Cruchten, S.; Veldhuis Kroeze, E.; Van Ginneken, C. Angiogenesis in canine mammary tumours: A morphometric and prognostic study. J. Comp. Pathol. 2014, 150, 175–183. [Google Scholar] [CrossRef]
- Feliciano, M.A.R.; Vicente, W.R.R.; Silva, M.A.M. Conventional and Doppler ultrasound for the differentiation of benign and malignant canine mammary tumours. J. Small Anim. Pract. 2012, 53, 332–337. [Google Scholar] [CrossRef]
- Navarro, D.M.; Silva, D.M.F.; Costa, F.S.; Wischral, A. Dopplerfluxometric and angiogenic analysis of canine mammary tumors. Arq. Bras. Med. Vet. 2018, 70, 1099–1108. [Google Scholar] [CrossRef]
- Massimini, M.; Gloria, A.; Romanucci, M.; Della Salda, L.; Di Francesco, L.; Contri, A. Strain and Shear-Wave Elastography and Their Relationship to Histopathological Features of Canine Mammary Nodular Lesions. Vet. Sci. 2022, 9, 506. [Google Scholar] [CrossRef] [PubMed]
- Abma, E.; Stock, E.; De Spiegelaere, W.; Van Brantegem, L.; Vanderperren, K.; Ni, Y.; Vynck, M.; Daminet, S.; De Clercq, K. Power Doppler ultrasound and contrast-enhanced ultrasound demonstrate non-invasive tumour vascular response to anti-vascular therapy in canine cancer patients. Sci. Rep. 2019, 9, 9262. [Google Scholar] [CrossRef] [PubMed]
- Nyman, H.T.; O’Brien, R.T. The sonographic evaluation of lymph nodes. Clin. Tech. Small Anim. Pract. 2007, 22, 128–137. [Google Scholar] [CrossRef] [PubMed]
- Silva, P.; UScategui, R.A.R.; Maronezi, M.C.; Gasser, B.; Pavan, L.; Gatto, I.R.H.; Almeida, V.T.; Vicente, W.R.R.; Feliciano, M.A.R. Ultrasonography for lymph nodes metastasis identification in bitches with mammary neoplasms. Sci. Rep. 2018, 8, 17708. [Google Scholar] [CrossRef]
- Stan, F.; Gudea, A.; Damian, A.; Gal, A.F.; Papuc, I.; Pop, A.R.; Martonos, C. Ultrasonographic algorithm for the assessment of sentinel lymph nodes that drain the mammary carcinomas in female dogs. Animals 2020, 10, 2366. [Google Scholar] [CrossRef]
- Muramoto, C.; Sterman, F.A.; Hagen, S.C.F.; Pinto, A.C.B.C.F.; Oliveira, C.M.; Faustino, M.; Talib, M.S.F.; Torres, L.N. Ultrasonographic evaluation of lymphnodes for metastasis research of canine mammary tumor. Pesq. Vet. Bras. 2011, 31, 1006–1013. [Google Scholar] [CrossRef]




| Findings | Term | |
|---|---|---|
| Nodules/masses | 1. Shape | a. Oval b. Round c. Irregular |
| 2. Orientation | a. Parallel b. Not parallel | |
| 3. Margins | a. Circumscribed b. Not circumscribed I. Indistinct II. Angular III. Microlobulated IV. Spiculated | |
| 4. Echo pattern | a. Anechoic b. Hyperechoic c. Complex cystic and solid d. Hypoechoic e. Isoechoic f. Heterogenous | |
| 5. Posterior features | a. No posterior feature b. Enhancement c. Shadowing d. Combined pattern | |
| Calcification | 1. Calcification in a mass 2. Calcification outside of a mass 3. Intraductal calcification | |
| Associated features | 1. Architectural distortion | |
| 2. Duct changes | ||
| 3. Skin changes | a. Skin thickening b. Skin retraction | |
| 4. Edema | ||
| 5. Vascularity | a. Absent b. Internal vascularity | |
| Modified BI-RADS Category | Sonographic Findings |
|---|---|
| Category 1 | Normal examination |
| Category 2 | Intramammary lymph nodes, benign calcifications, fat nodules |
| Category 3 | Solid hypoechoic circumscribed oval structures with parallel orientation, simple cysts |
| Category 4 | 4a: Partially circumscribed mass, complex cysts 4b: Not circumscribed oval or rounded solid masses, grouped calcifications 4c: Irregular shape not circumscribed masses, new group of calcifications |
| Category 5 | Irregular shape, not circumscribed, non-parallel orientation, hyperechoic halo, posterior acoustic shadowing, alterations in adjacent tissues |
| Category 6 | Proven malignancy by biopsy |
Disclaimer/Publisher’s Note: The statements, opinions and data contained in all publications are solely those of the individual author(s) and contributor(s) and not of MDPI and/or the editor(s). MDPI and/or the editor(s) disclaim responsibility for any injury to people or property resulting from any ideas, methods, instructions or products referred to in the content. |
© 2023 by the authors. Licensee MDPI, Basel, Switzerland. This article is an open access article distributed under the terms and conditions of the Creative Commons Attribution (CC BY) license (https://creativecommons.org/licenses/by/4.0/).
Share and Cite
Feliciano, M.A.R.; de Miranda, B.d.S.P.; Aires, L.P.N.; Lima, B.B.; de Oliveira, A.P.L.; Feliciano, G.S.M.; Uscategui, R.A.R. The Importance of Ultrasonography in the Evaluation of Mammary Tumors in Bitches. Animals 2023, 13, 1742. https://doi.org/10.3390/ani13111742
Feliciano MAR, de Miranda BdSP, Aires LPN, Lima BB, de Oliveira APL, Feliciano GSM, Uscategui RAR. The Importance of Ultrasonography in the Evaluation of Mammary Tumors in Bitches. Animals. 2023; 13(11):1742. https://doi.org/10.3390/ani13111742
Chicago/Turabian StyleFeliciano, Marcus Antônio Rossi, Brenda dos Santos Pompeu de Miranda, Luiz Paulo Nogueira Aires, Bruna Bressianini Lima, Ana Paula Luiz de Oliveira, Giovanna Serpa Maciel Feliciano, and Ricardo Andrés Ramirez Uscategui. 2023. "The Importance of Ultrasonography in the Evaluation of Mammary Tumors in Bitches" Animals 13, no. 11: 1742. https://doi.org/10.3390/ani13111742
APA StyleFeliciano, M. A. R., de Miranda, B. d. S. P., Aires, L. P. N., Lima, B. B., de Oliveira, A. P. L., Feliciano, G. S. M., & Uscategui, R. A. R. (2023). The Importance of Ultrasonography in the Evaluation of Mammary Tumors in Bitches. Animals, 13(11), 1742. https://doi.org/10.3390/ani13111742

